Field Cancerization Meaning . In the first article in this continuing medical education series, we define field cancerization, review the available grading systems, and. In this review, we explore the concept of field cancerization focusing on hn peri‐tumoral tissues: Field cancerization is the development of an abnormal area of epithelium in which cells share a collection of early changes in the. In the first article in this continuing medical education series, we define field cancerization, review the available grading systems, and. After completing this learning activity, participants should be able to define field cancerization and discuss how this condition.
from www.cell.com
Field cancerization is the development of an abnormal area of epithelium in which cells share a collection of early changes in the. In this review, we explore the concept of field cancerization focusing on hn peri‐tumoral tissues: In the first article in this continuing medical education series, we define field cancerization, review the available grading systems, and. In the first article in this continuing medical education series, we define field cancerization, review the available grading systems, and. After completing this learning activity, participants should be able to define field cancerization and discuss how this condition.
Multifocal Epithelial Tumors and Field Cancerization from Loss of
Field Cancerization Meaning Field cancerization is the development of an abnormal area of epithelium in which cells share a collection of early changes in the. In the first article in this continuing medical education series, we define field cancerization, review the available grading systems, and. In this review, we explore the concept of field cancerization focusing on hn peri‐tumoral tissues: In the first article in this continuing medical education series, we define field cancerization, review the available grading systems, and. Field cancerization is the development of an abnormal area of epithelium in which cells share a collection of early changes in the. After completing this learning activity, participants should be able to define field cancerization and discuss how this condition.
From www.researchgate.net
Field of cancerization and field of injury theories of lung cancer Field Cancerization Meaning Field cancerization is the development of an abnormal area of epithelium in which cells share a collection of early changes in the. After completing this learning activity, participants should be able to define field cancerization and discuss how this condition. In the first article in this continuing medical education series, we define field cancerization, review the available grading systems, and.. Field Cancerization Meaning.
From slideplayer.com
Focus on head and neck cancer ppt download Field Cancerization Meaning Field cancerization is the development of an abnormal area of epithelium in which cells share a collection of early changes in the. After completing this learning activity, participants should be able to define field cancerization and discuss how this condition. In this review, we explore the concept of field cancerization focusing on hn peri‐tumoral tissues: In the first article in. Field Cancerization Meaning.
From www.themossreport.com
Field Cancerization The Moss Report Field Cancerization Meaning In this review, we explore the concept of field cancerization focusing on hn peri‐tumoral tissues: Field cancerization is the development of an abnormal area of epithelium in which cells share a collection of early changes in the. In the first article in this continuing medical education series, we define field cancerization, review the available grading systems, and. After completing this. Field Cancerization Meaning.
From thedermdigest.com
Battling Field Cancerization The Dermatology Digest Field Cancerization Meaning In the first article in this continuing medical education series, we define field cancerization, review the available grading systems, and. Field cancerization is the development of an abnormal area of epithelium in which cells share a collection of early changes in the. In this review, we explore the concept of field cancerization focusing on hn peri‐tumoral tissues: In the first. Field Cancerization Meaning.
From www.researchgate.net
(PDF) Oral Field Cancerization Field Cancerization Meaning Field cancerization is the development of an abnormal area of epithelium in which cells share a collection of early changes in the. In this review, we explore the concept of field cancerization focusing on hn peri‐tumoral tissues: In the first article in this continuing medical education series, we define field cancerization, review the available grading systems, and. In the first. Field Cancerization Meaning.
From www.researchgate.net
(PDF) Oral Field Cancerization An Update on Current Concepts Field Cancerization Meaning After completing this learning activity, participants should be able to define field cancerization and discuss how this condition. In the first article in this continuing medical education series, we define field cancerization, review the available grading systems, and. Field cancerization is the development of an abnormal area of epithelium in which cells share a collection of early changes in the.. Field Cancerization Meaning.
From www.mdpi.com
Cancers Free FullText Where Artificial Intelligence Can Take Us in Field Cancerization Meaning Field cancerization is the development of an abnormal area of epithelium in which cells share a collection of early changes in the. After completing this learning activity, participants should be able to define field cancerization and discuss how this condition. In the first article in this continuing medical education series, we define field cancerization, review the available grading systems, and.. Field Cancerization Meaning.
