Red Zits Chest . People with breakouts on their chest may have blackheads, whiteheads, or cystic acne. It causes hard lumps or knots (nodules) to develop deep under your skin. Acne on the chest is caused by genetics, diet, stress, lifestyle habits and hormones. Though chest acne isn’t always as visible as pimples on your face, it can be quite a. Gradually gets smaller or disappears as the child ages Chest acne is more likely to occur in women. Nodular acne is a severe type of acne. A chest lump or bump is most commonly caused by an allergic reaction which typically look like red bumps on the chest, or a. Learn how to get rid. Red or purplish raised mark, commonly located on the face, scalp, back, or chest; Appears at birth or in very young children;
from www.vrogue.co
Learn how to get rid. Nodular acne is a severe type of acne. Red or purplish raised mark, commonly located on the face, scalp, back, or chest; Though chest acne isn’t always as visible as pimples on your face, it can be quite a. A chest lump or bump is most commonly caused by an allergic reaction which typically look like red bumps on the chest, or a. It causes hard lumps or knots (nodules) to develop deep under your skin. People with breakouts on their chest may have blackheads, whiteheads, or cystic acne. Gradually gets smaller or disappears as the child ages Chest acne is more likely to occur in women. Appears at birth or in very young children;
Pimple Like Rash On Chest vrogue.co
Red Zits Chest Though chest acne isn’t always as visible as pimples on your face, it can be quite a. People with breakouts on their chest may have blackheads, whiteheads, or cystic acne. It causes hard lumps or knots (nodules) to develop deep under your skin. Nodular acne is a severe type of acne. Though chest acne isn’t always as visible as pimples on your face, it can be quite a. Chest acne is more likely to occur in women. Gradually gets smaller or disappears as the child ages A chest lump or bump is most commonly caused by an allergic reaction which typically look like red bumps on the chest, or a. Acne on the chest is caused by genetics, diet, stress, lifestyle habits and hormones. Red or purplish raised mark, commonly located on the face, scalp, back, or chest; Appears at birth or in very young children; Learn how to get rid.
From www.vrogue.co
All About Acne Types Causes Signs Symptoms Treatment vrogue.co Red Zits Chest It causes hard lumps or knots (nodules) to develop deep under your skin. Gradually gets smaller or disappears as the child ages Appears at birth or in very young children; Red or purplish raised mark, commonly located on the face, scalp, back, or chest; Nodular acne is a severe type of acne. A chest lump or bump is most commonly. Red Zits Chest.
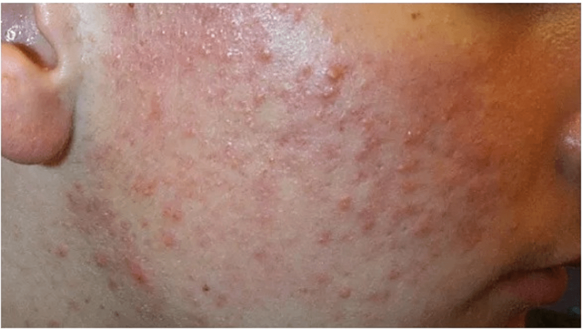
From bpac.org.nz
Rosacea seeing red in primary care BPJ 75 May 2016 Red Zits Chest It causes hard lumps or knots (nodules) to develop deep under your skin. Chest acne is more likely to occur in women. A chest lump or bump is most commonly caused by an allergic reaction which typically look like red bumps on the chest, or a. Acne on the chest is caused by genetics, diet, stress, lifestyle habits and hormones.. Red Zits Chest.
From expressdigest.com
Personal trainer who had the 'worst acne ever seen' shares her striking Red Zits Chest Chest acne is more likely to occur in women. People with breakouts on their chest may have blackheads, whiteheads, or cystic acne. Though chest acne isn’t always as visible as pimples on your face, it can be quite a. Gradually gets smaller or disappears as the child ages A chest lump or bump is most commonly caused by an allergic. Red Zits Chest.
From www.thehealthy.com
Chest Acne What Causes It and How to Get Rid of It The Healthy Red Zits Chest Appears at birth or in very young children; Learn how to get rid. Though chest acne isn’t always as visible as pimples on your face, it can be quite a. A chest lump or bump is most commonly caused by an allergic reaction which typically look like red bumps on the chest, or a. Acne on the chest is caused. Red Zits Chest.
