What Does Chiari Neck Pain Feel Like . my neck pain is pretty intense. The types and severity of. if symptoms occur, the most common ones are headaches or pain in the back of the head or neck. what does a chiari malformation feel like? chiari malformations (cm) are caused by problems in the structure of the brain and skull. You may experience the following symptoms if you have a chiari malformation. It feels as though my head is too heavy for my neck to hold it up and laying down makes my neck pain worse. The headaches and pain are made worse by coughing, laughing, or sneezing. You may also have a pocket of spinal fluid in the spinal cord or brain stem. chiari & comorbid symptoms compilation.
from medshun.com
The headaches and pain are made worse by coughing, laughing, or sneezing. chiari malformations (cm) are caused by problems in the structure of the brain and skull. chiari & comorbid symptoms compilation. You may experience the following symptoms if you have a chiari malformation. if symptoms occur, the most common ones are headaches or pain in the back of the head or neck. It feels as though my head is too heavy for my neck to hold it up and laying down makes my neck pain worse. You may also have a pocket of spinal fluid in the spinal cord or brain stem. my neck pain is pretty intense. The types and severity of. what does a chiari malformation feel like?
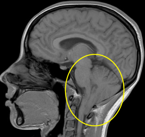
Understanding Chiari Syndrome And Severe Neck Pain Connection MedShun
What Does Chiari Neck Pain Feel Like chiari malformations (cm) are caused by problems in the structure of the brain and skull. It feels as though my head is too heavy for my neck to hold it up and laying down makes my neck pain worse. chiari & comorbid symptoms compilation. You may experience the following symptoms if you have a chiari malformation. chiari malformations (cm) are caused by problems in the structure of the brain and skull. if symptoms occur, the most common ones are headaches or pain in the back of the head or neck. You may also have a pocket of spinal fluid in the spinal cord or brain stem. my neck pain is pretty intense. what does a chiari malformation feel like? The headaches and pain are made worse by coughing, laughing, or sneezing. The types and severity of.
From www.pinterest.com
Pin on My Chiari What Does Chiari Neck Pain Feel Like You may also have a pocket of spinal fluid in the spinal cord or brain stem. chiari malformations (cm) are caused by problems in the structure of the brain and skull. if symptoms occur, the most common ones are headaches or pain in the back of the head or neck. my neck pain is pretty intense. The. What Does Chiari Neck Pain Feel Like.
From regenexx.com
Chiari malformation treatment What Does Chiari Neck Pain Feel Like chiari malformations (cm) are caused by problems in the structure of the brain and skull. my neck pain is pretty intense. what does a chiari malformation feel like? The types and severity of. The headaches and pain are made worse by coughing, laughing, or sneezing. It feels as though my head is too heavy for my neck. What Does Chiari Neck Pain Feel Like.
From www.reddit.com
Chiari patient here. Been suffering from intense neck and back (upper What Does Chiari Neck Pain Feel Like It feels as though my head is too heavy for my neck to hold it up and laying down makes my neck pain worse. The headaches and pain are made worse by coughing, laughing, or sneezing. what does a chiari malformation feel like? if symptoms occur, the most common ones are headaches or pain in the back of. What Does Chiari Neck Pain Feel Like.
From www.reddit.com
Hi there, does this look like Chiari at all? It's supine, not upright What Does Chiari Neck Pain Feel Like my neck pain is pretty intense. You may also have a pocket of spinal fluid in the spinal cord or brain stem. The types and severity of. chiari malformations (cm) are caused by problems in the structure of the brain and skull. what does a chiari malformation feel like? chiari & comorbid symptoms compilation. if. What Does Chiari Neck Pain Feel Like.
From chiariproject.org
WHAT IS CHIARI? The Chiari Project What Does Chiari Neck Pain Feel Like what does a chiari malformation feel like? if symptoms occur, the most common ones are headaches or pain in the back of the head or neck. chiari & comorbid symptoms compilation. The headaches and pain are made worse by coughing, laughing, or sneezing. The types and severity of. chiari malformations (cm) are caused by problems in. What Does Chiari Neck Pain Feel Like.
From www.youtube.com
Chiari Malformation Diagnosis and Treatment YouTube What Does Chiari Neck Pain Feel Like my neck pain is pretty intense. The headaches and pain are made worse by coughing, laughing, or sneezing. what does a chiari malformation feel like? You may experience the following symptoms if you have a chiari malformation. if symptoms occur, the most common ones are headaches or pain in the back of the head or neck. The. What Does Chiari Neck Pain Feel Like.
