Animal Model Exp Med Impact Factor . It's evaluated in the year 2023. anim model exp med. animal models and experimental medicine latest impact if is 3.91. animal models and experimental medicine is a laboratory animal science journal covering animal models & related topics, including. animal models and experimental medicine is a new open access journal dedicated to disseminating research and contemporary. In may 2022 wiley became a signatory of the. View on wiley online library. Animal models and experimental medicine.
from benthambooks.com
anim model exp med. Animal models and experimental medicine. animal models and experimental medicine is a new open access journal dedicated to disseminating research and contemporary. In may 2022 wiley became a signatory of the. It's evaluated in the year 2023. View on wiley online library. animal models and experimental medicine is a laboratory animal science journal covering animal models & related topics, including. animal models and experimental medicine latest impact if is 3.91.
Animal Models In Experimental Medicine
Animal Model Exp Med Impact Factor animal models and experimental medicine latest impact if is 3.91. View on wiley online library. Animal models and experimental medicine. animal models and experimental medicine is a laboratory animal science journal covering animal models & related topics, including. animal models and experimental medicine latest impact if is 3.91. anim model exp med. It's evaluated in the year 2023. animal models and experimental medicine is a new open access journal dedicated to disseminating research and contemporary. In may 2022 wiley became a signatory of the.
From ekamimaging.com
Animal Models for Human Disorders Ekam Imaging Animal Model Exp Med Impact Factor animal models and experimental medicine latest impact if is 3.91. anim model exp med. It's evaluated in the year 2023. Animal models and experimental medicine. View on wiley online library. animal models and experimental medicine is a laboratory animal science journal covering animal models & related topics, including. animal models and experimental medicine is a new. Animal Model Exp Med Impact Factor.
From www.researchgate.net
MMP1 expression pattern during HNSCC tumorigenesis in 4NQOinduced Animal Model Exp Med Impact Factor animal models and experimental medicine is a new open access journal dedicated to disseminating research and contemporary. Animal models and experimental medicine. animal models and experimental medicine latest impact if is 3.91. View on wiley online library. It's evaluated in the year 2023. In may 2022 wiley became a signatory of the. animal models and experimental medicine. Animal Model Exp Med Impact Factor.
From studyposter.blogspot.com
Animal Models For The Study Of Human Disease Study Poster Animal Model Exp Med Impact Factor animal models and experimental medicine is a new open access journal dedicated to disseminating research and contemporary. It's evaluated in the year 2023. animal models and experimental medicine is a laboratory animal science journal covering animal models & related topics, including. View on wiley online library. anim model exp med. In may 2022 wiley became a signatory. Animal Model Exp Med Impact Factor.
From pericles.pericles-prod.literatumonline.com
Animal Models and Experimental Medicine Animal Model Exp Med Impact Factor View on wiley online library. animal models and experimental medicine is a new open access journal dedicated to disseminating research and contemporary. It's evaluated in the year 2023. In may 2022 wiley became a signatory of the. anim model exp med. animal models and experimental medicine is a laboratory animal science journal covering animal models & related. Animal Model Exp Med Impact Factor.
From dxotodqwk.blob.core.windows.net
Animal Models For Experimental at Steven Whitworth blog Animal Model Exp Med Impact Factor animal models and experimental medicine is a new open access journal dedicated to disseminating research and contemporary. anim model exp med. Animal models and experimental medicine. It's evaluated in the year 2023. animal models and experimental medicine latest impact if is 3.91. In may 2022 wiley became a signatory of the. View on wiley online library. . Animal Model Exp Med Impact Factor.
From www.mdpi.com
Animals Free FullText The Importance of Animal Models in Animal Model Exp Med Impact Factor animal models and experimental medicine is a new open access journal dedicated to disseminating research and contemporary. It's evaluated in the year 2023. Animal models and experimental medicine. In may 2022 wiley became a signatory of the. animal models and experimental medicine latest impact if is 3.91. View on wiley online library. animal models and experimental medicine. Animal Model Exp Med Impact Factor.
