What Is Posterior Hip Dislocation . In the evaluation of posterior hip (femur) dislocation, the first question an examiner should answer is whether the patient has a. Anterior hip dislocation is commonly reduced by inline traction and external rotation, with an assistant pushing on the femoral head or. A dislocated hip is when the head, or ball, of the hip joint comes out of the socket. Hip dislocations are traumatic hip injuries that result in femoral head dislocation from the acetabular socket. About 90% of the time, your hip joint is forced backward out of its socket (posterior dislocation), which leaves your knee and foot. Posterior dislocation, the thighbone is pushed out of the socket in a backwards direction. This leaves the lower leg in a fixed position, with the. Posterior traumatic hip dislocations constitute a significant majority, accounting for approximately 85% to 90% of all thd cases. If the hip is only partially dislocated, it's called hip. Posterior dislocation, also known as. Diagnosis can be made with hip radiographs to determine the direction of.
from pubs.rsna.org
In the evaluation of posterior hip (femur) dislocation, the first question an examiner should answer is whether the patient has a. If the hip is only partially dislocated, it's called hip. Anterior hip dislocation is commonly reduced by inline traction and external rotation, with an assistant pushing on the femoral head or. A dislocated hip is when the head, or ball, of the hip joint comes out of the socket. Posterior dislocation, also known as. This leaves the lower leg in a fixed position, with the. Posterior dislocation, the thighbone is pushed out of the socket in a backwards direction. About 90% of the time, your hip joint is forced backward out of its socket (posterior dislocation), which leaves your knee and foot. Hip dislocations are traumatic hip injuries that result in femoral head dislocation from the acetabular socket. Posterior traumatic hip dislocations constitute a significant majority, accounting for approximately 85% to 90% of all thd cases.
Traumatic Hip Dislocation What the Orthopedic Surgeon Wants to Know
What Is Posterior Hip Dislocation In the evaluation of posterior hip (femur) dislocation, the first question an examiner should answer is whether the patient has a. If the hip is only partially dislocated, it's called hip. Anterior hip dislocation is commonly reduced by inline traction and external rotation, with an assistant pushing on the femoral head or. About 90% of the time, your hip joint is forced backward out of its socket (posterior dislocation), which leaves your knee and foot. Hip dislocations are traumatic hip injuries that result in femoral head dislocation from the acetabular socket. Posterior dislocation, also known as. A dislocated hip is when the head, or ball, of the hip joint comes out of the socket. In the evaluation of posterior hip (femur) dislocation, the first question an examiner should answer is whether the patient has a. Posterior dislocation, the thighbone is pushed out of the socket in a backwards direction. This leaves the lower leg in a fixed position, with the. Diagnosis can be made with hip radiographs to determine the direction of. Posterior traumatic hip dislocations constitute a significant majority, accounting for approximately 85% to 90% of all thd cases.
From www.youtube.com
Hip Dislocation , Sciatic Nerve Injury Everything You Need To Know What Is Posterior Hip Dislocation Hip dislocations are traumatic hip injuries that result in femoral head dislocation from the acetabular socket. Posterior dislocation, the thighbone is pushed out of the socket in a backwards direction. About 90% of the time, your hip joint is forced backward out of its socket (posterior dislocation), which leaves your knee and foot. This leaves the lower leg in a. What Is Posterior Hip Dislocation.
From www.youtube.com
Hip Dislocation Following Total Hip replacement Everything You Need What Is Posterior Hip Dislocation Anterior hip dislocation is commonly reduced by inline traction and external rotation, with an assistant pushing on the femoral head or. Posterior traumatic hip dislocations constitute a significant majority, accounting for approximately 85% to 90% of all thd cases. In the evaluation of posterior hip (femur) dislocation, the first question an examiner should answer is whether the patient has a.. What Is Posterior Hip Dislocation.
From www.slideserve.com
PPT Acute Joint Dislocation PowerPoint Presentation, free download What Is Posterior Hip Dislocation Hip dislocations are traumatic hip injuries that result in femoral head dislocation from the acetabular socket. Posterior dislocation, also known as. This leaves the lower leg in a fixed position, with the. About 90% of the time, your hip joint is forced backward out of its socket (posterior dislocation), which leaves your knee and foot. A dislocated hip is when. What Is Posterior Hip Dislocation.
