Lungs Filled With Mucus After Covid . While most people recover from. This is normal after respiratory infections. It’s not surprising covid causes a cough, because the , from our nasal passages right down to our lungs. Coughing is one of the body’s ways of getting rid of unwanted irritants. As the swelling gets worse, your lungs fill with. Mucus, also known as phlegm when it’s produced by your respiratory system, lines the tissues of your body (such as your nose, mouth, throat, and lungs). You can get pneumonia as a. Air sacs in the lungs fill with fluid, limiting their ability to take in oxygen and causing shortness of breath, cough and other symptoms.
from my.clevelandclinic.org
Coughing is one of the body’s ways of getting rid of unwanted irritants. Air sacs in the lungs fill with fluid, limiting their ability to take in oxygen and causing shortness of breath, cough and other symptoms. It’s not surprising covid causes a cough, because the , from our nasal passages right down to our lungs. While most people recover from. You can get pneumonia as a. As the swelling gets worse, your lungs fill with. Mucus, also known as phlegm when it’s produced by your respiratory system, lines the tissues of your body (such as your nose, mouth, throat, and lungs). This is normal after respiratory infections.
Coughing Up Phlegm Causes and Treatment
Lungs Filled With Mucus After Covid Air sacs in the lungs fill with fluid, limiting their ability to take in oxygen and causing shortness of breath, cough and other symptoms. This is normal after respiratory infections. You can get pneumonia as a. Air sacs in the lungs fill with fluid, limiting their ability to take in oxygen and causing shortness of breath, cough and other symptoms. As the swelling gets worse, your lungs fill with. Mucus, also known as phlegm when it’s produced by your respiratory system, lines the tissues of your body (such as your nose, mouth, throat, and lungs). It’s not surprising covid causes a cough, because the , from our nasal passages right down to our lungs. While most people recover from. Coughing is one of the body’s ways of getting rid of unwanted irritants.
From my.clevelandclinic.org
Coughing Up Phlegm Causes and Treatment Lungs Filled With Mucus After Covid This is normal after respiratory infections. You can get pneumonia as a. Coughing is one of the body’s ways of getting rid of unwanted irritants. Mucus, also known as phlegm when it’s produced by your respiratory system, lines the tissues of your body (such as your nose, mouth, throat, and lungs). While most people recover from. As the swelling gets. Lungs Filled With Mucus After Covid.
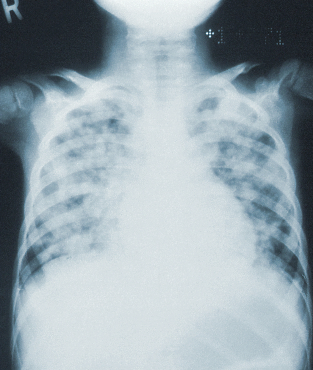
From piphd.com
CoVID19 the Road to a New Normal — PassioInventa Lungs Filled With Mucus After Covid While most people recover from. This is normal after respiratory infections. Air sacs in the lungs fill with fluid, limiting their ability to take in oxygen and causing shortness of breath, cough and other symptoms. Coughing is one of the body’s ways of getting rid of unwanted irritants. As the swelling gets worse, your lungs fill with. You can get. Lungs Filled With Mucus After Covid.
From www.washingtonpost.com
Surgeons perform first known U.S. lung transplant for covid19 patient Lungs Filled With Mucus After Covid This is normal after respiratory infections. Air sacs in the lungs fill with fluid, limiting their ability to take in oxygen and causing shortness of breath, cough and other symptoms. Coughing is one of the body’s ways of getting rid of unwanted irritants. Mucus, also known as phlegm when it’s produced by your respiratory system, lines the tissues of your. Lungs Filled With Mucus After Covid.
From simp-link.com
Mucus filling up lungs Lungs Filled With Mucus After Covid This is normal after respiratory infections. You can get pneumonia as a. As the swelling gets worse, your lungs fill with. While most people recover from. Mucus, also known as phlegm when it’s produced by your respiratory system, lines the tissues of your body (such as your nose, mouth, throat, and lungs). It’s not surprising covid causes a cough, because. Lungs Filled With Mucus After Covid.
From specialty.mims.com
Tezepelumab reduces mucus plugging in patients with asthma Latest Lungs Filled With Mucus After Covid As the swelling gets worse, your lungs fill with. It’s not surprising covid causes a cough, because the , from our nasal passages right down to our lungs. Mucus, also known as phlegm when it’s produced by your respiratory system, lines the tissues of your body (such as your nose, mouth, throat, and lungs). This is normal after respiratory infections.. Lungs Filled With Mucus After Covid.
