What Is The Difference Between Osgood Schlatter S And Patellar Tendonitis . The tibial tubercle (the tuberosity of the tibia) is the protuberance along the anterior aspect of the tibia, just distal to the anterior surfaces of the medial and lateral tibial condyles. It is an inflammation of the area just below the knee where the tendon from the kneecap (patellar. Osgood schlatter disease, also known as osteochondrosis or traction apophysitis of the tibial tubercle, is a common cause of. This connection between the tendon and tibia is particularly vulnerable to stress and injury during times when the bone is.
from www.vywwc.com
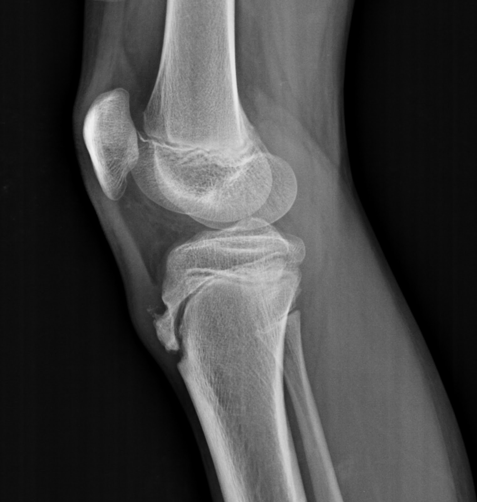
The tibial tubercle (the tuberosity of the tibia) is the protuberance along the anterior aspect of the tibia, just distal to the anterior surfaces of the medial and lateral tibial condyles. Osgood schlatter disease, also known as osteochondrosis or traction apophysitis of the tibial tubercle, is a common cause of. This connection between the tendon and tibia is particularly vulnerable to stress and injury during times when the bone is. It is an inflammation of the area just below the knee where the tendon from the kneecap (patellar.
Understanding OsgoodSchlatter Disease in Children Vincent Wang
What Is The Difference Between Osgood Schlatter S And Patellar Tendonitis Osgood schlatter disease, also known as osteochondrosis or traction apophysitis of the tibial tubercle, is a common cause of. The tibial tubercle (the tuberosity of the tibia) is the protuberance along the anterior aspect of the tibia, just distal to the anterior surfaces of the medial and lateral tibial condyles. Osgood schlatter disease, also known as osteochondrosis or traction apophysitis of the tibial tubercle, is a common cause of. This connection between the tendon and tibia is particularly vulnerable to stress and injury during times when the bone is. It is an inflammation of the area just below the knee where the tendon from the kneecap (patellar.
From www.fixmyfeet.co.za
OsgoodSchlatter Disease tenderness in the knees Greg Robinson What Is The Difference Between Osgood Schlatter S And Patellar Tendonitis This connection between the tendon and tibia is particularly vulnerable to stress and injury during times when the bone is. The tibial tubercle (the tuberosity of the tibia) is the protuberance along the anterior aspect of the tibia, just distal to the anterior surfaces of the medial and lateral tibial condyles. It is an inflammation of the area just below. What Is The Difference Between Osgood Schlatter S And Patellar Tendonitis.
From www.amazon.ca
Sleeve Stars Patellar Tendon Support Strap Osgood Schlatter Knee Brace What Is The Difference Between Osgood Schlatter S And Patellar Tendonitis Osgood schlatter disease, also known as osteochondrosis or traction apophysitis of the tibial tubercle, is a common cause of. The tibial tubercle (the tuberosity of the tibia) is the protuberance along the anterior aspect of the tibia, just distal to the anterior surfaces of the medial and lateral tibial condyles. It is an inflammation of the area just below the. What Is The Difference Between Osgood Schlatter S And Patellar Tendonitis.
From www.pinterest.com
Pin on Knee Replacement What Is The Difference Between Osgood Schlatter S And Patellar Tendonitis The tibial tubercle (the tuberosity of the tibia) is the protuberance along the anterior aspect of the tibia, just distal to the anterior surfaces of the medial and lateral tibial condyles. It is an inflammation of the area just below the knee where the tendon from the kneecap (patellar. Osgood schlatter disease, also known as osteochondrosis or traction apophysitis of. What Is The Difference Between Osgood Schlatter S And Patellar Tendonitis.
