How Common Is Hairy Cell Leukemia . Hairy cell leukemia is most likely caused by a genetic. Hairy cell leukemia is a rare condition that affects 1 in 100,000 people in the u.s. how common is hairy cell leukemia? signs and symptoms of hairy cell leukemia include infections, tiredness, and pain below the ribs. hairy cell leukemia is a rare blood cancer diagnosed in only about 1,000 people each year in the united states. it is a rare disease, with only about 600 to 800 new cases a year in the united states. Hairy cell leukemia is a rare form of cancer, comprising only about 2% of leukemia cases in adults each year.
from www.researchgate.net
Hairy cell leukemia is a rare form of cancer, comprising only about 2% of leukemia cases in adults each year. signs and symptoms of hairy cell leukemia include infections, tiredness, and pain below the ribs. hairy cell leukemia is a rare blood cancer diagnosed in only about 1,000 people each year in the united states. Hairy cell leukemia is a rare condition that affects 1 in 100,000 people in the u.s. Hairy cell leukemia is most likely caused by a genetic. how common is hairy cell leukemia? it is a rare disease, with only about 600 to 800 new cases a year in the united states.
Representative images of cytological features of hairy cell leukemia
How Common Is Hairy Cell Leukemia Hairy cell leukemia is most likely caused by a genetic. how common is hairy cell leukemia? Hairy cell leukemia is a rare form of cancer, comprising only about 2% of leukemia cases in adults each year. Hairy cell leukemia is a rare condition that affects 1 in 100,000 people in the u.s. it is a rare disease, with only about 600 to 800 new cases a year in the united states. Hairy cell leukemia is most likely caused by a genetic. hairy cell leukemia is a rare blood cancer diagnosed in only about 1,000 people each year in the united states. signs and symptoms of hairy cell leukemia include infections, tiredness, and pain below the ribs.
From fineartamerica.com
Lymphocyte In Hairy Cell Leukaemia Photograph by Kateryna Kon/science How Common Is Hairy Cell Leukemia hairy cell leukemia is a rare blood cancer diagnosed in only about 1,000 people each year in the united states. Hairy cell leukemia is a rare condition that affects 1 in 100,000 people in the u.s. it is a rare disease, with only about 600 to 800 new cases a year in the united states. signs and. How Common Is Hairy Cell Leukemia.
From www.researchgate.net
Representative images of cytological features of hairy cell leukemia How Common Is Hairy Cell Leukemia signs and symptoms of hairy cell leukemia include infections, tiredness, and pain below the ribs. it is a rare disease, with only about 600 to 800 new cases a year in the united states. Hairy cell leukemia is a rare form of cancer, comprising only about 2% of leukemia cases in adults each year. Hairy cell leukemia is. How Common Is Hairy Cell Leukemia.
From www.alamy.com
Hairy Cell Leukemia (HCL, HZL) cells in blood flow closeup view 3d How Common Is Hairy Cell Leukemia Hairy cell leukemia is most likely caused by a genetic. Hairy cell leukemia is a rare condition that affects 1 in 100,000 people in the u.s. signs and symptoms of hairy cell leukemia include infections, tiredness, and pain below the ribs. it is a rare disease, with only about 600 to 800 new cases a year in the. How Common Is Hairy Cell Leukemia.
From imagebank.hematology.org
Hairy Cell Leukemia 11. How Common Is Hairy Cell Leukemia hairy cell leukemia is a rare blood cancer diagnosed in only about 1,000 people each year in the united states. Hairy cell leukemia is most likely caused by a genetic. Hairy cell leukemia is a rare condition that affects 1 in 100,000 people in the u.s. Hairy cell leukemia is a rare form of cancer, comprising only about 2%. How Common Is Hairy Cell Leukemia.
From www.osmosis.org
Hairy Cell Leukemia What Is It, How Common Is It, and More Osmosis How Common Is Hairy Cell Leukemia signs and symptoms of hairy cell leukemia include infections, tiredness, and pain below the ribs. hairy cell leukemia is a rare blood cancer diagnosed in only about 1,000 people each year in the united states. Hairy cell leukemia is a rare form of cancer, comprising only about 2% of leukemia cases in adults each year. Hairy cell leukemia. How Common Is Hairy Cell Leukemia.
