Baby Gum Bleeding Around Tooth . Even if you just have red gums or a gum bleeding around one tooth, it could be a sign of oral and gum health problems that need attention. Bleeding gums in children indicate a problem with your little one’s oral health. Baby tooth bleeding can occur for several benign reasons: These infections can even spread to other parts of the patient’s body and cause even more complications. In its most mild form (gingivitis) it begins as slight swelling, redness and irritation around the gums, but as it becomes more advanced (periodontitis) it can lead to dental abscesse s and tooth loss. Toddler gum bleeding can result from inflammation and infections that endanger your teeth, mouth, and overall health. There are actions that parents can take. A common sign of gingivitis is bleeding gums, especially while brushing or flossing teeth. Gum disease is almost always the result of poor oral hygiene. Many external factors can cause gum disease, as we will be discussing. Your toddler's mouth bacteria feed on sugars from sweet and starchy foods to form plaque on your little one's gums. Luckily, there are several ways to stop the swelling and bleeding in children’s gums.
from www.practo.com
Bleeding gums in children indicate a problem with your little one’s oral health. Toddler gum bleeding can result from inflammation and infections that endanger your teeth, mouth, and overall health. Baby tooth bleeding can occur for several benign reasons: Gum disease is almost always the result of poor oral hygiene. Even if you just have red gums or a gum bleeding around one tooth, it could be a sign of oral and gum health problems that need attention. There are actions that parents can take. A common sign of gingivitis is bleeding gums, especially while brushing or flossing teeth. Luckily, there are several ways to stop the swelling and bleeding in children’s gums. Many external factors can cause gum disease, as we will be discussing. Your toddler's mouth bacteria feed on sugars from sweet and starchy foods to form plaque on your little one's gums.
Gum Bleeding
Baby Gum Bleeding Around Tooth Baby tooth bleeding can occur for several benign reasons: Many external factors can cause gum disease, as we will be discussing. Baby tooth bleeding can occur for several benign reasons: Bleeding gums in children indicate a problem with your little one’s oral health. In its most mild form (gingivitis) it begins as slight swelling, redness and irritation around the gums, but as it becomes more advanced (periodontitis) it can lead to dental abscesse s and tooth loss. Your toddler's mouth bacteria feed on sugars from sweet and starchy foods to form plaque on your little one's gums. Luckily, there are several ways to stop the swelling and bleeding in children’s gums. There are actions that parents can take. Toddler gum bleeding can result from inflammation and infections that endanger your teeth, mouth, and overall health. A common sign of gingivitis is bleeding gums, especially while brushing or flossing teeth. Even if you just have red gums or a gum bleeding around one tooth, it could be a sign of oral and gum health problems that need attention. These infections can even spread to other parts of the patient’s body and cause even more complications. Gum disease is almost always the result of poor oral hygiene.
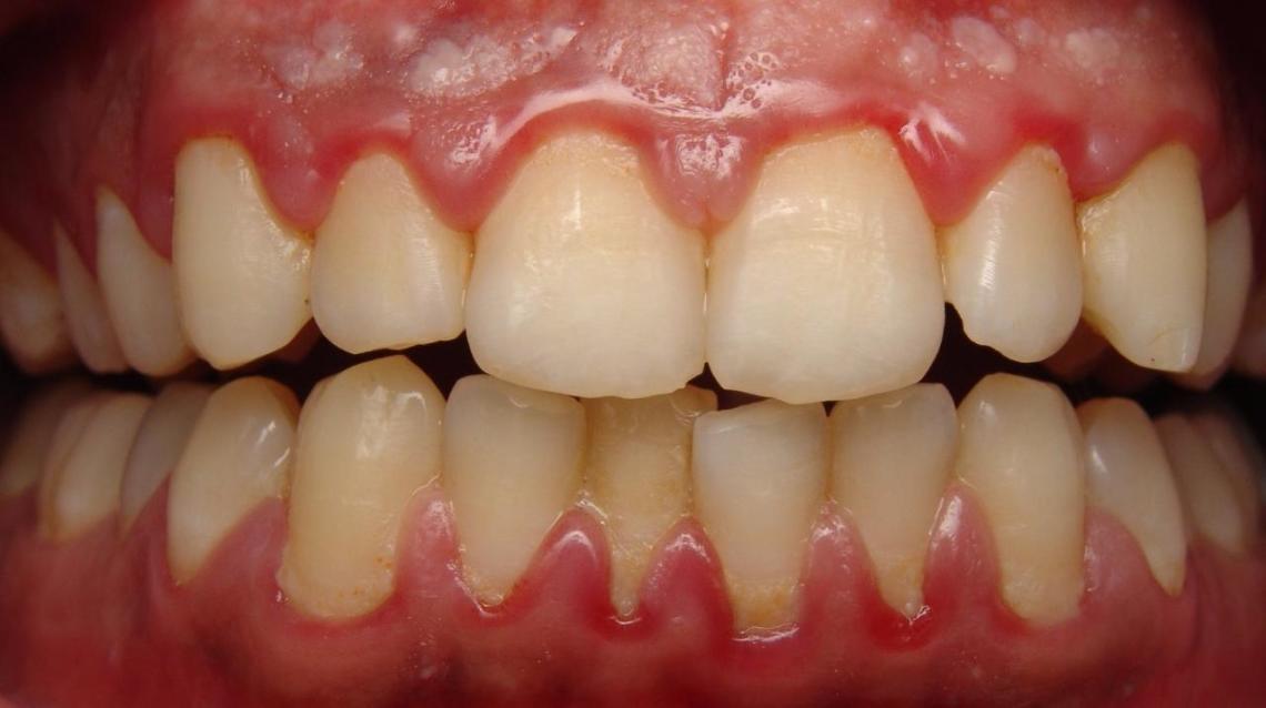
From iga-dental.jp
