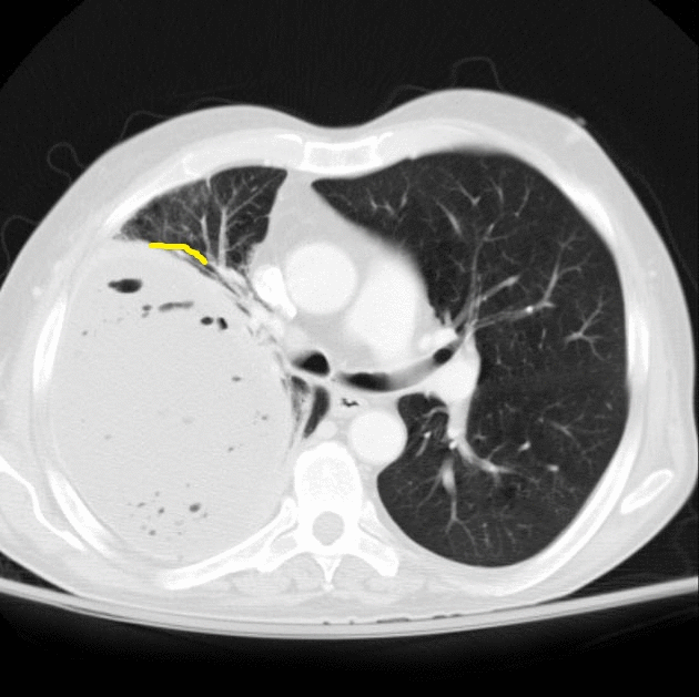
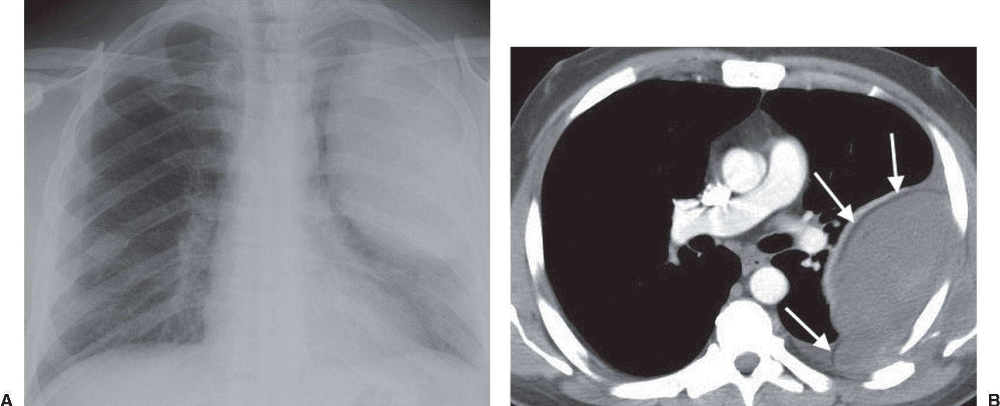
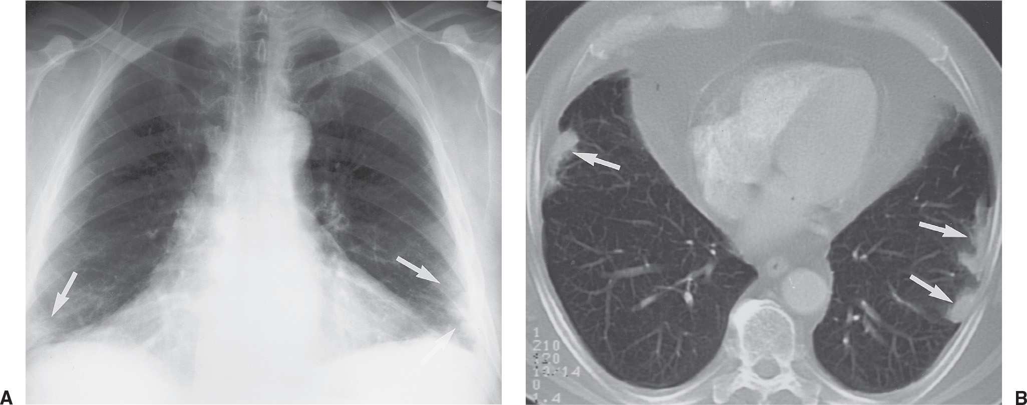
Pleural Tag Sign Radiology . Pleural tags refer to slender bridges of soft tissue seen on ct scans that extend between masses in the lungs and the pleura. Type 2 pleural tags on conventional ct images can increase the accuracy of early diagnosis of visceral pleural invasion by nsclc that does not abut the. Intrapulmonary lymph nodes are typically. Department of radiology, concord repatriation general hospital, concord, new south wales, australia. By univariate analysis and multivariable adjustment, surgical history, tumour marker (tm), number of pleural tags, length of solid contact and obstructive inflammation were identified as independent risk predictors of pleural invasiveness (p= 0.014, 0.003, <0.001, <0.001, and 0.017, respectively). Juxtapleural lung nodules can be defined by their location within 15 mm of a pleural surface.
