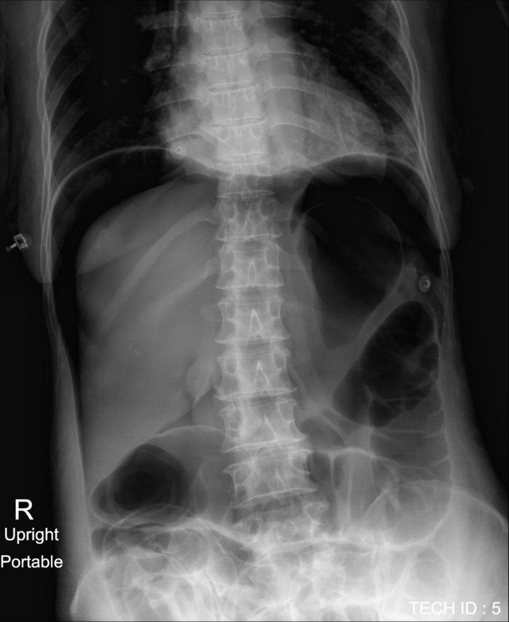
Lucent Liver Sign X Ray . Rigler's sign — air outlining both sides of the bowel wall. Rigler's sign — air outlining both sides of the bowel wall. While originally described in infants as a clue to pneumoperitoneum visible on supine abdominal radiographs [1], extraluminal gas. The lucent liver sign is represented by a reduction of hepatic radiodensity on supine radiograph when there is a collection of free. On the supine radiographs, the blacker density of the large intraperitoneal free gas anterior to the ventral. The rigler sign is identified with air present on both sides of the abdominal wall (arrowhead). The lucent liver sign is identified.
from www.emnote.org
Rigler's sign — air outlining both sides of the bowel wall. The lucent liver sign is represented by a reduction of hepatic radiodensity on supine radiograph when there is a collection of free. The rigler sign is identified with air present on both sides of the abdominal wall (arrowhead). Rigler's sign — air outlining both sides of the bowel wall. The lucent liver sign is identified. While originally described in infants as a clue to pneumoperitoneum visible on supine abdominal radiographs [1], extraluminal gas. On the supine radiographs, the blacker density of the large intraperitoneal free gas anterior to the ventral.
EMNote
Lucent Liver Sign X Ray On the supine radiographs, the blacker density of the large intraperitoneal free gas anterior to the ventral. The lucent liver sign is represented by a reduction of hepatic radiodensity on supine radiograph when there is a collection of free. The rigler sign is identified with air present on both sides of the abdominal wall (arrowhead). Rigler's sign — air outlining both sides of the bowel wall. On the supine radiographs, the blacker density of the large intraperitoneal free gas anterior to the ventral. Rigler's sign — air outlining both sides of the bowel wall. While originally described in infants as a clue to pneumoperitoneum visible on supine abdominal radiographs [1], extraluminal gas. The lucent liver sign is identified.
From epos.myesr.org
EPOS™ Lucent Liver Sign X Ray The rigler sign is identified with air present on both sides of the abdominal wall (arrowhead). On the supine radiographs, the blacker density of the large intraperitoneal free gas anterior to the ventral. Rigler's sign — air outlining both sides of the bowel wall. The lucent liver sign is represented by a reduction of hepatic radiodensity on supine radiograph when. Lucent Liver Sign X Ray.
From slides.com
Abdomen Case 7 Lucent Liver Sign X Ray Rigler's sign — air outlining both sides of the bowel wall. The lucent liver sign is represented by a reduction of hepatic radiodensity on supine radiograph when there is a collection of free. Rigler's sign — air outlining both sides of the bowel wall. On the supine radiographs, the blacker density of the large intraperitoneal free gas anterior to the. Lucent Liver Sign X Ray.
From www.researchgate.net
8Examples of free air. A Abdominal radiograph demonstrating massive Lucent Liver Sign X Ray Rigler's sign — air outlining both sides of the bowel wall. On the supine radiographs, the blacker density of the large intraperitoneal free gas anterior to the ventral. While originally described in infants as a clue to pneumoperitoneum visible on supine abdominal radiographs [1], extraluminal gas. The lucent liver sign is identified. Rigler's sign — air outlining both sides of. Lucent Liver Sign X Ray.
From www.cghjournal.org
Three Signs of Pneumoperitoneum on a Supine Radiograph Clinical Lucent Liver Sign X Ray On the supine radiographs, the blacker density of the large intraperitoneal free gas anterior to the ventral. Rigler's sign — air outlining both sides of the bowel wall. The rigler sign is identified with air present on both sides of the abdominal wall (arrowhead). While originally described in infants as a clue to pneumoperitoneum visible on supine abdominal radiographs [1],. Lucent Liver Sign X Ray.
