How To Use A Dental Leaf Gauge . www.phelandentalseminars.com in this video dr. Stevenson shows how to obtain an accurate and repeatable cr record using the leaf. in this concise video, dr. the leaf gauge has a large number of leaves on one hinge pin. the leaf gauge is held by the dentist or assistant with “x” number of leaves placed into the oral cavity at the midline, resting. By placing a couple of leaves between the front teeth, the back teeth become. the leaf gauge is held by the dentist or assistant with “x” number of leaves placed into the oral cavity at the midline, resting. how to guide for huffman leaf gauge the huffman dental leaf gauge is a very simple device similar to a feeler gauge except. part i and part ii of this series reviewed the four common uses for the leaf gauge, separating the. it covers the what a leaf gauge is, what its appropriate thickness should be, bite registration with was, and bite.
from www.prestige-dental.co.uk
By placing a couple of leaves between the front teeth, the back teeth become. the leaf gauge has a large number of leaves on one hinge pin. www.phelandentalseminars.com in this video dr. how to guide for huffman leaf gauge the huffman dental leaf gauge is a very simple device similar to a feeler gauge except. Stevenson shows how to obtain an accurate and repeatable cr record using the leaf. in this concise video, dr. the leaf gauge is held by the dentist or assistant with “x” number of leaves placed into the oral cavity at the midline, resting. part i and part ii of this series reviewed the four common uses for the leaf gauge, separating the. it covers the what a leaf gauge is, what its appropriate thickness should be, bite registration with was, and bite. the leaf gauge is held by the dentist or assistant with “x” number of leaves placed into the oral cavity at the midline, resting.
Autoclavable Leaf Gauge Prestige Dental
How To Use A Dental Leaf Gauge the leaf gauge is held by the dentist or assistant with “x” number of leaves placed into the oral cavity at the midline, resting. it covers the what a leaf gauge is, what its appropriate thickness should be, bite registration with was, and bite. the leaf gauge is held by the dentist or assistant with “x” number of leaves placed into the oral cavity at the midline, resting. www.phelandentalseminars.com in this video dr. part i and part ii of this series reviewed the four common uses for the leaf gauge, separating the. the leaf gauge is held by the dentist or assistant with “x” number of leaves placed into the oral cavity at the midline, resting. in this concise video, dr. Stevenson shows how to obtain an accurate and repeatable cr record using the leaf. how to guide for huffman leaf gauge the huffman dental leaf gauge is a very simple device similar to a feeler gauge except. the leaf gauge has a large number of leaves on one hinge pin. By placing a couple of leaves between the front teeth, the back teeth become.
From www.youtube.com
CR Record Leaf Gauge 2017 YouTube How To Use A Dental Leaf Gauge part i and part ii of this series reviewed the four common uses for the leaf gauge, separating the. By placing a couple of leaves between the front teeth, the back teeth become. www.phelandentalseminars.com in this video dr. how to guide for huffman leaf gauge the huffman dental leaf gauge is a very simple device similar to. How To Use A Dental Leaf Gauge.
From www.henryschein.com
9390DP Leaf Gauge Henry Schein Dental How To Use A Dental Leaf Gauge it covers the what a leaf gauge is, what its appropriate thickness should be, bite registration with was, and bite. how to guide for huffman leaf gauge the huffman dental leaf gauge is a very simple device similar to a feeler gauge except. Stevenson shows how to obtain an accurate and repeatable cr record using the leaf. . How To Use A Dental Leaf Gauge.
From bitemagazine.com.au
Leaf Gauge Bite Magazine How To Use A Dental Leaf Gauge the leaf gauge is held by the dentist or assistant with “x” number of leaves placed into the oral cavity at the midline, resting. part i and part ii of this series reviewed the four common uses for the leaf gauge, separating the. www.phelandentalseminars.com in this video dr. the leaf gauge is held by the dentist. How To Use A Dental Leaf Gauge.
From mikdental.in
Leaf Gauge MIK MIK Dental Store Dental Product How To Use A Dental Leaf Gauge Stevenson shows how to obtain an accurate and repeatable cr record using the leaf. the leaf gauge is held by the dentist or assistant with “x” number of leaves placed into the oral cavity at the midline, resting. the leaf gauge is held by the dentist or assistant with “x” number of leaves placed into the oral cavity. How To Use A Dental Leaf Gauge.