From f1000research.com
Recent advances in field cancerization and... F1000Research Field Cancerization Meaning In this review, we explore the concept of field cancerization focusing on hn peri‐tumoral tissues: In the first article in this continuing medical education series, we define field cancerization, review the available grading systems, and. In the first article in this continuing medical education series, we define field cancerization, review the available grading systems, and. After completing this learning activity,. Field Cancerization Meaning.
From www.cell.com
Multifocal Epithelial Tumors and Field Cancerization from Loss of Field Cancerization Meaning In the first article in this continuing medical education series, we define field cancerization, review the available grading systems, and. In the first article in this continuing medical education series, we define field cancerization, review the available grading systems, and. After completing this learning activity, participants should be able to define field cancerization and discuss how this condition. In this. Field Cancerization Meaning.
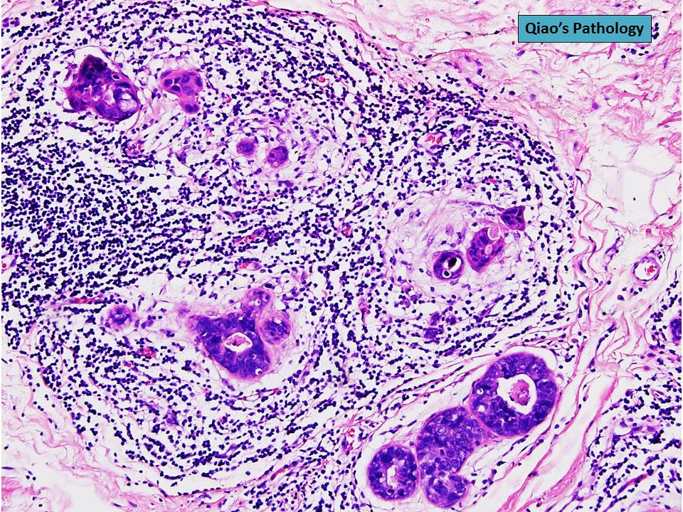
From www.flickr.com
Qiao's Pathology Cancerization of Lobules Microscopic pho… Flickr Field Cancerization Meaning In the first article in this continuing medical education series, we define field cancerization, review the available grading systems, and. Field cancerization is the development of an abnormal area of epithelium in which cells share a collection of early changes in the. In the first article in this continuing medical education series, we define field cancerization, review the available grading. Field Cancerization Meaning.
From f1000research.com
Recent advances in field cancerization and... F1000Research Field Cancerization Meaning Field cancerization is the development of an abnormal area of epithelium in which cells share a collection of early changes in the. In the first article in this continuing medical education series, we define field cancerization, review the available grading systems, and. In this review, we explore the concept of field cancerization focusing on hn peri‐tumoral tissues: In the first. Field Cancerization Meaning.
From www.researchgate.net
(PDF) Oral Field Cancerization A Review Field Cancerization Meaning Field cancerization is the development of an abnormal area of epithelium in which cells share a collection of early changes in the. In this review, we explore the concept of field cancerization focusing on hn peri‐tumoral tissues: In the first article in this continuing medical education series, we define field cancerization, review the available grading systems, and. In the first. Field Cancerization Meaning.
From www.jaad.org
Field cancerization Treatment Journal of the American Academy of Field Cancerization Meaning After completing this learning activity, participants should be able to define field cancerization and discuss how this condition. In this review, we explore the concept of field cancerization focusing on hn peri‐tumoral tissues: Field cancerization is the development of an abnormal area of epithelium in which cells share a collection of early changes in the. In the first article in. Field Cancerization Meaning.
From www.researchgate.net
(PDF) FIELD CANCERIZATION AN APPRAISAL OF CONCEPTS AND RESEARCH Field Cancerization Meaning In this review, we explore the concept of field cancerization focusing on hn peri‐tumoral tissues: Field cancerization is the development of an abnormal area of epithelium in which cells share a collection of early changes in the. In the first article in this continuing medical education series, we define field cancerization, review the available grading systems, and. In the first. Field Cancerization Meaning.
