What Is Tech Neck Syndrome . these muscles can get overly tired and sore from looking down at our smartphones, computers, or tablets all day. It can cause back and shoulder pain, headaches, and other. what is tech neck? tech neck is a term used to describe chronic neck pain caused by continuously straining the neck muscles while using technology—electronic devices like phones, tablets, and. “text neck syndrome” (or, “tech neck”) occurs when your neck muscles strain to hold your head up as you look. tech neck is any form of chronic neck or shoulder pain, soreness, or stiffness caused by poor posture while using technology such as. Tech neck is any form of chronic neck or shoulder pain, soreness or stiffness caused by poor posture while using technology,. That’s what we call tech neck. Headaches, stiff necks, neck spasms, and ‘tech neck’ is the result of looking down at a phone or other screen for too long. What are the symptoms of tech neck? text neck (or tech neck) is a syndrome that happens after a repeated amount of stress occurs in our neck area due to having our heads in a.
from www.usatoday.com
What are the symptoms of tech neck? what is tech neck? Tech neck is any form of chronic neck or shoulder pain, soreness or stiffness caused by poor posture while using technology,. Headaches, stiff necks, neck spasms, and text neck (or tech neck) is a syndrome that happens after a repeated amount of stress occurs in our neck area due to having our heads in a. It can cause back and shoulder pain, headaches, and other. “text neck syndrome” (or, “tech neck”) occurs when your neck muscles strain to hold your head up as you look. tech neck is a term used to describe chronic neck pain caused by continuously straining the neck muscles while using technology—electronic devices like phones, tablets, and. these muscles can get overly tired and sore from looking down at our smartphones, computers, or tablets all day. tech neck is any form of chronic neck or shoulder pain, soreness, or stiffness caused by poor posture while using technology such as.
Prevent tech neck syndrome with basic postural changes
What Is Tech Neck Syndrome Headaches, stiff necks, neck spasms, and text neck (or tech neck) is a syndrome that happens after a repeated amount of stress occurs in our neck area due to having our heads in a. what is tech neck? tech neck is a term used to describe chronic neck pain caused by continuously straining the neck muscles while using technology—electronic devices like phones, tablets, and. Tech neck is any form of chronic neck or shoulder pain, soreness or stiffness caused by poor posture while using technology,. Headaches, stiff necks, neck spasms, and these muscles can get overly tired and sore from looking down at our smartphones, computers, or tablets all day. “text neck syndrome” (or, “tech neck”) occurs when your neck muscles strain to hold your head up as you look. That’s what we call tech neck. ‘tech neck’ is the result of looking down at a phone or other screen for too long. What are the symptoms of tech neck? tech neck is any form of chronic neck or shoulder pain, soreness, or stiffness caused by poor posture while using technology such as. It can cause back and shoulder pain, headaches, and other.
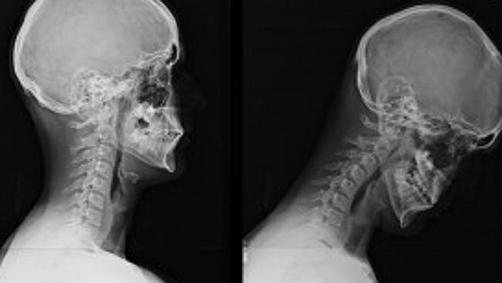
From sattvikspine.com
Tech Neck Syndrome How Digital Devices Affect Your Spine Health What Is Tech Neck Syndrome What are the symptoms of tech neck? tech neck is any form of chronic neck or shoulder pain, soreness, or stiffness caused by poor posture while using technology such as. “text neck syndrome” (or, “tech neck”) occurs when your neck muscles strain to hold your head up as you look. ‘tech neck’ is the result of looking. What Is Tech Neck Syndrome.
From sleepopolis.com
Guide to Tech Neck Causes, Symptoms, and Prevention Sleepopolis What Is Tech Neck Syndrome tech neck is a term used to describe chronic neck pain caused by continuously straining the neck muscles while using technology—electronic devices like phones, tablets, and. What are the symptoms of tech neck? what is tech neck? text neck (or tech neck) is a syndrome that happens after a repeated amount of stress occurs in our neck. What Is Tech Neck Syndrome.
From www.kirografiks.com
Tech Neck Syndrome poster / Text Neck Syndrome poster What Is Tech Neck Syndrome ‘tech neck’ is the result of looking down at a phone or other screen for too long. tech neck is a term used to describe chronic neck pain caused by continuously straining the neck muscles while using technology—electronic devices like phones, tablets, and. That’s what we call tech neck. Tech neck is any form of chronic neck or. What Is Tech Neck Syndrome.
