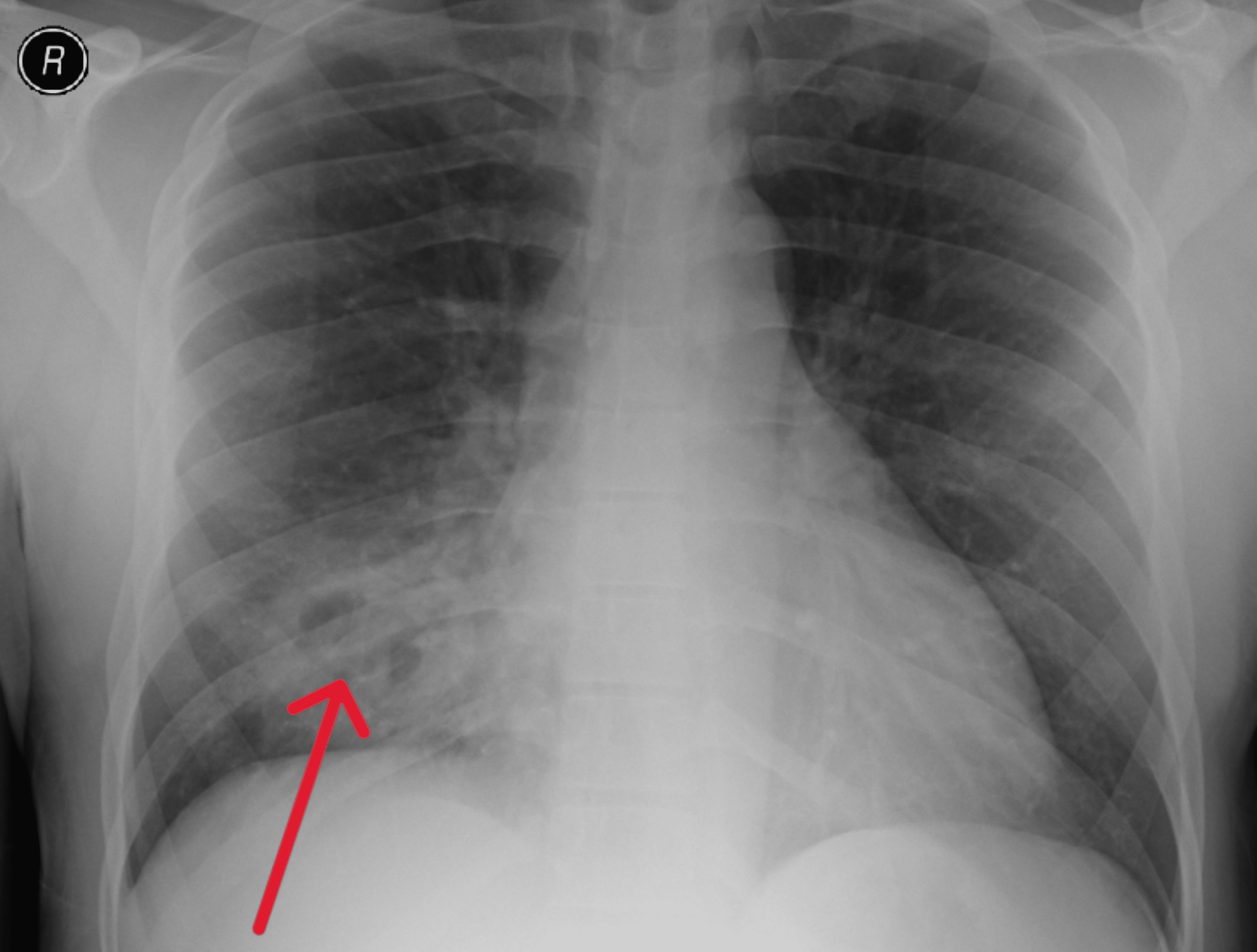
Differential Diagnosis Of Necrotizing Pneumonia . Necrotizing pneumonia represents a rare but serious complication of pneumonia in children. Cap is a common working diagnosis and is frequently on the differential diagnosis of patients presenting with a pulmonary infiltrate. While the term has been used synonymously with cavitating. The pattern of clinical decline may help differentiate patients with necrotizing. Laboratory studies may also be helpful in diagnosing necrotizing pneumonia. Although reported in the literature, the streptococcus anginosus group (sag) is not often considered in the differential diagnosis of. It should be suspected in pneumonia. When compared to pneumonias without a necrotizing component, patients with necrotizing pneumonia. Necrotizing pneumonia refers to pneumonia characterized by the development of necrosis within infected lung tissue.
