Incisive Canal Cyst Symptoms . The incisive canal, also known as the nasopalatine canal, is an interosseous. They present as swelling of anterior hard palate, sometimes associated with pain and drainage. It appears as either asymptomatic which is recognized on routine. Incisive canal cysts, also known as nasopalatine duct cysts (npdcs), are developmental, nonneoplastic cysts arising from degeneration. T he nasopalatine duct cyst (npdc), also known as the incisive canal cyst, is the most common nonodontogenic cyst of the oral. It may appear as extrabony incisive papilla cyst or intrabony lesion. Nasopalatine duct cyst, also termed as incisive canal cyst, arises from embryogenic.
from www.slideserve.com
Incisive canal cysts, also known as nasopalatine duct cysts (npdcs), are developmental, nonneoplastic cysts arising from degeneration. They present as swelling of anterior hard palate, sometimes associated with pain and drainage. T he nasopalatine duct cyst (npdc), also known as the incisive canal cyst, is the most common nonodontogenic cyst of the oral. It may appear as extrabony incisive papilla cyst or intrabony lesion. The incisive canal, also known as the nasopalatine canal, is an interosseous. Nasopalatine duct cyst, also termed as incisive canal cyst, arises from embryogenic. It appears as either asymptomatic which is recognized on routine.
PPT Odontogenic Cysts and Tumors PowerPoint Presentation, free
Incisive Canal Cyst Symptoms T he nasopalatine duct cyst (npdc), also known as the incisive canal cyst, is the most common nonodontogenic cyst of the oral. It may appear as extrabony incisive papilla cyst or intrabony lesion. The incisive canal, also known as the nasopalatine canal, is an interosseous. Nasopalatine duct cyst, also termed as incisive canal cyst, arises from embryogenic. They present as swelling of anterior hard palate, sometimes associated with pain and drainage. It appears as either asymptomatic which is recognized on routine. T he nasopalatine duct cyst (npdc), also known as the incisive canal cyst, is the most common nonodontogenic cyst of the oral. Incisive canal cysts, also known as nasopalatine duct cysts (npdcs), are developmental, nonneoplastic cysts arising from degeneration.
From www.pic2fly.com
Incisive Canal Cyst Treatment submited images Pic2Fly Incisive Canal Cyst Symptoms They present as swelling of anterior hard palate, sometimes associated with pain and drainage. The incisive canal, also known as the nasopalatine canal, is an interosseous. Incisive canal cysts, also known as nasopalatine duct cysts (npdcs), are developmental, nonneoplastic cysts arising from degeneration. T he nasopalatine duct cyst (npdc), also known as the incisive canal cyst, is the most common. Incisive Canal Cyst Symptoms.
From www.alamy.com
Palatal cyst hires stock photography and images Alamy Incisive Canal Cyst Symptoms It appears as either asymptomatic which is recognized on routine. It may appear as extrabony incisive papilla cyst or intrabony lesion. Nasopalatine duct cyst, also termed as incisive canal cyst, arises from embryogenic. Incisive canal cysts, also known as nasopalatine duct cysts (npdcs), are developmental, nonneoplastic cysts arising from degeneration. The incisive canal, also known as the nasopalatine canal, is. Incisive Canal Cyst Symptoms.
From drgstoothpix.com
Anatomy Monday Incisive Foramen Dr. G's Toothpix Incisive Canal Cyst Symptoms Nasopalatine duct cyst, also termed as incisive canal cyst, arises from embryogenic. It may appear as extrabony incisive papilla cyst or intrabony lesion. It appears as either asymptomatic which is recognized on routine. They present as swelling of anterior hard palate, sometimes associated with pain and drainage. The incisive canal, also known as the nasopalatine canal, is an interosseous. Incisive. Incisive Canal Cyst Symptoms.
From www.vrogue.co
Ultimate Radiology Incisive Canal Cyst Nasopalatine D vrogue.co Incisive Canal Cyst Symptoms The incisive canal, also known as the nasopalatine canal, is an interosseous. It appears as either asymptomatic which is recognized on routine. Incisive canal cysts, also known as nasopalatine duct cysts (npdcs), are developmental, nonneoplastic cysts arising from degeneration. Nasopalatine duct cyst, also termed as incisive canal cyst, arises from embryogenic. T he nasopalatine duct cyst (npdc), also known as. Incisive Canal Cyst Symptoms.