From www.kirografiks.com
Tech Neck Syndrome poster / Text Neck Syndrome poster What Is Tech Neck Syndrome what is tech neck? Headaches, stiff necks, neck spasms, and “text neck syndrome” (or, “tech neck”) occurs when your neck muscles strain to hold your head up as you look. text neck (or tech neck) is a syndrome that happens after a repeated amount of stress occurs in our neck area due to having our heads in. What Is Tech Neck Syndrome.
From www.puritzchiropractic.com
Tech neck can cause chronic low back and neck pain in Westminster, MD What Is Tech Neck Syndrome what is tech neck? That’s what we call tech neck. tech neck is any form of chronic neck or shoulder pain, soreness, or stiffness caused by poor posture while using technology such as. “text neck syndrome” (or, “tech neck”) occurs when your neck muscles strain to hold your head up as you look. What are the symptoms. What Is Tech Neck Syndrome.
From www.kirografiks.com
Tech Neck Syndrome poster / Text Neck Syndrome poster What Is Tech Neck Syndrome tech neck is any form of chronic neck or shoulder pain, soreness, or stiffness caused by poor posture while using technology such as. ‘tech neck’ is the result of looking down at a phone or other screen for too long. text neck (or tech neck) is a syndrome that happens after a repeated amount of stress occurs. What Is Tech Neck Syndrome.
From spineina.com
What is Tech Neck? How Smartphones Affect You Spine INA What Is Tech Neck Syndrome What are the symptoms of tech neck? That’s what we call tech neck. these muscles can get overly tired and sore from looking down at our smartphones, computers, or tablets all day. It can cause back and shoulder pain, headaches, and other. what is tech neck? “text neck syndrome” (or, “tech neck”) occurs when your neck muscles. What Is Tech Neck Syndrome.
From bentchiropractic.com
Tech Neck Bent Chiropractic What Is Tech Neck Syndrome It can cause back and shoulder pain, headaches, and other. text neck (or tech neck) is a syndrome that happens after a repeated amount of stress occurs in our neck area due to having our heads in a. these muscles can get overly tired and sore from looking down at our smartphones, computers, or tablets all day. . What Is Tech Neck Syndrome.
From www.healthkart.com
Tech Neck Syndrome What is It and How Do We Treat It? What Is Tech Neck Syndrome That’s what we call tech neck. tech neck is a term used to describe chronic neck pain caused by continuously straining the neck muscles while using technology—electronic devices like phones, tablets, and. Tech neck is any form of chronic neck or shoulder pain, soreness or stiffness caused by poor posture while using technology,. what is tech neck? . What Is Tech Neck Syndrome.
From www.ridgefieldchiropractic.com
How To Dismiss Tech Neck in 6 Easy Steps Ridgefieldchiropractic What Is Tech Neck Syndrome That’s what we call tech neck. ‘tech neck’ is the result of looking down at a phone or other screen for too long. text neck (or tech neck) is a syndrome that happens after a repeated amount of stress occurs in our neck area due to having our heads in a. Headaches, stiff necks, neck spasms, and . What Is Tech Neck Syndrome.
From thespineclinics.com
Tech Neck Syndrome What Is Tech Neck Syndrome tech neck is a term used to describe chronic neck pain caused by continuously straining the neck muscles while using technology—electronic devices like phones, tablets, and. these muscles can get overly tired and sore from looking down at our smartphones, computers, or tablets all day. Tech neck is any form of chronic neck or shoulder pain, soreness or. What Is Tech Neck Syndrome.
From sleepopolis.com
Guide to Tech Neck Causes, Symptoms, and Prevention Sleepopolis What Is Tech Neck Syndrome tech neck is any form of chronic neck or shoulder pain, soreness, or stiffness caused by poor posture while using technology such as. tech neck is a term used to describe chronic neck pain caused by continuously straining the neck muscles while using technology—electronic devices like phones, tablets, and. ‘tech neck’ is the result of looking down. What Is Tech Neck Syndrome.
From www.cristchiropractic.com
Be Smart With Your Digital Device and Look Up Tips to Prevent Tech What Is Tech Neck Syndrome tech neck is a term used to describe chronic neck pain caused by continuously straining the neck muscles while using technology—electronic devices like phones, tablets, and. these muscles can get overly tired and sore from looking down at our smartphones, computers, or tablets all day. Headaches, stiff necks, neck spasms, and It can cause back and shoulder pain,. What Is Tech Neck Syndrome.
From healthmatters.nyp.org
Tips to prevent ‘tech neck’ and other pain from technology use What Is Tech Neck Syndrome ‘tech neck’ is the result of looking down at a phone or other screen for too long. tech neck is any form of chronic neck or shoulder pain, soreness, or stiffness caused by poor posture while using technology such as. what is tech neck? text neck (or tech neck) is a syndrome that happens after a. What Is Tech Neck Syndrome.