From imagebank.hematology.org
Hairy Cell Leukemia How Common Is Hairy Cell Leukemia Hairy cell leukemia is a rare form of cancer, comprising only about 2% of leukemia cases in adults each year. it is a rare disease, with only about 600 to 800 new cases a year in the united states. Hairy cell leukemia is a rare condition that affects 1 in 100,000 people in the u.s. how common is. How Common Is Hairy Cell Leukemia.
From www.sciencephoto.com
Hairy cell leukemia Stock Image C001/6547 Science Photo Library How Common Is Hairy Cell Leukemia hairy cell leukemia is a rare blood cancer diagnosed in only about 1,000 people each year in the united states. Hairy cell leukemia is a rare form of cancer, comprising only about 2% of leukemia cases in adults each year. Hairy cell leukemia is most likely caused by a genetic. how common is hairy cell leukemia? it. How Common Is Hairy Cell Leukemia.
From atlas.gechem.org
Hairy cell leukaemia Morphology and cytochemistry How Common Is Hairy Cell Leukemia signs and symptoms of hairy cell leukemia include infections, tiredness, and pain below the ribs. hairy cell leukemia is a rare blood cancer diagnosed in only about 1,000 people each year in the united states. how common is hairy cell leukemia? Hairy cell leukemia is most likely caused by a genetic. Hairy cell leukemia is a rare. How Common Is Hairy Cell Leukemia.
From www.osmosis.org
Hairy Cell Leukemia What Is It, How Common Is It, and More Osmosis How Common Is Hairy Cell Leukemia Hairy cell leukemia is most likely caused by a genetic. it is a rare disease, with only about 600 to 800 new cases a year in the united states. hairy cell leukemia is a rare blood cancer diagnosed in only about 1,000 people each year in the united states. how common is hairy cell leukemia? signs. How Common Is Hairy Cell Leukemia.
From www.researchgate.net
Biology of hairy cell leukemia. Download Scientific Diagram How Common Is Hairy Cell Leukemia signs and symptoms of hairy cell leukemia include infections, tiredness, and pain below the ribs. hairy cell leukemia is a rare blood cancer diagnosed in only about 1,000 people each year in the united states. Hairy cell leukemia is a rare condition that affects 1 in 100,000 people in the u.s. Hairy cell leukemia is most likely caused. How Common Is Hairy Cell Leukemia.
From imagebank.hematology.org
Hairy cell leukemia 1. How Common Is Hairy Cell Leukemia signs and symptoms of hairy cell leukemia include infections, tiredness, and pain below the ribs. how common is hairy cell leukemia? Hairy cell leukemia is a rare form of cancer, comprising only about 2% of leukemia cases in adults each year. it is a rare disease, with only about 600 to 800 new cases a year in. How Common Is Hairy Cell Leukemia.
From www.statpearls.com
CE Activity Hairy Cell Leukemia Nurses How Common Is Hairy Cell Leukemia signs and symptoms of hairy cell leukemia include infections, tiredness, and pain below the ribs. it is a rare disease, with only about 600 to 800 new cases a year in the united states. Hairy cell leukemia is most likely caused by a genetic. Hairy cell leukemia is a rare form of cancer, comprising only about 2% of. How Common Is Hairy Cell Leukemia.
From www.leukemia-cell.org
Hairy cell leukaemia CELL Atlas of Haematological Cytology How Common Is Hairy Cell Leukemia how common is hairy cell leukemia? hairy cell leukemia is a rare blood cancer diagnosed in only about 1,000 people each year in the united states. Hairy cell leukemia is a rare form of cancer, comprising only about 2% of leukemia cases in adults each year. Hairy cell leukemia is most likely caused by a genetic. Hairy cell. How Common Is Hairy Cell Leukemia.
From clinicalgate.com
Hairy Cell Leukemia Clinical Gate How Common Is Hairy Cell Leukemia it is a rare disease, with only about 600 to 800 new cases a year in the united states. Hairy cell leukemia is a rare form of cancer, comprising only about 2% of leukemia cases in adults each year. how common is hairy cell leukemia? hairy cell leukemia is a rare blood cancer diagnosed in only about. How Common Is Hairy Cell Leukemia.
From www.openmed.co.in
Hairy Cell Leukemia How Common Is Hairy Cell Leukemia how common is hairy cell leukemia? hairy cell leukemia is a rare blood cancer diagnosed in only about 1,000 people each year in the united states. Hairy cell leukemia is a rare condition that affects 1 in 100,000 people in the u.s. Hairy cell leukemia is a rare form of cancer, comprising only about 2% of leukemia cases. How Common Is Hairy Cell Leukemia.
