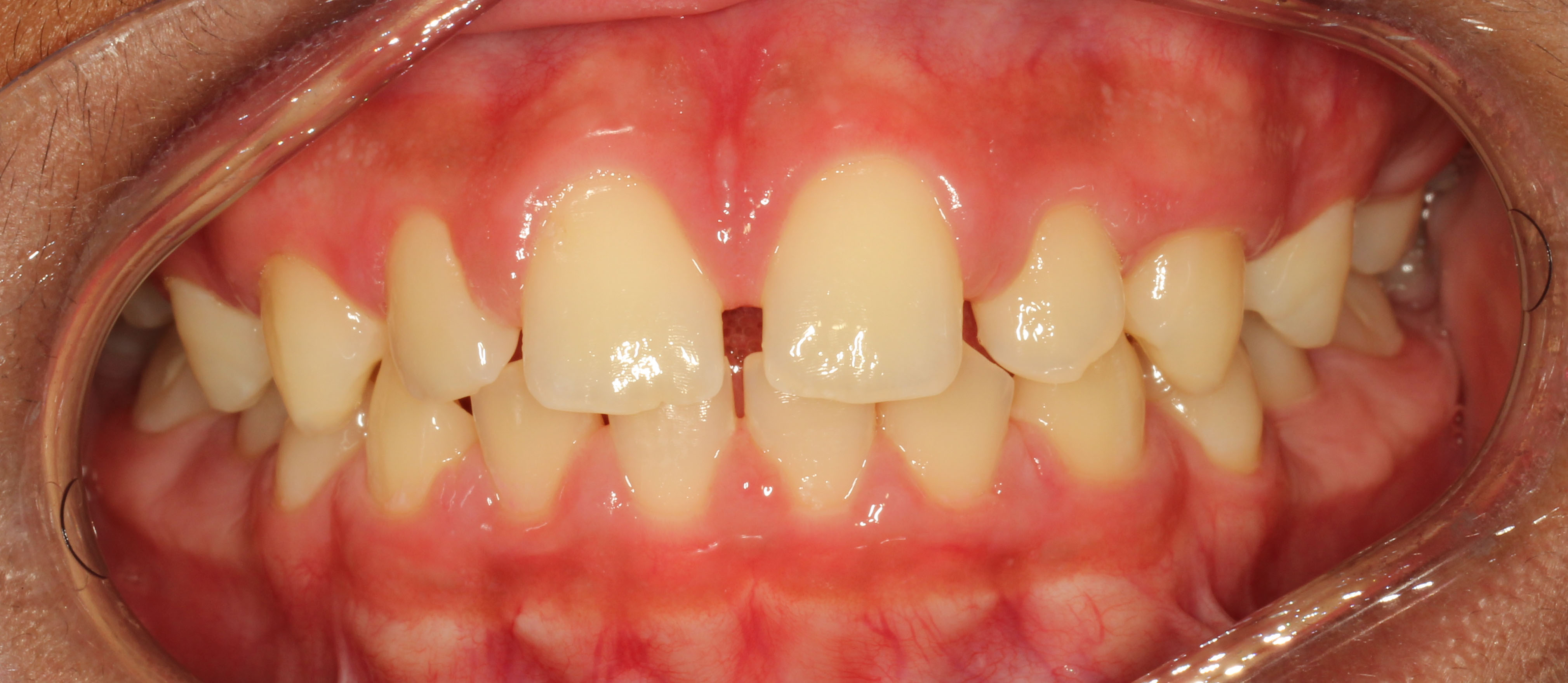
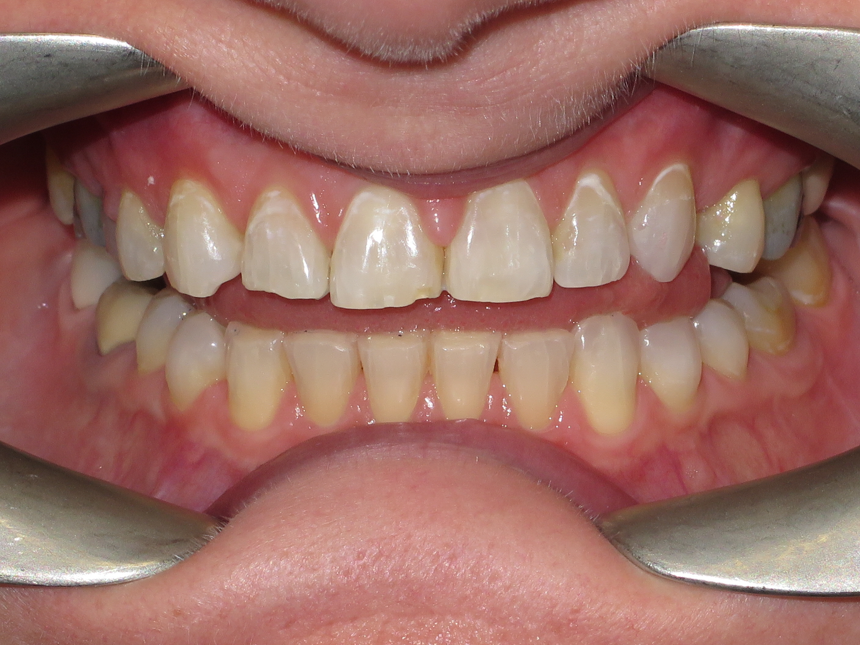
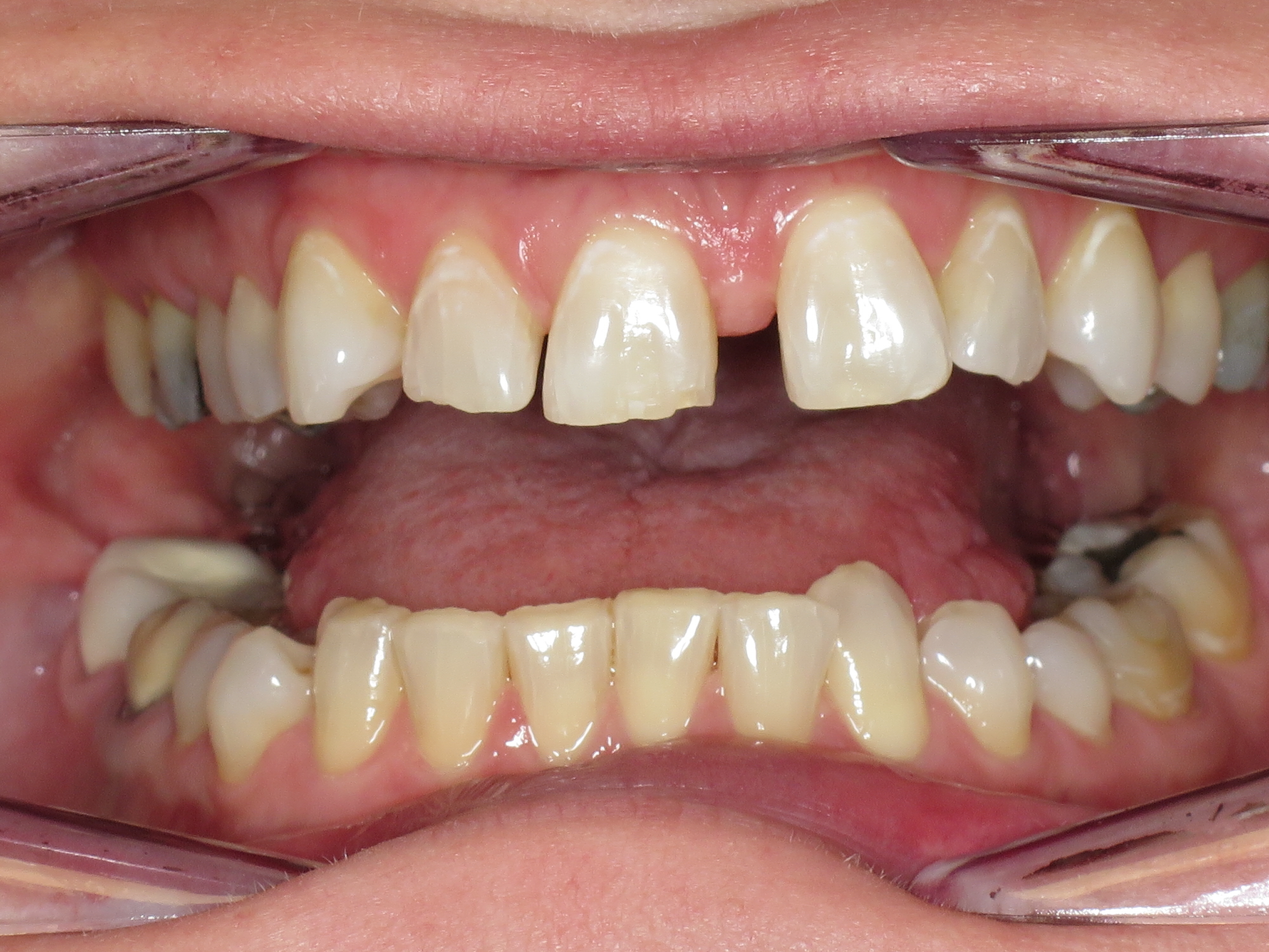
Spacing Teeth Treatment . Noticeable gaps between the teeth. Gaps between teeth, known medically as diastema, can range from barely noticeable to significantly wide and can appear between any two teeth. If you have space in the front of your mouth, you can use orthodontic treatment to close the front teeth gap. Diastema refers to a gap between your teeth. Since this may only be a. These spaces can create aesthetic concerns and, at times, lead to dental health issues. Medically reviewed by edmund khoo, dds. Gaps can occur anywhere in your mouth, but they’re most common between. Updated on may 03, 2022. But what exactly causes these gaps, and how can they be treated? Let's dive into the world of dental gaps. Braces have wires and brackets that put pressure on teeth and slowly move them together, which closes a gap. Braces are a common treatment for diastema.