From www.slideserve.com
PPT Introduction PowerPoint Presentation, free download ID4303503 Incisive Canal Cyst Symptoms Incisive canal cysts, also known as nasopalatine duct cysts (npdcs), are developmental, nonneoplastic cysts arising from degeneration. They present as swelling of anterior hard palate, sometimes associated with pain and drainage. It appears as either asymptomatic which is recognized on routine. The incisive canal, also known as the nasopalatine canal, is an interosseous. It may appear as extrabony incisive papilla. Incisive Canal Cyst Symptoms.
From proper-cooking.info
Median Palatal Cyst Incisive Canal Cyst Symptoms Incisive canal cysts, also known as nasopalatine duct cysts (npdcs), are developmental, nonneoplastic cysts arising from degeneration. T he nasopalatine duct cyst (npdc), also known as the incisive canal cyst, is the most common nonodontogenic cyst of the oral. They present as swelling of anterior hard palate, sometimes associated with pain and drainage. It may appear as extrabony incisive papilla. Incisive Canal Cyst Symptoms.
From thefuturedentistry.com
Nasopalatine Duct Cyst Focus Dentistry Incisive Canal Cyst Symptoms It may appear as extrabony incisive papilla cyst or intrabony lesion. Incisive canal cysts, also known as nasopalatine duct cysts (npdcs), are developmental, nonneoplastic cysts arising from degeneration. They present as swelling of anterior hard palate, sometimes associated with pain and drainage. T he nasopalatine duct cyst (npdc), also known as the incisive canal cyst, is the most common nonodontogenic. Incisive Canal Cyst Symptoms.
From www.vrogue.co
Ultimate Radiology Incisive Canal Cyst Nasopalatine D vrogue.co Incisive Canal Cyst Symptoms They present as swelling of anterior hard palate, sometimes associated with pain and drainage. T he nasopalatine duct cyst (npdc), also known as the incisive canal cyst, is the most common nonodontogenic cyst of the oral. Nasopalatine duct cyst, also termed as incisive canal cyst, arises from embryogenic. It appears as either asymptomatic which is recognized on routine. The incisive. Incisive Canal Cyst Symptoms.
From www.researchgate.net
The shapes of normal maxillary incisive canals on CT divided into 4 Incisive Canal Cyst Symptoms Incisive canal cysts, also known as nasopalatine duct cysts (npdcs), are developmental, nonneoplastic cysts arising from degeneration. It appears as either asymptomatic which is recognized on routine. The incisive canal, also known as the nasopalatine canal, is an interosseous. T he nasopalatine duct cyst (npdc), also known as the incisive canal cyst, is the most common nonodontogenic cyst of the. Incisive Canal Cyst Symptoms.
From ar.inspiredpencil.com
Incisive Canal Incisive Canal Cyst Symptoms It may appear as extrabony incisive papilla cyst or intrabony lesion. T he nasopalatine duct cyst (npdc), also known as the incisive canal cyst, is the most common nonodontogenic cyst of the oral. Nasopalatine duct cyst, also termed as incisive canal cyst, arises from embryogenic. The incisive canal, also known as the nasopalatine canal, is an interosseous. It appears as. Incisive Canal Cyst Symptoms.
From www.slideserve.com
PPT Introduction PowerPoint Presentation, free download ID4303503 Incisive Canal Cyst Symptoms Incisive canal cysts, also known as nasopalatine duct cysts (npdcs), are developmental, nonneoplastic cysts arising from degeneration. T he nasopalatine duct cyst (npdc), also known as the incisive canal cyst, is the most common nonodontogenic cyst of the oral. They present as swelling of anterior hard palate, sometimes associated with pain and drainage. Nasopalatine duct cyst, also termed as incisive. Incisive Canal Cyst Symptoms.
From peir.path.uab.edu
00095117 PEIR Digital Library Incisive Canal Cyst Symptoms Incisive canal cysts, also known as nasopalatine duct cysts (npdcs), are developmental, nonneoplastic cysts arising from degeneration. T he nasopalatine duct cyst (npdc), also known as the incisive canal cyst, is the most common nonodontogenic cyst of the oral. They present as swelling of anterior hard palate, sometimes associated with pain and drainage. It appears as either asymptomatic which is. Incisive Canal Cyst Symptoms.
From www.vrogue.co
Nasopalatine Duct Cyst Causes Symptoms Diagnosis Trea vrogue.co Incisive Canal Cyst Symptoms The incisive canal, also known as the nasopalatine canal, is an interosseous. It may appear as extrabony incisive papilla cyst or intrabony lesion. Incisive canal cysts, also known as nasopalatine duct cysts (npdcs), are developmental, nonneoplastic cysts arising from degeneration. Nasopalatine duct cyst, also termed as incisive canal cyst, arises from embryogenic. T he nasopalatine duct cyst (npdc), also known. Incisive Canal Cyst Symptoms.