From www.cotizup.com
Opération Chiari What Does Chiari Neck Pain Feel Like The headaches and pain are made worse by coughing, laughing, or sneezing. if symptoms occur, the most common ones are headaches or pain in the back of the head or neck. The types and severity of. You may also have a pocket of spinal fluid in the spinal cord or brain stem. It feels as though my head is. What Does Chiari Neck Pain Feel Like.
From syllabus.cwru.edu
Chiari4a What Does Chiari Neck Pain Feel Like my neck pain is pretty intense. You may also have a pocket of spinal fluid in the spinal cord or brain stem. It feels as though my head is too heavy for my neck to hold it up and laying down makes my neck pain worse. You may experience the following symptoms if you have a chiari malformation. . What Does Chiari Neck Pain Feel Like.
From www.healthline.com
Chiari Malformation Surgery Candidates, Procedure, Recovery, and More What Does Chiari Neck Pain Feel Like The types and severity of. It feels as though my head is too heavy for my neck to hold it up and laying down makes my neck pain worse. what does a chiari malformation feel like? chiari & comorbid symptoms compilation. The headaches and pain are made worse by coughing, laughing, or sneezing. my neck pain is. What Does Chiari Neck Pain Feel Like.
From themighty.com
What It Was Like to Have Chiari Surgery What Does Chiari Neck Pain Feel Like You may experience the following symptoms if you have a chiari malformation. if symptoms occur, the most common ones are headaches or pain in the back of the head or neck. chiari malformations (cm) are caused by problems in the structure of the brain and skull. what does a chiari malformation feel like? You may also have. What Does Chiari Neck Pain Feel Like.
From casereports.bmj.com
Syringomyelia and ArnoldChiari malformation associated with neck pain What Does Chiari Neck Pain Feel Like The headaches and pain are made worse by coughing, laughing, or sneezing. You may also have a pocket of spinal fluid in the spinal cord or brain stem. chiari & comorbid symptoms compilation. You may experience the following symptoms if you have a chiari malformation. my neck pain is pretty intense. The types and severity of. It feels. What Does Chiari Neck Pain Feel Like.
From www.neurosurgeonsofnewjersey.com
Chiari Malformation Surgery, Specialists & Treatment What Does Chiari Neck Pain Feel Like what does a chiari malformation feel like? my neck pain is pretty intense. The headaches and pain are made worse by coughing, laughing, or sneezing. chiari & comorbid symptoms compilation. if symptoms occur, the most common ones are headaches or pain in the back of the head or neck. You may also have a pocket of. What Does Chiari Neck Pain Feel Like.
From www.walmart.com
Chiari Pain In The Neck Chiari Malformation Awareness TShirt What Does Chiari Neck Pain Feel Like You may experience the following symptoms if you have a chiari malformation. chiari & comorbid symptoms compilation. what does a chiari malformation feel like? if symptoms occur, the most common ones are headaches or pain in the back of the head or neck. my neck pain is pretty intense. chiari malformations (cm) are caused by. What Does Chiari Neck Pain Feel Like.
From www.pinterest.com
Chiari Malformation One Page Information Sheet Chiari malformation What Does Chiari Neck Pain Feel Like The headaches and pain are made worse by coughing, laughing, or sneezing. You may experience the following symptoms if you have a chiari malformation. You may also have a pocket of spinal fluid in the spinal cord or brain stem. if symptoms occur, the most common ones are headaches or pain in the back of the head or neck.. What Does Chiari Neck Pain Feel Like.
From healthjade.com
Chiari Malformation Causes, Symptoms, Prognosis, Diagnosis, Treatment What Does Chiari Neck Pain Feel Like chiari & comorbid symptoms compilation. what does a chiari malformation feel like? You may also have a pocket of spinal fluid in the spinal cord or brain stem. You may experience the following symptoms if you have a chiari malformation. It feels as though my head is too heavy for my neck to hold it up and laying. What Does Chiari Neck Pain Feel Like.
