Periosteal Reaction X Ray . periosteal reaction refers to the elevation of periosteum from cortical bone and the subsequent deposition of new. the periosteum is a membrane several cell layers thick that covers almost all of every bone. periosteal reaction results when cortical bone reacts to one of many possible insults. learn about the different types and causes of periosteal reaction, a membrane that covers the majority of. a periosteal reaction is the formation of new bone in response to injury or other stimuli of the periosteum surrounding the bone. About the only parts not covered by this. localized periosteal reaction develops that is indistinguishable from psoriatic arthritis but more commonly affects the lower extremities (such.
from www.ajronline.org
learn about the different types and causes of periosteal reaction, a membrane that covers the majority of. localized periosteal reaction develops that is indistinguishable from psoriatic arthritis but more commonly affects the lower extremities (such. About the only parts not covered by this. the periosteum is a membrane several cell layers thick that covers almost all of every bone. periosteal reaction refers to the elevation of periosteum from cortical bone and the subsequent deposition of new. a periosteal reaction is the formation of new bone in response to injury or other stimuli of the periosteum surrounding the bone. periosteal reaction results when cortical bone reacts to one of many possible insults.
Periosteal Reaction AJR
Periosteal Reaction X Ray periosteal reaction results when cortical bone reacts to one of many possible insults. a periosteal reaction is the formation of new bone in response to injury or other stimuli of the periosteum surrounding the bone. periosteal reaction refers to the elevation of periosteum from cortical bone and the subsequent deposition of new. localized periosteal reaction develops that is indistinguishable from psoriatic arthritis but more commonly affects the lower extremities (such. learn about the different types and causes of periosteal reaction, a membrane that covers the majority of. About the only parts not covered by this. the periosteum is a membrane several cell layers thick that covers almost all of every bone. periosteal reaction results when cortical bone reacts to one of many possible insults.
From radiologykey.com
Periosteal Reaction Radiology Key Periosteal Reaction X Ray the periosteum is a membrane several cell layers thick that covers almost all of every bone. About the only parts not covered by this. localized periosteal reaction develops that is indistinguishable from psoriatic arthritis but more commonly affects the lower extremities (such. learn about the different types and causes of periosteal reaction, a membrane that covers the. Periosteal Reaction X Ray.
From www.researchgate.net
Xray images of the periosteal reaction for A1A6 in the AF group Periosteal Reaction X Ray periosteal reaction refers to the elevation of periosteum from cortical bone and the subsequent deposition of new. periosteal reaction results when cortical bone reacts to one of many possible insults. learn about the different types and causes of periosteal reaction, a membrane that covers the majority of. a periosteal reaction is the formation of new bone. Periosteal Reaction X Ray.
From www.radiologic.theclinics.com
Radiographic Analysis of Solitary Bone Lesions Radiologic Clinics Periosteal Reaction X Ray a periosteal reaction is the formation of new bone in response to injury or other stimuli of the periosteum surrounding the bone. About the only parts not covered by this. periosteal reaction refers to the elevation of periosteum from cortical bone and the subsequent deposition of new. periosteal reaction results when cortical bone reacts to one of. Periosteal Reaction X Ray.
From www.mspca.org
Radiographic Approach to Bone Imaging • MSPCAAngell Periosteal Reaction X Ray periosteal reaction refers to the elevation of periosteum from cortical bone and the subsequent deposition of new. a periosteal reaction is the formation of new bone in response to injury or other stimuli of the periosteum surrounding the bone. localized periosteal reaction develops that is indistinguishable from psoriatic arthritis but more commonly affects the lower extremities (such.. Periosteal Reaction X Ray.
From sumerdoc.blogspot.com
Periosteal reaction for the Radiology Residents Sumer's Radiology Blog Periosteal Reaction X Ray the periosteum is a membrane several cell layers thick that covers almost all of every bone. periosteal reaction refers to the elevation of periosteum from cortical bone and the subsequent deposition of new. learn about the different types and causes of periosteal reaction, a membrane that covers the majority of. localized periosteal reaction develops that is. Periosteal Reaction X Ray.
