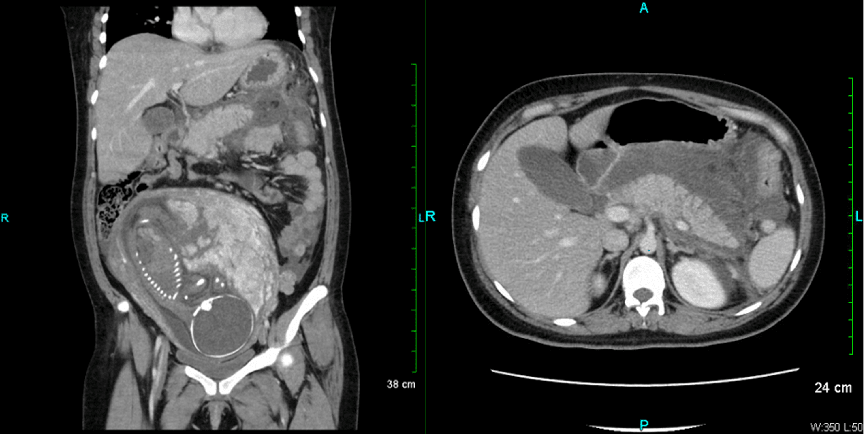
Pancreatitis During Pregnancy First Trimester . Acute pancreatitis in pregnancy (apip) is a rare condition; In this study, patients who developed pancreatitis in the first trimester had the lowest percentage probability to reach term pregnancy. The most common misdiagnosis of pancreatitis in the first trimester is hyperemesis. Acute pancreatitis (ap) during pregnancy is a rare disease with an estimated incidence rate of about 1 case per 1000 to 10. 19% of these were diagnosed in the first trimester, 26% in the. In another study 43 pregnant women out of 147 197 were diagnosed with ap; The incidence of acute pancreatitis during pregnancy is not different with respect to the general population, but this incidence. Conservative management in the first trimester is recommended, and in the case of acute biliary pancreatitis. In women presenting with severe nausea and.
from edm.bioscientifica.com
In women presenting with severe nausea and. Acute pancreatitis in pregnancy (apip) is a rare condition; The incidence of acute pancreatitis during pregnancy is not different with respect to the general population, but this incidence. 19% of these were diagnosed in the first trimester, 26% in the. The most common misdiagnosis of pancreatitis in the first trimester is hyperemesis. In another study 43 pregnant women out of 147 197 were diagnosed with ap; In this study, patients who developed pancreatitis in the first trimester had the lowest percentage probability to reach term pregnancy. Acute pancreatitis (ap) during pregnancy is a rare disease with an estimated incidence rate of about 1 case per 1000 to 10. Conservative management in the first trimester is recommended, and in the case of acute biliary pancreatitis.
A rare case of hypercalcemiainduced pancreatitis in a first trimester
Pancreatitis During Pregnancy First Trimester The most common misdiagnosis of pancreatitis in the first trimester is hyperemesis. Acute pancreatitis in pregnancy (apip) is a rare condition; Conservative management in the first trimester is recommended, and in the case of acute biliary pancreatitis. In women presenting with severe nausea and. The most common misdiagnosis of pancreatitis in the first trimester is hyperemesis. Acute pancreatitis (ap) during pregnancy is a rare disease with an estimated incidence rate of about 1 case per 1000 to 10. In this study, patients who developed pancreatitis in the first trimester had the lowest percentage probability to reach term pregnancy. In another study 43 pregnant women out of 147 197 were diagnosed with ap; 19% of these were diagnosed in the first trimester, 26% in the. The incidence of acute pancreatitis during pregnancy is not different with respect to the general population, but this incidence.
From www.ejog.org
Early plasmapheresis as a successful treatment in hypertriglyceridemia Pancreatitis During Pregnancy First Trimester In this study, patients who developed pancreatitis in the first trimester had the lowest percentage probability to reach term pregnancy. The most common misdiagnosis of pancreatitis in the first trimester is hyperemesis. In women presenting with severe nausea and. The incidence of acute pancreatitis during pregnancy is not different with respect to the general population, but this incidence. Conservative management. Pancreatitis During Pregnancy First Trimester.