親知らずが埋まっている場合は放置しても大丈夫?痛み・腫れはある? Baby Gum Bleeding Around Tooth Baby tooth bleeding can occur for several benign reasons: Luckily, there are several ways to stop the swelling and bleeding in children’s gums. Toddler gum bleeding can result from inflammation and infections that endanger your teeth, mouth, and overall health. Bleeding gums in children indicate a problem with your little one’s oral health. There are actions that parents can take.. Baby Gum Bleeding Around Tooth.
From www.kirklandpremierdentistry.com
Bleeding Gums During Pregnancy Should You Worry? Kirkland Premier Baby Gum Bleeding Around Tooth In its most mild form (gingivitis) it begins as slight swelling, redness and irritation around the gums, but as it becomes more advanced (periodontitis) it can lead to dental abscesse s and tooth loss. Your toddler's mouth bacteria feed on sugars from sweet and starchy foods to form plaque on your little one's gums. Bleeding gums in children indicate a. Baby Gum Bleeding Around Tooth.
From www.practo.com
Gum Bleeding Baby Gum Bleeding Around Tooth There are actions that parents can take. Many external factors can cause gum disease, as we will be discussing. These infections can even spread to other parts of the patient’s body and cause even more complications. Your toddler's mouth bacteria feed on sugars from sweet and starchy foods to form plaque on your little one's gums. Gum disease is almost. Baby Gum Bleeding Around Tooth.
From usiw.org
Gum Bleeding Around One Tooth Universal Society of the Integral Way Baby Gum Bleeding Around Tooth Even if you just have red gums or a gum bleeding around one tooth, it could be a sign of oral and gum health problems that need attention. Baby tooth bleeding can occur for several benign reasons: Luckily, there are several ways to stop the swelling and bleeding in children’s gums. Gum disease is almost always the result of poor. Baby Gum Bleeding Around Tooth.
From theelitedental.com
What Do You Do When Your Gums Are Bleeding Elite Dental Care Tracy Baby Gum Bleeding Around Tooth These infections can even spread to other parts of the patient’s body and cause even more complications. Your toddler's mouth bacteria feed on sugars from sweet and starchy foods to form plaque on your little one's gums. Gum disease is almost always the result of poor oral hygiene. A common sign of gingivitis is bleeding gums, especially while brushing or. Baby Gum Bleeding Around Tooth.
From babyproductinsider.com
Baby Gums Bleeding 012 Months Babies Gums Bleeding Causes And Baby Gum Bleeding Around Tooth Toddler gum bleeding can result from inflammation and infections that endanger your teeth, mouth, and overall health. Baby tooth bleeding can occur for several benign reasons: A common sign of gingivitis is bleeding gums, especially while brushing or flossing teeth. Gum disease is almost always the result of poor oral hygiene. In its most mild form (gingivitis) it begins as. Baby Gum Bleeding Around Tooth.
From dentalartssandiego.com
Bleeding Gums Dental Conditions in San Diego Dental Arts San Diego Baby Gum Bleeding Around Tooth Even if you just have red gums or a gum bleeding around one tooth, it could be a sign of oral and gum health problems that need attention. There are actions that parents can take. Baby tooth bleeding can occur for several benign reasons: Toddler gum bleeding can result from inflammation and infections that endanger your teeth, mouth, and overall. Baby Gum Bleeding Around Tooth.
