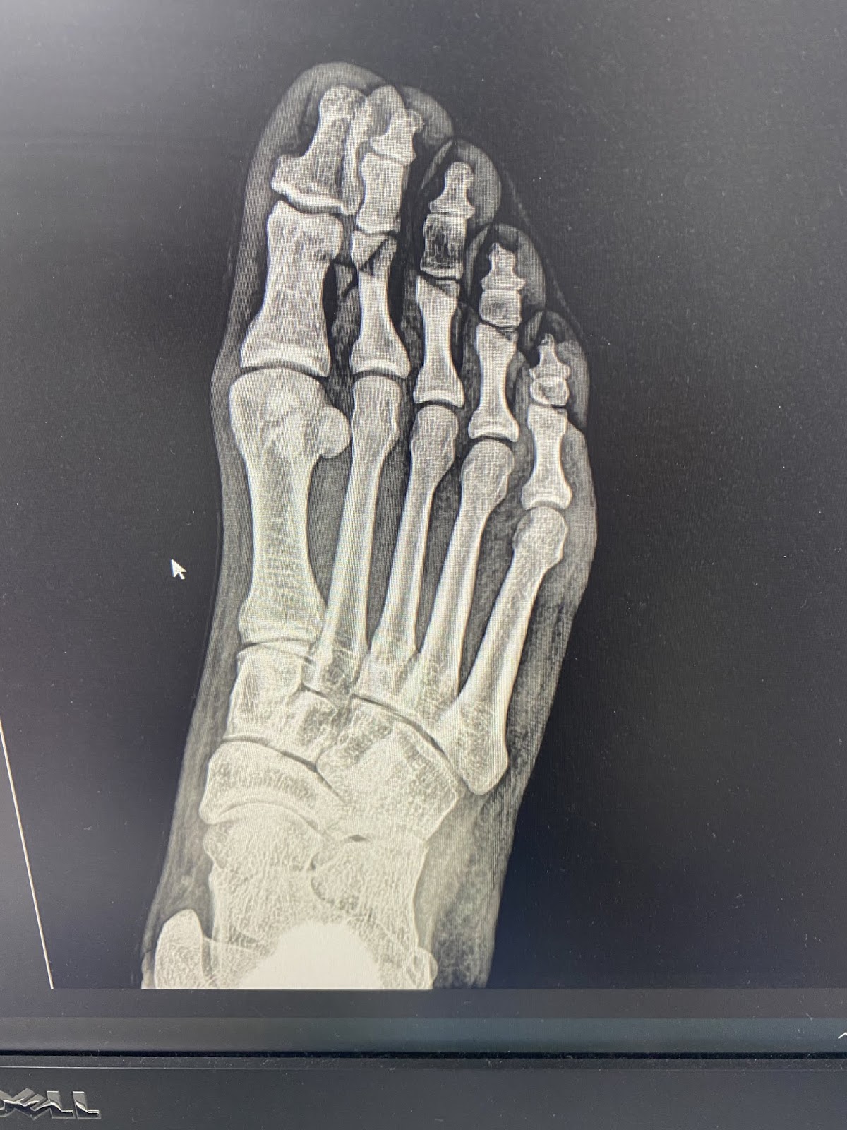
Sesamoid Fracture Walking Boot . Stress fractures are usually caused by repetitive motion, such as walking, running, or dancing. The medial (ie, tibial) sesamoid is thought to bear greater force during the normal gait cycle and is more commonly fractured. With sesamoiditis or a stress fracture, the pain. Those options may include a combination of wearing shoes with more cushioning, wearing orthotic inserts that limit the motion of your big toe, taping your big toe to give added. With a sesamoid fracture, you will feel pain immediately after a hyperextension injury to the big toe (the toe is bent backward). I fractured my sesamoid in aug 2017, plowed thru thinking the pain would go away and 10 days later saw a podiatrist. Pain from a sesamoid injury is focused under the big toe on the ball of the foot. Explore the impact of sesamoid injuries on foot mobility, and discover diagnostic signs of a broken sesamoid.
