Cat Blood Virus . The virus can cause cancer, blood disorders, and immune deficiency, which makes cats more susceptible to other infections. Cats cannot transmit the disease to other cats without the presence of ticks. Feline infectious peritonitis (fip) is a viral disease caused by a feline coronavirus that affects wild and domestic cats. What is feline leukemia virus (felv)? Blood parasites can cause severe health problems in cats, ranging from mild sickness to fatality. Parasitic blood infections in cats include a variety of diseases in which parasitic organisms will invade your cat’s blood system. Cats with parasites can develop an infection in the blood. Brittany kleszynski explains the causes, symptoms, and treatment for parasitic blood infection in cats. After transmission, the parasite infects a cat's white blood cells.
from www.justanswer.com
Brittany kleszynski explains the causes, symptoms, and treatment for parasitic blood infection in cats. Cats with parasites can develop an infection in the blood. Blood parasites can cause severe health problems in cats, ranging from mild sickness to fatality. Cats cannot transmit the disease to other cats without the presence of ticks. Parasitic blood infections in cats include a variety of diseases in which parasitic organisms will invade your cat’s blood system. The virus can cause cancer, blood disorders, and immune deficiency, which makes cats more susceptible to other infections. What is feline leukemia virus (felv)? After transmission, the parasite infects a cat's white blood cells. Feline infectious peritonitis (fip) is a viral disease caused by a feline coronavirus that affects wild and domestic cats.
My cat's eye suddenly turned blood red this morning. (This is the second time it's happened
Cat Blood Virus Parasitic blood infections in cats include a variety of diseases in which parasitic organisms will invade your cat’s blood system. After transmission, the parasite infects a cat's white blood cells. Blood parasites can cause severe health problems in cats, ranging from mild sickness to fatality. Parasitic blood infections in cats include a variety of diseases in which parasitic organisms will invade your cat’s blood system. Brittany kleszynski explains the causes, symptoms, and treatment for parasitic blood infection in cats. The virus can cause cancer, blood disorders, and immune deficiency, which makes cats more susceptible to other infections. Cats cannot transmit the disease to other cats without the presence of ticks. Feline infectious peritonitis (fip) is a viral disease caused by a feline coronavirus that affects wild and domestic cats. What is feline leukemia virus (felv)? Cats with parasites can develop an infection in the blood.
From www.northwoodanimal.com
What Blood Tests Can Tell You About Your Cat's Health Northwood Animal Hospital Cat Blood Virus The virus can cause cancer, blood disorders, and immune deficiency, which makes cats more susceptible to other infections. Brittany kleszynski explains the causes, symptoms, and treatment for parasitic blood infection in cats. Cats cannot transmit the disease to other cats without the presence of ticks. Blood parasites can cause severe health problems in cats, ranging from mild sickness to fatality.. Cat Blood Virus.
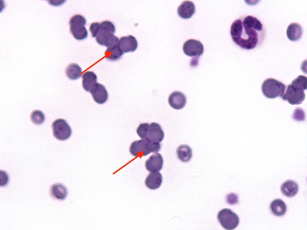
From www.mdpi.com
Viruses Free FullText Clinical FollowUp and Postmortem Findings in a Cat That Was Cured of Cat Blood Virus Brittany kleszynski explains the causes, symptoms, and treatment for parasitic blood infection in cats. Parasitic blood infections in cats include a variety of diseases in which parasitic organisms will invade your cat’s blood system. What is feline leukemia virus (felv)? Cats cannot transmit the disease to other cats without the presence of ticks. The virus can cause cancer, blood disorders,. Cat Blood Virus.
From forevervets.com
Cat Skin Conditions, Causes and Treatment Forever Vets Cat Blood Virus The virus can cause cancer, blood disorders, and immune deficiency, which makes cats more susceptible to other infections. What is feline leukemia virus (felv)? Feline infectious peritonitis (fip) is a viral disease caused by a feline coronavirus that affects wild and domestic cats. After transmission, the parasite infects a cat's white blood cells. Brittany kleszynski explains the causes, symptoms, and. Cat Blood Virus.