from mengdental.com
Braces are a common treatment for diastema. Diastema refers to a gap between your teeth. Since this may only be a. Updated on may 03, 2022. If you have space in the front of your mouth, you can use orthodontic treatment to close the front teeth gap. Medically reviewed by edmund khoo, dds. Braces have wires and brackets that put pressure on teeth and slowly move them together, which closes a gap. Noticeable gaps between the teeth. Let's dive into the world of dental gaps. These spaces can create aesthetic concerns and, at times, lead to dental health issues.
Dental Bonding to Fix Spacing Issues and Reshape Teeth Meng Dentistry
Spacing Teeth Treatment Diastema refers to a gap between your teeth. Braces are a common treatment for diastema. These spaces can create aesthetic concerns and, at times, lead to dental health issues. But what exactly causes these gaps, and how can they be treated? Since this may only be a. Diastema refers to a gap between your teeth. Noticeable gaps between the teeth. Braces have wires and brackets that put pressure on teeth and slowly move them together, which closes a gap. If you have space in the front of your mouth, you can use orthodontic treatment to close the front teeth gap. Let's dive into the world of dental gaps. Updated on may 03, 2022. Medically reviewed by edmund khoo, dds. Gaps between teeth, known medically as diastema, can range from barely noticeable to significantly wide and can appear between any two teeth. Gaps can occur anywhere in your mouth, but they’re most common between.
From www.youtube.com
Spacing In Front Teeth . 3D Treatment Planning of Tooth Movement for Spacing Teeth Treatment Diastema refers to a gap between your teeth. Medically reviewed by edmund khoo, dds. These spaces can create aesthetic concerns and, at times, lead to dental health issues. If you have space in the front of your mouth, you can use orthodontic treatment to close the front teeth gap. Gaps between teeth, known medically as diastema, can range from barely. Spacing Teeth Treatment.
From www.maiortho.com
Before and After Orthodontist Las Vegas, NV Mai Orthodontics Spacing Teeth Treatment If you have space in the front of your mouth, you can use orthodontic treatment to close the front teeth gap. Since this may only be a. Noticeable gaps between the teeth. Gaps can occur anywhere in your mouth, but they’re most common between. Gaps between teeth, known medically as diastema, can range from barely noticeable to significantly wide and. Spacing Teeth Treatment.
From www.animalia-life.club
Before And After Braces Gaps Spacing Teeth Treatment Gaps can occur anywhere in your mouth, but they’re most common between. Noticeable gaps between the teeth. Medically reviewed by edmund khoo, dds. Updated on may 03, 2022. But what exactly causes these gaps, and how can they be treated? Since this may only be a. Let's dive into the world of dental gaps. Gaps between teeth, known medically as. Spacing Teeth Treatment.
From talkativedesigner.blogspot.com
Invisalign Before And After 6 Months Before And After Spacing Teeth Treatment Let's dive into the world of dental gaps. If you have space in the front of your mouth, you can use orthodontic treatment to close the front teeth gap. These spaces can create aesthetic concerns and, at times, lead to dental health issues. Since this may only be a. Gaps can occur anywhere in your mouth, but they’re most common. Spacing Teeth Treatment.
From mengdental.com
Dental Bonding to Fix Spacing Issues and Reshape Teeth Meng Dentistry Spacing Teeth Treatment If you have space in the front of your mouth, you can use orthodontic treatment to close the front teeth gap. Updated on may 03, 2022. But what exactly causes these gaps, and how can they be treated? Diastema refers to a gap between your teeth. Let's dive into the world of dental gaps. Gaps can occur anywhere in your. Spacing Teeth Treatment.