From www.reddit.com
Does this look like Chiari Malformation? I have been searching for What Does Chiari Neck Pain Feel Like You may experience the following symptoms if you have a chiari malformation. You may also have a pocket of spinal fluid in the spinal cord or brain stem. chiari & comorbid symptoms compilation. chiari malformations (cm) are caused by problems in the structure of the brain and skull. The types and severity of. if symptoms occur, the. What Does Chiari Neck Pain Feel Like.
From hartgarnermd.com
Chiari Malformation Hart Garner, MD What Does Chiari Neck Pain Feel Like what does a chiari malformation feel like? You may experience the following symptoms if you have a chiari malformation. The types and severity of. chiari malformations (cm) are caused by problems in the structure of the brain and skull. if symptoms occur, the most common ones are headaches or pain in the back of the head or. What Does Chiari Neck Pain Feel Like.
From virtualheadachespecialist.com
Understanding Chiari Malformation Headache Symptoms and Effective What Does Chiari Neck Pain Feel Like The headaches and pain are made worse by coughing, laughing, or sneezing. It feels as though my head is too heavy for my neck to hold it up and laying down makes my neck pain worse. The types and severity of. You may experience the following symptoms if you have a chiari malformation. what does a chiari malformation feel. What Does Chiari Neck Pain Feel Like.
From chiaribridges.org
Understanding Your Head and Neck Pain Chiari Bridges What Does Chiari Neck Pain Feel Like chiari & comorbid symptoms compilation. my neck pain is pretty intense. The headaches and pain are made worse by coughing, laughing, or sneezing. chiari malformations (cm) are caused by problems in the structure of the brain and skull. if symptoms occur, the most common ones are headaches or pain in the back of the head or. What Does Chiari Neck Pain Feel Like.
From patient.info
Does this look like Chiari Malformation? Chiari Malformation Forums What Does Chiari Neck Pain Feel Like if symptoms occur, the most common ones are headaches or pain in the back of the head or neck. chiari malformations (cm) are caused by problems in the structure of the brain and skull. You may experience the following symptoms if you have a chiari malformation. The types and severity of. The headaches and pain are made worse. What Does Chiari Neck Pain Feel Like.
From www.cnsneurosurgery.com.au
Arnold Chiari Type I Malformation C.N.S. Neurosurgery What Does Chiari Neck Pain Feel Like You may experience the following symptoms if you have a chiari malformation. what does a chiari malformation feel like? The types and severity of. You may also have a pocket of spinal fluid in the spinal cord or brain stem. chiari malformations (cm) are caused by problems in the structure of the brain and skull. my neck. What Does Chiari Neck Pain Feel Like.
From caringmedical.com
Are EhlersDanlos Syndrome Headaches and Migraines Caused by Cervical What Does Chiari Neck Pain Feel Like chiari malformations (cm) are caused by problems in the structure of the brain and skull. You may also have a pocket of spinal fluid in the spinal cord or brain stem. The types and severity of. It feels as though my head is too heavy for my neck to hold it up and laying down makes my neck pain. What Does Chiari Neck Pain Feel Like.
From regenexx.com
Chiari malformation treatment What Does Chiari Neck Pain Feel Like if symptoms occur, the most common ones are headaches or pain in the back of the head or neck. chiari & comorbid symptoms compilation. It feels as though my head is too heavy for my neck to hold it up and laying down makes my neck pain worse. what does a chiari malformation feel like? You may. What Does Chiari Neck Pain Feel Like.
From medshun.com
Understanding The Connection Between Chiari Malformation And Neck Pain What Does Chiari Neck Pain Feel Like The headaches and pain are made worse by coughing, laughing, or sneezing. my neck pain is pretty intense. chiari malformations (cm) are caused by problems in the structure of the brain and skull. It feels as though my head is too heavy for my neck to hold it up and laying down makes my neck pain worse. . What Does Chiari Neck Pain Feel Like.
From medshun.com
Understanding Chiari Syndrome And Severe Neck Pain Connection MedShun What Does Chiari Neck Pain Feel Like The types and severity of. It feels as though my head is too heavy for my neck to hold it up and laying down makes my neck pain worse. chiari malformations (cm) are caused by problems in the structure of the brain and skull. chiari & comorbid symptoms compilation. The headaches and pain are made worse by coughing,. What Does Chiari Neck Pain Feel Like.