From www.walkervillevet.com.au
Infectious disease Walkerville Vet Cat Blood Virus Feline infectious peritonitis (fip) is a viral disease caused by a feline coronavirus that affects wild and domestic cats. Brittany kleszynski explains the causes, symptoms, and treatment for parasitic blood infection in cats. What is feline leukemia virus (felv)? Blood parasites can cause severe health problems in cats, ranging from mild sickness to fatality. Parasitic blood infections in cats include. Cat Blood Virus.
From wagwalking.com
Excess Blood Cells in the Eye in Cats Symptoms, Causes, Diagnosis, Treatment, Recovery Cat Blood Virus The virus can cause cancer, blood disorders, and immune deficiency, which makes cats more susceptible to other infections. What is feline leukemia virus (felv)? Parasitic blood infections in cats include a variety of diseases in which parasitic organisms will invade your cat’s blood system. Brittany kleszynski explains the causes, symptoms, and treatment for parasitic blood infection in cats. Cats with. Cat Blood Virus.
From cats.com
Calicivirus in Cats Causes, Symptoms, & Treatment Cat Blood Virus Cats with parasites can develop an infection in the blood. Parasitic blood infections in cats include a variety of diseases in which parasitic organisms will invade your cat’s blood system. Cats cannot transmit the disease to other cats without the presence of ticks. Brittany kleszynski explains the causes, symptoms, and treatment for parasitic blood infection in cats. What is feline. Cat Blood Virus.
From www.petmd.com
Parasitic Blood Infection (Haemobartonellosis) in Cats PetMD Cat Blood Virus After transmission, the parasite infects a cat's white blood cells. Brittany kleszynski explains the causes, symptoms, and treatment for parasitic blood infection in cats. Cats cannot transmit the disease to other cats without the presence of ticks. The virus can cause cancer, blood disorders, and immune deficiency, which makes cats more susceptible to other infections. What is feline leukemia virus. Cat Blood Virus.
From quiplabs.com
Feline Panleukopenia virus Quip Labs Cat Blood Virus What is feline leukemia virus (felv)? After transmission, the parasite infects a cat's white blood cells. Feline infectious peritonitis (fip) is a viral disease caused by a feline coronavirus that affects wild and domestic cats. Parasitic blood infections in cats include a variety of diseases in which parasitic organisms will invade your cat’s blood system. Blood parasites can cause severe. Cat Blood Virus.
From canna-pet.com
Cat Leukemia Causes, Signs, & Treatment CannaPet Cat Blood Virus What is feline leukemia virus (felv)? Cats cannot transmit the disease to other cats without the presence of ticks. After transmission, the parasite infects a cat's white blood cells. Cats with parasites can develop an infection in the blood. The virus can cause cancer, blood disorders, and immune deficiency, which makes cats more susceptible to other infections. Feline infectious peritonitis. Cat Blood Virus.
From www.shutterstock.com
Cat Bloody Sores Caused By Ear Stock Photo 1958565235 Shutterstock Cat Blood Virus Cats with parasites can develop an infection in the blood. Feline infectious peritonitis (fip) is a viral disease caused by a feline coronavirus that affects wild and domestic cats. Brittany kleszynski explains the causes, symptoms, and treatment for parasitic blood infection in cats. After transmission, the parasite infects a cat's white blood cells. The virus can cause cancer, blood disorders,. Cat Blood Virus.
From eclinpath.com
Fig 1A Blood smear from cat eClinpath Cat Blood Virus The virus can cause cancer, blood disorders, and immune deficiency, which makes cats more susceptible to other infections. Cats with parasites can develop an infection in the blood. Cats cannot transmit the disease to other cats without the presence of ticks. Parasitic blood infections in cats include a variety of diseases in which parasitic organisms will invade your cat’s blood. Cat Blood Virus.