From www.emnote.org
EMNote Lucent Liver Sign X Ray Rigler's sign — air outlining both sides of the bowel wall. The rigler sign is identified with air present on both sides of the abdominal wall (arrowhead). Rigler's sign — air outlining both sides of the bowel wall. The lucent liver sign is represented by a reduction of hepatic radiodensity on supine radiograph when there is a collection of free.. Lucent Liver Sign X Ray.
From www.wikiradiography.net
Pneumoperitoneum wikiRadiography Lucent Liver Sign X Ray Rigler's sign — air outlining both sides of the bowel wall. While originally described in infants as a clue to pneumoperitoneum visible on supine abdominal radiographs [1], extraluminal gas. The rigler sign is identified with air present on both sides of the abdominal wall (arrowhead). Rigler's sign — air outlining both sides of the bowel wall. The lucent liver sign. Lucent Liver Sign X Ray.
From epos.myesr.org
EPOS™ Lucent Liver Sign X Ray The lucent liver sign is identified. The rigler sign is identified with air present on both sides of the abdominal wall (arrowhead). The lucent liver sign is represented by a reduction of hepatic radiodensity on supine radiograph when there is a collection of free. Rigler's sign — air outlining both sides of the bowel wall. While originally described in infants. Lucent Liver Sign X Ray.
From cartoondealer.com
Xray CT Scan Of A Cat Liver Stock Photo 165757068 Lucent Liver Sign X Ray The lucent liver sign is identified. Rigler's sign — air outlining both sides of the bowel wall. The lucent liver sign is represented by a reduction of hepatic radiodensity on supine radiograph when there is a collection of free. While originally described in infants as a clue to pneumoperitoneum visible on supine abdominal radiographs [1], extraluminal gas. The rigler sign. Lucent Liver Sign X Ray.
From www.bmj.com
Plain radiograph in a neonate with abdominal distension The BMJ Lucent Liver Sign X Ray The lucent liver sign is identified. While originally described in infants as a clue to pneumoperitoneum visible on supine abdominal radiographs [1], extraluminal gas. The rigler sign is identified with air present on both sides of the abdominal wall (arrowhead). The lucent liver sign is represented by a reduction of hepatic radiodensity on supine radiograph when there is a collection. Lucent Liver Sign X Ray.
From www.researchgate.net
PA chest Xray showing linear lucencies projected over the upper Lucent Liver Sign X Ray On the supine radiographs, the blacker density of the large intraperitoneal free gas anterior to the ventral. Rigler's sign — air outlining both sides of the bowel wall. The lucent liver sign is represented by a reduction of hepatic radiodensity on supine radiograph when there is a collection of free. The rigler sign is identified with air present on both. Lucent Liver Sign X Ray.
From www.reddit.com
Dome sign and Rigler sign r/Medpedia Lucent Liver Sign X Ray Rigler's sign — air outlining both sides of the bowel wall. The lucent liver sign is identified. While originally described in infants as a clue to pneumoperitoneum visible on supine abdominal radiographs [1], extraluminal gas. Rigler's sign — air outlining both sides of the bowel wall. The lucent liver sign is represented by a reduction of hepatic radiodensity on supine. Lucent Liver Sign X Ray.
From www.researchgate.net
Showing lucent air densities tracking through the right intercostal Lucent Liver Sign X Ray While originally described in infants as a clue to pneumoperitoneum visible on supine abdominal radiographs [1], extraluminal gas. The rigler sign is identified with air present on both sides of the abdominal wall (arrowhead). Rigler's sign — air outlining both sides of the bowel wall. The lucent liver sign is represented by a reduction of hepatic radiodensity on supine radiograph. Lucent Liver Sign X Ray.
From www.researchgate.net
Abdominal radiograph demonstrating the "colon cutoff" sign, indicated Lucent Liver Sign X Ray The lucent liver sign is represented by a reduction of hepatic radiodensity on supine radiograph when there is a collection of free. Rigler's sign — air outlining both sides of the bowel wall. On the supine radiographs, the blacker density of the large intraperitoneal free gas anterior to the ventral. The lucent liver sign is identified. Rigler's sign — air. Lucent Liver Sign X Ray.
From www.radiologymasterclass.co.uk
Abdominal Xray Abnormal soft tissues and bones Solid organs Lucent Liver Sign X Ray On the supine radiographs, the blacker density of the large intraperitoneal free gas anterior to the ventral. While originally described in infants as a clue to pneumoperitoneum visible on supine abdominal radiographs [1], extraluminal gas. Rigler's sign — air outlining both sides of the bowel wall. The rigler sign is identified with air present on both sides of the abdominal. Lucent Liver Sign X Ray.
