Rib Fracture Lung Contusion . This document provides a framework for the assessment and management of adult patients with rib fractures at imperial college healthcare nhs. Pulmonary contusion is a common and potentially lethal chest injury that results from significant blunt or penetrating chest trauma. Find out when to seek medical. Learn how to recognise and treat cracked ribs, which are usually caused by a fall, a blow to the chest or severe coughing. Learn how to assess and manage thoracic trauma, including contusion, pneumothorax, hemothorax, flail chest, cardiac tamponade and more. Injury to the lung parenchyma can result from blunt or penetrating trauma mechanisms. We hypothesized that among patients with rib fractures, there is a stepwise increase in risk of pulmonary complications and mortality among patients without, with unilateral, and with bilateral. Learn about the causes, symptoms, diagnosis, and treatment of rib fractures, which are common injuries from blunt trauma or repetitive. Causes of pulmonary contusion include motorized.
from www.ctisus.com
Injury to the lung parenchyma can result from blunt or penetrating trauma mechanisms. We hypothesized that among patients with rib fractures, there is a stepwise increase in risk of pulmonary complications and mortality among patients without, with unilateral, and with bilateral. This document provides a framework for the assessment and management of adult patients with rib fractures at imperial college healthcare nhs. Find out when to seek medical. Causes of pulmonary contusion include motorized. Learn how to recognise and treat cracked ribs, which are usually caused by a fall, a blow to the chest or severe coughing. Learn about the causes, symptoms, diagnosis, and treatment of rib fractures, which are common injuries from blunt trauma or repetitive. Learn how to assess and manage thoracic trauma, including contusion, pneumothorax, hemothorax, flail chest, cardiac tamponade and more. Pulmonary contusion is a common and potentially lethal chest injury that results from significant blunt or penetrating chest trauma.
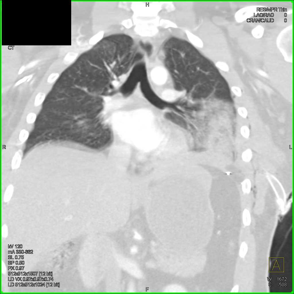
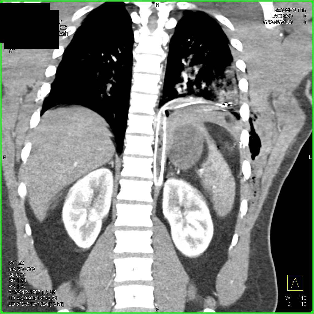
Trauma with Pulmonary Contusion and Rib Fractures Trauma Case Studies
Rib Fracture Lung Contusion We hypothesized that among patients with rib fractures, there is a stepwise increase in risk of pulmonary complications and mortality among patients without, with unilateral, and with bilateral. Find out when to seek medical. Learn how to assess and manage thoracic trauma, including contusion, pneumothorax, hemothorax, flail chest, cardiac tamponade and more. Injury to the lung parenchyma can result from blunt or penetrating trauma mechanisms. Learn how to recognise and treat cracked ribs, which are usually caused by a fall, a blow to the chest or severe coughing. Learn about the causes, symptoms, diagnosis, and treatment of rib fractures, which are common injuries from blunt trauma or repetitive. Pulmonary contusion is a common and potentially lethal chest injury that results from significant blunt or penetrating chest trauma. We hypothesized that among patients with rib fractures, there is a stepwise increase in risk of pulmonary complications and mortality among patients without, with unilateral, and with bilateral. This document provides a framework for the assessment and management of adult patients with rib fractures at imperial college healthcare nhs. Causes of pulmonary contusion include motorized.
From atlas.mudr.org
Radiology case Rib fracture, lung contusion, hematoma, pneumothorax Rib Fracture Lung Contusion Find out when to seek medical. Learn how to assess and manage thoracic trauma, including contusion, pneumothorax, hemothorax, flail chest, cardiac tamponade and more. Injury to the lung parenchyma can result from blunt or penetrating trauma mechanisms. Causes of pulmonary contusion include motorized. We hypothesized that among patients with rib fractures, there is a stepwise increase in risk of pulmonary. Rib Fracture Lung Contusion.