From www.maiortho.com
Before and After Orthodontist Las Vegas, NV Mai Orthodontics Spacing Teeth Treatment Let's dive into the world of dental gaps. Since this may only be a. Diastema refers to a gap between your teeth. Updated on may 03, 2022. These spaces can create aesthetic concerns and, at times, lead to dental health issues. Gaps can occur anywhere in your mouth, but they’re most common between. But what exactly causes these gaps, and. Spacing Teeth Treatment.
From aceachievers.in
primaryteethspacing Ace Achievers Spacing Teeth Treatment Gaps can occur anywhere in your mouth, but they’re most common between. Braces are a common treatment for diastema. But what exactly causes these gaps, and how can they be treated? Since this may only be a. If you have space in the front of your mouth, you can use orthodontic treatment to close the front teeth gap. Diastema refers. Spacing Teeth Treatment.
From specialistorthodontist.com.au
Specialist Orthodontist Spacing Spacing Teeth Treatment But what exactly causes these gaps, and how can they be treated? These spaces can create aesthetic concerns and, at times, lead to dental health issues. Braces have wires and brackets that put pressure on teeth and slowly move them together, which closes a gap. Medically reviewed by edmund khoo, dds. If you have space in the front of your. Spacing Teeth Treatment.
From www.orthodontix.com.au
Orthodontic treatment before and after Spacing Orthodontix Spacing Teeth Treatment Gaps between teeth, known medically as diastema, can range from barely noticeable to significantly wide and can appear between any two teeth. Medically reviewed by edmund khoo, dds. Gaps can occur anywhere in your mouth, but they’re most common between. Braces are a common treatment for diastema. These spaces can create aesthetic concerns and, at times, lead to dental health. Spacing Teeth Treatment.
From www.maiortho.com
Before and After Orthodontist Las Vegas, NV Mai Orthodontics Spacing Teeth Treatment Updated on may 03, 2022. Noticeable gaps between the teeth. Braces have wires and brackets that put pressure on teeth and slowly move them together, which closes a gap. But what exactly causes these gaps, and how can they be treated? Let's dive into the world of dental gaps. Gaps can occur anywhere in your mouth, but they’re most common. Spacing Teeth Treatment.
From inlineortho.com.au
Problems Inline Orthodontics Spacing Teeth Treatment Gaps between teeth, known medically as diastema, can range from barely noticeable to significantly wide and can appear between any two teeth. Noticeable gaps between the teeth. Since this may only be a. Medically reviewed by edmund khoo, dds. If you have space in the front of your mouth, you can use orthodontic treatment to close the front teeth gap.. Spacing Teeth Treatment.
From westwoodlaorthodontics.com
Smile Gallery Westwood Orthodontics Spacing Teeth Treatment Gaps can occur anywhere in your mouth, but they’re most common between. Gaps between teeth, known medically as diastema, can range from barely noticeable to significantly wide and can appear between any two teeth. Noticeable gaps between the teeth. Since this may only be a. Braces are a common treatment for diastema. Let's dive into the world of dental gaps.. Spacing Teeth Treatment.
From familybraces.ca
Common Orthodontic Issues and Their Treatment Options Family Braces Spacing Teeth Treatment Since this may only be a. Noticeable gaps between the teeth. Let's dive into the world of dental gaps. These spaces can create aesthetic concerns and, at times, lead to dental health issues. Braces are a common treatment for diastema. Diastema refers to a gap between your teeth. Gaps between teeth, known medically as diastema, can range from barely noticeable. Spacing Teeth Treatment.
From kidsbracesnyc.com
Spacing of the front teeth Dental Braces for KidsTop Rated Spacing Teeth Treatment Gaps between teeth, known medically as diastema, can range from barely noticeable to significantly wide and can appear between any two teeth. Updated on may 03, 2022. Since this may only be a. Gaps can occur anywhere in your mouth, but they’re most common between. But what exactly causes these gaps, and how can they be treated? Braces have wires. Spacing Teeth Treatment.
From yaminorthodontics.com
Common Treatments Yamin Orthodontics Spacing Teeth Treatment Braces are a common treatment for diastema. Noticeable gaps between the teeth. These spaces can create aesthetic concerns and, at times, lead to dental health issues. Gaps between teeth, known medically as diastema, can range from barely noticeable to significantly wide and can appear between any two teeth. Medically reviewed by edmund khoo, dds. Updated on may 03, 2022. Braces. Spacing Teeth Treatment.
