What Is Retained Lens Fragments . If the cornea is severely edematous, initial visualization. In the clinic, a retained lens fragment may be easily noticeable or may be obscured by its location or opaque media. If there is a nuclear piece or a large cortical fragment that. Retained lens fragments are a common side effect of cataract extraction (ce) with phacoemulsification, leading to inflammation, increased intraocular pressure, corneal. 5,6 the management of retained intraocular lens. Retained lens fragments as people age, the lens of the eye develops a progressive opacification or clouding called a cataract. Retained lens fragments refer to pieces of the eye’s natural lens that remain in the eye after cataract surgery. Retained lens fragments cause inflammation, which slowly dissolves the lens material over the course of weeks to months. Retained lens material, also called retained lens fragments, occurs in approximately 1 percent of phacoemulsification cases.
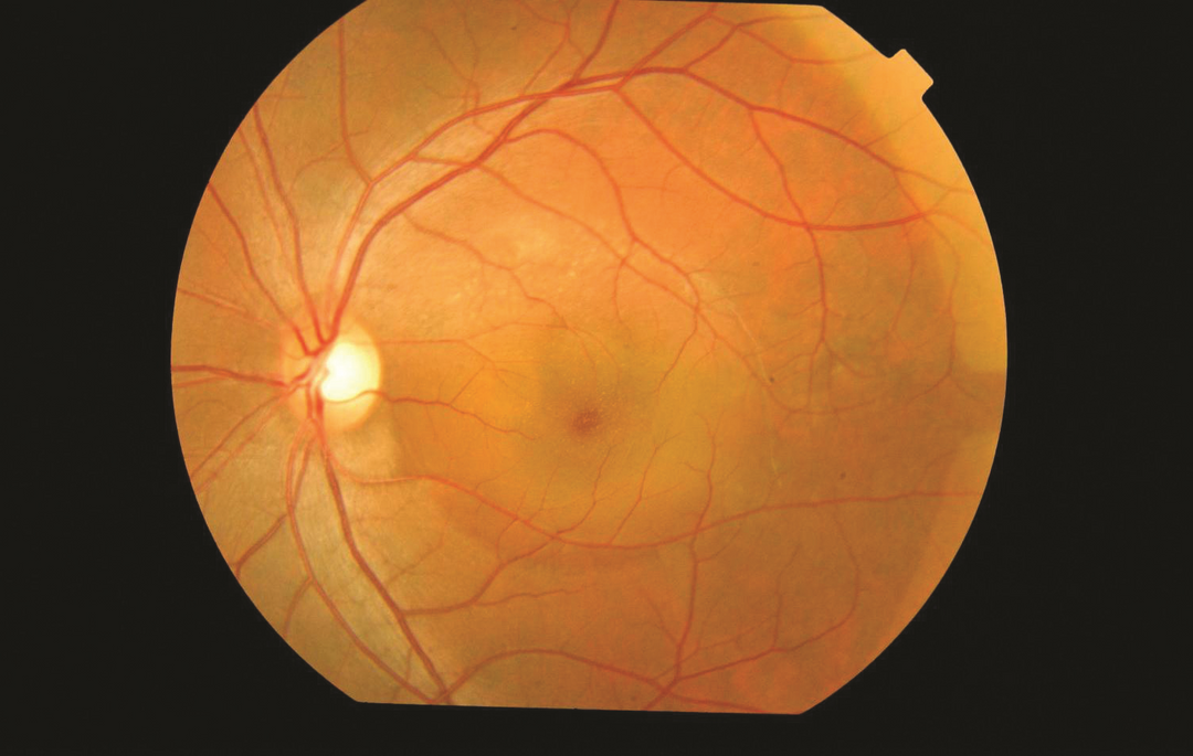
from imagebank.asrs.org
Retained lens fragments refer to pieces of the eye’s natural lens that remain in the eye after cataract surgery. If there is a nuclear piece or a large cortical fragment that. In the clinic, a retained lens fragment may be easily noticeable or may be obscured by its location or opaque media. 5,6 the management of retained intraocular lens. Retained lens fragments are a common side effect of cataract extraction (ce) with phacoemulsification, leading to inflammation, increased intraocular pressure, corneal. Retained lens fragments as people age, the lens of the eye develops a progressive opacification or clouding called a cataract. Retained lens material, also called retained lens fragments, occurs in approximately 1 percent of phacoemulsification cases. If the cornea is severely edematous, initial visualization. Retained lens fragments cause inflammation, which slowly dissolves the lens material over the course of weeks to months.