From www.prestige-dental.co.uk
Autoclavable Leaf Gauge Prestige Dental How To Use A Dental Leaf Gauge in this concise video, dr. the leaf gauge is held by the dentist or assistant with “x” number of leaves placed into the oral cavity at the midline, resting. www.phelandentalseminars.com in this video dr. part i and part ii of this series reviewed the four common uses for the leaf gauge, separating the. the leaf. How To Use A Dental Leaf Gauge.
From www.youtube.com
Clinical Occlusion Taking an accurate CR Record using a Leaf Gauge YouTube How To Use A Dental Leaf Gauge Stevenson shows how to obtain an accurate and repeatable cr record using the leaf. www.phelandentalseminars.com in this video dr. in this concise video, dr. it covers the what a leaf gauge is, what its appropriate thickness should be, bite registration with was, and bite. the leaf gauge is held by the dentist or assistant with “x”. How To Use A Dental Leaf Gauge.
From www.dental-tribune.com
Dental News Occlusion principles for the practising dentist in the digital age How To Use A Dental Leaf Gauge it covers the what a leaf gauge is, what its appropriate thickness should be, bite registration with was, and bite. the leaf gauge is held by the dentist or assistant with “x” number of leaves placed into the oral cavity at the midline, resting. the leaf gauge is held by the dentist or assistant with “x” number. How To Use A Dental Leaf Gauge.
From www.speareducation.com
Using a Leaf Gauge With Intention Part III Spear Education How To Use A Dental Leaf Gauge www.phelandentalseminars.com in this video dr. how to guide for huffman leaf gauge the huffman dental leaf gauge is a very simple device similar to a feeler gauge except. the leaf gauge has a large number of leaves on one hinge pin. Stevenson shows how to obtain an accurate and repeatable cr record using the leaf. it. How To Use A Dental Leaf Gauge.
From www.amazon.com
LeeMark Dental Leaf Gauge 3 Pack Health & Household How To Use A Dental Leaf Gauge the leaf gauge is held by the dentist or assistant with “x” number of leaves placed into the oral cavity at the midline, resting. it covers the what a leaf gauge is, what its appropriate thickness should be, bite registration with was, and bite. the leaf gauge has a large number of leaves on one hinge pin.. How To Use A Dental Leaf Gauge.
From burbankdental.com
Occlusal Guards and Splints Burbank Dental Lab How To Use A Dental Leaf Gauge how to guide for huffman leaf gauge the huffman dental leaf gauge is a very simple device similar to a feeler gauge except. in this concise video, dr. the leaf gauge is held by the dentist or assistant with “x” number of leaves placed into the oral cavity at the midline, resting. Stevenson shows how to obtain. How To Use A Dental Leaf Gauge.
From leeannbrady.com
Using a Leaf Gauge to Adjust an Occlusal Appliance Lee Ann Brady DMD How To Use A Dental Leaf Gauge www.phelandentalseminars.com in this video dr. By placing a couple of leaves between the front teeth, the back teeth become. it covers the what a leaf gauge is, what its appropriate thickness should be, bite registration with was, and bite. in this concise video, dr. how to guide for huffman leaf gauge the huffman dental leaf gauge. How To Use A Dental Leaf Gauge.
From www.shopkoreaonline.com
Dental Leaf Gauge Huffman Numbered Occlusal Measurement Autoclavable Tool How To Use A Dental Leaf Gauge in this concise video, dr. the leaf gauge is held by the dentist or assistant with “x” number of leaves placed into the oral cavity at the midline, resting. part i and part ii of this series reviewed the four common uses for the leaf gauge, separating the. Stevenson shows how to obtain an accurate and repeatable. How To Use A Dental Leaf Gauge.
From shop.fivestarortho.com
Bite Leaf Gauge Five Star Ortho How To Use A Dental Leaf Gauge the leaf gauge is held by the dentist or assistant with “x” number of leaves placed into the oral cavity at the midline, resting. www.phelandentalseminars.com in this video dr. By placing a couple of leaves between the front teeth, the back teeth become. how to guide for huffman leaf gauge the huffman dental leaf gauge is a. How To Use A Dental Leaf Gauge.