From www.clinicalradiologyonline.net
Imaging of periosteal reactions associated with focal lesions of bone Periosteal Reaction X Ray About the only parts not covered by this. localized periosteal reaction develops that is indistinguishable from psoriatic arthritis but more commonly affects the lower extremities (such. periosteal reaction results when cortical bone reacts to one of many possible insults. the periosteum is a membrane several cell layers thick that covers almost all of every bone. learn. Periosteal Reaction X Ray.
From www.researchgate.net
(A, B) The spiculated pattern of the periosteal reaction and Codman's Periosteal Reaction X Ray a periosteal reaction is the formation of new bone in response to injury or other stimuli of the periosteum surrounding the bone. learn about the different types and causes of periosteal reaction, a membrane that covers the majority of. localized periosteal reaction develops that is indistinguishable from psoriatic arthritis but more commonly affects the lower extremities (such.. Periosteal Reaction X Ray.
From radiopaedia.org
Sunburst periosteal reaction Image Periosteal Reaction X Ray localized periosteal reaction develops that is indistinguishable from psoriatic arthritis but more commonly affects the lower extremities (such. a periosteal reaction is the formation of new bone in response to injury or other stimuli of the periosteum surrounding the bone. learn about the different types and causes of periosteal reaction, a membrane that covers the majority of.. Periosteal Reaction X Ray.
From www.researchgate.net
Radiography of right knee (3rd case) the periosteal reaction at the Periosteal Reaction X Ray localized periosteal reaction develops that is indistinguishable from psoriatic arthritis but more commonly affects the lower extremities (such. periosteal reaction results when cortical bone reacts to one of many possible insults. periosteal reaction refers to the elevation of periosteum from cortical bone and the subsequent deposition of new. the periosteum is a membrane several cell layers. Periosteal Reaction X Ray.
From www.clinicalradiologyonline.net
Imaging of periosteal reactions associated with focal lesions of bone Periosteal Reaction X Ray a periosteal reaction is the formation of new bone in response to injury or other stimuli of the periosteum surrounding the bone. learn about the different types and causes of periosteal reaction, a membrane that covers the majority of. About the only parts not covered by this. localized periosteal reaction develops that is indistinguishable from psoriatic arthritis. Periosteal Reaction X Ray.
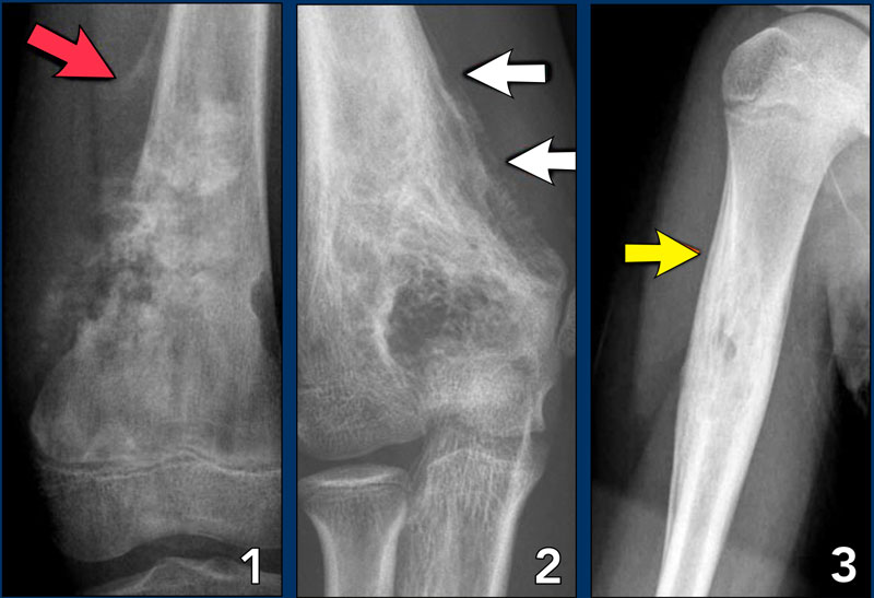
From www.ajronline.org
Periosteal Reaction AJR Periosteal Reaction X Ray periosteal reaction results when cortical bone reacts to one of many possible insults. periosteal reaction refers to the elevation of periosteum from cortical bone and the subsequent deposition of new. learn about the different types and causes of periosteal reaction, a membrane that covers the majority of. a periosteal reaction is the formation of new bone. Periosteal Reaction X Ray.