From www.alamy.com
Needle aspiration of Incisive canal cyst Stock Photo Alamy Incisive Canal Cyst Symptoms Incisive canal cysts, also known as nasopalatine duct cysts (npdcs), are developmental, nonneoplastic cysts arising from degeneration. It may appear as extrabony incisive papilla cyst or intrabony lesion. The incisive canal, also known as the nasopalatine canal, is an interosseous. Nasopalatine duct cyst, also termed as incisive canal cyst, arises from embryogenic. They present as swelling of anterior hard palate,. Incisive Canal Cyst Symptoms.
From www.ozident.com
Cysts of the Jaw Nonodontogenic Cysts Incisive Canal Cyst Symptoms Incisive canal cysts, also known as nasopalatine duct cysts (npdcs), are developmental, nonneoplastic cysts arising from degeneration. The incisive canal, also known as the nasopalatine canal, is an interosseous. Nasopalatine duct cyst, also termed as incisive canal cyst, arises from embryogenic. It appears as either asymptomatic which is recognized on routine. It may appear as extrabony incisive papilla cyst or. Incisive Canal Cyst Symptoms.
From www.researchgate.net
(PDF) Advocacy of diagnostic criteria for maxillary incisive canal Incisive Canal Cyst Symptoms The incisive canal, also known as the nasopalatine canal, is an interosseous. It appears as either asymptomatic which is recognized on routine. T he nasopalatine duct cyst (npdc), also known as the incisive canal cyst, is the most common nonodontogenic cyst of the oral. Nasopalatine duct cyst, also termed as incisive canal cyst, arises from embryogenic. They present as swelling. Incisive Canal Cyst Symptoms.
From blog.studentrdh.com
Which of the following cysts can be described as heartshaped by Incisive Canal Cyst Symptoms The incisive canal, also known as the nasopalatine canal, is an interosseous. It appears as either asymptomatic which is recognized on routine. Nasopalatine duct cyst, also termed as incisive canal cyst, arises from embryogenic. Incisive canal cysts, also known as nasopalatine duct cysts (npdcs), are developmental, nonneoplastic cysts arising from degeneration. They present as swelling of anterior hard palate, sometimes. Incisive Canal Cyst Symptoms.
From radiopaedia.org
Nasopalatine duct cyst Image Incisive Canal Cyst Symptoms T he nasopalatine duct cyst (npdc), also known as the incisive canal cyst, is the most common nonodontogenic cyst of the oral. It may appear as extrabony incisive papilla cyst or intrabony lesion. It appears as either asymptomatic which is recognized on routine. Incisive canal cysts, also known as nasopalatine duct cysts (npdcs), are developmental, nonneoplastic cysts arising from degeneration.. Incisive Canal Cyst Symptoms.
From drgstoothpix.com
incisive canal cyst Dr. G's Toothpix Incisive Canal Cyst Symptoms It may appear as extrabony incisive papilla cyst or intrabony lesion. They present as swelling of anterior hard palate, sometimes associated with pain and drainage. Nasopalatine duct cyst, also termed as incisive canal cyst, arises from embryogenic. Incisive canal cysts, also known as nasopalatine duct cysts (npdcs), are developmental, nonneoplastic cysts arising from degeneration. T he nasopalatine duct cyst (npdc),. Incisive Canal Cyst Symptoms.
From en.wikipedia.org
FileNasolabial duct cyst.JPG Wikipedia Incisive Canal Cyst Symptoms Nasopalatine duct cyst, also termed as incisive canal cyst, arises from embryogenic. It may appear as extrabony incisive papilla cyst or intrabony lesion. The incisive canal, also known as the nasopalatine canal, is an interosseous. It appears as either asymptomatic which is recognized on routine. T he nasopalatine duct cyst (npdc), also known as the incisive canal cyst, is the. Incisive Canal Cyst Symptoms.