From aws.amazon.com
Helping battle COVID19 and improve cities How AWS CICs foster Lungs Filled With Mucus After Covid While most people recover from. It’s not surprising covid causes a cough, because the , from our nasal passages right down to our lungs. Mucus, also known as phlegm when it’s produced by your respiratory system, lines the tissues of your body (such as your nose, mouth, throat, and lungs). Coughing is one of the body’s ways of getting rid. Lungs Filled With Mucus After Covid.
From www.ciudaddelmaizslp.gob.mx
Buy Lung Expansion Mucus Relief Device, Ravizat Hand Held Respiratory Lungs Filled With Mucus After Covid Mucus, also known as phlegm when it’s produced by your respiratory system, lines the tissues of your body (such as your nose, mouth, throat, and lungs). While most people recover from. This is normal after respiratory infections. As the swelling gets worse, your lungs fill with. Air sacs in the lungs fill with fluid, limiting their ability to take in. Lungs Filled With Mucus After Covid.
From www.youtube.com
Drink 1 Cup to Clear Phlegm and Mucus From Lungs YouTube Lungs Filled With Mucus After Covid It’s not surprising covid causes a cough, because the , from our nasal passages right down to our lungs. This is normal after respiratory infections. Mucus, also known as phlegm when it’s produced by your respiratory system, lines the tissues of your body (such as your nose, mouth, throat, and lungs). Coughing is one of the body’s ways of getting. Lungs Filled With Mucus After Covid.
From stock.adobe.com
Grafika wektorowa Stock Pneumonia in lung of human. Inflammation lung Lungs Filled With Mucus After Covid Air sacs in the lungs fill with fluid, limiting their ability to take in oxygen and causing shortness of breath, cough and other symptoms. As the swelling gets worse, your lungs fill with. You can get pneumonia as a. Mucus, also known as phlegm when it’s produced by your respiratory system, lines the tissues of your body (such as your. Lungs Filled With Mucus After Covid.
From www.bbc.co.uk
Coronavirus Warning thousands could be left with lung damage BBC News Lungs Filled With Mucus After Covid While most people recover from. It’s not surprising covid causes a cough, because the , from our nasal passages right down to our lungs. You can get pneumonia as a. As the swelling gets worse, your lungs fill with. Mucus, also known as phlegm when it’s produced by your respiratory system, lines the tissues of your body (such as your. Lungs Filled With Mucus After Covid.
From www.linkedin.com
How to get rid of mucus in the throat and clear out lungs phlegm Lungs Filled With Mucus After Covid Coughing is one of the body’s ways of getting rid of unwanted irritants. Air sacs in the lungs fill with fluid, limiting their ability to take in oxygen and causing shortness of breath, cough and other symptoms. It’s not surprising covid causes a cough, because the , from our nasal passages right down to our lungs. Mucus, also known as. Lungs Filled With Mucus After Covid.
From www.dreamstime.com
Human Body Anatomy, Lungs and Cough. Medicinal Product To Dissolve Lungs Filled With Mucus After Covid As the swelling gets worse, your lungs fill with. Mucus, also known as phlegm when it’s produced by your respiratory system, lines the tissues of your body (such as your nose, mouth, throat, and lungs). Coughing is one of the body’s ways of getting rid of unwanted irritants. While most people recover from. This is normal after respiratory infections. You. Lungs Filled With Mucus After Covid.
From www.animalia-life.club
Mucus In Lungs X Ray Lungs Filled With Mucus After Covid Mucus, also known as phlegm when it’s produced by your respiratory system, lines the tissues of your body (such as your nose, mouth, throat, and lungs). You can get pneumonia as a. This is normal after respiratory infections. While most people recover from. As the swelling gets worse, your lungs fill with. It’s not surprising covid causes a cough, because. Lungs Filled With Mucus After Covid.
From www.theatlantic.com
How a Huge Blood Clot Took the Shape of a Lung Passage The Atlantic Lungs Filled With Mucus After Covid You can get pneumonia as a. While most people recover from. As the swelling gets worse, your lungs fill with. Mucus, also known as phlegm when it’s produced by your respiratory system, lines the tissues of your body (such as your nose, mouth, throat, and lungs). Coughing is one of the body’s ways of getting rid of unwanted irritants. This. Lungs Filled With Mucus After Covid.
From www.cbs8.com
Are COVID19 patient's lungs worse than smokers? Lungs Filled With Mucus After Covid Coughing is one of the body’s ways of getting rid of unwanted irritants. As the swelling gets worse, your lungs fill with. It’s not surprising covid causes a cough, because the , from our nasal passages right down to our lungs. Mucus, also known as phlegm when it’s produced by your respiratory system, lines the tissues of your body (such. Lungs Filled With Mucus After Covid.
