Composite Molding Teeth . What is the bioclear method, and how does injection molding fit in? The injection moulding technique with injectable composites, which became known to dentists worldwide due to the work of dr. Composite bonding teeth is the dental procedure in which a dentist applies composite resin to teeth to change the shape, colour and overall appearance of your smile. The injection moulding technique (imt) is a novel process ideal to treat clinical situations with challenging aesthetic demands, recreate. It involves shaping composite resin to your teeth, followed by hardening and polishing for a natural finish. What is composite bonding on teeth? Injection molding offers advantages of both modalities: Additive dentistry and preservation of tooth structure with strength, durability, and aesthetics.
from www.bioclearmatrix.com
What is composite bonding on teeth? The injection moulding technique with injectable composites, which became known to dentists worldwide due to the work of dr. Additive dentistry and preservation of tooth structure with strength, durability, and aesthetics. What is the bioclear method, and how does injection molding fit in? Composite bonding teeth is the dental procedure in which a dentist applies composite resin to teeth to change the shape, colour and overall appearance of your smile. The injection moulding technique (imt) is a novel process ideal to treat clinical situations with challenging aesthetic demands, recreate. It involves shaping composite resin to your teeth, followed by hardening and polishing for a natural finish. Injection molding offers advantages of both modalities:
Bioclear Composite Overmolding for PostOrthodontic Undersized Teeth
Composite Molding Teeth Injection molding offers advantages of both modalities: What is composite bonding on teeth? What is the bioclear method, and how does injection molding fit in? The injection moulding technique with injectable composites, which became known to dentists worldwide due to the work of dr. Additive dentistry and preservation of tooth structure with strength, durability, and aesthetics. It involves shaping composite resin to your teeth, followed by hardening and polishing for a natural finish. Injection molding offers advantages of both modalities: The injection moulding technique (imt) is a novel process ideal to treat clinical situations with challenging aesthetic demands, recreate. Composite bonding teeth is the dental procedure in which a dentist applies composite resin to teeth to change the shape, colour and overall appearance of your smile.
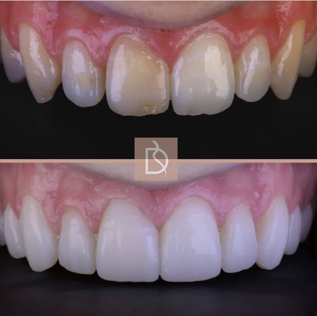
From www.dreamstime.com
Mold of Teeth Taken for Orthodontics Stock Image Image of mold, model Composite Molding Teeth The injection moulding technique with injectable composites, which became known to dentists worldwide due to the work of dr. What is composite bonding on teeth? Composite bonding teeth is the dental procedure in which a dentist applies composite resin to teeth to change the shape, colour and overall appearance of your smile. The injection moulding technique (imt) is a novel. Composite Molding Teeth.
From www.researchgate.net
(PDF) An Improved Direct Injection Technique With Flowable Composites Composite Molding Teeth Injection molding offers advantages of both modalities: Additive dentistry and preservation of tooth structure with strength, durability, and aesthetics. What is the bioclear method, and how does injection molding fit in? The injection moulding technique (imt) is a novel process ideal to treat clinical situations with challenging aesthetic demands, recreate. Composite bonding teeth is the dental procedure in which a. Composite Molding Teeth.
From www.dreamstime.com
Dental Orthodontic Tools. Multicolored Device for Making a Molded Composite Molding Teeth The injection moulding technique with injectable composites, which became known to dentists worldwide due to the work of dr. What is composite bonding on teeth? The injection moulding technique (imt) is a novel process ideal to treat clinical situations with challenging aesthetic demands, recreate. What is the bioclear method, and how does injection molding fit in? Additive dentistry and preservation. Composite Molding Teeth.
From www.newbydentalpractice.co.uk
What is composite bonding....? Scarborough Dentist and Implant Clinic Composite Molding Teeth What is the bioclear method, and how does injection molding fit in? Composite bonding teeth is the dental procedure in which a dentist applies composite resin to teeth to change the shape, colour and overall appearance of your smile. It involves shaping composite resin to your teeth, followed by hardening and polishing for a natural finish. The injection moulding technique. Composite Molding Teeth.
From www.youtube.com
Direct composite veneers Injection moulding technique Complete Composite Molding Teeth Injection molding offers advantages of both modalities: What is the bioclear method, and how does injection molding fit in? Additive dentistry and preservation of tooth structure with strength, durability, and aesthetics. The injection moulding technique (imt) is a novel process ideal to treat clinical situations with challenging aesthetic demands, recreate. Composite bonding teeth is the dental procedure in which a. Composite Molding Teeth.
