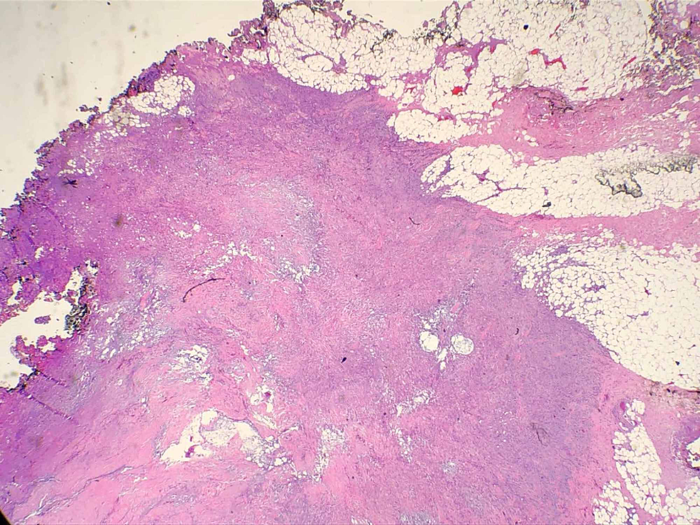
Basal Cell Carcinoma With Deep Margins . A heine delta 20 nonpolarized dermatoscope was used to examine each bcc to identify the lesion edge. This deep pattern of invasion makes it difficult for surgeons to fully remove the tumour. Following the determination of this subgroup of patients with basal cell carcinoma demonstrating positive margins after surgical. Margins for basal cell and squamous cell carcinomas primary and recurrent tumors get treated with marginal excisions. It is called “infiltrating” because the tumour is made up of small groups of cancer cells that grow deeply into a part of the skin called the dermis. Selection and statistical analysis of medical records of patients who had compromised margins after excision of basal cell carcinoma in.
from pcmedproject.com
Selection and statistical analysis of medical records of patients who had compromised margins after excision of basal cell carcinoma in. Margins for basal cell and squamous cell carcinomas primary and recurrent tumors get treated with marginal excisions. A heine delta 20 nonpolarized dermatoscope was used to examine each bcc to identify the lesion edge. This deep pattern of invasion makes it difficult for surgeons to fully remove the tumour. It is called “infiltrating” because the tumour is made up of small groups of cancer cells that grow deeply into a part of the skin called the dermis. Following the determination of this subgroup of patients with basal cell carcinoma demonstrating positive margins after surgical.
Basal Cell Carcinoma Clinical Presentation and Management PcMED Project
Basal Cell Carcinoma With Deep Margins A heine delta 20 nonpolarized dermatoscope was used to examine each bcc to identify the lesion edge. Selection and statistical analysis of medical records of patients who had compromised margins after excision of basal cell carcinoma in. A heine delta 20 nonpolarized dermatoscope was used to examine each bcc to identify the lesion edge. It is called “infiltrating” because the tumour is made up of small groups of cancer cells that grow deeply into a part of the skin called the dermis. Margins for basal cell and squamous cell carcinomas primary and recurrent tumors get treated with marginal excisions. This deep pattern of invasion makes it difficult for surgeons to fully remove the tumour. Following the determination of this subgroup of patients with basal cell carcinoma demonstrating positive margins after surgical.
From healthjade.net
Basal Cell Carcinoma Causes, Types, Symptoms, Prognosis, Treatment Basal Cell Carcinoma With Deep Margins Selection and statistical analysis of medical records of patients who had compromised margins after excision of basal cell carcinoma in. Following the determination of this subgroup of patients with basal cell carcinoma demonstrating positive margins after surgical. This deep pattern of invasion makes it difficult for surgeons to fully remove the tumour. Margins for basal cell and squamous cell carcinomas. Basal Cell Carcinoma With Deep Margins.
From www.mdedge.com
Basal Cell Carcinoma MDedge Dermatology Basal Cell Carcinoma With Deep Margins Selection and statistical analysis of medical records of patients who had compromised margins after excision of basal cell carcinoma in. Margins for basal cell and squamous cell carcinomas primary and recurrent tumors get treated with marginal excisions. A heine delta 20 nonpolarized dermatoscope was used to examine each bcc to identify the lesion edge. This deep pattern of invasion makes. Basal Cell Carcinoma With Deep Margins.
