Miliary Chest X-Ray Differential Diagnosis . In selected cases the distribution of. Histological confirmation of the diagnosis may be required in some cases. The differential diagnosis of miliary pattern on chest radiography includes miliary tuberculosis (tb), histoplasmosis, sarcoidosis, pneumoconiosis, bronchoalveolar carcinoma,. The differential diagnosis of miliary pattern on chest radiography includes miliary tuberculosis (tb), histoplasmosis, sarcoidosis,. Miliary nodules can be the manifestation of multiple diseases and the differential diagnosis is broad once.
from ar.inspiredpencil.com
The differential diagnosis of miliary pattern on chest radiography includes miliary tuberculosis (tb), histoplasmosis, sarcoidosis,. In selected cases the distribution of. Histological confirmation of the diagnosis may be required in some cases. Miliary nodules can be the manifestation of multiple diseases and the differential diagnosis is broad once. The differential diagnosis of miliary pattern on chest radiography includes miliary tuberculosis (tb), histoplasmosis, sarcoidosis, pneumoconiosis, bronchoalveolar carcinoma,.
Chest X Ray Miliary Tb
Miliary Chest X-Ray Differential Diagnosis The differential diagnosis of miliary pattern on chest radiography includes miliary tuberculosis (tb), histoplasmosis, sarcoidosis,. Miliary nodules can be the manifestation of multiple diseases and the differential diagnosis is broad once. Histological confirmation of the diagnosis may be required in some cases. The differential diagnosis of miliary pattern on chest radiography includes miliary tuberculosis (tb), histoplasmosis, sarcoidosis, pneumoconiosis, bronchoalveolar carcinoma,. The differential diagnosis of miliary pattern on chest radiography includes miliary tuberculosis (tb), histoplasmosis, sarcoidosis,. In selected cases the distribution of.
From www.youtube.com
Chest X Ray differential diagnosis for pleural effusion YouTube Miliary Chest X-Ray Differential Diagnosis In selected cases the distribution of. Histological confirmation of the diagnosis may be required in some cases. The differential diagnosis of miliary pattern on chest radiography includes miliary tuberculosis (tb), histoplasmosis, sarcoidosis, pneumoconiosis, bronchoalveolar carcinoma,. Miliary nodules can be the manifestation of multiple diseases and the differential diagnosis is broad once. The differential diagnosis of miliary pattern on chest radiography. Miliary Chest X-Ray Differential Diagnosis.
