Radial Head Xr . ° neutral forearm rotation, 45° cephalad beam angle. ° better visualization of radial. the radial head is the proximal articular surface of the radius and prone to dislocation in childhood and fracture in adults. It is palpable on the lateral. Radial head fractures are, together with the radial neck fractures, relatively common injuries, especially in adults, although they can be. Optional radiocapitellar radial head view. fractures of the radial head are the most common fractures in the elbow, and they frequently have associated ligamentous, cartilaginous, or other. the radial head is the proximal articular surface of the radius and prone to dislocation in childhood and fracture in adults. radial head fractures are common injuries that are frequently missed.
from www.schreibermd.com
° better visualization of radial. the radial head is the proximal articular surface of the radius and prone to dislocation in childhood and fracture in adults. the radial head is the proximal articular surface of the radius and prone to dislocation in childhood and fracture in adults. fractures of the radial head are the most common fractures in the elbow, and they frequently have associated ligamentous, cartilaginous, or other. radial head fractures are common injuries that are frequently missed. Radial head fractures are, together with the radial neck fractures, relatively common injuries, especially in adults, although they can be. It is palpable on the lateral. Optional radiocapitellar radial head view. ° neutral forearm rotation, 45° cephalad beam angle.
Radial Head Fracture — Joseph J. Schreiber, MD
Radial Head Xr fractures of the radial head are the most common fractures in the elbow, and they frequently have associated ligamentous, cartilaginous, or other. It is palpable on the lateral. the radial head is the proximal articular surface of the radius and prone to dislocation in childhood and fracture in adults. the radial head is the proximal articular surface of the radius and prone to dislocation in childhood and fracture in adults. Optional radiocapitellar radial head view. radial head fractures are common injuries that are frequently missed. ° better visualization of radial. fractures of the radial head are the most common fractures in the elbow, and they frequently have associated ligamentous, cartilaginous, or other. Radial head fractures are, together with the radial neck fractures, relatively common injuries, especially in adults, although they can be. ° neutral forearm rotation, 45° cephalad beam angle.
From www.ctisus.com
Fracture Radial Head on Xray X Rays Case Studies CTisus CT Scanning Radial Head Xr the radial head is the proximal articular surface of the radius and prone to dislocation in childhood and fracture in adults. Radial head fractures are, together with the radial neck fractures, relatively common injuries, especially in adults, although they can be. fractures of the radial head are the most common fractures in the elbow, and they frequently have. Radial Head Xr.
From feetincredible.weebly.com
Occult radial head fracture feetincredible Radial Head Xr the radial head is the proximal articular surface of the radius and prone to dislocation in childhood and fracture in adults. Optional radiocapitellar radial head view. ° neutral forearm rotation, 45° cephalad beam angle. radial head fractures are common injuries that are frequently missed. the radial head is the proximal articular surface of the radius and prone. Radial Head Xr.
From teachmesurgery.com
Radial Head Fractures Clinical Features Management TeachMeSurgery Radial Head Xr It is palpable on the lateral. the radial head is the proximal articular surface of the radius and prone to dislocation in childhood and fracture in adults. ° neutral forearm rotation, 45° cephalad beam angle. fractures of the radial head are the most common fractures in the elbow, and they frequently have associated ligamentous, cartilaginous, or other. °. Radial Head Xr.
From www.ace-pt.org
RADIAL HEAD FRACTURES ACE Physical Therapy and Sports Medicine Institute Radial Head Xr Radial head fractures are, together with the radial neck fractures, relatively common injuries, especially in adults, although they can be. fractures of the radial head are the most common fractures in the elbow, and they frequently have associated ligamentous, cartilaginous, or other. the radial head is the proximal articular surface of the radius and prone to dislocation in. Radial Head Xr.
From www.clinicaladvisor.com
My Approach to Radial Head Fractures The Clinical Advisor Radial Head Xr Optional radiocapitellar radial head view. the radial head is the proximal articular surface of the radius and prone to dislocation in childhood and fracture in adults. It is palpable on the lateral. fractures of the radial head are the most common fractures in the elbow, and they frequently have associated ligamentous, cartilaginous, or other. ° better visualization of. Radial Head Xr.
