Accessory Navicular Bone Types . — there are three types of accessory navicular: — acessory navicular is a common idiopathic condition of the foot that presents with an enlargement of the. There are three different types of accessory navicular: A small round or oval sesamoid bone that sits within the posterior tibial tendon. Type 1 accessory navicular bone: Type 1 is small, round, and exists within the tibialis posterior tendon. Aka os tibiale externum or os naviculare secundarium — accessory navicular types. an accessory navicular is a large accessory ossicle that can be present adjacent to the medial side of the navicular bone. It is not connected to the navicular bone. there are three different types of accessory navicular. This extra cartilage, which is turned into bone, is found attached to the posterior tibial. Around 30% of accessory navicular bones are type 1. — the accessory navicular bone (anb) is one of the most common accessory bones in the foot. Type 2 is larger and connects to the navicular via a cartilage bridge (called a synchondrosis).
from www.wikidoc.org
Aka os tibiale externum or os naviculare secundarium It is not connected to the navicular bone. A small round or oval sesamoid bone that sits within the posterior tibial tendon. There are three different types of accessory navicular: Type 2 is larger and connects to the navicular via a cartilage bridge (called a synchondrosis). — accessory navicular types. — there are three types of accessory navicular: Type 3 is the most prominent and connects to the navicular via a bony bridge. Type 1 is small, round, and exists within the tibialis posterior tendon. there are three different types of accessory navicular.
Accessory navicular bone wikidoc
Accessory Navicular Bone Types there are three different types of accessory navicular. there are three different types of accessory navicular. A small round or oval sesamoid bone that sits within the posterior tibial tendon. Type 3 is the most prominent and connects to the navicular via a bony bridge. an accessory navicular is a large accessory ossicle that can be present adjacent to the medial side of the navicular bone. Around 30% of accessory navicular bones are type 1. It is not connected to the navicular bone. Type 2 is larger and connects to the navicular via a cartilage bridge (called a synchondrosis). — there are three types of accessory navicular: This extra cartilage, which is turned into bone, is found attached to the posterior tibial. — accessory navicular types. — acessory navicular is a common idiopathic condition of the foot that presents with an enlargement of the. — the accessory navicular bone (anb) is one of the most common accessory bones in the foot. Aka os tibiale externum or os naviculare secundarium There are three different types of accessory navicular: Type 1 accessory navicular bone:
From www.researchgate.net
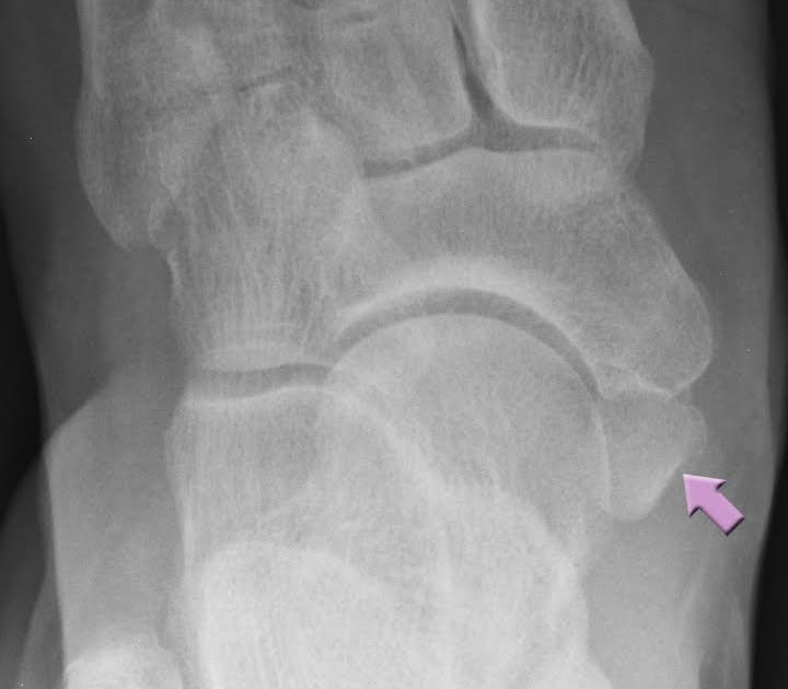
Accessory navicular bone on plain Xray in 5 cases; case 1 (type II Accessory Navicular Bone Types — the accessory navicular bone (anb) is one of the most common accessory bones in the foot. Type 1 accessory navicular bone: Type 2 is larger and connects to the navicular via a cartilage bridge (called a synchondrosis). It is not connected to the navicular bone. Type 3 is the most prominent and connects to the navicular via a. Accessory Navicular Bone Types.