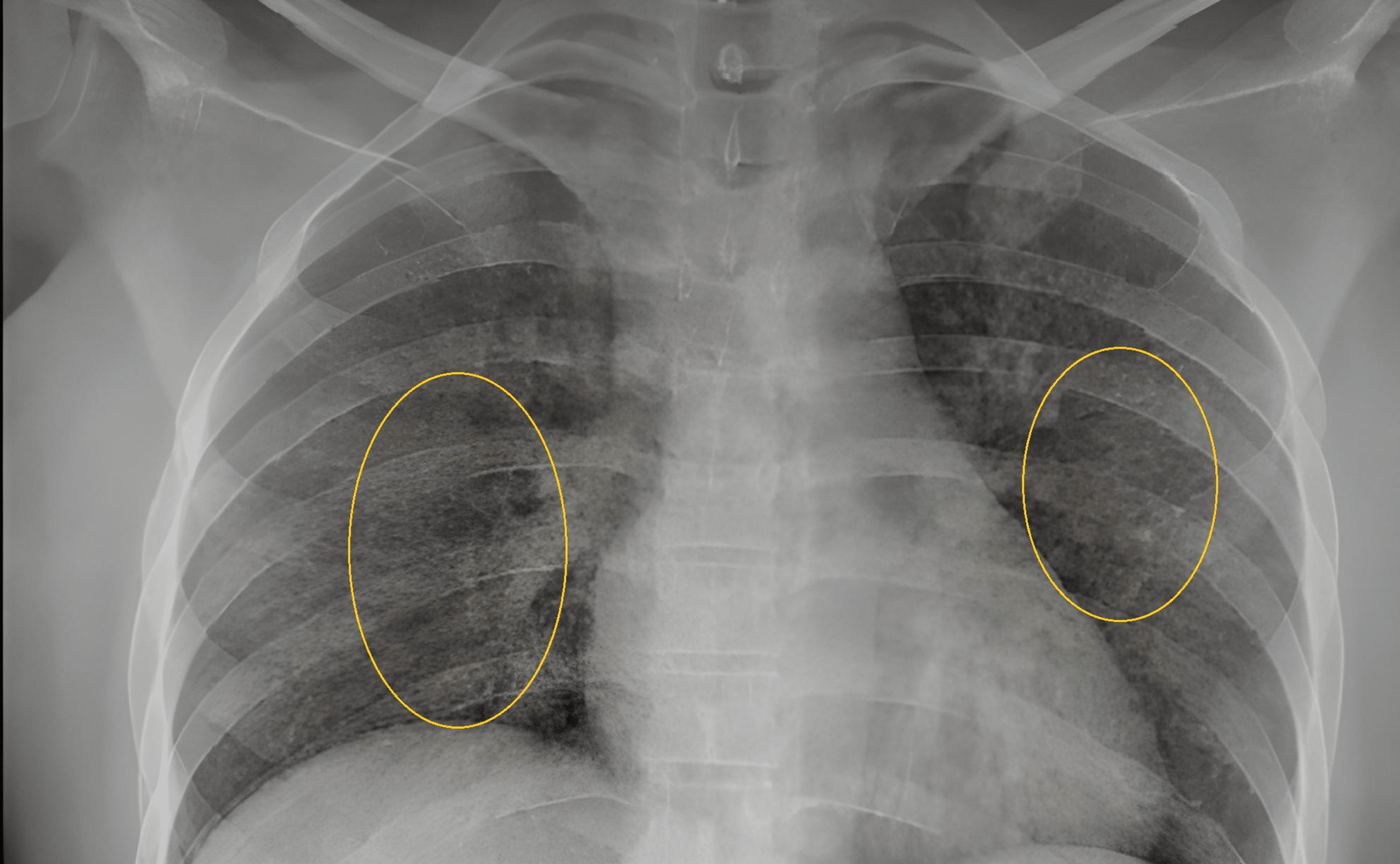
From www.cureus.com
Cureus Adenocarcinoma of the Lung Presenting with Intrapulmonary Miliary Chest X-Ray Differential Diagnosis In selected cases the distribution of. Miliary nodules can be the manifestation of multiple diseases and the differential diagnosis is broad once. The differential diagnosis of miliary pattern on chest radiography includes miliary tuberculosis (tb), histoplasmosis, sarcoidosis, pneumoconiosis, bronchoalveolar carcinoma,. The differential diagnosis of miliary pattern on chest radiography includes miliary tuberculosis (tb), histoplasmosis, sarcoidosis,. Histological confirmation of the diagnosis. Miliary Chest X-Ray Differential Diagnosis.
From www.researchgate.net
Chest Xray in a patient with disseminated TB showing the... Download Miliary Chest X-Ray Differential Diagnosis Histological confirmation of the diagnosis may be required in some cases. Miliary nodules can be the manifestation of multiple diseases and the differential diagnosis is broad once. The differential diagnosis of miliary pattern on chest radiography includes miliary tuberculosis (tb), histoplasmosis, sarcoidosis,. In selected cases the distribution of. The differential diagnosis of miliary pattern on chest radiography includes miliary tuberculosis. Miliary Chest X-Ray Differential Diagnosis.
From www.slideshare.net
XRay Miliary Tuberculosis Miliary Chest X-Ray Differential Diagnosis The differential diagnosis of miliary pattern on chest radiography includes miliary tuberculosis (tb), histoplasmosis, sarcoidosis, pneumoconiosis, bronchoalveolar carcinoma,. Miliary nodules can be the manifestation of multiple diseases and the differential diagnosis is broad once. In selected cases the distribution of. The differential diagnosis of miliary pattern on chest radiography includes miliary tuberculosis (tb), histoplasmosis, sarcoidosis,. Histological confirmation of the diagnosis. Miliary Chest X-Ray Differential Diagnosis.
