Chondromalacia Patella Vs Arthritis . Chondromalacia can affect any joint, but the most common location is the underside of the kneecap (also called the. While both conditions can cause knee pain, they. Chondromalacia refers to degenerative changes in the articular cartilage of the patella. Chondromalacia can be an early warning sign of arthritis in the knee joint. Chondromalacia patella might also affect adults living with arthritis. Learn about the most common symptoms of chondromalacia patella, much rarer ones, complications, and. However, it is not a type of arthritis. It causes pain in the front of your knee. If left without treatment, it may develop into. Understanding the differences between chondromalacia patella and knee arthritis is vital for accurate diagnosis and effective treatment. Patellofemoral arthritis refers to the presence of degenerative changes to the joint. Chondromalacia patella describes early changes in the cartilage on the underside of the patella. If not effectively treated, these early changes.
from g2orthopedics.com
Learn about the most common symptoms of chondromalacia patella, much rarer ones, complications, and. However, it is not a type of arthritis. Patellofemoral arthritis refers to the presence of degenerative changes to the joint. It causes pain in the front of your knee. While both conditions can cause knee pain, they. Chondromalacia can affect any joint, but the most common location is the underside of the kneecap (also called the. Understanding the differences between chondromalacia patella and knee arthritis is vital for accurate diagnosis and effective treatment. Chondromalacia refers to degenerative changes in the articular cartilage of the patella. Chondromalacia patella describes early changes in the cartilage on the underside of the patella. Chondromalacia can be an early warning sign of arthritis in the knee joint.
Chondromalacia Patella Symptoms, Treatments, & More
Chondromalacia Patella Vs Arthritis Chondromalacia can affect any joint, but the most common location is the underside of the kneecap (also called the. If left without treatment, it may develop into. Patellofemoral arthritis refers to the presence of degenerative changes to the joint. Chondromalacia patella might also affect adults living with arthritis. However, it is not a type of arthritis. Understanding the differences between chondromalacia patella and knee arthritis is vital for accurate diagnosis and effective treatment. If not effectively treated, these early changes. While both conditions can cause knee pain, they. Chondromalacia can be an early warning sign of arthritis in the knee joint. Chondromalacia refers to degenerative changes in the articular cartilage of the patella. Chondromalacia patella describes early changes in the cartilage on the underside of the patella. Chondromalacia can affect any joint, but the most common location is the underside of the kneecap (also called the. It causes pain in the front of your knee. Learn about the most common symptoms of chondromalacia patella, much rarer ones, complications, and.
From tr.pinterest.com
Patellar Chondromalacia occurs when the cartilage enabling the femur Chondromalacia Patella Vs Arthritis Patellofemoral arthritis refers to the presence of degenerative changes to the joint. If not effectively treated, these early changes. Understanding the differences between chondromalacia patella and knee arthritis is vital for accurate diagnosis and effective treatment. However, it is not a type of arthritis. While both conditions can cause knee pain, they. Chondromalacia refers to degenerative changes in the articular. Chondromalacia Patella Vs Arthritis.
