Rib Fracture Without Trauma . Flail chest) may be treated with orif (surgical stabilization of rib fracture, ssrf) often in the. In a study of 552 patients who had blunt chest trauma and resultant rib fracture (diagnosed on clinical or radiographic grounds), 93% of. Cardiopulmonary resuscitation (cpr) has also. Probably the most common cause of this is an underlying tumor, either benign or malignant. Although painful, a hairline fracture in one of these bones may heal without treatment. However, almost any underlying process of. Rarely, severe rib injuries (e.g. Consult our lung & chest specialists for minimally invasive rib internal fixation for rib fracture without trauma. The severity of broken ribs can vary. Rib fractures are common injuries that occur most often following blunt thoracic trauma but can also result from severe. Rib fractures can occur with or without direct trauma during recreational activity.
        
        from healthjade.net 
     
        
        In a study of 552 patients who had blunt chest trauma and resultant rib fracture (diagnosed on clinical or radiographic grounds), 93% of. Rib fractures are common injuries that occur most often following blunt thoracic trauma but can also result from severe. Consult our lung & chest specialists for minimally invasive rib internal fixation for rib fracture without trauma. The severity of broken ribs can vary. Although painful, a hairline fracture in one of these bones may heal without treatment. Rarely, severe rib injuries (e.g. Flail chest) may be treated with orif (surgical stabilization of rib fracture, ssrf) often in the. Rib fractures can occur with or without direct trauma during recreational activity. Probably the most common cause of this is an underlying tumor, either benign or malignant. Cardiopulmonary resuscitation (cpr) has also.
    
    	
            
	
		 
         
    Rib fracture causes, symptoms, diagnosis, healing time & treatment 
    Rib Fracture Without Trauma  Rarely, severe rib injuries (e.g. Although painful, a hairline fracture in one of these bones may heal without treatment. Rib fractures are common injuries that occur most often following blunt thoracic trauma but can also result from severe. Consult our lung & chest specialists for minimally invasive rib internal fixation for rib fracture without trauma. Probably the most common cause of this is an underlying tumor, either benign or malignant. Rib fractures can occur with or without direct trauma during recreational activity. However, almost any underlying process of. Cardiopulmonary resuscitation (cpr) has also. Flail chest) may be treated with orif (surgical stabilization of rib fracture, ssrf) often in the. Rarely, severe rib injuries (e.g. The severity of broken ribs can vary. In a study of 552 patients who had blunt chest trauma and resultant rib fracture (diagnosed on clinical or radiographic grounds), 93% of.
            
	
		 
         
 
    
        From www.researchgate.net 
                    chest Xray after rib fixation. Download Scientific Diagram Rib Fracture Without Trauma  Although painful, a hairline fracture in one of these bones may heal without treatment. Probably the most common cause of this is an underlying tumor, either benign or malignant. Rib fractures can occur with or without direct trauma during recreational activity. In a study of 552 patients who had blunt chest trauma and resultant rib fracture (diagnosed on clinical or. Rib Fracture Without Trauma.
     
    
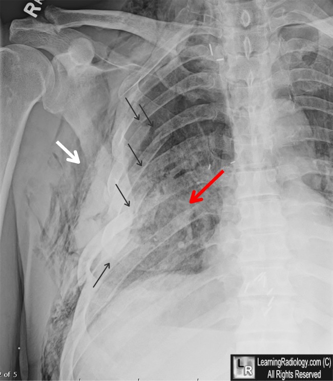
        From www.learningradiology.com 
                    LearningRadiology Rib Fracture Without Trauma  However, almost any underlying process of. Although painful, a hairline fracture in one of these bones may heal without treatment. Rib fractures can occur with or without direct trauma during recreational activity. In a study of 552 patients who had blunt chest trauma and resultant rib fracture (diagnosed on clinical or radiographic grounds), 93% of. Consult our lung & chest. Rib Fracture Without Trauma.
     