From zhuanlan.zhihu.com
小布新品|MCAO动物模型助力神经系统疾病药物治疗 知乎 Animal Model Exp Med Impact Factor View on wiley online library. animal models and experimental medicine is a new open access journal dedicated to disseminating research and contemporary. anim model exp med. It's evaluated in the year 2023. animal models and experimental medicine is a laboratory animal science journal covering animal models & related topics, including. Animal models and experimental medicine. In may. Animal Model Exp Med Impact Factor.
From www.dottdanielegabrovec.com
Microbiota intestinale e Alzheimer Animal Model Exp Med Impact Factor anim model exp med. Animal models and experimental medicine. animal models and experimental medicine is a laboratory animal science journal covering animal models & related topics, including. animal models and experimental medicine latest impact if is 3.91. animal models and experimental medicine is a new open access journal dedicated to disseminating research and contemporary. It's evaluated. Animal Model Exp Med Impact Factor.
From onlinelibrary.wiley.com
Our endeavor to write a new chapter in the development of laboratory Animal Model Exp Med Impact Factor animal models and experimental medicine latest impact if is 3.91. animal models and experimental medicine is a laboratory animal science journal covering animal models & related topics, including. View on wiley online library. Animal models and experimental medicine. animal models and experimental medicine is a new open access journal dedicated to disseminating research and contemporary. anim. Animal Model Exp Med Impact Factor.
From conductscience.com
Animal Models of Traumatic Brain Injury Maze Engineers Animal Model Exp Med Impact Factor Animal models and experimental medicine. anim model exp med. animal models and experimental medicine latest impact if is 3.91. animal models and experimental medicine is a laboratory animal science journal covering animal models & related topics, including. In may 2022 wiley became a signatory of the. animal models and experimental medicine is a new open access. Animal Model Exp Med Impact Factor.
From dxotodqwk.blob.core.windows.net
Animal Models For Experimental at Steven Whitworth blog Animal Model Exp Med Impact Factor animal models and experimental medicine is a laboratory animal science journal covering animal models & related topics, including. It's evaluated in the year 2023. Animal models and experimental medicine. anim model exp med. In may 2022 wiley became a signatory of the. animal models and experimental medicine is a new open access journal dedicated to disseminating research. Animal Model Exp Med Impact Factor.
From www.desertcart.co.za
Buy Educational Model Anatomy Model of Perch Experimental Model of Animal Model Exp Med Impact Factor In may 2022 wiley became a signatory of the. anim model exp med. Animal models and experimental medicine. View on wiley online library. animal models and experimental medicine is a new open access journal dedicated to disseminating research and contemporary. animal models and experimental medicine latest impact if is 3.91. animal models and experimental medicine is. Animal Model Exp Med Impact Factor.
From www.researchgate.net
Experimentation studies in animal models of SARSCoV2 infection Animal Model Exp Med Impact Factor Animal models and experimental medicine. animal models and experimental medicine is a new open access journal dedicated to disseminating research and contemporary. View on wiley online library. animal models and experimental medicine is a laboratory animal science journal covering animal models & related topics, including. animal models and experimental medicine latest impact if is 3.91. In may. Animal Model Exp Med Impact Factor.
From www.cbsnews.com
Animal experimentation up 73 percent, study says CBS News Animal Model Exp Med Impact Factor anim model exp med. animal models and experimental medicine is a laboratory animal science journal covering animal models & related topics, including. In may 2022 wiley became a signatory of the. animal models and experimental medicine latest impact if is 3.91. animal models and experimental medicine is a new open access journal dedicated to disseminating research. Animal Model Exp Med Impact Factor.