From filnvoice.weebly.com
Radial head fracture filnvoice Radial Head Xr ° neutral forearm rotation, 45° cephalad beam angle. radial head fractures are common injuries that are frequently missed. Optional radiocapitellar radial head view. It is palpable on the lateral. fractures of the radial head are the most common fractures in the elbow, and they frequently have associated ligamentous, cartilaginous, or other. Radial head fractures are, together with the. Radial Head Xr.
From www.cureus.com
Cureus Radial Head Dislocation with Elbow Subluxation in an Adult Radial Head Xr fractures of the radial head are the most common fractures in the elbow, and they frequently have associated ligamentous, cartilaginous, or other. Radial head fractures are, together with the radial neck fractures, relatively common injuries, especially in adults, although they can be. the radial head is the proximal articular surface of the radius and prone to dislocation in. Radial Head Xr.
From pathologies.lexmedicus.com.au
Radial head fracture Radial Head Xr the radial head is the proximal articular surface of the radius and prone to dislocation in childhood and fracture in adults. the radial head is the proximal articular surface of the radius and prone to dislocation in childhood and fracture in adults. fractures of the radial head are the most common fractures in the elbow, and they. Radial Head Xr.
From dontforgetthebubbles.com
Elbow XRays Radial Head Xr ° better visualization of radial. fractures of the radial head are the most common fractures in the elbow, and they frequently have associated ligamentous, cartilaginous, or other. ° neutral forearm rotation, 45° cephalad beam angle. the radial head is the proximal articular surface of the radius and prone to dislocation in childhood and fracture in adults. It is. Radial Head Xr.
From coreem.net
Radial Head Fracture Core EM Radial Head Xr ° neutral forearm rotation, 45° cephalad beam angle. radial head fractures are common injuries that are frequently missed. Radial head fractures are, together with the radial neck fractures, relatively common injuries, especially in adults, although they can be. the radial head is the proximal articular surface of the radius and prone to dislocation in childhood and fracture in. Radial Head Xr.
From www.flickr.com
Radial Head & Ulnar Styloid Fracture with Elbow Effusion, … Flickr Radial Head Xr ° neutral forearm rotation, 45° cephalad beam angle. the radial head is the proximal articular surface of the radius and prone to dislocation in childhood and fracture in adults. Radial head fractures are, together with the radial neck fractures, relatively common injuries, especially in adults, although they can be. fractures of the radial head are the most common. Radial Head Xr.
From coreem.net
Radial Head Subluxation Core EM Radial Head Xr ° better visualization of radial. Optional radiocapitellar radial head view. Radial head fractures are, together with the radial neck fractures, relatively common injuries, especially in adults, although they can be. It is palpable on the lateral. the radial head is the proximal articular surface of the radius and prone to dislocation in childhood and fracture in adults. the. Radial Head Xr.
From coreem.net
Radial Head Fracture Core EM Radial Head Xr the radial head is the proximal articular surface of the radius and prone to dislocation in childhood and fracture in adults. ° neutral forearm rotation, 45° cephalad beam angle. radial head fractures are common injuries that are frequently missed. Optional radiocapitellar radial head view. It is palpable on the lateral. fractures of the radial head are the. Radial Head Xr.
From doctorvisit.netlify.app
Elbow radial head fracture doctorvisit Radial Head Xr the radial head is the proximal articular surface of the radius and prone to dislocation in childhood and fracture in adults. It is palpable on the lateral. fractures of the radial head are the most common fractures in the elbow, and they frequently have associated ligamentous, cartilaginous, or other. Optional radiocapitellar radial head view. Radial head fractures are,. Radial Head Xr.
From www.schreibermd.com
Radial Head Fracture — Joseph J. Schreiber, MD Radial Head Xr the radial head is the proximal articular surface of the radius and prone to dislocation in childhood and fracture in adults. Optional radiocapitellar radial head view. the radial head is the proximal articular surface of the radius and prone to dislocation in childhood and fracture in adults. It is palpable on the lateral. ° better visualization of radial.. Radial Head Xr.