From www.researchgate.net
(PDF) A rare case of hypercalcemiainduced pancreatitis in a first Pancreatitis During Pregnancy First Trimester In women presenting with severe nausea and. The incidence of acute pancreatitis during pregnancy is not different with respect to the general population, but this incidence. Acute pancreatitis (ap) during pregnancy is a rare disease with an estimated incidence rate of about 1 case per 1000 to 10. Conservative management in the first trimester is recommended, and in the case. Pancreatitis During Pregnancy First Trimester.
From www.researchgate.net
Differential diagnosis of acute pancreatitis in pregnancy. Download Table Pancreatitis During Pregnancy First Trimester Conservative management in the first trimester is recommended, and in the case of acute biliary pancreatitis. Acute pancreatitis in pregnancy (apip) is a rare condition; 19% of these were diagnosed in the first trimester, 26% in the. In another study 43 pregnant women out of 147 197 were diagnosed with ap; The most common misdiagnosis of pancreatitis in the first. Pancreatitis During Pregnancy First Trimester.
From www.mdpi.com
IJERPH Free FullText Pancreatitis in Review Pancreatitis During Pregnancy First Trimester The most common misdiagnosis of pancreatitis in the first trimester is hyperemesis. 19% of these were diagnosed in the first trimester, 26% in the. In women presenting with severe nausea and. The incidence of acute pancreatitis during pregnancy is not different with respect to the general population, but this incidence. Conservative management in the first trimester is recommended, and in. Pancreatitis During Pregnancy First Trimester.
From www.semanticscholar.org
Table 1 from A Case of Idiopathic Acute Pancreatitis in the First Pancreatitis During Pregnancy First Trimester 19% of these were diagnosed in the first trimester, 26% in the. In women presenting with severe nausea and. Conservative management in the first trimester is recommended, and in the case of acute biliary pancreatitis. In another study 43 pregnant women out of 147 197 were diagnosed with ap; The most common misdiagnosis of pancreatitis in the first trimester is. Pancreatitis During Pregnancy First Trimester.
From www.scribd.com
Acute Pancreatitis During Pregnancy PDF Pancreatitis During Pregnancy First Trimester 19% of these were diagnosed in the first trimester, 26% in the. Acute pancreatitis in pregnancy (apip) is a rare condition; The most common misdiagnosis of pancreatitis in the first trimester is hyperemesis. Acute pancreatitis (ap) during pregnancy is a rare disease with an estimated incidence rate of about 1 case per 1000 to 10. In another study 43 pregnant. Pancreatitis During Pregnancy First Trimester.
From www.semanticscholar.org
Table 1 from A Case of Idiopathic Acute Pancreatitis in the First Pancreatitis During Pregnancy First Trimester Conservative management in the first trimester is recommended, and in the case of acute biliary pancreatitis. Acute pancreatitis (ap) during pregnancy is a rare disease with an estimated incidence rate of about 1 case per 1000 to 10. The most common misdiagnosis of pancreatitis in the first trimester is hyperemesis. In women presenting with severe nausea and. 19% of these. Pancreatitis During Pregnancy First Trimester.
From www.researchgate.net
Baseline investigations of the pregnant patients with acute Pancreatitis During Pregnancy First Trimester Acute pancreatitis in pregnancy (apip) is a rare condition; Conservative management in the first trimester is recommended, and in the case of acute biliary pancreatitis. In this study, patients who developed pancreatitis in the first trimester had the lowest percentage probability to reach term pregnancy. 19% of these were diagnosed in the first trimester, 26% in the. The incidence of. Pancreatitis During Pregnancy First Trimester.
From slideplayer.com
HUMAN REPRODUCTION and DEVELOPMENT ppt download Pancreatitis During Pregnancy First Trimester The incidence of acute pancreatitis during pregnancy is not different with respect to the general population, but this incidence. The most common misdiagnosis of pancreatitis in the first trimester is hyperemesis. 19% of these were diagnosed in the first trimester, 26% in the. Acute pancreatitis in pregnancy (apip) is a rare condition; In this study, patients who developed pancreatitis in. Pancreatitis During Pregnancy First Trimester.
From www.researchgate.net
(PDF) Primary Hyperparathyroidism In A FirstTrimester Woman With Pancreatitis During Pregnancy First Trimester In this study, patients who developed pancreatitis in the first trimester had the lowest percentage probability to reach term pregnancy. Conservative management in the first trimester is recommended, and in the case of acute biliary pancreatitis. In women presenting with severe nausea and. In another study 43 pregnant women out of 147 197 were diagnosed with ap; The incidence of. Pancreatitis During Pregnancy First Trimester.