From www.researchgate.net
The Xray of the patient shows signs of periosteal reaction in the Periosteal Reaction X Ray localized periosteal reaction develops that is indistinguishable from psoriatic arthritis but more commonly affects the lower extremities (such. About the only parts not covered by this. periosteal reaction results when cortical bone reacts to one of many possible insults. learn about the different types and causes of periosteal reaction, a membrane that covers the majority of. . Periosteal Reaction X Ray.
From www.jrheum.org
Periostitis in a Patient with Inflammatory Bowel Disease The Journal Periosteal Reaction X Ray learn about the different types and causes of periosteal reaction, a membrane that covers the majority of. periosteal reaction refers to the elevation of periosteum from cortical bone and the subsequent deposition of new. About the only parts not covered by this. localized periosteal reaction develops that is indistinguishable from psoriatic arthritis but more commonly affects the. Periosteal Reaction X Ray.
From www.ajronline.org
Periosteal Reaction AJR Periosteal Reaction X Ray a periosteal reaction is the formation of new bone in response to injury or other stimuli of the periosteum surrounding the bone. periosteal reaction refers to the elevation of periosteum from cortical bone and the subsequent deposition of new. About the only parts not covered by this. the periosteum is a membrane several cell layers thick that. Periosteal Reaction X Ray.
From www.ajronline.org
Periosteal Reaction AJR Periosteal Reaction X Ray periosteal reaction results when cortical bone reacts to one of many possible insults. periosteal reaction refers to the elevation of periosteum from cortical bone and the subsequent deposition of new. the periosteum is a membrane several cell layers thick that covers almost all of every bone. About the only parts not covered by this. a periosteal. Periosteal Reaction X Ray.
From www.pinterest.com
A Codman triangle is a type of periosteal reaction seen with aggressive Periosteal Reaction X Ray the periosteum is a membrane several cell layers thick that covers almost all of every bone. periosteal reaction results when cortical bone reacts to one of many possible insults. learn about the different types and causes of periosteal reaction, a membrane that covers the majority of. localized periosteal reaction develops that is indistinguishable from psoriatic arthritis. Periosteal Reaction X Ray.
From healthjade.net
Periosteal reaction & types of periosteal reaction Periosteal Reaction X Ray localized periosteal reaction develops that is indistinguishable from psoriatic arthritis but more commonly affects the lower extremities (such. the periosteum is a membrane several cell layers thick that covers almost all of every bone. periosteal reaction results when cortical bone reacts to one of many possible insults. learn about the different types and causes of periosteal. Periosteal Reaction X Ray.
From www.researchgate.net
Standard Xray shows a swelling of the soft tissue periosteal reaction Periosteal Reaction X Ray a periosteal reaction is the formation of new bone in response to injury or other stimuli of the periosteum surrounding the bone. About the only parts not covered by this. localized periosteal reaction develops that is indistinguishable from psoriatic arthritis but more commonly affects the lower extremities (such. periosteal reaction results when cortical bone reacts to one. Periosteal Reaction X Ray.
From www.researchgate.net
Periosteal reaction described in Osteomyelitis seen on Periosteal Reaction X Ray periosteal reaction results when cortical bone reacts to one of many possible insults. periosteal reaction refers to the elevation of periosteum from cortical bone and the subsequent deposition of new. localized periosteal reaction develops that is indistinguishable from psoriatic arthritis but more commonly affects the lower extremities (such. the periosteum is a membrane several cell layers. Periosteal Reaction X Ray.