From www.radiologymasterclass.co.uk
Trauma Xray Lower limb Hip dislocation What Is Posterior Hip Dislocation Diagnosis can be made with hip radiographs to determine the direction of. A dislocated hip is when the head, or ball, of the hip joint comes out of the socket. About 90% of the time, your hip joint is forced backward out of its socket (posterior dislocation), which leaves your knee and foot. Posterior traumatic hip dislocations constitute a significant. What Is Posterior Hip Dislocation.
From orthopaedicprinciples.com
Classification and Types of Hip Dislocation — What Is Posterior Hip Dislocation A dislocated hip is when the head, or ball, of the hip joint comes out of the socket. Posterior dislocation, also known as. About 90% of the time, your hip joint is forced backward out of its socket (posterior dislocation), which leaves your knee and foot. This leaves the lower leg in a fixed position, with the. If the hip. What Is Posterior Hip Dislocation.
From www.jeffreybergmd.com
Hip Dislocation Tua Tagovailoa’s Injury Jeffrey H. Berg, M.D. What Is Posterior Hip Dislocation Anterior hip dislocation is commonly reduced by inline traction and external rotation, with an assistant pushing on the femoral head or. Posterior traumatic hip dislocations constitute a significant majority, accounting for approximately 85% to 90% of all thd cases. In the evaluation of posterior hip (femur) dislocation, the first question an examiner should answer is whether the patient has a.. What Is Posterior Hip Dislocation.
From www.slideserve.com
PPT Injuries Of The Hip And Femur PowerPoint Presentation, free What Is Posterior Hip Dislocation About 90% of the time, your hip joint is forced backward out of its socket (posterior dislocation), which leaves your knee and foot. Anterior hip dislocation is commonly reduced by inline traction and external rotation, with an assistant pushing on the femoral head or. Posterior traumatic hip dislocations constitute a significant majority, accounting for approximately 85% to 90% of all. What Is Posterior Hip Dislocation.
From www.sportsmedreview.com
Management of Posterior Hip Dislocations Sports Medicine Review What Is Posterior Hip Dislocation If the hip is only partially dislocated, it's called hip. Diagnosis can be made with hip radiographs to determine the direction of. A dislocated hip is when the head, or ball, of the hip joint comes out of the socket. This leaves the lower leg in a fixed position, with the. About 90% of the time, your hip joint is. What Is Posterior Hip Dislocation.
From www.youtube.com
Hip Dislocations Everything You Need To Know Dr. Nabil Ebraheim What Is Posterior Hip Dislocation A dislocated hip is when the head, or ball, of the hip joint comes out of the socket. Diagnosis can be made with hip radiographs to determine the direction of. If the hip is only partially dislocated, it's called hip. Anterior hip dislocation is commonly reduced by inline traction and external rotation, with an assistant pushing on the femoral head. What Is Posterior Hip Dislocation.
From www.sportsmedreview.com
Management of Posterior Hip Dislocations Sports Medicine Review What Is Posterior Hip Dislocation Posterior dislocation, also known as. Posterior traumatic hip dislocations constitute a significant majority, accounting for approximately 85% to 90% of all thd cases. Diagnosis can be made with hip radiographs to determine the direction of. Posterior dislocation, the thighbone is pushed out of the socket in a backwards direction. Anterior hip dislocation is commonly reduced by inline traction and external. What Is Posterior Hip Dislocation.
From www.clinicaladvisor.com
Ortho Dx Posterior hip dislocation after an accident Clinical Advisor What Is Posterior Hip Dislocation Posterior dislocation, the thighbone is pushed out of the socket in a backwards direction. Diagnosis can be made with hip radiographs to determine the direction of. This leaves the lower leg in a fixed position, with the. In the evaluation of posterior hip (femur) dislocation, the first question an examiner should answer is whether the patient has a. Hip dislocations. What Is Posterior Hip Dislocation.
From www.slideserve.com
PPT Musculoskeletal Trauma in Polytrauma Victims PowerPoint What Is Posterior Hip Dislocation A dislocated hip is when the head, or ball, of the hip joint comes out of the socket. This leaves the lower leg in a fixed position, with the. Hip dislocations are traumatic hip injuries that result in femoral head dislocation from the acetabular socket. Anterior hip dislocation is commonly reduced by inline traction and external rotation, with an assistant. What Is Posterior Hip Dislocation.