from www.gosupps.com
Explore the impact of sesamoid injuries on foot mobility, and discover diagnostic signs of a broken sesamoid. The medial (ie, tibial) sesamoid is thought to bear greater force during the normal gait cycle and is more commonly fractured. Stress fractures are usually caused by repetitive motion, such as walking, running, or dancing. With sesamoiditis or a stress fracture, the pain. With a sesamoid fracture, you will feel pain immediately after a hyperextension injury to the big toe (the toe is bent backward). I fractured my sesamoid in aug 2017, plowed thru thinking the pain would go away and 10 days later saw a podiatrist. Those options may include a combination of wearing shoes with more cushioning, wearing orthotic inserts that limit the motion of your big toe, taping your big toe to give added. Pain from a sesamoid injury is focused under the big toe on the ball of the foot.
Xshuan Walking Boot Fracture Boot for Sprained Ankle Toe Fractures
Sesamoid Fracture Walking Boot With sesamoiditis or a stress fracture, the pain. Pain from a sesamoid injury is focused under the big toe on the ball of the foot. With sesamoiditis or a stress fracture, the pain. The medial (ie, tibial) sesamoid is thought to bear greater force during the normal gait cycle and is more commonly fractured. Those options may include a combination of wearing shoes with more cushioning, wearing orthotic inserts that limit the motion of your big toe, taping your big toe to give added. Explore the impact of sesamoid injuries on foot mobility, and discover diagnostic signs of a broken sesamoid. I fractured my sesamoid in aug 2017, plowed thru thinking the pain would go away and 10 days later saw a podiatrist. With a sesamoid fracture, you will feel pain immediately after a hyperextension injury to the big toe (the toe is bent backward). Stress fractures are usually caused by repetitive motion, such as walking, running, or dancing.
From www.docontherun.com
Fracture walking boot one of the worst treatments for a runner DOC Sesamoid Fracture Walking Boot I fractured my sesamoid in aug 2017, plowed thru thinking the pain would go away and 10 days later saw a podiatrist. With a sesamoid fracture, you will feel pain immediately after a hyperextension injury to the big toe (the toe is bent backward). Stress fractures are usually caused by repetitive motion, such as walking, running, or dancing. Explore the. Sesamoid Fracture Walking Boot.
From www.walmart.com
Orthopedic Walking Boot, Ultra Light Full Shell Air Cam Walker Fracture Sesamoid Fracture Walking Boot Stress fractures are usually caused by repetitive motion, such as walking, running, or dancing. Pain from a sesamoid injury is focused under the big toe on the ball of the foot. With sesamoiditis or a stress fracture, the pain. Explore the impact of sesamoid injuries on foot mobility, and discover diagnostic signs of a broken sesamoid. With a sesamoid fracture,. Sesamoid Fracture Walking Boot.
From www.drblakeshealingsole.com
Foot and Ankle Problems By Dr. Richard Blake Sesamoid Fracture Email Sesamoid Fracture Walking Boot Pain from a sesamoid injury is focused under the big toe on the ball of the foot. With sesamoiditis or a stress fracture, the pain. Stress fractures are usually caused by repetitive motion, such as walking, running, or dancing. I fractured my sesamoid in aug 2017, plowed thru thinking the pain would go away and 10 days later saw a. Sesamoid Fracture Walking Boot.
From slomotionshoes.com
SesamoidFracture SLO Motion ShoesSLO Motion Shoes Sesamoid Fracture Walking Boot I fractured my sesamoid in aug 2017, plowed thru thinking the pain would go away and 10 days later saw a podiatrist. Those options may include a combination of wearing shoes with more cushioning, wearing orthotic inserts that limit the motion of your big toe, taping your big toe to give added. The medial (ie, tibial) sesamoid is thought to. Sesamoid Fracture Walking Boot.