From step1.medbullets.com
Hairy Cell Leukemia (HCL) Oncology Medbullets Step 1 How Common Is Hairy Cell Leukemia it is a rare disease, with only about 600 to 800 new cases a year in the united states. how common is hairy cell leukemia? hairy cell leukemia is a rare blood cancer diagnosed in only about 1,000 people each year in the united states. Hairy cell leukemia is most likely caused by a genetic. Hairy cell. How Common Is Hairy Cell Leukemia.
From pixelrz.com
Hairy Cell Leukemia How Common Is Hairy Cell Leukemia Hairy cell leukemia is most likely caused by a genetic. how common is hairy cell leukemia? Hairy cell leukemia is a rare form of cancer, comprising only about 2% of leukemia cases in adults each year. signs and symptoms of hairy cell leukemia include infections, tiredness, and pain below the ribs. it is a rare disease, with. How Common Is Hairy Cell Leukemia.
From imagebank.hematology.org
Hairy cell leukemia involving the spleen 3. How Common Is Hairy Cell Leukemia Hairy cell leukemia is a rare condition that affects 1 in 100,000 people in the u.s. how common is hairy cell leukemia? Hairy cell leukemia is a rare form of cancer, comprising only about 2% of leukemia cases in adults each year. signs and symptoms of hairy cell leukemia include infections, tiredness, and pain below the ribs. Hairy. How Common Is Hairy Cell Leukemia.
From www.hairycellleukemia.org
Understanding Hairy Cell Leukemia — Hairy Cell Leukemia Foundation How Common Is Hairy Cell Leukemia Hairy cell leukemia is a rare condition that affects 1 in 100,000 people in the u.s. Hairy cell leukemia is most likely caused by a genetic. Hairy cell leukemia is a rare form of cancer, comprising only about 2% of leukemia cases in adults each year. hairy cell leukemia is a rare blood cancer diagnosed in only about 1,000. How Common Is Hairy Cell Leukemia.
From www.cancertherapyadvisor.com
Hairy Cell Leukemia Cancer Therapy Advisor How Common Is Hairy Cell Leukemia hairy cell leukemia is a rare blood cancer diagnosed in only about 1,000 people each year in the united states. signs and symptoms of hairy cell leukemia include infections, tiredness, and pain below the ribs. how common is hairy cell leukemia? it is a rare disease, with only about 600 to 800 new cases a year. How Common Is Hairy Cell Leukemia.
From searchingforagoodread.blogspot.com
Hairy Cell Leukemia Searching for a Good Read How Common Is Hairy Cell Leukemia how common is hairy cell leukemia? Hairy cell leukemia is a rare form of cancer, comprising only about 2% of leukemia cases in adults each year. hairy cell leukemia is a rare blood cancer diagnosed in only about 1,000 people each year in the united states. signs and symptoms of hairy cell leukemia include infections, tiredness, and. How Common Is Hairy Cell Leukemia.
From www.wikidoc.org
Hairy cell leukemia pathophysiology wikidoc How Common Is Hairy Cell Leukemia Hairy cell leukemia is most likely caused by a genetic. hairy cell leukemia is a rare blood cancer diagnosed in only about 1,000 people each year in the united states. signs and symptoms of hairy cell leukemia include infections, tiredness, and pain below the ribs. Hairy cell leukemia is a rare condition that affects 1 in 100,000 people. How Common Is Hairy Cell Leukemia.
From www.researchgate.net
Typical histomorphology of hairy cell leukemiavariant. A Peripheral How Common Is Hairy Cell Leukemia signs and symptoms of hairy cell leukemia include infections, tiredness, and pain below the ribs. Hairy cell leukemia is a rare form of cancer, comprising only about 2% of leukemia cases in adults each year. how common is hairy cell leukemia? it is a rare disease, with only about 600 to 800 new cases a year in. How Common Is Hairy Cell Leukemia.
From pixels.com
Hairy cell leukaemia, light micrograph Photograph by Science Photo How Common Is Hairy Cell Leukemia how common is hairy cell leukemia? it is a rare disease, with only about 600 to 800 new cases a year in the united states. Hairy cell leukemia is a rare form of cancer, comprising only about 2% of leukemia cases in adults each year. Hairy cell leukemia is a rare condition that affects 1 in 100,000 people. How Common Is Hairy Cell Leukemia.