From radiopaedia.org
Image Accessory Navicular Bone Types — accessory navicular types. Around 30% of accessory navicular bones are type 1. Type 3 is the most prominent and connects to the navicular via a bony bridge. Type 1 accessory navicular bone: It is not connected to the navicular bone. Type 1 is small, round, and exists within the tibialis posterior tendon. Type 2 is larger and connects. Accessory Navicular Bone Types.
From www.theinjurysource.com
Os Navicularis (Accessory Navicular) Accessory Navicular Bone Types There are three different types of accessory navicular: It is not connected to the navicular bone. an accessory navicular is a large accessory ossicle that can be present adjacent to the medial side of the navicular bone. there are three different types of accessory navicular. Type 1 accessory navicular bone: Aka os tibiale externum or os naviculare secundarium. Accessory Navicular Bone Types.
From www.youtube.com
Accessory navicular bone 🦴 Everything Human Anatomy Bones 🦴 YouTube Accessory Navicular Bone Types an accessory navicular is a large accessory ossicle that can be present adjacent to the medial side of the navicular bone. — the accessory navicular bone (anb) is one of the most common accessory bones in the foot. Type 2 is larger and connects to the navicular via a cartilage bridge (called a synchondrosis). — there are. Accessory Navicular Bone Types.
From ankleandfootcentre.com.au
Ultrasound Imaging of the Accessory Navicular Bone Ankle, Foot and Accessory Navicular Bone Types Aka os tibiale externum or os naviculare secundarium Type 2 is larger and connects to the navicular via a cartilage bridge (called a synchondrosis). There are three different types of accessory navicular: Type 1 accessory navicular bone: — acessory navicular is a common idiopathic condition of the foot that presents with an enlargement of the. Type 1 is small,. Accessory Navicular Bone Types.
From www.researchgate.net
The foot radiographs of three different types of accessory navicular Accessory Navicular Bone Types This extra cartilage, which is turned into bone, is found attached to the posterior tibial. Type 1 is small, round, and exists within the tibialis posterior tendon. Type 2 is larger and connects to the navicular via a cartilage bridge (called a synchondrosis). — acessory navicular is a common idiopathic condition of the foot that presents with an enlargement. Accessory Navicular Bone Types.
From www.dcicomp.com
Accessory Navicular Bone Types Accessory Navicular Bone Types It is not connected to the navicular bone. Aka os tibiale externum or os naviculare secundarium an accessory navicular is a large accessory ossicle that can be present adjacent to the medial side of the navicular bone. — acessory navicular is a common idiopathic condition of the foot that presents with an enlargement of the. Type 1 is. Accessory Navicular Bone Types.
From www.researchgate.net
Classification of accessory navicular bones by the modified Coughlin Accessory Navicular Bone Types Around 30% of accessory navicular bones are type 1. — accessory navicular types. This extra cartilage, which is turned into bone, is found attached to the posterior tibial. an accessory navicular is a large accessory ossicle that can be present adjacent to the medial side of the navicular bone. Type 2 is larger and connects to the navicular. Accessory Navicular Bone Types.
From www.wikidoc.org
Accessory navicular bone wikidoc Accessory Navicular Bone Types — accessory navicular types. There are three different types of accessory navicular: there are three different types of accessory navicular. This extra cartilage, which is turned into bone, is found attached to the posterior tibial. — there are three types of accessory navicular: Around 30% of accessory navicular bones are type 1. Type 2 is larger and. Accessory Navicular Bone Types.
From ankleandfootcentre.com.au
Ultrasound Imaging of the Accessory Navicular Bone Ankle, Foot and Accessory Navicular Bone Types It is not connected to the navicular bone. Type 2 is larger and connects to the navicular via a cartilage bridge (called a synchondrosis). This extra cartilage, which is turned into bone, is found attached to the posterior tibial. — there are three types of accessory navicular: there are three different types of accessory navicular. Aka os tibiale. Accessory Navicular Bone Types.
From footeducation.com
Accessory Navicular Bone FootEducation Accessory Navicular Bone Types — accessory navicular types. Type 3 is the most prominent and connects to the navicular via a bony bridge. There are three different types of accessory navicular: It is not connected to the navicular bone. — there are three types of accessory navicular: Aka os tibiale externum or os naviculare secundarium — acessory navicular is a common. Accessory Navicular Bone Types.
From radiopaedia.org
Accessory navicular bone Image Accessory Navicular Bone Types Type 1 accessory navicular bone: — the accessory navicular bone (anb) is one of the most common accessory bones in the foot. A small round or oval sesamoid bone that sits within the posterior tibial tendon. There are three different types of accessory navicular: Around 30% of accessory navicular bones are type 1. This extra cartilage, which is turned. Accessory Navicular Bone Types.