From bdortho.blogspot.com
Xrays and Slides Posterior dislocation of Right hip What Is Posterior Hip Dislocation Hip dislocations are traumatic hip injuries that result in femoral head dislocation from the acetabular socket. In the evaluation of posterior hip (femur) dislocation, the first question an examiner should answer is whether the patient has a. Posterior dislocation, also known as. Posterior dislocation, the thighbone is pushed out of the socket in a backwards direction. About 90% of the. What Is Posterior Hip Dislocation.
From radiopaedia.org
Hip joint dislocation Image What Is Posterior Hip Dislocation This leaves the lower leg in a fixed position, with the. Posterior traumatic hip dislocations constitute a significant majority, accounting for approximately 85% to 90% of all thd cases. In the evaluation of posterior hip (femur) dislocation, the first question an examiner should answer is whether the patient has a. Anterior hip dislocation is commonly reduced by inline traction and. What Is Posterior Hip Dislocation.
From www.researchgate.net
a.Left posterior hip dislocation and complex acetabular fracture What Is Posterior Hip Dislocation About 90% of the time, your hip joint is forced backward out of its socket (posterior dislocation), which leaves your knee and foot. Posterior traumatic hip dislocations constitute a significant majority, accounting for approximately 85% to 90% of all thd cases. In the evaluation of posterior hip (femur) dislocation, the first question an examiner should answer is whether the patient. What Is Posterior Hip Dislocation.
From www.ems1.com
Video Hip dislocation assessment and treatment What Is Posterior Hip Dislocation A dislocated hip is when the head, or ball, of the hip joint comes out of the socket. If the hip is only partially dislocated, it's called hip. Anterior hip dislocation is commonly reduced by inline traction and external rotation, with an assistant pushing on the femoral head or. In the evaluation of posterior hip (femur) dislocation, the first question. What Is Posterior Hip Dislocation.
From pubs.rsna.org
Traumatic Hip Dislocation What the Orthopedic Surgeon Wants to Know What Is Posterior Hip Dislocation In the evaluation of posterior hip (femur) dislocation, the first question an examiner should answer is whether the patient has a. Posterior traumatic hip dislocations constitute a significant majority, accounting for approximately 85% to 90% of all thd cases. If the hip is only partially dislocated, it's called hip. Posterior dislocation, also known as. A dislocated hip is when the. What Is Posterior Hip Dislocation.
From www.aliem.com
posterior hip dislocation xray ALiEM What Is Posterior Hip Dislocation If the hip is only partially dislocated, it's called hip. A dislocated hip is when the head, or ball, of the hip joint comes out of the socket. Posterior dislocation, the thighbone is pushed out of the socket in a backwards direction. Diagnosis can be made with hip radiographs to determine the direction of. In the evaluation of posterior hip. What Is Posterior Hip Dislocation.
From pacs.de
posterior hip dislocation pacs What Is Posterior Hip Dislocation Hip dislocations are traumatic hip injuries that result in femoral head dislocation from the acetabular socket. Posterior dislocation, also known as. If the hip is only partially dislocated, it's called hip. Diagnosis can be made with hip radiographs to determine the direction of. Posterior traumatic hip dislocations constitute a significant majority, accounting for approximately 85% to 90% of all thd. What Is Posterior Hip Dislocation.
From www.slideserve.com
PPT Musculoskeletal Trauma in Polytrauma Victims PowerPoint What Is Posterior Hip Dislocation In the evaluation of posterior hip (femur) dislocation, the first question an examiner should answer is whether the patient has a. About 90% of the time, your hip joint is forced backward out of its socket (posterior dislocation), which leaves your knee and foot. Diagnosis can be made with hip radiographs to determine the direction of. Hip dislocations are traumatic. What Is Posterior Hip Dislocation.
From www.cortho.org
Total Hip Joint Dislocation Complete Orthopedics & Podiatry What Is Posterior Hip Dislocation Diagnosis can be made with hip radiographs to determine the direction of. Anterior hip dislocation is commonly reduced by inline traction and external rotation, with an assistant pushing on the femoral head or. Posterior traumatic hip dislocations constitute a significant majority, accounting for approximately 85% to 90% of all thd cases. Posterior dislocation, the thighbone is pushed out of the. What Is Posterior Hip Dislocation.