From www.ctisus.com
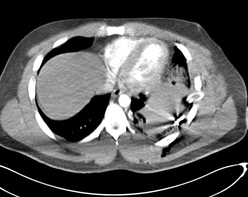
Trauma with Multiple Left Rib Fractures and Pulmonary Contusion Rib Fracture Lung Contusion Injury to the lung parenchyma can result from blunt or penetrating trauma mechanisms. This document provides a framework for the assessment and management of adult patients with rib fractures at imperial college healthcare nhs. Find out when to seek medical. We hypothesized that among patients with rib fractures, there is a stepwise increase in risk of pulmonary complications and mortality. Rib Fracture Lung Contusion.
From en.wikipedia.org
Rib fracture Wikipedia Rib Fracture Lung Contusion Causes of pulmonary contusion include motorized. Learn how to recognise and treat cracked ribs, which are usually caused by a fall, a blow to the chest or severe coughing. We hypothesized that among patients with rib fractures, there is a stepwise increase in risk of pulmonary complications and mortality among patients without, with unilateral, and with bilateral. Pulmonary contusion is. Rib Fracture Lung Contusion.
From www.verywellhealth.com
Dealing with Rib Fractures Rib Fracture Lung Contusion Learn about the causes, symptoms, diagnosis, and treatment of rib fractures, which are common injuries from blunt trauma or repetitive. Learn how to assess and manage thoracic trauma, including contusion, pneumothorax, hemothorax, flail chest, cardiac tamponade and more. Find out when to seek medical. This document provides a framework for the assessment and management of adult patients with rib fractures. Rib Fracture Lung Contusion.
From www.researchgate.net
Chest xray showing multiple rib fractures from child abuse. Fractures Rib Fracture Lung Contusion We hypothesized that among patients with rib fractures, there is a stepwise increase in risk of pulmonary complications and mortality among patients without, with unilateral, and with bilateral. Learn how to assess and manage thoracic trauma, including contusion, pneumothorax, hemothorax, flail chest, cardiac tamponade and more. Learn how to recognise and treat cracked ribs, which are usually caused by a. Rib Fracture Lung Contusion.
From www.americanjournalofsurgery.com
Pulmonary contusions in patients with rib fractures The need to better Rib Fracture Lung Contusion Find out when to seek medical. This document provides a framework for the assessment and management of adult patients with rib fractures at imperial college healthcare nhs. Learn how to recognise and treat cracked ribs, which are usually caused by a fall, a blow to the chest or severe coughing. Causes of pulmonary contusion include motorized. We hypothesized that among. Rib Fracture Lung Contusion.
From www.ctisus.com
Trauma with Multiple Left Rib Fractures and Pulmonary Contusion Rib Fracture Lung Contusion Learn about the causes, symptoms, diagnosis, and treatment of rib fractures, which are common injuries from blunt trauma or repetitive. Learn how to assess and manage thoracic trauma, including contusion, pneumothorax, hemothorax, flail chest, cardiac tamponade and more. We hypothesized that among patients with rib fractures, there is a stepwise increase in risk of pulmonary complications and mortality among patients. Rib Fracture Lung Contusion.
From www.researchgate.net
Chest CT in axial crosssection showing rightsided rib fractures (A Rib Fracture Lung Contusion Learn how to recognise and treat cracked ribs, which are usually caused by a fall, a blow to the chest or severe coughing. We hypothesized that among patients with rib fractures, there is a stepwise increase in risk of pulmonary complications and mortality among patients without, with unilateral, and with bilateral. This document provides a framework for the assessment and. Rib Fracture Lung Contusion.
From www.youtube.com
rib fracture flail chest pulmonary contusion respiratory system Rib Fracture Lung Contusion Learn how to recognise and treat cracked ribs, which are usually caused by a fall, a blow to the chest or severe coughing. Find out when to seek medical. Injury to the lung parenchyma can result from blunt or penetrating trauma mechanisms. This document provides a framework for the assessment and management of adult patients with rib fractures at imperial. Rib Fracture Lung Contusion.
From www.ctisus.com
Trauma with Multiple Left Rib Fractures and Pulmonary Contusion Rib Fracture Lung Contusion Find out when to seek medical. This document provides a framework for the assessment and management of adult patients with rib fractures at imperial college healthcare nhs. Causes of pulmonary contusion include motorized. Learn about the causes, symptoms, diagnosis, and treatment of rib fractures, which are common injuries from blunt trauma or repetitive. We hypothesized that among patients with rib. Rib Fracture Lung Contusion.