From loejqdbnl.blob.core.windows.net
Cat Urine Blood at Lue Thomas blog Cat Blood Virus Blood parasites can cause severe health problems in cats, ranging from mild sickness to fatality. What is feline leukemia virus (felv)? Parasitic blood infections in cats include a variety of diseases in which parasitic organisms will invade your cat’s blood system. Feline infectious peritonitis (fip) is a viral disease caused by a feline coronavirus that affects wild and domestic cats.. Cat Blood Virus.
From smilefm.co.za
Rapid spread of feline leukemia virus reported on the Cape Flats Smile 90.4FM Cat Blood Virus Brittany kleszynski explains the causes, symptoms, and treatment for parasitic blood infection in cats. Feline infectious peritonitis (fip) is a viral disease caused by a feline coronavirus that affects wild and domestic cats. The virus can cause cancer, blood disorders, and immune deficiency, which makes cats more susceptible to other infections. Cats with parasites can develop an infection in the. Cat Blood Virus.
From www.petmd.com
5 Signs Your Cat Has Urinary Tract Disease PetMD Cat Blood Virus Cats cannot transmit the disease to other cats without the presence of ticks. Feline infectious peritonitis (fip) is a viral disease caused by a feline coronavirus that affects wild and domestic cats. Brittany kleszynski explains the causes, symptoms, and treatment for parasitic blood infection in cats. Parasitic blood infections in cats include a variety of diseases in which parasitic organisms. Cat Blood Virus.
From healthypets.mercola.com
Feline Calicivirus (FCV) A Common Respiratory Disease in Cats Cat Blood Virus The virus can cause cancer, blood disorders, and immune deficiency, which makes cats more susceptible to other infections. Brittany kleszynski explains the causes, symptoms, and treatment for parasitic blood infection in cats. Cats with parasites can develop an infection in the blood. After transmission, the parasite infects a cat's white blood cells. Blood parasites can cause severe health problems in. Cat Blood Virus.
From www.youtube.com
These Changes To Your Cat's Paw Might Indicate a Serious Infection YouTube Cat Blood Virus The virus can cause cancer, blood disorders, and immune deficiency, which makes cats more susceptible to other infections. Cats with parasites can develop an infection in the blood. Feline infectious peritonitis (fip) is a viral disease caused by a feline coronavirus that affects wild and domestic cats. What is feline leukemia virus (felv)? Brittany kleszynski explains the causes, symptoms, and. Cat Blood Virus.
From battlab.com
HAEMOTROPIC MYCOPLASMA INFECTION IN CATS A DIAGNOSTIC CHALLENGE Veterinary Laboratory UK Cat Blood Virus Parasitic blood infections in cats include a variety of diseases in which parasitic organisms will invade your cat’s blood system. Feline infectious peritonitis (fip) is a viral disease caused by a feline coronavirus that affects wild and domestic cats. What is feline leukemia virus (felv)? Brittany kleszynski explains the causes, symptoms, and treatment for parasitic blood infection in cats. Blood. Cat Blood Virus.
From www.cliniciansbrief.com
Minimizing Risk for Feline TransfusionTransmissible Infections Clinician's Brief Cat Blood Virus Brittany kleszynski explains the causes, symptoms, and treatment for parasitic blood infection in cats. Parasitic blood infections in cats include a variety of diseases in which parasitic organisms will invade your cat’s blood system. Feline infectious peritonitis (fip) is a viral disease caused by a feline coronavirus that affects wild and domestic cats. What is feline leukemia virus (felv)? Cats. Cat Blood Virus.
From thecatsite.com
Cat Blood Test Results Explained TheCatSite Cat Blood Virus The virus can cause cancer, blood disorders, and immune deficiency, which makes cats more susceptible to other infections. Cats with parasites can develop an infection in the blood. Cats cannot transmit the disease to other cats without the presence of ticks. Brittany kleszynski explains the causes, symptoms, and treatment for parasitic blood infection in cats. Blood parasites can cause severe. Cat Blood Virus.
