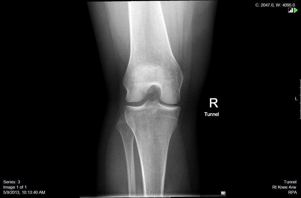
Standing Tunnel Knee X-Ray . Normal knee radiographs with tunnel view on radiopaedia.org. Pa axial projection tunnel view of the intercondylar fossa (knee xray) can be taken in two radiographic method with different patient position depending on patients. Radiographs provide useful information across the entire spectrum of knee pathology, including congenital deformities, arthritis, trauma, oncology, sports injuries, metabolic disease, and arthroplasty evaluation. This view demonstrates the distal femur and proximal tibia/fibula in their natural anatomical position allowing for assessment of suspected dislocations,. Open intercondylar fossa is visualized to enable detection of loose bodies (joint mice). Posteroinferior surface of the femoral condyle is seen.
        
         
         
        from www.aliem.com 
     
        
        Normal knee radiographs with tunnel view on radiopaedia.org. Radiographs provide useful information across the entire spectrum of knee pathology, including congenital deformities, arthritis, trauma, oncology, sports injuries, metabolic disease, and arthroplasty evaluation. Open intercondylar fossa is visualized to enable detection of loose bodies (joint mice). Pa axial projection tunnel view of the intercondylar fossa (knee xray) can be taken in two radiographic method with different patient position depending on patients. This view demonstrates the distal femur and proximal tibia/fibula in their natural anatomical position allowing for assessment of suspected dislocations,. Posteroinferior surface of the femoral condyle is seen.
    
    	
            
	
		 
	 
         
    AP Knee View Normal ALiEM 
    Standing Tunnel Knee X-Ray  Radiographs provide useful information across the entire spectrum of knee pathology, including congenital deformities, arthritis, trauma, oncology, sports injuries, metabolic disease, and arthroplasty evaluation. Posteroinferior surface of the femoral condyle is seen. Normal knee radiographs with tunnel view on radiopaedia.org. Pa axial projection tunnel view of the intercondylar fossa (knee xray) can be taken in two radiographic method with different patient position depending on patients. Radiographs provide useful information across the entire spectrum of knee pathology, including congenital deformities, arthritis, trauma, oncology, sports injuries, metabolic disease, and arthroplasty evaluation. Open intercondylar fossa is visualized to enable detection of loose bodies (joint mice). This view demonstrates the distal femur and proximal tibia/fibula in their natural anatomical position allowing for assessment of suspected dislocations,.
            
	
		 
	 
         
 
    
         
        From www.alamy.com 
                    xray image of both knee AP view for detect Osteoarthritis Knee or OA Standing Tunnel Knee X-Ray  Pa axial projection tunnel view of the intercondylar fossa (knee xray) can be taken in two radiographic method with different patient position depending on patients. Radiographs provide useful information across the entire spectrum of knee pathology, including congenital deformities, arthritis, trauma, oncology, sports injuries, metabolic disease, and arthroplasty evaluation. This view demonstrates the distal femur and proximal tibia/fibula in their. Standing Tunnel Knee X-Ray.
     
    
         
        From slidetodoc.com 
                    Knee imagingxray Ali Gibbs Basic rule for viewingABCs Standing Tunnel Knee X-Ray  Radiographs provide useful information across the entire spectrum of knee pathology, including congenital deformities, arthritis, trauma, oncology, sports injuries, metabolic disease, and arthroplasty evaluation. Pa axial projection tunnel view of the intercondylar fossa (knee xray) can be taken in two radiographic method with different patient position depending on patients. Open intercondylar fossa is visualized to enable detection of loose bodies. Standing Tunnel Knee X-Ray.
     
    
         
        From www.slideshare.net 
                    Various Xray views of Knee Joint Standing Tunnel Knee X-Ray  Pa axial projection tunnel view of the intercondylar fossa (knee xray) can be taken in two radiographic method with different patient position depending on patients. Normal knee radiographs with tunnel view on radiopaedia.org. Posteroinferior surface of the femoral condyle is seen. This view demonstrates the distal femur and proximal tibia/fibula in their natural anatomical position allowing for assessment of suspected. Standing Tunnel Knee X-Ray.
     
    
         
        From radiopaedia.org 
                    Normal knee radiographs with tunnel view Image Standing Tunnel Knee X-Ray  Normal knee radiographs with tunnel view on radiopaedia.org. This view demonstrates the distal femur and proximal tibia/fibula in their natural anatomical position allowing for assessment of suspected dislocations,. Pa axial projection tunnel view of the intercondylar fossa (knee xray) can be taken in two radiographic method with different patient position depending on patients. Posteroinferior surface of the femoral condyle is. Standing Tunnel Knee X-Ray.
     