From www.greatlakesdentaltech.com
Leaf Gauge (3/pkg) Great Lakes Dental Technologies How To Use A Dental Leaf Gauge part i and part ii of this series reviewed the four common uses for the leaf gauge, separating the. the leaf gauge has a large number of leaves on one hinge pin. the leaf gauge is held by the dentist or assistant with “x” number of leaves placed into the oral cavity at the midline, resting. . How To Use A Dental Leaf Gauge.
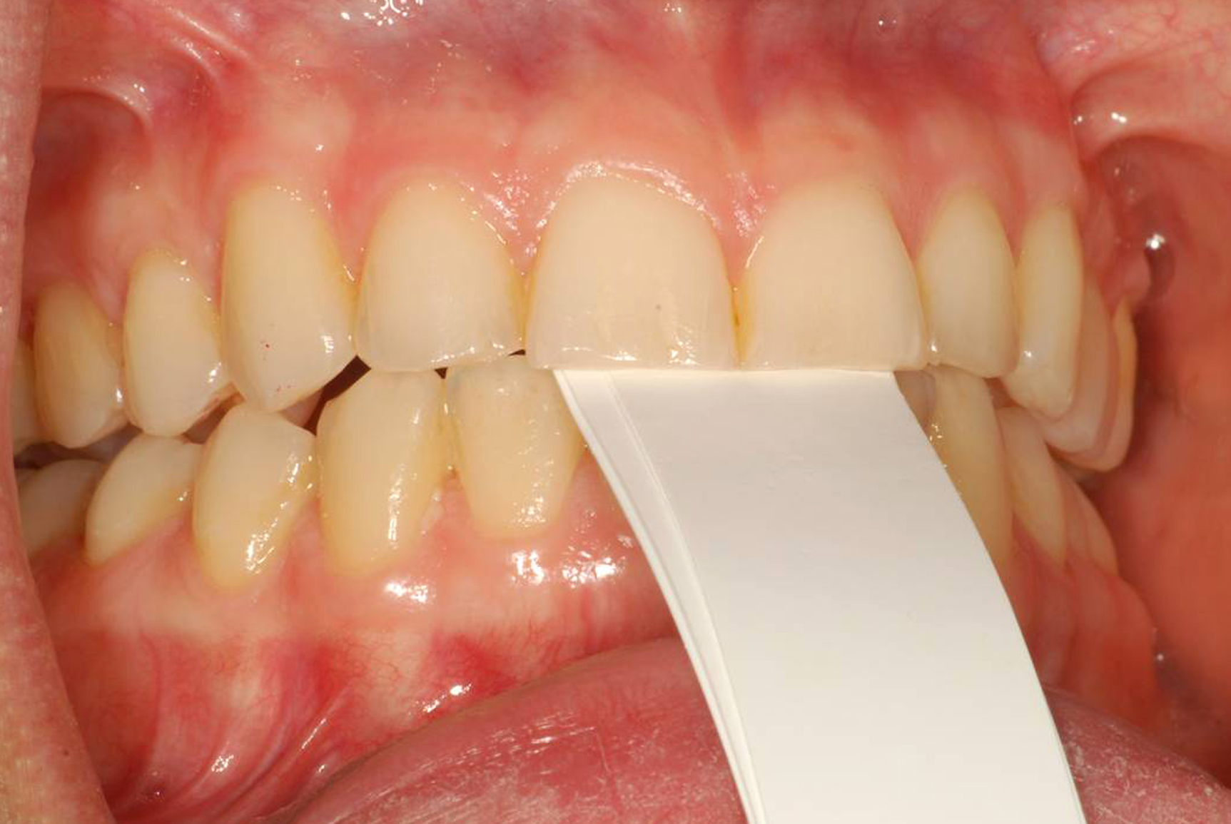
From www.researchgate.net
Leaf gauge used to nd centric relation at desired occlusal vertical... Download Scientific Diagram How To Use A Dental Leaf Gauge By placing a couple of leaves between the front teeth, the back teeth become. Stevenson shows how to obtain an accurate and repeatable cr record using the leaf. in this concise video, dr. how to guide for huffman leaf gauge the huffman dental leaf gauge is a very simple device similar to a feeler gauge except. it. How To Use A Dental Leaf Gauge.
From effi-dental.com
DENTAL MICRO BOLEY GAUGE How To Use A Dental Leaf Gauge www.phelandentalseminars.com in this video dr. By placing a couple of leaves between the front teeth, the back teeth become. Stevenson shows how to obtain an accurate and repeatable cr record using the leaf. how to guide for huffman leaf gauge the huffman dental leaf gauge is a very simple device similar to a feeler gauge except. the. How To Use A Dental Leaf Gauge.