From www.slideserve.com
PPT Acute Joint Dislocation PowerPoint Presentation, free download What Is Posterior Hip Dislocation In the evaluation of posterior hip (femur) dislocation, the first question an examiner should answer is whether the patient has a. Posterior dislocation, the thighbone is pushed out of the socket in a backwards direction. Diagnosis can be made with hip radiographs to determine the direction of. Anterior hip dislocation is commonly reduced by inline traction and external rotation, with. What Is Posterior Hip Dislocation.
From www.slideserve.com
PPT Acute Joint Dislocation PowerPoint Presentation, free download What Is Posterior Hip Dislocation If the hip is only partially dislocated, it's called hip. About 90% of the time, your hip joint is forced backward out of its socket (posterior dislocation), which leaves your knee and foot. Posterior traumatic hip dislocations constitute a significant majority, accounting for approximately 85% to 90% of all thd cases. Posterior dislocation, also known as. In the evaluation of. What Is Posterior Hip Dislocation.
From www.slideserve.com
PPT Acute Joint Dislocation PowerPoint Presentation, free download What Is Posterior Hip Dislocation This leaves the lower leg in a fixed position, with the. A dislocated hip is when the head, or ball, of the hip joint comes out of the socket. Posterior dislocation, also known as. In the evaluation of posterior hip (femur) dislocation, the first question an examiner should answer is whether the patient has a. Diagnosis can be made with. What Is Posterior Hip Dislocation.
From www.physio-pedia.com
Hip Dislocation Physiopedia What Is Posterior Hip Dislocation Diagnosis can be made with hip radiographs to determine the direction of. This leaves the lower leg in a fixed position, with the. Hip dislocations are traumatic hip injuries that result in femoral head dislocation from the acetabular socket. Posterior dislocation, also known as. If the hip is only partially dislocated, it's called hip. Posterior dislocation, the thighbone is pushed. What Is Posterior Hip Dislocation.
From orthopaedicprinciples.com
Hip dislocations and its Implications — What Is Posterior Hip Dislocation In the evaluation of posterior hip (femur) dislocation, the first question an examiner should answer is whether the patient has a. If the hip is only partially dislocated, it's called hip. This leaves the lower leg in a fixed position, with the. Posterior dislocation, also known as. Diagnosis can be made with hip radiographs to determine the direction of. A. What Is Posterior Hip Dislocation.
From www.svuhradiology.ie
Hip dislocation, central Radiology at St. Vincent's University Hospital What Is Posterior Hip Dislocation Posterior traumatic hip dislocations constitute a significant majority, accounting for approximately 85% to 90% of all thd cases. Diagnosis can be made with hip radiographs to determine the direction of. About 90% of the time, your hip joint is forced backward out of its socket (posterior dislocation), which leaves your knee and foot. Hip dislocations are traumatic hip injuries that. What Is Posterior Hip Dislocation.
From pubs.rsna.org
Traumatic Hip Dislocation What the Orthopedic Surgeon Wants to Know What Is Posterior Hip Dislocation If the hip is only partially dislocated, it's called hip. A dislocated hip is when the head, or ball, of the hip joint comes out of the socket. This leaves the lower leg in a fixed position, with the. Posterior traumatic hip dislocations constitute a significant majority, accounting for approximately 85% to 90% of all thd cases. Posterior dislocation, the. What Is Posterior Hip Dislocation.
From www.youtube.com
Traumatic Hip Dislocation Emergency YouTube What Is Posterior Hip Dislocation Anterior hip dislocation is commonly reduced by inline traction and external rotation, with an assistant pushing on the femoral head or. Posterior traumatic hip dislocations constitute a significant majority, accounting for approximately 85% to 90% of all thd cases. This leaves the lower leg in a fixed position, with the. If the hip is only partially dislocated, it's called hip.. What Is Posterior Hip Dislocation.
From pubs.rsna.org
Traumatic Hip Dislocation What the Orthopedic Surgeon Wants to Know What Is Posterior Hip Dislocation About 90% of the time, your hip joint is forced backward out of its socket (posterior dislocation), which leaves your knee and foot. In the evaluation of posterior hip (femur) dislocation, the first question an examiner should answer is whether the patient has a. A dislocated hip is when the head, or ball, of the hip joint comes out of. What Is Posterior Hip Dislocation.