From www.alamy.com
Hairy cell leukemia hires stock photography and images Alamy How Common Is Hairy Cell Leukemia Hairy cell leukemia is a rare condition that affects 1 in 100,000 people in the u.s. hairy cell leukemia is a rare blood cancer diagnosed in only about 1,000 people each year in the united states. it is a rare disease, with only about 600 to 800 new cases a year in the united states. Hairy cell leukemia. How Common Is Hairy Cell Leukemia.
From pixels.com
Hairy Cell Leukaemia Photograph by Steve Gschmeissner/science Photo How Common Is Hairy Cell Leukemia it is a rare disease, with only about 600 to 800 new cases a year in the united states. how common is hairy cell leukemia? Hairy cell leukemia is most likely caused by a genetic. signs and symptoms of hairy cell leukemia include infections, tiredness, and pain below the ribs. hairy cell leukemia is a rare. How Common Is Hairy Cell Leukemia.
From www.medicinekeys.com
Hairy cell leukemia (HCL) Medicine Keys for MRCPs How Common Is Hairy Cell Leukemia Hairy cell leukemia is a rare form of cancer, comprising only about 2% of leukemia cases in adults each year. hairy cell leukemia is a rare blood cancer diagnosed in only about 1,000 people each year in the united states. how common is hairy cell leukemia? Hairy cell leukemia is a rare condition that affects 1 in 100,000. How Common Is Hairy Cell Leukemia.
From www.wikidoc.org
Hairy cell leukemia pathophysiology wikidoc How Common Is Hairy Cell Leukemia how common is hairy cell leukemia? Hairy cell leukemia is a rare condition that affects 1 in 100,000 people in the u.s. it is a rare disease, with only about 600 to 800 new cases a year in the united states. signs and symptoms of hairy cell leukemia include infections, tiredness, and pain below the ribs. Hairy. How Common Is Hairy Cell Leukemia.
From www.sciencephoto.com
Hairy Cell Leukemia Stock Image M132/0965 Science Photo Library How Common Is Hairy Cell Leukemia Hairy cell leukemia is a rare condition that affects 1 in 100,000 people in the u.s. Hairy cell leukemia is a rare form of cancer, comprising only about 2% of leukemia cases in adults each year. hairy cell leukemia is a rare blood cancer diagnosed in only about 1,000 people each year in the united states. signs and. How Common Is Hairy Cell Leukemia.
From www.leukemia-cell.org
Hairy cell leukaemia CELL Atlas of Haematological Cytology How Common Is Hairy Cell Leukemia how common is hairy cell leukemia? Hairy cell leukemia is a rare condition that affects 1 in 100,000 people in the u.s. hairy cell leukemia is a rare blood cancer diagnosed in only about 1,000 people each year in the united states. Hairy cell leukemia is most likely caused by a genetic. Hairy cell leukemia is a rare. How Common Is Hairy Cell Leukemia.
From www.sciencesource.com
Photograph Hairy cell Leukemia Science Source Images How Common Is Hairy Cell Leukemia signs and symptoms of hairy cell leukemia include infections, tiredness, and pain below the ribs. how common is hairy cell leukemia? Hairy cell leukemia is a rare condition that affects 1 in 100,000 people in the u.s. it is a rare disease, with only about 600 to 800 new cases a year in the united states. . How Common Is Hairy Cell Leukemia.
From www.health.com
What Is Hairy Cell Leukemia? How Common Is Hairy Cell Leukemia Hairy cell leukemia is a rare condition that affects 1 in 100,000 people in the u.s. signs and symptoms of hairy cell leukemia include infections, tiredness, and pain below the ribs. it is a rare disease, with only about 600 to 800 new cases a year in the united states. Hairy cell leukemia is most likely caused by. How Common Is Hairy Cell Leukemia.
From www.blood-academy.com
Hairy cell leukaemia Blood Academy How Common Is Hairy Cell Leukemia it is a rare disease, with only about 600 to 800 new cases a year in the united states. signs and symptoms of hairy cell leukemia include infections, tiredness, and pain below the ribs. Hairy cell leukemia is a rare form of cancer, comprising only about 2% of leukemia cases in adults each year. hairy cell leukemia. How Common Is Hairy Cell Leukemia.
