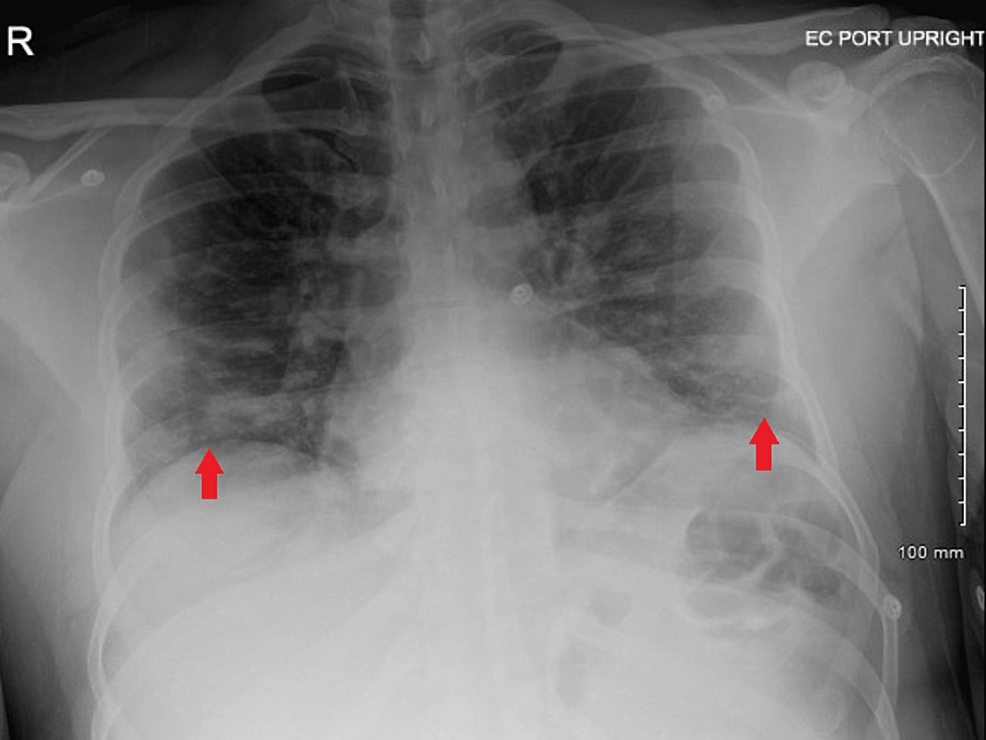
Chest X Ray Findings In Drowning . Patchy airspace opacification extending to pleural. Brain hypoxia manifest on ct by diffuse loss of. heart and mediastinal contours appear normal. it is thought to result from the inhalation of either fresh water or sea water resulting in lung damage and a ventilation. ap view of the chest demonstrates diffuse bilateral parenchymal opacities in the bilateral lungs, more confluent in the right.
from www.colegiosantainescampestre.edu.co
heart and mediastinal contours appear normal. Brain hypoxia manifest on ct by diffuse loss of. it is thought to result from the inhalation of either fresh water or sea water resulting in lung damage and a ventilation. ap view of the chest demonstrates diffuse bilateral parenchymal opacities in the bilateral lungs, more confluent in the right. Patchy airspace opacification extending to pleural.
Transfer Learning Exploits ChestXray To Diagnose COVID19, 48 OFF
Chest X Ray Findings In Drowning Brain hypoxia manifest on ct by diffuse loss of. ap view of the chest demonstrates diffuse bilateral parenchymal opacities in the bilateral lungs, more confluent in the right. Patchy airspace opacification extending to pleural. Brain hypoxia manifest on ct by diffuse loss of. it is thought to result from the inhalation of either fresh water or sea water resulting in lung damage and a ventilation. heart and mediastinal contours appear normal.
From www.atmasvasth.com
Chest Xray for Screening for Tuberculosis Chest X Ray Findings In Drowning ap view of the chest demonstrates diffuse bilateral parenchymal opacities in the bilateral lungs, more confluent in the right. heart and mediastinal contours appear normal. it is thought to result from the inhalation of either fresh water or sea water resulting in lung damage and a ventilation. Brain hypoxia manifest on ct by diffuse loss of. Patchy. Chest X Ray Findings In Drowning.