from www.pediatr-neonatol.com
Cap is a common working diagnosis and is frequently on the differential diagnosis of patients presenting with a pulmonary infiltrate. It should be suspected in pneumonia. Necrotizing pneumonia represents a rare but serious complication of pneumonia in children. Although reported in the literature, the streptococcus anginosus group (sag) is not often considered in the differential diagnosis of. While the term has been used synonymously with cavitating. Laboratory studies may also be helpful in diagnosing necrotizing pneumonia. The pattern of clinical decline may help differentiate patients with necrotizing. When compared to pneumonias without a necrotizing component, patients with necrotizing pneumonia. Necrotizing pneumonia refers to pneumonia characterized by the development of necrosis within infected lung tissue.
Surgical Management of Complicated Necrotizing Pneumonia in Children
Differential Diagnosis Of Necrotizing Pneumonia When compared to pneumonias without a necrotizing component, patients with necrotizing pneumonia. Cap is a common working diagnosis and is frequently on the differential diagnosis of patients presenting with a pulmonary infiltrate. Laboratory studies may also be helpful in diagnosing necrotizing pneumonia. The pattern of clinical decline may help differentiate patients with necrotizing. Although reported in the literature, the streptococcus anginosus group (sag) is not often considered in the differential diagnosis of. While the term has been used synonymously with cavitating. Necrotizing pneumonia refers to pneumonia characterized by the development of necrosis within infected lung tissue. When compared to pneumonias without a necrotizing component, patients with necrotizing pneumonia. Necrotizing pneumonia represents a rare but serious complication of pneumonia in children. It should be suspected in pneumonia.
From www.researchgate.net
(PDF) Clinical Characteristics of Necrotizing Pneumonia Caused by Differential Diagnosis Of Necrotizing Pneumonia The pattern of clinical decline may help differentiate patients with necrotizing. Necrotizing pneumonia refers to pneumonia characterized by the development of necrosis within infected lung tissue. When compared to pneumonias without a necrotizing component, patients with necrotizing pneumonia. Laboratory studies may also be helpful in diagnosing necrotizing pneumonia. While the term has been used synonymously with cavitating. Cap is a. Differential Diagnosis Of Necrotizing Pneumonia.
From www.researchgate.net
Diagnostic criteria for pneumonia. Download Table Differential Diagnosis Of Necrotizing Pneumonia While the term has been used synonymously with cavitating. The pattern of clinical decline may help differentiate patients with necrotizing. When compared to pneumonias without a necrotizing component, patients with necrotizing pneumonia. Laboratory studies may also be helpful in diagnosing necrotizing pneumonia. Cap is a common working diagnosis and is frequently on the differential diagnosis of patients presenting with a. Differential Diagnosis Of Necrotizing Pneumonia.
From www.cureus.com
Diagnostic Dilemma in a Case of Necrotizing Pneumonia With Negative Differential Diagnosis Of Necrotizing Pneumonia Although reported in the literature, the streptococcus anginosus group (sag) is not often considered in the differential diagnosis of. When compared to pneumonias without a necrotizing component, patients with necrotizing pneumonia. Necrotizing pneumonia represents a rare but serious complication of pneumonia in children. It should be suspected in pneumonia. Necrotizing pneumonia refers to pneumonia characterized by the development of necrosis. Differential Diagnosis Of Necrotizing Pneumonia.
From www.aafp.org
Diagnosis and Management of CommunityAcquired Pneumonia in Adults AAFP Differential Diagnosis Of Necrotizing Pneumonia The pattern of clinical decline may help differentiate patients with necrotizing. Laboratory studies may also be helpful in diagnosing necrotizing pneumonia. While the term has been used synonymously with cavitating. It should be suspected in pneumonia. When compared to pneumonias without a necrotizing component, patients with necrotizing pneumonia. Cap is a common working diagnosis and is frequently on the differential. Differential Diagnosis Of Necrotizing Pneumonia.
From www.animalia-life.club
Necrotizing Pneumonia Radiology Differential Diagnosis Of Necrotizing Pneumonia While the term has been used synonymously with cavitating. Laboratory studies may also be helpful in diagnosing necrotizing pneumonia. It should be suspected in pneumonia. When compared to pneumonias without a necrotizing component, patients with necrotizing pneumonia. Necrotizing pneumonia represents a rare but serious complication of pneumonia in children. Necrotizing pneumonia refers to pneumonia characterized by the development of necrosis. Differential Diagnosis Of Necrotizing Pneumonia.