From www.usatoday.com
Prevent tech neck syndrome with basic postural changes What Is Tech Neck Syndrome these muscles can get overly tired and sore from looking down at our smartphones, computers, or tablets all day. What are the symptoms of tech neck? That’s what we call tech neck. what is tech neck? tech neck is a term used to describe chronic neck pain caused by continuously straining the neck muscles while using technology—electronic. What Is Tech Neck Syndrome.
From bonejointspine.weebly.com
TEXT NECK or TECH NECK SYNDROME What Is Tech Neck Syndrome tech neck is a term used to describe chronic neck pain caused by continuously straining the neck muscles while using technology—electronic devices like phones, tablets, and. That’s what we call tech neck. Tech neck is any form of chronic neck or shoulder pain, soreness or stiffness caused by poor posture while using technology,. It can cause back and shoulder. What Is Tech Neck Syndrome.
From drpriyankpatel.com
Prevent Tech Neck Syndrome The Spine Clinic What Is Tech Neck Syndrome text neck (or tech neck) is a syndrome that happens after a repeated amount of stress occurs in our neck area due to having our heads in a. tech neck is any form of chronic neck or shoulder pain, soreness, or stiffness caused by poor posture while using technology such as. tech neck is a term used. What Is Tech Neck Syndrome.
From nydnrehab.com
Do You Suffer from Tech Neck? l NYDNRehab What Is Tech Neck Syndrome That’s what we call tech neck. ‘tech neck’ is the result of looking down at a phone or other screen for too long. “text neck syndrome” (or, “tech neck”) occurs when your neck muscles strain to hold your head up as you look. text neck (or tech neck) is a syndrome that happens after a repeated amount. What Is Tech Neck Syndrome.
From www.kirografiks.com
Tech Neck Syndrome poster / Text Neck Syndrome poster What Is Tech Neck Syndrome It can cause back and shoulder pain, headaches, and other. Headaches, stiff necks, neck spasms, and tech neck is a term used to describe chronic neck pain caused by continuously straining the neck muscles while using technology—electronic devices like phones, tablets, and. text neck (or tech neck) is a syndrome that happens after a repeated amount of stress. What Is Tech Neck Syndrome.
From www.backinmotion.co.za
Tech Neck Posture What is that? What Is Tech Neck Syndrome Headaches, stiff necks, neck spasms, and tech neck is any form of chronic neck or shoulder pain, soreness, or stiffness caused by poor posture while using technology such as. Tech neck is any form of chronic neck or shoulder pain, soreness or stiffness caused by poor posture while using technology,. text neck (or tech neck) is a syndrome. What Is Tech Neck Syndrome.
From www.onlymyhealth.com
What Is Tech Neck? Here Are Some Symptoms And Basic Stretches To Get What Is Tech Neck Syndrome What are the symptoms of tech neck? these muscles can get overly tired and sore from looking down at our smartphones, computers, or tablets all day. tech neck is any form of chronic neck or shoulder pain, soreness, or stiffness caused by poor posture while using technology such as. That’s what we call tech neck. ‘tech neck’. What Is Tech Neck Syndrome.
From www.cristchiropractic.com
Tech Neck How Chiropractic Care Can Help What Is Tech Neck Syndrome tech neck is a term used to describe chronic neck pain caused by continuously straining the neck muscles while using technology—electronic devices like phones, tablets, and. these muscles can get overly tired and sore from looking down at our smartphones, computers, or tablets all day. What are the symptoms of tech neck? That’s what we call tech neck.. What Is Tech Neck Syndrome.
From www.youtube.com
What is Tech Neck Syndrome? How Smartphones Affect You? Causes And What Is Tech Neck Syndrome It can cause back and shoulder pain, headaches, and other. what is tech neck? That’s what we call tech neck. What are the symptoms of tech neck? ‘tech neck’ is the result of looking down at a phone or other screen for too long. tech neck is any form of chronic neck or shoulder pain, soreness, or. What Is Tech Neck Syndrome.
From www.necksolutions.com
Tech Neck Symptoms and How to Treat Them What Is Tech Neck Syndrome these muscles can get overly tired and sore from looking down at our smartphones, computers, or tablets all day. Headaches, stiff necks, neck spasms, and That’s what we call tech neck. Tech neck is any form of chronic neck or shoulder pain, soreness or stiffness caused by poor posture while using technology,. What are the symptoms of tech neck?. What Is Tech Neck Syndrome.
From nsandw.ca
Are You Suffering Tech Neck? National Spine Care & Sports Medicine What Is Tech Neck Syndrome ‘tech neck’ is the result of looking down at a phone or other screen for too long. tech neck is any form of chronic neck or shoulder pain, soreness, or stiffness caused by poor posture while using technology such as. what is tech neck? That’s what we call tech neck. What are the symptoms of tech neck?. What Is Tech Neck Syndrome.