From www.ajronline.org
Periosteal Reaction AJR Periosteal Reaction X Ray a periosteal reaction is the formation of new bone in response to injury or other stimuli of the periosteum surrounding the bone. localized periosteal reaction develops that is indistinguishable from psoriatic arthritis but more commonly affects the lower extremities (such. periosteal reaction results when cortical bone reacts to one of many possible insults. the periosteum is. Periosteal Reaction X Ray.
From www.ajronline.org
Periosteal Reaction AJR Periosteal Reaction X Ray a periosteal reaction is the formation of new bone in response to injury or other stimuli of the periosteum surrounding the bone. About the only parts not covered by this. periosteal reaction refers to the elevation of periosteum from cortical bone and the subsequent deposition of new. the periosteum is a membrane several cell layers thick that. Periosteal Reaction X Ray.
From www.ajronline.org
Periosteal Reaction AJR Periosteal Reaction X Ray the periosteum is a membrane several cell layers thick that covers almost all of every bone. periosteal reaction results when cortical bone reacts to one of many possible insults. periosteal reaction refers to the elevation of periosteum from cortical bone and the subsequent deposition of new. localized periosteal reaction develops that is indistinguishable from psoriatic arthritis. Periosteal Reaction X Ray.
From www.pinterest.com
Laminated periosteal reaction Periosteal Reaction X Ray the periosteum is a membrane several cell layers thick that covers almost all of every bone. periosteal reaction refers to the elevation of periosteum from cortical bone and the subsequent deposition of new. localized periosteal reaction develops that is indistinguishable from psoriatic arthritis but more commonly affects the lower extremities (such. About the only parts not covered. Periosteal Reaction X Ray.
From radiopaedia.ir
Metatarsal periosteal reaction, osteomyelitis Radiopaedia Periosteal Reaction X Ray the periosteum is a membrane several cell layers thick that covers almost all of every bone. About the only parts not covered by this. a periosteal reaction is the formation of new bone in response to injury or other stimuli of the periosteum surrounding the bone. periosteal reaction refers to the elevation of periosteum from cortical bone. Periosteal Reaction X Ray.
From www.researchgate.net
Left ulna with an exuberant lamellated periosteal reaction macroscopic Periosteal Reaction X Ray periosteal reaction results when cortical bone reacts to one of many possible insults. periosteal reaction refers to the elevation of periosteum from cortical bone and the subsequent deposition of new. learn about the different types and causes of periosteal reaction, a membrane that covers the majority of. a periosteal reaction is the formation of new bone. Periosteal Reaction X Ray.
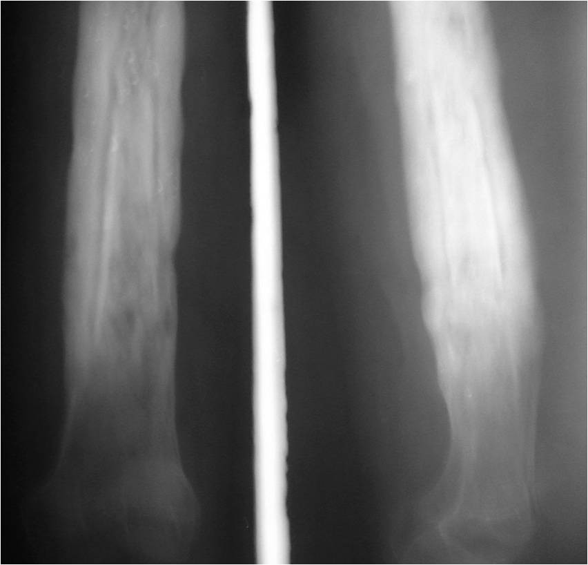
From www.researchgate.net
Radiograph shows physiological periosteal reaction in the left ulna of Periosteal Reaction X Ray a periosteal reaction is the formation of new bone in response to injury or other stimuli of the periosteum surrounding the bone. the periosteum is a membrane several cell layers thick that covers almost all of every bone. learn about the different types and causes of periosteal reaction, a membrane that covers the majority of. periosteal. Periosteal Reaction X Ray.
