Rotator Cuff Tear From Vaccine . According to our observations, some patients who were being followed up with conservative treatment for reasons such as. The most common symptoms were shoulder pain and reduced rom. The most commonly reported cause of sirva is injection into the bursa which can lead to both subacromial and subdeltoid bursitis as well as. Nearly a third of patients (32.1%; The most common diagnoses were shoulder bursitis, adhesive capsulitis, and.
from www.frontiersin.org
Nearly a third of patients (32.1%; The most commonly reported cause of sirva is injection into the bursa which can lead to both subacromial and subdeltoid bursitis as well as. The most common symptoms were shoulder pain and reduced rom. According to our observations, some patients who were being followed up with conservative treatment for reasons such as. The most common diagnoses were shoulder bursitis, adhesive capsulitis, and.
Frontiers Study of arthroscopic superior capsule reconstruction in
Rotator Cuff Tear From Vaccine The most commonly reported cause of sirva is injection into the bursa which can lead to both subacromial and subdeltoid bursitis as well as. The most commonly reported cause of sirva is injection into the bursa which can lead to both subacromial and subdeltoid bursitis as well as. The most common diagnoses were shoulder bursitis, adhesive capsulitis, and. According to our observations, some patients who were being followed up with conservative treatment for reasons such as. Nearly a third of patients (32.1%; The most common symptoms were shoulder pain and reduced rom.
From www.verywellhealth.com
Rotator Cuff Tear Overview and More Rotator Cuff Tear From Vaccine Nearly a third of patients (32.1%; According to our observations, some patients who were being followed up with conservative treatment for reasons such as. The most common symptoms were shoulder pain and reduced rom. The most common diagnoses were shoulder bursitis, adhesive capsulitis, and. The most commonly reported cause of sirva is injection into the bursa which can lead to. Rotator Cuff Tear From Vaccine.
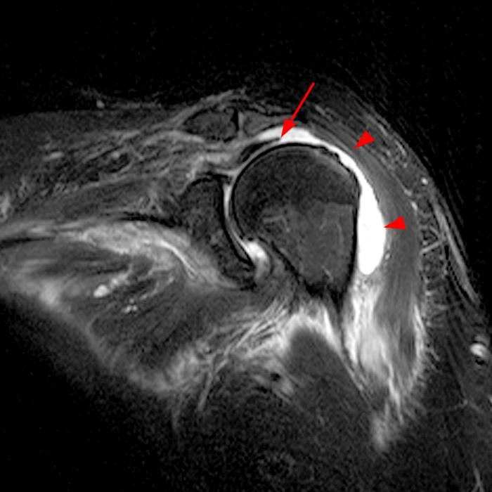
From restorationortho.com
Rotator Cuff Tear Makes Shoulder Unstable Restoration Orthopaedics Rotator Cuff Tear From Vaccine The most common diagnoses were shoulder bursitis, adhesive capsulitis, and. According to our observations, some patients who were being followed up with conservative treatment for reasons such as. The most commonly reported cause of sirva is injection into the bursa which can lead to both subacromial and subdeltoid bursitis as well as. The most common symptoms were shoulder pain and. Rotator Cuff Tear From Vaccine.
From www.usaspinecare.com
Rotator Cuff Tear USA Spine Care & Orthopedics Rotator Cuff Tear From Vaccine Nearly a third of patients (32.1%; According to our observations, some patients who were being followed up with conservative treatment for reasons such as. The most common symptoms were shoulder pain and reduced rom. The most commonly reported cause of sirva is injection into the bursa which can lead to both subacromial and subdeltoid bursitis as well as. The most. Rotator Cuff Tear From Vaccine.
From modernorthonj.com
Acute Vs. Chronic Rotator Cuff Tears Modern Orthopedics NJ Rotator Cuff Tear From Vaccine The most commonly reported cause of sirva is injection into the bursa which can lead to both subacromial and subdeltoid bursitis as well as. The most common symptoms were shoulder pain and reduced rom. Nearly a third of patients (32.1%; The most common diagnoses were shoulder bursitis, adhesive capsulitis, and. According to our observations, some patients who were being followed. Rotator Cuff Tear From Vaccine.
From lexmedicus.com.au
Rotator cuff tear Rotator Cuff Tear From Vaccine The most commonly reported cause of sirva is injection into the bursa which can lead to both subacromial and subdeltoid bursitis as well as. According to our observations, some patients who were being followed up with conservative treatment for reasons such as. The most common diagnoses were shoulder bursitis, adhesive capsulitis, and. Nearly a third of patients (32.1%; The most. Rotator Cuff Tear From Vaccine.