    
         
        From www.cureus.com 
                    Cureus Current Trends in Anterior Cruciate Ligament Reconstruction A Standing Tunnel Knee X-Ray  Open intercondylar fossa is visualized to enable detection of loose bodies (joint mice). Pa axial projection tunnel view of the intercondylar fossa (knee xray) can be taken in two radiographic method with different patient position depending on patients. Normal knee radiographs with tunnel view on radiopaedia.org. Radiographs provide useful information across the entire spectrum of knee pathology, including congenital deformities,. Standing Tunnel Knee X-Ray.
     
    
         
        From www.radiology.expert 
                    XKnee Standing Tunnel Knee X-Ray  Posteroinferior surface of the femoral condyle is seen. Pa axial projection tunnel view of the intercondylar fossa (knee xray) can be taken in two radiographic method with different patient position depending on patients. Normal knee radiographs with tunnel view on radiopaedia.org. Open intercondylar fossa is visualized to enable detection of loose bodies (joint mice). This view demonstrates the distal femur. Standing Tunnel Knee X-Ray.
     
    
         
        From www.youtube.com 
                    Knee joint Tunnel view (Ep42) Technique of Xray tunnel view Standing Tunnel Knee X-Ray  This view demonstrates the distal femur and proximal tibia/fibula in their natural anatomical position allowing for assessment of suspected dislocations,. Pa axial projection tunnel view of the intercondylar fossa (knee xray) can be taken in two radiographic method with different patient position depending on patients. Radiographs provide useful information across the entire spectrum of knee pathology, including congenital deformities, arthritis,. Standing Tunnel Knee X-Ray.
     
    
         
        From www.thekneejournal.com 
                    A prospective study of the diagnostic potential of the knee tunnel view Standing Tunnel Knee X-Ray  Radiographs provide useful information across the entire spectrum of knee pathology, including congenital deformities, arthritis, trauma, oncology, sports injuries, metabolic disease, and arthroplasty evaluation. Posteroinferior surface of the femoral condyle is seen. Normal knee radiographs with tunnel view on radiopaedia.org. Pa axial projection tunnel view of the intercondylar fossa (knee xray) can be taken in two radiographic method with different. Standing Tunnel Knee X-Ray.
     
    
         
        From www.orthobullets.com 
                    Adult Knee Radiographic Views Trauma Orthobullets Standing Tunnel Knee X-Ray  Radiographs provide useful information across the entire spectrum of knee pathology, including congenital deformities, arthritis, trauma, oncology, sports injuries, metabolic disease, and arthroplasty evaluation. Posteroinferior surface of the femoral condyle is seen. Normal knee radiographs with tunnel view on radiopaedia.org. Pa axial projection tunnel view of the intercondylar fossa (knee xray) can be taken in two radiographic method with different. Standing Tunnel Knee X-Ray.
     
    
         
        From www.researchgate.net 
                    The Combination of the Tunnel View and WeightBearing Anteroposterior Standing Tunnel Knee X-Ray  Posteroinferior surface of the femoral condyle is seen. Radiographs provide useful information across the entire spectrum of knee pathology, including congenital deformities, arthritis, trauma, oncology, sports injuries, metabolic disease, and arthroplasty evaluation. This view demonstrates the distal femur and proximal tibia/fibula in their natural anatomical position allowing for assessment of suspected dislocations,. Pa axial projection tunnel view of the intercondylar. Standing Tunnel Knee X-Ray.
     
    
         
        From stemcellarthritis.com 
                    The importance of a standing knee Xray to evaluate arthritis Steve Standing Tunnel Knee X-Ray  Open intercondylar fossa is visualized to enable detection of loose bodies (joint mice). Pa axial projection tunnel view of the intercondylar fossa (knee xray) can be taken in two radiographic method with different patient position depending on patients. This view demonstrates the distal femur and proximal tibia/fibula in their natural anatomical position allowing for assessment of suspected dislocations,. Radiographs provide. Standing Tunnel Knee X-Ray.
     
    
         
        From www.slideserve.com 
                    PPT Intercondyloid fossa aka ROSENBERG METHOD 1 WEIGHTBEARING Standing Tunnel Knee X-Ray  Open intercondylar fossa is visualized to enable detection of loose bodies (joint mice). Normal knee radiographs with tunnel view on radiopaedia.org. This view demonstrates the distal femur and proximal tibia/fibula in their natural anatomical position allowing for assessment of suspected dislocations,. Radiographs provide useful information across the entire spectrum of knee pathology, including congenital deformities, arthritis, trauma, oncology, sports injuries,. Standing Tunnel Knee X-Ray.
     