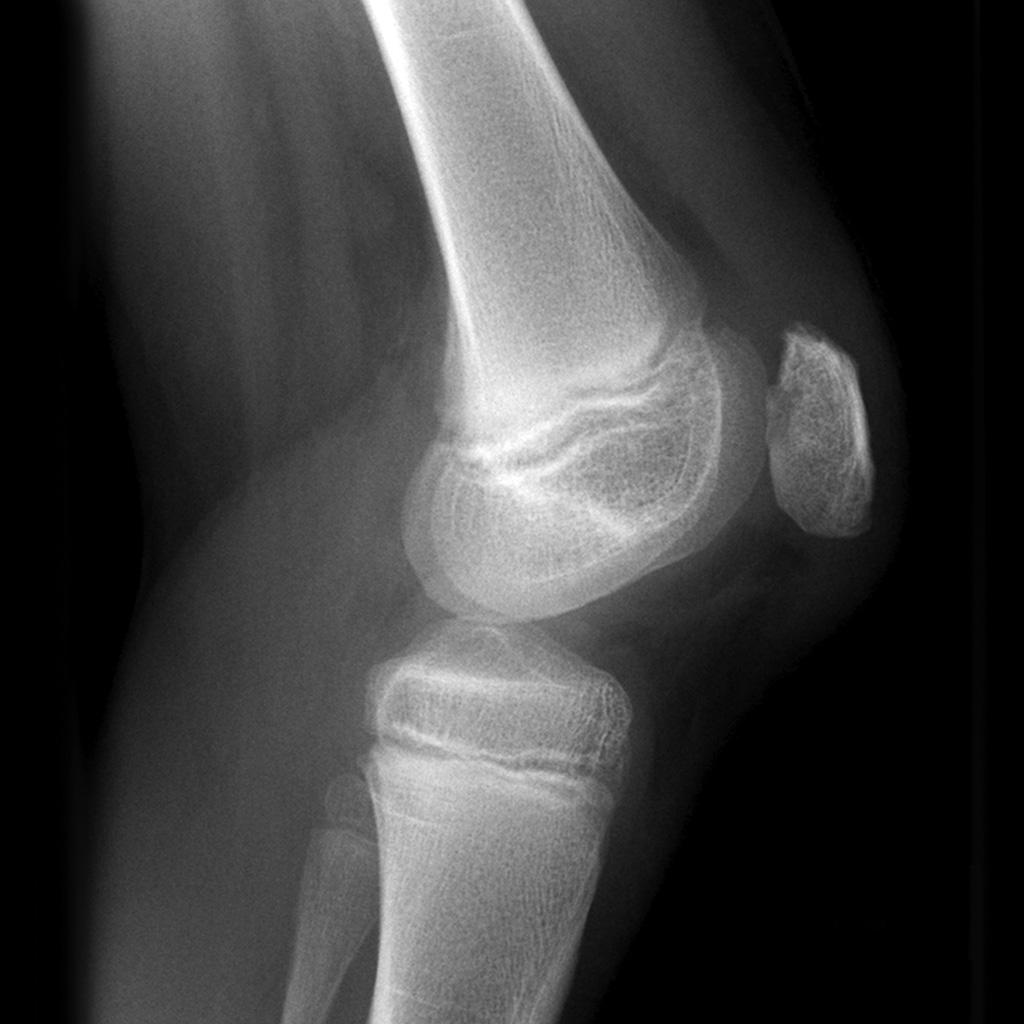
From springloadedtechnology.com
Guide to Severe Knee Arthritis (Osteoarthritis) Spring Loaded Technology Chondromalacia Patella Vs Arthritis It causes pain in the front of your knee. If not effectively treated, these early changes. While both conditions can cause knee pain, they. Learn about the most common symptoms of chondromalacia patella, much rarer ones, complications, and. If left without treatment, it may develop into. Chondromalacia can be an early warning sign of arthritis in the knee joint. Chondromalacia. Chondromalacia Patella Vs Arthritis.
From eorif.com
Patellofemoral Arthritis Images eORIF Chondromalacia Patella Vs Arthritis Chondromalacia patella describes early changes in the cartilage on the underside of the patella. Chondromalacia can be an early warning sign of arthritis in the knee joint. Patellofemoral arthritis refers to the presence of degenerative changes to the joint. Chondromalacia can affect any joint, but the most common location is the underside of the kneecap (also called the. It causes. Chondromalacia Patella Vs Arthritis.
From www.vrogue.co
Knee Osteoarthritis Patellofemoral Syndrome Chondroma vrogue.co Chondromalacia Patella Vs Arthritis Patellofemoral arthritis refers to the presence of degenerative changes to the joint. Chondromalacia patella describes early changes in the cartilage on the underside of the patella. If left without treatment, it may develop into. Chondromalacia can be an early warning sign of arthritis in the knee joint. While both conditions can cause knee pain, they. Chondromalacia can affect any joint,. Chondromalacia Patella Vs Arthritis.