From www.vrogue.co
Chest Xray Interstitial Pattern Differential Algorith vrogue.co Miliary Chest X-Ray Differential Diagnosis In selected cases the distribution of. Miliary nodules can be the manifestation of multiple diseases and the differential diagnosis is broad once. The differential diagnosis of miliary pattern on chest radiography includes miliary tuberculosis (tb), histoplasmosis, sarcoidosis,. The differential diagnosis of miliary pattern on chest radiography includes miliary tuberculosis (tb), histoplasmosis, sarcoidosis, pneumoconiosis, bronchoalveolar carcinoma,. Histological confirmation of the diagnosis. Miliary Chest X-Ray Differential Diagnosis.
From www.semanticscholar.org
Figure 1 from Challenges in the diagnosis & treatment of miliary Miliary Chest X-Ray Differential Diagnosis The differential diagnosis of miliary pattern on chest radiography includes miliary tuberculosis (tb), histoplasmosis, sarcoidosis, pneumoconiosis, bronchoalveolar carcinoma,. Miliary nodules can be the manifestation of multiple diseases and the differential diagnosis is broad once. In selected cases the distribution of. The differential diagnosis of miliary pattern on chest radiography includes miliary tuberculosis (tb), histoplasmosis, sarcoidosis,. Histological confirmation of the diagnosis. Miliary Chest X-Ray Differential Diagnosis.
From www.slideshare.net
XRay Miliary Tuberculosis Miliary Chest X-Ray Differential Diagnosis Miliary nodules can be the manifestation of multiple diseases and the differential diagnosis is broad once. The differential diagnosis of miliary pattern on chest radiography includes miliary tuberculosis (tb), histoplasmosis, sarcoidosis,. The differential diagnosis of miliary pattern on chest radiography includes miliary tuberculosis (tb), histoplasmosis, sarcoidosis, pneumoconiosis, bronchoalveolar carcinoma,. Histological confirmation of the diagnosis may be required in some cases.. Miliary Chest X-Ray Differential Diagnosis.
From www.cureus.com
Cureus Adenocarcinoma of the Lung Presenting with Intrapulmonary Miliary Chest X-Ray Differential Diagnosis The differential diagnosis of miliary pattern on chest radiography includes miliary tuberculosis (tb), histoplasmosis, sarcoidosis, pneumoconiosis, bronchoalveolar carcinoma,. The differential diagnosis of miliary pattern on chest radiography includes miliary tuberculosis (tb), histoplasmosis, sarcoidosis,. Histological confirmation of the diagnosis may be required in some cases. Miliary nodules can be the manifestation of multiple diseases and the differential diagnosis is broad once.. Miliary Chest X-Ray Differential Diagnosis.
From fyoqutlma.blob.core.windows.net
How To Read A Tb Chest X Ray at Anthony Silvernail blog Miliary Chest X-Ray Differential Diagnosis In selected cases the distribution of. The differential diagnosis of miliary pattern on chest radiography includes miliary tuberculosis (tb), histoplasmosis, sarcoidosis, pneumoconiosis, bronchoalveolar carcinoma,. Histological confirmation of the diagnosis may be required in some cases. The differential diagnosis of miliary pattern on chest radiography includes miliary tuberculosis (tb), histoplasmosis, sarcoidosis,. Miliary nodules can be the manifestation of multiple diseases and. Miliary Chest X-Ray Differential Diagnosis.
From europepmc.org
Miliary pattern on chest radiography TB or not TB? Abstract Europe PMC Miliary Chest X-Ray Differential Diagnosis Histological confirmation of the diagnosis may be required in some cases. Miliary nodules can be the manifestation of multiple diseases and the differential diagnosis is broad once. In selected cases the distribution of. The differential diagnosis of miliary pattern on chest radiography includes miliary tuberculosis (tb), histoplasmosis, sarcoidosis,. The differential diagnosis of miliary pattern on chest radiography includes miliary tuberculosis. Miliary Chest X-Ray Differential Diagnosis.