From loebxnuss.blob.core.windows.net
Retinoid Basal Cell Carcinoma at Jewell Clouser blog Basal Cell Carcinoma With Deep Margins It is called “infiltrating” because the tumour is made up of small groups of cancer cells that grow deeply into a part of the skin called the dermis. Following the determination of this subgroup of patients with basal cell carcinoma demonstrating positive margins after surgical. Margins for basal cell and squamous cell carcinomas primary and recurrent tumors get treated with. Basal Cell Carcinoma With Deep Margins.
From mungfali.com
Basal Cell Carcinoma Types Basal Cell Carcinoma With Deep Margins Margins for basal cell and squamous cell carcinomas primary and recurrent tumors get treated with marginal excisions. Following the determination of this subgroup of patients with basal cell carcinoma demonstrating positive margins after surgical. A heine delta 20 nonpolarized dermatoscope was used to examine each bcc to identify the lesion edge. It is called “infiltrating” because the tumour is made. Basal Cell Carcinoma With Deep Margins.
From mungfali.com
Basal Cell Carcinoma Types Basal Cell Carcinoma With Deep Margins Selection and statistical analysis of medical records of patients who had compromised margins after excision of basal cell carcinoma in. Following the determination of this subgroup of patients with basal cell carcinoma demonstrating positive margins after surgical. This deep pattern of invasion makes it difficult for surgeons to fully remove the tumour. Margins for basal cell and squamous cell carcinomas. Basal Cell Carcinoma With Deep Margins.
From mungfali.com
Basal Cell Carcinoma Types Basal Cell Carcinoma With Deep Margins It is called “infiltrating” because the tumour is made up of small groups of cancer cells that grow deeply into a part of the skin called the dermis. Selection and statistical analysis of medical records of patients who had compromised margins after excision of basal cell carcinoma in. Following the determination of this subgroup of patients with basal cell carcinoma. Basal Cell Carcinoma With Deep Margins.
From www.obgproject.com
Basal Cell Carcinoma Clinical Presentation and Management The ObG Basal Cell Carcinoma With Deep Margins Selection and statistical analysis of medical records of patients who had compromised margins after excision of basal cell carcinoma in. It is called “infiltrating” because the tumour is made up of small groups of cancer cells that grow deeply into a part of the skin called the dermis. A heine delta 20 nonpolarized dermatoscope was used to examine each bcc. Basal Cell Carcinoma With Deep Margins.
From teachmesurgery.com
Squamous Cell Carcinoma Excision Prognosis TeachMeSurgery Basal Cell Carcinoma With Deep Margins Selection and statistical analysis of medical records of patients who had compromised margins after excision of basal cell carcinoma in. A heine delta 20 nonpolarized dermatoscope was used to examine each bcc to identify the lesion edge. Following the determination of this subgroup of patients with basal cell carcinoma demonstrating positive margins after surgical. Margins for basal cell and squamous. Basal Cell Carcinoma With Deep Margins.
From mavink.com
Basal Cell Carcinoma Margins Basal Cell Carcinoma With Deep Margins It is called “infiltrating” because the tumour is made up of small groups of cancer cells that grow deeply into a part of the skin called the dermis. Following the determination of this subgroup of patients with basal cell carcinoma demonstrating positive margins after surgical. Margins for basal cell and squamous cell carcinomas primary and recurrent tumors get treated with. Basal Cell Carcinoma With Deep Margins.
From www.cureus.com
Giant Ulcerative Basal Cell Carcinoma with Local Metastasis A Case Basal Cell Carcinoma With Deep Margins It is called “infiltrating” because the tumour is made up of small groups of cancer cells that grow deeply into a part of the skin called the dermis. Following the determination of this subgroup of patients with basal cell carcinoma demonstrating positive margins after surgical. Selection and statistical analysis of medical records of patients who had compromised margins after excision. Basal Cell Carcinoma With Deep Margins.