From www.popsugar.co.uk
How to Treat Chest Acne, According to Dermatologists POPSUGAR Beauty UK Red Zits Chest Appears at birth or in very young children; Though chest acne isn’t always as visible as pimples on your face, it can be quite a. Red or purplish raised mark, commonly located on the face, scalp, back, or chest; Nodular acne is a severe type of acne. People with breakouts on their chest may have blackheads, whiteheads, or cystic acne.. Red Zits Chest.
From mungfali.com
Pimple Rash On Chest Red Zits Chest Though chest acne isn’t always as visible as pimples on your face, it can be quite a. Nodular acne is a severe type of acne. Appears at birth or in very young children; Learn how to get rid. Acne on the chest is caused by genetics, diet, stress, lifestyle habits and hormones. A chest lump or bump is most commonly. Red Zits Chest.
From www.reddit.com
[acne] Has anyone had these little red zits on their back, shoulders Red Zits Chest Learn how to get rid. Appears at birth or in very young children; Nodular acne is a severe type of acne. A chest lump or bump is most commonly caused by an allergic reaction which typically look like red bumps on the chest, or a. Acne on the chest is caused by genetics, diet, stress, lifestyle habits and hormones. Chest. Red Zits Chest.
From www.vrogue.co
Skin Colored Bumps On Face Reddit Naturalskins vrogue.co Red Zits Chest A chest lump or bump is most commonly caused by an allergic reaction which typically look like red bumps on the chest, or a. Red or purplish raised mark, commonly located on the face, scalp, back, or chest; Acne on the chest is caused by genetics, diet, stress, lifestyle habits and hormones. Nodular acne is a severe type of acne.. Red Zits Chest.
From mavink.com
Pimple Looking Bumps On Legs Red Zits Chest It causes hard lumps or knots (nodules) to develop deep under your skin. People with breakouts on their chest may have blackheads, whiteheads, or cystic acne. Though chest acne isn’t always as visible as pimples on your face, it can be quite a. Gradually gets smaller or disappears as the child ages Chest acne is more likely to occur in. Red Zits Chest.
From choesin.com
목의 여드름 원인, 치료 및 예방 얼굴을 만지면 여드름이 악화됩니까? 최신 Red Zits Chest Gradually gets smaller or disappears as the child ages Nodular acne is a severe type of acne. Chest acne is more likely to occur in women. Learn how to get rid. Red or purplish raised mark, commonly located on the face, scalp, back, or chest; Appears at birth or in very young children; It causes hard lumps or knots (nodules). Red Zits Chest.
From www.reddit.com
Help what is going on? I am 1 week post partum and these tiny little Red Zits Chest Though chest acne isn’t always as visible as pimples on your face, it can be quite a. It causes hard lumps or knots (nodules) to develop deep under your skin. A chest lump or bump is most commonly caused by an allergic reaction which typically look like red bumps on the chest, or a. Nodular acne is a severe type. Red Zits Chest.
From www.self.com
How To Treat A Painful Pimple SELF SELF Red Zits Chest Gradually gets smaller or disappears as the child ages Red or purplish raised mark, commonly located on the face, scalp, back, or chest; Learn how to get rid. Nodular acne is a severe type of acne. Though chest acne isn’t always as visible as pimples on your face, it can be quite a. Acne on the chest is caused by. Red Zits Chest.
From globalnews.ca
Chest freckles led one woman to discover she had a rare form of breast Red Zits Chest Nodular acne is a severe type of acne. People with breakouts on their chest may have blackheads, whiteheads, or cystic acne. Gradually gets smaller or disappears as the child ages Though chest acne isn’t always as visible as pimples on your face, it can be quite a. Red or purplish raised mark, commonly located on the face, scalp, back, or. Red Zits Chest.
From rasekhoon.net
تمام چیزهایی که باید در مورد ضایعات پوستی و علائم و نشانه های آن بدانیم Red Zits Chest Acne on the chest is caused by genetics, diet, stress, lifestyle habits and hormones. People with breakouts on their chest may have blackheads, whiteheads, or cystic acne. Chest acne is more likely to occur in women. Gradually gets smaller or disappears as the child ages Learn how to get rid. It causes hard lumps or knots (nodules) to develop deep. Red Zits Chest.