From www.semanticscholar.org
Figure 1 from Bilateral miliary shadowing on chest Xray. Semantic Miliary Chest X-Ray Differential Diagnosis The differential diagnosis of miliary pattern on chest radiography includes miliary tuberculosis (tb), histoplasmosis, sarcoidosis,. The differential diagnosis of miliary pattern on chest radiography includes miliary tuberculosis (tb), histoplasmosis, sarcoidosis, pneumoconiosis, bronchoalveolar carcinoma,. In selected cases the distribution of. Histological confirmation of the diagnosis may be required in some cases. Miliary nodules can be the manifestation of multiple diseases and. Miliary Chest X-Ray Differential Diagnosis.
From www.first-and-best.com
Xray Differential Diagnosis App First And Best Miliary Chest X-Ray Differential Diagnosis In selected cases the distribution of. Histological confirmation of the diagnosis may be required in some cases. The differential diagnosis of miliary pattern on chest radiography includes miliary tuberculosis (tb), histoplasmosis, sarcoidosis, pneumoconiosis, bronchoalveolar carcinoma,. The differential diagnosis of miliary pattern on chest radiography includes miliary tuberculosis (tb), histoplasmosis, sarcoidosis,. Miliary nodules can be the manifestation of multiple diseases and. Miliary Chest X-Ray Differential Diagnosis.
From ar.inspiredpencil.com
Chest X Ray Miliary Tb Miliary Chest X-Ray Differential Diagnosis The differential diagnosis of miliary pattern on chest radiography includes miliary tuberculosis (tb), histoplasmosis, sarcoidosis, pneumoconiosis, bronchoalveolar carcinoma,. In selected cases the distribution of. The differential diagnosis of miliary pattern on chest radiography includes miliary tuberculosis (tb), histoplasmosis, sarcoidosis,. Histological confirmation of the diagnosis may be required in some cases. Miliary nodules can be the manifestation of multiple diseases and. Miliary Chest X-Ray Differential Diagnosis.
From www.cureus.com
Cureus Unilateral Choroidal Granuloma and a Pupillary Abnormality in Miliary Chest X-Ray Differential Diagnosis In selected cases the distribution of. The differential diagnosis of miliary pattern on chest radiography includes miliary tuberculosis (tb), histoplasmosis, sarcoidosis, pneumoconiosis, bronchoalveolar carcinoma,. Histological confirmation of the diagnosis may be required in some cases. The differential diagnosis of miliary pattern on chest radiography includes miliary tuberculosis (tb), histoplasmosis, sarcoidosis,. Miliary nodules can be the manifestation of multiple diseases and. Miliary Chest X-Ray Differential Diagnosis.
From ar.inspiredpencil.com
Chest X Ray Miliary Tb Miliary Chest X-Ray Differential Diagnosis The differential diagnosis of miliary pattern on chest radiography includes miliary tuberculosis (tb), histoplasmosis, sarcoidosis, pneumoconiosis, bronchoalveolar carcinoma,. The differential diagnosis of miliary pattern on chest radiography includes miliary tuberculosis (tb), histoplasmosis, sarcoidosis,. In selected cases the distribution of. Histological confirmation of the diagnosis may be required in some cases. Miliary nodules can be the manifestation of multiple diseases and. Miliary Chest X-Ray Differential Diagnosis.
From lookfordiagnosis.com
Tuberculosis, Miliary Miliary Chest X-Ray Differential Diagnosis Histological confirmation of the diagnosis may be required in some cases. The differential diagnosis of miliary pattern on chest radiography includes miliary tuberculosis (tb), histoplasmosis, sarcoidosis, pneumoconiosis, bronchoalveolar carcinoma,. In selected cases the distribution of. Miliary nodules can be the manifestation of multiple diseases and the differential diagnosis is broad once. The differential diagnosis of miliary pattern on chest radiography. Miliary Chest X-Ray Differential Diagnosis.
