Type Ic Choledochal Cyst . A choledochal cyst (cc) or biliary cyst is a congenital or acquired anomaly affecting the biliary tree. Characterized by fusiform dilation of the extrahepatic bile duct. Choledochal cyst is a congenital cystic dilation of a part of bile duct that occurs most commonly in the main part of common. Type i cysts are a dilatation of the extrahepatic bile duct. Biliary cysts, also termed choledochal malformations, are cystic dilations that may occur singly or in multiples throughout.
from www.videogie.org
A choledochal cyst (cc) or biliary cyst is a congenital or acquired anomaly affecting the biliary tree. Choledochal cyst is a congenital cystic dilation of a part of bile duct that occurs most commonly in the main part of common. Type i cysts are a dilatation of the extrahepatic bile duct. Characterized by fusiform dilation of the extrahepatic bile duct. Biliary cysts, also termed choledochal malformations, are cystic dilations that may occur singly or in multiples throughout.
EUS diagnosis of asymptomatic type III choledochal cyst VideoGIE
Type Ic Choledochal Cyst A choledochal cyst (cc) or biliary cyst is a congenital or acquired anomaly affecting the biliary tree. Biliary cysts, also termed choledochal malformations, are cystic dilations that may occur singly or in multiples throughout. A choledochal cyst (cc) or biliary cyst is a congenital or acquired anomaly affecting the biliary tree. Type i cysts are a dilatation of the extrahepatic bile duct. Choledochal cyst is a congenital cystic dilation of a part of bile duct that occurs most commonly in the main part of common. Characterized by fusiform dilation of the extrahepatic bile duct.
From mricases.blogspot.com
mricases Choledochal cyst Type IV MRI features Type Ic Choledochal Cyst Type i cysts are a dilatation of the extrahepatic bile duct. A choledochal cyst (cc) or biliary cyst is a congenital or acquired anomaly affecting the biliary tree. Characterized by fusiform dilation of the extrahepatic bile duct. Biliary cysts, also termed choledochal malformations, are cystic dilations that may occur singly or in multiples throughout. Choledochal cyst is a congenital cystic. Type Ic Choledochal Cyst.
From www.cureus.com
Cureus A New Variant of Choledochal CystType 6B Type Ic Choledochal Cyst Choledochal cyst is a congenital cystic dilation of a part of bile duct that occurs most commonly in the main part of common. Biliary cysts, also termed choledochal malformations, are cystic dilations that may occur singly or in multiples throughout. A choledochal cyst (cc) or biliary cyst is a congenital or acquired anomaly affecting the biliary tree. Type i cysts. Type Ic Choledochal Cyst.
From radiopaedia.org
Choledochal cyst type Ic (MRCP) Image Type Ic Choledochal Cyst Type i cysts are a dilatation of the extrahepatic bile duct. A choledochal cyst (cc) or biliary cyst is a congenital or acquired anomaly affecting the biliary tree. Choledochal cyst is a congenital cystic dilation of a part of bile duct that occurs most commonly in the main part of common. Characterized by fusiform dilation of the extrahepatic bile duct.. Type Ic Choledochal Cyst.
From www.yogavanahill.com
Type 4 (A) Choledochal Cysts Type Ic Choledochal Cyst Choledochal cyst is a congenital cystic dilation of a part of bile duct that occurs most commonly in the main part of common. Biliary cysts, also termed choledochal malformations, are cystic dilations that may occur singly or in multiples throughout. Type i cysts are a dilatation of the extrahepatic bile duct. Characterized by fusiform dilation of the extrahepatic bile duct.. Type Ic Choledochal Cyst.