From pediatricimaging.org
Pediatric Rib Fracture Pediatric Radiology Reference Article Rib Fracture Lung Contusion Injury to the lung parenchyma can result from blunt or penetrating trauma mechanisms. Causes of pulmonary contusion include motorized. Learn about the causes, symptoms, diagnosis, and treatment of rib fractures, which are common injuries from blunt trauma or repetitive. Learn how to recognise and treat cracked ribs, which are usually caused by a fall, a blow to the chest or. Rib Fracture Lung Contusion.
From www.dreamstime.com
Chest Xray Film of a Patient with Multiple Rib Fractures Stock Photo Rib Fracture Lung Contusion This document provides a framework for the assessment and management of adult patients with rib fractures at imperial college healthcare nhs. Pulmonary contusion is a common and potentially lethal chest injury that results from significant blunt or penetrating chest trauma. Find out when to seek medical. Causes of pulmonary contusion include motorized. Learn about the causes, symptoms, diagnosis, and treatment. Rib Fracture Lung Contusion.
From www.ctisus.com
Trauma with Pulmonary Contusion and Rib Fractures Trauma Case Studies Rib Fracture Lung Contusion Learn about the causes, symptoms, diagnosis, and treatment of rib fractures, which are common injuries from blunt trauma or repetitive. This document provides a framework for the assessment and management of adult patients with rib fractures at imperial college healthcare nhs. Learn how to recognise and treat cracked ribs, which are usually caused by a fall, a blow to the. Rib Fracture Lung Contusion.
From www.researchgate.net
The followup chest CT of a multiple rib fractures with Rib Fracture Lung Contusion Learn about the causes, symptoms, diagnosis, and treatment of rib fractures, which are common injuries from blunt trauma or repetitive. Learn how to assess and manage thoracic trauma, including contusion, pneumothorax, hemothorax, flail chest, cardiac tamponade and more. We hypothesized that among patients with rib fractures, there is a stepwise increase in risk of pulmonary complications and mortality among patients. Rib Fracture Lung Contusion.
From www.researchgate.net
chest Xray after rib fixation. Download Scientific Diagram Rib Fracture Lung Contusion Causes of pulmonary contusion include motorized. Learn how to recognise and treat cracked ribs, which are usually caused by a fall, a blow to the chest or severe coughing. Injury to the lung parenchyma can result from blunt or penetrating trauma mechanisms. Find out when to seek medical. This document provides a framework for the assessment and management of adult. Rib Fracture Lung Contusion.
From www.flickr.com
858.1 Rib fractures and lung contusions left 1 Flickr Rib Fracture Lung Contusion This document provides a framework for the assessment and management of adult patients with rib fractures at imperial college healthcare nhs. Injury to the lung parenchyma can result from blunt or penetrating trauma mechanisms. Learn how to recognise and treat cracked ribs, which are usually caused by a fall, a blow to the chest or severe coughing. Find out when. Rib Fracture Lung Contusion.
From radiopaedia.org
Rib fracture on ultrasound Image Rib Fracture Lung Contusion Injury to the lung parenchyma can result from blunt or penetrating trauma mechanisms. Learn how to assess and manage thoracic trauma, including contusion, pneumothorax, hemothorax, flail chest, cardiac tamponade and more. Learn about the causes, symptoms, diagnosis, and treatment of rib fractures, which are common injuries from blunt trauma or repetitive. Learn how to recognise and treat cracked ribs, which. Rib Fracture Lung Contusion.
From radiopaedia.org
Multiple pulmonary contusions and rib fractures in a trauma patient Rib Fracture Lung Contusion Find out when to seek medical. Learn how to recognise and treat cracked ribs, which are usually caused by a fall, a blow to the chest or severe coughing. Learn about the causes, symptoms, diagnosis, and treatment of rib fractures, which are common injuries from blunt trauma or repetitive. Injury to the lung parenchyma can result from blunt or penetrating. Rib Fracture Lung Contusion.