From anatomy.app
Navicular bone Encyclopedia Anatomy.app Learn anatomy 3D models Accessory Navicular Bone Types there are three different types of accessory navicular. It is not connected to the navicular bone. — acessory navicular is a common idiopathic condition of the foot that presents with an enlargement of the. A small round or oval sesamoid bone that sits within the posterior tibial tendon. — the accessory navicular bone (anb) is one of. Accessory Navicular Bone Types.
From www.foot.theclinics.com
Adolescent Accessory Navicular Foot and Ankle Clinics Accessory Navicular Bone Types Type 1 accessory navicular bone: This extra cartilage, which is turned into bone, is found attached to the posterior tibial. Around 30% of accessory navicular bones are type 1. an accessory navicular is a large accessory ossicle that can be present adjacent to the medial side of the navicular bone. — acessory navicular is a common idiopathic condition. Accessory Navicular Bone Types.
From epos.myesr.org
EPOS™ Accessory Navicular Bone Types — accessory navicular types. — acessory navicular is a common idiopathic condition of the foot that presents with an enlargement of the. Type 3 is the most prominent and connects to the navicular via a bony bridge. there are three different types of accessory navicular. Aka os tibiale externum or os naviculare secundarium There are three different. Accessory Navicular Bone Types.
From caringmedical.com
Accessory Navicular Syndrome Accessory Navicular Bone Types — there are three types of accessory navicular: an accessory navicular is a large accessory ossicle that can be present adjacent to the medial side of the navicular bone. — accessory navicular types. Type 1 accessory navicular bone: A small round or oval sesamoid bone that sits within the posterior tibial tendon. Type 2 is larger and. Accessory Navicular Bone Types.
From roentgenrayreader.blogspot.com
Roentgen Ray Reader Types of Accessory Navicular Bones Accessory Navicular Bone Types an accessory navicular is a large accessory ossicle that can be present adjacent to the medial side of the navicular bone. Type 1 is small, round, and exists within the tibialis posterior tendon. This extra cartilage, which is turned into bone, is found attached to the posterior tibial. Type 2 is larger and connects to the navicular via a. Accessory Navicular Bone Types.
From www.theskeletalsystem.net
Navicular Bone Location, Anatomy, & Labeled Diagram Accessory Navicular Bone Types Aka os tibiale externum or os naviculare secundarium — acessory navicular is a common idiopathic condition of the foot that presents with an enlargement of the. This extra cartilage, which is turned into bone, is found attached to the posterior tibial. Type 3 is the most prominent and connects to the navicular via a bony bridge. — the. Accessory Navicular Bone Types.
From medizzy.com
Accessory Navicular Bone (AKA Accessory Navicular Syndrome, MEDizzy Accessory Navicular Bone Types Around 30% of accessory navicular bones are type 1. an accessory navicular is a large accessory ossicle that can be present adjacent to the medial side of the navicular bone. — accessory navicular types. Type 1 accessory navicular bone: — the accessory navicular bone (anb) is one of the most common accessory bones in the foot. Type. Accessory Navicular Bone Types.
From corewalking.com
The Navicular Bone Accessory Navicular Bone Types — acessory navicular is a common idiopathic condition of the foot that presents with an enlargement of the. Aka os tibiale externum or os naviculare secundarium an accessory navicular is a large accessory ossicle that can be present adjacent to the medial side of the navicular bone. there are three different types of accessory navicular. A small. Accessory Navicular Bone Types.
From ar.inspiredpencil.com
Navicular Anatomy Accessory Navicular Bone Types Type 2 is larger and connects to the navicular via a cartilage bridge (called a synchondrosis). — there are three types of accessory navicular: — accessory navicular types. Type 3 is the most prominent and connects to the navicular via a bony bridge. Around 30% of accessory navicular bones are type 1. there are three different types. Accessory Navicular Bone Types.
From www.earthslab.com
Navicular bone Earth's Lab Accessory Navicular Bone Types It is not connected to the navicular bone. Type 1 accessory navicular bone: — acessory navicular is a common idiopathic condition of the foot that presents with an enlargement of the. there are three different types of accessory navicular. Type 1 is small, round, and exists within the tibialis posterior tendon. Aka os tibiale externum or os naviculare. Accessory Navicular Bone Types.
From www.orthobullets.com
Accessory Navicular Pediatrics Orthobullets Accessory Navicular Bone Types — acessory navicular is a common idiopathic condition of the foot that presents with an enlargement of the. There are three different types of accessory navicular: It is not connected to the navicular bone. an accessory navicular is a large accessory ossicle that can be present adjacent to the medial side of the navicular bone. This extra cartilage,. Accessory Navicular Bone Types.
From radiopaedia.org
Accessory navicular bone Image Accessory Navicular Bone Types This extra cartilage, which is turned into bone, is found attached to the posterior tibial. Type 1 accessory navicular bone: there are three different types of accessory navicular. — acessory navicular is a common idiopathic condition of the foot that presents with an enlargement of the. Around 30% of accessory navicular bones are type 1. Type 3 is. Accessory Navicular Bone Types.
