What Does Decay Under A Crown Look Like . Tooth decay can appear differently depending on the stage of severity. It is crucial for individuals to be aware of any symptoms indicating decay under a crown. Increased sensitivity to cold, hot, or sweet foods and beverages may indicate decay. Although the crown itself cannot develop decay, the underlying tooth and root structures are still vulnerable to cavities. Tooth decay under crown symptoms. You may experience more symptoms, including pain and swollen lymph nodes, at later stages. Once decay forms, it can progress quickly and migrate under the crown, which compromises the function of your dental restoration. Think you have tooth decay? This article will explain signs of tooth decay under a crown, what to do, and how to prevent this from happening. The following signs may suggest an.
from www.youtube.com
This article will explain signs of tooth decay under a crown, what to do, and how to prevent this from happening. Think you have tooth decay? You may experience more symptoms, including pain and swollen lymph nodes, at later stages. Increased sensitivity to cold, hot, or sweet foods and beverages may indicate decay. Although the crown itself cannot develop decay, the underlying tooth and root structures are still vulnerable to cavities. The following signs may suggest an. Tooth decay under crown symptoms. Once decay forms, it can progress quickly and migrate under the crown, which compromises the function of your dental restoration. It is crucial for individuals to be aware of any symptoms indicating decay under a crown. Tooth decay can appear differently depending on the stage of severity.
[26] Major decay under crown leads to root canal YouTube
What Does Decay Under A Crown Look Like Increased sensitivity to cold, hot, or sweet foods and beverages may indicate decay. You may experience more symptoms, including pain and swollen lymph nodes, at later stages. Once decay forms, it can progress quickly and migrate under the crown, which compromises the function of your dental restoration. Think you have tooth decay? The following signs may suggest an. Tooth decay under crown symptoms. It is crucial for individuals to be aware of any symptoms indicating decay under a crown. Tooth decay can appear differently depending on the stage of severity. Although the crown itself cannot develop decay, the underlying tooth and root structures are still vulnerable to cavities. Increased sensitivity to cold, hot, or sweet foods and beverages may indicate decay. This article will explain signs of tooth decay under a crown, what to do, and how to prevent this from happening.
From www.navidfamilydental.com
Dental Crowns Peabody, MA Navid Family Dental Associates What Does Decay Under A Crown Look Like Tooth decay under crown symptoms. It is crucial for individuals to be aware of any symptoms indicating decay under a crown. The following signs may suggest an. Although the crown itself cannot develop decay, the underlying tooth and root structures are still vulnerable to cavities. You may experience more symptoms, including pain and swollen lymph nodes, at later stages. This. What Does Decay Under A Crown Look Like.
From www.pinterest.ca
Decay under Crown What Does Decay Under A Crown Look Like Think you have tooth decay? Tooth decay can appear differently depending on the stage of severity. Increased sensitivity to cold, hot, or sweet foods and beverages may indicate decay. Although the crown itself cannot develop decay, the underlying tooth and root structures are still vulnerable to cavities. It is crucial for individuals to be aware of any symptoms indicating decay. What Does Decay Under A Crown Look Like.
From www.rollinghillsdental.com
Detecting Decay Under Dental Crowns Rancho Palos Verdes, CA What Does Decay Under A Crown Look Like Tooth decay can appear differently depending on the stage of severity. The following signs may suggest an. Although the crown itself cannot develop decay, the underlying tooth and root structures are still vulnerable to cavities. It is crucial for individuals to be aware of any symptoms indicating decay under a crown. Increased sensitivity to cold, hot, or sweet foods and. What Does Decay Under A Crown Look Like.
From scottsdaleaffordabledentistry.com
Dental Crowns 645 Affordable Dentist What Does Decay Under A Crown Look Like Although the crown itself cannot develop decay, the underlying tooth and root structures are still vulnerable to cavities. Think you have tooth decay? It is crucial for individuals to be aware of any symptoms indicating decay under a crown. The following signs may suggest an. This article will explain signs of tooth decay under a crown, what to do, and. What Does Decay Under A Crown Look Like.