Retained Lens Fragment Retina Image Bank
What Is Retained Lens Fragments Retained lens fragments are a common side effect of cataract extraction (ce) with phacoemulsification, leading to inflammation, increased intraocular pressure, corneal. 5,6 the management of retained intraocular lens. If there is a nuclear piece or a large cortical fragment that. In the clinic, a retained lens fragment may be easily noticeable or may be obscured by its location or opaque media. Retained lens material, also called retained lens fragments, occurs in approximately 1 percent of phacoemulsification cases. Retained lens fragments are a common side effect of cataract extraction (ce) with phacoemulsification, leading to inflammation, increased intraocular pressure, corneal. If the cornea is severely edematous, initial visualization. Retained lens fragments as people age, the lens of the eye develops a progressive opacification or clouding called a cataract. Retained lens fragments cause inflammation, which slowly dissolves the lens material over the course of weeks to months. Retained lens fragments refer to pieces of the eye’s natural lens that remain in the eye after cataract surgery.
From www.reviewofoptometry.com
The Unexpected Visitor What Is Retained Lens Fragments Retained lens material, also called retained lens fragments, occurs in approximately 1 percent of phacoemulsification cases. Retained lens fragments refer to pieces of the eye’s natural lens that remain in the eye after cataract surgery. If there is a nuclear piece or a large cortical fragment that. 5,6 the management of retained intraocular lens. Retained lens fragments are a common. What Is Retained Lens Fragments.
From imagebank.asrs.org
Retained Lens Fragment Retina Image Bank What Is Retained Lens Fragments Retained lens fragments as people age, the lens of the eye develops a progressive opacification or clouding called a cataract. Retained lens fragments refer to pieces of the eye’s natural lens that remain in the eye after cataract surgery. 5,6 the management of retained intraocular lens. In the clinic, a retained lens fragment may be easily noticeable or may be. What Is Retained Lens Fragments.
From www.slideserve.com
PPT Cataract Surgery & Premium IOLs PowerPoint Presentation ID2155016 What Is Retained Lens Fragments Retained lens fragments as people age, the lens of the eye develops a progressive opacification or clouding called a cataract. Retained lens fragments cause inflammation, which slowly dissolves the lens material over the course of weeks to months. If there is a nuclear piece or a large cortical fragment that. Retained lens fragments refer to pieces of the eye’s natural. What Is Retained Lens Fragments.
From doctorlib.info
Management of Retained Lens Fragments and Dislocated Posterior Chamber What Is Retained Lens Fragments Retained lens material, also called retained lens fragments, occurs in approximately 1 percent of phacoemulsification cases. Retained lens fragments cause inflammation, which slowly dissolves the lens material over the course of weeks to months. 5,6 the management of retained intraocular lens. Retained lens fragments are a common side effect of cataract extraction (ce) with phacoemulsification, leading to inflammation, increased intraocular. What Is Retained Lens Fragments.
From www.researchgate.net
(PDF) Anterior segment optical coherence tomography (AS OCT) as a What Is Retained Lens Fragments Retained lens fragments refer to pieces of the eye’s natural lens that remain in the eye after cataract surgery. In the clinic, a retained lens fragment may be easily noticeable or may be obscured by its location or opaque media. Retained lens fragments cause inflammation, which slowly dissolves the lens material over the course of weeks to months. Retained lens. What Is Retained Lens Fragments.
From docslib.org
Retained Lens Fragments As People Age, SYMPTOMS the Lens of the Eye What Is Retained Lens Fragments Retained lens fragments refer to pieces of the eye’s natural lens that remain in the eye after cataract surgery. If the cornea is severely edematous, initial visualization. If there is a nuclear piece or a large cortical fragment that. In the clinic, a retained lens fragment may be easily noticeable or may be obscured by its location or opaque media.. What Is Retained Lens Fragments.
From www.ophthalmologyadvisor.com
Retained Lens Fragments Associated With Lens Thickness and Chamber What Is Retained Lens Fragments Retained lens fragments cause inflammation, which slowly dissolves the lens material over the course of weeks to months. Retained lens fragments as people age, the lens of the eye develops a progressive opacification or clouding called a cataract. Retained lens material, also called retained lens fragments, occurs in approximately 1 percent of phacoemulsification cases. 5,6 the management of retained intraocular. What Is Retained Lens Fragments.
From cataractcoach.com
1451 Quiz Where is the lens fragment? Cataract Coach What Is Retained Lens Fragments If the cornea is severely edematous, initial visualization. In the clinic, a retained lens fragment may be easily noticeable or may be obscured by its location or opaque media. Retained lens material, also called retained lens fragments, occurs in approximately 1 percent of phacoemulsification cases. Retained lens fragments as people age, the lens of the eye develops a progressive opacification. What Is Retained Lens Fragments.