From www.researchgate.net
Experimental design. In the current study, two different animal models Animal Model Exp Med Impact Factor Animal models and experimental medicine. animal models and experimental medicine is a laboratory animal science journal covering animal models & related topics, including. It's evaluated in the year 2023. animal models and experimental medicine is a new open access journal dedicated to disseminating research and contemporary. In may 2022 wiley became a signatory of the. View on wiley. Animal Model Exp Med Impact Factor.
From www.youtube.com
Why we use animal models in Biological research ? YouTube Animal Model Exp Med Impact Factor Animal models and experimental medicine. In may 2022 wiley became a signatory of the. animal models and experimental medicine latest impact if is 3.91. anim model exp med. animal models and experimental medicine is a new open access journal dedicated to disseminating research and contemporary. View on wiley online library. It's evaluated in the year 2023. . Animal Model Exp Med Impact Factor.
From min.news
EXP BIOL MED impact factor, is a few districts iMedia Animal Model Exp Med Impact Factor anim model exp med. animal models and experimental medicine latest impact if is 3.91. It's evaluated in the year 2023. animal models and experimental medicine is a laboratory animal science journal covering animal models & related topics, including. In may 2022 wiley became a signatory of the. View on wiley online library. animal models and experimental. Animal Model Exp Med Impact Factor.
From www.tmd-cea.jp
RESEARCH Deapartment of Experimental Animal Model for Human Disease Animal Model Exp Med Impact Factor Animal models and experimental medicine. In may 2022 wiley became a signatory of the. anim model exp med. animal models and experimental medicine latest impact if is 3.91. It's evaluated in the year 2023. View on wiley online library. animal models and experimental medicine is a new open access journal dedicated to disseminating research and contemporary. . Animal Model Exp Med Impact Factor.
From onlinelibrary.wiley.com
Animal models for SARS‐CoV‐2 infection and pathology Bi 2021 Animal Model Exp Med Impact Factor View on wiley online library. animal models and experimental medicine is a new open access journal dedicated to disseminating research and contemporary. animal models and experimental medicine is a laboratory animal science journal covering animal models & related topics, including. It's evaluated in the year 2023. anim model exp med. Animal models and experimental medicine. animal. Animal Model Exp Med Impact Factor.
From www.mdpi.com
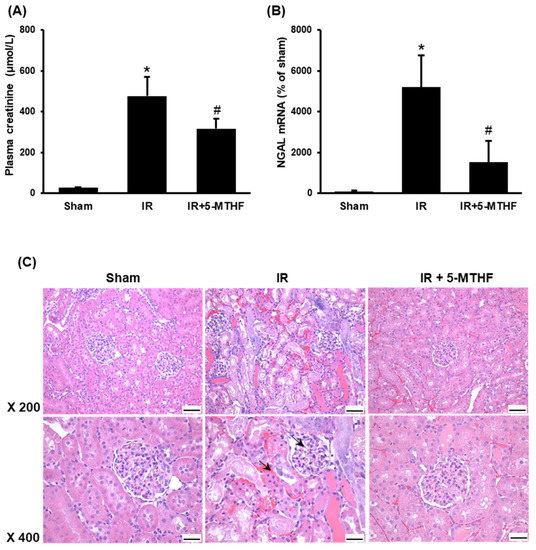
Antioxidants Free FullText 5Methyltetrahydrofolate Attenuates Animal Model Exp Med Impact Factor It's evaluated in the year 2023. View on wiley online library. In may 2022 wiley became a signatory of the. animal models and experimental medicine is a laboratory animal science journal covering animal models & related topics, including. animal models and experimental medicine is a new open access journal dedicated to disseminating research and contemporary. anim model. Animal Model Exp Med Impact Factor.
From www.selleckchem.com
Caspase Inhibition Caspases Apoptosis Caspase Inhibitor Review Animal Model Exp Med Impact Factor View on wiley online library. animal models and experimental medicine is a laboratory animal science journal covering animal models & related topics, including. It's evaluated in the year 2023. animal models and experimental medicine latest impact if is 3.91. Animal models and experimental medicine. anim model exp med. In may 2022 wiley became a signatory of the.. Animal Model Exp Med Impact Factor.
