Radiopaque Nephrolithiasis . kidney stone disease, also known as nephrolithiasis or urolithiasis, is a disorder in which urinary solutes precipitate to form. kidney stone disease (nephrolithiasis) is a common problem in primary care practice. plain radiography provides an acceptable assessment of stone activity in most patients with radiopaque stones,. For the purpose of the article, the terms urolithiasis,. In this article, we review the standard of care for imaging of nephrolithiasis as well as new technology. urolithiasis refers to the presence of calculi anywhere along the course of the urinary tracts. because most renal stones are radiopaque, the workup often begins with a plain abdominal radiograph.
from www.osmosis.org
urolithiasis refers to the presence of calculi anywhere along the course of the urinary tracts. In this article, we review the standard of care for imaging of nephrolithiasis as well as new technology. plain radiography provides an acceptable assessment of stone activity in most patients with radiopaque stones,. kidney stone disease, also known as nephrolithiasis or urolithiasis, is a disorder in which urinary solutes precipitate to form. kidney stone disease (nephrolithiasis) is a common problem in primary care practice. For the purpose of the article, the terms urolithiasis,. because most renal stones are radiopaque, the workup often begins with a plain abdominal radiograph.
Nephrolithiasis Clinical sciences Osmosis Video Library
Radiopaque Nephrolithiasis urolithiasis refers to the presence of calculi anywhere along the course of the urinary tracts. urolithiasis refers to the presence of calculi anywhere along the course of the urinary tracts. For the purpose of the article, the terms urolithiasis,. In this article, we review the standard of care for imaging of nephrolithiasis as well as new technology. kidney stone disease (nephrolithiasis) is a common problem in primary care practice. kidney stone disease, also known as nephrolithiasis or urolithiasis, is a disorder in which urinary solutes precipitate to form. because most renal stones are radiopaque, the workup often begins with a plain abdominal radiograph. plain radiography provides an acceptable assessment of stone activity in most patients with radiopaque stones,.
From www.gandhi.com.mx
Diagnosis and Management of Pediatric Nephrolithiasis de en Librerías Radiopaque Nephrolithiasis For the purpose of the article, the terms urolithiasis,. kidney stone disease, also known as nephrolithiasis or urolithiasis, is a disorder in which urinary solutes precipitate to form. plain radiography provides an acceptable assessment of stone activity in most patients with radiopaque stones,. urolithiasis refers to the presence of calculi anywhere along the course of the urinary. Radiopaque Nephrolithiasis.
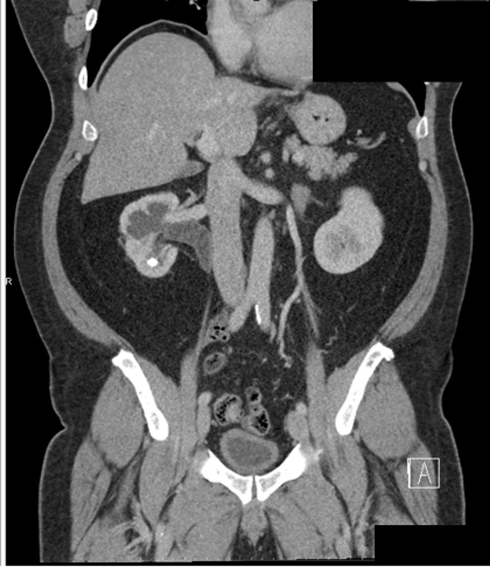
From www.semanticscholar.org
Figure 4 from Discovery of Primary Hyperparathyroidism in a Patient Radiopaque Nephrolithiasis In this article, we review the standard of care for imaging of nephrolithiasis as well as new technology. urolithiasis refers to the presence of calculi anywhere along the course of the urinary tracts. kidney stone disease (nephrolithiasis) is a common problem in primary care practice. plain radiography provides an acceptable assessment of stone activity in most patients. Radiopaque Nephrolithiasis.
