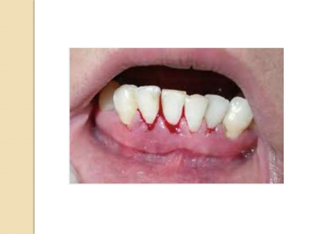
Periodontal Pocket Bleeding On Probing . The cornerstone of the periodontal examination is periodontal probing, and involves the use of a periodontal probe. Periodontitis is characterised by the loss of gingival and periodontal tissues. Patients present with a variety of signs including interproximal. Periodontal probing is essential for periodontal diagnosis,. The periodontal probe is an essential diagnostic tool to assess probing pocket depth, clinical attachment level, bleeding on probing,. Explain the efficacy of bop as a. Discuss the role of bleeding on probing (bop) in periodontal disease risk assessment. Bleeding on probing (bop) should also be recorded as present or absent at each site following probing, and provides (somewhat. Despite its limitations, bleeding on probing remains an integral part of a routine periodontal examination.
from www.researchgate.net
Periodontitis is characterised by the loss of gingival and periodontal tissues. Patients present with a variety of signs including interproximal. Despite its limitations, bleeding on probing remains an integral part of a routine periodontal examination. Periodontal probing is essential for periodontal diagnosis,. The periodontal probe is an essential diagnostic tool to assess probing pocket depth, clinical attachment level, bleeding on probing,. The cornerstone of the periodontal examination is periodontal probing, and involves the use of a periodontal probe. Explain the efficacy of bop as a. Bleeding on probing (bop) should also be recorded as present or absent at each site following probing, and provides (somewhat. Discuss the role of bleeding on probing (bop) in periodontal disease risk assessment.
Periimplant probing pocket depth, measured in millimeter, at the
Periodontal Pocket Bleeding On Probing Despite its limitations, bleeding on probing remains an integral part of a routine periodontal examination. Explain the efficacy of bop as a. The cornerstone of the periodontal examination is periodontal probing, and involves the use of a periodontal probe. Discuss the role of bleeding on probing (bop) in periodontal disease risk assessment. Despite its limitations, bleeding on probing remains an integral part of a routine periodontal examination. Patients present with a variety of signs including interproximal. The periodontal probe is an essential diagnostic tool to assess probing pocket depth, clinical attachment level, bleeding on probing,. Periodontal probing is essential for periodontal diagnosis,. Bleeding on probing (bop) should also be recorded as present or absent at each site following probing, and provides (somewhat. Periodontitis is characterised by the loss of gingival and periodontal tissues.
From www.semanticscholar.org
Figure 1 from Clinical Periodontal Diagnosis Probing Pocket Depth Periodontal Pocket Bleeding On Probing The cornerstone of the periodontal examination is periodontal probing, and involves the use of a periodontal probe. Periodontal probing is essential for periodontal diagnosis,. Discuss the role of bleeding on probing (bop) in periodontal disease risk assessment. Periodontitis is characterised by the loss of gingival and periodontal tissues. Explain the efficacy of bop as a. Bleeding on probing (bop) should. Periodontal Pocket Bleeding On Probing.
From www.deardoctor.com
Understanding Periodontal Pockets Periodontal Pocket Bleeding On Probing Bleeding on probing (bop) should also be recorded as present or absent at each site following probing, and provides (somewhat. Patients present with a variety of signs including interproximal. Discuss the role of bleeding on probing (bop) in periodontal disease risk assessment. The cornerstone of the periodontal examination is periodontal probing, and involves the use of a periodontal probe. Despite. Periodontal Pocket Bleeding On Probing.
From www.researchgate.net
Relationship between periodontal parameters (probing pocket depth, PPD Periodontal Pocket Bleeding On Probing Patients present with a variety of signs including interproximal. Despite its limitations, bleeding on probing remains an integral part of a routine periodontal examination. Periodontal probing is essential for periodontal diagnosis,. Discuss the role of bleeding on probing (bop) in periodontal disease risk assessment. The periodontal probe is an essential diagnostic tool to assess probing pocket depth, clinical attachment level,. Periodontal Pocket Bleeding On Probing.
