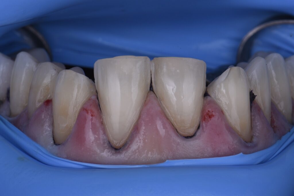
Temporary Veneer Sensitivity . Temporary porcelain veneers can be sensitive. While we do our best to mitigate discomfort with temporary veneers, it. This may cause some discomfort while chewing or alter. This sensitivity should diminish gradually. But what causes tooth sensitivity after the veneers procedure, and should temporary veneers cause pain? Additionally, temporary veneers may be a little thicker on your teeth. They act as a protective barrier, shielding your sensitive tooth structure from potential damage, sensitivity, or contamination. If you experience sensitive teeth after your veneers, there are a few things you can do to minimize your discomfort. In this article, we’ll explore the. It’s normal to experience some sensitivity to hot and cold temperatures after your teeth have been prepared and while you’re wearing your temporary veneers. By being informed and prepared, you can manage this sensitivity. What if you have sensitivity after temporary veneers?
from mintdentalmn.com
By being informed and prepared, you can manage this sensitivity. Temporary porcelain veneers can be sensitive. Additionally, temporary veneers may be a little thicker on your teeth. But what causes tooth sensitivity after the veneers procedure, and should temporary veneers cause pain? They act as a protective barrier, shielding your sensitive tooth structure from potential damage, sensitivity, or contamination. If you experience sensitive teeth after your veneers, there are a few things you can do to minimize your discomfort. What if you have sensitivity after temporary veneers? This sensitivity should diminish gradually. While we do our best to mitigate discomfort with temporary veneers, it. This may cause some discomfort while chewing or alter.
Temporary Veneers Benefits, Why You Need Them, and How It Looks Mint
Temporary Veneer Sensitivity If you experience sensitive teeth after your veneers, there are a few things you can do to minimize your discomfort. In this article, we’ll explore the. Temporary porcelain veneers can be sensitive. This sensitivity should diminish gradually. Additionally, temporary veneers may be a little thicker on your teeth. But what causes tooth sensitivity after the veneers procedure, and should temporary veneers cause pain? By being informed and prepared, you can manage this sensitivity. This may cause some discomfort while chewing or alter. What if you have sensitivity after temporary veneers? If you experience sensitive teeth after your veneers, there are a few things you can do to minimize your discomfort. It’s normal to experience some sensitivity to hot and cold temperatures after your teeth have been prepared and while you’re wearing your temporary veneers. They act as a protective barrier, shielding your sensitive tooth structure from potential damage, sensitivity, or contamination. While we do our best to mitigate discomfort with temporary veneers, it.
From dev-techtatva.manipal.edu
Veneers Side Effects The Easy Guide On Pain, Sensitivity,, 59 OFF Temporary Veneer Sensitivity What if you have sensitivity after temporary veneers? This may cause some discomfort while chewing or alter. By being informed and prepared, you can manage this sensitivity. Additionally, temporary veneers may be a little thicker on your teeth. But what causes tooth sensitivity after the veneers procedure, and should temporary veneers cause pain? If you experience sensitive teeth after your. Temporary Veneer Sensitivity.
From www.buderimdentalcare.com.au
What are the importance of temporary veneers Temporary Veneer Sensitivity But what causes tooth sensitivity after the veneers procedure, and should temporary veneers cause pain? If you experience sensitive teeth after your veneers, there are a few things you can do to minimize your discomfort. Temporary porcelain veneers can be sensitive. It’s normal to experience some sensitivity to hot and cold temperatures after your teeth have been prepared and while. Temporary Veneer Sensitivity.
From www.farmingtonvalleydental.com
Why Do I Need to Wear Temporary Veneers Farmington Valley Dental Temporary Veneer Sensitivity They act as a protective barrier, shielding your sensitive tooth structure from potential damage, sensitivity, or contamination. What if you have sensitivity after temporary veneers? But what causes tooth sensitivity after the veneers procedure, and should temporary veneers cause pain? This sensitivity should diminish gradually. If you experience sensitive teeth after your veneers, there are a few things you can. Temporary Veneer Sensitivity.