From www.evpdental.com.au
Why Do My Gums Bleed When I Floss? EVP Dental Baby Gum Bleeding Around Tooth A common sign of gingivitis is bleeding gums, especially while brushing or flossing teeth. These infections can even spread to other parts of the patient’s body and cause even more complications. Toddler gum bleeding can result from inflammation and infections that endanger your teeth, mouth, and overall health. Baby tooth bleeding can occur for several benign reasons: Many external factors. Baby Gum Bleeding Around Tooth.
From www.jpeds.com
Exuberant Upper Gum Lesions in a Neonate The Journal of Pediatrics Baby Gum Bleeding Around Tooth These infections can even spread to other parts of the patient’s body and cause even more complications. Your toddler's mouth bacteria feed on sugars from sweet and starchy foods to form plaque on your little one's gums. Baby tooth bleeding can occur for several benign reasons: Bleeding gums in children indicate a problem with your little one’s oral health. There. Baby Gum Bleeding Around Tooth.
From instacare.pk
Various Causes Of Bleeding Gums And How You Can Treat It Baby Gum Bleeding Around Tooth Your toddler's mouth bacteria feed on sugars from sweet and starchy foods to form plaque on your little one's gums. Bleeding gums in children indicate a problem with your little one’s oral health. Toddler gum bleeding can result from inflammation and infections that endanger your teeth, mouth, and overall health. Gum disease is almost always the result of poor oral. Baby Gum Bleeding Around Tooth.
From avenuedentalarts.com
Why Are My Gums Bleeding? Avenue Dental Arts Baby Gum Bleeding Around Tooth In its most mild form (gingivitis) it begins as slight swelling, redness and irritation around the gums, but as it becomes more advanced (periodontitis) it can lead to dental abscesse s and tooth loss. Baby tooth bleeding can occur for several benign reasons: Even if you just have red gums or a gum bleeding around one tooth, it could be. Baby Gum Bleeding Around Tooth.
From www.anchoragepediatricdentistry.com
Loose Front Tooth What To Do? Anchorage Pediatric Dentistry Baby Gum Bleeding Around Tooth Gum disease is almost always the result of poor oral hygiene. Bleeding gums in children indicate a problem with your little one’s oral health. A common sign of gingivitis is bleeding gums, especially while brushing or flossing teeth. In its most mild form (gingivitis) it begins as slight swelling, redness and irritation around the gums, but as it becomes more. Baby Gum Bleeding Around Tooth.
From ghanaeducation.org
What It Means When Your Gums Bleed When Brushing Your Teeth Baby Gum Bleeding Around Tooth Bleeding gums in children indicate a problem with your little one’s oral health. Baby tooth bleeding can occur for several benign reasons: Even if you just have red gums or a gum bleeding around one tooth, it could be a sign of oral and gum health problems that need attention. In its most mild form (gingivitis) it begins as slight. Baby Gum Bleeding Around Tooth.
From www.cheneyclinic.com
gum bleeding Archives Cheney Clinic Baby Gum Bleeding Around Tooth Baby tooth bleeding can occur for several benign reasons: These infections can even spread to other parts of the patient’s body and cause even more complications. Your toddler's mouth bacteria feed on sugars from sweet and starchy foods to form plaque on your little one's gums. Even if you just have red gums or a gum bleeding around one tooth,. Baby Gum Bleeding Around Tooth.
From www.youtube.com
Bleeding Gums Causes & Treatment YouTube Baby Gum Bleeding Around Tooth Even if you just have red gums or a gum bleeding around one tooth, it could be a sign of oral and gum health problems that need attention. Bleeding gums in children indicate a problem with your little one’s oral health. Baby tooth bleeding can occur for several benign reasons: These infections can even spread to other parts of the. Baby Gum Bleeding Around Tooth.
From www.babycentre.co.uk
Bleeding gums in pregnancy BabyCentre UK Baby Gum Bleeding Around Tooth Even if you just have red gums or a gum bleeding around one tooth, it could be a sign of oral and gum health problems that need attention. Toddler gum bleeding can result from inflammation and infections that endanger your teeth, mouth, and overall health. These infections can even spread to other parts of the patient’s body and cause even. Baby Gum Bleeding Around Tooth.