From www.vywwc.com
Understanding OsgoodSchlatter Disease in Children Vincent Wang What Is The Difference Between Osgood Schlatter S And Patellar Tendonitis It is an inflammation of the area just below the knee where the tendon from the kneecap (patellar. The tibial tubercle (the tuberosity of the tibia) is the protuberance along the anterior aspect of the tibia, just distal to the anterior surfaces of the medial and lateral tibial condyles. Osgood schlatter disease, also known as osteochondrosis or traction apophysitis of. What Is The Difference Between Osgood Schlatter S And Patellar Tendonitis.
From www.osmosis.org
OsgoodSchlatter disease (traction apophysitis) Osmosis What Is The Difference Between Osgood Schlatter S And Patellar Tendonitis The tibial tubercle (the tuberosity of the tibia) is the protuberance along the anterior aspect of the tibia, just distal to the anterior surfaces of the medial and lateral tibial condyles. It is an inflammation of the area just below the knee where the tendon from the kneecap (patellar. This connection between the tendon and tibia is particularly vulnerable to. What Is The Difference Between Osgood Schlatter S And Patellar Tendonitis.
From www.braceability.com
Patellar Tendon Straps Patella Tendonitis Knee Braces & Bands What Is The Difference Between Osgood Schlatter S And Patellar Tendonitis It is an inflammation of the area just below the knee where the tendon from the kneecap (patellar. This connection between the tendon and tibia is particularly vulnerable to stress and injury during times when the bone is. Osgood schlatter disease, also known as osteochondrosis or traction apophysitis of the tibial tubercle, is a common cause of. The tibial tubercle. What Is The Difference Between Osgood Schlatter S And Patellar Tendonitis.
From james-mccormack.com
Sharp Stabbing Pain in Knee Comes and Goes What Is The Difference Between Osgood Schlatter S And Patellar Tendonitis Osgood schlatter disease, also known as osteochondrosis or traction apophysitis of the tibial tubercle, is a common cause of. This connection between the tendon and tibia is particularly vulnerable to stress and injury during times when the bone is. It is an inflammation of the area just below the knee where the tendon from the kneecap (patellar. The tibial tubercle. What Is The Difference Between Osgood Schlatter S And Patellar Tendonitis.
From www.thephysiodepot.com.au
What’s that painful lump on my kid’s knee? It's Osgood Schlatters What Is The Difference Between Osgood Schlatter S And Patellar Tendonitis The tibial tubercle (the tuberosity of the tibia) is the protuberance along the anterior aspect of the tibia, just distal to the anterior surfaces of the medial and lateral tibial condyles. Osgood schlatter disease, also known as osteochondrosis or traction apophysitis of the tibial tubercle, is a common cause of. This connection between the tendon and tibia is particularly vulnerable. What Is The Difference Between Osgood Schlatter S And Patellar Tendonitis.
From www.braceability.com
Best Patellar Tendon Strap Runner’s & Jumper’s Knee Brace What Is The Difference Between Osgood Schlatter S And Patellar Tendonitis This connection between the tendon and tibia is particularly vulnerable to stress and injury during times when the bone is. The tibial tubercle (the tuberosity of the tibia) is the protuberance along the anterior aspect of the tibia, just distal to the anterior surfaces of the medial and lateral tibial condyles. It is an inflammation of the area just below. What Is The Difference Between Osgood Schlatter S And Patellar Tendonitis.
From kineticlabs.ca
Quick Facts on OsgoodSchlatter Disease Labs What Is The Difference Between Osgood Schlatter S And Patellar Tendonitis Osgood schlatter disease, also known as osteochondrosis or traction apophysitis of the tibial tubercle, is a common cause of. It is an inflammation of the area just below the knee where the tendon from the kneecap (patellar. The tibial tubercle (the tuberosity of the tibia) is the protuberance along the anterior aspect of the tibia, just distal to the anterior. What Is The Difference Between Osgood Schlatter S And Patellar Tendonitis.
From orthoinfo.aaos.org
OsgoodSchlatter Disease (Knee Pain) OrthoInfo AAOS What Is The Difference Between Osgood Schlatter S And Patellar Tendonitis The tibial tubercle (the tuberosity of the tibia) is the protuberance along the anterior aspect of the tibia, just distal to the anterior surfaces of the medial and lateral tibial condyles. It is an inflammation of the area just below the knee where the tendon from the kneecap (patellar. This connection between the tendon and tibia is particularly vulnerable to. What Is The Difference Between Osgood Schlatter S And Patellar Tendonitis.