From www.cureus.com
Cureus Giant Bullous Emphysema Mimicking Spontaneous Pneumothorax Chest X Ray Findings In Drowning Patchy airspace opacification extending to pleural. heart and mediastinal contours appear normal. ap view of the chest demonstrates diffuse bilateral parenchymal opacities in the bilateral lungs, more confluent in the right. it is thought to result from the inhalation of either fresh water or sea water resulting in lung damage and a ventilation. Brain hypoxia manifest on. Chest X Ray Findings In Drowning.
From www.mdpi.com
Diagnostics Free FullText Chest Xray Interpretation Detecting Chest X Ray Findings In Drowning ap view of the chest demonstrates diffuse bilateral parenchymal opacities in the bilateral lungs, more confluent in the right. Brain hypoxia manifest on ct by diffuse loss of. it is thought to result from the inhalation of either fresh water or sea water resulting in lung damage and a ventilation. heart and mediastinal contours appear normal. Patchy. Chest X Ray Findings In Drowning.
From dxozkccud.blob.core.windows.net
Chest X Ray Images Pneumonia Dataset at Brenda Zastrow blog Chest X Ray Findings In Drowning it is thought to result from the inhalation of either fresh water or sea water resulting in lung damage and a ventilation. Patchy airspace opacification extending to pleural. ap view of the chest demonstrates diffuse bilateral parenchymal opacities in the bilateral lungs, more confluent in the right. heart and mediastinal contours appear normal. Brain hypoxia manifest on. Chest X Ray Findings In Drowning.
From www.robles.edu.gt
Chest Xray Findings Monitoring COVID19 Disease Course And, 50 OFF Chest X Ray Findings In Drowning heart and mediastinal contours appear normal. ap view of the chest demonstrates diffuse bilateral parenchymal opacities in the bilateral lungs, more confluent in the right. Patchy airspace opacification extending to pleural. it is thought to result from the inhalation of either fresh water or sea water resulting in lung damage and a ventilation. Brain hypoxia manifest on. Chest X Ray Findings In Drowning.
From smw.ch
Clinical course of COVID19 pneumonia in a patient undergoing Chest X Ray Findings In Drowning Brain hypoxia manifest on ct by diffuse loss of. heart and mediastinal contours appear normal. Patchy airspace opacification extending to pleural. it is thought to result from the inhalation of either fresh water or sea water resulting in lung damage and a ventilation. ap view of the chest demonstrates diffuse bilateral parenchymal opacities in the bilateral lungs,. Chest X Ray Findings In Drowning.
From medizzy.com
Chest x ray findings of mitral stenosis MEDizzy Chest X Ray Findings In Drowning Patchy airspace opacification extending to pleural. heart and mediastinal contours appear normal. Brain hypoxia manifest on ct by diffuse loss of. ap view of the chest demonstrates diffuse bilateral parenchymal opacities in the bilateral lungs, more confluent in the right. it is thought to result from the inhalation of either fresh water or sea water resulting in. Chest X Ray Findings In Drowning.
From reference.medscape.com
Chest XRays 16 Subtle But Key Findings You Need to Know Chest X Ray Findings In Drowning ap view of the chest demonstrates diffuse bilateral parenchymal opacities in the bilateral lungs, more confluent in the right. Patchy airspace opacification extending to pleural. Brain hypoxia manifest on ct by diffuse loss of. it is thought to result from the inhalation of either fresh water or sea water resulting in lung damage and a ventilation. heart. Chest X Ray Findings In Drowning.
From www.robles.edu.gt
Chest Xray Findings Monitoring COVID19 Disease Course And, 50 OFF Chest X Ray Findings In Drowning heart and mediastinal contours appear normal. it is thought to result from the inhalation of either fresh water or sea water resulting in lung damage and a ventilation. ap view of the chest demonstrates diffuse bilateral parenchymal opacities in the bilateral lungs, more confluent in the right. Patchy airspace opacification extending to pleural. Brain hypoxia manifest on. Chest X Ray Findings In Drowning.