from radiologykey.com
By univariate analysis and multivariable adjustment, surgical history, tumour marker (tm), number of pleural tags, length of solid contact and obstructive inflammation were identified as independent risk predictors of pleural invasiveness (p= 0.014, 0.003, <0.001, <0.001, and 0.017, respectively). Juxtapleural lung nodules can be defined by their location within 15 mm of a pleural surface. Intrapulmonary lymph nodes are typically. Type 2 pleural tags on conventional ct images can increase the accuracy of early diagnosis of visceral pleural invasion by nsclc that does not abut the. Pleural tags refer to slender bridges of soft tissue seen on ct scans that extend between masses in the lungs and the pleura. Department of radiology, concord repatriation general hospital, concord, new south wales, australia.
Signs and Patterns of Lung Disease Radiology Key
Pleural Tag Sign Radiology By univariate analysis and multivariable adjustment, surgical history, tumour marker (tm), number of pleural tags, length of solid contact and obstructive inflammation were identified as independent risk predictors of pleural invasiveness (p= 0.014, 0.003, <0.001, <0.001, and 0.017, respectively). Type 2 pleural tags on conventional ct images can increase the accuracy of early diagnosis of visceral pleural invasion by nsclc that does not abut the. Department of radiology, concord repatriation general hospital, concord, new south wales, australia. Pleural tags refer to slender bridges of soft tissue seen on ct scans that extend between masses in the lungs and the pleura. Intrapulmonary lymph nodes are typically. By univariate analysis and multivariable adjustment, surgical history, tumour marker (tm), number of pleural tags, length of solid contact and obstructive inflammation were identified as independent risk predictors of pleural invasiveness (p= 0.014, 0.003, <0.001, <0.001, and 0.017, respectively). Juxtapleural lung nodules can be defined by their location within 15 mm of a pleural surface.
From www.ajronline.org
Solid Pleural Lesions AJR Pleural Tag Sign Radiology Department of radiology, concord repatriation general hospital, concord, new south wales, australia. Intrapulmonary lymph nodes are typically. Pleural tags refer to slender bridges of soft tissue seen on ct scans that extend between masses in the lungs and the pleura. By univariate analysis and multivariable adjustment, surgical history, tumour marker (tm), number of pleural tags, length of solid contact and. Pleural Tag Sign Radiology.
From pubs.rsna.org
Pleural Tags on CT Scans to Predict Visceral Pleural Invasion of Non Pleural Tag Sign Radiology By univariate analysis and multivariable adjustment, surgical history, tumour marker (tm), number of pleural tags, length of solid contact and obstructive inflammation were identified as independent risk predictors of pleural invasiveness (p= 0.014, 0.003, <0.001, <0.001, and 0.017, respectively). Type 2 pleural tags on conventional ct images can increase the accuracy of early diagnosis of visceral pleural invasion by nsclc. Pleural Tag Sign Radiology.
From radiologykey.com
Pleural Effusion Radiology Key Pleural Tag Sign Radiology Pleural tags refer to slender bridges of soft tissue seen on ct scans that extend between masses in the lungs and the pleura. Juxtapleural lung nodules can be defined by their location within 15 mm of a pleural surface. Intrapulmonary lymph nodes are typically. Type 2 pleural tags on conventional ct images can increase the accuracy of early diagnosis of. Pleural Tag Sign Radiology.