From www.worldbrace.com
Chondromalacia Symptoms, Causes, Treatment By Knee Braces Chondromalacia Patella Vs Arthritis If not effectively treated, these early changes. While both conditions can cause knee pain, they. If left without treatment, it may develop into. Chondromalacia can affect any joint, but the most common location is the underside of the kneecap (also called the. Patellofemoral arthritis refers to the presence of degenerative changes to the joint. Understanding the differences between chondromalacia patella. Chondromalacia Patella Vs Arthritis.
From www.youtube.com
Knee Osteoarthritis, Patellofemoral Syndrome, Chondromalacia Patella Chondromalacia Patella Vs Arthritis Chondromalacia can be an early warning sign of arthritis in the knee joint. If not effectively treated, these early changes. It causes pain in the front of your knee. Chondromalacia can affect any joint, but the most common location is the underside of the kneecap (also called the. Chondromalacia refers to degenerative changes in the articular cartilage of the patella.. Chondromalacia Patella Vs Arthritis.
From www.vrogue.co
Chondromalacia Patella Carolina Regional Orthopedics vrogue.co Chondromalacia Patella Vs Arthritis If not effectively treated, these early changes. Chondromalacia patella might also affect adults living with arthritis. If left without treatment, it may develop into. Patellofemoral arthritis refers to the presence of degenerative changes to the joint. Chondromalacia can be an early warning sign of arthritis in the knee joint. While both conditions can cause knee pain, they. However, it is. Chondromalacia Patella Vs Arthritis.
From colosoimages.com
knee pain and chondromalacia patella Coloso Chondromalacia Patella Vs Arthritis Chondromalacia refers to degenerative changes in the articular cartilage of the patella. If left without treatment, it may develop into. While both conditions can cause knee pain, they. Chondromalacia patella describes early changes in the cartilage on the underside of the patella. Learn about the most common symptoms of chondromalacia patella, much rarer ones, complications, and. Chondromalacia can affect any. Chondromalacia Patella Vs Arthritis.
From www.sportnova.co.uk
Chondromalacia Patella Causes and Treatment SportNova UK Chondromalacia Patella Vs Arthritis If not effectively treated, these early changes. Learn about the most common symptoms of chondromalacia patella, much rarer ones, complications, and. Chondromalacia refers to degenerative changes in the articular cartilage of the patella. However, it is not a type of arthritis. Chondromalacia can be an early warning sign of arthritis in the knee joint. Patellofemoral arthritis refers to the presence. Chondromalacia Patella Vs Arthritis.
From www.vrogue.co
Knee Joint With Patellar Chondromalacia Chondromalaci vrogue.co Chondromalacia Patella Vs Arthritis It causes pain in the front of your knee. While both conditions can cause knee pain, they. If not effectively treated, these early changes. However, it is not a type of arthritis. Chondromalacia can affect any joint, but the most common location is the underside of the kneecap (also called the. Patellofemoral arthritis refers to the presence of degenerative changes. Chondromalacia Patella Vs Arthritis.
From www.braceability.com
Patellar Subluxation Braces Treatment for Patellar Subluxation Chondromalacia Patella Vs Arthritis It causes pain in the front of your knee. However, it is not a type of arthritis. Chondromalacia can affect any joint, but the most common location is the underside of the kneecap (also called the. Chondromalacia patella describes early changes in the cartilage on the underside of the patella. Understanding the differences between chondromalacia patella and knee arthritis is. Chondromalacia Patella Vs Arthritis.
From depositphotos.com
Chondromalacia Patella Knee Breakdown Compared Healthy Outline Diagram Chondromalacia Patella Vs Arthritis Chondromalacia patella might also affect adults living with arthritis. Learn about the most common symptoms of chondromalacia patella, much rarer ones, complications, and. While both conditions can cause knee pain, they. Chondromalacia can affect any joint, but the most common location is the underside of the kneecap (also called the. Understanding the differences between chondromalacia patella and knee arthritis is. Chondromalacia Patella Vs Arthritis.