    
         
        From www.tamingthesru.com 
                    Diagnostics Knee and Ankle Xrays — Taming the SRU Standing Tunnel Knee X-Ray  Open intercondylar fossa is visualized to enable detection of loose bodies (joint mice). Radiographs provide useful information across the entire spectrum of knee pathology, including congenital deformities, arthritis, trauma, oncology, sports injuries, metabolic disease, and arthroplasty evaluation. Posteroinferior surface of the femoral condyle is seen. Normal knee radiographs with tunnel view on radiopaedia.org. This view demonstrates the distal femur and. Standing Tunnel Knee X-Ray.
     
    
         
        From www.researchgate.net 
                    Radiographic method to obtain the Rosenberg View. Download Scientific Standing Tunnel Knee X-Ray  Posteroinferior surface of the femoral condyle is seen. Radiographs provide useful information across the entire spectrum of knee pathology, including congenital deformities, arthritis, trauma, oncology, sports injuries, metabolic disease, and arthroplasty evaluation. This view demonstrates the distal femur and proximal tibia/fibula in their natural anatomical position allowing for assessment of suspected dislocations,. Pa axial projection tunnel view of the intercondylar. Standing Tunnel Knee X-Ray.
     
    
         
        From www.researchgate.net 
                    Postoperative Xrays demonstrating patellar and tibial tunnel Standing Tunnel Knee X-Ray  Open intercondylar fossa is visualized to enable detection of loose bodies (joint mice). Posteroinferior surface of the femoral condyle is seen. Pa axial projection tunnel view of the intercondylar fossa (knee xray) can be taken in two radiographic method with different patient position depending on patients. This view demonstrates the distal femur and proximal tibia/fibula in their natural anatomical position. Standing Tunnel Knee X-Ray.
     
    
         
        From ar.inspiredpencil.com 
                    Radiographic Positioning Of The Knee Standing Tunnel Knee X-Ray  Radiographs provide useful information across the entire spectrum of knee pathology, including congenital deformities, arthritis, trauma, oncology, sports injuries, metabolic disease, and arthroplasty evaluation. Normal knee radiographs with tunnel view on radiopaedia.org. Open intercondylar fossa is visualized to enable detection of loose bodies (joint mice). This view demonstrates the distal femur and proximal tibia/fibula in their natural anatomical position allowing. Standing Tunnel Knee X-Ray.
     
    
         
        From www.dreamstime.com 
                    Xray of Human Both Knee Standing Views Normal Joints and Ligaments Standing Tunnel Knee X-Ray  Posteroinferior surface of the femoral condyle is seen. Open intercondylar fossa is visualized to enable detection of loose bodies (joint mice). This view demonstrates the distal femur and proximal tibia/fibula in their natural anatomical position allowing for assessment of suspected dislocations,. Radiographs provide useful information across the entire spectrum of knee pathology, including congenital deformities, arthritis, trauma, oncology, sports injuries,. Standing Tunnel Knee X-Ray.
     
    
         
        From polymedlab.ph 
                    Knee Tunnel Projection XRAY Polymed Lab Standing Tunnel Knee X-Ray  Radiographs provide useful information across the entire spectrum of knee pathology, including congenital deformities, arthritis, trauma, oncology, sports injuries, metabolic disease, and arthroplasty evaluation. Normal knee radiographs with tunnel view on radiopaedia.org. This view demonstrates the distal femur and proximal tibia/fibula in their natural anatomical position allowing for assessment of suspected dislocations,. Open intercondylar fossa is visualized to enable detection. Standing Tunnel Knee X-Ray.
     
    
         
        From www.youtube.com 
                    x ray knee joint ap lateral view x ray knee standing x ray knee Standing Tunnel Knee X-Ray  Open intercondylar fossa is visualized to enable detection of loose bodies (joint mice). Posteroinferior surface of the femoral condyle is seen. Normal knee radiographs with tunnel view on radiopaedia.org. This view demonstrates the distal femur and proximal tibia/fibula in their natural anatomical position allowing for assessment of suspected dislocations,. Pa axial projection tunnel view of the intercondylar fossa (knee xray). Standing Tunnel Knee X-Ray.
     
    
         
        From thecurbsiders.com 
                    98 Knee Pain History, exam, bracing, xrays, and injectables The Standing Tunnel Knee X-Ray  Normal knee radiographs with tunnel view on radiopaedia.org. Posteroinferior surface of the femoral condyle is seen. This view demonstrates the distal femur and proximal tibia/fibula in their natural anatomical position allowing for assessment of suspected dislocations,. Open intercondylar fossa is visualized to enable detection of loose bodies (joint mice). Radiographs provide useful information across the entire spectrum of knee pathology,. Standing Tunnel Knee X-Ray.
     