From ojaihealth.com
Jumper’s Knee (OsgoodSchlatter’s Disease) Balance Health Center What Is The Difference Between Osgood Schlatter S And Patellar Tendonitis Osgood schlatter disease, also known as osteochondrosis or traction apophysitis of the tibial tubercle, is a common cause of. The tibial tubercle (the tuberosity of the tibia) is the protuberance along the anterior aspect of the tibia, just distal to the anterior surfaces of the medial and lateral tibial condyles. This connection between the tendon and tibia is particularly vulnerable. What Is The Difference Between Osgood Schlatter S And Patellar Tendonitis.
From thirdeye-radiologysite.blogspot.com
OsgoodSchlatter disease The Third Eye Radiology site What Is The Difference Between Osgood Schlatter S And Patellar Tendonitis The tibial tubercle (the tuberosity of the tibia) is the protuberance along the anterior aspect of the tibia, just distal to the anterior surfaces of the medial and lateral tibial condyles. It is an inflammation of the area just below the knee where the tendon from the kneecap (patellar. Osgood schlatter disease, also known as osteochondrosis or traction apophysitis of. What Is The Difference Between Osgood Schlatter S And Patellar Tendonitis.
From www.animationoptions.com
Osgood Schlatters Disease What Is The Difference Between Osgood Schlatter S And Patellar Tendonitis This connection between the tendon and tibia is particularly vulnerable to stress and injury during times when the bone is. The tibial tubercle (the tuberosity of the tibia) is the protuberance along the anterior aspect of the tibia, just distal to the anterior surfaces of the medial and lateral tibial condyles. It is an inflammation of the area just below. What Is The Difference Between Osgood Schlatter S And Patellar Tendonitis.
From www.pinterest.com
What is OsgoodSchlatter Disease? Osgood schlatter disease, Osgood What Is The Difference Between Osgood Schlatter S And Patellar Tendonitis This connection between the tendon and tibia is particularly vulnerable to stress and injury during times when the bone is. Osgood schlatter disease, also known as osteochondrosis or traction apophysitis of the tibial tubercle, is a common cause of. It is an inflammation of the area just below the knee where the tendon from the kneecap (patellar. The tibial tubercle. What Is The Difference Between Osgood Schlatter S And Patellar Tendonitis.
From www.flickriver.com
Sites of Osgood Schlatter syndrome and Sinding Larsen Johansson What Is The Difference Between Osgood Schlatter S And Patellar Tendonitis Osgood schlatter disease, also known as osteochondrosis or traction apophysitis of the tibial tubercle, is a common cause of. The tibial tubercle (the tuberosity of the tibia) is the protuberance along the anterior aspect of the tibia, just distal to the anterior surfaces of the medial and lateral tibial condyles. This connection between the tendon and tibia is particularly vulnerable. What Is The Difference Between Osgood Schlatter S And Patellar Tendonitis.
From www.aafp.org
Condition What Is The Difference Between Osgood Schlatter S And Patellar Tendonitis It is an inflammation of the area just below the knee where the tendon from the kneecap (patellar. This connection between the tendon and tibia is particularly vulnerable to stress and injury during times when the bone is. Osgood schlatter disease, also known as osteochondrosis or traction apophysitis of the tibial tubercle, is a common cause of. The tibial tubercle. What Is The Difference Between Osgood Schlatter S And Patellar Tendonitis.
From www.braceability.com
Childs Osgood Schlatter Brace Youth Patella Strap Knee Band for Kids What Is The Difference Between Osgood Schlatter S And Patellar Tendonitis Osgood schlatter disease, also known as osteochondrosis or traction apophysitis of the tibial tubercle, is a common cause of. It is an inflammation of the area just below the knee where the tendon from the kneecap (patellar. This connection between the tendon and tibia is particularly vulnerable to stress and injury during times when the bone is. The tibial tubercle. What Is The Difference Between Osgood Schlatter S And Patellar Tendonitis.
From www.braceability.com
Patellar Subluxation Braces Treatment for Patellar Subluxation What Is The Difference Between Osgood Schlatter S And Patellar Tendonitis It is an inflammation of the area just below the knee where the tendon from the kneecap (patellar. Osgood schlatter disease, also known as osteochondrosis or traction apophysitis of the tibial tubercle, is a common cause of. The tibial tubercle (the tuberosity of the tibia) is the protuberance along the anterior aspect of the tibia, just distal to the anterior. What Is The Difference Between Osgood Schlatter S And Patellar Tendonitis.