From sloancreekdental.com
Bleeding Gums Gum Disease in Fairview & Allen TX Sloan Creek Dental Baby Gum Bleeding Around Tooth A common sign of gingivitis is bleeding gums, especially while brushing or flossing teeth. Bleeding gums in children indicate a problem with your little one’s oral health. Many external factors can cause gum disease, as we will be discussing. There are actions that parents can take. Luckily, there are several ways to stop the swelling and bleeding in children’s gums.. Baby Gum Bleeding Around Tooth.
From stock.adobe.com
The man has blood on his teeth, severe bleeding of the gums after a Baby Gum Bleeding Around Tooth Your toddler's mouth bacteria feed on sugars from sweet and starchy foods to form plaque on your little one's gums. In its most mild form (gingivitis) it begins as slight swelling, redness and irritation around the gums, but as it becomes more advanced (periodontitis) it can lead to dental abscesse s and tooth loss. Baby tooth bleeding can occur for. Baby Gum Bleeding Around Tooth.
From www.youtube.com
GUM DISEASE IN KIDS. Causes & Treatment Bleeding Gums in Kids Dr. K Baby Gum Bleeding Around Tooth A common sign of gingivitis is bleeding gums, especially while brushing or flossing teeth. Toddler gum bleeding can result from inflammation and infections that endanger your teeth, mouth, and overall health. Many external factors can cause gum disease, as we will be discussing. Your toddler's mouth bacteria feed on sugars from sweet and starchy foods to form plaque on your. Baby Gum Bleeding Around Tooth.
From www.anchoragepediatricdentistry.com
Causes of Bleeding Gums in Children Anchorage Pediatric Dentistry Baby Gum Bleeding Around Tooth Bleeding gums in children indicate a problem with your little one’s oral health. These infections can even spread to other parts of the patient’s body and cause even more complications. Even if you just have red gums or a gum bleeding around one tooth, it could be a sign of oral and gum health problems that need attention. Many external. Baby Gum Bleeding Around Tooth.
From expressdentist.com
Why Do My Gums Bleed When I Brush My Teeth? Express Dentist Baby Gum Bleeding Around Tooth Even if you just have red gums or a gum bleeding around one tooth, it could be a sign of oral and gum health problems that need attention. These infections can even spread to other parts of the patient’s body and cause even more complications. Toddler gum bleeding can result from inflammation and infections that endanger your teeth, mouth, and. Baby Gum Bleeding Around Tooth.
From aila-allinha.blogspot.com
How To Stop Bleeding From Tooth Extraction Complications after tooth Baby Gum Bleeding Around Tooth Baby tooth bleeding can occur for several benign reasons: These infections can even spread to other parts of the patient’s body and cause even more complications. Bleeding gums in children indicate a problem with your little one’s oral health. A common sign of gingivitis is bleeding gums, especially while brushing or flossing teeth. Toddler gum bleeding can result from inflammation. Baby Gum Bleeding Around Tooth.
From crest.com
Baby Teething When It Starts, Signs, and Relief Crest Baby Gum Bleeding Around Tooth A common sign of gingivitis is bleeding gums, especially while brushing or flossing teeth. Even if you just have red gums or a gum bleeding around one tooth, it could be a sign of oral and gum health problems that need attention. There are actions that parents can take. Luckily, there are several ways to stop the swelling and bleeding. Baby Gum Bleeding Around Tooth.
From exosnquyu.blob.core.windows.net
Baby Teething Gum Looks Bruised at Lorraine Hood blog Baby Gum Bleeding Around Tooth Many external factors can cause gum disease, as we will be discussing. In its most mild form (gingivitis) it begins as slight swelling, redness and irritation around the gums, but as it becomes more advanced (periodontitis) it can lead to dental abscesse s and tooth loss. Your toddler's mouth bacteria feed on sugars from sweet and starchy foods to form. Baby Gum Bleeding Around Tooth.
From www.meaddental.co.uk
Why Are My Gums Bleeding & How To Prevent It? Mead Dental Baby Gum Bleeding Around Tooth Gum disease is almost always the result of poor oral hygiene. Many external factors can cause gum disease, as we will be discussing. Baby tooth bleeding can occur for several benign reasons: Even if you just have red gums or a gum bleeding around one tooth, it could be a sign of oral and gum health problems that need attention.. Baby Gum Bleeding Around Tooth.