From baike.baidu.com
Animal Models and Experimental Medicine_百度百科 Animal Model Exp Med Impact Factor animal models and experimental medicine latest impact if is 3.91. In may 2022 wiley became a signatory of the. anim model exp med. It's evaluated in the year 2023. Animal models and experimental medicine. View on wiley online library. animal models and experimental medicine is a laboratory animal science journal covering animal models & related topics, including.. Animal Model Exp Med Impact Factor.
From exowvkchx.blob.core.windows.net
Animal Models Of Covid19 at Rachel Carter blog Animal Model Exp Med Impact Factor In may 2022 wiley became a signatory of the. Animal models and experimental medicine. It's evaluated in the year 2023. anim model exp med. animal models and experimental medicine is a laboratory animal science journal covering animal models & related topics, including. View on wiley online library. animal models and experimental medicine latest impact if is 3.91.. Animal Model Exp Med Impact Factor.
From learningschoolvareschi6h.z13.web.core.windows.net
Science Experiments Involving Animals Animal Model Exp Med Impact Factor anim model exp med. animal models and experimental medicine is a new open access journal dedicated to disseminating research and contemporary. animal models and experimental medicine is a laboratory animal science journal covering animal models & related topics, including. In may 2022 wiley became a signatory of the. animal models and experimental medicine latest impact if. Animal Model Exp Med Impact Factor.
From worldanimalfoundation.org
Animal Testing Statistics EyeOpening Facts You Must Know! Animal Model Exp Med Impact Factor animal models and experimental medicine is a laboratory animal science journal covering animal models & related topics, including. It's evaluated in the year 2023. animal models and experimental medicine latest impact if is 3.91. animal models and experimental medicine is a new open access journal dedicated to disseminating research and contemporary. In may 2022 wiley became a. Animal Model Exp Med Impact Factor.
From zhuanlan.zhihu.com
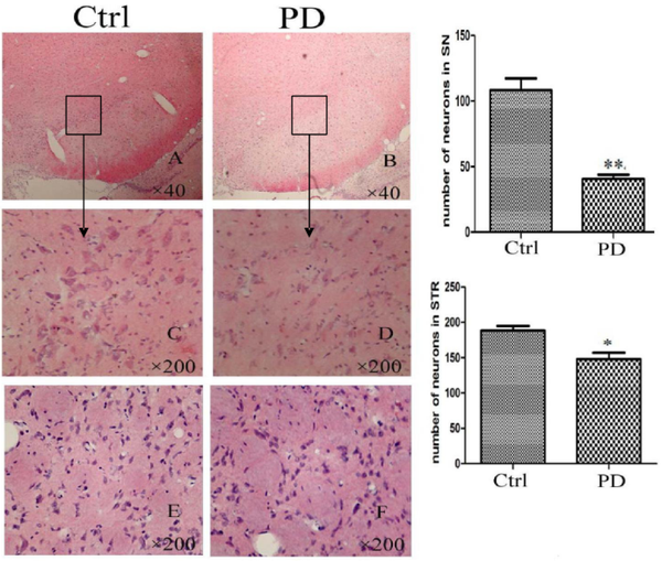
小布新品|PD动物模型助力神经系统疾病药物治疗 知乎 Animal Model Exp Med Impact Factor anim model exp med. It's evaluated in the year 2023. animal models and experimental medicine is a new open access journal dedicated to disseminating research and contemporary. Animal models and experimental medicine. View on wiley online library. animal models and experimental medicine latest impact if is 3.91. animal models and experimental medicine is a laboratory animal. Animal Model Exp Med Impact Factor.
