What Is Chest Deformity . Home health conditions and diseases. These can manifest as isolated conditions or can correlate. Some people call it “pigeon chest” or “keel. Surgery helps correct the deformity. This article deals with two of the three most common chest deformities: A chest wall deformity is a structural abnormality of the chest that can range from mild to severe. Surgery helps correct the deformity. Chest wall deformities occur when the cartilage. Pectus excavatum causes the breastbone to sink into the chest. Chest wall deformities are a set of congenital diseases that span a broad spectrum of disorders. This can affect heart and lung function. Pectus excavatum causes the breastbone to sink into the chest. Pectus carinatum is a condition in which your sternum (breastbone) sticks out more than usual. This can affect heart and lung function. Pectus excavatum (funnel chest) and pectus carinatum.
from www.researchgate.net
This can affect heart and lung function. This can affect heart and lung function. A chest wall deformity is a structural abnormality of the chest that can range from mild to severe. Chest wall deformities occur when the cartilage. Some people call it “pigeon chest” or “keel. Home health conditions and diseases. Chest wall deformities are a set of congenital diseases that span a broad spectrum of disorders. These can manifest as isolated conditions or can correlate. Pectus excavatum (funnel chest) and pectus carinatum. Surgery helps correct the deformity.
Chest wall deformity on left. Download Scientific Diagram
What Is Chest Deformity Pectus excavatum (pe), translated literally as “hollowed chest” and also referred to as sunken chest or funnel chest, is the most common chest wall deformity seen in children. This can affect heart and lung function. Surgery helps correct the deformity. Pectus excavatum causes the breastbone to sink into the chest. This article deals with two of the three most common chest deformities: Pectus carinatum is a condition in which your sternum (breastbone) sticks out more than usual. Pectus excavatum (pe), translated literally as “hollowed chest” and also referred to as sunken chest or funnel chest, is the most common chest wall deformity seen in children. Pectus excavatum causes the breastbone to sink into the chest. A chest wall deformity is a structural abnormality of the chest that can range from mild to severe. Surgery helps correct the deformity. Home health conditions and diseases. Pectus excavatum (funnel chest) and pectus carinatum. Chest wall deformities are a set of congenital diseases that span a broad spectrum of disorders. These can manifest as isolated conditions or can correlate. This can affect heart and lung function. Chest wall deformities occur when the cartilage.
From www.sciencephoto.com
Congenital chest deformity Stock Image C056/6564 Science Photo What Is Chest Deformity Chest wall deformities occur when the cartilage. Surgery helps correct the deformity. Pectus excavatum causes the breastbone to sink into the chest. A chest wall deformity is a structural abnormality of the chest that can range from mild to severe. Surgery helps correct the deformity. These can manifest as isolated conditions or can correlate. This can affect heart and lung. What Is Chest Deformity.
From www.semthorcardiovascsurg.com
Anatomical, Histologic, and Characteristics of Congenital Chest What Is Chest Deformity This can affect heart and lung function. Some people call it “pigeon chest” or “keel. Chest wall deformities occur when the cartilage. Pectus excavatum (pe), translated literally as “hollowed chest” and also referred to as sunken chest or funnel chest, is the most common chest wall deformity seen in children. Surgery helps correct the deformity. A chest wall deformity is. What Is Chest Deformity.
From iraniansurgery.com
Chest Wall Deformities Types of chest wall deformities Iranian Surgery What Is Chest Deformity Surgery helps correct the deformity. Some people call it “pigeon chest” or “keel. This can affect heart and lung function. Pectus excavatum causes the breastbone to sink into the chest. These can manifest as isolated conditions or can correlate. Pectus excavatum causes the breastbone to sink into the chest. A chest wall deformity is a structural abnormality of the chest. What Is Chest Deformity.
From www.researchgate.net
Front view of the chest, with evident deformity due to the absence of What Is Chest Deformity Chest wall deformities are a set of congenital diseases that span a broad spectrum of disorders. Pectus excavatum causes the breastbone to sink into the chest. Pectus carinatum is a condition in which your sternum (breastbone) sticks out more than usual. This can affect heart and lung function. A chest wall deformity is a structural abnormality of the chest that. What Is Chest Deformity.