From www.researchgate.net
Chest Xray of miliary tuberculosis. Download Scientific Diagram Miliary Chest X-Ray Differential Diagnosis Miliary nodules can be the manifestation of multiple diseases and the differential diagnosis is broad once. The differential diagnosis of miliary pattern on chest radiography includes miliary tuberculosis (tb), histoplasmosis, sarcoidosis, pneumoconiosis, bronchoalveolar carcinoma,. The differential diagnosis of miliary pattern on chest radiography includes miliary tuberculosis (tb), histoplasmosis, sarcoidosis,. In selected cases the distribution of. Histological confirmation of the diagnosis. Miliary Chest X-Ray Differential Diagnosis.
From www.healthline.com
Miliary TB Differential Diagnosis, Vs. Pulmonary Tuberculosis, More Miliary Chest X-Ray Differential Diagnosis The differential diagnosis of miliary pattern on chest radiography includes miliary tuberculosis (tb), histoplasmosis, sarcoidosis, pneumoconiosis, bronchoalveolar carcinoma,. Histological confirmation of the diagnosis may be required in some cases. Miliary nodules can be the manifestation of multiple diseases and the differential diagnosis is broad once. In selected cases the distribution of. The differential diagnosis of miliary pattern on chest radiography. Miliary Chest X-Ray Differential Diagnosis.
From ar.inspiredpencil.com
Chest X Ray Miliary Tb Miliary Chest X-Ray Differential Diagnosis In selected cases the distribution of. The differential diagnosis of miliary pattern on chest radiography includes miliary tuberculosis (tb), histoplasmosis, sarcoidosis, pneumoconiosis, bronchoalveolar carcinoma,. Miliary nodules can be the manifestation of multiple diseases and the differential diagnosis is broad once. The differential diagnosis of miliary pattern on chest radiography includes miliary tuberculosis (tb), histoplasmosis, sarcoidosis,. Histological confirmation of the diagnosis. Miliary Chest X-Ray Differential Diagnosis.
From www.researchgate.net
Some causes of miliary pattern on the chest radiograph. Download Table Miliary Chest X-Ray Differential Diagnosis The differential diagnosis of miliary pattern on chest radiography includes miliary tuberculosis (tb), histoplasmosis, sarcoidosis, pneumoconiosis, bronchoalveolar carcinoma,. Histological confirmation of the diagnosis may be required in some cases. Miliary nodules can be the manifestation of multiple diseases and the differential diagnosis is broad once. The differential diagnosis of miliary pattern on chest radiography includes miliary tuberculosis (tb), histoplasmosis, sarcoidosis,.. Miliary Chest X-Ray Differential Diagnosis.
From www.cureus.com
Metastatic Adenocarcinoma of the Lung Mimicking Miliary Tuberculosis Miliary Chest X-Ray Differential Diagnosis In selected cases the distribution of. Histological confirmation of the diagnosis may be required in some cases. The differential diagnosis of miliary pattern on chest radiography includes miliary tuberculosis (tb), histoplasmosis, sarcoidosis,. Miliary nodules can be the manifestation of multiple diseases and the differential diagnosis is broad once. The differential diagnosis of miliary pattern on chest radiography includes miliary tuberculosis. Miliary Chest X-Ray Differential Diagnosis.
From www.researchgate.net
Chest XRay (November 23 th , 2017) showing a typical miliary pattern Miliary Chest X-Ray Differential Diagnosis Miliary nodules can be the manifestation of multiple diseases and the differential diagnosis is broad once. The differential diagnosis of miliary pattern on chest radiography includes miliary tuberculosis (tb), histoplasmosis, sarcoidosis, pneumoconiosis, bronchoalveolar carcinoma,. The differential diagnosis of miliary pattern on chest radiography includes miliary tuberculosis (tb), histoplasmosis, sarcoidosis,. Histological confirmation of the diagnosis may be required in some cases.. Miliary Chest X-Ray Differential Diagnosis.