From www.learningradiology.com
LearningRadiology Rib Fracture Lung Contusion This document provides a framework for the assessment and management of adult patients with rib fractures at imperial college healthcare nhs. Learn how to assess and manage thoracic trauma, including contusion, pneumothorax, hemothorax, flail chest, cardiac tamponade and more. We hypothesized that among patients with rib fractures, there is a stepwise increase in risk of pulmonary complications and mortality among. Rib Fracture Lung Contusion.
From www.alilamedicalmedia.com
Alila Medical Media Rib fracture with pulmonary contusion Medical Rib Fracture Lung Contusion This document provides a framework for the assessment and management of adult patients with rib fractures at imperial college healthcare nhs. Find out when to seek medical. We hypothesized that among patients with rib fractures, there is a stepwise increase in risk of pulmonary complications and mortality among patients without, with unilateral, and with bilateral. Learn how to assess and. Rib Fracture Lung Contusion.
From www.ctisus.com
Trauma with Multiple Left Rib Fractures and Pulmonary Contusion Rib Fracture Lung Contusion Find out when to seek medical. Learn how to recognise and treat cracked ribs, which are usually caused by a fall, a blow to the chest or severe coughing. Causes of pulmonary contusion include motorized. Learn about the causes, symptoms, diagnosis, and treatment of rib fractures, which are common injuries from blunt trauma or repetitive. Injury to the lung parenchyma. Rib Fracture Lung Contusion.
From www.ctisus.com
Trauma with Multiple Left Rib Fractures and Pulmonary Contusion Rib Fracture Lung Contusion Injury to the lung parenchyma can result from blunt or penetrating trauma mechanisms. Learn how to assess and manage thoracic trauma, including contusion, pneumothorax, hemothorax, flail chest, cardiac tamponade and more. We hypothesized that among patients with rib fractures, there is a stepwise increase in risk of pulmonary complications and mortality among patients without, with unilateral, and with bilateral. This. Rib Fracture Lung Contusion.
From www.ctisus.com
Trauma with Pulmonary Contusion and Rib Fractures Trauma Case Studies Rib Fracture Lung Contusion Pulmonary contusion is a common and potentially lethal chest injury that results from significant blunt or penetrating chest trauma. Learn about the causes, symptoms, diagnosis, and treatment of rib fractures, which are common injuries from blunt trauma or repetitive. Find out when to seek medical. Causes of pulmonary contusion include motorized. Learn how to assess and manage thoracic trauma, including. Rib Fracture Lung Contusion.
From www.ctisus.com
Trauma with Multiple Left Rib Fractures and Pulmonary Contusion Rib Fracture Lung Contusion We hypothesized that among patients with rib fractures, there is a stepwise increase in risk of pulmonary complications and mortality among patients without, with unilateral, and with bilateral. Injury to the lung parenchyma can result from blunt or penetrating trauma mechanisms. Find out when to seek medical. This document provides a framework for the assessment and management of adult patients. Rib Fracture Lung Contusion.
From www.ctisus.com
Trauma with Pulmonary Contusion and Rib Fractures Trauma Case Studies Rib Fracture Lung Contusion We hypothesized that among patients with rib fractures, there is a stepwise increase in risk of pulmonary complications and mortality among patients without, with unilateral, and with bilateral. Pulmonary contusion is a common and potentially lethal chest injury that results from significant blunt or penetrating chest trauma. Learn about the causes, symptoms, diagnosis, and treatment of rib fractures, which are. Rib Fracture Lung Contusion.
From www.ctisus.com
Gunshot Wound with Scapular and Rib Fractures as well as Pulmonary Rib Fracture Lung Contusion This document provides a framework for the assessment and management of adult patients with rib fractures at imperial college healthcare nhs. Learn how to recognise and treat cracked ribs, which are usually caused by a fall, a blow to the chest or severe coughing. Learn how to assess and manage thoracic trauma, including contusion, pneumothorax, hemothorax, flail chest, cardiac tamponade. Rib Fracture Lung Contusion.
From en.academic.ru
Pulmonary contusion Rib Fracture Lung Contusion Pulmonary contusion is a common and potentially lethal chest injury that results from significant blunt or penetrating chest trauma. This document provides a framework for the assessment and management of adult patients with rib fractures at imperial college healthcare nhs. Find out when to seek medical. We hypothesized that among patients with rib fractures, there is a stepwise increase in. Rib Fracture Lung Contusion.