From www.bmj.com
The role of chest radiography in confirming covid19 pneumonia The BMJ Chest X Ray Findings In Drowning Patchy airspace opacification extending to pleural. Brain hypoxia manifest on ct by diffuse loss of. it is thought to result from the inhalation of either fresh water or sea water resulting in lung damage and a ventilation. heart and mediastinal contours appear normal. ap view of the chest demonstrates diffuse bilateral parenchymal opacities in the bilateral lungs,. Chest X Ray Findings In Drowning.
From youtube.com
How to Interpret a Chest XRay (Lesson 10 Self Assessment) Part 1 Chest X Ray Findings In Drowning Brain hypoxia manifest on ct by diffuse loss of. heart and mediastinal contours appear normal. ap view of the chest demonstrates diffuse bilateral parenchymal opacities in the bilateral lungs, more confluent in the right. Patchy airspace opacification extending to pleural. it is thought to result from the inhalation of either fresh water or sea water resulting in. Chest X Ray Findings In Drowning.
From www.sexizpix.com
Postoperative Chest X Ray Shows Subcutaneous Emphysema Open I Sexiz Pix Chest X Ray Findings In Drowning Brain hypoxia manifest on ct by diffuse loss of. Patchy airspace opacification extending to pleural. ap view of the chest demonstrates diffuse bilateral parenchymal opacities in the bilateral lungs, more confluent in the right. heart and mediastinal contours appear normal. it is thought to result from the inhalation of either fresh water or sea water resulting in. Chest X Ray Findings In Drowning.
From www.verywellhealth.com
COVID19 (Coronavirus) Diagnosis, Chest Xray and CT Scan Chest X Ray Findings In Drowning it is thought to result from the inhalation of either fresh water or sea water resulting in lung damage and a ventilation. ap view of the chest demonstrates diffuse bilateral parenchymal opacities in the bilateral lungs, more confluent in the right. Brain hypoxia manifest on ct by diffuse loss of. heart and mediastinal contours appear normal. Patchy. Chest X Ray Findings In Drowning.
From reference.medscape.com
Chest XRays 16 Subtle But Key Findings You Need to Know Chest X Ray Findings In Drowning ap view of the chest demonstrates diffuse bilateral parenchymal opacities in the bilateral lungs, more confluent in the right. it is thought to result from the inhalation of either fresh water or sea water resulting in lung damage and a ventilation. Brain hypoxia manifest on ct by diffuse loss of. heart and mediastinal contours appear normal. Patchy. Chest X Ray Findings In Drowning.
From stanfordmimi.github.io
A visionlanguage foundation model for the generation of realistic Chest X Ray Findings In Drowning Brain hypoxia manifest on ct by diffuse loss of. it is thought to result from the inhalation of either fresh water or sea water resulting in lung damage and a ventilation. ap view of the chest demonstrates diffuse bilateral parenchymal opacities in the bilateral lungs, more confluent in the right. heart and mediastinal contours appear normal. Patchy. Chest X Ray Findings In Drowning.
From www.youtube.com
Chest XRay Lung Normal Vs Abnormal Image Appearances Part 1 TB Chest X Ray Findings In Drowning Patchy airspace opacification extending to pleural. ap view of the chest demonstrates diffuse bilateral parenchymal opacities in the bilateral lungs, more confluent in the right. heart and mediastinal contours appear normal. Brain hypoxia manifest on ct by diffuse loss of. it is thought to result from the inhalation of either fresh water or sea water resulting in. Chest X Ray Findings In Drowning.
From mavink.com
Common Chest X Ray Findings Chest X Ray Findings In Drowning heart and mediastinal contours appear normal. Patchy airspace opacification extending to pleural. ap view of the chest demonstrates diffuse bilateral parenchymal opacities in the bilateral lungs, more confluent in the right. it is thought to result from the inhalation of either fresh water or sea water resulting in lung damage and a ventilation. Brain hypoxia manifest on. Chest X Ray Findings In Drowning.
From www.researchgate.net
Clinical, laboratory, and chest Xray findings Download Scientific Chest X Ray Findings In Drowning ap view of the chest demonstrates diffuse bilateral parenchymal opacities in the bilateral lungs, more confluent in the right. it is thought to result from the inhalation of either fresh water or sea water resulting in lung damage and a ventilation. Patchy airspace opacification extending to pleural. heart and mediastinal contours appear normal. Brain hypoxia manifest on. Chest X Ray Findings In Drowning.