From www.drcooperortho.com
Patient FormsNorthlakeUniversityCharlotte Orthodontist Spacing Teeth Treatment But what exactly causes these gaps, and how can they be treated? Braces are a common treatment for diastema. Medically reviewed by edmund khoo, dds. Noticeable gaps between the teeth. Braces have wires and brackets that put pressure on teeth and slowly move them together, which closes a gap. If you have space in the front of your mouth, you. Spacing Teeth Treatment.
From teethinline.co.uk
Spacing Teeth In Line Spacing Teeth Treatment Diastema refers to a gap between your teeth. If you have space in the front of your mouth, you can use orthodontic treatment to close the front teeth gap. Updated on may 03, 2022. Braces have wires and brackets that put pressure on teeth and slowly move them together, which closes a gap. Gaps between teeth, known medically as diastema,. Spacing Teeth Treatment.
From imsucc.blogspot.com
Spaced Teeth Before And After Get Images Spacing Teeth Treatment Braces have wires and brackets that put pressure on teeth and slowly move them together, which closes a gap. Let's dive into the world of dental gaps. But what exactly causes these gaps, and how can they be treated? Updated on may 03, 2022. Since this may only be a. These spaces can create aesthetic concerns and, at times, lead. Spacing Teeth Treatment.
From smileprep.com
Best Ways to Correct Teeth Spacing in Adults Smile Prep Spacing Teeth Treatment Braces are a common treatment for diastema. Updated on may 03, 2022. These spaces can create aesthetic concerns and, at times, lead to dental health issues. Since this may only be a. Gaps can occur anywhere in your mouth, but they’re most common between. But what exactly causes these gaps, and how can they be treated? Medically reviewed by edmund. Spacing Teeth Treatment.
From www.freepik.com
Premium AI Image Spacing teeth corrected with dental veneers pre and Spacing Teeth Treatment Since this may only be a. Gaps can occur anywhere in your mouth, but they’re most common between. Let's dive into the world of dental gaps. Braces have wires and brackets that put pressure on teeth and slowly move them together, which closes a gap. These spaces can create aesthetic concerns and, at times, lead to dental health issues. Medically. Spacing Teeth Treatment.
From shineorthodontics.com.au
Shine Orthodontics Spacing Spacing Teeth Treatment Let's dive into the world of dental gaps. But what exactly causes these gaps, and how can they be treated? Gaps between teeth, known medically as diastema, can range from barely noticeable to significantly wide and can appear between any two teeth. Gaps can occur anywhere in your mouth, but they’re most common between. Noticeable gaps between the teeth. Updated. Spacing Teeth Treatment.
From mengdental.com
Dental Bonding to Fix Spacing Issues and Reshape Teeth Meng Dentistry Spacing Teeth Treatment Diastema refers to a gap between your teeth. Braces are a common treatment for diastema. Medically reviewed by edmund khoo, dds. If you have space in the front of your mouth, you can use orthodontic treatment to close the front teeth gap. These spaces can create aesthetic concerns and, at times, lead to dental health issues. Updated on may 03,. Spacing Teeth Treatment.
From www.shutterstock.com
Correction Spacing Teeth Dental Ceramic Veneers Stock Photo 1828647050 Spacing Teeth Treatment Updated on may 03, 2022. But what exactly causes these gaps, and how can they be treated? Medically reviewed by edmund khoo, dds. If you have space in the front of your mouth, you can use orthodontic treatment to close the front teeth gap. Let's dive into the world of dental gaps. Gaps between teeth, known medically as diastema, can. Spacing Teeth Treatment.
From frugeorthodontics.com
Tooth Spacing Baton Rouge Frugé Orthodontics Spacing Teeth Treatment But what exactly causes these gaps, and how can they be treated? Braces have wires and brackets that put pressure on teeth and slowly move them together, which closes a gap. Since this may only be a. If you have space in the front of your mouth, you can use orthodontic treatment to close the front teeth gap. Noticeable gaps. Spacing Teeth Treatment.
From uttamdentalclinic.com
Uncategorized Uttam Dental Clinic Spacing Teeth Treatment Diastema refers to a gap between your teeth. If you have space in the front of your mouth, you can use orthodontic treatment to close the front teeth gap. Braces are a common treatment for diastema. Since this may only be a. Gaps between teeth, known medically as diastema, can range from barely noticeable to significantly wide and can appear. Spacing Teeth Treatment.