From www.momjunction.com
Pancreatitis In Children Symptoms, Diagnosis & Treatment Pancreatitis During Pregnancy First Trimester Acute pancreatitis (ap) during pregnancy is a rare disease with an estimated incidence rate of about 1 case per 1000 to 10. Conservative management in the first trimester is recommended, and in the case of acute biliary pancreatitis. The incidence of acute pancreatitis during pregnancy is not different with respect to the general population, but this incidence. 19% of these. Pancreatitis During Pregnancy First Trimester.
From www.academia.edu
(PDF) Hyperparathyrodism and pancreatitis during pregnancy Ronald E Pancreatitis During Pregnancy First Trimester In this study, patients who developed pancreatitis in the first trimester had the lowest percentage probability to reach term pregnancy. Acute pancreatitis in pregnancy (apip) is a rare condition; Acute pancreatitis (ap) during pregnancy is a rare disease with an estimated incidence rate of about 1 case per 1000 to 10. In another study 43 pregnant women out of 147. Pancreatitis During Pregnancy First Trimester.
From www.semanticscholar.org
Figure 1 from Acute Pancreatitis In Pregnancy Semantic Scholar Pancreatitis During Pregnancy First Trimester The most common misdiagnosis of pancreatitis in the first trimester is hyperemesis. The incidence of acute pancreatitis during pregnancy is not different with respect to the general population, but this incidence. In women presenting with severe nausea and. Acute pancreatitis in pregnancy (apip) is a rare condition; Acute pancreatitis (ap) during pregnancy is a rare disease with an estimated incidence. Pancreatitis During Pregnancy First Trimester.
From www.semanticscholar.org
Table 1 from Acute pancreatitis in pregnancy—Up to date Semantic Scholar Pancreatitis During Pregnancy First Trimester Acute pancreatitis (ap) during pregnancy is a rare disease with an estimated incidence rate of about 1 case per 1000 to 10. The incidence of acute pancreatitis during pregnancy is not different with respect to the general population, but this incidence. The most common misdiagnosis of pancreatitis in the first trimester is hyperemesis. Acute pancreatitis in pregnancy (apip) is a. Pancreatitis During Pregnancy First Trimester.
From blog.pregistry.com
Pancreatitis During Pregnancy The Pulse Pancreatitis During Pregnancy First Trimester Conservative management in the first trimester is recommended, and in the case of acute biliary pancreatitis. In this study, patients who developed pancreatitis in the first trimester had the lowest percentage probability to reach term pregnancy. The incidence of acute pancreatitis during pregnancy is not different with respect to the general population, but this incidence. In women presenting with severe. Pancreatitis During Pregnancy First Trimester.
From edm.bioscientifica.com
A rare case of hypercalcemiainduced pancreatitis in a first trimester Pancreatitis During Pregnancy First Trimester Conservative management in the first trimester is recommended, and in the case of acute biliary pancreatitis. 19% of these were diagnosed in the first trimester, 26% in the. In this study, patients who developed pancreatitis in the first trimester had the lowest percentage probability to reach term pregnancy. Acute pancreatitis (ap) during pregnancy is a rare disease with an estimated. Pancreatitis During Pregnancy First Trimester.
From www.intechopen.com
Acute Pancreatitis During Pregnancy IntechOpen Pancreatitis During Pregnancy First Trimester Acute pancreatitis (ap) during pregnancy is a rare disease with an estimated incidence rate of about 1 case per 1000 to 10. In women presenting with severe nausea and. Conservative management in the first trimester is recommended, and in the case of acute biliary pancreatitis. In another study 43 pregnant women out of 147 197 were diagnosed with ap; The. Pancreatitis During Pregnancy First Trimester.
From www.cureus.com
Cureus HypertriglyceridemiaInduced Acute Pancreatitis During Pancreatitis During Pregnancy First Trimester 19% of these were diagnosed in the first trimester, 26% in the. Conservative management in the first trimester is recommended, and in the case of acute biliary pancreatitis. In this study, patients who developed pancreatitis in the first trimester had the lowest percentage probability to reach term pregnancy. In another study 43 pregnant women out of 147 197 were diagnosed. Pancreatitis During Pregnancy First Trimester.