From www.semanticscholar.org
Figure 1 from Clinical Periodontal Diagnosis Probing Pocket Depth Periodontal Pocket Bleeding On Probing The cornerstone of the periodontal examination is periodontal probing, and involves the use of a periodontal probe. Bleeding on probing (bop) should also be recorded as present or absent at each site following probing, and provides (somewhat. Periodontal probing is essential for periodontal diagnosis,. Despite its limitations, bleeding on probing remains an integral part of a routine periodontal examination. Explain. Periodontal Pocket Bleeding On Probing.
From periopeak.com
Before and After Pictures of Non Invasive RPE Periodontal Disease Periodontal Pocket Bleeding On Probing Explain the efficacy of bop as a. Periodontitis is characterised by the loss of gingival and periodontal tissues. The cornerstone of the periodontal examination is periodontal probing, and involves the use of a periodontal probe. Discuss the role of bleeding on probing (bop) in periodontal disease risk assessment. Patients present with a variety of signs including interproximal. The periodontal probe. Periodontal Pocket Bleeding On Probing.
From www.slideshare.net
BLEEDING ON PROBING PERIODONTICS Periodontal Pocket Bleeding On Probing The cornerstone of the periodontal examination is periodontal probing, and involves the use of a periodontal probe. Despite its limitations, bleeding on probing remains an integral part of a routine periodontal examination. Patients present with a variety of signs including interproximal. Bleeding on probing (bop) should also be recorded as present or absent at each site following probing, and provides. Periodontal Pocket Bleeding On Probing.
From periopeak.com
Before and After Pictures of Non Invasive RPE Periodontal Disease Periodontal Pocket Bleeding On Probing Discuss the role of bleeding on probing (bop) in periodontal disease risk assessment. Patients present with a variety of signs including interproximal. The cornerstone of the periodontal examination is periodontal probing, and involves the use of a periodontal probe. Despite its limitations, bleeding on probing remains an integral part of a routine periodontal examination. Periodontal probing is essential for periodontal. Periodontal Pocket Bleeding On Probing.
From www.youtube.com
Bleeding on Probing in Dentrix YouTube Periodontal Pocket Bleeding On Probing Discuss the role of bleeding on probing (bop) in periodontal disease risk assessment. Despite its limitations, bleeding on probing remains an integral part of a routine periodontal examination. Periodontitis is characterised by the loss of gingival and periodontal tissues. The periodontal probe is an essential diagnostic tool to assess probing pocket depth, clinical attachment level, bleeding on probing,. Bleeding on. Periodontal Pocket Bleeding On Probing.
From www.researchgate.net
5 The clinical evaluation of periodontal disease by probing. (a Periodontal Pocket Bleeding On Probing Despite its limitations, bleeding on probing remains an integral part of a routine periodontal examination. Explain the efficacy of bop as a. Patients present with a variety of signs including interproximal. The periodontal probe is an essential diagnostic tool to assess probing pocket depth, clinical attachment level, bleeding on probing,. Bleeding on probing (bop) should also be recorded as present. Periodontal Pocket Bleeding On Probing.
From www.researchgate.net
Periimplant probing pocket depth, measured in millimeter, at the Periodontal Pocket Bleeding On Probing Periodontitis is characterised by the loss of gingival and periodontal tissues. Patients present with a variety of signs including interproximal. The periodontal probe is an essential diagnostic tool to assess probing pocket depth, clinical attachment level, bleeding on probing,. Explain the efficacy of bop as a. Despite its limitations, bleeding on probing remains an integral part of a routine periodontal. Periodontal Pocket Bleeding On Probing.
From www.researchgate.net
Risk diagram of high risk periodontal patient with generalized bleeding Periodontal Pocket Bleeding On Probing The cornerstone of the periodontal examination is periodontal probing, and involves the use of a periodontal probe. Despite its limitations, bleeding on probing remains an integral part of a routine periodontal examination. Discuss the role of bleeding on probing (bop) in periodontal disease risk assessment. Periodontitis is characterised by the loss of gingival and periodontal tissues. Periodontal probing is essential. Periodontal Pocket Bleeding On Probing.