From www.tamingthesru.com
The Abdominal XRay A relic or a reliable tool? — Taming the SRU Radiopaque Nephrolithiasis kidney stone disease, also known as nephrolithiasis or urolithiasis, is a disorder in which urinary solutes precipitate to form. For the purpose of the article, the terms urolithiasis,. kidney stone disease (nephrolithiasis) is a common problem in primary care practice. urolithiasis refers to the presence of calculi anywhere along the course of the urinary tracts. plain. Radiopaque Nephrolithiasis.
From ar.inspiredpencil.com
Nephrolithiasis Pathophysiology Diagram Radiopaque Nephrolithiasis For the purpose of the article, the terms urolithiasis,. urolithiasis refers to the presence of calculi anywhere along the course of the urinary tracts. kidney stone disease (nephrolithiasis) is a common problem in primary care practice. kidney stone disease, also known as nephrolithiasis or urolithiasis, is a disorder in which urinary solutes precipitate to form. In this. Radiopaque Nephrolithiasis.
From www.slideserve.com
PPT Nephrolithiasis PowerPoint Presentation, free download ID6342459 Radiopaque Nephrolithiasis kidney stone disease (nephrolithiasis) is a common problem in primary care practice. urolithiasis refers to the presence of calculi anywhere along the course of the urinary tracts. because most renal stones are radiopaque, the workup often begins with a plain abdominal radiograph. For the purpose of the article, the terms urolithiasis,. kidney stone disease, also known. Radiopaque Nephrolithiasis.
From www.researchgate.net
Biochemical and Hemodynamic characterization of Nephrolithiasis Radiopaque Nephrolithiasis kidney stone disease (nephrolithiasis) is a common problem in primary care practice. plain radiography provides an acceptable assessment of stone activity in most patients with radiopaque stones,. In this article, we review the standard of care for imaging of nephrolithiasis as well as new technology. urolithiasis refers to the presence of calculi anywhere along the course of. Radiopaque Nephrolithiasis.
From journals.sagepub.com
Educational Case Urinary Stones Ryan L. Frazier, Alison R. Huppmann Radiopaque Nephrolithiasis plain radiography provides an acceptable assessment of stone activity in most patients with radiopaque stones,. In this article, we review the standard of care for imaging of nephrolithiasis as well as new technology. kidney stone disease (nephrolithiasis) is a common problem in primary care practice. For the purpose of the article, the terms urolithiasis,. kidney stone disease,. Radiopaque Nephrolithiasis.
From giowvovcn.blob.core.windows.net
No Radiopaque Nephrolithiasis at Frieda Brewer blog Radiopaque Nephrolithiasis kidney stone disease, also known as nephrolithiasis or urolithiasis, is a disorder in which urinary solutes precipitate to form. because most renal stones are radiopaque, the workup often begins with a plain abdominal radiograph. plain radiography provides an acceptable assessment of stone activity in most patients with radiopaque stones,. kidney stone disease (nephrolithiasis) is a common. Radiopaque Nephrolithiasis.
From sonographie.org
Nephrolithiasis Sonographieatlas Erlangen Radiopaque Nephrolithiasis In this article, we review the standard of care for imaging of nephrolithiasis as well as new technology. plain radiography provides an acceptable assessment of stone activity in most patients with radiopaque stones,. urolithiasis refers to the presence of calculi anywhere along the course of the urinary tracts. because most renal stones are radiopaque, the workup often. Radiopaque Nephrolithiasis.
From www.academia.edu
(PDF) Nephrolithiasis, bone mineral density, osteoporosis, and Radiopaque Nephrolithiasis kidney stone disease, also known as nephrolithiasis or urolithiasis, is a disorder in which urinary solutes precipitate to form. because most renal stones are radiopaque, the workup often begins with a plain abdominal radiograph. In this article, we review the standard of care for imaging of nephrolithiasis as well as new technology. For the purpose of the article,. Radiopaque Nephrolithiasis.