From www.pinterest.com
Here Is How To Remove Phlegm and Mucus From Your Chest and Throat Lungs Filled With Mucus After Covid Mucus, also known as phlegm when it’s produced by your respiratory system, lines the tissues of your body (such as your nose, mouth, throat, and lungs). You can get pneumonia as a. Air sacs in the lungs fill with fluid, limiting their ability to take in oxygen and causing shortness of breath, cough and other symptoms. While most people recover. Lungs Filled With Mucus After Covid.
From share.upmc.com
What Is Mucus? Surprising Facts About Your Boogers UPMC HealthBeat Lungs Filled With Mucus After Covid You can get pneumonia as a. This is normal after respiratory infections. As the swelling gets worse, your lungs fill with. While most people recover from. Mucus, also known as phlegm when it’s produced by your respiratory system, lines the tissues of your body (such as your nose, mouth, throat, and lungs). It’s not surprising covid causes a cough, because. Lungs Filled With Mucus After Covid.
From www.verywellhealth.com
How to Remove Mucus from the Lungs Lungs Filled With Mucus After Covid It’s not surprising covid causes a cough, because the , from our nasal passages right down to our lungs. Air sacs in the lungs fill with fluid, limiting their ability to take in oxygen and causing shortness of breath, cough and other symptoms. Coughing is one of the body’s ways of getting rid of unwanted irritants. While most people recover. Lungs Filled With Mucus After Covid.
From www.animalia-life.club
Mucus In Lungs X Ray Lungs Filled With Mucus After Covid As the swelling gets worse, your lungs fill with. You can get pneumonia as a. Mucus, also known as phlegm when it’s produced by your respiratory system, lines the tissues of your body (such as your nose, mouth, throat, and lungs). While most people recover from. It’s not surprising covid causes a cough, because the , from our nasal passages. Lungs Filled With Mucus After Covid.
From www.animalia-life.club
Mucus In Lungs X Ray Lungs Filled With Mucus After Covid Coughing is one of the body’s ways of getting rid of unwanted irritants. Mucus, also known as phlegm when it’s produced by your respiratory system, lines the tissues of your body (such as your nose, mouth, throat, and lungs). Air sacs in the lungs fill with fluid, limiting their ability to take in oxygen and causing shortness of breath, cough. Lungs Filled With Mucus After Covid.
From simp-link.com
Mucus filling up lungs Lungs Filled With Mucus After Covid Air sacs in the lungs fill with fluid, limiting their ability to take in oxygen and causing shortness of breath, cough and other symptoms. This is normal after respiratory infections. Coughing is one of the body’s ways of getting rid of unwanted irritants. It’s not surprising covid causes a cough, because the , from our nasal passages right down to. Lungs Filled With Mucus After Covid.
From simp-link.com
Mucus filling up lungs Lungs Filled With Mucus After Covid As the swelling gets worse, your lungs fill with. Mucus, also known as phlegm when it’s produced by your respiratory system, lines the tissues of your body (such as your nose, mouth, throat, and lungs). This is normal after respiratory infections. While most people recover from. It’s not surprising covid causes a cough, because the , from our nasal passages. Lungs Filled With Mucus After Covid.
From ic.steadyhealth.com
Mucus in lungs General center Lungs Filled With Mucus After Covid Air sacs in the lungs fill with fluid, limiting their ability to take in oxygen and causing shortness of breath, cough and other symptoms. It’s not surprising covid causes a cough, because the , from our nasal passages right down to our lungs. This is normal after respiratory infections. You can get pneumonia as a. While most people recover from.. Lungs Filled With Mucus After Covid.
From www.myhealth1st.com.au
Phlegm Everything you need to know about lung mucus MyHealth1st Lungs Filled With Mucus After Covid Air sacs in the lungs fill with fluid, limiting their ability to take in oxygen and causing shortness of breath, cough and other symptoms. As the swelling gets worse, your lungs fill with. It’s not surprising covid causes a cough, because the , from our nasal passages right down to our lungs. While most people recover from. Mucus, also known. Lungs Filled With Mucus After Covid.
From www.verywellhealth.com
Reasons You're Coughing Up White Mucus Lungs Filled With Mucus After Covid Air sacs in the lungs fill with fluid, limiting their ability to take in oxygen and causing shortness of breath, cough and other symptoms. This is normal after respiratory infections. You can get pneumonia as a. Coughing is one of the body’s ways of getting rid of unwanted irritants. It’s not surprising covid causes a cough, because the , from. Lungs Filled With Mucus After Covid.