From www.youtube.com
Anterior Composite Layering And Injection Moulding YouTube Composite Molding Teeth It involves shaping composite resin to your teeth, followed by hardening and polishing for a natural finish. Composite bonding teeth is the dental procedure in which a dentist applies composite resin to teeth to change the shape, colour and overall appearance of your smile. What is composite bonding on teeth? What is the bioclear method, and how does injection molding. Composite Molding Teeth.
From leeannbrady.com
Denture Impression Border Molding Lee Ann Brady DMD Composite Molding Teeth Injection molding offers advantages of both modalities: The injection moulding technique with injectable composites, which became known to dentists worldwide due to the work of dr. What is composite bonding on teeth? It involves shaping composite resin to your teeth, followed by hardening and polishing for a natural finish. What is the bioclear method, and how does injection molding fit. Composite Molding Teeth.
From www.dentaltown.com
Direct Composite Veneers by Dr. David Eshom Dentaltown Composite Molding Teeth Additive dentistry and preservation of tooth structure with strength, durability, and aesthetics. It involves shaping composite resin to your teeth, followed by hardening and polishing for a natural finish. The injection moulding technique (imt) is a novel process ideal to treat clinical situations with challenging aesthetic demands, recreate. Composite bonding teeth is the dental procedure in which a dentist applies. Composite Molding Teeth.
From blog.eurozahn.cz
Injectable moulding technique Composite Molding Teeth What is the bioclear method, and how does injection molding fit in? Injection molding offers advantages of both modalities: The injection moulding technique (imt) is a novel process ideal to treat clinical situations with challenging aesthetic demands, recreate. Additive dentistry and preservation of tooth structure with strength, durability, and aesthetics. It involves shaping composite resin to your teeth, followed by. Composite Molding Teeth.
From www.myzerodonto.com
[Injectable technique composite veneers anterior wear] MyZerodonto Composite Molding Teeth What is the bioclear method, and how does injection molding fit in? The injection moulding technique with injectable composites, which became known to dentists worldwide due to the work of dr. The injection moulding technique (imt) is a novel process ideal to treat clinical situations with challenging aesthetic demands, recreate. Additive dentistry and preservation of tooth structure with strength, durability,. Composite Molding Teeth.
From www.clinicianschoice.com
Using Injection Molding Composite Veneers as a Transitional Guide Composite Molding Teeth Injection molding offers advantages of both modalities: What is composite bonding on teeth? Composite bonding teeth is the dental procedure in which a dentist applies composite resin to teeth to change the shape, colour and overall appearance of your smile. The injection moulding technique with injectable composites, which became known to dentists worldwide due to the work of dr. It. Composite Molding Teeth.
From www.pinterest.com.mx
Building up teeth with composite an alternative to veneers and crowns Composite Molding Teeth What is the bioclear method, and how does injection molding fit in? Injection molding offers advantages of both modalities: Additive dentistry and preservation of tooth structure with strength, durability, and aesthetics. The injection moulding technique with injectable composites, which became known to dentists worldwide due to the work of dr. It involves shaping composite resin to your teeth, followed by. Composite Molding Teeth.
From avantdental.com.au
Free Dental inar Innovations in Dental Injection Moulding Avant Composite Molding Teeth Injection molding offers advantages of both modalities: The injection moulding technique with injectable composites, which became known to dentists worldwide due to the work of dr. It involves shaping composite resin to your teeth, followed by hardening and polishing for a natural finish. The injection moulding technique (imt) is a novel process ideal to treat clinical situations with challenging aesthetic. Composite Molding Teeth.
From www.myzerodonto.com
[Injectable technique composite veneers anterior wear] MyZerodonto Composite Molding Teeth Additive dentistry and preservation of tooth structure with strength, durability, and aesthetics. The injection moulding technique with injectable composites, which became known to dentists worldwide due to the work of dr. Composite bonding teeth is the dental procedure in which a dentist applies composite resin to teeth to change the shape, colour and overall appearance of your smile. What is. Composite Molding Teeth.
From www.dentalonthebanks.co.uk
Injection Moulded Composite Bonding Dental on the Banks Composite Molding Teeth The injection moulding technique (imt) is a novel process ideal to treat clinical situations with challenging aesthetic demands, recreate. It involves shaping composite resin to your teeth, followed by hardening and polishing for a natural finish. Additive dentistry and preservation of tooth structure with strength, durability, and aesthetics. Composite bonding teeth is the dental procedure in which a dentist applies. Composite Molding Teeth.