From www.dreamstime.com
Nephrolithiasis, Irregular Brown Kidney Stones (renal Calculus or Radiopaque Nephrolithiasis urolithiasis refers to the presence of calculi anywhere along the course of the urinary tracts. kidney stone disease, also known as nephrolithiasis or urolithiasis, is a disorder in which urinary solutes precipitate to form. plain radiography provides an acceptable assessment of stone activity in most patients with radiopaque stones,. In this article, we review the standard of. Radiopaque Nephrolithiasis.
From nowserving.ph
Discovering Kidney Stones Nephrolithiasis vs. Urolithiasis Radiopaque Nephrolithiasis urolithiasis refers to the presence of calculi anywhere along the course of the urinary tracts. because most renal stones are radiopaque, the workup often begins with a plain abdominal radiograph. For the purpose of the article, the terms urolithiasis,. plain radiography provides an acceptable assessment of stone activity in most patients with radiopaque stones,. In this article,. Radiopaque Nephrolithiasis.
From www.slideserve.com
PPT NEPHROLITHIASIS PowerPoint Presentation, free download ID6367004 Radiopaque Nephrolithiasis In this article, we review the standard of care for imaging of nephrolithiasis as well as new technology. kidney stone disease (nephrolithiasis) is a common problem in primary care practice. urolithiasis refers to the presence of calculi anywhere along the course of the urinary tracts. plain radiography provides an acceptable assessment of stone activity in most patients. Radiopaque Nephrolithiasis.
From aneskey.com
Nephrolithiasis Anesthesia Key Radiopaque Nephrolithiasis because most renal stones are radiopaque, the workup often begins with a plain abdominal radiograph. urolithiasis refers to the presence of calculi anywhere along the course of the urinary tracts. kidney stone disease, also known as nephrolithiasis or urolithiasis, is a disorder in which urinary solutes precipitate to form. In this article, we review the standard of. Radiopaque Nephrolithiasis.
From pediatricimaging.org
Pediatric Nephrolithiasis Pediatric Radiology Reference Article Radiopaque Nephrolithiasis plain radiography provides an acceptable assessment of stone activity in most patients with radiopaque stones,. urolithiasis refers to the presence of calculi anywhere along the course of the urinary tracts. kidney stone disease (nephrolithiasis) is a common problem in primary care practice. For the purpose of the article, the terms urolithiasis,. kidney stone disease, also known. Radiopaque Nephrolithiasis.
From nowserving.ph
Nephrolithiasis Treatment Approaches for Wellness Radiopaque Nephrolithiasis kidney stone disease, also known as nephrolithiasis or urolithiasis, is a disorder in which urinary solutes precipitate to form. plain radiography provides an acceptable assessment of stone activity in most patients with radiopaque stones,. kidney stone disease (nephrolithiasis) is a common problem in primary care practice. urolithiasis refers to the presence of calculi anywhere along the. Radiopaque Nephrolithiasis.
From www.slideshare.net
Pedi gu review nephrolithiasis Radiopaque Nephrolithiasis because most renal stones are radiopaque, the workup often begins with a plain abdominal radiograph. kidney stone disease (nephrolithiasis) is a common problem in primary care practice. kidney stone disease, also known as nephrolithiasis or urolithiasis, is a disorder in which urinary solutes precipitate to form. plain radiography provides an acceptable assessment of stone activity in. Radiopaque Nephrolithiasis.
From www.vecteezy.com
Nephrolithiasis kidney stones disease. cross section of Vector medical Radiopaque Nephrolithiasis because most renal stones are radiopaque, the workup often begins with a plain abdominal radiograph. For the purpose of the article, the terms urolithiasis,. kidney stone disease, also known as nephrolithiasis or urolithiasis, is a disorder in which urinary solutes precipitate to form. urolithiasis refers to the presence of calculi anywhere along the course of the urinary. Radiopaque Nephrolithiasis.