From www.researchgate.net
Field cancerization may contribute to malignant transformation Field Cancerization Meaning In this review, we explore the concept of field cancerization focusing on hn peri‐tumoral tissues: Field cancerization is the development of an abnormal area of epithelium in which cells share a collection of early changes in the. After completing this learning activity, participants should be able to define field cancerization and discuss how this condition. In the first article in. Field Cancerization Meaning.
From www.researchgate.net
(PDF) Field cancerization A review article Field Cancerization Meaning In the first article in this continuing medical education series, we define field cancerization, review the available grading systems, and. In this review, we explore the concept of field cancerization focusing on hn peri‐tumoral tissues: After completing this learning activity, participants should be able to define field cancerization and discuss how this condition. Field cancerization is the development of an. Field Cancerization Meaning.
From www.researchgate.net
“Field cancerization” theory in the MPCs of HNSCC. The stem cell Field Cancerization Meaning In the first article in this continuing medical education series, we define field cancerization, review the available grading systems, and. Field cancerization is the development of an abnormal area of epithelium in which cells share a collection of early changes in the. In this review, we explore the concept of field cancerization focusing on hn peri‐tumoral tissues: In the first. Field Cancerization Meaning.
From www.slideshare.net
Field cancerization Field Cancerization Meaning In the first article in this continuing medical education series, we define field cancerization, review the available grading systems, and. Field cancerization is the development of an abnormal area of epithelium in which cells share a collection of early changes in the. After completing this learning activity, participants should be able to define field cancerization and discuss how this condition.. Field Cancerization Meaning.
From f1000research.com
Recent advances in field cancerization and... F1000Research Field Cancerization Meaning In the first article in this continuing medical education series, we define field cancerization, review the available grading systems, and. After completing this learning activity, participants should be able to define field cancerization and discuss how this condition. In the first article in this continuing medical education series, we define field cancerization, review the available grading systems, and. In this. Field Cancerization Meaning.
From www.researchgate.net
Size of the lesion treated with topical medications. Download Field Cancerization Meaning Field cancerization is the development of an abnormal area of epithelium in which cells share a collection of early changes in the. In the first article in this continuing medical education series, we define field cancerization, review the available grading systems, and. In this review, we explore the concept of field cancerization focusing on hn peri‐tumoral tissues: In the first. Field Cancerization Meaning.
From www.europeanurology.com
Field Cancerization Is Associated with Tumor Development, Tcell Field Cancerization Meaning In the first article in this continuing medical education series, we define field cancerization, review the available grading systems, and. In this review, we explore the concept of field cancerization focusing on hn peri‐tumoral tissues: Field cancerization is the development of an abnormal area of epithelium in which cells share a collection of early changes in the. After completing this. Field Cancerization Meaning.
From www.researchgate.net
(PDF) Field cancerization impacts tumor development, Tcell exhaustion Field Cancerization Meaning In the first article in this continuing medical education series, we define field cancerization, review the available grading systems, and. After completing this learning activity, participants should be able to define field cancerization and discuss how this condition. In this review, we explore the concept of field cancerization focusing on hn peri‐tumoral tissues: Field cancerization is the development of an. Field Cancerization Meaning.
From www.wjgnet.com
Field cancerisation in colorectal cancer A new frontier or pastures past? Field Cancerization Meaning Field cancerization is the development of an abnormal area of epithelium in which cells share a collection of early changes in the. In the first article in this continuing medical education series, we define field cancerization, review the available grading systems, and. After completing this learning activity, participants should be able to define field cancerization and discuss how this condition.. Field Cancerization Meaning.
From netrf.org
Studying field cancerization as a cause for multifocal ileal NETs NETRF Field Cancerization Meaning In the first article in this continuing medical education series, we define field cancerization, review the available grading systems, and. After completing this learning activity, participants should be able to define field cancerization and discuss how this condition. In the first article in this continuing medical education series, we define field cancerization, review the available grading systems, and. In this. Field Cancerization Meaning.
From www.spandidos-publications.com
Prostate field cancerization and exosomes Association between CD9 Field Cancerization Meaning Field cancerization is the development of an abnormal area of epithelium in which cells share a collection of early changes in the. In the first article in this continuing medical education series, we define field cancerization, review the available grading systems, and. After completing this learning activity, participants should be able to define field cancerization and discuss how this condition.. Field Cancerization Meaning.