From www.researchgate.net
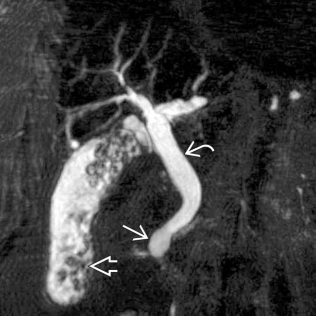
67 year old with Type 1C Choledochal Cyst 3d MRCP Images showing Type Ic Choledochal Cyst A choledochal cyst (cc) or biliary cyst is a congenital or acquired anomaly affecting the biliary tree. Characterized by fusiform dilation of the extrahepatic bile duct. Type i cysts are a dilatation of the extrahepatic bile duct. Choledochal cyst is a congenital cystic dilation of a part of bile duct that occurs most commonly in the main part of common.. Type Ic Choledochal Cyst.
From www.researchgate.net
Choledocal cyst (type Ic). 3D MRCP Maximun Intensity Projection Type Ic Choledochal Cyst Characterized by fusiform dilation of the extrahepatic bile duct. Type i cysts are a dilatation of the extrahepatic bile duct. Biliary cysts, also termed choledochal malformations, are cystic dilations that may occur singly or in multiples throughout. A choledochal cyst (cc) or biliary cyst is a congenital or acquired anomaly affecting the biliary tree. Choledochal cyst is a congenital cystic. Type Ic Choledochal Cyst.
From suredevelopersteam.blogspot.com
Choledochal cyst Sure Developers Team Type Ic Choledochal Cyst Biliary cysts, also termed choledochal malformations, are cystic dilations that may occur singly or in multiples throughout. A choledochal cyst (cc) or biliary cyst is a congenital or acquired anomaly affecting the biliary tree. Choledochal cyst is a congenital cystic dilation of a part of bile duct that occurs most commonly in the main part of common. Type i cysts. Type Ic Choledochal Cyst.
From www.fetalultrasound.com
Ultrasound / Classification of Choledochal Cyst Type Ic Choledochal Cyst Choledochal cyst is a congenital cystic dilation of a part of bile duct that occurs most commonly in the main part of common. Biliary cysts, also termed choledochal malformations, are cystic dilations that may occur singly or in multiples throughout. Type i cysts are a dilatation of the extrahepatic bile duct. A choledochal cyst (cc) or biliary cyst is a. Type Ic Choledochal Cyst.
From medicolearning.com
Choledochal Cyst MedicoLearning Type Ic Choledochal Cyst Characterized by fusiform dilation of the extrahepatic bile duct. Biliary cysts, also termed choledochal malformations, are cystic dilations that may occur singly or in multiples throughout. A choledochal cyst (cc) or biliary cyst is a congenital or acquired anomaly affecting the biliary tree. Type i cysts are a dilatation of the extrahepatic bile duct. Choledochal cyst is a congenital cystic. Type Ic Choledochal Cyst.
From britishlivertrust.org.uk
Choledochal cysts British Liver Trust Type Ic Choledochal Cyst Type i cysts are a dilatation of the extrahepatic bile duct. A choledochal cyst (cc) or biliary cyst is a congenital or acquired anomaly affecting the biliary tree. Choledochal cyst is a congenital cystic dilation of a part of bile duct that occurs most commonly in the main part of common. Biliary cysts, also termed choledochal malformations, are cystic dilations. Type Ic Choledochal Cyst.
From www.mdpi.com
Diagnostics Free FullText The Curious Case of the Choledochal Cyst Type Ic Choledochal Cyst Choledochal cyst is a congenital cystic dilation of a part of bile duct that occurs most commonly in the main part of common. A choledochal cyst (cc) or biliary cyst is a congenital or acquired anomaly affecting the biliary tree. Biliary cysts, also termed choledochal malformations, are cystic dilations that may occur singly or in multiples throughout. Characterized by fusiform. Type Ic Choledochal Cyst.
From sonographictendencies.com
Choledochal Cyst Sonographic Tendencies Type Ic Choledochal Cyst Choledochal cyst is a congenital cystic dilation of a part of bile duct that occurs most commonly in the main part of common. Characterized by fusiform dilation of the extrahepatic bile duct. Type i cysts are a dilatation of the extrahepatic bile duct. Biliary cysts, also termed choledochal malformations, are cystic dilations that may occur singly or in multiples throughout.. Type Ic Choledochal Cyst.