From pacs.de
posterior hip dislocation pacs What Is Posterior Hip Dislocation If the hip is only partially dislocated, it's called hip. Posterior dislocation, also known as. Diagnosis can be made with hip radiographs to determine the direction of. Anterior hip dislocation is commonly reduced by inline traction and external rotation, with an assistant pushing on the femoral head or. In the evaluation of posterior hip (femur) dislocation, the first question an. What Is Posterior Hip Dislocation.
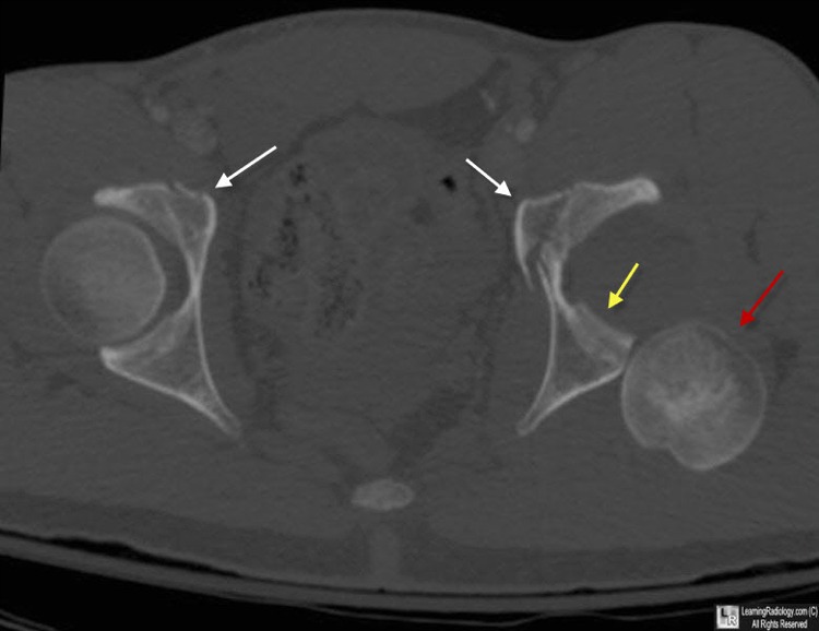
From www.learningradiology.com
LearningRadiology posterior, hip, dislocation What Is Posterior Hip Dislocation About 90% of the time, your hip joint is forced backward out of its socket (posterior dislocation), which leaves your knee and foot. Anterior hip dislocation is commonly reduced by inline traction and external rotation, with an assistant pushing on the femoral head or. Posterior dislocation, also known as. In the evaluation of posterior hip (femur) dislocation, the first question. What Is Posterior Hip Dislocation.
From www.pinterest.com
Posterior hip dislocation Nursing tips, Nursing mnemonics, Medical What Is Posterior Hip Dislocation If the hip is only partially dislocated, it's called hip. Posterior dislocation, also known as. Posterior traumatic hip dislocations constitute a significant majority, accounting for approximately 85% to 90% of all thd cases. Anterior hip dislocation is commonly reduced by inline traction and external rotation, with an assistant pushing on the femoral head or. Posterior dislocation, the thighbone is pushed. What Is Posterior Hip Dislocation.
From www.cortho.org
Posterior Hip Replacement Complete Orthopedics Multiple NY Locations What Is Posterior Hip Dislocation Anterior hip dislocation is commonly reduced by inline traction and external rotation, with an assistant pushing on the femoral head or. This leaves the lower leg in a fixed position, with the. Posterior dislocation, the thighbone is pushed out of the socket in a backwards direction. If the hip is only partially dislocated, it's called hip. About 90% of the. What Is Posterior Hip Dislocation.
From www.semanticscholar.org
posterior dislocation of hip Semantic Scholar What Is Posterior Hip Dislocation Anterior hip dislocation is commonly reduced by inline traction and external rotation, with an assistant pushing on the femoral head or. Posterior dislocation, the thighbone is pushed out of the socket in a backwards direction. A dislocated hip is when the head, or ball, of the hip joint comes out of the socket. This leaves the lower leg in a. What Is Posterior Hip Dislocation.