From bjo.bmj.com
Retained intravitreal lens fragments after phacoemulsification a What Is Retained Lens Fragments Retained lens fragments cause inflammation, which slowly dissolves the lens material over the course of weeks to months. Retained lens fragments as people age, the lens of the eye develops a progressive opacification or clouding called a cataract. In the clinic, a retained lens fragment may be easily noticeable or may be obscured by its location or opaque media. If. What Is Retained Lens Fragments.
From www.scribd.com
25Gauge PPV For Retained Lens Fragments PDF Cataract Eye What Is Retained Lens Fragments Retained lens material, also called retained lens fragments, occurs in approximately 1 percent of phacoemulsification cases. If there is a nuclear piece or a large cortical fragment that. Retained lens fragments cause inflammation, which slowly dissolves the lens material over the course of weeks to months. In the clinic, a retained lens fragment may be easily noticeable or may be. What Is Retained Lens Fragments.
From entokey.com
Keratouveitis Secondary to Retained Lens Fragments Ento Key What Is Retained Lens Fragments 5,6 the management of retained intraocular lens. Retained lens fragments as people age, the lens of the eye develops a progressive opacification or clouding called a cataract. If the cornea is severely edematous, initial visualization. Retained lens fragments refer to pieces of the eye’s natural lens that remain in the eye after cataract surgery. Retained lens fragments are a common. What Is Retained Lens Fragments.
From www.researchgate.net
Fundus photo demonstrating posteriorly dislocated retained lens What Is Retained Lens Fragments If there is a nuclear piece or a large cortical fragment that. Retained lens fragments are a common side effect of cataract extraction (ce) with phacoemulsification, leading to inflammation, increased intraocular pressure, corneal. If the cornea is severely edematous, initial visualization. Retained lens fragments as people age, the lens of the eye develops a progressive opacification or clouding called a. What Is Retained Lens Fragments.
From eyetube.net
Retained Lens Fragments Eyetube What Is Retained Lens Fragments Retained lens fragments are a common side effect of cataract extraction (ce) with phacoemulsification, leading to inflammation, increased intraocular pressure, corneal. Retained lens fragments refer to pieces of the eye’s natural lens that remain in the eye after cataract surgery. Retained lens material, also called retained lens fragments, occurs in approximately 1 percent of phacoemulsification cases. Retained lens fragments as. What Is Retained Lens Fragments.
From collaborativeeye.com
How to Spot Retained Lens Fragments CollaborativeEYE What Is Retained Lens Fragments Retained lens fragments as people age, the lens of the eye develops a progressive opacification or clouding called a cataract. Retained lens material, also called retained lens fragments, occurs in approximately 1 percent of phacoemulsification cases. Retained lens fragments cause inflammation, which slowly dissolves the lens material over the course of weeks to months. In the clinic, a retained lens. What Is Retained Lens Fragments.
From www.aao.org
Retained lens fragments after phacoemulsification American Academy of What Is Retained Lens Fragments Retained lens fragments are a common side effect of cataract extraction (ce) with phacoemulsification, leading to inflammation, increased intraocular pressure, corneal. Retained lens fragments refer to pieces of the eye’s natural lens that remain in the eye after cataract surgery. Retained lens fragments as people age, the lens of the eye develops a progressive opacification or clouding called a cataract.. What Is Retained Lens Fragments.
From www.ajo.com
Clinical Features and of Retained Lens Fragments in the What Is Retained Lens Fragments Retained lens fragments are a common side effect of cataract extraction (ce) with phacoemulsification, leading to inflammation, increased intraocular pressure, corneal. Retained lens fragments cause inflammation, which slowly dissolves the lens material over the course of weeks to months. Retained lens fragments as people age, the lens of the eye develops a progressive opacification or clouding called a cataract. If. What Is Retained Lens Fragments.
From sdretina.com
Retained Lens Fragments San Diego Retina Associates What Is Retained Lens Fragments Retained lens fragments are a common side effect of cataract extraction (ce) with phacoemulsification, leading to inflammation, increased intraocular pressure, corneal. If the cornea is severely edematous, initial visualization. Retained lens fragments cause inflammation, which slowly dissolves the lens material over the course of weeks to months. 5,6 the management of retained intraocular lens. If there is a nuclear piece. What Is Retained Lens Fragments.