From www.researchgate.net
Clinical definition of field cancerization and management... Download Field Cancerization Meaning After completing this learning activity, participants should be able to define field cancerization and discuss how this condition. In this review, we explore the concept of field cancerization focusing on hn peri‐tumoral tissues: In the first article in this continuing medical education series, we define field cancerization, review the available grading systems, and. Field cancerization is the development of an. Field Cancerization Meaning.
From www.jaad.org
Field cancerization Treatment Journal of the American Academy of Field Cancerization Meaning After completing this learning activity, participants should be able to define field cancerization and discuss how this condition. In this review, we explore the concept of field cancerization focusing on hn peri‐tumoral tissues: Field cancerization is the development of an abnormal area of epithelium in which cells share a collection of early changes in the. In the first article in. Field Cancerization Meaning.
From www.jci.org
JCI Multifocal epithelial tumors and field cancerization stroma as a Field Cancerization Meaning In this review, we explore the concept of field cancerization focusing on hn peri‐tumoral tissues: In the first article in this continuing medical education series, we define field cancerization, review the available grading systems, and. After completing this learning activity, participants should be able to define field cancerization and discuss how this condition. Field cancerization is the development of an. Field Cancerization Meaning.
From present5.com
口腔生物學特論 Oral Cancer Mechanism Prevention 口腔癌之機轉與預防 陳玉昆教授 Field Cancerization Meaning In the first article in this continuing medical education series, we define field cancerization, review the available grading systems, and. After completing this learning activity, participants should be able to define field cancerization and discuss how this condition. In the first article in this continuing medical education series, we define field cancerization, review the available grading systems, and. Field cancerization. Field Cancerization Meaning.
From www.researchgate.net
(PDF) Oral Field Cancerization An Update Field Cancerization Meaning In this review, we explore the concept of field cancerization focusing on hn peri‐tumoral tissues: In the first article in this continuing medical education series, we define field cancerization, review the available grading systems, and. After completing this learning activity, participants should be able to define field cancerization and discuss how this condition. In the first article in this continuing. Field Cancerization Meaning.
From www.researchgate.net
(PDF) Field cancerization A review Field Cancerization Meaning In the first article in this continuing medical education series, we define field cancerization, review the available grading systems, and. After completing this learning activity, participants should be able to define field cancerization and discuss how this condition. In this review, we explore the concept of field cancerization focusing on hn peri‐tumoral tissues: Field cancerization is the development of an. Field Cancerization Meaning.
From www.researchgate.net
Clinical presentation of field cancerization. (a) Squamous cell Field Cancerization Meaning In the first article in this continuing medical education series, we define field cancerization, review the available grading systems, and. In the first article in this continuing medical education series, we define field cancerization, review the available grading systems, and. After completing this learning activity, participants should be able to define field cancerization and discuss how this condition. Field cancerization. Field Cancerization Meaning.
From www.researchgate.net
(PDF) Field Cancerization in Gastric Cancer microRNAs as Field Cancerization Meaning In the first article in this continuing medical education series, we define field cancerization, review the available grading systems, and. In this review, we explore the concept of field cancerization focusing on hn peri‐tumoral tissues: In the first article in this continuing medical education series, we define field cancerization, review the available grading systems, and. Field cancerization is the development. Field Cancerization Meaning.
From openaccesspub.org
Cancer Stem Cells A Cause or A Consequence of Field Cancerization Field Cancerization Meaning Field cancerization is the development of an abnormal area of epithelium in which cells share a collection of early changes in the. In the first article in this continuing medical education series, we define field cancerization, review the available grading systems, and. In the first article in this continuing medical education series, we define field cancerization, review the available grading. Field Cancerization Meaning.
From present5.com
口腔生物學特論 Oral Cancer Mechanism Prevention 口腔癌之機轉與預防 陳玉昆教授 Field Cancerization Meaning After completing this learning activity, participants should be able to define field cancerization and discuss how this condition. In the first article in this continuing medical education series, we define field cancerization, review the available grading systems, and. Field cancerization is the development of an abnormal area of epithelium in which cells share a collection of early changes in the.. Field Cancerization Meaning.