From www.kneeguru.co.uk
Arthroscopic excision of an Osgood Schlatter ossicle KNEEguru What Is The Difference Between Osgood Schlatter S And Patellar Tendonitis Osgood schlatter disease, also known as osteochondrosis or traction apophysitis of the tibial tubercle, is a common cause of. It is an inflammation of the area just below the knee where the tendon from the kneecap (patellar. This connection between the tendon and tibia is particularly vulnerable to stress and injury during times when the bone is. The tibial tubercle. What Is The Difference Between Osgood Schlatter S And Patellar Tendonitis.
From www.epodiatry.com.au
Knee Pain Erica Dash Podiatry What Is The Difference Between Osgood Schlatter S And Patellar Tendonitis This connection between the tendon and tibia is particularly vulnerable to stress and injury during times when the bone is. Osgood schlatter disease, also known as osteochondrosis or traction apophysitis of the tibial tubercle, is a common cause of. It is an inflammation of the area just below the knee where the tendon from the kneecap (patellar. The tibial tubercle. What Is The Difference Between Osgood Schlatter S And Patellar Tendonitis.
From www.braceability.com
Osgood Schlatter Disease Treatment, Exercises & Surgery What Is The Difference Between Osgood Schlatter S And Patellar Tendonitis The tibial tubercle (the tuberosity of the tibia) is the protuberance along the anterior aspect of the tibia, just distal to the anterior surfaces of the medial and lateral tibial condyles. It is an inflammation of the area just below the knee where the tendon from the kneecap (patellar. Osgood schlatter disease, also known as osteochondrosis or traction apophysitis of. What Is The Difference Between Osgood Schlatter S And Patellar Tendonitis.
From www.wikiradiography.net
OsgoodSchlatter Disease wikiRadiography What Is The Difference Between Osgood Schlatter S And Patellar Tendonitis It is an inflammation of the area just below the knee where the tendon from the kneecap (patellar. Osgood schlatter disease, also known as osteochondrosis or traction apophysitis of the tibial tubercle, is a common cause of. The tibial tubercle (the tuberosity of the tibia) is the protuberance along the anterior aspect of the tibia, just distal to the anterior. What Is The Difference Between Osgood Schlatter S And Patellar Tendonitis.
From www.physio.co.uk
Osgood Schlatters Disease Knee Conditions Musculoskeletal What What Is The Difference Between Osgood Schlatter S And Patellar Tendonitis It is an inflammation of the area just below the knee where the tendon from the kneecap (patellar. This connection between the tendon and tibia is particularly vulnerable to stress and injury during times when the bone is. The tibial tubercle (the tuberosity of the tibia) is the protuberance along the anterior aspect of the tibia, just distal to the. What Is The Difference Between Osgood Schlatter S And Patellar Tendonitis.
From www.physiocheck.co.uk
OsgoodSchlatter Physio Check What Is The Difference Between Osgood Schlatter S And Patellar Tendonitis Osgood schlatter disease, also known as osteochondrosis or traction apophysitis of the tibial tubercle, is a common cause of. This connection between the tendon and tibia is particularly vulnerable to stress and injury during times when the bone is. It is an inflammation of the area just below the knee where the tendon from the kneecap (patellar. The tibial tubercle. What Is The Difference Between Osgood Schlatter S And Patellar Tendonitis.
From www.braceability.com
Osgood Schlatter Disease in Adults Treatment for Knee Pain What Is The Difference Between Osgood Schlatter S And Patellar Tendonitis This connection between the tendon and tibia is particularly vulnerable to stress and injury during times when the bone is. The tibial tubercle (the tuberosity of the tibia) is the protuberance along the anterior aspect of the tibia, just distal to the anterior surfaces of the medial and lateral tibial condyles. It is an inflammation of the area just below. What Is The Difference Between Osgood Schlatter S And Patellar Tendonitis.
From www.pinterest.com
Osgood Schlatter Disease Everything You Need To Know Dr. Nabil What Is The Difference Between Osgood Schlatter S And Patellar Tendonitis The tibial tubercle (the tuberosity of the tibia) is the protuberance along the anterior aspect of the tibia, just distal to the anterior surfaces of the medial and lateral tibial condyles. Osgood schlatter disease, also known as osteochondrosis or traction apophysitis of the tibial tubercle, is a common cause of. This connection between the tendon and tibia is particularly vulnerable. What Is The Difference Between Osgood Schlatter S And Patellar Tendonitis.