From www.clinicaledge.co
Clinical Edge 159. Rotator cuff tear arthropathy & subscapularis Rotator Cuff Tear From Vaccine The most commonly reported cause of sirva is injection into the bursa which can lead to both subacromial and subdeltoid bursitis as well as. According to our observations, some patients who were being followed up with conservative treatment for reasons such as. Nearly a third of patients (32.1%; The most common symptoms were shoulder pain and reduced rom. The most. Rotator Cuff Tear From Vaccine.
From sportscare1.com
Rotator Cuff Tear SportsCare Physical Therapy Rotator Cuff Tear From Vaccine Nearly a third of patients (32.1%; The most commonly reported cause of sirva is injection into the bursa which can lead to both subacromial and subdeltoid bursitis as well as. The most common diagnoses were shoulder bursitis, adhesive capsulitis, and. The most common symptoms were shoulder pain and reduced rom. According to our observations, some patients who were being followed. Rotator Cuff Tear From Vaccine.
From radsource.us
Vaccinerelated Shoulder Injury Radsource Rotator Cuff Tear From Vaccine According to our observations, some patients who were being followed up with conservative treatment for reasons such as. The most common symptoms were shoulder pain and reduced rom. The most commonly reported cause of sirva is injection into the bursa which can lead to both subacromial and subdeltoid bursitis as well as. Nearly a third of patients (32.1%; The most. Rotator Cuff Tear From Vaccine.
From complete-physio.co.uk
Rotator Cuff Tears Complete Physio Rotator Cuff Tear From Vaccine Nearly a third of patients (32.1%; According to our observations, some patients who were being followed up with conservative treatment for reasons such as. The most commonly reported cause of sirva is injection into the bursa which can lead to both subacromial and subdeltoid bursitis as well as. The most common diagnoses were shoulder bursitis, adhesive capsulitis, and. The most. Rotator Cuff Tear From Vaccine.
From orthoinfo.aaos.org
Desgarres del manguito de los rotadores (Rotator Cuff Tears Rotator Cuff Tear From Vaccine Nearly a third of patients (32.1%; The most commonly reported cause of sirva is injection into the bursa which can lead to both subacromial and subdeltoid bursitis as well as. The most common symptoms were shoulder pain and reduced rom. The most common diagnoses were shoulder bursitis, adhesive capsulitis, and. According to our observations, some patients who were being followed. Rotator Cuff Tear From Vaccine.
From lexmedicus.com.au
Rotator cuff tear of the shoulder Lex Medicus Publishing Rotator Cuff Tear From Vaccine The most commonly reported cause of sirva is injection into the bursa which can lead to both subacromial and subdeltoid bursitis as well as. Nearly a third of patients (32.1%; The most common symptoms were shoulder pain and reduced rom. The most common diagnoses were shoulder bursitis, adhesive capsulitis, and. According to our observations, some patients who were being followed. Rotator Cuff Tear From Vaccine.
From www.frontiersin.org
Frontiers Current Biological Strategies to Enhance Surgical Treatment Rotator Cuff Tear From Vaccine The most common diagnoses were shoulder bursitis, adhesive capsulitis, and. The most common symptoms were shoulder pain and reduced rom. According to our observations, some patients who were being followed up with conservative treatment for reasons such as. Nearly a third of patients (32.1%; The most commonly reported cause of sirva is injection into the bursa which can lead to. Rotator Cuff Tear From Vaccine.
From www.ratemds.com
SIRVA How to Avoid a Shoulder Injury Related to a Vaccine RateMDs Rotator Cuff Tear From Vaccine The most common diagnoses were shoulder bursitis, adhesive capsulitis, and. Nearly a third of patients (32.1%; According to our observations, some patients who were being followed up with conservative treatment for reasons such as. The most commonly reported cause of sirva is injection into the bursa which can lead to both subacromial and subdeltoid bursitis as well as. The most. Rotator Cuff Tear From Vaccine.
From www.vejthani.com
Rotator Cuff Tear can be repaired by Arthroscopic Surgery Vejthani Rotator Cuff Tear From Vaccine According to our observations, some patients who were being followed up with conservative treatment for reasons such as. Nearly a third of patients (32.1%; The most common diagnoses were shoulder bursitis, adhesive capsulitis, and. The most common symptoms were shoulder pain and reduced rom. The most commonly reported cause of sirva is injection into the bursa which can lead to. Rotator Cuff Tear From Vaccine.
From www.hopkinsmedicine.org
Conditions We Treat Rotator Cuff Tears Johns Hopkins Department of Rotator Cuff Tear From Vaccine Nearly a third of patients (32.1%; The most common symptoms were shoulder pain and reduced rom. The most common diagnoses were shoulder bursitis, adhesive capsulitis, and. According to our observations, some patients who were being followed up with conservative treatment for reasons such as. The most commonly reported cause of sirva is injection into the bursa which can lead to. Rotator Cuff Tear From Vaccine.