From radiopaedia.org
Small right pleural effusion Image Pleural Tag Sign Radiology Pleural tags refer to slender bridges of soft tissue seen on ct scans that extend between masses in the lungs and the pleura. Juxtapleural lung nodules can be defined by their location within 15 mm of a pleural surface. Type 2 pleural tags on conventional ct images can increase the accuracy of early diagnosis of visceral pleural invasion by nsclc. Pleural Tag Sign Radiology.
From www.researchgate.net
Pleural tags (white arrowheads) in a patient with HER2mutant lung Pleural Tag Sign Radiology Department of radiology, concord repatriation general hospital, concord, new south wales, australia. Intrapulmonary lymph nodes are typically. By univariate analysis and multivariable adjustment, surgical history, tumour marker (tm), number of pleural tags, length of solid contact and obstructive inflammation were identified as independent risk predictors of pleural invasiveness (p= 0.014, 0.003, <0.001, <0.001, and 0.017, respectively). Juxtapleural lung nodules can. Pleural Tag Sign Radiology.
From www.researchgate.net
CT images depicting pleural contact with ISP in lung window settings Pleural Tag Sign Radiology Department of radiology, concord repatriation general hospital, concord, new south wales, australia. Intrapulmonary lymph nodes are typically. Juxtapleural lung nodules can be defined by their location within 15 mm of a pleural surface. Type 2 pleural tags on conventional ct images can increase the accuracy of early diagnosis of visceral pleural invasion by nsclc that does not abut the. By. Pleural Tag Sign Radiology.
From pubs.rsna.org
Pleural Tags on CT Scans to Predict Visceral Pleural Invasion of Non Pleural Tag Sign Radiology Juxtapleural lung nodules can be defined by their location within 15 mm of a pleural surface. By univariate analysis and multivariable adjustment, surgical history, tumour marker (tm), number of pleural tags, length of solid contact and obstructive inflammation were identified as independent risk predictors of pleural invasiveness (p= 0.014, 0.003, <0.001, <0.001, and 0.017, respectively). Department of radiology, concord repatriation. Pleural Tag Sign Radiology.
From radiologykey.com
Signs and Patterns of Lung Disease Radiology Key Pleural Tag Sign Radiology By univariate analysis and multivariable adjustment, surgical history, tumour marker (tm), number of pleural tags, length of solid contact and obstructive inflammation were identified as independent risk predictors of pleural invasiveness (p= 0.014, 0.003, <0.001, <0.001, and 0.017, respectively). Department of radiology, concord repatriation general hospital, concord, new south wales, australia. Intrapulmonary lymph nodes are typically. Type 2 pleural tags. Pleural Tag Sign Radiology.
From pubs.rsna.org
Pleural Tags on CT Scans to Predict Visceral Pleural Invasion of Non Pleural Tag Sign Radiology Juxtapleural lung nodules can be defined by their location within 15 mm of a pleural surface. By univariate analysis and multivariable adjustment, surgical history, tumour marker (tm), number of pleural tags, length of solid contact and obstructive inflammation were identified as independent risk predictors of pleural invasiveness (p= 0.014, 0.003, <0.001, <0.001, and 0.017, respectively). Intrapulmonary lymph nodes are typically.. Pleural Tag Sign Radiology.
From radiologykey.com
5 The Pleura Radiology Key Pleural Tag Sign Radiology By univariate analysis and multivariable adjustment, surgical history, tumour marker (tm), number of pleural tags, length of solid contact and obstructive inflammation were identified as independent risk predictors of pleural invasiveness (p= 0.014, 0.003, <0.001, <0.001, and 0.017, respectively). Intrapulmonary lymph nodes are typically. Department of radiology, concord repatriation general hospital, concord, new south wales, australia. Juxtapleural lung nodules can. Pleural Tag Sign Radiology.
From radiology-information.blogspot.com
Chest X Ray Interpretation pleural effusion Radiology Imaging Pleural Tag Sign Radiology Juxtapleural lung nodules can be defined by their location within 15 mm of a pleural surface. Pleural tags refer to slender bridges of soft tissue seen on ct scans that extend between masses in the lungs and the pleura. By univariate analysis and multivariable adjustment, surgical history, tumour marker (tm), number of pleural tags, length of solid contact and obstructive. Pleural Tag Sign Radiology.