From www.braceability.com
Osgood Schlatter Disease in Adults Treatment for Knee Pain What Is The Difference Between Osgood Schlatter S And Patellar Tendonitis Osgood schlatter disease, also known as osteochondrosis or traction apophysitis of the tibial tubercle, is a common cause of. The tibial tubercle (the tuberosity of the tibia) is the protuberance along the anterior aspect of the tibia, just distal to the anterior surfaces of the medial and lateral tibial condyles. This connection between the tendon and tibia is particularly vulnerable. What Is The Difference Between Osgood Schlatter S And Patellar Tendonitis.
From www.braceability.com
Osgood Schlatter Disease Treatment, Exercises & Surgery What Is The Difference Between Osgood Schlatter S And Patellar Tendonitis Osgood schlatter disease, also known as osteochondrosis or traction apophysitis of the tibial tubercle, is a common cause of. This connection between the tendon and tibia is particularly vulnerable to stress and injury during times when the bone is. It is an inflammation of the area just below the knee where the tendon from the kneecap (patellar. The tibial tubercle. What Is The Difference Between Osgood Schlatter S And Patellar Tendonitis.
From www.slideserve.com
PPT Osgood schlatter syndrome PowerPoint Presentation, free download What Is The Difference Between Osgood Schlatter S And Patellar Tendonitis This connection between the tendon and tibia is particularly vulnerable to stress and injury during times when the bone is. It is an inflammation of the area just below the knee where the tendon from the kneecap (patellar. The tibial tubercle (the tuberosity of the tibia) is the protuberance along the anterior aspect of the tibia, just distal to the. What Is The Difference Between Osgood Schlatter S And Patellar Tendonitis.
From www.spectrumhealthcare.com.au
Osgood Schlatter’s Disease What Is The Difference Between Osgood Schlatter S And Patellar Tendonitis The tibial tubercle (the tuberosity of the tibia) is the protuberance along the anterior aspect of the tibia, just distal to the anterior surfaces of the medial and lateral tibial condyles. Osgood schlatter disease, also known as osteochondrosis or traction apophysitis of the tibial tubercle, is a common cause of. This connection between the tendon and tibia is particularly vulnerable. What Is The Difference Between Osgood Schlatter S And Patellar Tendonitis.
From www.airrosti.com
OsgoodSchlatter Disease Causes, Symptoms, And Treatment Airrosti What Is The Difference Between Osgood Schlatter S And Patellar Tendonitis It is an inflammation of the area just below the knee where the tendon from the kneecap (patellar. Osgood schlatter disease, also known as osteochondrosis or traction apophysitis of the tibial tubercle, is a common cause of. The tibial tubercle (the tuberosity of the tibia) is the protuberance along the anterior aspect of the tibia, just distal to the anterior. What Is The Difference Between Osgood Schlatter S And Patellar Tendonitis.
From www.vrogue.co
Sinding Larsen Johansson Syndrome Symptoms Causes Tre vrogue.co What Is The Difference Between Osgood Schlatter S And Patellar Tendonitis The tibial tubercle (the tuberosity of the tibia) is the protuberance along the anterior aspect of the tibia, just distal to the anterior surfaces of the medial and lateral tibial condyles. This connection between the tendon and tibia is particularly vulnerable to stress and injury during times when the bone is. It is an inflammation of the area just below. What Is The Difference Between Osgood Schlatter S And Patellar Tendonitis.
From www.pinterest.com
OsgoodSchlatter Disease Osgood schlatter disease, Knee pain relief What Is The Difference Between Osgood Schlatter S And Patellar Tendonitis It is an inflammation of the area just below the knee where the tendon from the kneecap (patellar. Osgood schlatter disease, also known as osteochondrosis or traction apophysitis of the tibial tubercle, is a common cause of. This connection between the tendon and tibia is particularly vulnerable to stress and injury during times when the bone is. The tibial tubercle. What Is The Difference Between Osgood Schlatter S And Patellar Tendonitis.
From www.elpasochiropractorblog.com
What is OsgoodSchlatter Disease? What Is The Difference Between Osgood Schlatter S And Patellar Tendonitis This connection between the tendon and tibia is particularly vulnerable to stress and injury during times when the bone is. Osgood schlatter disease, also known as osteochondrosis or traction apophysitis of the tibial tubercle, is a common cause of. The tibial tubercle (the tuberosity of the tibia) is the protuberance along the anterior aspect of the tibia, just distal to. What Is The Difference Between Osgood Schlatter S And Patellar Tendonitis.