From www.dreamstime.com
Dental Orthodontic Tools. Multicolored Device for Making a Molded Composite Molding Teeth What is the bioclear method, and how does injection molding fit in? The injection moulding technique with injectable composites, which became known to dentists worldwide due to the work of dr. The injection moulding technique (imt) is a novel process ideal to treat clinical situations with challenging aesthetic demands, recreate. What is composite bonding on teeth? It involves shaping composite. Composite Molding Teeth.
From www.youtube.com
Injection Mould Composite Veneers YouTube Composite Molding Teeth The injection moulding technique (imt) is a novel process ideal to treat clinical situations with challenging aesthetic demands, recreate. Injection molding offers advantages of both modalities: It involves shaping composite resin to your teeth, followed by hardening and polishing for a natural finish. What is composite bonding on teeth? Additive dentistry and preservation of tooth structure with strength, durability, and. Composite Molding Teeth.
From www.mdpi.com
JFB Free FullText Accuracy of Direct Composite Veneers via Composite Molding Teeth Additive dentistry and preservation of tooth structure with strength, durability, and aesthetics. The injection moulding technique (imt) is a novel process ideal to treat clinical situations with challenging aesthetic demands, recreate. Composite bonding teeth is the dental procedure in which a dentist applies composite resin to teeth to change the shape, colour and overall appearance of your smile. The injection. Composite Molding Teeth.
From www.youtube.com
INJECTION MOLDING TECHNIQUE FLOWABLE COMPOSITE RESIN PALFIQUE SUPER LOW Composite Molding Teeth What is composite bonding on teeth? Additive dentistry and preservation of tooth structure with strength, durability, and aesthetics. The injection moulding technique with injectable composites, which became known to dentists worldwide due to the work of dr. Injection molding offers advantages of both modalities: Composite bonding teeth is the dental procedure in which a dentist applies composite resin to teeth. Composite Molding Teeth.
From www.researchgate.net
Injection of flowable composite resin for the restoration of the second Composite Molding Teeth Injection molding offers advantages of both modalities: Additive dentistry and preservation of tooth structure with strength, durability, and aesthetics. What is the bioclear method, and how does injection molding fit in? What is composite bonding on teeth? The injection moulding technique (imt) is a novel process ideal to treat clinical situations with challenging aesthetic demands, recreate. The injection moulding technique. Composite Molding Teeth.
From sdentalstudio.com
General Dentistry S Dental Studio Composite Molding Teeth What is the bioclear method, and how does injection molding fit in? Injection molding offers advantages of both modalities: Additive dentistry and preservation of tooth structure with strength, durability, and aesthetics. The injection moulding technique (imt) is a novel process ideal to treat clinical situations with challenging aesthetic demands, recreate. Composite bonding teeth is the dental procedure in which a. Composite Molding Teeth.
From www.yourdentistryguide.com
Dental Bonding Cost of Adhesive & Direct Composite Bonding Composite Molding Teeth Injection molding offers advantages of both modalities: Composite bonding teeth is the dental procedure in which a dentist applies composite resin to teeth to change the shape, colour and overall appearance of your smile. The injection moulding technique (imt) is a novel process ideal to treat clinical situations with challenging aesthetic demands, recreate. The injection moulding technique with injectable composites,. Composite Molding Teeth.
From www.dentalonthebanks.co.uk
Injection Moulded Composite Bonding Dental on the Banks Composite Molding Teeth The injection moulding technique (imt) is a novel process ideal to treat clinical situations with challenging aesthetic demands, recreate. The injection moulding technique with injectable composites, which became known to dentists worldwide due to the work of dr. What is the bioclear method, and how does injection molding fit in? Additive dentistry and preservation of tooth structure with strength, durability,. Composite Molding Teeth.
From www.youtube.com
Injection Molding Technique in Class II Composite Restoration YouTube Composite Molding Teeth It involves shaping composite resin to your teeth, followed by hardening and polishing for a natural finish. The injection moulding technique (imt) is a novel process ideal to treat clinical situations with challenging aesthetic demands, recreate. The injection moulding technique with injectable composites, which became known to dentists worldwide due to the work of dr. Composite bonding teeth is the. Composite Molding Teeth.
From www.youtube.com
How to mold teeth whitening trays at home YouTube Composite Molding Teeth Additive dentistry and preservation of tooth structure with strength, durability, and aesthetics. The injection moulding technique (imt) is a novel process ideal to treat clinical situations with challenging aesthetic demands, recreate. It involves shaping composite resin to your teeth, followed by hardening and polishing for a natural finish. What is composite bonding on teeth? Composite bonding teeth is the dental. Composite Molding Teeth.