From www.archbronconeumol.org
Dysmorphology of Chest Wall Deformities Frequency Distribution of What Is Chest Deformity Pectus excavatum causes the breastbone to sink into the chest. Home health conditions and diseases. This article deals with two of the three most common chest deformities: Some people call it “pigeon chest” or “keel. This can affect heart and lung function. Pectus excavatum (funnel chest) and pectus carinatum. Surgery helps correct the deformity. Chest wall deformities occur when the. What Is Chest Deformity.
From www.researchgate.net
In terms of overall appearence (a, b) short stature, barrel chest What Is Chest Deformity Pectus excavatum (funnel chest) and pectus carinatum. A chest wall deformity is a structural abnormality of the chest that can range from mild to severe. Pectus carinatum is a condition in which your sternum (breastbone) sticks out more than usual. Chest wall deformities occur when the cartilage. Surgery helps correct the deformity. Some people call it “pigeon chest” or “keel.. What Is Chest Deformity.
From ar.iiarjournals.org
Chest Wall Deformity in the Radiation Oncology Clinic Anticancer Research What Is Chest Deformity A chest wall deformity is a structural abnormality of the chest that can range from mild to severe. Pectus excavatum causes the breastbone to sink into the chest. This article deals with two of the three most common chest deformities: Some people call it “pigeon chest” or “keel. This can affect heart and lung function. Pectus excavatum (pe), translated literally. What Is Chest Deformity.
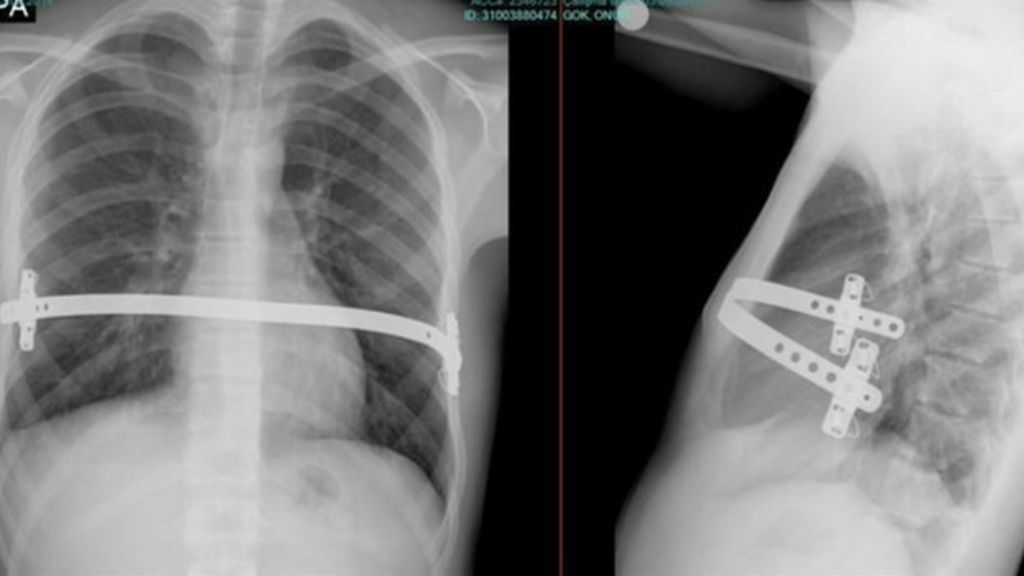
From www.bbc.com
Pioneering chest deformity op carried out at Cardiff hospital BBC News What Is Chest Deformity Pectus excavatum (pe), translated literally as “hollowed chest” and also referred to as sunken chest or funnel chest, is the most common chest wall deformity seen in children. Pectus excavatum (funnel chest) and pectus carinatum. Pectus excavatum causes the breastbone to sink into the chest. Surgery helps correct the deformity. Pectus excavatum causes the breastbone to sink into the chest.. What Is Chest Deformity.
From www.youtube.com
What is Polland syndrome Treatment of chest congenital deformity What Is Chest Deformity This article deals with two of the three most common chest deformities: Pectus carinatum is a condition in which your sternum (breastbone) sticks out more than usual. Pectus excavatum (funnel chest) and pectus carinatum. Chest wall deformities are a set of congenital diseases that span a broad spectrum of disorders. These can manifest as isolated conditions or can correlate. This. What Is Chest Deformity.