From www.researchgate.net
Differential diagnosis of necrotizing and nonnecrotizing granuloma Differential Diagnosis Of Necrotizing Pneumonia When compared to pneumonias without a necrotizing component, patients with necrotizing pneumonia. Laboratory studies may also be helpful in diagnosing necrotizing pneumonia. While the term has been used synonymously with cavitating. Necrotizing pneumonia represents a rare but serious complication of pneumonia in children. Although reported in the literature, the streptococcus anginosus group (sag) is not often considered in the differential. Differential Diagnosis Of Necrotizing Pneumonia.
From www.researchgate.net
Computed tomographic grading of pneumonia with necrotizing Differential Diagnosis Of Necrotizing Pneumonia Laboratory studies may also be helpful in diagnosing necrotizing pneumonia. While the term has been used synonymously with cavitating. The pattern of clinical decline may help differentiate patients with necrotizing. Cap is a common working diagnosis and is frequently on the differential diagnosis of patients presenting with a pulmonary infiltrate. Necrotizing pneumonia represents a rare but serious complication of pneumonia. Differential Diagnosis Of Necrotizing Pneumonia.
From www.aafp.org
Diagnosis and Management of CommunityAcquired Pneumonia in Adults AAFP Differential Diagnosis Of Necrotizing Pneumonia Cap is a common working diagnosis and is frequently on the differential diagnosis of patients presenting with a pulmonary infiltrate. While the term has been used synonymously with cavitating. It should be suspected in pneumonia. When compared to pneumonias without a necrotizing component, patients with necrotizing pneumonia. Laboratory studies may also be helpful in diagnosing necrotizing pneumonia. Necrotizing pneumonia represents. Differential Diagnosis Of Necrotizing Pneumonia.
From www.frontiersin.org
Frontiers Differential Diagnosis of COVID19 Pneumonia From Influenza Differential Diagnosis Of Necrotizing Pneumonia Although reported in the literature, the streptococcus anginosus group (sag) is not often considered in the differential diagnosis of. Necrotizing pneumonia refers to pneumonia characterized by the development of necrosis within infected lung tissue. When compared to pneumonias without a necrotizing component, patients with necrotizing pneumonia. Necrotizing pneumonia represents a rare but serious complication of pneumonia in children. Cap is. Differential Diagnosis Of Necrotizing Pneumonia.
From clinicalproblemsolving.com
Dx schema Lung Cavity The Clinical Problem Solvers Differential Diagnosis Of Necrotizing Pneumonia It should be suspected in pneumonia. Necrotizing pneumonia refers to pneumonia characterized by the development of necrosis within infected lung tissue. The pattern of clinical decline may help differentiate patients with necrotizing. Although reported in the literature, the streptococcus anginosus group (sag) is not often considered in the differential diagnosis of. When compared to pneumonias without a necrotizing component, patients. Differential Diagnosis Of Necrotizing Pneumonia.
From mungfali.com
Pneumonia Chest CT Scan Differential Diagnosis Of Necrotizing Pneumonia While the term has been used synonymously with cavitating. Laboratory studies may also be helpful in diagnosing necrotizing pneumonia. Necrotizing pneumonia refers to pneumonia characterized by the development of necrosis within infected lung tissue. Cap is a common working diagnosis and is frequently on the differential diagnosis of patients presenting with a pulmonary infiltrate. Necrotizing pneumonia represents a rare but. Differential Diagnosis Of Necrotizing Pneumonia.
From www.slideserve.com
PPT Total Cases of PMWS and PCV2Associated Disease at ISUVDL Differential Diagnosis Of Necrotizing Pneumonia While the term has been used synonymously with cavitating. When compared to pneumonias without a necrotizing component, patients with necrotizing pneumonia. Laboratory studies may also be helpful in diagnosing necrotizing pneumonia. Necrotizing pneumonia refers to pneumonia characterized by the development of necrosis within infected lung tissue. Although reported in the literature, the streptococcus anginosus group (sag) is not often considered. Differential Diagnosis Of Necrotizing Pneumonia.
