Dog With Broken Jaw . what causes broken jaws in dogs? In this blog post, our grayson vets discuss. Suffering a broken jawbone can be a very painful and scary experience for your dog. a fractured jaw can happen unexpectedly and have a number of potential causes. fractures of the upper jaw and lower jaw (mandible) are mostly seen in dogs due to injury or trauma. your dog’s jaw has a mandible (lower jaw) and a maxilla (upper jaw) which can be fractured in an accident or other. Common traumatic events include vehicular trauma or an altercation with another dog. bluepearl veterinary specialists explain how they use wire and acrylic splinting to repair jaw fractures in dogs that have suffered a traumatic event. Jaw fractures are especially common in small breeds. At animal dental care and oral surgery, most mandibular fractures treated have occurred because of a trauma or as a result of periodontal disease. broken jaws in dogs: if your dog suffers a broken jawbone, it can be very painful and scary.
from atlantaveterinarydentistry.net
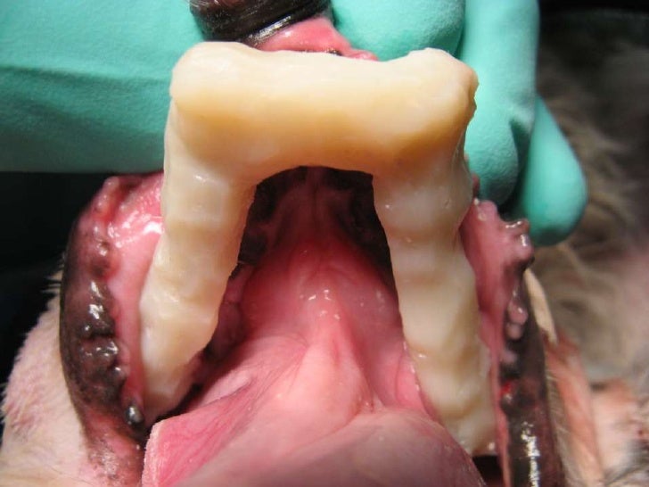
fractures of the upper jaw and lower jaw (mandible) are mostly seen in dogs due to injury or trauma. Suffering a broken jawbone can be a very painful and scary experience for your dog. a fractured jaw can happen unexpectedly and have a number of potential causes. In this blog post, our grayson vets discuss. At animal dental care and oral surgery, most mandibular fractures treated have occurred because of a trauma or as a result of periodontal disease. Common traumatic events include vehicular trauma or an altercation with another dog. broken jaws in dogs: your dog’s jaw has a mandible (lower jaw) and a maxilla (upper jaw) which can be fractured in an accident or other. bluepearl veterinary specialists explain how they use wire and acrylic splinting to repair jaw fractures in dogs that have suffered a traumatic event. what causes broken jaws in dogs?
Jaw Fracture Repair Atlanta Veterinary Dentistry
Dog With Broken Jaw Jaw fractures are especially common in small breeds. if your dog suffers a broken jawbone, it can be very painful and scary. a fractured jaw can happen unexpectedly and have a number of potential causes. your dog’s jaw has a mandible (lower jaw) and a maxilla (upper jaw) which can be fractured in an accident or other. what causes broken jaws in dogs? In this blog post, our grayson vets discuss. Jaw fractures are especially common in small breeds. At animal dental care and oral surgery, most mandibular fractures treated have occurred because of a trauma or as a result of periodontal disease. bluepearl veterinary specialists explain how they use wire and acrylic splinting to repair jaw fractures in dogs that have suffered a traumatic event. Common traumatic events include vehicular trauma or an altercation with another dog. fractures of the upper jaw and lower jaw (mandible) are mostly seen in dogs due to injury or trauma. Suffering a broken jawbone can be a very painful and scary experience for your dog. broken jaws in dogs:
From www.boston25news.com
Dog suffers broken jaw after abuse during breakin Dog With Broken Jaw your dog’s jaw has a mandible (lower jaw) and a maxilla (upper jaw) which can be fractured in an accident or other. At animal dental care and oral surgery, most mandibular fractures treated have occurred because of a trauma or as a result of periodontal disease. what causes broken jaws in dogs? fractures of the upper jaw. Dog With Broken Jaw.