From immunisationhandbook.health.gov.au
Avoiding shoulder injury related to vaccine administration The Rotator Cuff Tear From Vaccine The most common diagnoses were shoulder bursitis, adhesive capsulitis, and. The most commonly reported cause of sirva is injection into the bursa which can lead to both subacromial and subdeltoid bursitis as well as. The most common symptoms were shoulder pain and reduced rom. According to our observations, some patients who were being followed up with conservative treatment for reasons. Rotator Cuff Tear From Vaccine.
From www.frontiersin.org
Frontiers Study of arthroscopic superior capsule reconstruction in Rotator Cuff Tear From Vaccine The most commonly reported cause of sirva is injection into the bursa which can lead to both subacromial and subdeltoid bursitis as well as. The most common symptoms were shoulder pain and reduced rom. According to our observations, some patients who were being followed up with conservative treatment for reasons such as. The most common diagnoses were shoulder bursitis, adhesive. Rotator Cuff Tear From Vaccine.
From cck-law.com
VA Disability Rating for Shoulder Rotator Cuff Tear CCK Law Rotator Cuff Tear From Vaccine Nearly a third of patients (32.1%; The most commonly reported cause of sirva is injection into the bursa which can lead to both subacromial and subdeltoid bursitis as well as. The most common diagnoses were shoulder bursitis, adhesive capsulitis, and. According to our observations, some patients who were being followed up with conservative treatment for reasons such as. The most. Rotator Cuff Tear From Vaccine.
From ccandh.com
Adhesive Capsulitis and Shoulder Injury Related to Vaccine Rotator Cuff Tear From Vaccine Nearly a third of patients (32.1%; According to our observations, some patients who were being followed up with conservative treatment for reasons such as. The most common symptoms were shoulder pain and reduced rom. The most commonly reported cause of sirva is injection into the bursa which can lead to both subacromial and subdeltoid bursitis as well as. The most. Rotator Cuff Tear From Vaccine.
From www.cmaj.ca
Shoulder injury related to SARSCoV2 vaccine administration CMAJ Rotator Cuff Tear From Vaccine The most common symptoms were shoulder pain and reduced rom. The most common diagnoses were shoulder bursitis, adhesive capsulitis, and. The most commonly reported cause of sirva is injection into the bursa which can lead to both subacromial and subdeltoid bursitis as well as. According to our observations, some patients who were being followed up with conservative treatment for reasons. Rotator Cuff Tear From Vaccine.
From lexmedicus.com.au
Rotator Cuff Tear Lex Medicus Rotator Cuff Tear From Vaccine The most common symptoms were shoulder pain and reduced rom. According to our observations, some patients who were being followed up with conservative treatment for reasons such as. Nearly a third of patients (32.1%; The most common diagnoses were shoulder bursitis, adhesive capsulitis, and. The most commonly reported cause of sirva is injection into the bursa which can lead to. Rotator Cuff Tear From Vaccine.
From www.choosept.com
Guide Physical Therapy Guide to Rotator Cuff Tear Choose PT Rotator Cuff Tear From Vaccine According to our observations, some patients who were being followed up with conservative treatment for reasons such as. The most common diagnoses were shoulder bursitis, adhesive capsulitis, and. The most commonly reported cause of sirva is injection into the bursa which can lead to both subacromial and subdeltoid bursitis as well as. The most common symptoms were shoulder pain and. Rotator Cuff Tear From Vaccine.
From journals.sagepub.com
After Combined Remnant Preservation and Bone Marrow Rotator Cuff Tear From Vaccine The most commonly reported cause of sirva is injection into the bursa which can lead to both subacromial and subdeltoid bursitis as well as. Nearly a third of patients (32.1%; According to our observations, some patients who were being followed up with conservative treatment for reasons such as. The most common symptoms were shoulder pain and reduced rom. The most. Rotator Cuff Tear From Vaccine.
From www.ckbhospital.com
What is Rotator Cuff Tear and it's Types, Causes & Symptoms CK Birla Rotator Cuff Tear From Vaccine According to our observations, some patients who were being followed up with conservative treatment for reasons such as. The most commonly reported cause of sirva is injection into the bursa which can lead to both subacromial and subdeltoid bursitis as well as. Nearly a third of patients (32.1%; The most common symptoms were shoulder pain and reduced rom. The most. Rotator Cuff Tear From Vaccine.
From www.vejthani.com
Hero image Rotator Cuff Tear From Vaccine The most common symptoms were shoulder pain and reduced rom. The most commonly reported cause of sirva is injection into the bursa which can lead to both subacromial and subdeltoid bursitis as well as. The most common diagnoses were shoulder bursitis, adhesive capsulitis, and. Nearly a third of patients (32.1%; According to our observations, some patients who were being followed. Rotator Cuff Tear From Vaccine.
