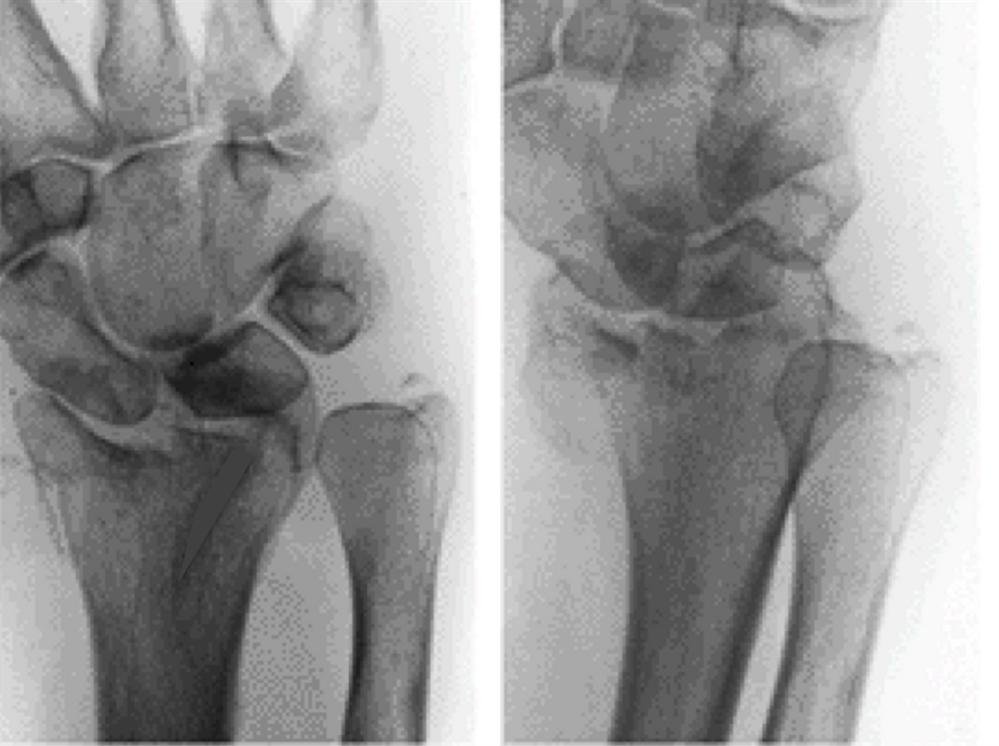
Die Punch Distal Radius Fracture . Diagnosis is made clinically and radiographically with orthogonal radiographs of. Visible deformity of the wrist is usually noted. Distal radius fractures are the most common orthopaedic injury and generally result from fall on an outstretched hand. Hand most commonly displaced in the dorsal direction.
from www.orthobullets.com
Diagnosis is made clinically and radiographically with orthogonal radiographs of. Distal radius fractures are the most common orthopaedic injury and generally result from fall on an outstretched hand. Hand most commonly displaced in the dorsal direction. Visible deformity of the wrist is usually noted.
Distal Radius Fractures Trauma Orthobullets
Die Punch Distal Radius Fracture Diagnosis is made clinically and radiographically with orthogonal radiographs of. Distal radius fractures are the most common orthopaedic injury and generally result from fall on an outstretched hand. Visible deformity of the wrist is usually noted. Hand most commonly displaced in the dorsal direction. Diagnosis is made clinically and radiographically with orthogonal radiographs of.
From www.slideshare.net
Fractures Of The Distal Radius Die Punch Distal Radius Fracture Diagnosis is made clinically and radiographically with orthogonal radiographs of. Hand most commonly displaced in the dorsal direction. Visible deformity of the wrist is usually noted. Distal radius fractures are the most common orthopaedic injury and generally result from fall on an outstretched hand. Die Punch Distal Radius Fracture.
From radiopaedia.org
Distal radius diepunch fracture Image Die Punch Distal Radius Fracture Hand most commonly displaced in the dorsal direction. Diagnosis is made clinically and radiographically with orthogonal radiographs of. Distal radius fractures are the most common orthopaedic injury and generally result from fall on an outstretched hand. Visible deformity of the wrist is usually noted. Die Punch Distal Radius Fracture.