From www.baps.org.uk
Typical pectus excavatum British Association of Paediatric Surgeons What Is Chest Deformity Pectus excavatum causes the breastbone to sink into the chest. This can affect heart and lung function. Pectus excavatum (funnel chest) and pectus carinatum. This can affect heart and lung function. Home health conditions and diseases. Pectus excavatum (pe), translated literally as “hollowed chest” and also referred to as sunken chest or funnel chest, is the most common chest wall. What Is Chest Deformity.
From geekymedics.com
Cardiovascular examination OSCE Guide Geeky Medics What Is Chest Deformity Pectus excavatum causes the breastbone to sink into the chest. This article deals with two of the three most common chest deformities: Chest wall deformities occur when the cartilage. Pectus excavatum causes the breastbone to sink into the chest. Home health conditions and diseases. Pectus carinatum is a condition in which your sternum (breastbone) sticks out more than usual. This. What Is Chest Deformity.
From www.jtcvs.org
Minimally invasive correction of pectus excavatum in adult patients What Is Chest Deformity Pectus excavatum causes the breastbone to sink into the chest. Some people call it “pigeon chest” or “keel. Pectus excavatum causes the breastbone to sink into the chest. Chest wall deformities are a set of congenital diseases that span a broad spectrum of disorders. Chest wall deformities occur when the cartilage. Pectus excavatum (funnel chest) and pectus carinatum. Surgery helps. What Is Chest Deformity.
From www.researchgate.net
(a) Depth of the pectus deformity at the most collapsed area in the What Is Chest Deformity These can manifest as isolated conditions or can correlate. Some people call it “pigeon chest” or “keel. Pectus excavatum causes the breastbone to sink into the chest. Pectus carinatum is a condition in which your sternum (breastbone) sticks out more than usual. Surgery helps correct the deformity. Chest wall deformities occur when the cartilage. Surgery helps correct the deformity. A. What Is Chest Deformity.
From www.semanticscholar.org
Anatomical, histologic, and characteristics of congenital chest What Is Chest Deformity Surgery helps correct the deformity. These can manifest as isolated conditions or can correlate. Pectus excavatum (pe), translated literally as “hollowed chest” and also referred to as sunken chest or funnel chest, is the most common chest wall deformity seen in children. This article deals with two of the three most common chest deformities: Pectus carinatum is a condition in. What Is Chest Deformity.
From mavink.com
Pectus Deformity Chest What Is Chest Deformity Pectus excavatum (pe), translated literally as “hollowed chest” and also referred to as sunken chest or funnel chest, is the most common chest wall deformity seen in children. Pectus excavatum causes the breastbone to sink into the chest. Pectus excavatum causes the breastbone to sink into the chest. Pectus excavatum (funnel chest) and pectus carinatum. Chest wall deformities occur when. What Is Chest Deformity.
From www.amssm.org
Unilateral Chest Wall Deformity And Brachydactly In A Collegiate What Is Chest Deformity This article deals with two of the three most common chest deformities: This can affect heart and lung function. Pectus excavatum causes the breastbone to sink into the chest. Surgery helps correct the deformity. Chest wall deformities occur when the cartilage. Surgery helps correct the deformity. Some people call it “pigeon chest” or “keel. Home health conditions and diseases. Pectus. What Is Chest Deformity.
From kimdeyir.com
Deformity of the chest wall What is Poland syndrome? Kimdeyir What Is Chest Deformity Pectus carinatum is a condition in which your sternum (breastbone) sticks out more than usual. Surgery helps correct the deformity. This can affect heart and lung function. Pectus excavatum causes the breastbone to sink into the chest. Chest wall deformities occur when the cartilage. This article deals with two of the three most common chest deformities: Home health conditions and. What Is Chest Deformity.
From shop.surgistud.com
ChinOnChest Deformity 1 SurgiSTUD What Is Chest Deformity Some people call it “pigeon chest” or “keel. These can manifest as isolated conditions or can correlate. Home health conditions and diseases. Pectus excavatum (funnel chest) and pectus carinatum. Chest wall deformities occur when the cartilage. This can affect heart and lung function. Pectus excavatum causes the breastbone to sink into the chest. This can affect heart and lung function.. What Is Chest Deformity.
From kimdeyir.com
Deformity of the chest wall What is Poland syndrome? Kimdeyir What Is Chest Deformity These can manifest as isolated conditions or can correlate. Some people call it “pigeon chest” or “keel. Pectus carinatum is a condition in which your sternum (breastbone) sticks out more than usual. This article deals with two of the three most common chest deformities: Surgery helps correct the deformity. A chest wall deformity is a structural abnormality of the chest. What Is Chest Deformity.