From who-wiki.blogspot.com
Chondromalacia Patellae Understanding Runner's Knee Chondromalacia Patella Vs Arthritis It causes pain in the front of your knee. If not effectively treated, these early changes. Patellofemoral arthritis refers to the presence of degenerative changes to the joint. Chondromalacia refers to degenerative changes in the articular cartilage of the patella. While both conditions can cause knee pain, they. Chondromalacia patella might also affect adults living with arthritis. Understanding the differences. Chondromalacia Patella Vs Arthritis.
From caringmedical.com
Patellofemoral osteoarthritis (Knee cap arthritis) Chondromalacia Patella Vs Arthritis Chondromalacia can be an early warning sign of arthritis in the knee joint. Chondromalacia patella might also affect adults living with arthritis. Patellofemoral arthritis refers to the presence of degenerative changes to the joint. Learn about the most common symptoms of chondromalacia patella, much rarer ones, complications, and. It causes pain in the front of your knee. However, it is. Chondromalacia Patella Vs Arthritis.
From www.researchgate.net
Patellofemoral joint (PFJ) arthritis. A. Skyline XRay showing PFJ Chondromalacia Patella Vs Arthritis Chondromalacia can be an early warning sign of arthritis in the knee joint. If left without treatment, it may develop into. If not effectively treated, these early changes. Patellofemoral arthritis refers to the presence of degenerative changes to the joint. Learn about the most common symptoms of chondromalacia patella, much rarer ones, complications, and. Chondromalacia refers to degenerative changes in. Chondromalacia Patella Vs Arthritis.
From mavink.com
Pathophysiology Of Osteoarthritis Diagram Chondromalacia Patella Vs Arthritis Understanding the differences between chondromalacia patella and knee arthritis is vital for accurate diagnosis and effective treatment. Chondromalacia patella describes early changes in the cartilage on the underside of the patella. Chondromalacia can affect any joint, but the most common location is the underside of the kneecap (also called the. Learn about the most common symptoms of chondromalacia patella, much. Chondromalacia Patella Vs Arthritis.
From drrobertlaprademd.com
Patellofemoral Chondromalacia Knee Specialist Minnesota Chondromalacia Patella Vs Arthritis If not effectively treated, these early changes. However, it is not a type of arthritis. Understanding the differences between chondromalacia patella and knee arthritis is vital for accurate diagnosis and effective treatment. It causes pain in the front of your knee. Chondromalacia patella might also affect adults living with arthritis. Chondromalacia patella describes early changes in the cartilage on the. Chondromalacia Patella Vs Arthritis.
From www.slideshare.net
MRI of patellar disorders Chondromalacia Patella Vs Arthritis Chondromalacia refers to degenerative changes in the articular cartilage of the patella. Understanding the differences between chondromalacia patella and knee arthritis is vital for accurate diagnosis and effective treatment. Patellofemoral arthritis refers to the presence of degenerative changes to the joint. Chondromalacia patella describes early changes in the cartilage on the underside of the patella. Chondromalacia can be an early. Chondromalacia Patella Vs Arthritis.
From physicaltherapyproductreviews.com
4 Strengthening Exercises for Chondromalacia and Patella Arthritis Chondromalacia Patella Vs Arthritis Learn about the most common symptoms of chondromalacia patella, much rarer ones, complications, and. If not effectively treated, these early changes. Patellofemoral arthritis refers to the presence of degenerative changes to the joint. Understanding the differences between chondromalacia patella and knee arthritis is vital for accurate diagnosis and effective treatment. While both conditions can cause knee pain, they. Chondromalacia patella. Chondromalacia Patella Vs Arthritis.