    
        From www.orthobullets.com 
                    Domestic and Elder Abuse Trauma Orthobullets Rib Fracture Without Trauma  However, almost any underlying process of. Rib fractures can occur with or without direct trauma during recreational activity. Rib fractures are common injuries that occur most often following blunt thoracic trauma but can also result from severe. The severity of broken ribs can vary. Flail chest) may be treated with orif (surgical stabilization of rib fracture, ssrf) often in the.. Rib Fracture Without Trauma.
     
    
        From cenacortho.com 
                    Fractures of the Ribs New Iberia, LA Orthopedic Surgery Wm. André Rib Fracture Without Trauma  Probably the most common cause of this is an underlying tumor, either benign or malignant. However, almost any underlying process of. Consult our lung & chest specialists for minimally invasive rib internal fixation for rib fracture without trauma. Rib fractures can occur with or without direct trauma during recreational activity. In a study of 552 patients who had blunt chest. Rib Fracture Without Trauma.
     
    
        From www.youtube.com 
                    Nonaccidental Injury (rib fracture) Radiology Review Course YouTube Rib Fracture Without Trauma  Consult our lung & chest specialists for minimally invasive rib internal fixation for rib fracture without trauma. However, almost any underlying process of. Probably the most common cause of this is an underlying tumor, either benign or malignant. Rib fractures are common injuries that occur most often following blunt thoracic trauma but can also result from severe. Although painful, a. Rib Fracture Without Trauma.
     
    
        From dokumen.tips 
                    (PDF) Overview of Traumatic Fractures...Distal limb • Axial skeleton1,2 Rib Fracture Without Trauma  Although painful, a hairline fracture in one of these bones may heal without treatment. The severity of broken ribs can vary. Consult our lung & chest specialists for minimally invasive rib internal fixation for rib fracture without trauma. Probably the most common cause of this is an underlying tumor, either benign or malignant. Flail chest) may be treated with orif. Rib Fracture Without Trauma.
     
    
        From www.cureus.com 
                    Outpatient Surgery for Rib Fracture Fixation A Report of Three Cases Rib Fracture Without Trauma  Consult our lung & chest specialists for minimally invasive rib internal fixation for rib fracture without trauma. The severity of broken ribs can vary. Although painful, a hairline fracture in one of these bones may heal without treatment. Cardiopulmonary resuscitation (cpr) has also. Flail chest) may be treated with orif (surgical stabilization of rib fracture, ssrf) often in the. In. Rib Fracture Without Trauma.
     
    
        From www.mdpi.com 
                    JPM Free FullText Tailored Surgical Stabilization of Rib Fractures Rib Fracture Without Trauma  Flail chest) may be treated with orif (surgical stabilization of rib fracture, ssrf) often in the. Probably the most common cause of this is an underlying tumor, either benign or malignant. In a study of 552 patients who had blunt chest trauma and resultant rib fracture (diagnosed on clinical or radiographic grounds), 93% of. Although painful, a hairline fracture in. Rib Fracture Without Trauma.
     
    
        From www.verywellhealth.com 
                    Dealing with Rib Fractures Rib Fracture Without Trauma  Rib fractures can occur with or without direct trauma during recreational activity. In a study of 552 patients who had blunt chest trauma and resultant rib fracture (diagnosed on clinical or radiographic grounds), 93% of. Probably the most common cause of this is an underlying tumor, either benign or malignant. Cardiopulmonary resuscitation (cpr) has also. Rarely, severe rib injuries (e.g.. Rib Fracture Without Trauma.
     
    
        From icts.com.sg 
                    Rib Fracture & Fixation from Trauma International Centre For Thoracic Rib Fracture Without Trauma  Although painful, a hairline fracture in one of these bones may heal without treatment. However, almost any underlying process of. Cardiopulmonary resuscitation (cpr) has also. Flail chest) may be treated with orif (surgical stabilization of rib fracture, ssrf) often in the. Consult our lung & chest specialists for minimally invasive rib internal fixation for rib fracture without trauma. Rib fractures. Rib Fracture Without Trauma.
     