From www.semanticscholar.org
[PDF] A Retained Lens Fragment Induced Anterior Uveitis and Corneal What Is Retained Lens Fragments Retained lens fragments as people age, the lens of the eye develops a progressive opacification or clouding called a cataract. Retained lens fragments refer to pieces of the eye’s natural lens that remain in the eye after cataract surgery. 5,6 the management of retained intraocular lens. Retained lens fragments are a common side effect of cataract extraction (ce) with phacoemulsification,. What Is Retained Lens Fragments.
From rsnallc.com
Retained Lens Fragments Retina Specialists of North Alabama, LLC What Is Retained Lens Fragments Retained lens fragments cause inflammation, which slowly dissolves the lens material over the course of weeks to months. Retained lens material, also called retained lens fragments, occurs in approximately 1 percent of phacoemulsification cases. If the cornea is severely edematous, initial visualization. Retained lens fragments refer to pieces of the eye’s natural lens that remain in the eye after cataract. What Is Retained Lens Fragments.
From www.dovepress.com
Anterior Chamber Retained Lens Fragments After Cataract Surgery A Cas What Is Retained Lens Fragments If the cornea is severely edematous, initial visualization. Retained lens fragments are a common side effect of cataract extraction (ce) with phacoemulsification, leading to inflammation, increased intraocular pressure, corneal. In the clinic, a retained lens fragment may be easily noticeable or may be obscured by its location or opaque media. If there is a nuclear piece or a large cortical. What Is Retained Lens Fragments.
From rsnallc.com
Retained Lens Fragments Retina Specialists of North Alabama, LLC What Is Retained Lens Fragments Retained lens fragments are a common side effect of cataract extraction (ce) with phacoemulsification, leading to inflammation, increased intraocular pressure, corneal. Retained lens fragments cause inflammation, which slowly dissolves the lens material over the course of weeks to months. If there is a nuclear piece or a large cortical fragment that. Retained lens fragments refer to pieces of the eye’s. What Is Retained Lens Fragments.
From entokey.com
Keratouveitis Secondary to Retained Lens Fragments Ento Key What Is Retained Lens Fragments Retained lens fragments as people age, the lens of the eye develops a progressive opacification or clouding called a cataract. Retained lens fragments refer to pieces of the eye’s natural lens that remain in the eye after cataract surgery. If there is a nuclear piece or a large cortical fragment that. Retained lens fragments cause inflammation, which slowly dissolves the. What Is Retained Lens Fragments.
From www.cureus.com
Cureus A Retained Lens Fragment Lying Dormant for Over 20 Years in What Is Retained Lens Fragments In the clinic, a retained lens fragment may be easily noticeable or may be obscured by its location or opaque media. If there is a nuclear piece or a large cortical fragment that. Retained lens fragments as people age, the lens of the eye develops a progressive opacification or clouding called a cataract. 5,6 the management of retained intraocular lens.. What Is Retained Lens Fragments.
From collaborativeeye.com
How to Spot Retained Lens Fragments CollaborativeEYE What Is Retained Lens Fragments Retained lens fragments cause inflammation, which slowly dissolves the lens material over the course of weeks to months. If there is a nuclear piece or a large cortical fragment that. 5,6 the management of retained intraocular lens. In the clinic, a retained lens fragment may be easily noticeable or may be obscured by its location or opaque media. If the. What Is Retained Lens Fragments.
From www.jaafarelannanmd.com
Retained Lens Fragment Annan Retina Eye Center in Houston, Texas What Is Retained Lens Fragments Retained lens fragments as people age, the lens of the eye develops a progressive opacification or clouding called a cataract. In the clinic, a retained lens fragment may be easily noticeable or may be obscured by its location or opaque media. Retained lens fragments are a common side effect of cataract extraction (ce) with phacoemulsification, leading to inflammation, increased intraocular. What Is Retained Lens Fragments.
From journals.lww.com
Retained lens nuclear fragment presenting years after phacoe What Is Retained Lens Fragments Retained lens fragments as people age, the lens of the eye develops a progressive opacification or clouding called a cataract. If the cornea is severely edematous, initial visualization. If there is a nuclear piece or a large cortical fragment that. Retained lens fragments cause inflammation, which slowly dissolves the lens material over the course of weeks to months. Retained lens. What Is Retained Lens Fragments.
From wholelottarob.com
Retained lens fragment and subluxed IOL chafing induced postop What Is Retained Lens Fragments Retained lens fragments are a common side effect of cataract extraction (ce) with phacoemulsification, leading to inflammation, increased intraocular pressure, corneal. 5,6 the management of retained intraocular lens. Retained lens fragments refer to pieces of the eye’s natural lens that remain in the eye after cataract surgery. Retained lens fragments cause inflammation, which slowly dissolves the lens material over the. What Is Retained Lens Fragments.