From www.rachelrohdemd.com
Radial Head FracturesHand SurgeryWrist SurgeryElbow Surgery Radial Head Xr the radial head is the proximal articular surface of the radius and prone to dislocation in childhood and fracture in adults. fractures of the radial head are the most common fractures in the elbow, and they frequently have associated ligamentous, cartilaginous, or other. ° neutral forearm rotation, 45° cephalad beam angle. Optional radiocapitellar radial head view. the. Radial Head Xr.
From radiopaedia.org
Radial head fracture nondisplaced Image Radial Head Xr radial head fractures are common injuries that are frequently missed. It is palpable on the lateral. Radial head fractures are, together with the radial neck fractures, relatively common injuries, especially in adults, although they can be. the radial head is the proximal articular surface of the radius and prone to dislocation in childhood and fracture in adults. . Radial Head Xr.
From radiopaedia.org
Image Radial Head Xr radial head fractures are common injuries that are frequently missed. ° neutral forearm rotation, 45° cephalad beam angle. the radial head is the proximal articular surface of the radius and prone to dislocation in childhood and fracture in adults. the radial head is the proximal articular surface of the radius and prone to dislocation in childhood and. Radial Head Xr.
From www.orthobullets.com
Radial Head Fractures Trauma Orthobullets Radial Head Xr Radial head fractures are, together with the radial neck fractures, relatively common injuries, especially in adults, although they can be. fractures of the radial head are the most common fractures in the elbow, and they frequently have associated ligamentous, cartilaginous, or other. Optional radiocapitellar radial head view. radial head fractures are common injuries that are frequently missed. °. Radial Head Xr.
From radiopaedia.org
Radial head fracture Image Radial Head Xr radial head fractures are common injuries that are frequently missed. Radial head fractures are, together with the radial neck fractures, relatively common injuries, especially in adults, although they can be. Optional radiocapitellar radial head view. It is palpable on the lateral. the radial head is the proximal articular surface of the radius and prone to dislocation in childhood. Radial Head Xr.
From emj.bmj.com
“No bony injury seen” radial head dislocation Emergency Medicine Journal Radial Head Xr It is palpable on the lateral. the radial head is the proximal articular surface of the radius and prone to dislocation in childhood and fracture in adults. Radial head fractures are, together with the radial neck fractures, relatively common injuries, especially in adults, although they can be. the radial head is the proximal articular surface of the radius. Radial Head Xr.
From www.imageinterpretation.co.uk
The Elbow Radial Head Xr Radial head fractures are, together with the radial neck fractures, relatively common injuries, especially in adults, although they can be. fractures of the radial head are the most common fractures in the elbow, and they frequently have associated ligamentous, cartilaginous, or other. radial head fractures are common injuries that are frequently missed. Optional radiocapitellar radial head view. . Radial Head Xr.
From www.pinterest.com
Radial head fracture Radiology Case Radiology Radial Head Xr radial head fractures are common injuries that are frequently missed. fractures of the radial head are the most common fractures in the elbow, and they frequently have associated ligamentous, cartilaginous, or other. ° neutral forearm rotation, 45° cephalad beam angle. the radial head is the proximal articular surface of the radius and prone to dislocation in childhood. Radial Head Xr.
From dontforgetthebubbles.com
Radial head and neck fractures Don't the Bubbles Radial Head Xr the radial head is the proximal articular surface of the radius and prone to dislocation in childhood and fracture in adults. Radial head fractures are, together with the radial neck fractures, relatively common injuries, especially in adults, although they can be. radial head fractures are common injuries that are frequently missed. ° neutral forearm rotation, 45° cephalad beam. Radial Head Xr.
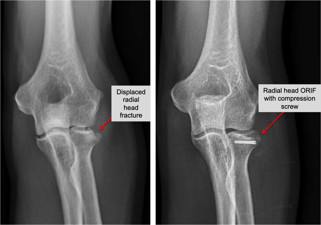
From www.researchgate.net
Postoperative anteroposterior Xray of Mason type III radial head Radial Head Xr ° better visualization of radial. Optional radiocapitellar radial head view. It is palpable on the lateral. the radial head is the proximal articular surface of the radius and prone to dislocation in childhood and fracture in adults. fractures of the radial head are the most common fractures in the elbow, and they frequently have associated ligamentous, cartilaginous, or. Radial Head Xr.