From www.petmd.com
Fractures of Upper Jaw and Lower Jaw in Dogs PetMD Dog With Broken Jaw broken jaws in dogs: In this blog post, our grayson vets discuss. At animal dental care and oral surgery, most mandibular fractures treated have occurred because of a trauma or as a result of periodontal disease. fractures of the upper jaw and lower jaw (mandible) are mostly seen in dogs due to injury or trauma. Suffering a broken. Dog With Broken Jaw.
From www.waxhaw.providencevets.com
What You Need to Know If Your Dog Has a Broken Jaw Waxhaw Vet Dog Dog With Broken Jaw In this blog post, our grayson vets discuss. broken jaws in dogs: Suffering a broken jawbone can be a very painful and scary experience for your dog. your dog’s jaw has a mandible (lower jaw) and a maxilla (upper jaw) which can be fractured in an accident or other. if your dog suffers a broken jawbone, it. Dog With Broken Jaw.
From www.anaheimanimalcare.com
Broken Jaws in Dogs Causes & Treatments Anaheim Vets Dog With Broken Jaw Suffering a broken jawbone can be a very painful and scary experience for your dog. fractures of the upper jaw and lower jaw (mandible) are mostly seen in dogs due to injury or trauma. In this blog post, our grayson vets discuss. what causes broken jaws in dogs? a fractured jaw can happen unexpectedly and have a. Dog With Broken Jaw.
From www.slideshare.net
Veterinary Dentistry Non Invasive Mandibular Fracture Repair in Dog… Dog With Broken Jaw if your dog suffers a broken jawbone, it can be very painful and scary. Suffering a broken jawbone can be a very painful and scary experience for your dog. Common traumatic events include vehicular trauma or an altercation with another dog. what causes broken jaws in dogs? Jaw fractures are especially common in small breeds. At animal dental. Dog With Broken Jaw.
From www.huffingtonpost.com
Rescue Center Takes In Alarming Number Of Dogs With Broken Jaws (PHOTOS) Dog With Broken Jaw a fractured jaw can happen unexpectedly and have a number of potential causes. fractures of the upper jaw and lower jaw (mandible) are mostly seen in dogs due to injury or trauma. Suffering a broken jawbone can be a very painful and scary experience for your dog. if your dog suffers a broken jawbone, it can be. Dog With Broken Jaw.
From www.i-heart-pets.com
Shocking. This Dog Was Wandering The Streets For 2 Weeks Like This Dog With Broken Jaw a fractured jaw can happen unexpectedly and have a number of potential causes. bluepearl veterinary specialists explain how they use wire and acrylic splinting to repair jaw fractures in dogs that have suffered a traumatic event. Jaw fractures are especially common in small breeds. Common traumatic events include vehicular trauma or an altercation with another dog. what. Dog With Broken Jaw.
From petrescuereport.com
Dog found wandering in Salina with broken jaw and head injuries Pet Dog With Broken Jaw what causes broken jaws in dogs? Suffering a broken jawbone can be a very painful and scary experience for your dog. if your dog suffers a broken jawbone, it can be very painful and scary. Jaw fractures are especially common in small breeds. fractures of the upper jaw and lower jaw (mandible) are mostly seen in dogs. Dog With Broken Jaw.
From atlantaveterinarydentistry.net
Jaw Fracture Repair Atlanta Veterinary Dentistry Dog With Broken Jaw At animal dental care and oral surgery, most mandibular fractures treated have occurred because of a trauma or as a result of periodontal disease. bluepearl veterinary specialists explain how they use wire and acrylic splinting to repair jaw fractures in dogs that have suffered a traumatic event. fractures of the upper jaw and lower jaw (mandible) are mostly. Dog With Broken Jaw.