From simp-link.com
Mucus filling up lungs Lungs Filled With Mucus After Covid This is normal after respiratory infections. Mucus, also known as phlegm when it’s produced by your respiratory system, lines the tissues of your body (such as your nose, mouth, throat, and lungs). As the swelling gets worse, your lungs fill with. While most people recover from. Air sacs in the lungs fill with fluid, limiting their ability to take in. Lungs Filled With Mucus After Covid.
From www.bbc.com
Covid19 Lung damage 'identified' in study BBC News Lungs Filled With Mucus After Covid As the swelling gets worse, your lungs fill with. While most people recover from. Mucus, also known as phlegm when it’s produced by your respiratory system, lines the tissues of your body (such as your nose, mouth, throat, and lungs). You can get pneumonia as a. Air sacs in the lungs fill with fluid, limiting their ability to take in. Lungs Filled With Mucus After Covid.
From www.vecteezy.com
3D illustration of trachea and air sacs in human lungs highlighting Lungs Filled With Mucus After Covid While most people recover from. Coughing is one of the body’s ways of getting rid of unwanted irritants. This is normal after respiratory infections. You can get pneumonia as a. As the swelling gets worse, your lungs fill with. It’s not surprising covid causes a cough, because the , from our nasal passages right down to our lungs. Air sacs. Lungs Filled With Mucus After Covid.
From www.wqad.com
Covid lungs vs smoking lungs Long term effects of covid on lungs Lungs Filled With Mucus After Covid This is normal after respiratory infections. As the swelling gets worse, your lungs fill with. You can get pneumonia as a. While most people recover from. Mucus, also known as phlegm when it’s produced by your respiratory system, lines the tissues of your body (such as your nose, mouth, throat, and lungs). Coughing is one of the body’s ways of. Lungs Filled With Mucus After Covid.
From www.delmarvanow.com
NEJM shares odd photo of blood clot shaped like lung. A man spit it up Lungs Filled With Mucus After Covid While most people recover from. This is normal after respiratory infections. Air sacs in the lungs fill with fluid, limiting their ability to take in oxygen and causing shortness of breath, cough and other symptoms. It’s not surprising covid causes a cough, because the , from our nasal passages right down to our lungs. As the swelling gets worse, your. Lungs Filled With Mucus After Covid.
From simp-link.com
Mucus filling up lungs Lungs Filled With Mucus After Covid It’s not surprising covid causes a cough, because the , from our nasal passages right down to our lungs. You can get pneumonia as a. As the swelling gets worse, your lungs fill with. While most people recover from. Coughing is one of the body’s ways of getting rid of unwanted irritants. Mucus, also known as phlegm when it’s produced. Lungs Filled With Mucus After Covid.
From www.bbc.co.uk
Coronavirus Warning thousands could be left with lung damage BBC News Lungs Filled With Mucus After Covid It’s not surprising covid causes a cough, because the , from our nasal passages right down to our lungs. While most people recover from. As the swelling gets worse, your lungs fill with. This is normal after respiratory infections. You can get pneumonia as a. Mucus, also known as phlegm when it’s produced by your respiratory system, lines the tissues. Lungs Filled With Mucus After Covid.
From www.dreamstime.com
Mucus Stock Illustrations 2,264 Mucus Stock Illustrations, Vectors Lungs Filled With Mucus After Covid As the swelling gets worse, your lungs fill with. This is normal after respiratory infections. Air sacs in the lungs fill with fluid, limiting their ability to take in oxygen and causing shortness of breath, cough and other symptoms. Mucus, also known as phlegm when it’s produced by your respiratory system, lines the tissues of your body (such as your. Lungs Filled With Mucus After Covid.
From www.youtube.com
How To Get Rid Of Mucus In Lungs Without Medication Phlegm Treatment Lungs Filled With Mucus After Covid While most people recover from. It’s not surprising covid causes a cough, because the , from our nasal passages right down to our lungs. Mucus, also known as phlegm when it’s produced by your respiratory system, lines the tissues of your body (such as your nose, mouth, throat, and lungs). As the swelling gets worse, your lungs fill with. Coughing. Lungs Filled With Mucus After Covid.
From www.childbirthgraphics.com
Smoking, Vaping, and Coronavirus Complications Health Edco Lungs Filled With Mucus After Covid It’s not surprising covid causes a cough, because the , from our nasal passages right down to our lungs. Mucus, also known as phlegm when it’s produced by your respiratory system, lines the tissues of your body (such as your nose, mouth, throat, and lungs). You can get pneumonia as a. As the swelling gets worse, your lungs fill with.. Lungs Filled With Mucus After Covid.