From www.gosupps.com
Xshuan Walking Boot Fracture Boot for Sprained Ankle Toe Fractures Sesamoid Fracture Walking Boot With a sesamoid fracture, you will feel pain immediately after a hyperextension injury to the big toe (the toe is bent backward). I fractured my sesamoid in aug 2017, plowed thru thinking the pain would go away and 10 days later saw a podiatrist. Explore the impact of sesamoid injuries on foot mobility, and discover diagnostic signs of a broken. Sesamoid Fracture Walking Boot.
From kladkfoax.blob.core.windows.net
Walking Boot Near Me Now at Carmela Obryan blog Sesamoid Fracture Walking Boot Stress fractures are usually caused by repetitive motion, such as walking, running, or dancing. Explore the impact of sesamoid injuries on foot mobility, and discover diagnostic signs of a broken sesamoid. With a sesamoid fracture, you will feel pain immediately after a hyperextension injury to the big toe (the toe is bent backward). With sesamoiditis or a stress fracture, the. Sesamoid Fracture Walking Boot.
From www.desertcart.ae
Buy AircastFP (Foam Pneumatic) Walker Brace/Walking Boot Online at Sesamoid Fracture Walking Boot With sesamoiditis or a stress fracture, the pain. Stress fractures are usually caused by repetitive motion, such as walking, running, or dancing. Explore the impact of sesamoid injuries on foot mobility, and discover diagnostic signs of a broken sesamoid. I fractured my sesamoid in aug 2017, plowed thru thinking the pain would go away and 10 days later saw a. Sesamoid Fracture Walking Boot.
From lifeslittlesteps.com
Sesamoid Fractures A Helpful Management Guide Sesamoid Fracture Walking Boot Stress fractures are usually caused by repetitive motion, such as walking, running, or dancing. Explore the impact of sesamoid injuries on foot mobility, and discover diagnostic signs of a broken sesamoid. The medial (ie, tibial) sesamoid is thought to bear greater force during the normal gait cycle and is more commonly fractured. I fractured my sesamoid in aug 2017, plowed. Sesamoid Fracture Walking Boot.
From joibpmtdl.blob.core.windows.net
Medical Walking Shoe Vs Boot at Richard Lilley blog Sesamoid Fracture Walking Boot With sesamoiditis or a stress fracture, the pain. Pain from a sesamoid injury is focused under the big toe on the ball of the foot. The medial (ie, tibial) sesamoid is thought to bear greater force during the normal gait cycle and is more commonly fractured. Those options may include a combination of wearing shoes with more cushioning, wearing orthotic. Sesamoid Fracture Walking Boot.
From www.healthwearables.org
9 Best Shoes To Wear With Walking Boot In 2022 Health Wearables Sesamoid Fracture Walking Boot Those options may include a combination of wearing shoes with more cushioning, wearing orthotic inserts that limit the motion of your big toe, taping your big toe to give added. Explore the impact of sesamoid injuries on foot mobility, and discover diagnostic signs of a broken sesamoid. Pain from a sesamoid injury is focused under the big toe on the. Sesamoid Fracture Walking Boot.
From exybkbauz.blob.core.windows.net
Boot Definition Medical at David Mccalla blog Sesamoid Fracture Walking Boot Explore the impact of sesamoid injuries on foot mobility, and discover diagnostic signs of a broken sesamoid. Those options may include a combination of wearing shoes with more cushioning, wearing orthotic inserts that limit the motion of your big toe, taping your big toe to give added. With a sesamoid fracture, you will feel pain immediately after a hyperextension injury. Sesamoid Fracture Walking Boot.
From klagrlnzu.blob.core.windows.net
Broken Foot Recovery After Boot at Henry Meyer blog Sesamoid Fracture Walking Boot I fractured my sesamoid in aug 2017, plowed thru thinking the pain would go away and 10 days later saw a podiatrist. Pain from a sesamoid injury is focused under the big toe on the ball of the foot. Explore the impact of sesamoid injuries on foot mobility, and discover diagnostic signs of a broken sesamoid. The medial (ie, tibial). Sesamoid Fracture Walking Boot.