From www.dentistabbotsford.com.au
Do Your Gums Bleed? Gum Bleeding Abbotsford Dental Clinic Baby Gum Bleeding Around Tooth In its most mild form (gingivitis) it begins as slight swelling, redness and irritation around the gums, but as it becomes more advanced (periodontitis) it can lead to dental abscesse s and tooth loss. There are actions that parents can take. Toddler gum bleeding can result from inflammation and infections that endanger your teeth, mouth, and overall health. Baby tooth. Baby Gum Bleeding Around Tooth.
From www.johnsondentalpaducah.com
Common Causes of Bleeding Gums Paducah Dentist Baby Gum Bleeding Around Tooth Even if you just have red gums or a gum bleeding around one tooth, it could be a sign of oral and gum health problems that need attention. Your toddler's mouth bacteria feed on sugars from sweet and starchy foods to form plaque on your little one's gums. Toddler gum bleeding can result from inflammation and infections that endanger your. Baby Gum Bleeding Around Tooth.
From www.sandersfamilydental.com
Kids and bleeding gums What should you do? Baby Gum Bleeding Around Tooth Even if you just have red gums or a gum bleeding around one tooth, it could be a sign of oral and gum health problems that need attention. These infections can even spread to other parts of the patient’s body and cause even more complications. Gum disease is almost always the result of poor oral hygiene. Toddler gum bleeding can. Baby Gum Bleeding Around Tooth.
From www.drrishisdental.com
BLEEDING GUMS, LOOSE TEETH, BAD BREATH, RECEEDING GUMS are the signs of Baby Gum Bleeding Around Tooth Luckily, there are several ways to stop the swelling and bleeding in children’s gums. In its most mild form (gingivitis) it begins as slight swelling, redness and irritation around the gums, but as it becomes more advanced (periodontitis) it can lead to dental abscesse s and tooth loss. Gum disease is almost always the result of poor oral hygiene. Baby. Baby Gum Bleeding Around Tooth.
From www.imumz.com
What do I do if My 812 MonthOld has Bleeding Gums? Baby Gum Bleeding Around Tooth Baby tooth bleeding can occur for several benign reasons: Many external factors can cause gum disease, as we will be discussing. Luckily, there are several ways to stop the swelling and bleeding in children’s gums. These infections can even spread to other parts of the patient’s body and cause even more complications. Even if you just have red gums or. Baby Gum Bleeding Around Tooth.
From www.pinterest.com
Taking Care Of Swollen, Bleeding Gums Bleeding gum, Gum disease Baby Gum Bleeding Around Tooth Many external factors can cause gum disease, as we will be discussing. These infections can even spread to other parts of the patient’s body and cause even more complications. Even if you just have red gums or a gum bleeding around one tooth, it could be a sign of oral and gum health problems that need attention. Luckily, there are. Baby Gum Bleeding Around Tooth.
From www.monavaledental.com.au
Bleeding gums in pregnancy? (Dr Alistair's guide to dental care) Baby Gum Bleeding Around Tooth These infections can even spread to other parts of the patient’s body and cause even more complications. Even if you just have red gums or a gum bleeding around one tooth, it could be a sign of oral and gum health problems that need attention. Your toddler's mouth bacteria feed on sugars from sweet and starchy foods to form plaque. Baby Gum Bleeding Around Tooth.
From teethposter.blogspot.com
Do Babies Gums Bleed When They Are Teething Teeth Poster Baby Gum Bleeding Around Tooth A common sign of gingivitis is bleeding gums, especially while brushing or flossing teeth. There are actions that parents can take. Gum disease is almost always the result of poor oral hygiene. These infections can even spread to other parts of the patient’s body and cause even more complications. Many external factors can cause gum disease, as we will be. Baby Gum Bleeding Around Tooth.
From parkwaypd.com
How to Treat Bleeding Gums in Toddlers? Parkway Pediatric Dentistry Baby Gum Bleeding Around Tooth These infections can even spread to other parts of the patient’s body and cause even more complications. Even if you just have red gums or a gum bleeding around one tooth, it could be a sign of oral and gum health problems that need attention. Bleeding gums in children indicate a problem with your little one’s oral health. Baby tooth. Baby Gum Bleeding Around Tooth.
From smilescentre.co.uk
Why do my gums bleed? Baby Gum Bleeding Around Tooth Even if you just have red gums or a gum bleeding around one tooth, it could be a sign of oral and gum health problems that need attention. Baby tooth bleeding can occur for several benign reasons: Luckily, there are several ways to stop the swelling and bleeding in children’s gums. There are actions that parents can take. These infections. Baby Gum Bleeding Around Tooth.