From www.youtube.com
Causes of Interstitial Shadow on Chest Xray Differential Diagnosis Miliary Chest X-Ray Differential Diagnosis In selected cases the distribution of. Histological confirmation of the diagnosis may be required in some cases. The differential diagnosis of miliary pattern on chest radiography includes miliary tuberculosis (tb), histoplasmosis, sarcoidosis, pneumoconiosis, bronchoalveolar carcinoma,. The differential diagnosis of miliary pattern on chest radiography includes miliary tuberculosis (tb), histoplasmosis, sarcoidosis,. Miliary nodules can be the manifestation of multiple diseases and. Miliary Chest X-Ray Differential Diagnosis.
From www.cureus.com
Cureus Adenocarcinoma of the Lung Presenting with Intrapulmonary Miliary Chest X-Ray Differential Diagnosis In selected cases the distribution of. Miliary nodules can be the manifestation of multiple diseases and the differential diagnosis is broad once. The differential diagnosis of miliary pattern on chest radiography includes miliary tuberculosis (tb), histoplasmosis, sarcoidosis, pneumoconiosis, bronchoalveolar carcinoma,. Histological confirmation of the diagnosis may be required in some cases. The differential diagnosis of miliary pattern on chest radiography. Miliary Chest X-Ray Differential Diagnosis.
From www.vrogue.co
The Chest X Ray Differential Diagnosis In Conventiona vrogue.co Miliary Chest X-Ray Differential Diagnosis The differential diagnosis of miliary pattern on chest radiography includes miliary tuberculosis (tb), histoplasmosis, sarcoidosis,. Miliary nodules can be the manifestation of multiple diseases and the differential diagnosis is broad once. In selected cases the distribution of. Histological confirmation of the diagnosis may be required in some cases. The differential diagnosis of miliary pattern on chest radiography includes miliary tuberculosis. Miliary Chest X-Ray Differential Diagnosis.
From www.researchgate.net
Chest Xray showing multiple bilateral lungs patches with the Miliary Chest X-Ray Differential Diagnosis In selected cases the distribution of. The differential diagnosis of miliary pattern on chest radiography includes miliary tuberculosis (tb), histoplasmosis, sarcoidosis,. The differential diagnosis of miliary pattern on chest radiography includes miliary tuberculosis (tb), histoplasmosis, sarcoidosis, pneumoconiosis, bronchoalveolar carcinoma,. Miliary nodules can be the manifestation of multiple diseases and the differential diagnosis is broad once. Histological confirmation of the diagnosis. Miliary Chest X-Ray Differential Diagnosis.
From www.mdpi.com
Pathogens Free FullText Miliary Tuberculosis Presenting with Miliary Chest X-Ray Differential Diagnosis In selected cases the distribution of. The differential diagnosis of miliary pattern on chest radiography includes miliary tuberculosis (tb), histoplasmosis, sarcoidosis, pneumoconiosis, bronchoalveolar carcinoma,. Miliary nodules can be the manifestation of multiple diseases and the differential diagnosis is broad once. Histological confirmation of the diagnosis may be required in some cases. The differential diagnosis of miliary pattern on chest radiography. Miliary Chest X-Ray Differential Diagnosis.
From www.ccjm.org
Miliary tuberculosis in a patient with endstage liver disease Miliary Chest X-Ray Differential Diagnosis Miliary nodules can be the manifestation of multiple diseases and the differential diagnosis is broad once. Histological confirmation of the diagnosis may be required in some cases. In selected cases the distribution of. The differential diagnosis of miliary pattern on chest radiography includes miliary tuberculosis (tb), histoplasmosis, sarcoidosis, pneumoconiosis, bronchoalveolar carcinoma,. The differential diagnosis of miliary pattern on chest radiography. Miliary Chest X-Ray Differential Diagnosis.
From www.researchgate.net
Chest xray upon admition. M= miliary pattern. Arrow shows cavities at Miliary Chest X-Ray Differential Diagnosis The differential diagnosis of miliary pattern on chest radiography includes miliary tuberculosis (tb), histoplasmosis, sarcoidosis,. The differential diagnosis of miliary pattern on chest radiography includes miliary tuberculosis (tb), histoplasmosis, sarcoidosis, pneumoconiosis, bronchoalveolar carcinoma,. In selected cases the distribution of. Histological confirmation of the diagnosis may be required in some cases. Miliary nodules can be the manifestation of multiple diseases and. Miliary Chest X-Ray Differential Diagnosis.