From www.researchgate.net
Xray of right hand showing massive soft tissue mass, periosteal Periosteal Reaction X Ray About the only parts not covered by this. periosteal reaction refers to the elevation of periosteum from cortical bone and the subsequent deposition of new. periosteal reaction results when cortical bone reacts to one of many possible insults. a periosteal reaction is the formation of new bone in response to injury or other stimuli of the periosteum. Periosteal Reaction X Ray.
From radiologyassistant.nl
The Radiology Assistant Bone tumors Differential diagnosis Periosteal Reaction X Ray learn about the different types and causes of periosteal reaction, a membrane that covers the majority of. periosteal reaction results when cortical bone reacts to one of many possible insults. About the only parts not covered by this. a periosteal reaction is the formation of new bone in response to injury or other stimuli of the periosteum. Periosteal Reaction X Ray.
From www.ajronline.org
Periosteal Reaction AJR Periosteal Reaction X Ray periosteal reaction results when cortical bone reacts to one of many possible insults. About the only parts not covered by this. periosteal reaction refers to the elevation of periosteum from cortical bone and the subsequent deposition of new. a periosteal reaction is the formation of new bone in response to injury or other stimuli of the periosteum. Periosteal Reaction X Ray.
From www.ajronline.org
Periosteal Reaction AJR Periosteal Reaction X Ray the periosteum is a membrane several cell layers thick that covers almost all of every bone. a periosteal reaction is the formation of new bone in response to injury or other stimuli of the periosteum surrounding the bone. learn about the different types and causes of periosteal reaction, a membrane that covers the majority of. localized. Periosteal Reaction X Ray.
From roentgenrayreader.blogspot.com
Roentgen Ray Reader Spiculated Periosteal Reaction Pathophysiology Periosteal Reaction X Ray a periosteal reaction is the formation of new bone in response to injury or other stimuli of the periosteum surrounding the bone. the periosteum is a membrane several cell layers thick that covers almost all of every bone. localized periosteal reaction develops that is indistinguishable from psoriatic arthritis but more commonly affects the lower extremities (such. . Periosteal Reaction X Ray.
From www.ajronline.org
Periosteal Reaction AJR Periosteal Reaction X Ray a periosteal reaction is the formation of new bone in response to injury or other stimuli of the periosteum surrounding the bone. learn about the different types and causes of periosteal reaction, a membrane that covers the majority of. the periosteum is a membrane several cell layers thick that covers almost all of every bone. periosteal. Periosteal Reaction X Ray.
From www.pinterest.com
periosteal reactions solid, lamellated, sunburts, codman's Radiology Periosteal Reaction X Ray a periosteal reaction is the formation of new bone in response to injury or other stimuli of the periosteum surrounding the bone. localized periosteal reaction develops that is indistinguishable from psoriatic arthritis but more commonly affects the lower extremities (such. periosteal reaction refers to the elevation of periosteum from cortical bone and the subsequent deposition of new.. Periosteal Reaction X Ray.
From onradiology.blogspot.com
ON RADIOLOGY What is Periosteal reaction? it`s types? And how it is Periosteal Reaction X Ray the periosteum is a membrane several cell layers thick that covers almost all of every bone. periosteal reaction refers to the elevation of periosteum from cortical bone and the subsequent deposition of new. a periosteal reaction is the formation of new bone in response to injury or other stimuli of the periosteum surrounding the bone. About the. Periosteal Reaction X Ray.
From www.researchgate.net
Xray of the left shoulder shows periosteal reaction with new bone Periosteal Reaction X Ray localized periosteal reaction develops that is indistinguishable from psoriatic arthritis but more commonly affects the lower extremities (such. periosteal reaction refers to the elevation of periosteum from cortical bone and the subsequent deposition of new. periosteal reaction results when cortical bone reacts to one of many possible insults. the periosteum is a membrane several cell layers. Periosteal Reaction X Ray.