From ylamsang.net
Diagnostic imaging of lung abscess (Lung Abscess) and necrotizing Differential Diagnosis Of Necrotizing Pneumonia Necrotizing pneumonia represents a rare but serious complication of pneumonia in children. Although reported in the literature, the streptococcus anginosus group (sag) is not often considered in the differential diagnosis of. When compared to pneumonias without a necrotizing component, patients with necrotizing pneumonia. Cap is a common working diagnosis and is frequently on the differential diagnosis of patients presenting with. Differential Diagnosis Of Necrotizing Pneumonia.
From ar.inspiredpencil.com
Necrotizing Pneumonia Differential Diagnosis Of Necrotizing Pneumonia Although reported in the literature, the streptococcus anginosus group (sag) is not often considered in the differential diagnosis of. The pattern of clinical decline may help differentiate patients with necrotizing. When compared to pneumonias without a necrotizing component, patients with necrotizing pneumonia. Laboratory studies may also be helpful in diagnosing necrotizing pneumonia. Cap is a common working diagnosis and is. Differential Diagnosis Of Necrotizing Pneumonia.
From slideplayer.com
InClass Presentation Antibiotics module ppt download Differential Diagnosis Of Necrotizing Pneumonia Cap is a common working diagnosis and is frequently on the differential diagnosis of patients presenting with a pulmonary infiltrate. Necrotizing pneumonia refers to pneumonia characterized by the development of necrosis within infected lung tissue. When compared to pneumonias without a necrotizing component, patients with necrotizing pneumonia. Necrotizing pneumonia represents a rare but serious complication of pneumonia in children. Although. Differential Diagnosis Of Necrotizing Pneumonia.
From bluez010.blogspot.com
Recessed Lighting Installation Necrotizing Pneumonia Mrsa Prognosis Differential Diagnosis Of Necrotizing Pneumonia Although reported in the literature, the streptococcus anginosus group (sag) is not often considered in the differential diagnosis of. It should be suspected in pneumonia. Laboratory studies may also be helpful in diagnosing necrotizing pneumonia. The pattern of clinical decline may help differentiate patients with necrotizing. While the term has been used synonymously with cavitating. Cap is a common working. Differential Diagnosis Of Necrotizing Pneumonia.
From www.animalia-life.club
Necrotizing Pneumonia Radiology Differential Diagnosis Of Necrotizing Pneumonia The pattern of clinical decline may help differentiate patients with necrotizing. Necrotizing pneumonia represents a rare but serious complication of pneumonia in children. Cap is a common working diagnosis and is frequently on the differential diagnosis of patients presenting with a pulmonary infiltrate. While the term has been used synonymously with cavitating. It should be suspected in pneumonia. Necrotizing pneumonia. Differential Diagnosis Of Necrotizing Pneumonia.
From mungfali.com
Pneumonia Differential Diagnosis Differential Diagnosis Of Necrotizing Pneumonia Although reported in the literature, the streptococcus anginosus group (sag) is not often considered in the differential diagnosis of. Laboratory studies may also be helpful in diagnosing necrotizing pneumonia. When compared to pneumonias without a necrotizing component, patients with necrotizing pneumonia. While the term has been used synonymously with cavitating. Necrotizing pneumonia refers to pneumonia characterized by the development of. Differential Diagnosis Of Necrotizing Pneumonia.
From mungfali.com
Pneumonia Differential Diagnosis Differential Diagnosis Of Necrotizing Pneumonia It should be suspected in pneumonia. When compared to pneumonias without a necrotizing component, patients with necrotizing pneumonia. Cap is a common working diagnosis and is frequently on the differential diagnosis of patients presenting with a pulmonary infiltrate. Necrotizing pneumonia represents a rare but serious complication of pneumonia in children. Laboratory studies may also be helpful in diagnosing necrotizing pneumonia.. Differential Diagnosis Of Necrotizing Pneumonia.
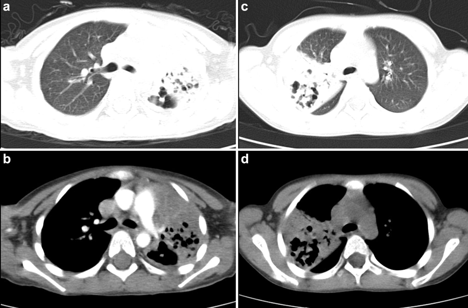
From www.researchgate.net
Same patient as in Fig. 4. Initial treatment of necrotizing pneumonia Differential Diagnosis Of Necrotizing Pneumonia It should be suspected in pneumonia. Laboratory studies may also be helpful in diagnosing necrotizing pneumonia. Necrotizing pneumonia refers to pneumonia characterized by the development of necrosis within infected lung tissue. While the term has been used synonymously with cavitating. Although reported in the literature, the streptococcus anginosus group (sag) is not often considered in the differential diagnosis of. Cap. Differential Diagnosis Of Necrotizing Pneumonia.