From casereports.bmj.com
Miliary pattern on chest imaging as a presentation of EGFRnegative Miliary Chest X-Ray Differential Diagnosis Miliary nodules can be the manifestation of multiple diseases and the differential diagnosis is broad once. In selected cases the distribution of. The differential diagnosis of miliary pattern on chest radiography includes miliary tuberculosis (tb), histoplasmosis, sarcoidosis, pneumoconiosis, bronchoalveolar carcinoma,. The differential diagnosis of miliary pattern on chest radiography includes miliary tuberculosis (tb), histoplasmosis, sarcoidosis,. Histological confirmation of the diagnosis. Miliary Chest X-Ray Differential Diagnosis.
From www.cureus.com
Cureus Miliary Tuberculosis with Acute Respiratory Distress Syndrome Miliary Chest X-Ray Differential Diagnosis The differential diagnosis of miliary pattern on chest radiography includes miliary tuberculosis (tb), histoplasmosis, sarcoidosis, pneumoconiosis, bronchoalveolar carcinoma,. In selected cases the distribution of. Histological confirmation of the diagnosis may be required in some cases. Miliary nodules can be the manifestation of multiple diseases and the differential diagnosis is broad once. The differential diagnosis of miliary pattern on chest radiography. Miliary Chest X-Ray Differential Diagnosis.
From www.nejm.org
Miliary Calcification of the Lungs after Treated Miliary Tuberculosis Miliary Chest X-Ray Differential Diagnosis The differential diagnosis of miliary pattern on chest radiography includes miliary tuberculosis (tb), histoplasmosis, sarcoidosis,. The differential diagnosis of miliary pattern on chest radiography includes miliary tuberculosis (tb), histoplasmosis, sarcoidosis, pneumoconiosis, bronchoalveolar carcinoma,. Miliary nodules can be the manifestation of multiple diseases and the differential diagnosis is broad once. In selected cases the distribution of. Histological confirmation of the diagnosis. Miliary Chest X-Ray Differential Diagnosis.
From ar.inspiredpencil.com
Chest X Ray Miliary Tb Miliary Chest X-Ray Differential Diagnosis The differential diagnosis of miliary pattern on chest radiography includes miliary tuberculosis (tb), histoplasmosis, sarcoidosis, pneumoconiosis, bronchoalveolar carcinoma,. In selected cases the distribution of. Histological confirmation of the diagnosis may be required in some cases. The differential diagnosis of miliary pattern on chest radiography includes miliary tuberculosis (tb), histoplasmosis, sarcoidosis,. Miliary nodules can be the manifestation of multiple diseases and. Miliary Chest X-Ray Differential Diagnosis.
From landing.signalpet.com
Radiology Case of the Week Feline Miliary Pulmonary Pattern Miliary Chest X-Ray Differential Diagnosis The differential diagnosis of miliary pattern on chest radiography includes miliary tuberculosis (tb), histoplasmosis, sarcoidosis,. In selected cases the distribution of. The differential diagnosis of miliary pattern on chest radiography includes miliary tuberculosis (tb), histoplasmosis, sarcoidosis, pneumoconiosis, bronchoalveolar carcinoma,. Histological confirmation of the diagnosis may be required in some cases. Miliary nodules can be the manifestation of multiple diseases and. Miliary Chest X-Ray Differential Diagnosis.
From www.youtube.com
HRCT chest in interstitial lung disease Chest radiography basics Miliary Chest X-Ray Differential Diagnosis Histological confirmation of the diagnosis may be required in some cases. The differential diagnosis of miliary pattern on chest radiography includes miliary tuberculosis (tb), histoplasmosis, sarcoidosis,. Miliary nodules can be the manifestation of multiple diseases and the differential diagnosis is broad once. The differential diagnosis of miliary pattern on chest radiography includes miliary tuberculosis (tb), histoplasmosis, sarcoidosis, pneumoconiosis, bronchoalveolar carcinoma,.. Miliary Chest X-Ray Differential Diagnosis.