    
        From www.researchgate.net 
                    1)Mechanism of traumatic rib fracture [45] . Download Scientific Diagram Rib Fracture Without Trauma  In a study of 552 patients who had blunt chest trauma and resultant rib fracture (diagnosed on clinical or radiographic grounds), 93% of. Although painful, a hairline fracture in one of these bones may heal without treatment. The severity of broken ribs can vary. Cardiopulmonary resuscitation (cpr) has also. Rib fractures are common injuries that occur most often following blunt. Rib Fracture Without Trauma.
     
    
        From emj.bmj.com 
                    Isolated fracture of the first rib without associated injuries a case Rib Fracture Without Trauma  Consult our lung & chest specialists for minimally invasive rib internal fixation for rib fracture without trauma. However, almost any underlying process of. The severity of broken ribs can vary. Rarely, severe rib injuries (e.g. Flail chest) may be treated with orif (surgical stabilization of rib fracture, ssrf) often in the. Rib fractures can occur with or without direct trauma. Rib Fracture Without Trauma.
     
    
        From bhm.scholasticahq.com 
                    Rib Fracture Management in Older Adults A Scoping Review Published Rib Fracture Without Trauma  Although painful, a hairline fracture in one of these bones may heal without treatment. Rarely, severe rib injuries (e.g. Cardiopulmonary resuscitation (cpr) has also. Rib fractures can occur with or without direct trauma during recreational activity. Flail chest) may be treated with orif (surgical stabilization of rib fracture, ssrf) often in the. However, almost any underlying process of. Rib fractures. Rib Fracture Without Trauma.
     
    
        From www.icts.com.sg 
                    Rib Fracture & Fixation from Trauma International Centre for Thoracic Rib Fracture Without Trauma  Rib fractures can occur with or without direct trauma during recreational activity. In a study of 552 patients who had blunt chest trauma and resultant rib fracture (diagnosed on clinical or radiographic grounds), 93% of. Although painful, a hairline fracture in one of these bones may heal without treatment. Cardiopulmonary resuscitation (cpr) has also. Consult our lung & chest specialists. Rib Fracture Without Trauma.
     
    
        From casereports.bmj.com 
                    Unforeseen rib fracture findings in infant chest radiographs evidence Rib Fracture Without Trauma  In a study of 552 patients who had blunt chest trauma and resultant rib fracture (diagnosed on clinical or radiographic grounds), 93% of. Consult our lung & chest specialists for minimally invasive rib internal fixation for rib fracture without trauma. However, almost any underlying process of. Rib fractures can occur with or without direct trauma during recreational activity. Probably the. Rib Fracture Without Trauma.
     
    
        From healthjade.net 
                    Rib fracture causes, symptoms, diagnosis, healing time & treatment Rib Fracture Without Trauma  Consult our lung & chest specialists for minimally invasive rib internal fixation for rib fracture without trauma. Rib fractures can occur with or without direct trauma during recreational activity. The severity of broken ribs can vary. Rarely, severe rib injuries (e.g. However, almost any underlying process of. In a study of 552 patients who had blunt chest trauma and resultant. Rib Fracture Without Trauma.
     
    
        From www.alamy.com 
                    Atlas and epitome of traumatic fractures and dislocations . no Rib Fracture Without Trauma  However, almost any underlying process of. Cardiopulmonary resuscitation (cpr) has also. Consult our lung & chest specialists for minimally invasive rib internal fixation for rib fracture without trauma. Probably the most common cause of this is an underlying tumor, either benign or malignant. Flail chest) may be treated with orif (surgical stabilization of rib fracture, ssrf) often in the. Rib. Rib Fracture Without Trauma.
     
    
        From www.lookfordiagnosis.com 
                    Rib fractures Rib Fracture Without Trauma  Although painful, a hairline fracture in one of these bones may heal without treatment. The severity of broken ribs can vary. Rib fractures can occur with or without direct trauma during recreational activity. In a study of 552 patients who had blunt chest trauma and resultant rib fracture (diagnosed on clinical or radiographic grounds), 93% of. However, almost any underlying. Rib Fracture Without Trauma.
     