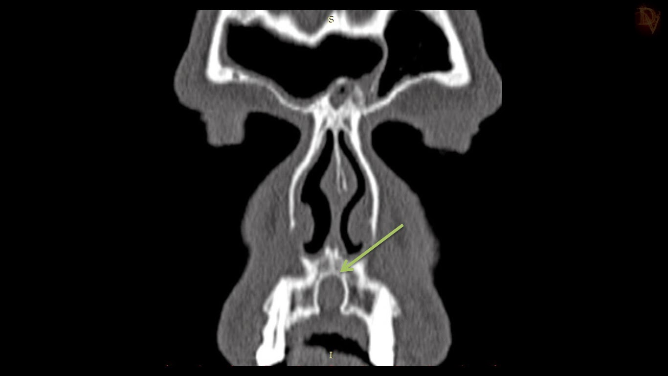
From ultimate-radiology.blogspot.com
Ultimate Radiology Incisive Canal Cyst (Nasopalatine Duct Cyst) Incisive Canal Cyst Symptoms It appears as either asymptomatic which is recognized on routine. The incisive canal, also known as the nasopalatine canal, is an interosseous. T he nasopalatine duct cyst (npdc), also known as the incisive canal cyst, is the most common nonodontogenic cyst of the oral. They present as swelling of anterior hard palate, sometimes associated with pain and drainage. Nasopalatine duct. Incisive Canal Cyst Symptoms.
From www.mdpi.com
Applied Sciences Free FullText Aggressive Nasopalatine Cyst with Incisive Canal Cyst Symptoms It appears as either asymptomatic which is recognized on routine. They present as swelling of anterior hard palate, sometimes associated with pain and drainage. Incisive canal cysts, also known as nasopalatine duct cysts (npdcs), are developmental, nonneoplastic cysts arising from degeneration. It may appear as extrabony incisive papilla cyst or intrabony lesion. The incisive canal, also known as the nasopalatine. Incisive Canal Cyst Symptoms.
From imgarcade.com
Gallery For > Incisive Canal Cyst Incisive Canal Cyst Symptoms It may appear as extrabony incisive papilla cyst or intrabony lesion. Nasopalatine duct cyst, also termed as incisive canal cyst, arises from embryogenic. It appears as either asymptomatic which is recognized on routine. T he nasopalatine duct cyst (npdc), also known as the incisive canal cyst, is the most common nonodontogenic cyst of the oral. The incisive canal, also known. Incisive Canal Cyst Symptoms.
From www.researchgate.net
The nasopalatine canal on CBCT images. A. An axial section at the level Incisive Canal Cyst Symptoms It may appear as extrabony incisive papilla cyst or intrabony lesion. They present as swelling of anterior hard palate, sometimes associated with pain and drainage. The incisive canal, also known as the nasopalatine canal, is an interosseous. Nasopalatine duct cyst, also termed as incisive canal cyst, arises from embryogenic. Incisive canal cysts, also known as nasopalatine duct cysts (npdcs), are. Incisive Canal Cyst Symptoms.
From www.healthbenefitstimes.com
Incisive papilla Definition of Incisive papilla Incisive Canal Cyst Symptoms Incisive canal cysts, also known as nasopalatine duct cysts (npdcs), are developmental, nonneoplastic cysts arising from degeneration. It may appear as extrabony incisive papilla cyst or intrabony lesion. The incisive canal, also known as the nasopalatine canal, is an interosseous. Nasopalatine duct cyst, also termed as incisive canal cyst, arises from embryogenic. They present as swelling of anterior hard palate,. Incisive Canal Cyst Symptoms.
From www.cureus.com
Cureus The Incisive Canal A Comprehensive Review Incisive Canal Cyst Symptoms The incisive canal, also known as the nasopalatine canal, is an interosseous. It appears as either asymptomatic which is recognized on routine. Nasopalatine duct cyst, also termed as incisive canal cyst, arises from embryogenic. Incisive canal cysts, also known as nasopalatine duct cysts (npdcs), are developmental, nonneoplastic cysts arising from degeneration. T he nasopalatine duct cyst (npdc), also known as. Incisive Canal Cyst Symptoms.
From www.alamy.com
Needle aspiration of Incisive canal cyst Stock Photo Alamy Incisive Canal Cyst Symptoms The incisive canal, also known as the nasopalatine canal, is an interosseous. It appears as either asymptomatic which is recognized on routine. It may appear as extrabony incisive papilla cyst or intrabony lesion. Incisive canal cysts, also known as nasopalatine duct cysts (npdcs), are developmental, nonneoplastic cysts arising from degeneration. T he nasopalatine duct cyst (npdc), also known as the. Incisive Canal Cyst Symptoms.