From www.orthobullets.com
Distal Radius Fractures Trauma Orthobullets Die Punch Distal Radius Fracture Hand most commonly displaced in the dorsal direction. Visible deformity of the wrist is usually noted. Diagnosis is made clinically and radiographically with orthogonal radiographs of. Distal radius fractures are the most common orthopaedic injury and generally result from fall on an outstretched hand. Die Punch Distal Radius Fracture.
From www.physio-pedia.com
Distal Radial Fractures Physiopedia Die Punch Distal Radius Fracture Visible deformity of the wrist is usually noted. Distal radius fractures are the most common orthopaedic injury and generally result from fall on an outstretched hand. Hand most commonly displaced in the dorsal direction. Diagnosis is made clinically and radiographically with orthogonal radiographs of. Die Punch Distal Radius Fracture.
From musculoskeletalkey.com
Fractures of the Distal Radius Musculoskeletal Key Die Punch Distal Radius Fracture Visible deformity of the wrist is usually noted. Diagnosis is made clinically and radiographically with orthogonal radiographs of. Hand most commonly displaced in the dorsal direction. Distal radius fractures are the most common orthopaedic injury and generally result from fall on an outstretched hand. Die Punch Distal Radius Fracture.
From orthoconditioning.com
Case Distal Radius Fracture Ortho Conditioning Die Punch Distal Radius Fracture Distal radius fractures are the most common orthopaedic injury and generally result from fall on an outstretched hand. Visible deformity of the wrist is usually noted. Diagnosis is made clinically and radiographically with orthogonal radiographs of. Hand most commonly displaced in the dorsal direction. Die Punch Distal Radius Fracture.
From www.wikihow.com
4 Ways to Classify Distal Radius Fractures wikiHow Die Punch Distal Radius Fracture Hand most commonly displaced in the dorsal direction. Diagnosis is made clinically and radiographically with orthogonal radiographs of. Visible deformity of the wrist is usually noted. Distal radius fractures are the most common orthopaedic injury and generally result from fall on an outstretched hand. Die Punch Distal Radius Fracture.
From www.spandidos-publications.com
Identification of a novel three‑column classification for double‑column Die Punch Distal Radius Fracture Distal radius fractures are the most common orthopaedic injury and generally result from fall on an outstretched hand. Diagnosis is made clinically and radiographically with orthogonal radiographs of. Visible deformity of the wrist is usually noted. Hand most commonly displaced in the dorsal direction. Die Punch Distal Radius Fracture.
From www.semanticscholar.org
Imaging types of double‐column die‐punch fracture of the distal radius Die Punch Distal Radius Fracture Visible deformity of the wrist is usually noted. Hand most commonly displaced in the dorsal direction. Diagnosis is made clinically and radiographically with orthogonal radiographs of. Distal radius fractures are the most common orthopaedic injury and generally result from fall on an outstretched hand. Die Punch Distal Radius Fracture.
From www.orthobullets.com
Distal Radius Fractures Trauma Orthobullets Die Punch Distal Radius Fracture Hand most commonly displaced in the dorsal direction. Diagnosis is made clinically and radiographically with orthogonal radiographs of. Distal radius fractures are the most common orthopaedic injury and generally result from fall on an outstretched hand. Visible deformity of the wrist is usually noted. Die Punch Distal Radius Fracture.
From www.researchgate.net
A male patient, 44 years old, sustained intraarticular fracture of Die Punch Distal Radius Fracture Visible deformity of the wrist is usually noted. Diagnosis is made clinically and radiographically with orthogonal radiographs of. Distal radius fractures are the most common orthopaedic injury and generally result from fall on an outstretched hand. Hand most commonly displaced in the dorsal direction. Die Punch Distal Radius Fracture.
From radiopaedia.org
Distal radius diepunch fracture Image Die Punch Distal Radius Fracture Distal radius fractures are the most common orthopaedic injury and generally result from fall on an outstretched hand. Visible deformity of the wrist is usually noted. Diagnosis is made clinically and radiographically with orthogonal radiographs of. Hand most commonly displaced in the dorsal direction. Die Punch Distal Radius Fracture.
From www.slideshare.net
Fractures Of The Distal Radius Die Punch Distal Radius Fracture Visible deformity of the wrist is usually noted. Diagnosis is made clinically and radiographically with orthogonal radiographs of. Distal radius fractures are the most common orthopaedic injury and generally result from fall on an outstretched hand. Hand most commonly displaced in the dorsal direction. Die Punch Distal Radius Fracture.