From dentalhealthsociety.com
Decay Under Crowns What to Watch For and How to Fix It Dental Health Society What Does Decay Under A Crown Look Like Once decay forms, it can progress quickly and migrate under the crown, which compromises the function of your dental restoration. This article will explain signs of tooth decay under a crown, what to do, and how to prevent this from happening. The following signs may suggest an. You may experience more symptoms, including pain and swollen lymph nodes, at later. What Does Decay Under A Crown Look Like.
From www.mycreativesmiles.com
Detecting Tooth Decay Under Crowns Tips from top OC dentist Creative Smiles What Does Decay Under A Crown Look Like The following signs may suggest an. Although the crown itself cannot develop decay, the underlying tooth and root structures are still vulnerable to cavities. Increased sensitivity to cold, hot, or sweet foods and beverages may indicate decay. Tooth decay under crown symptoms. This article will explain signs of tooth decay under a crown, what to do, and how to prevent. What Does Decay Under A Crown Look Like.
From www.summitdentallv.com
Crown Decay Picture Summit Dental What Does Decay Under A Crown Look Like This article will explain signs of tooth decay under a crown, what to do, and how to prevent this from happening. Tooth decay can appear differently depending on the stage of severity. Tooth decay under crown symptoms. Although the crown itself cannot develop decay, the underlying tooth and root structures are still vulnerable to cavities. Once decay forms, it can. What Does Decay Under A Crown Look Like.
From highburyparkdental.ca
How to Tell if There is Tooth Decay Under Your Crowns What Does Decay Under A Crown Look Like Tooth decay can appear differently depending on the stage of severity. Tooth decay under crown symptoms. Increased sensitivity to cold, hot, or sweet foods and beverages may indicate decay. Think you have tooth decay? Although the crown itself cannot develop decay, the underlying tooth and root structures are still vulnerable to cavities. You may experience more symptoms, including pain and. What Does Decay Under A Crown Look Like.
From www.caringdentists.com
decay under an old crown Dr. Gentry What Does Decay Under A Crown Look Like Once decay forms, it can progress quickly and migrate under the crown, which compromises the function of your dental restoration. Think you have tooth decay? Tooth decay under crown symptoms. Tooth decay can appear differently depending on the stage of severity. Increased sensitivity to cold, hot, or sweet foods and beverages may indicate decay. You may experience more symptoms, including. What Does Decay Under A Crown Look Like.
From www.caringdentists.com
dental implants Dr. Gentry Page 2 What Does Decay Under A Crown Look Like It is crucial for individuals to be aware of any symptoms indicating decay under a crown. Although the crown itself cannot develop decay, the underlying tooth and root structures are still vulnerable to cavities. You may experience more symptoms, including pain and swollen lymph nodes, at later stages. Increased sensitivity to cold, hot, or sweet foods and beverages may indicate. What Does Decay Under A Crown Look Like.
From www.caringdentists.com
cavitiesbefore/after Dr. Gentry What Does Decay Under A Crown Look Like Think you have tooth decay? The following signs may suggest an. Although the crown itself cannot develop decay, the underlying tooth and root structures are still vulnerable to cavities. Once decay forms, it can progress quickly and migrate under the crown, which compromises the function of your dental restoration. This article will explain signs of tooth decay under a crown,. What Does Decay Under A Crown Look Like.
From sandiegoinvisaligndentist.org
What happens if tooth under crown decays? Dental News Network What Does Decay Under A Crown Look Like Once decay forms, it can progress quickly and migrate under the crown, which compromises the function of your dental restoration. Although the crown itself cannot develop decay, the underlying tooth and root structures are still vulnerable to cavities. The following signs may suggest an. This article will explain signs of tooth decay under a crown, what to do, and how. What Does Decay Under A Crown Look Like.
From mahooti.blogspot.com
James Mahooti DDS Tooth decay under crowns. What is leakage? How serious is it? What Does Decay Under A Crown Look Like You may experience more symptoms, including pain and swollen lymph nodes, at later stages. Once decay forms, it can progress quickly and migrate under the crown, which compromises the function of your dental restoration. Although the crown itself cannot develop decay, the underlying tooth and root structures are still vulnerable to cavities. Increased sensitivity to cold, hot, or sweet foods. What Does Decay Under A Crown Look Like.