From pubs.rsna.org
Pleural Tags on CT Scans to Predict Visceral Pleural Invasion of Non Pleural Tag Sign Radiology Type 2 pleural tags on conventional ct images can increase the accuracy of early diagnosis of visceral pleural invasion by nsclc that does not abut the. Pleural tags refer to slender bridges of soft tissue seen on ct scans that extend between masses in the lungs and the pleura. Intrapulmonary lymph nodes are typically. By univariate analysis and multivariable adjustment,. Pleural Tag Sign Radiology.
From radiologykey.com
5 The Pleura Radiology Key Pleural Tag Sign Radiology Type 2 pleural tags on conventional ct images can increase the accuracy of early diagnosis of visceral pleural invasion by nsclc that does not abut the. Intrapulmonary lymph nodes are typically. Department of radiology, concord repatriation general hospital, concord, new south wales, australia. By univariate analysis and multivariable adjustment, surgical history, tumour marker (tm), number of pleural tags, length of. Pleural Tag Sign Radiology.
From radiologykey.com
Signs and Patterns of Lung Disease Radiology Key Pleural Tag Sign Radiology Department of radiology, concord repatriation general hospital, concord, new south wales, australia. Pleural tags refer to slender bridges of soft tissue seen on ct scans that extend between masses in the lungs and the pleura. Juxtapleural lung nodules can be defined by their location within 15 mm of a pleural surface. Type 2 pleural tags on conventional ct images can. Pleural Tag Sign Radiology.
From www.researchgate.net
Split pleura sign on CT scan with thick pleural lining. Image courtesy Pleural Tag Sign Radiology By univariate analysis and multivariable adjustment, surgical history, tumour marker (tm), number of pleural tags, length of solid contact and obstructive inflammation were identified as independent risk predictors of pleural invasiveness (p= 0.014, 0.003, <0.001, <0.001, and 0.017, respectively). Pleural tags refer to slender bridges of soft tissue seen on ct scans that extend between masses in the lungs and. Pleural Tag Sign Radiology.
From ddxof.com
Pleural Effusion Tags Differential Diagnosis of Pleural Tag Sign Radiology Intrapulmonary lymph nodes are typically. Type 2 pleural tags on conventional ct images can increase the accuracy of early diagnosis of visceral pleural invasion by nsclc that does not abut the. Pleural tags refer to slender bridges of soft tissue seen on ct scans that extend between masses in the lungs and the pleura. By univariate analysis and multivariable adjustment,. Pleural Tag Sign Radiology.
From ddxof.com
Pleural Effusion Tags Differential Diagnosis of Pleural Tag Sign Radiology Juxtapleural lung nodules can be defined by their location within 15 mm of a pleural surface. Pleural tags refer to slender bridges of soft tissue seen on ct scans that extend between masses in the lungs and the pleura. Intrapulmonary lymph nodes are typically. By univariate analysis and multivariable adjustment, surgical history, tumour marker (tm), number of pleural tags, length. Pleural Tag Sign Radiology.
From www.chestmedicine.org
Chest Medicine Made EasyDr Deepu Black Pleura Sign Pleural Tag Sign Radiology Pleural tags refer to slender bridges of soft tissue seen on ct scans that extend between masses in the lungs and the pleura. By univariate analysis and multivariable adjustment, surgical history, tumour marker (tm), number of pleural tags, length of solid contact and obstructive inflammation were identified as independent risk predictors of pleural invasiveness (p= 0.014, 0.003, <0.001, <0.001, and. Pleural Tag Sign Radiology.
From pubs.rsna.org
Pleural Tags on CT Scans to Predict Visceral Pleural Invasion of Non Pleural Tag Sign Radiology Intrapulmonary lymph nodes are typically. Pleural tags refer to slender bridges of soft tissue seen on ct scans that extend between masses in the lungs and the pleura. Department of radiology, concord repatriation general hospital, concord, new south wales, australia. By univariate analysis and multivariable adjustment, surgical history, tumour marker (tm), number of pleural tags, length of solid contact and. Pleural Tag Sign Radiology.