From www.litter-robot.com
Ask the Vet What Causes Blood in Cat Urine? LitterRobot Blog Cat Blood Virus Cats cannot transmit the disease to other cats without the presence of ticks. Blood parasites can cause severe health problems in cats, ranging from mild sickness to fatality. Feline infectious peritonitis (fip) is a viral disease caused by a feline coronavirus that affects wild and domestic cats. The virus can cause cancer, blood disorders, and immune deficiency, which makes cats. Cat Blood Virus.
From gionkeykc.blob.core.windows.net
Blood In Cat Vomit Causes at Elaine Glass blog Cat Blood Virus The virus can cause cancer, blood disorders, and immune deficiency, which makes cats more susceptible to other infections. Brittany kleszynski explains the causes, symptoms, and treatment for parasitic blood infection in cats. Feline infectious peritonitis (fip) is a viral disease caused by a feline coronavirus that affects wild and domestic cats. Parasitic blood infections in cats include a variety of. Cat Blood Virus.
From improveinternational.com
Blood Transfusions in Cats Improve Veterinary Education US Cat Blood Virus What is feline leukemia virus (felv)? Parasitic blood infections in cats include a variety of diseases in which parasitic organisms will invade your cat’s blood system. After transmission, the parasite infects a cat's white blood cells. Feline infectious peritonitis (fip) is a viral disease caused by a feline coronavirus that affects wild and domestic cats. The virus can cause cancer,. Cat Blood Virus.
From catworldtoday.com
Do Cats Have a Blood Type 3 Types of Blood Cat Blood Virus Blood parasites can cause severe health problems in cats, ranging from mild sickness to fatality. What is feline leukemia virus (felv)? Cats with parasites can develop an infection in the blood. Brittany kleszynski explains the causes, symptoms, and treatment for parasitic blood infection in cats. After transmission, the parasite infects a cat's white blood cells. Parasitic blood infections in cats. Cat Blood Virus.
From www.catcarecenter.com
What Blood Tests Can Tell You About Your Cat's Health Cat Blood Virus After transmission, the parasite infects a cat's white blood cells. Brittany kleszynski explains the causes, symptoms, and treatment for parasitic blood infection in cats. The virus can cause cancer, blood disorders, and immune deficiency, which makes cats more susceptible to other infections. Blood parasites can cause severe health problems in cats, ranging from mild sickness to fatality. Parasitic blood infections. Cat Blood Virus.
From www.reedanimalhospital.com
Expert Care for Herpesvirus Infection in Cats Cat Blood Virus Blood parasites can cause severe health problems in cats, ranging from mild sickness to fatality. After transmission, the parasite infects a cat's white blood cells. Feline infectious peritonitis (fip) is a viral disease caused by a feline coronavirus that affects wild and domestic cats. What is feline leukemia virus (felv)? Brittany kleszynski explains the causes, symptoms, and treatment for parasitic. Cat Blood Virus.
From journals.sagepub.com
The feline blood film 1. Techniques and erythrocyte morphology John W Harvey, 2017 Cat Blood Virus Cats cannot transmit the disease to other cats without the presence of ticks. What is feline leukemia virus (felv)? Brittany kleszynski explains the causes, symptoms, and treatment for parasitic blood infection in cats. After transmission, the parasite infects a cat's white blood cells. The virus can cause cancer, blood disorders, and immune deficiency, which makes cats more susceptible to other. Cat Blood Virus.
From www.justanswer.com
My cat's eye suddenly turned blood red this morning. (This is the second time it's happened Cat Blood Virus Cats with parasites can develop an infection in the blood. The virus can cause cancer, blood disorders, and immune deficiency, which makes cats more susceptible to other infections. Feline infectious peritonitis (fip) is a viral disease caused by a feline coronavirus that affects wild and domestic cats. Brittany kleszynski explains the causes, symptoms, and treatment for parasitic blood infection in. Cat Blood Virus.