From radiologykey.com
Choledochal Cyst Radiology Key Type Ic Choledochal Cyst Biliary cysts, also termed choledochal malformations, are cystic dilations that may occur singly or in multiples throughout. A choledochal cyst (cc) or biliary cyst is a congenital or acquired anomaly affecting the biliary tree. Choledochal cyst is a congenital cystic dilation of a part of bile duct that occurs most commonly in the main part of common. Type i cysts. Type Ic Choledochal Cyst.
From mricases.blogspot.com
mricases Choledochal cyst Type IV MRI features Type Ic Choledochal Cyst A choledochal cyst (cc) or biliary cyst is a congenital or acquired anomaly affecting the biliary tree. Biliary cysts, also termed choledochal malformations, are cystic dilations that may occur singly or in multiples throughout. Type i cysts are a dilatation of the extrahepatic bile duct. Choledochal cyst is a congenital cystic dilation of a part of bile duct that occurs. Type Ic Choledochal Cyst.
From healthjade.net
Choledochal cyst types, causes, symptoms, diagnosis & treatment Type Ic Choledochal Cyst A choledochal cyst (cc) or biliary cyst is a congenital or acquired anomaly affecting the biliary tree. Type i cysts are a dilatation of the extrahepatic bile duct. Biliary cysts, also termed choledochal malformations, are cystic dilations that may occur singly or in multiples throughout. Choledochal cyst is a congenital cystic dilation of a part of bile duct that occurs. Type Ic Choledochal Cyst.
From www.cureus.com
Cureus Choledochal Cyst A Retrospective Study of 30 Cases From Nepal Type Ic Choledochal Cyst Type i cysts are a dilatation of the extrahepatic bile duct. Choledochal cyst is a congenital cystic dilation of a part of bile duct that occurs most commonly in the main part of common. Characterized by fusiform dilation of the extrahepatic bile duct. A choledochal cyst (cc) or biliary cyst is a congenital or acquired anomaly affecting the biliary tree.. Type Ic Choledochal Cyst.
From article.sapub.org
Type IvA Choledochal CystA Case Report Type Ic Choledochal Cyst Choledochal cyst is a congenital cystic dilation of a part of bile duct that occurs most commonly in the main part of common. Type i cysts are a dilatation of the extrahepatic bile duct. Biliary cysts, also termed choledochal malformations, are cystic dilations that may occur singly or in multiples throughout. Characterized by fusiform dilation of the extrahepatic bile duct.. Type Ic Choledochal Cyst.
From www.pinterest.co.kr
choledochal cysts Todani classification (modified Alonso Lej) IOC Type Ic Choledochal Cyst Choledochal cyst is a congenital cystic dilation of a part of bile duct that occurs most commonly in the main part of common. Type i cysts are a dilatation of the extrahepatic bile duct. A choledochal cyst (cc) or biliary cyst is a congenital or acquired anomaly affecting the biliary tree. Biliary cysts, also termed choledochal malformations, are cystic dilations. Type Ic Choledochal Cyst.
From www.researchgate.net
MRCP showing a type I choledochal cyst with a dilated main pancreatic Type Ic Choledochal Cyst Type i cysts are a dilatation of the extrahepatic bile duct. Biliary cysts, also termed choledochal malformations, are cystic dilations that may occur singly or in multiples throughout. A choledochal cyst (cc) or biliary cyst is a congenital or acquired anomaly affecting the biliary tree. Choledochal cyst is a congenital cystic dilation of a part of bile duct that occurs. Type Ic Choledochal Cyst.