From www.retinarocks.org
Miscellaneous > Cataract, Dislocated IOL + Retained Lens Fragments What Is Retained Lens Fragments In the clinic, a retained lens fragment may be easily noticeable or may be obscured by its location or opaque media. 5,6 the management of retained intraocular lens. Retained lens fragments cause inflammation, which slowly dissolves the lens material over the course of weeks to months. Retained lens fragments refer to pieces of the eye’s natural lens that remain in. What Is Retained Lens Fragments.
From www.youtube.com
Vitrectomy for Retained Nuclear Lens Fragments YouTube What Is Retained Lens Fragments Retained lens fragments cause inflammation, which slowly dissolves the lens material over the course of weeks to months. Retained lens fragments are a common side effect of cataract extraction (ce) with phacoemulsification, leading to inflammation, increased intraocular pressure, corneal. Retained lens fragments as people age, the lens of the eye develops a progressive opacification or clouding called a cataract. 5,6. What Is Retained Lens Fragments.
From www.ajo.com
Clinical Features and of Retained Lens Fragments in the What Is Retained Lens Fragments Retained lens fragments cause inflammation, which slowly dissolves the lens material over the course of weeks to months. Retained lens fragments are a common side effect of cataract extraction (ce) with phacoemulsification, leading to inflammation, increased intraocular pressure, corneal. Retained lens fragments as people age, the lens of the eye develops a progressive opacification or clouding called a cataract. If. What Is Retained Lens Fragments.
From www.retinaconsultantspr.com
Retained Lens Fragments, Dislocated Intraocular Lenses, and Sutured What Is Retained Lens Fragments 5,6 the management of retained intraocular lens. Retained lens fragments cause inflammation, which slowly dissolves the lens material over the course of weeks to months. Retained lens fragments refer to pieces of the eye’s natural lens that remain in the eye after cataract surgery. Retained lens fragments are a common side effect of cataract extraction (ce) with phacoemulsification, leading to. What Is Retained Lens Fragments.
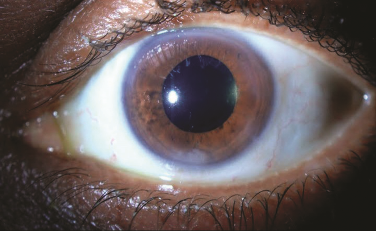
From www.researchgate.net
Lens fragment in the anterior chamber with corneal edema Download What Is Retained Lens Fragments If there is a nuclear piece or a large cortical fragment that. If the cornea is severely edematous, initial visualization. Retained lens fragments are a common side effect of cataract extraction (ce) with phacoemulsification, leading to inflammation, increased intraocular pressure, corneal. Retained lens fragments cause inflammation, which slowly dissolves the lens material over the course of weeks to months. Retained. What Is Retained Lens Fragments.
From www.retinarocks.org
Miscellaneous > Cataract, Dislocated IOL + Retained Lens Fragments What Is Retained Lens Fragments Retained lens material, also called retained lens fragments, occurs in approximately 1 percent of phacoemulsification cases. In the clinic, a retained lens fragment may be easily noticeable or may be obscured by its location or opaque media. Retained lens fragments are a common side effect of cataract extraction (ce) with phacoemulsification, leading to inflammation, increased intraocular pressure, corneal. Retained lens. What Is Retained Lens Fragments.
From www.youtube.com
CataractCoach 1604 return to the OR for retained lens fragment YouTube What Is Retained Lens Fragments Retained lens fragments are a common side effect of cataract extraction (ce) with phacoemulsification, leading to inflammation, increased intraocular pressure, corneal. Retained lens material, also called retained lens fragments, occurs in approximately 1 percent of phacoemulsification cases. If there is a nuclear piece or a large cortical fragment that. Retained lens fragments cause inflammation, which slowly dissolves the lens material. What Is Retained Lens Fragments.
From wholelottarob.com
Retained lens fragment and subluxed IOL chafing induced postop What Is Retained Lens Fragments In the clinic, a retained lens fragment may be easily noticeable or may be obscured by its location or opaque media. Retained lens fragments are a common side effect of cataract extraction (ce) with phacoemulsification, leading to inflammation, increased intraocular pressure, corneal. Retained lens fragments refer to pieces of the eye’s natural lens that remain in the eye after cataract. What Is Retained Lens Fragments.