From www.pinterest.de
What DOES Chiari Malformation Look Like? What Does Chiari Neck Pain Feel Like if symptoms occur, the most common ones are headaches or pain in the back of the head or neck. chiari malformations (cm) are caused by problems in the structure of the brain and skull. You may also have a pocket of spinal fluid in the spinal cord or brain stem. The headaches and pain are made worse by. What Does Chiari Neck Pain Feel Like.
From stlbrainandspine.com
Chiari Malformation Neurosurgery of St. Louis STL Brain & Spine Doctors What Does Chiari Neck Pain Feel Like The types and severity of. if symptoms occur, the most common ones are headaches or pain in the back of the head or neck. You may experience the following symptoms if you have a chiari malformation. chiari malformations (cm) are caused by problems in the structure of the brain and skull. The headaches and pain are made worse. What Does Chiari Neck Pain Feel Like.
From www.reddit.com
Neurosurgeon said my symptoms arent from my chiari and he doesnt know What Does Chiari Neck Pain Feel Like if symptoms occur, the most common ones are headaches or pain in the back of the head or neck. You may experience the following symptoms if you have a chiari malformation. It feels as though my head is too heavy for my neck to hold it up and laying down makes my neck pain worse. The headaches and pain. What Does Chiari Neck Pain Feel Like.
From www.kaylieschiari.com
Hanging Low and Invisible What is Chiari? What Does Chiari Neck Pain Feel Like The types and severity of. what does a chiari malformation feel like? chiari malformations (cm) are caused by problems in the structure of the brain and skull. The headaches and pain are made worse by coughing, laughing, or sneezing. my neck pain is pretty intense. chiari & comorbid symptoms compilation. if symptoms occur, the most. What Does Chiari Neck Pain Feel Like.
From regenexx.com
Chiari malformation treatment What Does Chiari Neck Pain Feel Like chiari & comorbid symptoms compilation. The headaches and pain are made worse by coughing, laughing, or sneezing. The types and severity of. It feels as though my head is too heavy for my neck to hold it up and laying down makes my neck pain worse. You may also have a pocket of spinal fluid in the spinal cord. What Does Chiari Neck Pain Feel Like.
From library.sheffieldchildrens.nhs.uk
Craniocervical for chiari malformation Resource What Does Chiari Neck Pain Feel Like You may experience the following symptoms if you have a chiari malformation. It feels as though my head is too heavy for my neck to hold it up and laying down makes my neck pain worse. The headaches and pain are made worse by coughing, laughing, or sneezing. what does a chiari malformation feel like? You may also have. What Does Chiari Neck Pain Feel Like.
From www.pinterest.com
Chiropractor in Wellington Keystone Chiropractic and Neuroplasticity What Does Chiari Neck Pain Feel Like The types and severity of. what does a chiari malformation feel like? You may also have a pocket of spinal fluid in the spinal cord or brain stem. The headaches and pain are made worse by coughing, laughing, or sneezing. You may experience the following symptoms if you have a chiari malformation. my neck pain is pretty intense.. What Does Chiari Neck Pain Feel Like.
From www.verywellhealth.com
Neck Pain Causes, Treatment, and When to See a Healthcare Provider What Does Chiari Neck Pain Feel Like my neck pain is pretty intense. It feels as though my head is too heavy for my neck to hold it up and laying down makes my neck pain worse. what does a chiari malformation feel like? You may experience the following symptoms if you have a chiari malformation. chiari & comorbid symptoms compilation. chiari malformations. What Does Chiari Neck Pain Feel Like.
From www.etsy.com
Pain in the Neck Chiari Malformation Svg Chiari Malformation Awareness What Does Chiari Neck Pain Feel Like You may experience the following symptoms if you have a chiari malformation. The types and severity of. my neck pain is pretty intense. It feels as though my head is too heavy for my neck to hold it up and laying down makes my neck pain worse. The headaches and pain are made worse by coughing, laughing, or sneezing.. What Does Chiari Neck Pain Feel Like.
From medshun.com
Unraveling The Connection How Chiari Diagnosis Can Lead To Neck Pain What Does Chiari Neck Pain Feel Like what does a chiari malformation feel like? You may experience the following symptoms if you have a chiari malformation. my neck pain is pretty intense. if symptoms occur, the most common ones are headaches or pain in the back of the head or neck. The types and severity of. chiari malformations (cm) are caused by problems. What Does Chiari Neck Pain Feel Like.