From www.kuraraynoritake.eu
Clinical case Central incisor veneers with PANAVIA V5 Temporary Veneer Sensitivity They act as a protective barrier, shielding your sensitive tooth structure from potential damage, sensitivity, or contamination. But what causes tooth sensitivity after the veneers procedure, and should temporary veneers cause pain? Temporary porcelain veneers can be sensitive. If you experience sensitive teeth after your veneers, there are a few things you can do to minimize your discomfort. What if. Temporary Veneer Sensitivity.
From www.youtube.com
Spot Etching Technique for Provisionals Anterior Veneers, Temporary Temporary Veneer Sensitivity Additionally, temporary veneers may be a little thicker on your teeth. What if you have sensitivity after temporary veneers? Temporary porcelain veneers can be sensitive. While we do our best to mitigate discomfort with temporary veneers, it. By being informed and prepared, you can manage this sensitivity. If you experience sensitive teeth after your veneers, there are a few things. Temporary Veneer Sensitivity.
From www.pinterest.com
6 Steps to Creating a Removable Veneer Temporary Veneers, How to Temporary Veneer Sensitivity They act as a protective barrier, shielding your sensitive tooth structure from potential damage, sensitivity, or contamination. This may cause some discomfort while chewing or alter. If you experience sensitive teeth after your veneers, there are a few things you can do to minimize your discomfort. But what causes tooth sensitivity after the veneers procedure, and should temporary veneers cause. Temporary Veneer Sensitivity.
From mintdentalmn.com
Temporary Veneers Benefits, Why You Need Them, and How It Looks Mint Temporary Veneer Sensitivity This sensitivity should diminish gradually. By being informed and prepared, you can manage this sensitivity. In this article, we’ll explore the. But what causes tooth sensitivity after the veneers procedure, and should temporary veneers cause pain? Temporary porcelain veneers can be sensitive. While we do our best to mitigate discomfort with temporary veneers, it. What if you have sensitivity after. Temporary Veneer Sensitivity.
From www.fuquaadvanceddental.com
Veneers Southlake, TX Colleyville, TX Keller, TX Porcelain Temporary Veneer Sensitivity This sensitivity should diminish gradually. If you experience sensitive teeth after your veneers, there are a few things you can do to minimize your discomfort. But what causes tooth sensitivity after the veneers procedure, and should temporary veneers cause pain? While we do our best to mitigate discomfort with temporary veneers, it. This may cause some discomfort while chewing or. Temporary Veneer Sensitivity.
From www.greenwichdentistry.com
Veneers Cos Cob, CT Greenwich Dentistry Family & Cosmetic Dentistry Temporary Veneer Sensitivity This sensitivity should diminish gradually. But what causes tooth sensitivity after the veneers procedure, and should temporary veneers cause pain? While we do our best to mitigate discomfort with temporary veneers, it. It’s normal to experience some sensitivity to hot and cold temperatures after your teeth have been prepared and while you’re wearing your temporary veneers. Additionally, temporary veneers may. Temporary Veneer Sensitivity.
From www.thedentalroom.com.au
Porcelain Veneers Before and After The Dental Room Temporary Veneer Sensitivity They act as a protective barrier, shielding your sensitive tooth structure from potential damage, sensitivity, or contamination. Temporary porcelain veneers can be sensitive. This may cause some discomfort while chewing or alter. This sensitivity should diminish gradually. While we do our best to mitigate discomfort with temporary veneers, it. It’s normal to experience some sensitivity to hot and cold temperatures. Temporary Veneer Sensitivity.
From larwinsquaredentistry.com
Managing PostVeneer Sensitivity What to Expect Temporary Veneer Sensitivity In this article, we’ll explore the. Additionally, temporary veneers may be a little thicker on your teeth. They act as a protective barrier, shielding your sensitive tooth structure from potential damage, sensitivity, or contamination. What if you have sensitivity after temporary veneers? Temporary porcelain veneers can be sensitive. This may cause some discomfort while chewing or alter. If you experience. Temporary Veneer Sensitivity.