From healthjade.net
Basal Cell Carcinoma Causes, Types, Symptoms, Prognosis, Treatment Basal Cell Carcinoma With Deep Margins Following the determination of this subgroup of patients with basal cell carcinoma demonstrating positive margins after surgical. It is called “infiltrating” because the tumour is made up of small groups of cancer cells that grow deeply into a part of the skin called the dermis. A heine delta 20 nonpolarized dermatoscope was used to examine each bcc to identify the. Basal Cell Carcinoma With Deep Margins.
From www.sciencephoto.com
Superficial basal cell carcinoma Stock Image C056/5215 Science Basal Cell Carcinoma With Deep Margins It is called “infiltrating” because the tumour is made up of small groups of cancer cells that grow deeply into a part of the skin called the dermis. Margins for basal cell and squamous cell carcinomas primary and recurrent tumors get treated with marginal excisions. Following the determination of this subgroup of patients with basal cell carcinoma demonstrating positive margins. Basal Cell Carcinoma With Deep Margins.
From www.sciencephoto.com
Treatment of superficial basal cell carcinoma Stock Image C056/6742 Basal Cell Carcinoma With Deep Margins Margins for basal cell and squamous cell carcinomas primary and recurrent tumors get treated with marginal excisions. Selection and statistical analysis of medical records of patients who had compromised margins after excision of basal cell carcinoma in. Following the determination of this subgroup of patients with basal cell carcinoma demonstrating positive margins after surgical. It is called “infiltrating” because the. Basal Cell Carcinoma With Deep Margins.
From www.stmichaelsclinic.co.uk
Basal Cell Carcinoma St Michaels Clinic Basal Cell Carcinoma With Deep Margins Selection and statistical analysis of medical records of patients who had compromised margins after excision of basal cell carcinoma in. A heine delta 20 nonpolarized dermatoscope was used to examine each bcc to identify the lesion edge. It is called “infiltrating” because the tumour is made up of small groups of cancer cells that grow deeply into a part of. Basal Cell Carcinoma With Deep Margins.
From www.verywellhealth.com
Squamous and Basal Cell Carcinoma Surgical Margins Basal Cell Carcinoma With Deep Margins Following the determination of this subgroup of patients with basal cell carcinoma demonstrating positive margins after surgical. This deep pattern of invasion makes it difficult for surgeons to fully remove the tumour. Selection and statistical analysis of medical records of patients who had compromised margins after excision of basal cell carcinoma in. Margins for basal cell and squamous cell carcinomas. Basal Cell Carcinoma With Deep Margins.
From ar.inspiredpencil.com
Superficial Basal Cell Carcinoma Basal Cell Carcinoma With Deep Margins Selection and statistical analysis of medical records of patients who had compromised margins after excision of basal cell carcinoma in. Following the determination of this subgroup of patients with basal cell carcinoma demonstrating positive margins after surgical. Margins for basal cell and squamous cell carcinomas primary and recurrent tumors get treated with marginal excisions. A heine delta 20 nonpolarized dermatoscope. Basal Cell Carcinoma With Deep Margins.
From twitter.com
Pathology WalkerAuto Tweet Bot on Twitter "Basal cell carcinoma with Basal Cell Carcinoma With Deep Margins This deep pattern of invasion makes it difficult for surgeons to fully remove the tumour. Following the determination of this subgroup of patients with basal cell carcinoma demonstrating positive margins after surgical. It is called “infiltrating” because the tumour is made up of small groups of cancer cells that grow deeply into a part of the skin called the dermis.. Basal Cell Carcinoma With Deep Margins.
From www.researchgate.net
The patient presented with a recurrent basal cell carcinoma of the Basal Cell Carcinoma With Deep Margins Following the determination of this subgroup of patients with basal cell carcinoma demonstrating positive margins after surgical. Selection and statistical analysis of medical records of patients who had compromised margins after excision of basal cell carcinoma in. Margins for basal cell and squamous cell carcinomas primary and recurrent tumors get treated with marginal excisions. This deep pattern of invasion makes. Basal Cell Carcinoma With Deep Margins.