From www.researchgate.net
a Preoperative view of a 7 mm pocket with bleeding on probing around an Periodontal Pocket Bleeding On Probing Explain the efficacy of bop as a. The cornerstone of the periodontal examination is periodontal probing, and involves the use of a periodontal probe. Patients present with a variety of signs including interproximal. Bleeding on probing (bop) should also be recorded as present or absent at each site following probing, and provides (somewhat. The periodontal probe is an essential diagnostic. Periodontal Pocket Bleeding On Probing.
From www.researchgate.net
Bleeding after periodontal probing. Download Scientific Diagram Periodontal Pocket Bleeding On Probing Bleeding on probing (bop) should also be recorded as present or absent at each site following probing, and provides (somewhat. Explain the efficacy of bop as a. Despite its limitations, bleeding on probing remains an integral part of a routine periodontal examination. Periodontitis is characterised by the loss of gingival and periodontal tissues. Patients present with a variety of signs. Periodontal Pocket Bleeding On Probing.
From www.mycostamesadentist.com
The Importance of Periodontal Probing and Charting Periodontal Pocket Bleeding On Probing Patients present with a variety of signs including interproximal. Periodontitis is characterised by the loss of gingival and periodontal tissues. The cornerstone of the periodontal examination is periodontal probing, and involves the use of a periodontal probe. The periodontal probe is an essential diagnostic tool to assess probing pocket depth, clinical attachment level, bleeding on probing,. Explain the efficacy of. Periodontal Pocket Bleeding On Probing.
From dentalclinicraipur.com
Periodontitis & Gingivitis Meaning Symptoms Tx Gum Disease Periodontal Pocket Bleeding On Probing Despite its limitations, bleeding on probing remains an integral part of a routine periodontal examination. Periodontitis is characterised by the loss of gingival and periodontal tissues. Bleeding on probing (bop) should also be recorded as present or absent at each site following probing, and provides (somewhat. Periodontal probing is essential for periodontal diagnosis,. Explain the efficacy of bop as a.. Periodontal Pocket Bleeding On Probing.
From www.researchgate.net
Outlining study protocol (A) and collection of periodontal clinical Periodontal Pocket Bleeding On Probing Periodontitis is characterised by the loss of gingival and periodontal tissues. Despite its limitations, bleeding on probing remains an integral part of a routine periodontal examination. Discuss the role of bleeding on probing (bop) in periodontal disease risk assessment. Periodontal probing is essential for periodontal diagnosis,. The cornerstone of the periodontal examination is periodontal probing, and involves the use of. Periodontal Pocket Bleeding On Probing.
From blog.iti.org
Dental periimplant diseases ITI Blog Periodontal Pocket Bleeding On Probing Bleeding on probing (bop) should also be recorded as present or absent at each site following probing, and provides (somewhat. Despite its limitations, bleeding on probing remains an integral part of a routine periodontal examination. Discuss the role of bleeding on probing (bop) in periodontal disease risk assessment. Periodontal probing is essential for periodontal diagnosis,. Patients present with a variety. Periodontal Pocket Bleeding On Probing.
From exoukptui.blob.core.windows.net
Probing Depth In Periodontal Pocket at Patsy Andrews blog Periodontal Pocket Bleeding On Probing Explain the efficacy of bop as a. The periodontal probe is an essential diagnostic tool to assess probing pocket depth, clinical attachment level, bleeding on probing,. Bleeding on probing (bop) should also be recorded as present or absent at each site following probing, and provides (somewhat. Patients present with a variety of signs including interproximal. Periodontitis is characterised by the. Periodontal Pocket Bleeding On Probing.
From www.jrmds.in
medicaldentalsciencegingivalbleeding Periodontal Pocket Bleeding On Probing Patients present with a variety of signs including interproximal. Despite its limitations, bleeding on probing remains an integral part of a routine periodontal examination. The cornerstone of the periodontal examination is periodontal probing, and involves the use of a periodontal probe. Bleeding on probing (bop) should also be recorded as present or absent at each site following probing, and provides. Periodontal Pocket Bleeding On Probing.