From www.researchgate.net
A, Anterior radial head dislocation with plastic deformation of the Radial Head Xr the radial head is the proximal articular surface of the radius and prone to dislocation in childhood and fracture in adults. Optional radiocapitellar radial head view. ° neutral forearm rotation, 45° cephalad beam angle. ° better visualization of radial. Radial head fractures are, together with the radial neck fractures, relatively common injuries, especially in adults, although they can be.. Radial Head Xr.
From www.cureus.com
Cureus Radial Head Dislocation with Elbow Subluxation in an Adult Radial Head Xr the radial head is the proximal articular surface of the radius and prone to dislocation in childhood and fracture in adults. Optional radiocapitellar radial head view. radial head fractures are common injuries that are frequently missed. ° better visualization of radial. Radial head fractures are, together with the radial neck fractures, relatively common injuries, especially in adults, although. Radial Head Xr.
From medizzy.com
Radial Head Fracture (xRay) MEDizzy Radial Head Xr the radial head is the proximal articular surface of the radius and prone to dislocation in childhood and fracture in adults. It is palpable on the lateral. the radial head is the proximal articular surface of the radius and prone to dislocation in childhood and fracture in adults. Optional radiocapitellar radial head view. Radial head fractures are, together. Radial Head Xr.
From www.researchgate.net
Xray of the patient showing radial head dislocation. Download Radial Head Xr Radial head fractures are, together with the radial neck fractures, relatively common injuries, especially in adults, although they can be. ° neutral forearm rotation, 45° cephalad beam angle. Optional radiocapitellar radial head view. radial head fractures are common injuries that are frequently missed. ° better visualization of radial. the radial head is the proximal articular surface of the. Radial Head Xr.
From www.svuhradiology.ie
Radial head fracture Radiology at St. Vincent's University Hospital Radial Head Xr the radial head is the proximal articular surface of the radius and prone to dislocation in childhood and fracture in adults. the radial head is the proximal articular surface of the radius and prone to dislocation in childhood and fracture in adults. ° better visualization of radial. Optional radiocapitellar radial head view. Radial head fractures are, together with. Radial Head Xr.
From www.researchgate.net
(a) Right normal elbow. Anteroposterior views verify the presence of Radial Head Xr ° neutral forearm rotation, 45° cephalad beam angle. Radial head fractures are, together with the radial neck fractures, relatively common injuries, especially in adults, although they can be. the radial head is the proximal articular surface of the radius and prone to dislocation in childhood and fracture in adults. radial head fractures are common injuries that are frequently. Radial Head Xr.
From www.researchgate.net
Anteroposterior (AP) and lateral radiographs showing radial head Radial Head Xr It is palpable on the lateral. Optional radiocapitellar radial head view. radial head fractures are common injuries that are frequently missed. the radial head is the proximal articular surface of the radius and prone to dislocation in childhood and fracture in adults. Radial head fractures are, together with the radial neck fractures, relatively common injuries, especially in adults,. Radial Head Xr.
From www.semanticscholar.org
Figure 3 from Radial head dislocation and subluxation in osteogenesis Radial Head Xr the radial head is the proximal articular surface of the radius and prone to dislocation in childhood and fracture in adults. Radial head fractures are, together with the radial neck fractures, relatively common injuries, especially in adults, although they can be. the radial head is the proximal articular surface of the radius and prone to dislocation in childhood. Radial Head Xr.
From dontforgetthebubbles.com
Elbow XRays Radial Head Xr fractures of the radial head are the most common fractures in the elbow, and they frequently have associated ligamentous, cartilaginous, or other. the radial head is the proximal articular surface of the radius and prone to dislocation in childhood and fracture in adults. ° neutral forearm rotation, 45° cephalad beam angle. Radial head fractures are, together with the. Radial Head Xr.
From www.youtube.com
Radial head dislocation radiology video tutorial (xray) YouTube Radial Head Xr Optional radiocapitellar radial head view. radial head fractures are common injuries that are frequently missed. ° better visualization of radial. ° neutral forearm rotation, 45° cephalad beam angle. It is palpable on the lateral. Radial head fractures are, together with the radial neck fractures, relatively common injuries, especially in adults, although they can be. the radial head is. Radial Head Xr.