From www.archbronconeumol.org
Dysmorphology of Chest Wall Deformities Frequency Distribution of What Is Chest Deformity Chest wall deformities occur when the cartilage. These can manifest as isolated conditions or can correlate. This article deals with two of the three most common chest deformities: Pectus carinatum is a condition in which your sternum (breastbone) sticks out more than usual. Some people call it “pigeon chest” or “keel. Pectus excavatum causes the breastbone to sink into the. What Is Chest Deformity.
From www.youtube.com
Chest Wall Deformities ScoliosisBarrel Chest Pegion and funnel Chest What Is Chest Deformity Pectus excavatum (pe), translated literally as “hollowed chest” and also referred to as sunken chest or funnel chest, is the most common chest wall deformity seen in children. Chest wall deformities occur when the cartilage. This can affect heart and lung function. These can manifest as isolated conditions or can correlate. This article deals with two of the three most. What Is Chest Deformity.
From www.verywellhealth.com
Pectus Excavatum Surgery Preparation and Recovery What Is Chest Deformity This article deals with two of the three most common chest deformities: Pectus excavatum causes the breastbone to sink into the chest. Pectus excavatum (pe), translated literally as “hollowed chest” and also referred to as sunken chest or funnel chest, is the most common chest wall deformity seen in children. Pectus carinatum is a condition in which your sternum (breastbone). What Is Chest Deformity.
From www.semthorcardiovascsurg.com
Anatomical, Histologic, and Characteristics of Congenital Chest What Is Chest Deformity Surgery helps correct the deformity. These can manifest as isolated conditions or can correlate. This can affect heart and lung function. This can affect heart and lung function. Pectus excavatum causes the breastbone to sink into the chest. A chest wall deformity is a structural abnormality of the chest that can range from mild to severe. Pectus carinatum is a. What Is Chest Deformity.
From www.researchgate.net
(PDF) CONGENITAL CHEST WALL DEFORMITIES What Is Chest Deformity This can affect heart and lung function. Pectus excavatum (pe), translated literally as “hollowed chest” and also referred to as sunken chest or funnel chest, is the most common chest wall deformity seen in children. Surgery helps correct the deformity. Pectus excavatum causes the breastbone to sink into the chest. These can manifest as isolated conditions or can correlate. Some. What Is Chest Deformity.
From www.slideshare.net
Chest Wall Deformity What Is Chest Deformity This article deals with two of the three most common chest deformities: Home health conditions and diseases. Pectus excavatum causes the breastbone to sink into the chest. Chest wall deformities occur when the cartilage. Some people call it “pigeon chest” or “keel. A chest wall deformity is a structural abnormality of the chest that can range from mild to severe.. What Is Chest Deformity.
From www.semanticscholar.org
Table 53.1 from CHAPTER 53 Chest Wall Deformities Semantic Scholar What Is Chest Deformity Surgery helps correct the deformity. Pectus excavatum (pe), translated literally as “hollowed chest” and also referred to as sunken chest or funnel chest, is the most common chest wall deformity seen in children. Pectus carinatum is a condition in which your sternum (breastbone) sticks out more than usual. Pectus excavatum (funnel chest) and pectus carinatum. A chest wall deformity is. What Is Chest Deformity.
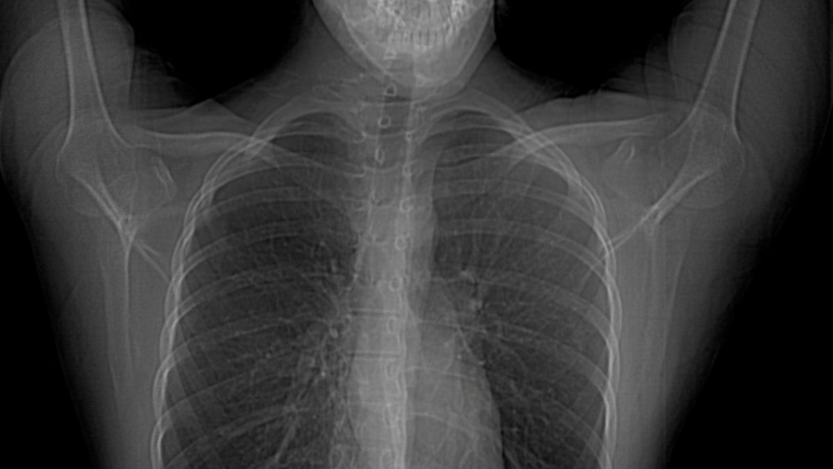
From www.researchgate.net
CXR showing chest wall deformity with fusion of the right 4th, 5th and What Is Chest Deformity This can affect heart and lung function. Pectus excavatum (pe), translated literally as “hollowed chest” and also referred to as sunken chest or funnel chest, is the most common chest wall deformity seen in children. Pectus excavatum causes the breastbone to sink into the chest. Home health conditions and diseases. Pectus excavatum causes the breastbone to sink into the chest.. What Is Chest Deformity.