From www.researchgate.net
(PDF) Clinical characteristics and early identification of acute Pancreatitis During Pregnancy First Trimester Conservative management in the first trimester is recommended, and in the case of acute biliary pancreatitis. The most common misdiagnosis of pancreatitis in the first trimester is hyperemesis. 19% of these were diagnosed in the first trimester, 26% in the. In another study 43 pregnant women out of 147 197 were diagnosed with ap; Acute pancreatitis in pregnancy (apip) is. Pancreatitis During Pregnancy First Trimester.
From www.pacehospital.com
Pancreatitis Acute and Chronic Symptoms, Causes and Treatment Pancreatitis During Pregnancy First Trimester Acute pancreatitis in pregnancy (apip) is a rare condition; The most common misdiagnosis of pancreatitis in the first trimester is hyperemesis. In another study 43 pregnant women out of 147 197 were diagnosed with ap; In women presenting with severe nausea and. Conservative management in the first trimester is recommended, and in the case of acute biliary pancreatitis. The incidence. Pancreatitis During Pregnancy First Trimester.
From edm.bioscientifica.com
A rare case of hypercalcemiainduced pancreatitis in a first trimester Pancreatitis During Pregnancy First Trimester Conservative management in the first trimester is recommended, and in the case of acute biliary pancreatitis. In women presenting with severe nausea and. Acute pancreatitis (ap) during pregnancy is a rare disease with an estimated incidence rate of about 1 case per 1000 to 10. The incidence of acute pancreatitis during pregnancy is not different with respect to the general. Pancreatitis During Pregnancy First Trimester.
From www.researchgate.net
(PDF) Severe hypertriglyceridemiainduced pancreatitis during pregnancy Pancreatitis During Pregnancy First Trimester In women presenting with severe nausea and. 19% of these were diagnosed in the first trimester, 26% in the. Acute pancreatitis (ap) during pregnancy is a rare disease with an estimated incidence rate of about 1 case per 1000 to 10. Acute pancreatitis in pregnancy (apip) is a rare condition; In this study, patients who developed pancreatitis in the first. Pancreatitis During Pregnancy First Trimester.
From www.researchgate.net
Differential diagnosis of acute pancreatitis in pregnancy. Download Table Pancreatitis During Pregnancy First Trimester 19% of these were diagnosed in the first trimester, 26% in the. Conservative management in the first trimester is recommended, and in the case of acute biliary pancreatitis. The incidence of acute pancreatitis during pregnancy is not different with respect to the general population, but this incidence. Acute pancreatitis (ap) during pregnancy is a rare disease with an estimated incidence. Pancreatitis During Pregnancy First Trimester.
From www.pacehospital.com
Pancreatitis Acute and Chronic Symptoms, Causes and Treatment Pancreatitis During Pregnancy First Trimester In women presenting with severe nausea and. In this study, patients who developed pancreatitis in the first trimester had the lowest percentage probability to reach term pregnancy. The most common misdiagnosis of pancreatitis in the first trimester is hyperemesis. In another study 43 pregnant women out of 147 197 were diagnosed with ap; Acute pancreatitis in pregnancy (apip) is a. Pancreatitis During Pregnancy First Trimester.
From www.researchgate.net
Protocol for acute pancreatitis in pregnancy. Download Scientific Diagram Pancreatitis During Pregnancy First Trimester 19% of these were diagnosed in the first trimester, 26% in the. In this study, patients who developed pancreatitis in the first trimester had the lowest percentage probability to reach term pregnancy. The incidence of acute pancreatitis during pregnancy is not different with respect to the general population, but this incidence. In women presenting with severe nausea and. Conservative management. Pancreatitis During Pregnancy First Trimester.
From www.semanticscholar.org
Figure 1 from Acute pancreatitis during pregnancy a case report Pancreatitis During Pregnancy First Trimester 19% of these were diagnosed in the first trimester, 26% in the. Acute pancreatitis in pregnancy (apip) is a rare condition; Acute pancreatitis (ap) during pregnancy is a rare disease with an estimated incidence rate of about 1 case per 1000 to 10. In this study, patients who developed pancreatitis in the first trimester had the lowest percentage probability to. Pancreatitis During Pregnancy First Trimester.
From www.researchgate.net
Etiology and clinical characteristics of acute pancreatitis in Pancreatitis During Pregnancy First Trimester In this study, patients who developed pancreatitis in the first trimester had the lowest percentage probability to reach term pregnancy. Acute pancreatitis in pregnancy (apip) is a rare condition; The incidence of acute pancreatitis during pregnancy is not different with respect to the general population, but this incidence. Acute pancreatitis (ap) during pregnancy is a rare disease with an estimated. Pancreatitis During Pregnancy First Trimester.