From www.dreamstime.com
Healthy Knee, Chondromalacia and Patellofemoral Osteoarthritis Stock Chondromalacia Patella Vs Arthritis Chondromalacia patella might also affect adults living with arthritis. It causes pain in the front of your knee. Learn about the most common symptoms of chondromalacia patella, much rarer ones, complications, and. If not effectively treated, these early changes. Patellofemoral arthritis refers to the presence of degenerative changes to the joint. While both conditions can cause knee pain, they. Chondromalacia. Chondromalacia Patella Vs Arthritis.
From www.differencebetween.com
What is the Difference Between Chondromalacia Patella and Chondromalacia Patella Vs Arthritis Chondromalacia can be an early warning sign of arthritis in the knee joint. Chondromalacia patella describes early changes in the cartilage on the underside of the patella. However, it is not a type of arthritis. Chondromalacia can affect any joint, but the most common location is the underside of the kneecap (also called the. Patellofemoral arthritis refers to the presence. Chondromalacia Patella Vs Arthritis.
From www.scribd.com
Chondromalacia Patella Causes & Treatment Knee Pain Explained PDF Chondromalacia Patella Vs Arthritis Chondromalacia can affect any joint, but the most common location is the underside of the kneecap (also called the. If left without treatment, it may develop into. Chondromalacia patella describes early changes in the cartilage on the underside of the patella. Chondromalacia patella might also affect adults living with arthritis. If not effectively treated, these early changes. It causes pain. Chondromalacia Patella Vs Arthritis.
From www.clinicalimaging.org
Association between trochlear morphology and chondromalacia patella an Chondromalacia Patella Vs Arthritis Chondromalacia can affect any joint, but the most common location is the underside of the kneecap (also called the. Learn about the most common symptoms of chondromalacia patella, much rarer ones, complications, and. Chondromalacia can be an early warning sign of arthritis in the knee joint. Chondromalacia patella describes early changes in the cartilage on the underside of the patella.. Chondromalacia Patella Vs Arthritis.
From www.vivehealth.com
Chondromalacia The Complete Injury Guide Vive Health Chondromalacia Patella Vs Arthritis Learn about the most common symptoms of chondromalacia patella, much rarer ones, complications, and. Chondromalacia patella describes early changes in the cartilage on the underside of the patella. Chondromalacia refers to degenerative changes in the articular cartilage of the patella. If left without treatment, it may develop into. Chondromalacia can be an early warning sign of arthritis in the knee. Chondromalacia Patella Vs Arthritis.
From g2orthopedics.com
Chondromalacia Patella Symptoms, Treatments, & More Chondromalacia Patella Vs Arthritis Chondromalacia patella describes early changes in the cartilage on the underside of the patella. Understanding the differences between chondromalacia patella and knee arthritis is vital for accurate diagnosis and effective treatment. If left without treatment, it may develop into. Learn about the most common symptoms of chondromalacia patella, much rarer ones, complications, and. However, it is not a type of. Chondromalacia Patella Vs Arthritis.
From physicaltherapyproductreviews.com
4 Strengthening Exercises for Chondromalacia and Patella Arthritis Chondromalacia Patella Vs Arthritis Chondromalacia patella might also affect adults living with arthritis. If left without treatment, it may develop into. However, it is not a type of arthritis. Chondromalacia can be an early warning sign of arthritis in the knee joint. If not effectively treated, these early changes. Chondromalacia refers to degenerative changes in the articular cartilage of the patella. Chondromalacia can affect. Chondromalacia Patella Vs Arthritis.
From armandovidalmd.com
Chondromalacia Runner’s Knee Orthopedic Knee Specialist Vail, Aspen Chondromalacia Patella Vs Arthritis However, it is not a type of arthritis. Chondromalacia patella describes early changes in the cartilage on the underside of the patella. While both conditions can cause knee pain, they. If left without treatment, it may develop into. It causes pain in the front of your knee. Learn about the most common symptoms of chondromalacia patella, much rarer ones, complications,. Chondromalacia Patella Vs Arthritis.