From www.ctisus.com
Trauma with Pulmonary Contusion and Rib Fractures Trauma Case Studies Rib Fracture Lung Contusion Injury to the lung parenchyma can result from blunt or penetrating trauma mechanisms. Causes of pulmonary contusion include motorized. This document provides a framework for the assessment and management of adult patients with rib fractures at imperial college healthcare nhs. We hypothesized that among patients with rib fractures, there is a stepwise increase in risk of pulmonary complications and mortality. Rib Fracture Lung Contusion.
From www.ctisus.com
Trauma with Pulmonary Contusion and Rib Fractures Trauma Case Studies Rib Fracture Lung Contusion Learn about the causes, symptoms, diagnosis, and treatment of rib fractures, which are common injuries from blunt trauma or repetitive. Injury to the lung parenchyma can result from blunt or penetrating trauma mechanisms. Causes of pulmonary contusion include motorized. Pulmonary contusion is a common and potentially lethal chest injury that results from significant blunt or penetrating chest trauma. This document. Rib Fracture Lung Contusion.
From www.ncbi.nlm.nih.gov
[Figure, Ct rib fracture, CT Scan, pneumothorax, collapsed lung Rib Fracture Lung Contusion Pulmonary contusion is a common and potentially lethal chest injury that results from significant blunt or penetrating chest trauma. Causes of pulmonary contusion include motorized. This document provides a framework for the assessment and management of adult patients with rib fractures at imperial college healthcare nhs. Learn about the causes, symptoms, diagnosis, and treatment of rib fractures, which are common. Rib Fracture Lung Contusion.
From www.ribinjuryclinic.com
Rib Injury Rib Injury Clinic Rib Fracture Lung Contusion Find out when to seek medical. We hypothesized that among patients with rib fractures, there is a stepwise increase in risk of pulmonary complications and mortality among patients without, with unilateral, and with bilateral. Injury to the lung parenchyma can result from blunt or penetrating trauma mechanisms. Learn how to assess and manage thoracic trauma, including contusion, pneumothorax, hemothorax, flail. Rib Fracture Lung Contusion.
From www.ribinjuryclinic.com
Rib Injury Rib Injury Clinic Rib Fracture Lung Contusion Learn how to recognise and treat cracked ribs, which are usually caused by a fall, a blow to the chest or severe coughing. Find out when to seek medical. Learn about the causes, symptoms, diagnosis, and treatment of rib fractures, which are common injuries from blunt trauma or repetitive. Causes of pulmonary contusion include motorized. Injury to the lung parenchyma. Rib Fracture Lung Contusion.
From www.ctisus.com
Trauma with Pulmonary Contusion and Rib Fractures Trauma Case Studies Rib Fracture Lung Contusion Learn about the causes, symptoms, diagnosis, and treatment of rib fractures, which are common injuries from blunt trauma or repetitive. This document provides a framework for the assessment and management of adult patients with rib fractures at imperial college healthcare nhs. Learn how to assess and manage thoracic trauma, including contusion, pneumothorax, hemothorax, flail chest, cardiac tamponade and more. Find. Rib Fracture Lung Contusion.
From www.learningradiology.com
Learning Radiology Pulmonary Contusion Rib Fracture Lung Contusion Learn about the causes, symptoms, diagnosis, and treatment of rib fractures, which are common injuries from blunt trauma or repetitive. Find out when to seek medical. Pulmonary contusion is a common and potentially lethal chest injury that results from significant blunt or penetrating chest trauma. Causes of pulmonary contusion include motorized. Learn how to assess and manage thoracic trauma, including. Rib Fracture Lung Contusion.
From animalia-life.club
Broken Rib Punctured Lung Rib Fracture Lung Contusion Learn how to assess and manage thoracic trauma, including contusion, pneumothorax, hemothorax, flail chest, cardiac tamponade and more. Pulmonary contusion is a common and potentially lethal chest injury that results from significant blunt or penetrating chest trauma. Learn how to recognise and treat cracked ribs, which are usually caused by a fall, a blow to the chest or severe coughing.. Rib Fracture Lung Contusion.