From www.adlerdentistry.com
Decay under a Dental Crown Patient Case Study Adler Cosmetic & Family Dentistry What Does Decay Under A Crown Look Like Tooth decay under crown symptoms. It is crucial for individuals to be aware of any symptoms indicating decay under a crown. Once decay forms, it can progress quickly and migrate under the crown, which compromises the function of your dental restoration. You may experience more symptoms, including pain and swollen lymph nodes, at later stages. Increased sensitivity to cold, hot,. What Does Decay Under A Crown Look Like.
From amazingsmiles.com.au
5 Signs Of Tooth Decay Underneath Crowns & Bridges What Does Decay Under A Crown Look Like It is crucial for individuals to be aware of any symptoms indicating decay under a crown. The following signs may suggest an. Tooth decay under crown symptoms. You may experience more symptoms, including pain and swollen lymph nodes, at later stages. Although the crown itself cannot develop decay, the underlying tooth and root structures are still vulnerable to cavities. Tooth. What Does Decay Under A Crown Look Like.
From dentalhealthsociety.com
Decay Under Crowns What to Watch For and How to Fix It Dental Health Society What Does Decay Under A Crown Look Like Tooth decay under crown symptoms. It is crucial for individuals to be aware of any symptoms indicating decay under a crown. Although the crown itself cannot develop decay, the underlying tooth and root structures are still vulnerable to cavities. The following signs may suggest an. This article will explain signs of tooth decay under a crown, what to do, and. What Does Decay Under A Crown Look Like.
From www.teethtalkgirl.com
6 Signs of Tooth Decay Under Your Crown or Filling What Does Decay Under A Crown Look Like Think you have tooth decay? Although the crown itself cannot develop decay, the underlying tooth and root structures are still vulnerable to cavities. You may experience more symptoms, including pain and swollen lymph nodes, at later stages. Tooth decay can appear differently depending on the stage of severity. It is crucial for individuals to be aware of any symptoms indicating. What Does Decay Under A Crown Look Like.
From coastaldentalcare.com.au
What happens if you get decay under a crown? Coastal Dental Care What Does Decay Under A Crown Look Like The following signs may suggest an. You may experience more symptoms, including pain and swollen lymph nodes, at later stages. Tooth decay can appear differently depending on the stage of severity. It is crucial for individuals to be aware of any symptoms indicating decay under a crown. Although the crown itself cannot develop decay, the underlying tooth and root structures. What Does Decay Under A Crown Look Like.
From lakeforestdentalarts.com
Metal under crown is showing Causes, Alternative designs What Does Decay Under A Crown Look Like The following signs may suggest an. You may experience more symptoms, including pain and swollen lymph nodes, at later stages. Once decay forms, it can progress quickly and migrate under the crown, which compromises the function of your dental restoration. Increased sensitivity to cold, hot, or sweet foods and beverages may indicate decay. This article will explain signs of tooth. What Does Decay Under A Crown Look Like.
From mydentaladvocate.com
What Does a Cavity Look Like? (20 Pictures) MDA What Does Decay Under A Crown Look Like You may experience more symptoms, including pain and swollen lymph nodes, at later stages. The following signs may suggest an. It is crucial for individuals to be aware of any symptoms indicating decay under a crown. Although the crown itself cannot develop decay, the underlying tooth and root structures are still vulnerable to cavities. This article will explain signs of. What Does Decay Under A Crown Look Like.
From www.kc-tlc.com
Index of /images/concerns/decay under crown What Does Decay Under A Crown Look Like Tooth decay can appear differently depending on the stage of severity. You may experience more symptoms, including pain and swollen lymph nodes, at later stages. Although the crown itself cannot develop decay, the underlying tooth and root structures are still vulnerable to cavities. Tooth decay under crown symptoms. Once decay forms, it can progress quickly and migrate under the crown,. What Does Decay Under A Crown Look Like.