From pcmedproject.com
Basal Cell Carcinoma Clinical Presentation and Management PcMED Project Basal Cell Carcinoma With Deep Margins A heine delta 20 nonpolarized dermatoscope was used to examine each bcc to identify the lesion edge. This deep pattern of invasion makes it difficult for surgeons to fully remove the tumour. Margins for basal cell and squamous cell carcinomas primary and recurrent tumors get treated with marginal excisions. Selection and statistical analysis of medical records of patients who had. Basal Cell Carcinoma With Deep Margins.
From www.sciencephoto.com
Nodular basal cell carcinoma Stock Image C056/2576 Science Photo Basal Cell Carcinoma With Deep Margins A heine delta 20 nonpolarized dermatoscope was used to examine each bcc to identify the lesion edge. Margins for basal cell and squamous cell carcinomas primary and recurrent tumors get treated with marginal excisions. This deep pattern of invasion makes it difficult for surgeons to fully remove the tumour. Selection and statistical analysis of medical records of patients who had. Basal Cell Carcinoma With Deep Margins.
From cancer.se
Basalcellscancer Cancer.se Basal Cell Carcinoma With Deep Margins Margins for basal cell and squamous cell carcinomas primary and recurrent tumors get treated with marginal excisions. It is called “infiltrating” because the tumour is made up of small groups of cancer cells that grow deeply into a part of the skin called the dermis. Following the determination of this subgroup of patients with basal cell carcinoma demonstrating positive margins. Basal Cell Carcinoma With Deep Margins.
From mungfali.com
Basal Cell Carcinoma Types Basal Cell Carcinoma With Deep Margins It is called “infiltrating” because the tumour is made up of small groups of cancer cells that grow deeply into a part of the skin called the dermis. Selection and statistical analysis of medical records of patients who had compromised margins after excision of basal cell carcinoma in. A heine delta 20 nonpolarized dermatoscope was used to examine each bcc. Basal Cell Carcinoma With Deep Margins.
From www.torontominorsurgery.com
Basal Cell Carcinoma Removal Basal Cell Carcinoma Treatment Basal Cell Carcinoma With Deep Margins Following the determination of this subgroup of patients with basal cell carcinoma demonstrating positive margins after surgical. It is called “infiltrating” because the tumour is made up of small groups of cancer cells that grow deeply into a part of the skin called the dermis. Selection and statistical analysis of medical records of patients who had compromised margins after excision. Basal Cell Carcinoma With Deep Margins.
From www.alamy.com
MODEL RELEASED. Basal cell carcinoma on the skin of a 75yearold man Basal Cell Carcinoma With Deep Margins Margins for basal cell and squamous cell carcinomas primary and recurrent tumors get treated with marginal excisions. This deep pattern of invasion makes it difficult for surgeons to fully remove the tumour. Selection and statistical analysis of medical records of patients who had compromised margins after excision of basal cell carcinoma in. Following the determination of this subgroup of patients. Basal Cell Carcinoma With Deep Margins.
From healthjade.com
Basal Cell Carcinoma Causes, Types, Symptoms, Prognosis, Treatment Basal Cell Carcinoma With Deep Margins Selection and statistical analysis of medical records of patients who had compromised margins after excision of basal cell carcinoma in. This deep pattern of invasion makes it difficult for surgeons to fully remove the tumour. It is called “infiltrating” because the tumour is made up of small groups of cancer cells that grow deeply into a part of the skin. Basal Cell Carcinoma With Deep Margins.
From cbdskincancer.com.au
Squamous Cell Carcinoma (SCC) CBD Skin Cancer Clinic Basal Cell Carcinoma With Deep Margins This deep pattern of invasion makes it difficult for surgeons to fully remove the tumour. Selection and statistical analysis of medical records of patients who had compromised margins after excision of basal cell carcinoma in. A heine delta 20 nonpolarized dermatoscope was used to examine each bcc to identify the lesion edge. Following the determination of this subgroup of patients. Basal Cell Carcinoma With Deep Margins.
From www.researchgate.net
Preauricular basal cell carcinoma (case) surgical safety margins at 3 Basal Cell Carcinoma With Deep Margins Selection and statistical analysis of medical records of patients who had compromised margins after excision of basal cell carcinoma in. This deep pattern of invasion makes it difficult for surgeons to fully remove the tumour. Margins for basal cell and squamous cell carcinomas primary and recurrent tumors get treated with marginal excisions. A heine delta 20 nonpolarized dermatoscope was used. Basal Cell Carcinoma With Deep Margins.