From pubs.rsna.org
Pleural Tags on CT Scans to Predict Visceral Pleural Invasion of Non Pleural Tag Sign Radiology Department of radiology, concord repatriation general hospital, concord, new south wales, australia. Type 2 pleural tags on conventional ct images can increase the accuracy of early diagnosis of visceral pleural invasion by nsclc that does not abut the. Intrapulmonary lymph nodes are typically. Juxtapleural lung nodules can be defined by their location within 15 mm of a pleural surface. Pleural. Pleural Tag Sign Radiology.
From www.eurorad.org
Hampton hump and Palla sign Radiographic signs of pulmonary embolism Pleural Tag Sign Radiology Juxtapleural lung nodules can be defined by their location within 15 mm of a pleural surface. Intrapulmonary lymph nodes are typically. By univariate analysis and multivariable adjustment, surgical history, tumour marker (tm), number of pleural tags, length of solid contact and obstructive inflammation were identified as independent risk predictors of pleural invasiveness (p= 0.014, 0.003, <0.001, <0.001, and 0.017, respectively).. Pleural Tag Sign Radiology.
From www.ctchestreview.com
Snippet The Jellyfish and Multiple Pleural Tag Signs Pleural Tag Sign Radiology Pleural tags refer to slender bridges of soft tissue seen on ct scans that extend between masses in the lungs and the pleura. Intrapulmonary lymph nodes are typically. Department of radiology, concord repatriation general hospital, concord, new south wales, australia. Juxtapleural lung nodules can be defined by their location within 15 mm of a pleural surface. By univariate analysis and. Pleural Tag Sign Radiology.
From pubs.rsna.org
Pleural Tags on CT Scans to Predict Visceral Pleural Invasion of Non Pleural Tag Sign Radiology Type 2 pleural tags on conventional ct images can increase the accuracy of early diagnosis of visceral pleural invasion by nsclc that does not abut the. Department of radiology, concord repatriation general hospital, concord, new south wales, australia. Intrapulmonary lymph nodes are typically. Pleural tags refer to slender bridges of soft tissue seen on ct scans that extend between masses. Pleural Tag Sign Radiology.
From www.researchgate.net
Split pleura sign. Enhanced CT of the chest shows a low attenuating Pleural Tag Sign Radiology Type 2 pleural tags on conventional ct images can increase the accuracy of early diagnosis of visceral pleural invasion by nsclc that does not abut the. Pleural tags refer to slender bridges of soft tissue seen on ct scans that extend between masses in the lungs and the pleura. By univariate analysis and multivariable adjustment, surgical history, tumour marker (tm),. Pleural Tag Sign Radiology.
From www.researchgate.net
Pleural tags on CT Type 1 (A, F), Type 2 (B), Type 3 (C), Type 4 (D Pleural Tag Sign Radiology By univariate analysis and multivariable adjustment, surgical history, tumour marker (tm), number of pleural tags, length of solid contact and obstructive inflammation were identified as independent risk predictors of pleural invasiveness (p= 0.014, 0.003, <0.001, <0.001, and 0.017, respectively). Department of radiology, concord repatriation general hospital, concord, new south wales, australia. Juxtapleural lung nodules can be defined by their location. Pleural Tag Sign Radiology.
From www.wikidoc.org
Pleural empyema CT wikidoc Pleural Tag Sign Radiology Pleural tags refer to slender bridges of soft tissue seen on ct scans that extend between masses in the lungs and the pleura. Department of radiology, concord repatriation general hospital, concord, new south wales, australia. Juxtapleural lung nodules can be defined by their location within 15 mm of a pleural surface. Intrapulmonary lymph nodes are typically. By univariate analysis and. Pleural Tag Sign Radiology.
From www.academicradiology.org
Pleural Invasion by Peripheral Lung Cancer Academic Radiology Pleural Tag Sign Radiology Department of radiology, concord repatriation general hospital, concord, new south wales, australia. Type 2 pleural tags on conventional ct images can increase the accuracy of early diagnosis of visceral pleural invasion by nsclc that does not abut the. Pleural tags refer to slender bridges of soft tissue seen on ct scans that extend between masses in the lungs and the. Pleural Tag Sign Radiology.