From www.cghjournal.org
Acute Pancreatitis During Pregnancy Clinical Gastroenterology and Pancreatitis During Pregnancy First Trimester The most common misdiagnosis of pancreatitis in the first trimester is hyperemesis. In women presenting with severe nausea and. The incidence of acute pancreatitis during pregnancy is not different with respect to the general population, but this incidence. Acute pancreatitis in pregnancy (apip) is a rare condition; Conservative management in the first trimester is recommended, and in the case of. Pancreatitis During Pregnancy First Trimester.
From www.semanticscholar.org
Figure 1 from Acute Pancreatitis during Pregnancy and Pancreas Pancreatitis During Pregnancy First Trimester In this study, patients who developed pancreatitis in the first trimester had the lowest percentage probability to reach term pregnancy. 19% of these were diagnosed in the first trimester, 26% in the. In women presenting with severe nausea and. In another study 43 pregnant women out of 147 197 were diagnosed with ap; The most common misdiagnosis of pancreatitis in. Pancreatitis During Pregnancy First Trimester.
From file.scirp.org
Acute pancreatitis in pregnancy—Up to date Pancreatitis During Pregnancy First Trimester In this study, patients who developed pancreatitis in the first trimester had the lowest percentage probability to reach term pregnancy. In women presenting with severe nausea and. Acute pancreatitis (ap) during pregnancy is a rare disease with an estimated incidence rate of about 1 case per 1000 to 10. 19% of these were diagnosed in the first trimester, 26% in. Pancreatitis During Pregnancy First Trimester.
From www.researchgate.net
Differential diagnosis of acute pancreatitis in pregnancy. Download Table Pancreatitis During Pregnancy First Trimester In another study 43 pregnant women out of 147 197 were diagnosed with ap; Conservative management in the first trimester is recommended, and in the case of acute biliary pancreatitis. In women presenting with severe nausea and. 19% of these were diagnosed in the first trimester, 26% in the. Acute pancreatitis (ap) during pregnancy is a rare disease with an. Pancreatitis During Pregnancy First Trimester.
From www.semanticscholar.org
Table 1 from A rare case of hypercalcemiainduced pancreatitis in a Pancreatitis During Pregnancy First Trimester In this study, patients who developed pancreatitis in the first trimester had the lowest percentage probability to reach term pregnancy. Conservative management in the first trimester is recommended, and in the case of acute biliary pancreatitis. The most common misdiagnosis of pancreatitis in the first trimester is hyperemesis. Acute pancreatitis in pregnancy (apip) is a rare condition; 19% of these. Pancreatitis During Pregnancy First Trimester.
From www.researchgate.net
(PDF) Acute pancreatitis during pregnancy A case report Pancreatitis During Pregnancy First Trimester In another study 43 pregnant women out of 147 197 were diagnosed with ap; Acute pancreatitis (ap) during pregnancy is a rare disease with an estimated incidence rate of about 1 case per 1000 to 10. The incidence of acute pancreatitis during pregnancy is not different with respect to the general population, but this incidence. The most common misdiagnosis of. Pancreatitis During Pregnancy First Trimester.
From www.cureus.com
Cureus Acute Pancreatitis (AP) in Pregnancy and Its Complications Pancreatitis During Pregnancy First Trimester In women presenting with severe nausea and. 19% of these were diagnosed in the first trimester, 26% in the. Acute pancreatitis (ap) during pregnancy is a rare disease with an estimated incidence rate of about 1 case per 1000 to 10. Conservative management in the first trimester is recommended, and in the case of acute biliary pancreatitis. The incidence of. Pancreatitis During Pregnancy First Trimester.
From www.researchgate.net
(PDF) A Case of Idiopathic Acute Pancreatitis in the First Trimester of Pancreatitis During Pregnancy First Trimester Acute pancreatitis (ap) during pregnancy is a rare disease with an estimated incidence rate of about 1 case per 1000 to 10. 19% of these were diagnosed in the first trimester, 26% in the. The incidence of acute pancreatitis during pregnancy is not different with respect to the general population, but this incidence. Acute pancreatitis in pregnancy (apip) is a. Pancreatitis During Pregnancy First Trimester.