From www.pinterest.com
Revealed The six types of pimple and the best way to treat each one Red Zits Chest Learn how to get rid. Chest acne is more likely to occur in women. It causes hard lumps or knots (nodules) to develop deep under your skin. Red or purplish raised mark, commonly located on the face, scalp, back, or chest; Though chest acne isn’t always as visible as pimples on your face, it can be quite a. Appears at. Red Zits Chest.
From www.youtube.com
Facial cleansing Ep49 YouTube Red Zits Chest Appears at birth or in very young children; People with breakouts on their chest may have blackheads, whiteheads, or cystic acne. Acne on the chest is caused by genetics, diet, stress, lifestyle habits and hormones. Gradually gets smaller or disappears as the child ages A chest lump or bump is most commonly caused by an allergic reaction which typically look. Red Zits Chest.
From www.youtube.com
Pimple Pop Hard Center Zit High Definition 1080p YouTube Red Zits Chest Gradually gets smaller or disappears as the child ages Learn how to get rid. Red or purplish raised mark, commonly located on the face, scalp, back, or chest; Nodular acne is a severe type of acne. Though chest acne isn’t always as visible as pimples on your face, it can be quite a. Appears at birth or in very young. Red Zits Chest.
From mungfali.com
Pimple Like Rash On Chest Red Zits Chest Though chest acne isn’t always as visible as pimples on your face, it can be quite a. Acne on the chest is caused by genetics, diet, stress, lifestyle habits and hormones. Appears at birth or in very young children; Learn how to get rid. Chest acne is more likely to occur in women. It causes hard lumps or knots (nodules). Red Zits Chest.
From finwise.edu.vn
Top 98+ Pictures Red Spot On Skin Pictures Updated Red Zits Chest Red or purplish raised mark, commonly located on the face, scalp, back, or chest; Though chest acne isn’t always as visible as pimples on your face, it can be quite a. Gradually gets smaller or disappears as the child ages Learn how to get rid. Appears at birth or in very young children; It causes hard lumps or knots (nodules). Red Zits Chest.
From www.vrogue.co
Pimple Like Rash On Chest vrogue.co Red Zits Chest People with breakouts on their chest may have blackheads, whiteheads, or cystic acne. Gradually gets smaller or disappears as the child ages Chest acne is more likely to occur in women. A chest lump or bump is most commonly caused by an allergic reaction which typically look like red bumps on the chest, or a. It causes hard lumps or. Red Zits Chest.
From atelier-yuwa.ciao.jp
Pimples Causes Acne, Types Treatment atelieryuwa.ciao.jp Red Zits Chest Acne on the chest is caused by genetics, diet, stress, lifestyle habits and hormones. Learn how to get rid. Chest acne is more likely to occur in women. People with breakouts on their chest may have blackheads, whiteheads, or cystic acne. Though chest acne isn’t always as visible as pimples on your face, it can be quite a. It causes. Red Zits Chest.
From dermcollective.com
Chest Acne What Causes It and How To Get Rid of It Red Zits Chest A chest lump or bump is most commonly caused by an allergic reaction which typically look like red bumps on the chest, or a. Gradually gets smaller or disappears as the child ages Though chest acne isn’t always as visible as pimples on your face, it can be quite a. Red or purplish raised mark, commonly located on the face,. Red Zits Chest.
From www.alamy.com
A closeup portrait of before and after a Caucasian woman showing Red Zits Chest Appears at birth or in very young children; Learn how to get rid. People with breakouts on their chest may have blackheads, whiteheads, or cystic acne. Nodular acne is a severe type of acne. Gradually gets smaller or disappears as the child ages Red or purplish raised mark, commonly located on the face, scalp, back, or chest; A chest lump. Red Zits Chest.
From www.reddit.com
[Routine Help] Most of this is just redness (there’s obviously still Red Zits Chest Appears at birth or in very young children; A chest lump or bump is most commonly caused by an allergic reaction which typically look like red bumps on the chest, or a. Red or purplish raised mark, commonly located on the face, scalp, back, or chest; It causes hard lumps or knots (nodules) to develop deep under your skin. Chest. Red Zits Chest.
From www.thehealthy.com
Breast Cancer Symptoms That Aren't Lumps The Healthy Reader's Digest Red Zits Chest Appears at birth or in very young children; Acne on the chest is caused by genetics, diet, stress, lifestyle habits and hormones. Red or purplish raised mark, commonly located on the face, scalp, back, or chest; A chest lump or bump is most commonly caused by an allergic reaction which typically look like red bumps on the chest, or a.. Red Zits Chest.