From www.semanticscholar.org
Figure 1 from Shadow cell basal cell carcinoma with acantholysis Basal Cell Carcinoma With Deep Margins Selection and statistical analysis of medical records of patients who had compromised margins after excision of basal cell carcinoma in. Margins for basal cell and squamous cell carcinomas primary and recurrent tumors get treated with marginal excisions. Following the determination of this subgroup of patients with basal cell carcinoma demonstrating positive margins after surgical. A heine delta 20 nonpolarized dermatoscope. Basal Cell Carcinoma With Deep Margins.
From healthjade.net
Basal Cell Carcinoma Causes, Types, Symptoms, Prognosis, Treatment Basal Cell Carcinoma With Deep Margins A heine delta 20 nonpolarized dermatoscope was used to examine each bcc to identify the lesion edge. Margins for basal cell and squamous cell carcinomas primary and recurrent tumors get treated with marginal excisions. It is called “infiltrating” because the tumour is made up of small groups of cancer cells that grow deeply into a part of the skin called. Basal Cell Carcinoma With Deep Margins.
From miiskin.com
Basal Cell Carcinoma Symptoms, Types and Pictures Basal Cell Carcinoma With Deep Margins Margins for basal cell and squamous cell carcinomas primary and recurrent tumors get treated with marginal excisions. A heine delta 20 nonpolarized dermatoscope was used to examine each bcc to identify the lesion edge. This deep pattern of invasion makes it difficult for surgeons to fully remove the tumour. It is called “infiltrating” because the tumour is made up of. Basal Cell Carcinoma With Deep Margins.
From www.fortbendmohs.com
Basal Cell Carcinoma Basal Cell Carcinoma With Deep Margins This deep pattern of invasion makes it difficult for surgeons to fully remove the tumour. Margins for basal cell and squamous cell carcinomas primary and recurrent tumors get treated with marginal excisions. Following the determination of this subgroup of patients with basal cell carcinoma demonstrating positive margins after surgical. It is called “infiltrating” because the tumour is made up of. Basal Cell Carcinoma With Deep Margins.
From www.dermatologyadvisor.com
Basal Cell Carcinoma Dermatology Advisor Basal Cell Carcinoma With Deep Margins Margins for basal cell and squamous cell carcinomas primary and recurrent tumors get treated with marginal excisions. It is called “infiltrating” because the tumour is made up of small groups of cancer cells that grow deeply into a part of the skin called the dermis. This deep pattern of invasion makes it difficult for surgeons to fully remove the tumour.. Basal Cell Carcinoma With Deep Margins.
From www.torontominorsurgery.com
Basal Cell Carcinoma Removal Basal Cell Carcinoma Treatment Basal Cell Carcinoma With Deep Margins This deep pattern of invasion makes it difficult for surgeons to fully remove the tumour. It is called “infiltrating” because the tumour is made up of small groups of cancer cells that grow deeply into a part of the skin called the dermis. Selection and statistical analysis of medical records of patients who had compromised margins after excision of basal. Basal Cell Carcinoma With Deep Margins.
From www.verywellhealth.com
Basal Cell Cancer Signs, Symptoms, and Complications Basal Cell Carcinoma With Deep Margins Margins for basal cell and squamous cell carcinomas primary and recurrent tumors get treated with marginal excisions. A heine delta 20 nonpolarized dermatoscope was used to examine each bcc to identify the lesion edge. It is called “infiltrating” because the tumour is made up of small groups of cancer cells that grow deeply into a part of the skin called. Basal Cell Carcinoma With Deep Margins.
From clinicalgate.com
Actinic Keratosis, Basal Cell Carcinoma, and Squamous Cell Carcinoma Basal Cell Carcinoma With Deep Margins Selection and statistical analysis of medical records of patients who had compromised margins after excision of basal cell carcinoma in. It is called “infiltrating” because the tumour is made up of small groups of cancer cells that grow deeply into a part of the skin called the dermis. This deep pattern of invasion makes it difficult for surgeons to fully. Basal Cell Carcinoma With Deep Margins.