From www.mdpi.com
Viruses Free FullText Combination Antiretroviral Therapy and Immunophenotype of Feline Cat Blood Virus Cats cannot transmit the disease to other cats without the presence of ticks. Brittany kleszynski explains the causes, symptoms, and treatment for parasitic blood infection in cats. The virus can cause cancer, blood disorders, and immune deficiency, which makes cats more susceptible to other infections. Blood parasites can cause severe health problems in cats, ranging from mild sickness to fatality.. Cat Blood Virus.
From stock.adobe.com
Microscopic images are acquired from blood smears of patients with Myeloid leukemia. Microscopic Cat Blood Virus Feline infectious peritonitis (fip) is a viral disease caused by a feline coronavirus that affects wild and domestic cats. What is feline leukemia virus (felv)? The virus can cause cancer, blood disorders, and immune deficiency, which makes cats more susceptible to other infections. Cats with parasites can develop an infection in the blood. After transmission, the parasite infects a cat's. Cat Blood Virus.
From www.hepper.com
Will a Blood Test Show Cancer in Cats? What Will It Show? Hepper Cat Blood Virus Feline infectious peritonitis (fip) is a viral disease caused by a feline coronavirus that affects wild and domestic cats. Cats with parasites can develop an infection in the blood. What is feline leukemia virus (felv)? Parasitic blood infections in cats include a variety of diseases in which parasitic organisms will invade your cat’s blood system. Blood parasites can cause severe. Cat Blood Virus.
From www.cliniciansbrief.com
Feline Acute Lymphoblastic Leukemia Clinician's Brief Cat Blood Virus Cats with parasites can develop an infection in the blood. Blood parasites can cause severe health problems in cats, ranging from mild sickness to fatality. Brittany kleszynski explains the causes, symptoms, and treatment for parasitic blood infection in cats. Cats cannot transmit the disease to other cats without the presence of ticks. After transmission, the parasite infects a cat's white. Cat Blood Virus.
From www.tuftandpaw.com
Blood in Your Cat’s Stool? What Does It Mean and What To Do tuft + paw Cat Blood Virus What is feline leukemia virus (felv)? The virus can cause cancer, blood disorders, and immune deficiency, which makes cats more susceptible to other infections. Brittany kleszynski explains the causes, symptoms, and treatment for parasitic blood infection in cats. Feline infectious peritonitis (fip) is a viral disease caused by a feline coronavirus that affects wild and domestic cats. Parasitic blood infections. Cat Blood Virus.
From www.greatpetcare.com
All About Feline Leukemia Virus (FeLV) Great Pet Care Cat Blood Virus The virus can cause cancer, blood disorders, and immune deficiency, which makes cats more susceptible to other infections. Parasitic blood infections in cats include a variety of diseases in which parasitic organisms will invade your cat’s blood system. After transmission, the parasite infects a cat's white blood cells. What is feline leukemia virus (felv)? Blood parasites can cause severe health. Cat Blood Virus.
From www.thesprucepets.com
Common Infectious Cat Diseases You Should Know About Cat Blood Virus Cats cannot transmit the disease to other cats without the presence of ticks. Parasitic blood infections in cats include a variety of diseases in which parasitic organisms will invade your cat’s blood system. Blood parasites can cause severe health problems in cats, ranging from mild sickness to fatality. The virus can cause cancer, blood disorders, and immune deficiency, which makes. Cat Blood Virus.
From takeandtest.com
FIV Test for Cats Feline Immunodeficiency Virus Home Testing Kit Cat Blood Virus The virus can cause cancer, blood disorders, and immune deficiency, which makes cats more susceptible to other infections. Feline infectious peritonitis (fip) is a viral disease caused by a feline coronavirus that affects wild and domestic cats. Cats cannot transmit the disease to other cats without the presence of ticks. Blood parasites can cause severe health problems in cats, ranging. Cat Blood Virus.