From ar.pinterest.com
Types of Acne Cystic Acne Treatment, Oily Skin Treatment, Back Acne Red Zits Chest Acne on the chest is caused by genetics, diet, stress, lifestyle habits and hormones. Chest acne is more likely to occur in women. People with breakouts on their chest may have blackheads, whiteheads, or cystic acne. It causes hard lumps or knots (nodules) to develop deep under your skin. Learn how to get rid. A chest lump or bump is. Red Zits Chest.
From www.youtube.com
Biggest Pimples, Largest Cysts, Acne, Whiteheads and Big Zits YouTube Red Zits Chest Appears at birth or in very young children; Acne on the chest is caused by genetics, diet, stress, lifestyle habits and hormones. People with breakouts on their chest may have blackheads, whiteheads, or cystic acne. Chest acne is more likely to occur in women. Learn how to get rid. Red or purplish raised mark, commonly located on the face, scalp,. Red Zits Chest.
From www.wikihow.health
3 Easy Ways to Reduce Redness on Your Chest wikiHow Health Red Zits Chest Chest acne is more likely to occur in women. A chest lump or bump is most commonly caused by an allergic reaction which typically look like red bumps on the chest, or a. Red or purplish raised mark, commonly located on the face, scalp, back, or chest; Appears at birth or in very young children; Though chest acne isn’t always. Red Zits Chest.
From www.reddit.com
This is a huge red spot(?) on my face, need to get rid of this ASAP 🆘 Red Zits Chest Chest acne is more likely to occur in women. Gradually gets smaller or disappears as the child ages Though chest acne isn’t always as visible as pimples on your face, it can be quite a. Acne on the chest is caused by genetics, diet, stress, lifestyle habits and hormones. Nodular acne is a severe type of acne. Appears at birth. Red Zits Chest.
From www.nhs.uk
Acne NHS Red Zits Chest Appears at birth or in very young children; Acne on the chest is caused by genetics, diet, stress, lifestyle habits and hormones. A chest lump or bump is most commonly caused by an allergic reaction which typically look like red bumps on the chest, or a. Learn how to get rid. Chest acne is more likely to occur in women.. Red Zits Chest.
From portal.perueduca.edu.pe
Why Do I Have Little Bumps On My Face Printable Templates Protal Red Zits Chest Gradually gets smaller or disappears as the child ages Though chest acne isn’t always as visible as pimples on your face, it can be quite a. It causes hard lumps or knots (nodules) to develop deep under your skin. Learn how to get rid. Chest acne is more likely to occur in women. People with breakouts on their chest may. Red Zits Chest.
From coloringonly.com
Empty Chest Coloring Page Free Printable Coloring Pages for Kids Red Zits Chest Learn how to get rid. A chest lump or bump is most commonly caused by an allergic reaction which typically look like red bumps on the chest, or a. Nodular acne is a severe type of acne. People with breakouts on their chest may have blackheads, whiteheads, or cystic acne. It causes hard lumps or knots (nodules) to develop deep. Red Zits Chest.
From community.breastcancer.org
Breast Cancer Topic I'm sooo confused..... Red Zits Chest Though chest acne isn’t always as visible as pimples on your face, it can be quite a. A chest lump or bump is most commonly caused by an allergic reaction which typically look like red bumps on the chest, or a. It causes hard lumps or knots (nodules) to develop deep under your skin. Gradually gets smaller or disappears as. Red Zits Chest.
From design.udlvirtual.edu.pe
Why Am I Getting Little Red Bumps On My Chest Design Talk Red Zits Chest A chest lump or bump is most commonly caused by an allergic reaction which typically look like red bumps on the chest, or a. Appears at birth or in very young children; Red or purplish raised mark, commonly located on the face, scalp, back, or chest; Gradually gets smaller or disappears as the child ages It causes hard lumps or. Red Zits Chest.
From www.netgenics.com
How to get rid of pimples on the chin? NETGENICS Red Zits Chest A chest lump or bump is most commonly caused by an allergic reaction which typically look like red bumps on the chest, or a. Learn how to get rid. Chest acne is more likely to occur in women. Red or purplish raised mark, commonly located on the face, scalp, back, or chest; It causes hard lumps or knots (nodules) to. Red Zits Chest.