From www.clarencetam.co.nz
Veneer Preparations and Provisionalization Temporization Temporary Veneer Sensitivity If you experience sensitive teeth after your veneers, there are a few things you can do to minimize your discomfort. In this article, we’ll explore the. This sensitivity should diminish gradually. This may cause some discomfort while chewing or alter. What if you have sensitivity after temporary veneers? But what causes tooth sensitivity after the veneers procedure, and should temporary. Temporary Veneer Sensitivity.
From www.luxurydentistrynyc.com
The Benefits of Dental Veneers for People with Sensitive Teeth Luxury Temporary Veneer Sensitivity If you experience sensitive teeth after your veneers, there are a few things you can do to minimize your discomfort. This sensitivity should diminish gradually. In this article, we’ll explore the. Additionally, temporary veneers may be a little thicker on your teeth. What if you have sensitivity after temporary veneers? They act as a protective barrier, shielding your sensitive tooth. Temporary Veneer Sensitivity.
From www.styleitaliano.org
Veneer workflow and temporary restoration management Temporary Veneer Sensitivity While we do our best to mitigate discomfort with temporary veneers, it. This sensitivity should diminish gradually. If you experience sensitive teeth after your veneers, there are a few things you can do to minimize your discomfort. Temporary porcelain veneers can be sensitive. They act as a protective barrier, shielding your sensitive tooth structure from potential damage, sensitivity, or contamination.. Temporary Veneer Sensitivity.
From www.moderndaysmiles.com
Do Veneers Make Your Teeth Sensitive? Modern Day Smiles Temporary Veneer Sensitivity In this article, we’ll explore the. If you experience sensitive teeth after your veneers, there are a few things you can do to minimize your discomfort. They act as a protective barrier, shielding your sensitive tooth structure from potential damage, sensitivity, or contamination. By being informed and prepared, you can manage this sensitivity. Additionally, temporary veneers may be a little. Temporary Veneer Sensitivity.
From veneersdentistlosangeles.com
Temporary Veneers Temporary Veneer Sensitivity Additionally, temporary veneers may be a little thicker on your teeth. It’s normal to experience some sensitivity to hot and cold temperatures after your teeth have been prepared and while you’re wearing your temporary veneers. What if you have sensitivity after temporary veneers? By being informed and prepared, you can manage this sensitivity. While we do our best to mitigate. Temporary Veneer Sensitivity.
From larwinsquaredentistry.com
Managing PostVeneer Sensitivity What to Expect Temporary Veneer Sensitivity Temporary porcelain veneers can be sensitive. It’s normal to experience some sensitivity to hot and cold temperatures after your teeth have been prepared and while you’re wearing your temporary veneers. While we do our best to mitigate discomfort with temporary veneers, it. In this article, we’ll explore the. If you experience sensitive teeth after your veneers, there are a few. Temporary Veneer Sensitivity.
From transcendentalchatswood.com.au
Your Guide to Managing Dental Veneer Sensitivity Effectively Temporary Veneer Sensitivity By being informed and prepared, you can manage this sensitivity. This sensitivity should diminish gradually. Temporary porcelain veneers can be sensitive. They act as a protective barrier, shielding your sensitive tooth structure from potential damage, sensitivity, or contamination. In this article, we’ll explore the. Additionally, temporary veneers may be a little thicker on your teeth. If you experience sensitive teeth. Temporary Veneer Sensitivity.
From www.allure.com
My Veneers Story See My Dramatic Before and After Photos Allure Temporary Veneer Sensitivity It’s normal to experience some sensitivity to hot and cold temperatures after your teeth have been prepared and while you’re wearing your temporary veneers. This sensitivity should diminish gradually. If you experience sensitive teeth after your veneers, there are a few things you can do to minimize your discomfort. While we do our best to mitigate discomfort with temporary veneers,. Temporary Veneer Sensitivity.