From www.pathologyoutlines.com
Pathology Outlines Hairy cell leukemia How Common Is Hairy Cell Leukemia it is a rare disease, with only about 600 to 800 new cases a year in the united states. Hairy cell leukemia is a rare form of cancer, comprising only about 2% of leukemia cases in adults each year. how common is hairy cell leukemia? signs and symptoms of hairy cell leukemia include infections, tiredness, and pain. How Common Is Hairy Cell Leukemia.
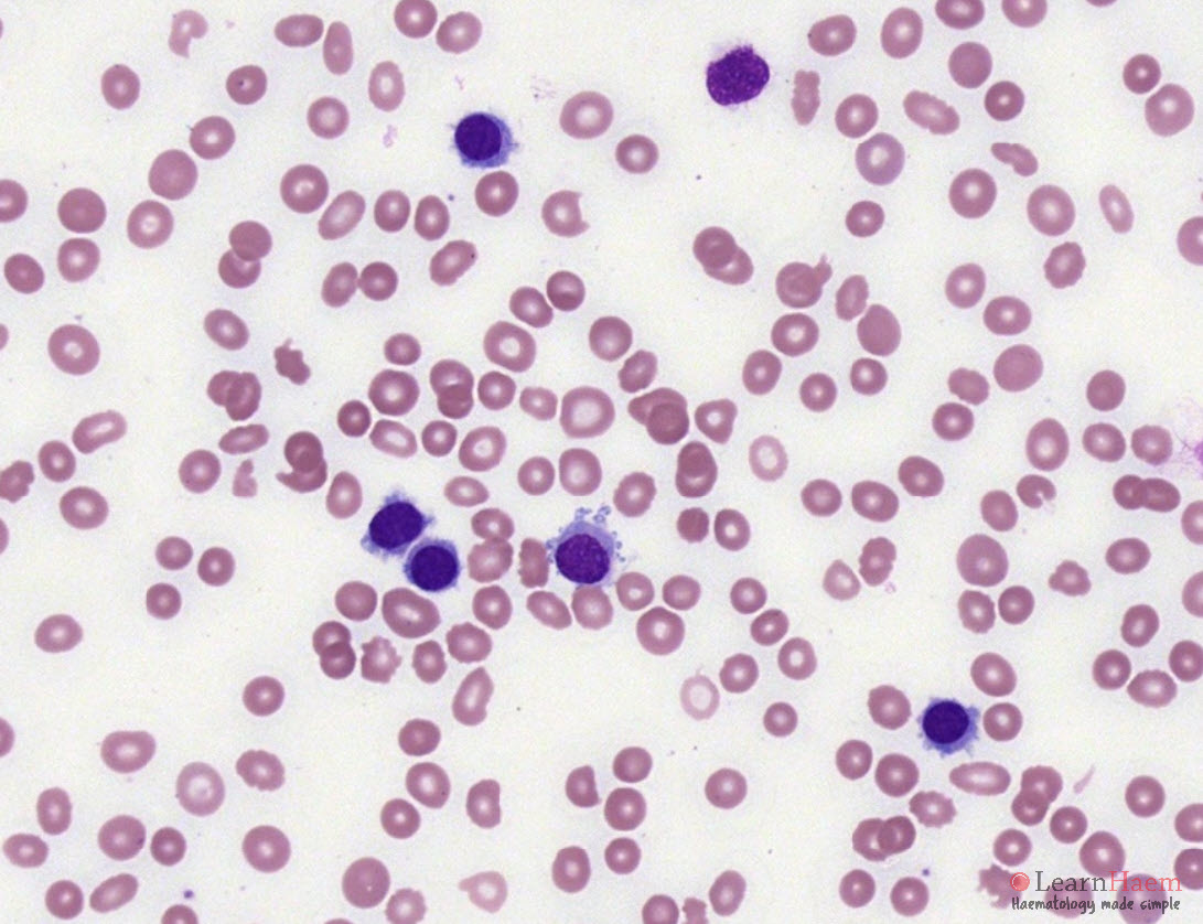
From www.learnhaem.com
Hairy Cell Leukaemia LearnHaem Haematology Made Simple How Common Is Hairy Cell Leukemia signs and symptoms of hairy cell leukemia include infections, tiredness, and pain below the ribs. Hairy cell leukemia is a rare form of cancer, comprising only about 2% of leukemia cases in adults each year. it is a rare disease, with only about 600 to 800 new cases a year in the united states. how common is. How Common Is Hairy Cell Leukemia.