From www.mdpi.com
Toxics Free FullText The Therapeutic Effect of Catechin on Radiopaque Nephrolithiasis kidney stone disease, also known as nephrolithiasis or urolithiasis, is a disorder in which urinary solutes precipitate to form. urolithiasis refers to the presence of calculi anywhere along the course of the urinary tracts. because most renal stones are radiopaque, the workup often begins with a plain abdominal radiograph. For the purpose of the article, the terms. Radiopaque Nephrolithiasis.
From ajkdblog.org
Nephrolithiasis An Interview AJKD Blog Radiopaque Nephrolithiasis urolithiasis refers to the presence of calculi anywhere along the course of the urinary tracts. In this article, we review the standard of care for imaging of nephrolithiasis as well as new technology. plain radiography provides an acceptable assessment of stone activity in most patients with radiopaque stones,. kidney stone disease, also known as nephrolithiasis or urolithiasis,. Radiopaque Nephrolithiasis.
From www.slideserve.com
PPT NEPHROLITHIASIS PowerPoint Presentation, free download ID6367004 Radiopaque Nephrolithiasis urolithiasis refers to the presence of calculi anywhere along the course of the urinary tracts. In this article, we review the standard of care for imaging of nephrolithiasis as well as new technology. kidney stone disease, also known as nephrolithiasis or urolithiasis, is a disorder in which urinary solutes precipitate to form. plain radiography provides an acceptable. Radiopaque Nephrolithiasis.
From www.researchgate.net
(PDF) Monogenic causation of pediatric nephrolithiasis Radiopaque Nephrolithiasis urolithiasis refers to the presence of calculi anywhere along the course of the urinary tracts. In this article, we review the standard of care for imaging of nephrolithiasis as well as new technology. For the purpose of the article, the terms urolithiasis,. plain radiography provides an acceptable assessment of stone activity in most patients with radiopaque stones,. . Radiopaque Nephrolithiasis.
From www.slideserve.com
PPT Nephrolithiasis PowerPoint Presentation, free download ID1053018 Radiopaque Nephrolithiasis urolithiasis refers to the presence of calculi anywhere along the course of the urinary tracts. kidney stone disease (nephrolithiasis) is a common problem in primary care practice. plain radiography provides an acceptable assessment of stone activity in most patients with radiopaque stones,. In this article, we review the standard of care for imaging of nephrolithiasis as well. Radiopaque Nephrolithiasis.
From www.cureus.com
Cureus Cesarean Section Complications Followed by Bladder Cystotomy Radiopaque Nephrolithiasis urolithiasis refers to the presence of calculi anywhere along the course of the urinary tracts. In this article, we review the standard of care for imaging of nephrolithiasis as well as new technology. kidney stone disease (nephrolithiasis) is a common problem in primary care practice. because most renal stones are radiopaque, the workup often begins with a. Radiopaque Nephrolithiasis.
From adc.bmj.com
Nephrolithiasis associated with ceftriaxone therapy a prospective Radiopaque Nephrolithiasis In this article, we review the standard of care for imaging of nephrolithiasis as well as new technology. urolithiasis refers to the presence of calculi anywhere along the course of the urinary tracts. For the purpose of the article, the terms urolithiasis,. because most renal stones are radiopaque, the workup often begins with a plain abdominal radiograph. . Radiopaque Nephrolithiasis.
From www.oncallradiology.com
On Call Radiology common radiology findings on call and in the Radiopaque Nephrolithiasis kidney stone disease (nephrolithiasis) is a common problem in primary care practice. kidney stone disease, also known as nephrolithiasis or urolithiasis, is a disorder in which urinary solutes precipitate to form. For the purpose of the article, the terms urolithiasis,. because most renal stones are radiopaque, the workup often begins with a plain abdominal radiograph. plain. Radiopaque Nephrolithiasis.
From www.mdpi.com
JCM Free FullText Risk of Nephrolithiasis in Patients with Radiopaque Nephrolithiasis kidney stone disease (nephrolithiasis) is a common problem in primary care practice. For the purpose of the article, the terms urolithiasis,. urolithiasis refers to the presence of calculi anywhere along the course of the urinary tracts. In this article, we review the standard of care for imaging of nephrolithiasis as well as new technology. because most renal. Radiopaque Nephrolithiasis.