From www.12news.com
Stray puppy found with broken jaw is on his way to recovery Dog With Broken Jaw what causes broken jaws in dogs? a fractured jaw can happen unexpectedly and have a number of potential causes. if your dog suffers a broken jawbone, it can be very painful and scary. Jaw fractures are especially common in small breeds. bluepearl veterinary specialists explain how they use wire and acrylic splinting to repair jaw fractures. Dog With Broken Jaw.
From www.youtube.com
Zebbie's rescue our another dog with broken jaw MDFB YouTube Dog With Broken Jaw what causes broken jaws in dogs? At animal dental care and oral surgery, most mandibular fractures treated have occurred because of a trauma or as a result of periodontal disease. Suffering a broken jawbone can be a very painful and scary experience for your dog. broken jaws in dogs: your dog’s jaw has a mandible (lower jaw). Dog With Broken Jaw.
From myanimalcare.org
Shihtzu with broken jaw looking for a home (Lim Swee Yen’s) AnimalCare Dog With Broken Jaw a fractured jaw can happen unexpectedly and have a number of potential causes. fractures of the upper jaw and lower jaw (mandible) are mostly seen in dogs due to injury or trauma. Common traumatic events include vehicular trauma or an altercation with another dog. bluepearl veterinary specialists explain how they use wire and acrylic splinting to repair. Dog With Broken Jaw.
From veterinary.gr
Fracture of the mandibular symphysis in a dog veterinary.gr Dog With Broken Jaw Jaw fractures are especially common in small breeds. what causes broken jaws in dogs? your dog’s jaw has a mandible (lower jaw) and a maxilla (upper jaw) which can be fractured in an accident or other. At animal dental care and oral surgery, most mandibular fractures treated have occurred because of a trauma or as a result of. Dog With Broken Jaw.
From www.youtube.com
The mother dog with a broken jaw squeezed her strength to feed her Dog With Broken Jaw At animal dental care and oral surgery, most mandibular fractures treated have occurred because of a trauma or as a result of periodontal disease. bluepearl veterinary specialists explain how they use wire and acrylic splinting to repair jaw fractures in dogs that have suffered a traumatic event. Common traumatic events include vehicular trauma or an altercation with another dog.. Dog With Broken Jaw.
From petrescuereport.com
Update Dog with broken jaw waited in Texas parking lot for help Pet Dog With Broken Jaw fractures of the upper jaw and lower jaw (mandible) are mostly seen in dogs due to injury or trauma. Suffering a broken jawbone can be a very painful and scary experience for your dog. bluepearl veterinary specialists explain how they use wire and acrylic splinting to repair jaw fractures in dogs that have suffered a traumatic event. Jaw. Dog With Broken Jaw.
From www.youtube.com
Starving Dog with Broken Jaw YouTube Dog With Broken Jaw bluepearl veterinary specialists explain how they use wire and acrylic splinting to repair jaw fractures in dogs that have suffered a traumatic event. what causes broken jaws in dogs? your dog’s jaw has a mandible (lower jaw) and a maxilla (upper jaw) which can be fractured in an accident or other. In this blog post, our grayson. Dog With Broken Jaw.
From www.youtube.com
WE RESCUE A LITTLE PUPPY WITH A BROKEN JAW !... SHE NEEDS HELP!! YouTube Dog With Broken Jaw Jaw fractures are especially common in small breeds. Suffering a broken jawbone can be a very painful and scary experience for your dog. In this blog post, our grayson vets discuss. if your dog suffers a broken jawbone, it can be very painful and scary. a fractured jaw can happen unexpectedly and have a number of potential causes.. Dog With Broken Jaw.