From www.emnote.org
EMNote Lucent Liver Sign X Ray The lucent liver sign is identified. Rigler's sign — air outlining both sides of the bowel wall. Rigler's sign — air outlining both sides of the bowel wall. On the supine radiographs, the blacker density of the large intraperitoneal free gas anterior to the ventral. While originally described in infants as a clue to pneumoperitoneum visible on supine abdominal radiographs. Lucent Liver Sign X Ray.
From www.researchgate.net
Enlarged liver in straight Xray of abdomen. Download Scientific Diagram Lucent Liver Sign X Ray The rigler sign is identified with air present on both sides of the abdominal wall (arrowhead). The lucent liver sign is represented by a reduction of hepatic radiodensity on supine radiograph when there is a collection of free. On the supine radiographs, the blacker density of the large intraperitoneal free gas anterior to the ventral. The lucent liver sign is. Lucent Liver Sign X Ray.
From worlddesignbee.blogspot.com
Can You See Cancer On An X Ray Best Design Ideas Lucent Liver Sign X Ray Rigler's sign — air outlining both sides of the bowel wall. The lucent liver sign is identified. Rigler's sign — air outlining both sides of the bowel wall. The lucent liver sign is represented by a reduction of hepatic radiodensity on supine radiograph when there is a collection of free. While originally described in infants as a clue to pneumoperitoneum. Lucent Liver Sign X Ray.
From www.researchgate.net
Abdominal radiograph demonstrating air in the liver. Download Lucent Liver Sign X Ray On the supine radiographs, the blacker density of the large intraperitoneal free gas anterior to the ventral. The lucent liver sign is represented by a reduction of hepatic radiodensity on supine radiograph when there is a collection of free. The rigler sign is identified with air present on both sides of the abdominal wall (arrowhead). The lucent liver sign is. Lucent Liver Sign X Ray.
From www.sciencephoto.com
Enlarged liver, Xray Stock Image M170/0433 Science Photo Library Lucent Liver Sign X Ray The lucent liver sign is represented by a reduction of hepatic radiodensity on supine radiograph when there is a collection of free. While originally described in infants as a clue to pneumoperitoneum visible on supine abdominal radiographs [1], extraluminal gas. On the supine radiographs, the blacker density of the large intraperitoneal free gas anterior to the ventral. Rigler's sign —. Lucent Liver Sign X Ray.
From slides.com
Abdomen Case 7 Lucent Liver Sign X Ray The lucent liver sign is represented by a reduction of hepatic radiodensity on supine radiograph when there is a collection of free. Rigler's sign — air outlining both sides of the bowel wall. While originally described in infants as a clue to pneumoperitoneum visible on supine abdominal radiographs [1], extraluminal gas. On the supine radiographs, the blacker density of the. Lucent Liver Sign X Ray.
From medicine.yale.edu
Abdominal XRAYS Lucent Liver Sign X Ray While originally described in infants as a clue to pneumoperitoneum visible on supine abdominal radiographs [1], extraluminal gas. Rigler's sign — air outlining both sides of the bowel wall. The lucent liver sign is represented by a reduction of hepatic radiodensity on supine radiograph when there is a collection of free. The lucent liver sign is identified. The rigler sign. Lucent Liver Sign X Ray.
From www.mdpi.com
Sensors Free FullText Weak Localization of Radiographic Lucent Liver Sign X Ray The rigler sign is identified with air present on both sides of the abdominal wall (arrowhead). Rigler's sign — air outlining both sides of the bowel wall. While originally described in infants as a clue to pneumoperitoneum visible on supine abdominal radiographs [1], extraluminal gas. The lucent liver sign is identified. On the supine radiographs, the blacker density of the. Lucent Liver Sign X Ray.
From www.universalmedicalinc.com
Phillips Safety SIGNLEDXRAY XRay In Use LED Radiation Warning Sign Lucent Liver Sign X Ray The lucent liver sign is represented by a reduction of hepatic radiodensity on supine radiograph when there is a collection of free. The lucent liver sign is identified. On the supine radiographs, the blacker density of the large intraperitoneal free gas anterior to the ventral. Rigler's sign — air outlining both sides of the bowel wall. Rigler's sign — air. Lucent Liver Sign X Ray.
From www.writework.com
Gall Stones WriteWork Lucent Liver Sign X Ray On the supine radiographs, the blacker density of the large intraperitoneal free gas anterior to the ventral. Rigler's sign — air outlining both sides of the bowel wall. The lucent liver sign is identified. Rigler's sign — air outlining both sides of the bowel wall. The rigler sign is identified with air present on both sides of the abdominal wall. Lucent Liver Sign X Ray.
From www.pinterest.ca
Enlarged liver (Riedel lobe) Radiology Case Lucent Liver Sign X Ray Rigler's sign — air outlining both sides of the bowel wall. The lucent liver sign is identified. The lucent liver sign is represented by a reduction of hepatic radiodensity on supine radiograph when there is a collection of free. Rigler's sign — air outlining both sides of the bowel wall. While originally described in infants as a clue to pneumoperitoneum. Lucent Liver Sign X Ray.