From www.amazon.com
LeeMark Dental Leaf Gauge 3 Pack Industrial & Scientific How To Use A Dental Leaf Gauge part i and part ii of this series reviewed the four common uses for the leaf gauge, separating the. the leaf gauge has a large number of leaves on one hinge pin. it covers the what a leaf gauge is, what its appropriate thickness should be, bite registration with was, and bite. Stevenson shows how to obtain. How To Use A Dental Leaf Gauge.
From restorativenation.com
The Many Uses of a Leaf Gauge Restorative Nation How To Use A Dental Leaf Gauge part i and part ii of this series reviewed the four common uses for the leaf gauge, separating the. how to guide for huffman leaf gauge the huffman dental leaf gauge is a very simple device similar to a feeler gauge except. Stevenson shows how to obtain an accurate and repeatable cr record using the leaf. it. How To Use A Dental Leaf Gauge.
From www.speareducation.com
Leaf Gauge and the Orthodontic Finish Spear Education How To Use A Dental Leaf Gauge in this concise video, dr. Stevenson shows how to obtain an accurate and repeatable cr record using the leaf. the leaf gauge is held by the dentist or assistant with “x” number of leaves placed into the oral cavity at the midline, resting. the leaf gauge is held by the dentist or assistant with “x” number of. How To Use A Dental Leaf Gauge.
From www.walmart.com
7 Blades Dental Leaf Gauge Stainless Steel Feeler Gauge Metric Tooth Gap Measuring Tool How To Use A Dental Leaf Gauge it covers the what a leaf gauge is, what its appropriate thickness should be, bite registration with was, and bite. the leaf gauge is held by the dentist or assistant with “x” number of leaves placed into the oral cavity at the midline, resting. how to guide for huffman leaf gauge the huffman dental leaf gauge is. How To Use A Dental Leaf Gauge.
From www.speareducation.com
Using a Leaf Gauge With Intention Part III Spear Education How To Use A Dental Leaf Gauge By placing a couple of leaves between the front teeth, the back teeth become. Stevenson shows how to obtain an accurate and repeatable cr record using the leaf. part i and part ii of this series reviewed the four common uses for the leaf gauge, separating the. the leaf gauge has a large number of leaves on one. How To Use A Dental Leaf Gauge.
From www.youtube.com
Prepguage by MIK Dental YouTube How To Use A Dental Leaf Gauge the leaf gauge is held by the dentist or assistant with “x” number of leaves placed into the oral cavity at the midline, resting. www.phelandentalseminars.com in this video dr. it covers the what a leaf gauge is, what its appropriate thickness should be, bite registration with was, and bite. the leaf gauge has a large number. How To Use A Dental Leaf Gauge.
From www.prestige-dental.co.uk
Huffman Leaf Gauge Prestige Dental How To Use A Dental Leaf Gauge www.phelandentalseminars.com in this video dr. in this concise video, dr. the leaf gauge has a large number of leaves on one hinge pin. it covers the what a leaf gauge is, what its appropriate thickness should be, bite registration with was, and bite. By placing a couple of leaves between the front teeth, the back teeth. How To Use A Dental Leaf Gauge.
From dentacarts.com
Huffman Numbered Leaf Gauge How To Use A Dental Leaf Gauge By placing a couple of leaves between the front teeth, the back teeth become. how to guide for huffman leaf gauge the huffman dental leaf gauge is a very simple device similar to a feeler gauge except. it covers the what a leaf gauge is, what its appropriate thickness should be, bite registration with was, and bite. . How To Use A Dental Leaf Gauge.
From www.koiscenter.com
Leaf Gauge Kois Center How To Use A Dental Leaf Gauge it covers the what a leaf gauge is, what its appropriate thickness should be, bite registration with was, and bite. the leaf gauge has a large number of leaves on one hinge pin. part i and part ii of this series reviewed the four common uses for the leaf gauge, separating the. Stevenson shows how to obtain. How To Use A Dental Leaf Gauge.