From radiologykey.com
Radiata or Corona Maligna and Pleural Tail Sign Radiology Key Pleural Tag Sign Radiology Intrapulmonary lymph nodes are typically. Type 2 pleural tags on conventional ct images can increase the accuracy of early diagnosis of visceral pleural invasion by nsclc that does not abut the. Department of radiology, concord repatriation general hospital, concord, new south wales, australia. Juxtapleural lung nodules can be defined by their location within 15 mm of a pleural surface. By. Pleural Tag Sign Radiology.
From radiologykey.com
Pleura, Chest Wall, and Diaphragm Radiology Key Pleural Tag Sign Radiology Juxtapleural lung nodules can be defined by their location within 15 mm of a pleural surface. Pleural tags refer to slender bridges of soft tissue seen on ct scans that extend between masses in the lungs and the pleura. Type 2 pleural tags on conventional ct images can increase the accuracy of early diagnosis of visceral pleural invasion by nsclc. Pleural Tag Sign Radiology.
From radiopaedia.org
Image Pleural Tag Sign Radiology Juxtapleural lung nodules can be defined by their location within 15 mm of a pleural surface. By univariate analysis and multivariable adjustment, surgical history, tumour marker (tm), number of pleural tags, length of solid contact and obstructive inflammation were identified as independent risk predictors of pleural invasiveness (p= 0.014, 0.003, <0.001, <0.001, and 0.017, respectively). Intrapulmonary lymph nodes are typically.. Pleural Tag Sign Radiology.
From www.researchgate.net
Pleural tags on CT Type 1 (A, F), Type 2 (B), Type 3 (C), Type 4 (D Pleural Tag Sign Radiology Department of radiology, concord repatriation general hospital, concord, new south wales, australia. Intrapulmonary lymph nodes are typically. Pleural tags refer to slender bridges of soft tissue seen on ct scans that extend between masses in the lungs and the pleura. Juxtapleural lung nodules can be defined by their location within 15 mm of a pleural surface. Type 2 pleural tags. Pleural Tag Sign Radiology.
From radiologykey.com
Pleura, Chest Wall, and Diaphragm Radiology Key Pleural Tag Sign Radiology Intrapulmonary lymph nodes are typically. Juxtapleural lung nodules can be defined by their location within 15 mm of a pleural surface. Pleural tags refer to slender bridges of soft tissue seen on ct scans that extend between masses in the lungs and the pleura. By univariate analysis and multivariable adjustment, surgical history, tumour marker (tm), number of pleural tags, length. Pleural Tag Sign Radiology.
From pubs.rsna.org
Pleural Tags on CT Scans to Predict Visceral Pleural Invasion of Non Pleural Tag Sign Radiology Juxtapleural lung nodules can be defined by their location within 15 mm of a pleural surface. Pleural tags refer to slender bridges of soft tissue seen on ct scans that extend between masses in the lungs and the pleura. Department of radiology, concord repatriation general hospital, concord, new south wales, australia. Intrapulmonary lymph nodes are typically. Type 2 pleural tags. Pleural Tag Sign Radiology.
From thorax.bmj.com
Investigation of a unilateral pleural effusion in adults British Pleural Tag Sign Radiology By univariate analysis and multivariable adjustment, surgical history, tumour marker (tm), number of pleural tags, length of solid contact and obstructive inflammation were identified as independent risk predictors of pleural invasiveness (p= 0.014, 0.003, <0.001, <0.001, and 0.017, respectively). Department of radiology, concord repatriation general hospital, concord, new south wales, australia. Juxtapleural lung nodules can be defined by their location. Pleural Tag Sign Radiology.
From www.pinterest.co.kr
Pleural plaques,holly leaf sign Radiology, Radiology student, Medical Pleural Tag Sign Radiology Department of radiology, concord repatriation general hospital, concord, new south wales, australia. By univariate analysis and multivariable adjustment, surgical history, tumour marker (tm), number of pleural tags, length of solid contact and obstructive inflammation were identified as independent risk predictors of pleural invasiveness (p= 0.014, 0.003, <0.001, <0.001, and 0.017, respectively). Intrapulmonary lymph nodes are typically. Pleural tags refer to. Pleural Tag Sign Radiology.