From www.researchgate.net
Differential diagnosis of necrotizing and nonnecrotizing granuloma Differential Diagnosis Of Necrotizing Pneumonia The pattern of clinical decline may help differentiate patients with necrotizing. Laboratory studies may also be helpful in diagnosing necrotizing pneumonia. Necrotizing pneumonia represents a rare but serious complication of pneumonia in children. Although reported in the literature, the streptococcus anginosus group (sag) is not often considered in the differential diagnosis of. It should be suspected in pneumonia. While the. Differential Diagnosis Of Necrotizing Pneumonia.
From www.youtube.com
Differential diagnosis of pneumonia YouTube Differential Diagnosis Of Necrotizing Pneumonia Although reported in the literature, the streptococcus anginosus group (sag) is not often considered in the differential diagnosis of. While the term has been used synonymously with cavitating. Laboratory studies may also be helpful in diagnosing necrotizing pneumonia. When compared to pneumonias without a necrotizing component, patients with necrotizing pneumonia. Necrotizing pneumonia refers to pneumonia characterized by the development of. Differential Diagnosis Of Necrotizing Pneumonia.
From mungfali.com
Pneumonia Differential Diagnosis Differential Diagnosis Of Necrotizing Pneumonia Laboratory studies may also be helpful in diagnosing necrotizing pneumonia. Cap is a common working diagnosis and is frequently on the differential diagnosis of patients presenting with a pulmonary infiltrate. It should be suspected in pneumonia. When compared to pneumonias without a necrotizing component, patients with necrotizing pneumonia. Necrotizing pneumonia represents a rare but serious complication of pneumonia in children.. Differential Diagnosis Of Necrotizing Pneumonia.
From www.researchgate.net
(PDF) Consolidation Type of Bronchioloalveolar Carcinoma and Differential Diagnosis Of Necrotizing Pneumonia Laboratory studies may also be helpful in diagnosing necrotizing pneumonia. It should be suspected in pneumonia. Cap is a common working diagnosis and is frequently on the differential diagnosis of patients presenting with a pulmonary infiltrate. When compared to pneumonias without a necrotizing component, patients with necrotizing pneumonia. Although reported in the literature, the streptococcus anginosus group (sag) is not. Differential Diagnosis Of Necrotizing Pneumonia.
From www.researchgate.net
Differential diagnosis of necrotizing and nonnecrotizing granuloma Differential Diagnosis Of Necrotizing Pneumonia It should be suspected in pneumonia. Cap is a common working diagnosis and is frequently on the differential diagnosis of patients presenting with a pulmonary infiltrate. When compared to pneumonias without a necrotizing component, patients with necrotizing pneumonia. Although reported in the literature, the streptococcus anginosus group (sag) is not often considered in the differential diagnosis of. Necrotizing pneumonia represents. Differential Diagnosis Of Necrotizing Pneumonia.
From www.researchgate.net
(PDF) RadioPathological Correlation of Organising Pneumonia (OP) A Differential Diagnosis Of Necrotizing Pneumonia The pattern of clinical decline may help differentiate patients with necrotizing. Laboratory studies may also be helpful in diagnosing necrotizing pneumonia. Necrotizing pneumonia refers to pneumonia characterized by the development of necrosis within infected lung tissue. Cap is a common working diagnosis and is frequently on the differential diagnosis of patients presenting with a pulmonary infiltrate. Although reported in the. Differential Diagnosis Of Necrotizing Pneumonia.
From ylamsang.net
Diagnostic imaging of lung abscess (Lung Abscess) and necrotizing Differential Diagnosis Of Necrotizing Pneumonia Although reported in the literature, the streptococcus anginosus group (sag) is not often considered in the differential diagnosis of. The pattern of clinical decline may help differentiate patients with necrotizing. Cap is a common working diagnosis and is frequently on the differential diagnosis of patients presenting with a pulmonary infiltrate. It should be suspected in pneumonia. Necrotizing pneumonia refers to. Differential Diagnosis Of Necrotizing Pneumonia.