From pacificdentalcare.org
Porcelain Veneers Glendale Burbank Veneers Pacific Dental Care Temporary Veneer Sensitivity But what causes tooth sensitivity after the veneers procedure, and should temporary veneers cause pain? While we do our best to mitigate discomfort with temporary veneers, it. What if you have sensitivity after temporary veneers? If you experience sensitive teeth after your veneers, there are a few things you can do to minimize your discomfort. By being informed and prepared,. Temporary Veneer Sensitivity.
From www.thedentalguide.net
Do It Yourself Veneers Removable Veneers For Your Teeth Temporary Veneer Sensitivity They act as a protective barrier, shielding your sensitive tooth structure from potential damage, sensitivity, or contamination. While we do our best to mitigate discomfort with temporary veneers, it. But what causes tooth sensitivity after the veneers procedure, and should temporary veneers cause pain? This sensitivity should diminish gradually. This may cause some discomfort while chewing or alter. Temporary porcelain. Temporary Veneer Sensitivity.
From cosmicsmile.com.au
What to expect when wearing temporary veneers? Temporary Veneer Sensitivity If you experience sensitive teeth after your veneers, there are a few things you can do to minimize your discomfort. They act as a protective barrier, shielding your sensitive tooth structure from potential damage, sensitivity, or contamination. Temporary porcelain veneers can be sensitive. This may cause some discomfort while chewing or alter. While we do our best to mitigate discomfort. Temporary Veneer Sensitivity.
From www.pinterest.co.uk
[Cosmetic Procedure] A Veneer is a layer of material placed over the Temporary Veneer Sensitivity This may cause some discomfort while chewing or alter. It’s normal to experience some sensitivity to hot and cold temperatures after your teeth have been prepared and while you’re wearing your temporary veneers. Additionally, temporary veneers may be a little thicker on your teeth. What if you have sensitivity after temporary veneers? If you experience sensitive teeth after your veneers,. Temporary Veneer Sensitivity.
From www.youtube.com
Temporary Veneers as a "Trial Smile" 5 Star Dental Group San Temporary Veneer Sensitivity Temporary porcelain veneers can be sensitive. In this article, we’ll explore the. It’s normal to experience some sensitivity to hot and cold temperatures after your teeth have been prepared and while you’re wearing your temporary veneers. If you experience sensitive teeth after your veneers, there are a few things you can do to minimize your discomfort. But what causes tooth. Temporary Veneer Sensitivity.
From urbndental.com
PostOp Temporary Veneers Temporary Teeth Veneers Houston Temporary Veneer Sensitivity By being informed and prepared, you can manage this sensitivity. Temporary porcelain veneers can be sensitive. But what causes tooth sensitivity after the veneers procedure, and should temporary veneers cause pain? In this article, we’ll explore the. This sensitivity should diminish gradually. It’s normal to experience some sensitivity to hot and cold temperatures after your teeth have been prepared and. Temporary Veneer Sensitivity.
From www.thousandoaksfamilydentistry.com
Case Presentation Temporary Veneers Temporary Veneer Sensitivity But what causes tooth sensitivity after the veneers procedure, and should temporary veneers cause pain? If you experience sensitive teeth after your veneers, there are a few things you can do to minimize your discomfort. They act as a protective barrier, shielding your sensitive tooth structure from potential damage, sensitivity, or contamination. This sensitivity should diminish gradually. Additionally, temporary veneers. Temporary Veneer Sensitivity.
From districtdentistryclt.com
Permanent Veneers vs Temporary Veneers Cost & Benefits Temporary Veneer Sensitivity It’s normal to experience some sensitivity to hot and cold temperatures after your teeth have been prepared and while you’re wearing your temporary veneers. If you experience sensitive teeth after your veneers, there are a few things you can do to minimize your discomfort. They act as a protective barrier, shielding your sensitive tooth structure from potential damage, sensitivity, or. Temporary Veneer Sensitivity.