From healthjade.net
Choledochal cyst types, causes, symptoms, diagnosis & treatment Type Ic Choledochal Cyst Characterized by fusiform dilation of the extrahepatic bile duct. Type i cysts are a dilatation of the extrahepatic bile duct. Biliary cysts, also termed choledochal malformations, are cystic dilations that may occur singly or in multiples throughout. Choledochal cyst is a congenital cystic dilation of a part of bile duct that occurs most commonly in the main part of common.. Type Ic Choledochal Cyst.
From www.researchgate.net
MRCP showing a type Ic choledochal cyst with a dilated pancreatic duct Type Ic Choledochal Cyst Characterized by fusiform dilation of the extrahepatic bile duct. Biliary cysts, also termed choledochal malformations, are cystic dilations that may occur singly or in multiples throughout. Choledochal cyst is a congenital cystic dilation of a part of bile duct that occurs most commonly in the main part of common. Type i cysts are a dilatation of the extrahepatic bile duct.. Type Ic Choledochal Cyst.
From www.youtube.com
What is a choledochal cyst? YouTube Type Ic Choledochal Cyst Characterized by fusiform dilation of the extrahepatic bile duct. Biliary cysts, also termed choledochal malformations, are cystic dilations that may occur singly or in multiples throughout. Type i cysts are a dilatation of the extrahepatic bile duct. Choledochal cyst is a congenital cystic dilation of a part of bile duct that occurs most commonly in the main part of common.. Type Ic Choledochal Cyst.
From www.cureus.com
Cureus Choledochal Cyst A Retrospective Study of 30 Cases From Nepal Type Ic Choledochal Cyst Characterized by fusiform dilation of the extrahepatic bile duct. Choledochal cyst is a congenital cystic dilation of a part of bile duct that occurs most commonly in the main part of common. A choledochal cyst (cc) or biliary cyst is a congenital or acquired anomaly affecting the biliary tree. Type i cysts are a dilatation of the extrahepatic bile duct.. Type Ic Choledochal Cyst.
From sonographictendencies.com
Choledochal Cyst Sonographic Tendencies Type Ic Choledochal Cyst Biliary cysts, also termed choledochal malformations, are cystic dilations that may occur singly or in multiples throughout. Characterized by fusiform dilation of the extrahepatic bile duct. Choledochal cyst is a congenital cystic dilation of a part of bile duct that occurs most commonly in the main part of common. A choledochal cyst (cc) or biliary cyst is a congenital or. Type Ic Choledochal Cyst.
From radiologykey.com
Choledochal Cyst Radiology Key Type Ic Choledochal Cyst Biliary cysts, also termed choledochal malformations, are cystic dilations that may occur singly or in multiples throughout. Choledochal cyst is a congenital cystic dilation of a part of bile duct that occurs most commonly in the main part of common. Type i cysts are a dilatation of the extrahepatic bile duct. Characterized by fusiform dilation of the extrahepatic bile duct.. Type Ic Choledochal Cyst.
From sonographictendencies.com
Choledochal Cyst Sonographic Tendencies Type Ic Choledochal Cyst A choledochal cyst (cc) or biliary cyst is a congenital or acquired anomaly affecting the biliary tree. Type i cysts are a dilatation of the extrahepatic bile duct. Biliary cysts, also termed choledochal malformations, are cystic dilations that may occur singly or in multiples throughout. Characterized by fusiform dilation of the extrahepatic bile duct. Choledochal cyst is a congenital cystic. Type Ic Choledochal Cyst.
From www.videogie.org
EUS diagnosis of asymptomatic type III choledochal cyst VideoGIE Type Ic Choledochal Cyst Biliary cysts, also termed choledochal malformations, are cystic dilations that may occur singly or in multiples throughout. Characterized by fusiform dilation of the extrahepatic bile duct. Choledochal cyst is a congenital cystic dilation of a part of bile duct that occurs most commonly in the main part of common. Type i cysts are a dilatation of the extrahepatic bile duct.. Type Ic Choledochal Cyst.