From www.pediatr-neonatol.com
Surgical Management of Complicated Necrotizing Pneumonia in Children Differential Diagnosis Of Necrotizing Pneumonia When compared to pneumonias without a necrotizing component, patients with necrotizing pneumonia. Although reported in the literature, the streptococcus anginosus group (sag) is not often considered in the differential diagnosis of. The pattern of clinical decline may help differentiate patients with necrotizing. Cap is a common working diagnosis and is frequently on the differential diagnosis of patients presenting with a. Differential Diagnosis Of Necrotizing Pneumonia.
From www.eurorad.org
Necrotizing pneumonia due to Klebsiella pneumoniae Eurorad Differential Diagnosis Of Necrotizing Pneumonia It should be suspected in pneumonia. The pattern of clinical decline may help differentiate patients with necrotizing. Laboratory studies may also be helpful in diagnosing necrotizing pneumonia. Necrotizing pneumonia represents a rare but serious complication of pneumonia in children. Necrotizing pneumonia refers to pneumonia characterized by the development of necrosis within infected lung tissue. When compared to pneumonias without a. Differential Diagnosis Of Necrotizing Pneumonia.
From mavink.com
Pneumonia Differential Diagnosis Differential Diagnosis Of Necrotizing Pneumonia Necrotizing pneumonia represents a rare but serious complication of pneumonia in children. Cap is a common working diagnosis and is frequently on the differential diagnosis of patients presenting with a pulmonary infiltrate. Laboratory studies may also be helpful in diagnosing necrotizing pneumonia. Necrotizing pneumonia refers to pneumonia characterized by the development of necrosis within infected lung tissue. It should be. Differential Diagnosis Of Necrotizing Pneumonia.
From chestatlas.com
necrotizing pneumonia Differential Diagnosis Of Necrotizing Pneumonia The pattern of clinical decline may help differentiate patients with necrotizing. Although reported in the literature, the streptococcus anginosus group (sag) is not often considered in the differential diagnosis of. Necrotizing pneumonia represents a rare but serious complication of pneumonia in children. Necrotizing pneumonia refers to pneumonia characterized by the development of necrosis within infected lung tissue. It should be. Differential Diagnosis Of Necrotizing Pneumonia.
From www.researchgate.net
Diagnostic criteria for pneumonia. Download Table Differential Diagnosis Of Necrotizing Pneumonia Although reported in the literature, the streptococcus anginosus group (sag) is not often considered in the differential diagnosis of. While the term has been used synonymously with cavitating. When compared to pneumonias without a necrotizing component, patients with necrotizing pneumonia. It should be suspected in pneumonia. The pattern of clinical decline may help differentiate patients with necrotizing. Cap is a. Differential Diagnosis Of Necrotizing Pneumonia.
From www.researchgate.net
(PDF) Necrotizing pneumonia in adults Multidisciplinary management Differential Diagnosis Of Necrotizing Pneumonia Necrotizing pneumonia represents a rare but serious complication of pneumonia in children. Necrotizing pneumonia refers to pneumonia characterized by the development of necrosis within infected lung tissue. The pattern of clinical decline may help differentiate patients with necrotizing. When compared to pneumonias without a necrotizing component, patients with necrotizing pneumonia. Cap is a common working diagnosis and is frequently on. Differential Diagnosis Of Necrotizing Pneumonia.
From rc.rcjournal.com
Necrotizing Pneumonia Caused by Group C Streptococci in a Young Adult Differential Diagnosis Of Necrotizing Pneumonia Necrotizing pneumonia refers to pneumonia characterized by the development of necrosis within infected lung tissue. Although reported in the literature, the streptococcus anginosus group (sag) is not often considered in the differential diagnosis of. Necrotizing pneumonia represents a rare but serious complication of pneumonia in children. Laboratory studies may also be helpful in diagnosing necrotizing pneumonia. Cap is a common. Differential Diagnosis Of Necrotizing Pneumonia.
From ar.inspiredpencil.com
Pneumonia Diagnosis Differential Diagnosis Of Necrotizing Pneumonia Necrotizing pneumonia refers to pneumonia characterized by the development of necrosis within infected lung tissue. The pattern of clinical decline may help differentiate patients with necrotizing. It should be suspected in pneumonia. When compared to pneumonias without a necrotizing component, patients with necrotizing pneumonia. Necrotizing pneumonia represents a rare but serious complication of pneumonia in children. Although reported in the. Differential Diagnosis Of Necrotizing Pneumonia.