From www.desertcart.in
Buy Fracture Walking Boot Short, Ankle Correction, Toe Fracture Sesamoid Fracture Walking Boot Those options may include a combination of wearing shoes with more cushioning, wearing orthotic inserts that limit the motion of your big toe, taping your big toe to give added. Explore the impact of sesamoid injuries on foot mobility, and discover diagnostic signs of a broken sesamoid. With sesamoiditis or a stress fracture, the pain. The medial (ie, tibial) sesamoid. Sesamoid Fracture Walking Boot.
From www.gosupps.com
Xshuan Walking Boot Fracture Boot for Sprained Ankle Toe Fractures Sesamoid Fracture Walking Boot Explore the impact of sesamoid injuries on foot mobility, and discover diagnostic signs of a broken sesamoid. With a sesamoid fracture, you will feel pain immediately after a hyperextension injury to the big toe (the toe is bent backward). With sesamoiditis or a stress fracture, the pain. I fractured my sesamoid in aug 2017, plowed thru thinking the pain would. Sesamoid Fracture Walking Boot.
From ubicaciondepersonas.cdmx.gob.mx
DMI Walking Boot For Stress Fracture, Injuries And Sprained Ankle, Post Sesamoid Fracture Walking Boot Explore the impact of sesamoid injuries on foot mobility, and discover diagnostic signs of a broken sesamoid. I fractured my sesamoid in aug 2017, plowed thru thinking the pain would go away and 10 days later saw a podiatrist. With a sesamoid fracture, you will feel pain immediately after a hyperextension injury to the big toe (the toe is bent. Sesamoid Fracture Walking Boot.
From kladkfoax.blob.core.windows.net
Walking Boot Near Me Now at Carmela Obryan blog Sesamoid Fracture Walking Boot Stress fractures are usually caused by repetitive motion, such as walking, running, or dancing. With a sesamoid fracture, you will feel pain immediately after a hyperextension injury to the big toe (the toe is bent backward). Those options may include a combination of wearing shoes with more cushioning, wearing orthotic inserts that limit the motion of your big toe, taping. Sesamoid Fracture Walking Boot.
From upswinghealth.com
What is a Sesamoid Fracture & How to Manage Foot Injuries? Upswing Health Sesamoid Fracture Walking Boot The medial (ie, tibial) sesamoid is thought to bear greater force during the normal gait cycle and is more commonly fractured. Those options may include a combination of wearing shoes with more cushioning, wearing orthotic inserts that limit the motion of your big toe, taping your big toe to give added. With sesamoiditis or a stress fracture, the pain. Stress. Sesamoid Fracture Walking Boot.
From joigpsbtn.blob.core.windows.net
Ankle Break Walking Boot at Alice Greenbaum blog Sesamoid Fracture Walking Boot I fractured my sesamoid in aug 2017, plowed thru thinking the pain would go away and 10 days later saw a podiatrist. With a sesamoid fracture, you will feel pain immediately after a hyperextension injury to the big toe (the toe is bent backward). Explore the impact of sesamoid injuries on foot mobility, and discover diagnostic signs of a broken. Sesamoid Fracture Walking Boot.
From clinmedjournals.org
Efficacy of Platelet Rich Plasma in Athletes with Sesamoid Fractures A Sesamoid Fracture Walking Boot Those options may include a combination of wearing shoes with more cushioning, wearing orthotic inserts that limit the motion of your big toe, taping your big toe to give added. The medial (ie, tibial) sesamoid is thought to bear greater force during the normal gait cycle and is more commonly fractured. With a sesamoid fracture, you will feel pain immediately. Sesamoid Fracture Walking Boot.