From ar.inspiredpencil.com
Pleural Effusion Chest Xray Chest X Ray Findings In Drowning ap view of the chest demonstrates diffuse bilateral parenchymal opacities in the bilateral lungs, more confluent in the right. it is thought to result from the inhalation of either fresh water or sea water resulting in lung damage and a ventilation. Brain hypoxia manifest on ct by diffuse loss of. heart and mediastinal contours appear normal. Patchy. Chest X Ray Findings In Drowning.
From www.researchgate.net
Chest Xray shows COVID19 related infiltrates in both lung fields and Chest X Ray Findings In Drowning heart and mediastinal contours appear normal. ap view of the chest demonstrates diffuse bilateral parenchymal opacities in the bilateral lungs, more confluent in the right. Brain hypoxia manifest on ct by diffuse loss of. it is thought to result from the inhalation of either fresh water or sea water resulting in lung damage and a ventilation. Patchy. Chest X Ray Findings In Drowning.
From mungfali.com
Normal Chest X Ray Lung Chest X Ray Findings In Drowning heart and mediastinal contours appear normal. Brain hypoxia manifest on ct by diffuse loss of. ap view of the chest demonstrates diffuse bilateral parenchymal opacities in the bilateral lungs, more confluent in the right. it is thought to result from the inhalation of either fresh water or sea water resulting in lung damage and a ventilation. Patchy. Chest X Ray Findings In Drowning.
From www.colegiosantainescampestre.edu.co
Transfer Learning Exploits ChestXray To Diagnose COVID19, 48 OFF Chest X Ray Findings In Drowning Patchy airspace opacification extending to pleural. ap view of the chest demonstrates diffuse bilateral parenchymal opacities in the bilateral lungs, more confluent in the right. heart and mediastinal contours appear normal. Brain hypoxia manifest on ct by diffuse loss of. it is thought to result from the inhalation of either fresh water or sea water resulting in. Chest X Ray Findings In Drowning.
From www.animalia-life.club
Chest Xray Cancer Chest X Ray Findings In Drowning it is thought to result from the inhalation of either fresh water or sea water resulting in lung damage and a ventilation. Patchy airspace opacification extending to pleural. ap view of the chest demonstrates diffuse bilateral parenchymal opacities in the bilateral lungs, more confluent in the right. Brain hypoxia manifest on ct by diffuse loss of. heart. Chest X Ray Findings In Drowning.
From www.vrogue.co
The Radiology Assistant Chest X Ray Heart Failure Lun vrogue.co Chest X Ray Findings In Drowning it is thought to result from the inhalation of either fresh water or sea water resulting in lung damage and a ventilation. Patchy airspace opacification extending to pleural. Brain hypoxia manifest on ct by diffuse loss of. heart and mediastinal contours appear normal. ap view of the chest demonstrates diffuse bilateral parenchymal opacities in the bilateral lungs,. Chest X Ray Findings In Drowning.
From www.cureus.com
Cureus COVID19 Infection as a Possible Cause of Ogilvie’s Syndrome Chest X Ray Findings In Drowning ap view of the chest demonstrates diffuse bilateral parenchymal opacities in the bilateral lungs, more confluent in the right. heart and mediastinal contours appear normal. Brain hypoxia manifest on ct by diffuse loss of. it is thought to result from the inhalation of either fresh water or sea water resulting in lung damage and a ventilation. Patchy. Chest X Ray Findings In Drowning.
From www.thenurseslab.com
Abnormal Chest Xray Interpretation Chest X Ray Findings In Drowning it is thought to result from the inhalation of either fresh water or sea water resulting in lung damage and a ventilation. Brain hypoxia manifest on ct by diffuse loss of. heart and mediastinal contours appear normal. Patchy airspace opacification extending to pleural. ap view of the chest demonstrates diffuse bilateral parenchymal opacities in the bilateral lungs,. Chest X Ray Findings In Drowning.