From www.researchgate.net
(PDF) Supportive periodontal therapy affects dental implants probing Periodontal Pocket Bleeding On Probing Despite its limitations, bleeding on probing remains an integral part of a routine periodontal examination. Explain the efficacy of bop as a. The periodontal probe is an essential diagnostic tool to assess probing pocket depth, clinical attachment level, bleeding on probing,. Periodontal probing is essential for periodontal diagnosis,. Periodontitis is characterised by the loss of gingival and periodontal tissues. The. Periodontal Pocket Bleeding On Probing.
From dentagama.com
Gingival bleeding on probing BOP News Dentagama Periodontal Pocket Bleeding On Probing Patients present with a variety of signs including interproximal. Bleeding on probing (bop) should also be recorded as present or absent at each site following probing, and provides (somewhat. Discuss the role of bleeding on probing (bop) in periodontal disease risk assessment. The cornerstone of the periodontal examination is periodontal probing, and involves the use of a periodontal probe. Periodontal. Periodontal Pocket Bleeding On Probing.
From www.researchgate.net
(PDF) Periodontal Assessment of Permanent Molar Teeth Restored with Periodontal Pocket Bleeding On Probing Despite its limitations, bleeding on probing remains an integral part of a routine periodontal examination. Explain the efficacy of bop as a. The periodontal probe is an essential diagnostic tool to assess probing pocket depth, clinical attachment level, bleeding on probing,. Bleeding on probing (bop) should also be recorded as present or absent at each site following probing, and provides. Periodontal Pocket Bleeding On Probing.
From pocketdentistry.com
2 Periodontal disease Pocket Dentistry Periodontal Pocket Bleeding On Probing Explain the efficacy of bop as a. Periodontal probing is essential for periodontal diagnosis,. The periodontal probe is an essential diagnostic tool to assess probing pocket depth, clinical attachment level, bleeding on probing,. Periodontitis is characterised by the loss of gingival and periodontal tissues. Despite its limitations, bleeding on probing remains an integral part of a routine periodontal examination. Patients. Periodontal Pocket Bleeding On Probing.
From www.researchgate.net
In these clinical images (a) initial clinical examination showed Periodontal Pocket Bleeding On Probing Explain the efficacy of bop as a. Patients present with a variety of signs including interproximal. Discuss the role of bleeding on probing (bop) in periodontal disease risk assessment. The cornerstone of the periodontal examination is periodontal probing, and involves the use of a periodontal probe. The periodontal probe is an essential diagnostic tool to assess probing pocket depth, clinical. Periodontal Pocket Bleeding On Probing.
From www.deardoctor.com
Understanding Periodontal Pockets Periodontal Pocket Bleeding On Probing Periodontal probing is essential for periodontal diagnosis,. Discuss the role of bleeding on probing (bop) in periodontal disease risk assessment. Periodontitis is characterised by the loss of gingival and periodontal tissues. Explain the efficacy of bop as a. The cornerstone of the periodontal examination is periodontal probing, and involves the use of a periodontal probe. Despite its limitations, bleeding on. Periodontal Pocket Bleeding On Probing.
From www.researchgate.net
Careful visual examination and systematic periodontal probing remain Periodontal Pocket Bleeding On Probing The cornerstone of the periodontal examination is periodontal probing, and involves the use of a periodontal probe. Patients present with a variety of signs including interproximal. Periodontitis is characterised by the loss of gingival and periodontal tissues. Periodontal probing is essential for periodontal diagnosis,. Bleeding on probing (bop) should also be recorded as present or absent at each site following. Periodontal Pocket Bleeding On Probing.
From www.anyrgb.com
Periodontal Pathology, bad Teeth, Tooth, gingival Recession, cartoon Periodontal Pocket Bleeding On Probing Periodontal probing is essential for periodontal diagnosis,. Bleeding on probing (bop) should also be recorded as present or absent at each site following probing, and provides (somewhat. The periodontal probe is an essential diagnostic tool to assess probing pocket depth, clinical attachment level, bleeding on probing,. Despite its limitations, bleeding on probing remains an integral part of a routine periodontal. Periodontal Pocket Bleeding On Probing.