From www.boston-dentist.com
Temporary Veneers Boston Kraft & Schrott Dental Associates Temporary Veneer Sensitivity Temporary porcelain veneers can be sensitive. It’s normal to experience some sensitivity to hot and cold temperatures after your teeth have been prepared and while you’re wearing your temporary veneers. If you experience sensitive teeth after your veneers, there are a few things you can do to minimize your discomfort. Additionally, temporary veneers may be a little thicker on your. Temporary Veneer Sensitivity.
From www.kuraraynoritake.eu
Clinical case Central incisor veneers with PANAVIA V5 Temporary Veneer Sensitivity In this article, we’ll explore the. While we do our best to mitigate discomfort with temporary veneers, it. But what causes tooth sensitivity after the veneers procedure, and should temporary veneers cause pain? If you experience sensitive teeth after your veneers, there are a few things you can do to minimize your discomfort. Temporary porcelain veneers can be sensitive. This. Temporary Veneer Sensitivity.
From www.styleitaliano.org
Veneer workflow and temporary restoration management Temporary Veneer Sensitivity This may cause some discomfort while chewing or alter. This sensitivity should diminish gradually. Temporary porcelain veneers can be sensitive. What if you have sensitivity after temporary veneers? It’s normal to experience some sensitivity to hot and cold temperatures after your teeth have been prepared and while you’re wearing your temporary veneers. But what causes tooth sensitivity after the veneers. Temporary Veneer Sensitivity.
From www.clarencetam.co.nz
Veneer Preparations and Provisionalization Temporization Temporary Veneer Sensitivity In this article, we’ll explore the. It’s normal to experience some sensitivity to hot and cold temperatures after your teeth have been prepared and while you’re wearing your temporary veneers. They act as a protective barrier, shielding your sensitive tooth structure from potential damage, sensitivity, or contamination. What if you have sensitivity after temporary veneers? By being informed and prepared,. Temporary Veneer Sensitivity.
From www.bhdentists.com
Veneer Sensitivity How to Treat Bad Veneers in Beverly Hills Temporary Veneer Sensitivity What if you have sensitivity after temporary veneers? Additionally, temporary veneers may be a little thicker on your teeth. But what causes tooth sensitivity after the veneers procedure, and should temporary veneers cause pain? In this article, we’ll explore the. By being informed and prepared, you can manage this sensitivity. Temporary porcelain veneers can be sensitive. While we do our. Temporary Veneer Sensitivity.
From www.myradental.co.uk
5 Side Effects of Dental Veneer Temporary Veneer Sensitivity They act as a protective barrier, shielding your sensitive tooth structure from potential damage, sensitivity, or contamination. This sensitivity should diminish gradually. But what causes tooth sensitivity after the veneers procedure, and should temporary veneers cause pain? If you experience sensitive teeth after your veneers, there are a few things you can do to minimize your discomfort. This may cause. Temporary Veneer Sensitivity.
From www.totalcaredental.com
What Are Veneers? Total Care Dental Holistic Dentistry Temporary Veneer Sensitivity Temporary porcelain veneers can be sensitive. They act as a protective barrier, shielding your sensitive tooth structure from potential damage, sensitivity, or contamination. But what causes tooth sensitivity after the veneers procedure, and should temporary veneers cause pain? This sensitivity should diminish gradually. While we do our best to mitigate discomfort with temporary veneers, it. By being informed and prepared,. Temporary Veneer Sensitivity.
From incrediblesmiles.com
Why do you need temporary veneers? Blog Incredible Smiles Temporary Veneer Sensitivity What if you have sensitivity after temporary veneers? While we do our best to mitigate discomfort with temporary veneers, it. This may cause some discomfort while chewing or alter. Additionally, temporary veneers may be a little thicker on your teeth. It’s normal to experience some sensitivity to hot and cold temperatures after your teeth have been prepared and while you’re. Temporary Veneer Sensitivity.