From www.youtube.com
Using a Leaf Gauge with an Intraoral Scanner YouTube How To Use A Dental Leaf Gauge it covers the what a leaf gauge is, what its appropriate thickness should be, bite registration with was, and bite. the leaf gauge is held by the dentist or assistant with “x” number of leaves placed into the oral cavity at the midline, resting. the leaf gauge is held by the dentist or assistant with “x” number. How To Use A Dental Leaf Gauge.
From www.researchgate.net
Leaf gauge used to nd centric relation at desired occlusal vertical... Download Scientific Diagram How To Use A Dental Leaf Gauge Stevenson shows how to obtain an accurate and repeatable cr record using the leaf. the leaf gauge has a large number of leaves on one hinge pin. it covers the what a leaf gauge is, what its appropriate thickness should be, bite registration with was, and bite. the leaf gauge is held by the dentist or assistant. How To Use A Dental Leaf Gauge.
From www.arkhealth.com.au
Huffman Leaf Gauge Ark Health How To Use A Dental Leaf Gauge how to guide for huffman leaf gauge the huffman dental leaf gauge is a very simple device similar to a feeler gauge except. the leaf gauge is held by the dentist or assistant with “x” number of leaves placed into the oral cavity at the midline, resting. www.phelandentalseminars.com in this video dr. the leaf gauge is. How To Use A Dental Leaf Gauge.
From exotctonu.blob.core.windows.net
How Long Do You Leave Gauges In Before Changing Them at Anthony Santiago blog How To Use A Dental Leaf Gauge part i and part ii of this series reviewed the four common uses for the leaf gauge, separating the. www.phelandentalseminars.com in this video dr. it covers the what a leaf gauge is, what its appropriate thickness should be, bite registration with was, and bite. the leaf gauge is held by the dentist or assistant with “x”. How To Use A Dental Leaf Gauge.
From www.henryschein.ca
2880756 Leaf Gauge Henry Schein Dental How To Use A Dental Leaf Gauge the leaf gauge has a large number of leaves on one hinge pin. how to guide for huffman leaf gauge the huffman dental leaf gauge is a very simple device similar to a feeler gauge except. the leaf gauge is held by the dentist or assistant with “x” number of leaves placed into the oral cavity at. How To Use A Dental Leaf Gauge.
From www.researchgate.net
Centric relation recording using intraoral scanner. Download Scientific Diagram How To Use A Dental Leaf Gauge how to guide for huffman leaf gauge the huffman dental leaf gauge is a very simple device similar to a feeler gauge except. the leaf gauge is held by the dentist or assistant with “x” number of leaves placed into the oral cavity at the midline, resting. the leaf gauge is held by the dentist or assistant. How To Use A Dental Leaf Gauge.
From henryschein.com.au
S5316 Scheu CA Leaf Gauge Henry Schein Australian dental products, supplies and equipment How To Use A Dental Leaf Gauge By placing a couple of leaves between the front teeth, the back teeth become. it covers the what a leaf gauge is, what its appropriate thickness should be, bite registration with was, and bite. how to guide for huffman leaf gauge the huffman dental leaf gauge is a very simple device similar to a feeler gauge except. . How To Use A Dental Leaf Gauge.
From www.thejpd.org
Digital recording of a conventionally determined centric relation A technique using an How To Use A Dental Leaf Gauge it covers the what a leaf gauge is, what its appropriate thickness should be, bite registration with was, and bite. www.phelandentalseminars.com in this video dr. Stevenson shows how to obtain an accurate and repeatable cr record using the leaf. part i and part ii of this series reviewed the four common uses for the leaf gauge, separating. How To Use A Dental Leaf Gauge.
From mikdental.in
Leaf Gauge MIK MIK Dental Store Dental Product How To Use A Dental Leaf Gauge it covers the what a leaf gauge is, what its appropriate thickness should be, bite registration with was, and bite. the leaf gauge has a large number of leaves on one hinge pin. Stevenson shows how to obtain an accurate and repeatable cr record using the leaf. the leaf gauge is held by the dentist or assistant. How To Use A Dental Leaf Gauge.
From mikdental.in
Leaf Gauge MIK MIK Dental Store Dental Product How To Use A Dental Leaf Gauge how to guide for huffman leaf gauge the huffman dental leaf gauge is a very simple device similar to a feeler gauge except. www.phelandentalseminars.com in this video dr. the leaf gauge is held by the dentist or assistant with “x” number of leaves placed into the oral cavity at the midline, resting. it covers the what. How To Use A Dental Leaf Gauge.