From dentistry.co.uk
The injectionmould technique for composite veneers Dentistry Composite Molding Teeth What is composite bonding on teeth? It involves shaping composite resin to your teeth, followed by hardening and polishing for a natural finish. What is the bioclear method, and how does injection molding fit in? Additive dentistry and preservation of tooth structure with strength, durability, and aesthetics. The injection moulding technique (imt) is a novel process ideal to treat clinical. Composite Molding Teeth.
From www.honourhealth.co.uk
Composite Bonding Newcastle Dentist Honour Health Composite Molding Teeth Composite bonding teeth is the dental procedure in which a dentist applies composite resin to teeth to change the shape, colour and overall appearance of your smile. The injection moulding technique (imt) is a novel process ideal to treat clinical situations with challenging aesthetic demands, recreate. The injection moulding technique with injectable composites, which became known to dentists worldwide due. Composite Molding Teeth.
From dentistry.co.uk
The injectionmould technique for composite veneers Dentistry Composite Molding Teeth What is composite bonding on teeth? It involves shaping composite resin to your teeth, followed by hardening and polishing for a natural finish. Composite bonding teeth is the dental procedure in which a dentist applies composite resin to teeth to change the shape, colour and overall appearance of your smile. Injection molding offers advantages of both modalities: The injection moulding. Composite Molding Teeth.
From www.bioclearmatrix.com
Bioclear Composite Overmolding for PostOrthodontic Undersized Teeth Composite Molding Teeth The injection moulding technique with injectable composites, which became known to dentists worldwide due to the work of dr. It involves shaping composite resin to your teeth, followed by hardening and polishing for a natural finish. Composite bonding teeth is the dental procedure in which a dentist applies composite resin to teeth to change the shape, colour and overall appearance. Composite Molding Teeth.
From dentistry.co.uk
Injection moulding technique with Gænial Universal Injectable Dentistry Composite Molding Teeth It involves shaping composite resin to your teeth, followed by hardening and polishing for a natural finish. Additive dentistry and preservation of tooth structure with strength, durability, and aesthetics. What is the bioclear method, and how does injection molding fit in? The injection moulding technique (imt) is a novel process ideal to treat clinical situations with challenging aesthetic demands, recreate.. Composite Molding Teeth.
From www.dreamstime.com
Dental Orthodontic Tools. Multicolored Device for Making a Molded Composite Molding Teeth It involves shaping composite resin to your teeth, followed by hardening and polishing for a natural finish. Composite bonding teeth is the dental procedure in which a dentist applies composite resin to teeth to change the shape, colour and overall appearance of your smile. The injection moulding technique with injectable composites, which became known to dentists worldwide due to the. Composite Molding Teeth.
From www.youtube.com
Injection moulding with composite YouTube Composite Molding Teeth The injection moulding technique (imt) is a novel process ideal to treat clinical situations with challenging aesthetic demands, recreate. Injection molding offers advantages of both modalities: What is the bioclear method, and how does injection molding fit in? It involves shaping composite resin to your teeth, followed by hardening and polishing for a natural finish. The injection moulding technique with. Composite Molding Teeth.
From dentistry.co.uk
Injectable composites quick fix or longlasting solution? Dentistry Composite Molding Teeth Injection molding offers advantages of both modalities: Additive dentistry and preservation of tooth structure with strength, durability, and aesthetics. It involves shaping composite resin to your teeth, followed by hardening and polishing for a natural finish. The injection moulding technique (imt) is a novel process ideal to treat clinical situations with challenging aesthetic demands, recreate. The injection moulding technique with. Composite Molding Teeth.
From www.newbydentalpractice.co.uk
What is composite bonding....? Scarborough Dentist and Implant Clinic Composite Molding Teeth Additive dentistry and preservation of tooth structure with strength, durability, and aesthetics. What is composite bonding on teeth? Injection molding offers advantages of both modalities: The injection moulding technique with injectable composites, which became known to dentists worldwide due to the work of dr. The injection moulding technique (imt) is a novel process ideal to treat clinical situations with challenging. Composite Molding Teeth.
From jamilian.net
Orthodontic Molding Dr. Jamilian Composite Molding Teeth Additive dentistry and preservation of tooth structure with strength, durability, and aesthetics. Composite bonding teeth is the dental procedure in which a dentist applies composite resin to teeth to change the shape, colour and overall appearance of your smile. It involves shaping composite resin to your teeth, followed by hardening and polishing for a natural finish. The injection moulding technique. Composite Molding Teeth.