From www.drblakeshealingsole.com
Foot and Ankle Problems By Dr. Richard Blake Sesamoid Fracture Email Sesamoid Fracture Walking Boot Stress fractures are usually caused by repetitive motion, such as walking, running, or dancing. With sesamoiditis or a stress fracture, the pain. I fractured my sesamoid in aug 2017, plowed thru thinking the pain would go away and 10 days later saw a podiatrist. Pain from a sesamoid injury is focused under the big toe on the ball of the. Sesamoid Fracture Walking Boot.
From www.goldenstateortho.com
Sesamoid Fracture Golden State Orthopedics & Spine Sesamoid Fracture Walking Boot Pain from a sesamoid injury is focused under the big toe on the ball of the foot. I fractured my sesamoid in aug 2017, plowed thru thinking the pain would go away and 10 days later saw a podiatrist. Those options may include a combination of wearing shoes with more cushioning, wearing orthotic inserts that limit the motion of your. Sesamoid Fracture Walking Boot.
From www.amazon.com
WILLQ Fracture Cast Boots Short Protection and Healing Boot Sesamoid Fracture Walking Boot The medial (ie, tibial) sesamoid is thought to bear greater force during the normal gait cycle and is more commonly fractured. Pain from a sesamoid injury is focused under the big toe on the ball of the foot. Those options may include a combination of wearing shoes with more cushioning, wearing orthotic inserts that limit the motion of your big. Sesamoid Fracture Walking Boot.
From jinweikangda.en.made-in-china.com
Walking Boot Inflatable Foot Ankle Splint Orthopedic Fracture Walking Sesamoid Fracture Walking Boot With sesamoiditis or a stress fracture, the pain. I fractured my sesamoid in aug 2017, plowed thru thinking the pain would go away and 10 days later saw a podiatrist. With a sesamoid fracture, you will feel pain immediately after a hyperextension injury to the big toe (the toe is bent backward). Those options may include a combination of wearing. Sesamoid Fracture Walking Boot.
From www.galleon.ph
Galleon BraceAbility Short Broken Toe Boot Walker For Fracture Sesamoid Fracture Walking Boot With a sesamoid fracture, you will feel pain immediately after a hyperextension injury to the big toe (the toe is bent backward). Stress fractures are usually caused by repetitive motion, such as walking, running, or dancing. Those options may include a combination of wearing shoes with more cushioning, wearing orthotic inserts that limit the motion of your big toe, taping. Sesamoid Fracture Walking Boot.
From henaneminent.en.made-in-china.com
Best Choice Fixed Tall/Short Fracture Walking Boot for Stress Fractures Sesamoid Fracture Walking Boot I fractured my sesamoid in aug 2017, plowed thru thinking the pain would go away and 10 days later saw a podiatrist. With a sesamoid fracture, you will feel pain immediately after a hyperextension injury to the big toe (the toe is bent backward). With sesamoiditis or a stress fracture, the pain. The medial (ie, tibial) sesamoid is thought to. Sesamoid Fracture Walking Boot.
From orthofixar.com
Sesamoid Fracture (broken Sesamoid) OrthoFixar 2024 Sesamoid Fracture Walking Boot Those options may include a combination of wearing shoes with more cushioning, wearing orthotic inserts that limit the motion of your big toe, taping your big toe to give added. Pain from a sesamoid injury is focused under the big toe on the ball of the foot. With sesamoiditis or a stress fracture, the pain. Stress fractures are usually caused. Sesamoid Fracture Walking Boot.
From www.fg-brace.com
Ankle Surgical Cam Walking Support Boot For Sprained Fracture Sesamoid Fracture Walking Boot Pain from a sesamoid injury is focused under the big toe on the ball of the foot. Explore the impact of sesamoid injuries on foot mobility, and discover diagnostic signs of a broken sesamoid. Those options may include a combination of wearing shoes with more cushioning, wearing orthotic inserts that limit the motion of your big toe, taping your big. Sesamoid Fracture Walking Boot.