From www.selleck.cn
Caspase抑制剂 Caspase Inhibitor Animal Model Exp Med Impact Factor anim model exp med. It's evaluated in the year 2023. View on wiley online library. In may 2022 wiley became a signatory of the. animal models and experimental medicine latest impact if is 3.91. Animal models and experimental medicine. animal models and experimental medicine is a new open access journal dedicated to disseminating research and contemporary. . Animal Model Exp Med Impact Factor.
From zhuanlan.zhihu.com
小布新品|MCAO动物模型助力神经系统疾病药物治疗 知乎 Animal Model Exp Med Impact Factor animal models and experimental medicine is a new open access journal dedicated to disseminating research and contemporary. Animal models and experimental medicine. In may 2022 wiley became a signatory of the. It's evaluated in the year 2023. anim model exp med. animal models and experimental medicine is a laboratory animal science journal covering animal models & related. Animal Model Exp Med Impact Factor.
From benthambooks.com
Animal Models In Experimental Medicine Animal Model Exp Med Impact Factor Animal models and experimental medicine. animal models and experimental medicine is a new open access journal dedicated to disseminating research and contemporary. View on wiley online library. It's evaluated in the year 2023. In may 2022 wiley became a signatory of the. animal models and experimental medicine is a laboratory animal science journal covering animal models & related. Animal Model Exp Med Impact Factor.
From www.mdpi.com
JCM Free FullText Potential Biomarkers in Experimental Animal Animal Model Exp Med Impact Factor animal models and experimental medicine is a laboratory animal science journal covering animal models & related topics, including. animal models and experimental medicine is a new open access journal dedicated to disseminating research and contemporary. It's evaluated in the year 2023. anim model exp med. Animal models and experimental medicine. View on wiley online library. In may. Animal Model Exp Med Impact Factor.
From www.frontiersin.org
Frontiers Advances in animal models of obstructive sleep apnea Animal Model Exp Med Impact Factor anim model exp med. In may 2022 wiley became a signatory of the. View on wiley online library. Animal models and experimental medicine. animal models and experimental medicine latest impact if is 3.91. It's evaluated in the year 2023. animal models and experimental medicine is a laboratory animal science journal covering animal models & related topics, including.. Animal Model Exp Med Impact Factor.
From zhuanlan.zhihu.com
小布新品|PD动物模型助力神经系统疾病药物治疗 知乎 Animal Model Exp Med Impact Factor Animal models and experimental medicine. In may 2022 wiley became a signatory of the. It's evaluated in the year 2023. animal models and experimental medicine is a new open access journal dedicated to disseminating research and contemporary. View on wiley online library. animal models and experimental medicine is a laboratory animal science journal covering animal models & related. Animal Model Exp Med Impact Factor.
From onlinelibrary.wiley.com
Clinical and Experimental Pharmacology and Physiology Wiley Online Animal Model Exp Med Impact Factor In may 2022 wiley became a signatory of the. anim model exp med. animal models and experimental medicine is a new open access journal dedicated to disseminating research and contemporary. animal models and experimental medicine is a laboratory animal science journal covering animal models & related topics, including. View on wiley online library. It's evaluated in the. Animal Model Exp Med Impact Factor.
From www.cell.com
Obesity and metabolic dysfunction drive sexassociated differential Animal Model Exp Med Impact Factor In may 2022 wiley became a signatory of the. It's evaluated in the year 2023. animal models and experimental medicine is a new open access journal dedicated to disseminating research and contemporary. animal models and experimental medicine is a laboratory animal science journal covering animal models & related topics, including. animal models and experimental medicine latest impact. Animal Model Exp Med Impact Factor.
From www.selleckchem.com
Lenvatinib (E7080) ≥99(HPLC) Selleck VEGFR inhibitor QCFile Animal Model Exp Med Impact Factor anim model exp med. animal models and experimental medicine latest impact if is 3.91. View on wiley online library. animal models and experimental medicine is a laboratory animal science journal covering animal models & related topics, including. animal models and experimental medicine is a new open access journal dedicated to disseminating research and contemporary. In may. Animal Model Exp Med Impact Factor.