From www.twinkledental.com.sg
Decay beneath crown Twinkle Family Dentalcare What Does Decay Under A Crown Look Like Once decay forms, it can progress quickly and migrate under the crown, which compromises the function of your dental restoration. Increased sensitivity to cold, hot, or sweet foods and beverages may indicate decay. Think you have tooth decay? It is crucial for individuals to be aware of any symptoms indicating decay under a crown. This article will explain signs of. What Does Decay Under A Crown Look Like.
From www.schmittprosthodontics.com
Dental Crowns Altamonte Springs, FL Orlando, FL Tooth Crown Schmitt Prosthodontics What Does Decay Under A Crown Look Like You may experience more symptoms, including pain and swollen lymph nodes, at later stages. Tooth decay can appear differently depending on the stage of severity. Increased sensitivity to cold, hot, or sweet foods and beverages may indicate decay. The following signs may suggest an. This article will explain signs of tooth decay under a crown, what to do, and how. What Does Decay Under A Crown Look Like.
From www.youtube.com
[26] Major decay under crown leads to root canal YouTube What Does Decay Under A Crown Look Like This article will explain signs of tooth decay under a crown, what to do, and how to prevent this from happening. You may experience more symptoms, including pain and swollen lymph nodes, at later stages. It is crucial for individuals to be aware of any symptoms indicating decay under a crown. Tooth decay can appear differently depending on the stage. What Does Decay Under A Crown Look Like.
From www.dentalhandpiece.com.au
Tooth Decay Under Crown All You Need To Know What Does Decay Under A Crown Look Like Once decay forms, it can progress quickly and migrate under the crown, which compromises the function of your dental restoration. Increased sensitivity to cold, hot, or sweet foods and beverages may indicate decay. Tooth decay under crown symptoms. This article will explain signs of tooth decay under a crown, what to do, and how to prevent this from happening. Although. What Does Decay Under A Crown Look Like.
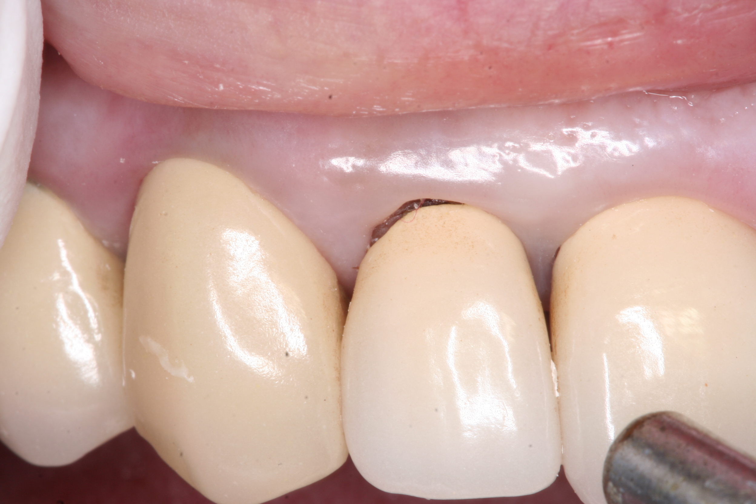
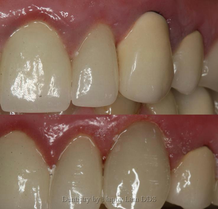
From www.nappylam.com
patients What Does Decay Under A Crown Look Like Tooth decay under crown symptoms. Think you have tooth decay? Once decay forms, it can progress quickly and migrate under the crown, which compromises the function of your dental restoration. You may experience more symptoms, including pain and swollen lymph nodes, at later stages. Increased sensitivity to cold, hot, or sweet foods and beverages may indicate decay. Tooth decay can. What Does Decay Under A Crown Look Like.
From advancedentalbirmingham.com
What is a Root Canal, BuildUp, and Crown? Advance Dental Birmingham What Does Decay Under A Crown Look Like Increased sensitivity to cold, hot, or sweet foods and beverages may indicate decay. Once decay forms, it can progress quickly and migrate under the crown, which compromises the function of your dental restoration. Although the crown itself cannot develop decay, the underlying tooth and root structures are still vulnerable to cavities. Tooth decay under crown symptoms. The following signs may. What Does Decay Under A Crown Look Like.