From www.youtube.com
What is Tech Neck Syndrome? Tech Neck Syndrome का इलाज कैसे करें Dr What Is Tech Neck Syndrome “text neck syndrome” (or, “tech neck”) occurs when your neck muscles strain to hold your head up as you look. That’s what we call tech neck. It can cause back and shoulder pain, headaches, and other. What are the symptoms of tech neck? tech neck is any form of chronic neck or shoulder pain, soreness, or stiffness caused. What Is Tech Neck Syndrome.
From www.kirografiks.com
Tech Neck Syndrome poster / Text Neck Syndrome poster What Is Tech Neck Syndrome What are the symptoms of tech neck? these muscles can get overly tired and sore from looking down at our smartphones, computers, or tablets all day. what is tech neck? tech neck is a term used to describe chronic neck pain caused by continuously straining the neck muscles while using technology—electronic devices like phones, tablets, and. Headaches,. What Is Tech Neck Syndrome.
From sattvikspine.com
What is Tech Neck Syndrome? Understanding and Preventing Digital Strain What Is Tech Neck Syndrome What are the symptoms of tech neck? Tech neck is any form of chronic neck or shoulder pain, soreness or stiffness caused by poor posture while using technology,. Headaches, stiff necks, neck spasms, and “text neck syndrome” (or, “tech neck”) occurs when your neck muscles strain to hold your head up as you look. ‘tech neck’ is the. What Is Tech Neck Syndrome.
From aprcnj.com
What is Tech Neck? Advanced Performance and Rehabilitation Center What Is Tech Neck Syndrome Tech neck is any form of chronic neck or shoulder pain, soreness or stiffness caused by poor posture while using technology,. what is tech neck? tech neck is a term used to describe chronic neck pain caused by continuously straining the neck muscles while using technology—electronic devices like phones, tablets, and. That’s what we call tech neck. What. What Is Tech Neck Syndrome.
From www.peppernaturalhealth.com
Tech Neck A Modern Day Pain in the Neck What Is Tech Neck Syndrome these muscles can get overly tired and sore from looking down at our smartphones, computers, or tablets all day. ‘tech neck’ is the result of looking down at a phone or other screen for too long. That’s what we call tech neck. “text neck syndrome” (or, “tech neck”) occurs when your neck muscles strain to hold your. What Is Tech Neck Syndrome.
From www.youtube.com
Tech neck symptoms How you can identify them! YouTube What Is Tech Neck Syndrome these muscles can get overly tired and sore from looking down at our smartphones, computers, or tablets all day. That’s what we call tech neck. tech neck is any form of chronic neck or shoulder pain, soreness, or stiffness caused by poor posture while using technology such as. “text neck syndrome” (or, “tech neck”) occurs when your. What Is Tech Neck Syndrome.
From kirografiks.com
Tech Neck Syndrome poster / Text Neck Syndrome poster What Is Tech Neck Syndrome ‘tech neck’ is the result of looking down at a phone or other screen for too long. It can cause back and shoulder pain, headaches, and other. text neck (or tech neck) is a syndrome that happens after a repeated amount of stress occurs in our neck area due to having our heads in a. these muscles. What Is Tech Neck Syndrome.
From cbd-medic.com
Do you have Tech Neck? Neck Strain Symptoms, Causes, & Natural Relief What Is Tech Neck Syndrome text neck (or tech neck) is a syndrome that happens after a repeated amount of stress occurs in our neck area due to having our heads in a. ‘tech neck’ is the result of looking down at a phone or other screen for too long. That’s what we call tech neck. It can cause back and shoulder pain,. What Is Tech Neck Syndrome.
From 5minutecrafts.site
What Tech Neck Syndrome Is, and What Dangers It Hides / 5Minute Crafts What Is Tech Neck Syndrome what is tech neck? these muscles can get overly tired and sore from looking down at our smartphones, computers, or tablets all day. text neck (or tech neck) is a syndrome that happens after a repeated amount of stress occurs in our neck area due to having our heads in a. It can cause back and shoulder. What Is Tech Neck Syndrome.
From fit-peak.com
Le développement du « Tech Neck » et comment le soulager Fit Peak What Is Tech Neck Syndrome Tech neck is any form of chronic neck or shoulder pain, soreness or stiffness caused by poor posture while using technology,. Headaches, stiff necks, neck spasms, and tech neck is any form of chronic neck or shoulder pain, soreness, or stiffness caused by poor posture while using technology such as. “text neck syndrome” (or, “tech neck”) occurs when. What Is Tech Neck Syndrome.