From pubs.rsna.org
Postoperative Imaging of Esophageal Cancer What Chest Radiologists Chest X Ray Findings In Drowning it is thought to result from the inhalation of either fresh water or sea water resulting in lung damage and a ventilation. ap view of the chest demonstrates diffuse bilateral parenchymal opacities in the bilateral lungs, more confluent in the right. heart and mediastinal contours appear normal. Brain hypoxia manifest on ct by diffuse loss of. Patchy. Chest X Ray Findings In Drowning.
From exoqxqbvp.blob.core.windows.net
What Do Chest X Rays Show at Tom Branch blog Chest X Ray Findings In Drowning Patchy airspace opacification extending to pleural. Brain hypoxia manifest on ct by diffuse loss of. it is thought to result from the inhalation of either fresh water or sea water resulting in lung damage and a ventilation. heart and mediastinal contours appear normal. ap view of the chest demonstrates diffuse bilateral parenchymal opacities in the bilateral lungs,. Chest X Ray Findings In Drowning.
From mungfali.com
Pneumonia Chest X Ray Findings Chest X Ray Findings In Drowning Patchy airspace opacification extending to pleural. it is thought to result from the inhalation of either fresh water or sea water resulting in lung damage and a ventilation. heart and mediastinal contours appear normal. ap view of the chest demonstrates diffuse bilateral parenchymal opacities in the bilateral lungs, more confluent in the right. Brain hypoxia manifest on. Chest X Ray Findings In Drowning.
From www.vrogue.co
Copd Findings On Posterior Anterior And Lateral Chest vrogue.co Chest X Ray Findings In Drowning Patchy airspace opacification extending to pleural. Brain hypoxia manifest on ct by diffuse loss of. it is thought to result from the inhalation of either fresh water or sea water resulting in lung damage and a ventilation. heart and mediastinal contours appear normal. ap view of the chest demonstrates diffuse bilateral parenchymal opacities in the bilateral lungs,. Chest X Ray Findings In Drowning.
From www.sciencephoto.com
Lung disease, Xray Stock Image M180/0144 Science Photo Library Chest X Ray Findings In Drowning ap view of the chest demonstrates diffuse bilateral parenchymal opacities in the bilateral lungs, more confluent in the right. Brain hypoxia manifest on ct by diffuse loss of. it is thought to result from the inhalation of either fresh water or sea water resulting in lung damage and a ventilation. Patchy airspace opacification extending to pleural. heart. Chest X Ray Findings In Drowning.
From www.researchgate.net
(a) Chest xray on admission. (b) Chest xray finding... Download Chest X Ray Findings In Drowning it is thought to result from the inhalation of either fresh water or sea water resulting in lung damage and a ventilation. heart and mediastinal contours appear normal. ap view of the chest demonstrates diffuse bilateral parenchymal opacities in the bilateral lungs, more confluent in the right. Patchy airspace opacification extending to pleural. Brain hypoxia manifest on. Chest X Ray Findings In Drowning.
From criticalcarecollaborative.com
Acute respiratory distress syndrome Chest X Ray Findings In Drowning it is thought to result from the inhalation of either fresh water or sea water resulting in lung damage and a ventilation. ap view of the chest demonstrates diffuse bilateral parenchymal opacities in the bilateral lungs, more confluent in the right. heart and mediastinal contours appear normal. Brain hypoxia manifest on ct by diffuse loss of. Patchy. Chest X Ray Findings In Drowning.
From www.researchgate.net
Chest Xray of congestive heart failure [14] Download Scientific Diagram Chest X Ray Findings In Drowning Patchy airspace opacification extending to pleural. heart and mediastinal contours appear normal. Brain hypoxia manifest on ct by diffuse loss of. it is thought to result from the inhalation of either fresh water or sea water resulting in lung damage and a ventilation. ap view of the chest demonstrates diffuse bilateral parenchymal opacities in the bilateral lungs,. Chest X Ray Findings In Drowning.
From ar.inspiredpencil.com
Abnormal Chest X Ray Tuberculosis Chest X Ray Findings In Drowning Brain hypoxia manifest on ct by diffuse loss of. ap view of the chest demonstrates diffuse bilateral parenchymal opacities in the bilateral lungs, more confluent in the right. heart and mediastinal contours appear normal. it is thought to result from the inhalation of either fresh water or sea water resulting in lung damage and a ventilation. Patchy. Chest X Ray Findings In Drowning.