From en.wikidoc.org
Accessory navicular bone wikidoc Accessory Navicular Bone Types Around 30% of accessory navicular bones are type 1. This extra cartilage, which is turned into bone, is found attached to the posterior tibial. There are three different types of accessory navicular: It is not connected to the navicular bone. Aka os tibiale externum or os naviculare secundarium — there are three types of accessory navicular: A small round. Accessory Navicular Bone Types.
From www.physio-pedia.com
Accessory Navicular Bone Physiopedia Accessory Navicular Bone Types — acessory navicular is a common idiopathic condition of the foot that presents with an enlargement of the. This extra cartilage, which is turned into bone, is found attached to the posterior tibial. an accessory navicular is a large accessory ossicle that can be present adjacent to the medial side of the navicular bone. — there are. Accessory Navicular Bone Types.
From ankleandfootcentre.com.au
Ultrasound Imaging of the Accessory Navicular Bone Ankle, Foot and Accessory Navicular Bone Types an accessory navicular is a large accessory ossicle that can be present adjacent to the medial side of the navicular bone. Type 1 accessory navicular bone: It is not connected to the navicular bone. — acessory navicular is a common idiopathic condition of the foot that presents with an enlargement of the. Type 3 is the most prominent. Accessory Navicular Bone Types.
From mungfali.com
Navicular Bone Anatomy Accessory Navicular Bone Types There are three different types of accessory navicular: Type 1 accessory navicular bone: an accessory navicular is a large accessory ossicle that can be present adjacent to the medial side of the navicular bone. A small round or oval sesamoid bone that sits within the posterior tibial tendon. — the accessory navicular bone (anb) is one of the. Accessory Navicular Bone Types.
From cellaxys.com
Navicular Bone Pain Causes And Treatment Cellaxys Accessory Navicular Bone Types there are three different types of accessory navicular. — the accessory navicular bone (anb) is one of the most common accessory bones in the foot. There are three different types of accessory navicular: It is not connected to the navicular bone. Type 1 accessory navicular bone: — acessory navicular is a common idiopathic condition of the foot. Accessory Navicular Bone Types.
From www.wikidoc.org
Accessory navicular bone wikidoc Accessory Navicular Bone Types there are three different types of accessory navicular. Around 30% of accessory navicular bones are type 1. Type 1 accessory navicular bone: — accessory navicular types. — the accessory navicular bone (anb) is one of the most common accessory bones in the foot. — acessory navicular is a common idiopathic condition of the foot that presents. Accessory Navicular Bone Types.
From boneandspine.com
Accessory Navicular Bone and Accessory Navicular Syndrome Bone and Spine Accessory Navicular Bone Types — the accessory navicular bone (anb) is one of the most common accessory bones in the foot. Type 3 is the most prominent and connects to the navicular via a bony bridge. It is not connected to the navicular bone. an accessory navicular is a large accessory ossicle that can be present adjacent to the medial side of. Accessory Navicular Bone Types.
From www.jonathanlarholt.co.uk
Accessory Bone Os Navicularis Consultant Podiatric Surgeon Accessory Navicular Bone Types — acessory navicular is a common idiopathic condition of the foot that presents with an enlargement of the. A small round or oval sesamoid bone that sits within the posterior tibial tendon. There are three different types of accessory navicular: Type 3 is the most prominent and connects to the navicular via a bony bridge. — the accessory. Accessory Navicular Bone Types.
From www.earthslab.com
Navicular Bone Anatomy Earth's Lab Accessory Navicular Bone Types — the accessory navicular bone (anb) is one of the most common accessory bones in the foot. — there are three types of accessory navicular: Around 30% of accessory navicular bones are type 1. This extra cartilage, which is turned into bone, is found attached to the posterior tibial. It is not connected to the navicular bone. . Accessory Navicular Bone Types.
From ankleandfootcentre.com.au
Ultrasound Imaging of the Accessory Navicular Bone Ankle, Foot and Accessory Navicular Bone Types there are three different types of accessory navicular. Type 1 accessory navicular bone: — there are three types of accessory navicular: Aka os tibiale externum or os naviculare secundarium A small round or oval sesamoid bone that sits within the posterior tibial tendon. — accessory navicular types. It is not connected to the navicular bone. Type 3. Accessory Navicular Bone Types.
From www.physio-pedia.com
Accessory Navicular Bone Physiopedia Accessory Navicular Bone Types Aka os tibiale externum or os naviculare secundarium A small round or oval sesamoid bone that sits within the posterior tibial tendon. Type 1 is small, round, and exists within the tibialis posterior tendon. there are three different types of accessory navicular. Around 30% of accessory navicular bones are type 1. This extra cartilage, which is turned into bone,. Accessory Navicular Bone Types.