From radiologykey.com
Choledochal Cyst Radiology Key Type Ic Choledochal Cyst Characterized by fusiform dilation of the extrahepatic bile duct. A choledochal cyst (cc) or biliary cyst is a congenital or acquired anomaly affecting the biliary tree. Biliary cysts, also termed choledochal malformations, are cystic dilations that may occur singly or in multiples throughout. Type i cysts are a dilatation of the extrahepatic bile duct. Choledochal cyst is a congenital cystic. Type Ic Choledochal Cyst.
From www.fetalultrasound.com
Ultrasound / Classification of Choledochal Cyst Type Ic Choledochal Cyst A choledochal cyst (cc) or biliary cyst is a congenital or acquired anomaly affecting the biliary tree. Choledochal cyst is a congenital cystic dilation of a part of bile duct that occurs most commonly in the main part of common. Type i cysts are a dilatation of the extrahepatic bile duct. Characterized by fusiform dilation of the extrahepatic bile duct.. Type Ic Choledochal Cyst.
From radiographia.info
Кисты холедоха (общего желчного протока) Type Ic Choledochal Cyst Type i cysts are a dilatation of the extrahepatic bile duct. A choledochal cyst (cc) or biliary cyst is a congenital or acquired anomaly affecting the biliary tree. Choledochal cyst is a congenital cystic dilation of a part of bile duct that occurs most commonly in the main part of common. Characterized by fusiform dilation of the extrahepatic bile duct.. Type Ic Choledochal Cyst.
From www.fetalultrasound.com
Ultrasound / Classification of Choledochal Cyst Type Ic Choledochal Cyst Characterized by fusiform dilation of the extrahepatic bile duct. Type i cysts are a dilatation of the extrahepatic bile duct. Choledochal cyst is a congenital cystic dilation of a part of bile duct that occurs most commonly in the main part of common. Biliary cysts, also termed choledochal malformations, are cystic dilations that may occur singly or in multiples throughout.. Type Ic Choledochal Cyst.
From www.primescholars.com
Choledochal Cysts with Chronic Pancreatitis in Adults Report of Type Ic Choledochal Cyst Choledochal cyst is a congenital cystic dilation of a part of bile duct that occurs most commonly in the main part of common. A choledochal cyst (cc) or biliary cyst is a congenital or acquired anomaly affecting the biliary tree. Type i cysts are a dilatation of the extrahepatic bile duct. Characterized by fusiform dilation of the extrahepatic bile duct.. Type Ic Choledochal Cyst.
From radiopaedia.org
Choledochal cyst type Ic (MRCP) Image Type Ic Choledochal Cyst A choledochal cyst (cc) or biliary cyst is a congenital or acquired anomaly affecting the biliary tree. Biliary cysts, also termed choledochal malformations, are cystic dilations that may occur singly or in multiples throughout. Choledochal cyst is a congenital cystic dilation of a part of bile duct that occurs most commonly in the main part of common. Type i cysts. Type Ic Choledochal Cyst.
From www.researchgate.net
type of choledochal cyst a type Ia; c type Ic; e type IVa Download Type Ic Choledochal Cyst Characterized by fusiform dilation of the extrahepatic bile duct. Choledochal cyst is a congenital cystic dilation of a part of bile duct that occurs most commonly in the main part of common. Type i cysts are a dilatation of the extrahepatic bile duct. A choledochal cyst (cc) or biliary cyst is a congenital or acquired anomaly affecting the biliary tree.. Type Ic Choledochal Cyst.
From www.researchgate.net
Choledochal cyst Type Ic a fusiform dilatation (arrow) in the common Type Ic Choledochal Cyst A choledochal cyst (cc) or biliary cyst is a congenital or acquired anomaly affecting the biliary tree. Type i cysts are a dilatation of the extrahepatic bile duct. Biliary cysts, also termed choledochal malformations, are cystic dilations that may occur singly or in multiples throughout. Choledochal cyst is a congenital cystic dilation of a part of bile duct that occurs. Type Ic Choledochal Cyst.