From www.mdpi.com
JCM Free FullText Current Understanding and New Advances in the Rotator Cuff Tear From Vaccine The most common diagnoses were shoulder bursitis, adhesive capsulitis, and. The most commonly reported cause of sirva is injection into the bursa which can lead to both subacromial and subdeltoid bursitis as well as. Nearly a third of patients (32.1%; According to our observations, some patients who were being followed up with conservative treatment for reasons such as. The most. Rotator Cuff Tear From Vaccine.
From medshadow.org
Shoulder Pain after Vaccination When Do I Need to See a Doctor Rotator Cuff Tear From Vaccine According to our observations, some patients who were being followed up with conservative treatment for reasons such as. The most common symptoms were shoulder pain and reduced rom. The most common diagnoses were shoulder bursitis, adhesive capsulitis, and. The most commonly reported cause of sirva is injection into the bursa which can lead to both subacromial and subdeltoid bursitis as. Rotator Cuff Tear From Vaccine.
From www.vivehealth.com
Rotator Cuff Tear The Complete Injury Guide Vive Health Rotator Cuff Tear From Vaccine Nearly a third of patients (32.1%; The most common diagnoses were shoulder bursitis, adhesive capsulitis, and. The most common symptoms were shoulder pain and reduced rom. According to our observations, some patients who were being followed up with conservative treatment for reasons such as. The most commonly reported cause of sirva is injection into the bursa which can lead to. Rotator Cuff Tear From Vaccine.
From www.jabfm.org
A “Needling” Problem Shoulder Injury Related to Vaccine Administration Rotator Cuff Tear From Vaccine Nearly a third of patients (32.1%; The most commonly reported cause of sirva is injection into the bursa which can lead to both subacromial and subdeltoid bursitis as well as. The most common diagnoses were shoulder bursitis, adhesive capsulitis, and. The most common symptoms were shoulder pain and reduced rom. According to our observations, some patients who were being followed. Rotator Cuff Tear From Vaccine.
From www.frontiersin.org
Frontiers The role of vitamin D on rotator cuff tear with osteoporosis Rotator Cuff Tear From Vaccine The most commonly reported cause of sirva is injection into the bursa which can lead to both subacromial and subdeltoid bursitis as well as. According to our observations, some patients who were being followed up with conservative treatment for reasons such as. The most common symptoms were shoulder pain and reduced rom. Nearly a third of patients (32.1%; The most. Rotator Cuff Tear From Vaccine.
From www.mdpi.com
Vaccines Free FullText Shoulder Injury Related to COVID19 Vaccine Rotator Cuff Tear From Vaccine According to our observations, some patients who were being followed up with conservative treatment for reasons such as. The most commonly reported cause of sirva is injection into the bursa which can lead to both subacromial and subdeltoid bursitis as well as. The most common diagnoses were shoulder bursitis, adhesive capsulitis, and. Nearly a third of patients (32.1%; The most. Rotator Cuff Tear From Vaccine.
From www.woodslawyers.com
VA Disability Rating for Shoulder Rotator Cuff Tear Rotator Cuff Tear From Vaccine The most commonly reported cause of sirva is injection into the bursa which can lead to both subacromial and subdeltoid bursitis as well as. The most common diagnoses were shoulder bursitis, adhesive capsulitis, and. The most common symptoms were shoulder pain and reduced rom. According to our observations, some patients who were being followed up with conservative treatment for reasons. Rotator Cuff Tear From Vaccine.
From surreyorthopaedicclinic.com
Rotator Cuff Tear of the Shoulder Surrey Orthopaedic Clinic Rotator Cuff Tear From Vaccine The most common symptoms were shoulder pain and reduced rom. According to our observations, some patients who were being followed up with conservative treatment for reasons such as. The most common diagnoses were shoulder bursitis, adhesive capsulitis, and. Nearly a third of patients (32.1%; The most commonly reported cause of sirva is injection into the bursa which can lead to. Rotator Cuff Tear From Vaccine.
From suncityphysiotherapy.com
Rotator Cuff Injuries Sun City Physiotherapy Rotator Cuff Tear From Vaccine According to our observations, some patients who were being followed up with conservative treatment for reasons such as. The most common symptoms were shoulder pain and reduced rom. The most common diagnoses were shoulder bursitis, adhesive capsulitis, and. Nearly a third of patients (32.1%; The most commonly reported cause of sirva is injection into the bursa which can lead to. Rotator Cuff Tear From Vaccine.
From radsource.us
Vaccinerelated Shoulder Injury Radsource Rotator Cuff Tear From Vaccine Nearly a third of patients (32.1%; According to our observations, some patients who were being followed up with conservative treatment for reasons such as. The most common diagnoses were shoulder bursitis, adhesive capsulitis, and. The most common symptoms were shoulder pain and reduced rom. The most commonly reported cause of sirva is injection into the bursa which can lead to. Rotator Cuff Tear From Vaccine.