From www.miamihandcenter.com
Distal Radial Fractures Treatment Miami Hand Center Die Punch Distal Radius Fracture Visible deformity of the wrist is usually noted. Distal radius fractures are the most common orthopaedic injury and generally result from fall on an outstretched hand. Diagnosis is made clinically and radiographically with orthogonal radiographs of. Hand most commonly displaced in the dorsal direction. Die Punch Distal Radius Fracture.
From www.semanticscholar.org
Figure 2 from Imaging types of double‐column die‐punch fracture of the Die Punch Distal Radius Fracture Visible deformity of the wrist is usually noted. Hand most commonly displaced in the dorsal direction. Distal radius fractures are the most common orthopaedic injury and generally result from fall on an outstretched hand. Diagnosis is made clinically and radiographically with orthogonal radiographs of. Die Punch Distal Radius Fracture.
From www.spandidos-publications.com
Identification of a novel three‑column classification for double‑column Die Punch Distal Radius Fracture Distal radius fractures are the most common orthopaedic injury and generally result from fall on an outstretched hand. Diagnosis is made clinically and radiographically with orthogonal radiographs of. Hand most commonly displaced in the dorsal direction. Visible deformity of the wrist is usually noted. Die Punch Distal Radius Fracture.
From www.lecturio.com
Distal Radius Fractures Concise Medical Knowledge Die Punch Distal Radius Fracture Visible deformity of the wrist is usually noted. Diagnosis is made clinically and radiographically with orthogonal radiographs of. Distal radius fractures are the most common orthopaedic injury and generally result from fall on an outstretched hand. Hand most commonly displaced in the dorsal direction. Die Punch Distal Radius Fracture.
From www.orthoinfo.org
Distal Radius Fractures (Broken Wrist) OrthoInfo AAOS Die Punch Distal Radius Fracture Visible deformity of the wrist is usually noted. Distal radius fractures are the most common orthopaedic injury and generally result from fall on an outstretched hand. Diagnosis is made clinically and radiographically with orthogonal radiographs of. Hand most commonly displaced in the dorsal direction. Die Punch Distal Radius Fracture.
From narodnatribuna.info
Distal Radius Fractures Trauma Die Punch Distal Radius Fracture Distal radius fractures are the most common orthopaedic injury and generally result from fall on an outstretched hand. Diagnosis is made clinically and radiographically with orthogonal radiographs of. Visible deformity of the wrist is usually noted. Hand most commonly displaced in the dorsal direction. Die Punch Distal Radius Fracture.
From mavink.com
Die Punch Fracture Distal Radius Die Punch Distal Radius Fracture Distal radius fractures are the most common orthopaedic injury and generally result from fall on an outstretched hand. Hand most commonly displaced in the dorsal direction. Visible deformity of the wrist is usually noted. Diagnosis is made clinically and radiographically with orthogonal radiographs of. Die Punch Distal Radius Fracture.
From www.researchgate.net
The threecolumn model of distal radius fracture Download Scientific Die Punch Distal Radius Fracture Visible deformity of the wrist is usually noted. Distal radius fractures are the most common orthopaedic injury and generally result from fall on an outstretched hand. Diagnosis is made clinically and radiographically with orthogonal radiographs of. Hand most commonly displaced in the dorsal direction. Die Punch Distal Radius Fracture.
From radiopaedia.org
Diepunch fracture Image Die Punch Distal Radius Fracture Distal radius fractures are the most common orthopaedic injury and generally result from fall on an outstretched hand. Diagnosis is made clinically and radiographically with orthogonal radiographs of. Visible deformity of the wrist is usually noted. Hand most commonly displaced in the dorsal direction. Die Punch Distal Radius Fracture.
From www.youtube.com
Distal Radius Intraarticular Fracture YouTube Die Punch Distal Radius Fracture Diagnosis is made clinically and radiographically with orthogonal radiographs of. Hand most commonly displaced in the dorsal direction. Distal radius fractures are the most common orthopaedic injury and generally result from fall on an outstretched hand. Visible deformity of the wrist is usually noted. Die Punch Distal Radius Fracture.
From orto.nu
orto.nu Fraktur distal radius (handledsfraktur) Die Punch Distal Radius Fracture Distal radius fractures are the most common orthopaedic injury and generally result from fall on an outstretched hand. Hand most commonly displaced in the dorsal direction. Diagnosis is made clinically and radiographically with orthogonal radiographs of. Visible deformity of the wrist is usually noted. Die Punch Distal Radius Fracture.