From www.pinterest.com
Diego with broken jaw Animals, Dogs, Diego Dog With Broken Jaw bluepearl veterinary specialists explain how they use wire and acrylic splinting to repair jaw fractures in dogs that have suffered a traumatic event. At animal dental care and oral surgery, most mandibular fractures treated have occurred because of a trauma or as a result of periodontal disease. Common traumatic events include vehicular trauma or an altercation with another dog.. Dog With Broken Jaw.
From animaldentalcenter.com
Pet Jaw Fractures Animal Dental Center Dog With Broken Jaw Suffering a broken jawbone can be a very painful and scary experience for your dog. At animal dental care and oral surgery, most mandibular fractures treated have occurred because of a trauma or as a result of periodontal disease. what causes broken jaws in dogs? bluepearl veterinary specialists explain how they use wire and acrylic splinting to repair. Dog With Broken Jaw.
From fyotzwkvg.blob.core.windows.net
How To Tell If A Dog Has A Broken Jaw at Abigail Brown blog Dog With Broken Jaw Common traumatic events include vehicular trauma or an altercation with another dog. At animal dental care and oral surgery, most mandibular fractures treated have occurred because of a trauma or as a result of periodontal disease. In this blog post, our grayson vets discuss. broken jaws in dogs: if your dog suffers a broken jawbone, it can be. Dog With Broken Jaw.
From petrescuereport.com
Update Dog with broken jaw waited in Texas parking lot for help Pet Dog With Broken Jaw Suffering a broken jawbone can be a very painful and scary experience for your dog. fractures of the upper jaw and lower jaw (mandible) are mostly seen in dogs due to injury or trauma. In this blog post, our grayson vets discuss. bluepearl veterinary specialists explain how they use wire and acrylic splinting to repair jaw fractures in. Dog With Broken Jaw.
From www.cliniciansbrief.com
Jaw Fractures Clinician's Brief Dog With Broken Jaw a fractured jaw can happen unexpectedly and have a number of potential causes. In this blog post, our grayson vets discuss. if your dog suffers a broken jawbone, it can be very painful and scary. At animal dental care and oral surgery, most mandibular fractures treated have occurred because of a trauma or as a result of periodontal. Dog With Broken Jaw.
From www.youtube.com
Dog's Broken Jaw Reveals Underlying Health Problem Dr. Jeff Rocky Dog With Broken Jaw fractures of the upper jaw and lower jaw (mandible) are mostly seen in dogs due to injury or trauma. a fractured jaw can happen unexpectedly and have a number of potential causes. what causes broken jaws in dogs? In this blog post, our grayson vets discuss. if your dog suffers a broken jawbone, it can be. Dog With Broken Jaw.
From www.youtube.com
Rescued Street Dog with Broken Jaw (Mandible fracture) and reunite with Dog With Broken Jaw a fractured jaw can happen unexpectedly and have a number of potential causes. what causes broken jaws in dogs? fractures of the upper jaw and lower jaw (mandible) are mostly seen in dogs due to injury or trauma. bluepearl veterinary specialists explain how they use wire and acrylic splinting to repair jaw fractures in dogs that. Dog With Broken Jaw.
From jaksaperkasa.blogspot.com
How To Unlock A Dogs Locked Jaw Tiny Puppy With Broken Jaw Astounds Dog With Broken Jaw Common traumatic events include vehicular trauma or an altercation with another dog. bluepearl veterinary specialists explain how they use wire and acrylic splinting to repair jaw fractures in dogs that have suffered a traumatic event. Jaw fractures are especially common in small breeds. what causes broken jaws in dogs? broken jaws in dogs: In this blog post,. Dog With Broken Jaw.
From www.europapress.es
Cuatro cirugías después este perro recupera la mandíbula destrozada por Dog With Broken Jaw fractures of the upper jaw and lower jaw (mandible) are mostly seen in dogs due to injury or trauma. your dog’s jaw has a mandible (lower jaw) and a maxilla (upper jaw) which can be fractured in an accident or other. a fractured jaw can happen unexpectedly and have a number of potential causes. In this blog. Dog With Broken Jaw.