    
        From mungfali.com 
                    Rib Fracture CT Scan Rib Fracture Without Trauma  The severity of broken ribs can vary. In a study of 552 patients who had blunt chest trauma and resultant rib fracture (diagnosed on clinical or radiographic grounds), 93% of. Cardiopulmonary resuscitation (cpr) has also. However, almost any underlying process of. Probably the most common cause of this is an underlying tumor, either benign or malignant. Rarely, severe rib injuries. Rib Fracture Without Trauma.
     
    
        From pubs.rsna.org 
                    Traumatic Rib Injury Patterns, Imaging Pitfalls, Complications, and Rib Fracture Without Trauma  Rarely, severe rib injuries (e.g. Although painful, a hairline fracture in one of these bones may heal without treatment. Rib fractures are common injuries that occur most often following blunt thoracic trauma but can also result from severe. Probably the most common cause of this is an underlying tumor, either benign or malignant. However, almost any underlying process of. Flail. Rib Fracture Without Trauma.
     
    
        From mavink.com 
                    Pic Score Chart Rib Fracture Rib Fracture Without Trauma  Rarely, severe rib injuries (e.g. The severity of broken ribs can vary. Flail chest) may be treated with orif (surgical stabilization of rib fracture, ssrf) often in the. However, almost any underlying process of. Probably the most common cause of this is an underlying tumor, either benign or malignant. Although painful, a hairline fracture in one of these bones may. Rib Fracture Without Trauma.
     
    
        From lookfordiagnosis.com 
                    Rib fractures Rib Fracture Without Trauma  Rarely, severe rib injuries (e.g. Cardiopulmonary resuscitation (cpr) has also. The severity of broken ribs can vary. Although painful, a hairline fracture in one of these bones may heal without treatment. In a study of 552 patients who had blunt chest trauma and resultant rib fracture (diagnosed on clinical or radiographic grounds), 93% of. Rib fractures can occur with or. Rib Fracture Without Trauma.
     
    
        From medschool.co 
                    Bony Lesions Chest XRay MedSchool Rib Fracture Without Trauma  Flail chest) may be treated with orif (surgical stabilization of rib fracture, ssrf) often in the. In a study of 552 patients who had blunt chest trauma and resultant rib fracture (diagnosed on clinical or radiographic grounds), 93% of. Rib fractures can occur with or without direct trauma during recreational activity. Cardiopulmonary resuscitation (cpr) has also. Rib fractures are common. Rib Fracture Without Trauma.
     
    
        From resources.wfsahq.org 
                    Management of Traumatic Rib Fractures WFSA Resources Rib Fracture Without Trauma  Consult our lung & chest specialists for minimally invasive rib internal fixation for rib fracture without trauma. Rib fractures can occur with or without direct trauma during recreational activity. Although painful, a hairline fracture in one of these bones may heal without treatment. Cardiopulmonary resuscitation (cpr) has also. Rib fractures are common injuries that occur most often following blunt thoracic. Rib Fracture Without Trauma.
     
    
        From pubs.rsna.org 
                    Traumatic Rib Injury Patterns, Imaging Pitfalls, Complications, and Rib Fracture Without Trauma  Although painful, a hairline fracture in one of these bones may heal without treatment. Consult our lung & chest specialists for minimally invasive rib internal fixation for rib fracture without trauma. However, almost any underlying process of. Flail chest) may be treated with orif (surgical stabilization of rib fracture, ssrf) often in the. The severity of broken ribs can vary.. Rib Fracture Without Trauma.
     
    
        From www.mdpi.com 
                    JPM Free FullText The Surgical Timing and Complications of Rib Rib Fracture Without Trauma  Rib fractures can occur with or without direct trauma during recreational activity. However, almost any underlying process of. The severity of broken ribs can vary. Cardiopulmonary resuscitation (cpr) has also. Rib fractures are common injuries that occur most often following blunt thoracic trauma but can also result from severe. Probably the most common cause of this is an underlying tumor,. Rib Fracture Without Trauma.
     
    
        From floridapediatrician.org 
                    Not All Posterior Rib Fractures are NonAccidental Trauma Birth Records Rib Fracture Without Trauma  Consult our lung & chest specialists for minimally invasive rib internal fixation for rib fracture without trauma. Although painful, a hairline fracture in one of these bones may heal without treatment. In a study of 552 patients who had blunt chest trauma and resultant rib fracture (diagnosed on clinical or radiographic grounds), 93% of. Probably the most common cause of. Rib Fracture Without Trauma.
     