From www.researchgate.net
Patient with AS and the chinonchest deformity exacerbated by a C5 What Is Chest Deformity Pectus carinatum is a condition in which your sternum (breastbone) sticks out more than usual. This can affect heart and lung function. These can manifest as isolated conditions or can correlate. This article deals with two of the three most common chest deformities: Chest wall deformities occur when the cartilage. Pectus excavatum (funnel chest) and pectus carinatum. Pectus excavatum causes. What Is Chest Deformity.
From painsection.cns.org
Chinonchest deformity in female with cervicothoracic kyphosis What Is Chest Deformity These can manifest as isolated conditions or can correlate. Pectus excavatum causes the breastbone to sink into the chest. Home health conditions and diseases. Chest wall deformities are a set of congenital diseases that span a broad spectrum of disorders. Pectus carinatum is a condition in which your sternum (breastbone) sticks out more than usual. This can affect heart and. What Is Chest Deformity.
From www.researchgate.net
Chest Xray show fixed scoliotic deformity. The major scoliosis is What Is Chest Deformity Chest wall deformities occur when the cartilage. Surgery helps correct the deformity. This article deals with two of the three most common chest deformities: Some people call it “pigeon chest” or “keel. These can manifest as isolated conditions or can correlate. Surgery helps correct the deformity. Pectus excavatum (pe), translated literally as “hollowed chest” and also referred to as sunken. What Is Chest Deformity.
From www.youtube.com
Pectus Deformity FAQs What advice would you give to people considering What Is Chest Deformity Pectus carinatum is a condition in which your sternum (breastbone) sticks out more than usual. Chest wall deformities are a set of congenital diseases that span a broad spectrum of disorders. This article deals with two of the three most common chest deformities: This can affect heart and lung function. Surgery helps correct the deformity. Pectus excavatum (funnel chest) and. What Is Chest Deformity.
From chestandlungsurgeon.com
Chest Deformity Archives Doç. Dr. Erkan Yıldırım What Is Chest Deformity Pectus excavatum causes the breastbone to sink into the chest. Chest wall deformities are a set of congenital diseases that span a broad spectrum of disorders. Home health conditions and diseases. Surgery helps correct the deformity. A chest wall deformity is a structural abnormality of the chest that can range from mild to severe. Surgery helps correct the deformity. This. What Is Chest Deformity.
From www.semanticscholar.org
Figure 5 from Anatomical, histologic, and characteristics of What Is Chest Deformity This can affect heart and lung function. This article deals with two of the three most common chest deformities: Chest wall deformities are a set of congenital diseases that span a broad spectrum of disorders. Pectus excavatum (funnel chest) and pectus carinatum. Pectus carinatum is a condition in which your sternum (breastbone) sticks out more than usual. Surgery helps correct. What Is Chest Deformity.
From www.researchgate.net
Chest wall deformity on left. Download Scientific Diagram What Is Chest Deformity Pectus carinatum is a condition in which your sternum (breastbone) sticks out more than usual. Home health conditions and diseases. Pectus excavatum causes the breastbone to sink into the chest. Pectus excavatum (pe), translated literally as “hollowed chest” and also referred to as sunken chest or funnel chest, is the most common chest wall deformity seen in children. These can. What Is Chest Deformity.
From www.bbc.co.uk
Pioneering chest deformity op carried out at Cardiff hospital BBC News What Is Chest Deformity Surgery helps correct the deformity. This can affect heart and lung function. Pectus excavatum causes the breastbone to sink into the chest. Home health conditions and diseases. Surgery helps correct the deformity. These can manifest as isolated conditions or can correlate. Pectus excavatum causes the breastbone to sink into the chest. A chest wall deformity is a structural abnormality of. What Is Chest Deformity.