From dxorigsyo.blob.core.windows.net
Fracture Leg Boot at Alvaro Broadwater blog Sesamoid Fracture Walking Boot I fractured my sesamoid in aug 2017, plowed thru thinking the pain would go away and 10 days later saw a podiatrist. Pain from a sesamoid injury is focused under the big toe on the ball of the foot. With a sesamoid fracture, you will feel pain immediately after a hyperextension injury to the big toe (the toe is bent. Sesamoid Fracture Walking Boot.
From www.flickr.com
Boot for broken sesamoid bone Zazienyc Flickr Sesamoid Fracture Walking Boot The medial (ie, tibial) sesamoid is thought to bear greater force during the normal gait cycle and is more commonly fractured. Pain from a sesamoid injury is focused under the big toe on the ball of the foot. Explore the impact of sesamoid injuries on foot mobility, and discover diagnostic signs of a broken sesamoid. I fractured my sesamoid in. Sesamoid Fracture Walking Boot.
From exoempslo.blob.core.windows.net
How Does A Walking Boot Help A Sprained Ankle at Gary Dotson blog Sesamoid Fracture Walking Boot I fractured my sesamoid in aug 2017, plowed thru thinking the pain would go away and 10 days later saw a podiatrist. Pain from a sesamoid injury is focused under the big toe on the ball of the foot. With a sesamoid fracture, you will feel pain immediately after a hyperextension injury to the big toe (the toe is bent. Sesamoid Fracture Walking Boot.
From www.desertcart.ae
Buy MARS Premium Short Air Cam Walker Boot Large Fracture, ed Ankle Sesamoid Fracture Walking Boot With sesamoiditis or a stress fracture, the pain. I fractured my sesamoid in aug 2017, plowed thru thinking the pain would go away and 10 days later saw a podiatrist. Those options may include a combination of wearing shoes with more cushioning, wearing orthotic inserts that limit the motion of your big toe, taping your big toe to give added.. Sesamoid Fracture Walking Boot.
From www.reddit.com
Recovering from a sesamoid fracture of the left big toe joint r/judo Sesamoid Fracture Walking Boot Stress fractures are usually caused by repetitive motion, such as walking, running, or dancing. Pain from a sesamoid injury is focused under the big toe on the ball of the foot. Those options may include a combination of wearing shoes with more cushioning, wearing orthotic inserts that limit the motion of your big toe, taping your big toe to give. Sesamoid Fracture Walking Boot.
From www.animalia-life.club
Sesamoid Bone Fracture Sesamoid Fracture Walking Boot Stress fractures are usually caused by repetitive motion, such as walking, running, or dancing. Pain from a sesamoid injury is focused under the big toe on the ball of the foot. With sesamoiditis or a stress fracture, the pain. With a sesamoid fracture, you will feel pain immediately after a hyperextension injury to the big toe (the toe is bent. Sesamoid Fracture Walking Boot.
From www.axissportsmedicine.co.nz
Radiology Review Sesamoid fracture Axis Sports Med Sesamoid Fracture Walking Boot With a sesamoid fracture, you will feel pain immediately after a hyperextension injury to the big toe (the toe is bent backward). Those options may include a combination of wearing shoes with more cushioning, wearing orthotic inserts that limit the motion of your big toe, taping your big toe to give added. Explore the impact of sesamoid injuries on foot. Sesamoid Fracture Walking Boot.
From www.desertcart.in
Buy Fracture Walking Boot Short for Ankle Foot Injuries Complete Sesamoid Fracture Walking Boot Pain from a sesamoid injury is focused under the big toe on the ball of the foot. Explore the impact of sesamoid injuries on foot mobility, and discover diagnostic signs of a broken sesamoid. With sesamoiditis or a stress fracture, the pain. The medial (ie, tibial) sesamoid is thought to bear greater force during the normal gait cycle and is. Sesamoid Fracture Walking Boot.