From www.catawbaanimal.com
Broken Jaws in Dogs Rock Hill Vet Dog With Broken Jaw Suffering a broken jawbone can be a very painful and scary experience for your dog. In this blog post, our grayson vets discuss. if your dog suffers a broken jawbone, it can be very painful and scary. your dog’s jaw has a mandible (lower jaw) and a maxilla (upper jaw) which can be fractured in an accident or. Dog With Broken Jaw.
From acidcow.com
These Dogs Look Broken (21 pics) Dog With Broken Jaw At animal dental care and oral surgery, most mandibular fractures treated have occurred because of a trauma or as a result of periodontal disease. fractures of the upper jaw and lower jaw (mandible) are mostly seen in dogs due to injury or trauma. Suffering a broken jawbone can be a very painful and scary experience for your dog. . Dog With Broken Jaw.
From www.youtube.com
Toby dog with the broken jaw YouTube Dog With Broken Jaw Common traumatic events include vehicular trauma or an altercation with another dog. bluepearl veterinary specialists explain how they use wire and acrylic splinting to repair jaw fractures in dogs that have suffered a traumatic event. your dog’s jaw has a mandible (lower jaw) and a maxilla (upper jaw) which can be fractured in an accident or other. . Dog With Broken Jaw.
From petrescuereport.com
Reward offered ailing dog with broken jaw and tumors found Pet Dog With Broken Jaw fractures of the upper jaw and lower jaw (mandible) are mostly seen in dogs due to injury or trauma. Suffering a broken jawbone can be a very painful and scary experience for your dog. broken jaws in dogs: In this blog post, our grayson vets discuss. At animal dental care and oral surgery, most mandibular fractures treated have. Dog With Broken Jaw.
From abc7chicago.com
Community helps dog with broken jaw, leg ABC7 Chicago Dog With Broken Jaw Jaw fractures are especially common in small breeds. bluepearl veterinary specialists explain how they use wire and acrylic splinting to repair jaw fractures in dogs that have suffered a traumatic event. Common traumatic events include vehicular trauma or an altercation with another dog. At animal dental care and oral surgery, most mandibular fractures treated have occurred because of a. Dog With Broken Jaw.
From www.tricoanimalclinic.com
Broken Jaws in Dogs Causes & Treatments Louisa Vets Dog With Broken Jaw if your dog suffers a broken jawbone, it can be very painful and scary. your dog’s jaw has a mandible (lower jaw) and a maxilla (upper jaw) which can be fractured in an accident or other. At animal dental care and oral surgery, most mandibular fractures treated have occurred because of a trauma or as a result of. Dog With Broken Jaw.
From www.cliniciansbrief.com
Jaw Fractures Clinician's Brief Dog With Broken Jaw your dog’s jaw has a mandible (lower jaw) and a maxilla (upper jaw) which can be fractured in an accident or other. Common traumatic events include vehicular trauma or an altercation with another dog. broken jaws in dogs: Suffering a broken jawbone can be a very painful and scary experience for your dog. fractures of the upper. Dog With Broken Jaw.
From www.dogheirs.com
Street Dog Starving from Broken Jaw Finds Reason to Smile Again Dog With Broken Jaw what causes broken jaws in dogs? broken jaws in dogs: At animal dental care and oral surgery, most mandibular fractures treated have occurred because of a trauma or as a result of periodontal disease. fractures of the upper jaw and lower jaw (mandible) are mostly seen in dogs due to injury or trauma. your dog’s jaw. Dog With Broken Jaw.
From www.youtube.com
Rescued Dog With Broken Jaw Gets LifeChanging Surgery Animal Dog With Broken Jaw if your dog suffers a broken jawbone, it can be very painful and scary. bluepearl veterinary specialists explain how they use wire and acrylic splinting to repair jaw fractures in dogs that have suffered a traumatic event. your dog’s jaw has a mandible (lower jaw) and a maxilla (upper jaw) which can be fractured in an accident. Dog With Broken Jaw.