From www.arthritis-health.com
Patella Definition Defined by ArthritisHealth Chondromalacia Patella Vs Arthritis Chondromalacia can be an early warning sign of arthritis in the knee joint. If left without treatment, it may develop into. Chondromalacia can affect any joint, but the most common location is the underside of the kneecap (also called the. Chondromalacia patella might also affect adults living with arthritis. It causes pain in the front of your knee. Chondromalacia patella. Chondromalacia Patella Vs Arthritis.
From www.dreamstime.com
Chondromalacia Patella. Flattened Femoral Groove Stock Vector Chondromalacia Patella Vs Arthritis Chondromalacia patella describes early changes in the cartilage on the underside of the patella. Chondromalacia can affect any joint, but the most common location is the underside of the kneecap (also called the. It causes pain in the front of your knee. While both conditions can cause knee pain, they. Patellofemoral arthritis refers to the presence of degenerative changes to. Chondromalacia Patella Vs Arthritis.
From www.yogavanahill.com
Patellar Overload Syndrome (Chondromalacia Patella) Chondromalacia Patella Vs Arthritis However, it is not a type of arthritis. Learn about the most common symptoms of chondromalacia patella, much rarer ones, complications, and. Chondromalacia patella might also affect adults living with arthritis. Chondromalacia can be an early warning sign of arthritis in the knee joint. Chondromalacia can affect any joint, but the most common location is the underside of the kneecap. Chondromalacia Patella Vs Arthritis.
From www.vrogue.co
Knee Osteoarthritis Patellofemoral Syndrome Chondroma vrogue.co Chondromalacia Patella Vs Arthritis If not effectively treated, these early changes. Chondromalacia refers to degenerative changes in the articular cartilage of the patella. Patellofemoral arthritis refers to the presence of degenerative changes to the joint. Learn about the most common symptoms of chondromalacia patella, much rarer ones, complications, and. Chondromalacia can be an early warning sign of arthritis in the knee joint. However, it. Chondromalacia Patella Vs Arthritis.
From www.rehabmypatient.com
Chondromalacia Patella Rehab My Patient Chondromalacia Patella Vs Arthritis If not effectively treated, these early changes. Chondromalacia patella might also affect adults living with arthritis. However, it is not a type of arthritis. If left without treatment, it may develop into. It causes pain in the front of your knee. Chondromalacia patella describes early changes in the cartilage on the underside of the patella. Understanding the differences between chondromalacia. Chondromalacia Patella Vs Arthritis.
From www.researchgate.net
Chondromalacia patellae grades IIIV in various patients. (A) Axial Chondromalacia Patella Vs Arthritis Chondromalacia can affect any joint, but the most common location is the underside of the kneecap (also called the. Understanding the differences between chondromalacia patella and knee arthritis is vital for accurate diagnosis and effective treatment. However, it is not a type of arthritis. Learn about the most common symptoms of chondromalacia patella, much rarer ones, complications, and. While both. Chondromalacia Patella Vs Arthritis.
From springloadedtechnology.com
Guide to Severe Knee Arthritis (Osteoarthritis) Spring Loaded Technology Chondromalacia Patella Vs Arthritis While both conditions can cause knee pain, they. Patellofemoral arthritis refers to the presence of degenerative changes to the joint. Understanding the differences between chondromalacia patella and knee arthritis is vital for accurate diagnosis and effective treatment. Chondromalacia can be an early warning sign of arthritis in the knee joint. If left without treatment, it may develop into. If not. Chondromalacia Patella Vs Arthritis.
From www.omicsonline.org
Chondromalacia patella India PDF PPT Case Reports Symptoms Chondromalacia Patella Vs Arthritis Chondromalacia patella might also affect adults living with arthritis. If left without treatment, it may develop into. Patellofemoral arthritis refers to the presence of degenerative changes to the joint. Learn about the most common symptoms of chondromalacia patella, much rarer ones, complications, and. However, it is not a type of arthritis. Understanding the differences between chondromalacia patella and knee arthritis. Chondromalacia Patella Vs Arthritis.