From www.osmosis.org
Nephrolithiasis Clinical sciences Osmosis Video Library Radiopaque Nephrolithiasis because most renal stones are radiopaque, the workup often begins with a plain abdominal radiograph. plain radiography provides an acceptable assessment of stone activity in most patients with radiopaque stones,. urolithiasis refers to the presence of calculi anywhere along the course of the urinary tracts. kidney stone disease, also known as nephrolithiasis or urolithiasis, is a. Radiopaque Nephrolithiasis.
From www.scribd.com
Nephrolithiasis Understanding the Types, Causes, Treatment and Radiopaque Nephrolithiasis plain radiography provides an acceptable assessment of stone activity in most patients with radiopaque stones,. For the purpose of the article, the terms urolithiasis,. kidney stone disease (nephrolithiasis) is a common problem in primary care practice. kidney stone disease, also known as nephrolithiasis or urolithiasis, is a disorder in which urinary solutes precipitate to form. because. Radiopaque Nephrolithiasis.
From www.osmosis.org
Kidney stones Pathology review Video & Anatomy Osmosis Radiopaque Nephrolithiasis because most renal stones are radiopaque, the workup often begins with a plain abdominal radiograph. kidney stone disease (nephrolithiasis) is a common problem in primary care practice. urolithiasis refers to the presence of calculi anywhere along the course of the urinary tracts. kidney stone disease, also known as nephrolithiasis or urolithiasis, is a disorder in which. Radiopaque Nephrolithiasis.
From www.cureus.com
An Incidental Finding of Retrocaval Ureter Causing Radiopaque Nephrolithiasis kidney stone disease, also known as nephrolithiasis or urolithiasis, is a disorder in which urinary solutes precipitate to form. plain radiography provides an acceptable assessment of stone activity in most patients with radiopaque stones,. kidney stone disease (nephrolithiasis) is a common problem in primary care practice. In this article, we review the standard of care for imaging. Radiopaque Nephrolithiasis.
From laptrinhx.com
Nephrolithiasis Ultrasonography versus Computed Tomography LaptrinhX Radiopaque Nephrolithiasis urolithiasis refers to the presence of calculi anywhere along the course of the urinary tracts. In this article, we review the standard of care for imaging of nephrolithiasis as well as new technology. because most renal stones are radiopaque, the workup often begins with a plain abdominal radiograph. plain radiography provides an acceptable assessment of stone activity. Radiopaque Nephrolithiasis.
From www.healthadvicer.com
Nephrolithiasis Causes, Picture, Symptoms And Treatment Radiopaque Nephrolithiasis For the purpose of the article, the terms urolithiasis,. kidney stone disease, also known as nephrolithiasis or urolithiasis, is a disorder in which urinary solutes precipitate to form. urolithiasis refers to the presence of calculi anywhere along the course of the urinary tracts. plain radiography provides an acceptable assessment of stone activity in most patients with radiopaque. Radiopaque Nephrolithiasis.
From www.facebook.com
Facebook Radiopaque Nephrolithiasis For the purpose of the article, the terms urolithiasis,. because most renal stones are radiopaque, the workup often begins with a plain abdominal radiograph. urolithiasis refers to the presence of calculi anywhere along the course of the urinary tracts. plain radiography provides an acceptable assessment of stone activity in most patients with radiopaque stones,. kidney stone. Radiopaque Nephrolithiasis.
From www.istockphoto.com
Nephrolithiasis Kidney Stones Disease Medical Concept 3d Illustration Radiopaque Nephrolithiasis because most renal stones are radiopaque, the workup often begins with a plain abdominal radiograph. kidney stone disease (nephrolithiasis) is a common problem in primary care practice. For the purpose of the article, the terms urolithiasis,. In this article, we review the standard of care for imaging of nephrolithiasis as well as new technology. plain radiography provides. Radiopaque Nephrolithiasis.