From www.medizin-kompakt.de
Distale Radiusfraktur MedkoM Die Punch Distal Radius Fracture Visible deformity of the wrist is usually noted. Hand most commonly displaced in the dorsal direction. Diagnosis is made clinically and radiographically with orthogonal radiographs of. Distal radius fractures are the most common orthopaedic injury and generally result from fall on an outstretched hand. Die Punch Distal Radius Fracture.
From mungfali.com
Intra Articular Distal Radius Fracture Die Punch Distal Radius Fracture Visible deformity of the wrist is usually noted. Hand most commonly displaced in the dorsal direction. Diagnosis is made clinically and radiographically with orthogonal radiographs of. Distal radius fractures are the most common orthopaedic injury and generally result from fall on an outstretched hand. Die Punch Distal Radius Fracture.
From radiopaedia.org
Diepunch fracture Image Die Punch Distal Radius Fracture Hand most commonly displaced in the dorsal direction. Distal radius fractures are the most common orthopaedic injury and generally result from fall on an outstretched hand. Diagnosis is made clinically and radiographically with orthogonal radiographs of. Visible deformity of the wrist is usually noted. Die Punch Distal Radius Fracture.
From www.spandidos-publications.com
Identification of a novel three‑column classification for double‑column Die Punch Distal Radius Fracture Hand most commonly displaced in the dorsal direction. Visible deformity of the wrist is usually noted. Distal radius fractures are the most common orthopaedic injury and generally result from fall on an outstretched hand. Diagnosis is made clinically and radiographically with orthogonal radiographs of. Die Punch Distal Radius Fracture.
From www.youtube.com
Common Types Of Distal Radius Fractures Everything You Need To Know Die Punch Distal Radius Fracture Visible deformity of the wrist is usually noted. Distal radius fractures are the most common orthopaedic injury and generally result from fall on an outstretched hand. Hand most commonly displaced in the dorsal direction. Diagnosis is made clinically and radiographically with orthogonal radiographs of. Die Punch Distal Radius Fracture.
From mungfali.com
Intra Articular Distal Radius Fracture Die Punch Distal Radius Fracture Visible deformity of the wrist is usually noted. Hand most commonly displaced in the dorsal direction. Diagnosis is made clinically and radiographically with orthogonal radiographs of. Distal radius fractures are the most common orthopaedic injury and generally result from fall on an outstretched hand. Die Punch Distal Radius Fracture.
From www.handtherapyacademy.com
Different types of distal radius fractures seen in the hand therapy clinic Die Punch Distal Radius Fracture Diagnosis is made clinically and radiographically with orthogonal radiographs of. Hand most commonly displaced in the dorsal direction. Visible deformity of the wrist is usually noted. Distal radius fractures are the most common orthopaedic injury and generally result from fall on an outstretched hand. Die Punch Distal Radius Fracture.
From www.lecturio.com
Fraturas do Rádio Distal Concise Medical Knowledge Die Punch Distal Radius Fracture Diagnosis is made clinically and radiographically with orthogonal radiographs of. Hand most commonly displaced in the dorsal direction. Visible deformity of the wrist is usually noted. Distal radius fractures are the most common orthopaedic injury and generally result from fall on an outstretched hand. Die Punch Distal Radius Fracture.
From mavink.com
Distal Radius Fracture Classifications Die Punch Distal Radius Fracture Diagnosis is made clinically and radiographically with orthogonal radiographs of. Distal radius fractures are the most common orthopaedic injury and generally result from fall on an outstretched hand. Visible deformity of the wrist is usually noted. Hand most commonly displaced in the dorsal direction. Die Punch Distal Radius Fracture.
From mavink.com
Die Punch Fracture Distal Radius Die Punch Distal Radius Fracture Distal radius fractures are the most common orthopaedic injury and generally result from fall on an outstretched hand. Visible deformity of the wrist is usually noted. Diagnosis is made clinically and radiographically with orthogonal radiographs of. Hand most commonly displaced in the dorsal direction. Die Punch Distal Radius Fracture.
From www.orthobullets.com
Distal Radius Fractures Trauma Orthobullets Die Punch Distal Radius Fracture Distal radius fractures are the most common orthopaedic injury and generally result from fall on an outstretched hand. Diagnosis is made clinically and radiographically with orthogonal radiographs of. Hand most commonly displaced in the dorsal direction. Visible deformity of the wrist is usually noted. Die Punch Distal Radius Fracture.