From geekymedics.com
Chest Xray interpretation a structured approach Lucent Liver Sign X Ray While originally described in infants as a clue to pneumoperitoneum visible on supine abdominal radiographs [1], extraluminal gas. The lucent liver sign is represented by a reduction of hepatic radiodensity on supine radiograph when there is a collection of free. The lucent liver sign is identified. The rigler sign is identified with air present on both sides of the abdominal. Lucent Liver Sign X Ray.
From www.emergucate.com
Rigler’s sign Emergucate Lucent Liver Sign X Ray Rigler's sign — air outlining both sides of the bowel wall. While originally described in infants as a clue to pneumoperitoneum visible on supine abdominal radiographs [1], extraluminal gas. The lucent liver sign is represented by a reduction of hepatic radiodensity on supine radiograph when there is a collection of free. On the supine radiographs, the blacker density of the. Lucent Liver Sign X Ray.
From radiologycases.my
Continuous diaphragm sign Radiology Cases Lucent Liver Sign X Ray On the supine radiographs, the blacker density of the large intraperitoneal free gas anterior to the ventral. Rigler's sign — air outlining both sides of the bowel wall. Rigler's sign — air outlining both sides of the bowel wall. The lucent liver sign is identified. The lucent liver sign is represented by a reduction of hepatic radiodensity on supine radiograph. Lucent Liver Sign X Ray.
From www.pinterest.ca
Pin on Xrays Lucent Liver Sign X Ray Rigler's sign — air outlining both sides of the bowel wall. The rigler sign is identified with air present on both sides of the abdominal wall (arrowhead). The lucent liver sign is identified. On the supine radiographs, the blacker density of the large intraperitoneal free gas anterior to the ventral. Rigler's sign — air outlining both sides of the bowel. Lucent Liver Sign X Ray.
From www.sciencephoto.com
Silhouette sign, Xray Stock Image F036/5130 Science Photo Library Lucent Liver Sign X Ray While originally described in infants as a clue to pneumoperitoneum visible on supine abdominal radiographs [1], extraluminal gas. Rigler's sign — air outlining both sides of the bowel wall. The rigler sign is identified with air present on both sides of the abdominal wall (arrowhead). The lucent liver sign is identified. On the supine radiographs, the blacker density of the. Lucent Liver Sign X Ray.
From www.pinterest.com
Football sign (pneumoperitoneum) Radiology Reference Article Lucent Liver Sign X Ray The lucent liver sign is identified. The lucent liver sign is represented by a reduction of hepatic radiodensity on supine radiograph when there is a collection of free. Rigler's sign — air outlining both sides of the bowel wall. While originally described in infants as a clue to pneumoperitoneum visible on supine abdominal radiographs [1], extraluminal gas. Rigler's sign —. Lucent Liver Sign X Ray.
From ar.inspiredpencil.com
Enlarged Liver X Ray Lucent Liver Sign X Ray While originally described in infants as a clue to pneumoperitoneum visible on supine abdominal radiographs [1], extraluminal gas. Rigler's sign — air outlining both sides of the bowel wall. Rigler's sign — air outlining both sides of the bowel wall. The lucent liver sign is identified. The rigler sign is identified with air present on both sides of the abdominal. Lucent Liver Sign X Ray.
From www.researchgate.net
Chest radiograph showing a lucent area between the aorta and pulmonary Lucent Liver Sign X Ray The lucent liver sign is identified. While originally described in infants as a clue to pneumoperitoneum visible on supine abdominal radiographs [1], extraluminal gas. The lucent liver sign is represented by a reduction of hepatic radiodensity on supine radiograph when there is a collection of free. Rigler's sign — air outlining both sides of the bowel wall. Rigler's sign —. Lucent Liver Sign X Ray.
From www.researchgate.net
The Lucent Liver Sign Request PDF Lucent Liver Sign X Ray The lucent liver sign is identified. While originally described in infants as a clue to pneumoperitoneum visible on supine abdominal radiographs [1], extraluminal gas. Rigler's sign — air outlining both sides of the bowel wall. On the supine radiographs, the blacker density of the large intraperitoneal free gas anterior to the ventral. The lucent liver sign is represented by a. Lucent Liver Sign X Ray.
From www.cureus.com
Cureus Amebic Liver Abscess Complicated With a Pleural Effusion A Lucent Liver Sign X Ray While originally described in infants as a clue to pneumoperitoneum visible on supine abdominal radiographs [1], extraluminal gas. The lucent liver sign is identified. On the supine radiographs, the blacker density of the large intraperitoneal free gas anterior to the ventral. The rigler sign is identified with air present on both sides of the abdominal wall (arrowhead). Rigler's sign —. Lucent Liver Sign X Ray.