From www.tooth-life.com
Revealing cavities under a crown What you need to know What Does Decay Under A Crown Look Like Although the crown itself cannot develop decay, the underlying tooth and root structures are still vulnerable to cavities. The following signs may suggest an. Tooth decay under crown symptoms. Think you have tooth decay? Tooth decay can appear differently depending on the stage of severity. This article will explain signs of tooth decay under a crown, what to do, and. What Does Decay Under A Crown Look Like.
From www.youtube.com
Tooth Decay Under a Crown Recurrent Decay Explained YouTube What Does Decay Under A Crown Look Like You may experience more symptoms, including pain and swollen lymph nodes, at later stages. Tooth decay can appear differently depending on the stage of severity. This article will explain signs of tooth decay under a crown, what to do, and how to prevent this from happening. Think you have tooth decay? Tooth decay under crown symptoms. The following signs may. What Does Decay Under A Crown Look Like.
From www.youtube.com
Painful Broken Decayed Tooth The CEREC Crown Solution YouTube What Does Decay Under A Crown Look Like It is crucial for individuals to be aware of any symptoms indicating decay under a crown. You may experience more symptoms, including pain and swollen lymph nodes, at later stages. The following signs may suggest an. Think you have tooth decay? Tooth decay can appear differently depending on the stage of severity. Once decay forms, it can progress quickly and. What Does Decay Under A Crown Look Like.
From www.kc-tlc.com
Index of /images/concerns/decay under crown What Does Decay Under A Crown Look Like Although the crown itself cannot develop decay, the underlying tooth and root structures are still vulnerable to cavities. It is crucial for individuals to be aware of any symptoms indicating decay under a crown. The following signs may suggest an. Think you have tooth decay? Once decay forms, it can progress quickly and migrate under the crown, which compromises the. What Does Decay Under A Crown Look Like.
From www.jacksonavedental.com
What Does A Cavity Look Like On An XRay? 1311 Jackson Ave Dental Dentist in Long Island What Does Decay Under A Crown Look Like It is crucial for individuals to be aware of any symptoms indicating decay under a crown. Increased sensitivity to cold, hot, or sweet foods and beverages may indicate decay. You may experience more symptoms, including pain and swollen lymph nodes, at later stages. Think you have tooth decay? Tooth decay can appear differently depending on the stage of severity. Tooth. What Does Decay Under A Crown Look Like.
From acdcdentalorg.org
Reasons For Tooth Decay Under Dental Crown & How To Treat It! What Does Decay Under A Crown Look Like Think you have tooth decay? Tooth decay under crown symptoms. Tooth decay can appear differently depending on the stage of severity. Increased sensitivity to cold, hot, or sweet foods and beverages may indicate decay. It is crucial for individuals to be aware of any symptoms indicating decay under a crown. The following signs may suggest an. Although the crown itself. What Does Decay Under A Crown Look Like.
From sandiegoinvisaligndentist.org
Can your tooth decay under a crown? Dental News Network What Does Decay Under A Crown Look Like The following signs may suggest an. Although the crown itself cannot develop decay, the underlying tooth and root structures are still vulnerable to cavities. Think you have tooth decay? Once decay forms, it can progress quickly and migrate under the crown, which compromises the function of your dental restoration. Tooth decay under crown symptoms. This article will explain signs of. What Does Decay Under A Crown Look Like.
From dentalknowledgehub.com
Tooth Decay Under Crown Dental Knowledge Hub What Does Decay Under A Crown Look Like Think you have tooth decay? It is crucial for individuals to be aware of any symptoms indicating decay under a crown. Tooth decay under crown symptoms. Increased sensitivity to cold, hot, or sweet foods and beverages may indicate decay. You may experience more symptoms, including pain and swollen lymph nodes, at later stages. The following signs may suggest an. Although. What Does Decay Under A Crown Look Like.