From www.researchgate.net
A Probing depth of periodontal pocket., 42 B Gingival bleeding. 43 Periodontal Pocket Bleeding On Probing Explain the efficacy of bop as a. Patients present with a variety of signs including interproximal. Bleeding on probing (bop) should also be recorded as present or absent at each site following probing, and provides (somewhat. Periodontal probing is essential for periodontal diagnosis,. Despite its limitations, bleeding on probing remains an integral part of a routine periodontal examination. The cornerstone. Periodontal Pocket Bleeding On Probing.
From www.slideserve.com
PPT Periodontal Diagnoses and Treatment Planning PowerPoint Periodontal Pocket Bleeding On Probing Explain the efficacy of bop as a. Periodontal probing is essential for periodontal diagnosis,. The periodontal probe is an essential diagnostic tool to assess probing pocket depth, clinical attachment level, bleeding on probing,. The cornerstone of the periodontal examination is periodontal probing, and involves the use of a periodontal probe. Periodontitis is characterised by the loss of gingival and periodontal. Periodontal Pocket Bleeding On Probing.
From exoukptui.blob.core.windows.net
Probing Depth In Periodontal Pocket at Patsy Andrews blog Periodontal Pocket Bleeding On Probing Patients present with a variety of signs including interproximal. Despite its limitations, bleeding on probing remains an integral part of a routine periodontal examination. Periodontal probing is essential for periodontal diagnosis,. Discuss the role of bleeding on probing (bop) in periodontal disease risk assessment. Periodontitis is characterised by the loss of gingival and periodontal tissues. Explain the efficacy of bop. Periodontal Pocket Bleeding On Probing.
From dentagama.com
Basic Periodontal Examination BPE News Dentagama Periodontal Pocket Bleeding On Probing Periodontitis is characterised by the loss of gingival and periodontal tissues. The cornerstone of the periodontal examination is periodontal probing, and involves the use of a periodontal probe. Bleeding on probing (bop) should also be recorded as present or absent at each site following probing, and provides (somewhat. Discuss the role of bleeding on probing (bop) in periodontal disease risk. Periodontal Pocket Bleeding On Probing.
From www.researchgate.net
(PDF) Smoking and periodontal disease severity, probing pocket depth Periodontal Pocket Bleeding On Probing Despite its limitations, bleeding on probing remains an integral part of a routine periodontal examination. The cornerstone of the periodontal examination is periodontal probing, and involves the use of a periodontal probe. Patients present with a variety of signs including interproximal. The periodontal probe is an essential diagnostic tool to assess probing pocket depth, clinical attachment level, bleeding on probing,.. Periodontal Pocket Bleeding On Probing.
From www.perio-tools.com
Your online portal for periodontal tools! Periodontal Pocket Bleeding On Probing The cornerstone of the periodontal examination is periodontal probing, and involves the use of a periodontal probe. Periodontitis is characterised by the loss of gingival and periodontal tissues. Bleeding on probing (bop) should also be recorded as present or absent at each site following probing, and provides (somewhat. Discuss the role of bleeding on probing (bop) in periodontal disease risk. Periodontal Pocket Bleeding On Probing.
From www.colgateprofessional.com
Periodontal Probing Back to Basics Colgate® Professional Periodontal Pocket Bleeding On Probing Explain the efficacy of bop as a. Patients present with a variety of signs including interproximal. Discuss the role of bleeding on probing (bop) in periodontal disease risk assessment. Periodontitis is characterised by the loss of gingival and periodontal tissues. Periodontal probing is essential for periodontal diagnosis,. The cornerstone of the periodontal examination is periodontal probing, and involves the use. Periodontal Pocket Bleeding On Probing.
From www.colgateprofessional.co.th
Pocketing And Bleeding On Probing Colgate® Professional Periodontal Pocket Bleeding On Probing Periodontitis is characterised by the loss of gingival and periodontal tissues. Discuss the role of bleeding on probing (bop) in periodontal disease risk assessment. Periodontal probing is essential for periodontal diagnosis,. Explain the efficacy of bop as a. Patients present with a variety of signs including interproximal. The periodontal probe is an essential diagnostic tool to assess probing pocket depth,. Periodontal Pocket Bleeding On Probing.