From www.youtube.com
Braces Spacing Treatment! [BEFORE & AFTER] YouTube Spacing Teeth Treatment Diastema refers to a gap between your teeth. If you have space in the front of your mouth, you can use orthodontic treatment to close the front teeth gap. Updated on may 03, 2022. Gaps between teeth, known medically as diastema, can range from barely noticeable to significantly wide and can appear between any two teeth. Let's dive into the. Spacing Teeth Treatment.
From www.maiortho.com
Before and After Orthodontist Las Vegas, NV Mai Orthodontics Spacing Teeth Treatment Braces have wires and brackets that put pressure on teeth and slowly move them together, which closes a gap. Medically reviewed by edmund khoo, dds. If you have space in the front of your mouth, you can use orthodontic treatment to close the front teeth gap. These spaces can create aesthetic concerns and, at times, lead to dental health issues.. Spacing Teeth Treatment.
From teethinline.co.uk
Spacing Teeth In Line Spacing Teeth Treatment Gaps between teeth, known medically as diastema, can range from barely noticeable to significantly wide and can appear between any two teeth. If you have space in the front of your mouth, you can use orthodontic treatment to close the front teeth gap. Updated on may 03, 2022. These spaces can create aesthetic concerns and, at times, lead to dental. Spacing Teeth Treatment.
From www.209nycdental.com
Invisalign NYC Free Consultation Top Invisalign Dentist in New York Spacing Teeth Treatment But what exactly causes these gaps, and how can they be treated? If you have space in the front of your mouth, you can use orthodontic treatment to close the front teeth gap. Diastema refers to a gap between your teeth. These spaces can create aesthetic concerns and, at times, lead to dental health issues. Braces are a common treatment. Spacing Teeth Treatment.
From northcountydentists.com
North County Dental Veneers Dental treatment involves minimal Spacing Teeth Treatment But what exactly causes these gaps, and how can they be treated? Braces have wires and brackets that put pressure on teeth and slowly move them together, which closes a gap. These spaces can create aesthetic concerns and, at times, lead to dental health issues. Let's dive into the world of dental gaps. Braces are a common treatment for diastema.. Spacing Teeth Treatment.
From www.drbrodskysmile.com
Orthodontic Before and After Photos Brodsky Orthodontics Spacing Teeth Treatment Updated on may 03, 2022. Diastema refers to a gap between your teeth. Gaps can occur anywhere in your mouth, but they’re most common between. Let's dive into the world of dental gaps. These spaces can create aesthetic concerns and, at times, lead to dental health issues. Medically reviewed by edmund khoo, dds. Braces are a common treatment for diastema.. Spacing Teeth Treatment.
From www.myzerodonto.com
A guided Approach for Aesthetic Reshaping of Anterior teeth with Spacing Teeth Treatment Braces have wires and brackets that put pressure on teeth and slowly move them together, which closes a gap. Gaps can occur anywhere in your mouth, but they’re most common between. Braces are a common treatment for diastema. But what exactly causes these gaps, and how can they be treated? Gaps between teeth, known medically as diastema, can range from. Spacing Teeth Treatment.
From centrepointeorthodontics.com
Spacing of teeth Orthodontist Ottawa ON Centrepointe Orthodontics Spacing Teeth Treatment Updated on may 03, 2022. Diastema refers to a gap between your teeth. Braces are a common treatment for diastema. Gaps can occur anywhere in your mouth, but they’re most common between. These spaces can create aesthetic concerns and, at times, lead to dental health issues. If you have space in the front of your mouth, you can use orthodontic. Spacing Teeth Treatment.
From uniquedentalcare.co.in
Orthodontic Treatment Unique Dental Care Rajkot Orthodontic Spacing Teeth Treatment Braces have wires and brackets that put pressure on teeth and slowly move them together, which closes a gap. Let's dive into the world of dental gaps. Since this may only be a. Noticeable gaps between the teeth. Updated on may 03, 2022. Medically reviewed by edmund khoo, dds. Gaps can occur anywhere in your mouth, but they’re most common. Spacing Teeth Treatment.
From sullivanheightsdental.ca
Invisalign Before and After Invisalign Treatment Transformation Spacing Teeth Treatment Gaps can occur anywhere in your mouth, but they’re most common between. Since this may only be a. These spaces can create aesthetic concerns and, at times, lead to dental health issues. But what exactly causes these gaps, and how can they be treated? Braces are a common treatment for diastema. Diastema refers to a gap between your teeth. Let's. Spacing Teeth Treatment.