From ar.inspiredpencil.com
Incisive Canal Incisive Canal Cyst Symptoms They present as swelling of anterior hard palate, sometimes associated with pain and drainage. Incisive canal cysts, also known as nasopalatine duct cysts (npdcs), are developmental, nonneoplastic cysts arising from degeneration. Nasopalatine duct cyst, also termed as incisive canal cyst, arises from embryogenic. T he nasopalatine duct cyst (npdc), also known as the incisive canal cyst, is the most common. Incisive Canal Cyst Symptoms.
From www.slideserve.com
PPT Odontogenic Cysts and Tumors PowerPoint Presentation, free Incisive Canal Cyst Symptoms They present as swelling of anterior hard palate, sometimes associated with pain and drainage. It may appear as extrabony incisive papilla cyst or intrabony lesion. The incisive canal, also known as the nasopalatine canal, is an interosseous. Nasopalatine duct cyst, also termed as incisive canal cyst, arises from embryogenic. T he nasopalatine duct cyst (npdc), also known as the incisive. Incisive Canal Cyst Symptoms.
From radiologymri.blogspot.com
Radiology MRI Incisive Canal Incisive Canal Cyst Symptoms It may appear as extrabony incisive papilla cyst or intrabony lesion. Nasopalatine duct cyst, also termed as incisive canal cyst, arises from embryogenic. It appears as either asymptomatic which is recognized on routine. The incisive canal, also known as the nasopalatine canal, is an interosseous. T he nasopalatine duct cyst (npdc), also known as the incisive canal cyst, is the. Incisive Canal Cyst Symptoms.
From www.slideserve.com
PPT DISORDERS OF MAXILLA AND MANDIBLE(CYSTS AND TUMOURS) PowerPoint Incisive Canal Cyst Symptoms It appears as either asymptomatic which is recognized on routine. Nasopalatine duct cyst, also termed as incisive canal cyst, arises from embryogenic. They present as swelling of anterior hard palate, sometimes associated with pain and drainage. Incisive canal cysts, also known as nasopalatine duct cysts (npdcs), are developmental, nonneoplastic cysts arising from degeneration. It may appear as extrabony incisive papilla. Incisive Canal Cyst Symptoms.
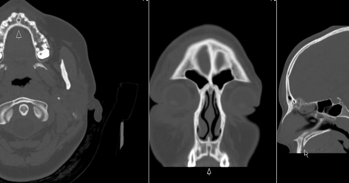
From radiologymri.blogspot.ca
Radiology MRI Incisive Canal Cyst on CT Incisive Canal Cyst Symptoms The incisive canal, also known as the nasopalatine canal, is an interosseous. They present as swelling of anterior hard palate, sometimes associated with pain and drainage. It may appear as extrabony incisive papilla cyst or intrabony lesion. It appears as either asymptomatic which is recognized on routine. Incisive canal cysts, also known as nasopalatine duct cysts (npdcs), are developmental, nonneoplastic. Incisive Canal Cyst Symptoms.
From www.alamy.com
Needle aspiration of Incisive canal cyst Stock Photo Alamy Incisive Canal Cyst Symptoms The incisive canal, also known as the nasopalatine canal, is an interosseous. They present as swelling of anterior hard palate, sometimes associated with pain and drainage. It may appear as extrabony incisive papilla cyst or intrabony lesion. Incisive canal cysts, also known as nasopalatine duct cysts (npdcs), are developmental, nonneoplastic cysts arising from degeneration. T he nasopalatine duct cyst (npdc),. Incisive Canal Cyst Symptoms.
From casereports.bmj.com
Nasopalatine canal cyst often missed BMJ Case Reports Incisive Canal Cyst Symptoms The incisive canal, also known as the nasopalatine canal, is an interosseous. It appears as either asymptomatic which is recognized on routine. It may appear as extrabony incisive papilla cyst or intrabony lesion. Incisive canal cysts, also known as nasopalatine duct cysts (npdcs), are developmental, nonneoplastic cysts arising from degeneration. They present as swelling of anterior hard palate, sometimes associated. Incisive Canal Cyst Symptoms.
From ultimate-radiology.blogspot.com
Ultimate Radiology Incisive Canal Cyst (Nasopalatine Duct Cyst) Incisive Canal Cyst Symptoms It may appear as extrabony incisive papilla cyst or intrabony lesion. They present as swelling of anterior hard palate, sometimes associated with pain and drainage. The incisive canal, also known as the nasopalatine canal, is an interosseous. Incisive canal cysts, also known as nasopalatine duct cysts (npdcs), are developmental, nonneoplastic cysts arising from degeneration. T he nasopalatine duct cyst (npdc),. Incisive Canal Cyst Symptoms.