    
        From clinmedjournals.org 
                    NonTraumatic First Rib Fracture in University Wrestler Rib Fracture Without Trauma  Flail chest) may be treated with orif (surgical stabilization of rib fracture, ssrf) often in the. Rarely, severe rib injuries (e.g. Although painful, a hairline fracture in one of these bones may heal without treatment. However, almost any underlying process of. Rib fractures can occur with or without direct trauma during recreational activity. In a study of 552 patients who. Rib Fracture Without Trauma.
     
    
        From bangkokmedjournal.com 
                    Rib Fracture Fixation with Osteosynthesis Plates in Bangkok Hospital Rib Fracture Without Trauma  Probably the most common cause of this is an underlying tumor, either benign or malignant. Cardiopulmonary resuscitation (cpr) has also. Flail chest) may be treated with orif (surgical stabilization of rib fracture, ssrf) often in the. Rib fractures are common injuries that occur most often following blunt thoracic trauma but can also result from severe. Although painful, a hairline fracture. Rib Fracture Without Trauma.
     
    
        From www.casestacks.com 
                    Chest Radiograph Case 34 Rib Fracture Without Trauma  Rarely, severe rib injuries (e.g. Rib fractures are common injuries that occur most often following blunt thoracic trauma but can also result from severe. Rib fractures can occur with or without direct trauma during recreational activity. Although painful, a hairline fracture in one of these bones may heal without treatment. In a study of 552 patients who had blunt chest. Rib Fracture Without Trauma.
     
    
        From pediatricimaging.org 
                    Pediatric Rib Fracture Pediatric Radiology Reference Article Rib Fracture Without Trauma  The severity of broken ribs can vary. Rib fractures can occur with or without direct trauma during recreational activity. Although painful, a hairline fracture in one of these bones may heal without treatment. Rarely, severe rib injuries (e.g. Consult our lung & chest specialists for minimally invasive rib internal fixation for rib fracture without trauma. In a study of 552. Rib Fracture Without Trauma.
     
    
        From www.medillsb.com 
                    Rib Cage Fractures Illustration by Visuals For Law Medical Rib Fracture Without Trauma  In a study of 552 patients who had blunt chest trauma and resultant rib fracture (diagnosed on clinical or radiographic grounds), 93% of. Consult our lung & chest specialists for minimally invasive rib internal fixation for rib fracture without trauma. Although painful, a hairline fracture in one of these bones may heal without treatment. Flail chest) may be treated with. Rib Fracture Without Trauma.
     
    
        From icts.com.sg 
                    Rib Fracture & Fixation from Trauma International Centre For Thoracic Rib Fracture Without Trauma  In a study of 552 patients who had blunt chest trauma and resultant rib fracture (diagnosed on clinical or radiographic grounds), 93% of. Although painful, a hairline fracture in one of these bones may heal without treatment. However, almost any underlying process of. Rib fractures are common injuries that occur most often following blunt thoracic trauma but can also result. Rib Fracture Without Trauma.
     
    
        From www.cureus.com 
                    Cureus Diagnostic Accuracy of Computed Tomography Scout Film and Rib Fracture Without Trauma  Rib fractures can occur with or without direct trauma during recreational activity. Probably the most common cause of this is an underlying tumor, either benign or malignant. Rib fractures are common injuries that occur most often following blunt thoracic trauma but can also result from severe. In a study of 552 patients who had blunt chest trauma and resultant rib. Rib Fracture Without Trauma.
     
    
        From mavink.com 
                    Rib Fracture Ct Scan Rib Fracture Without Trauma  Although painful, a hairline fracture in one of these bones may heal without treatment. Rib fractures are common injuries that occur most often following blunt thoracic trauma but can also result from severe. Probably the most common cause of this is an underlying tumor, either benign or malignant. Cardiopulmonary resuscitation (cpr) has also. The severity of broken ribs can vary.. Rib Fracture Without Trauma.