    
         
        From www.youtube.com 
                    Xray knee tunnel view position on the table YouTube Standing Tunnel Knee X-Ray  Open intercondylar fossa is visualized to enable detection of loose bodies (joint mice). Pa axial projection tunnel view of the intercondylar fossa (knee xray) can be taken in two radiographic method with different patient position depending on patients. Posteroinferior surface of the femoral condyle is seen. Radiographs provide useful information across the entire spectrum of knee pathology, including congenital deformities,. Standing Tunnel Knee X-Ray.
     
    
         
        From www.aliem.com 
                    AP Knee View Normal ALiEM Standing Tunnel Knee X-Ray  Normal knee radiographs with tunnel view on radiopaedia.org. Open intercondylar fossa is visualized to enable detection of loose bodies (joint mice). This view demonstrates the distal femur and proximal tibia/fibula in their natural anatomical position allowing for assessment of suspected dislocations,. Pa axial projection tunnel view of the intercondylar fossa (knee xray) can be taken in two radiographic method with. Standing Tunnel Knee X-Ray.
     
    
         
        From www.pinterest.com 
                    Pin on bone and joints Standing Tunnel Knee X-Ray  Posteroinferior surface of the femoral condyle is seen. Radiographs provide useful information across the entire spectrum of knee pathology, including congenital deformities, arthritis, trauma, oncology, sports injuries, metabolic disease, and arthroplasty evaluation. Open intercondylar fossa is visualized to enable detection of loose bodies (joint mice). This view demonstrates the distal femur and proximal tibia/fibula in their natural anatomical position allowing. Standing Tunnel Knee X-Ray.
     
    
         
        From journals.sagepub.com 
                    Correlation of tibiofemoral jointspace width with the clinico Standing Tunnel Knee X-Ray  Radiographs provide useful information across the entire spectrum of knee pathology, including congenital deformities, arthritis, trauma, oncology, sports injuries, metabolic disease, and arthroplasty evaluation. Normal knee radiographs with tunnel view on radiopaedia.org. Pa axial projection tunnel view of the intercondylar fossa (knee xray) can be taken in two radiographic method with different patient position depending on patients. Open intercondylar fossa. Standing Tunnel Knee X-Ray.
     
    
         
        From www.melbourneradiology.com.au 
                    Xray for Knee Pain in Melbourne Melbourne Radiology Clinic Standing Tunnel Knee X-Ray  This view demonstrates the distal femur and proximal tibia/fibula in their natural anatomical position allowing for assessment of suspected dislocations,. Open intercondylar fossa is visualized to enable detection of loose bodies (joint mice). Radiographs provide useful information across the entire spectrum of knee pathology, including congenital deformities, arthritis, trauma, oncology, sports injuries, metabolic disease, and arthroplasty evaluation. Pa axial projection. Standing Tunnel Knee X-Ray.
     
    
         
        From radiopaedia.org 
                    Image Standing Tunnel Knee X-Ray  Open intercondylar fossa is visualized to enable detection of loose bodies (joint mice). Pa axial projection tunnel view of the intercondylar fossa (knee xray) can be taken in two radiographic method with different patient position depending on patients. Normal knee radiographs with tunnel view on radiopaedia.org. This view demonstrates the distal femur and proximal tibia/fibula in their natural anatomical position. Standing Tunnel Knee X-Ray.
     
    
         
        From quizlet.com 
                    Tunnel View of Knee Diagram Quizlet Standing Tunnel Knee X-Ray  Normal knee radiographs with tunnel view on radiopaedia.org. Posteroinferior surface of the femoral condyle is seen. Radiographs provide useful information across the entire spectrum of knee pathology, including congenital deformities, arthritis, trauma, oncology, sports injuries, metabolic disease, and arthroplasty evaluation. Pa axial projection tunnel view of the intercondylar fossa (knee xray) can be taken in two radiographic method with different. Standing Tunnel Knee X-Ray.
     
    
         
        From ce4rt.com 
                    Radiographic Positioning Examples of the Leg and Knee CE4RT Standing Tunnel Knee X-Ray  Posteroinferior surface of the femoral condyle is seen. Radiographs provide useful information across the entire spectrum of knee pathology, including congenital deformities, arthritis, trauma, oncology, sports injuries, metabolic disease, and arthroplasty evaluation. This view demonstrates the distal femur and proximal tibia/fibula in their natural anatomical position allowing for assessment of suspected dislocations,. Normal knee radiographs with tunnel view on radiopaedia.org.. Standing Tunnel Knee X-Ray.
     
    
         
        From radiologykey.com 
                    Musculoskeletal Radiology Key Standing Tunnel Knee X-Ray  Posteroinferior surface of the femoral condyle is seen. Radiographs provide useful information across the entire spectrum of knee pathology, including congenital deformities, arthritis, trauma, oncology, sports injuries, metabolic disease, and arthroplasty evaluation. Pa axial projection tunnel view of the intercondylar fossa (knee xray) can be taken in two radiographic method with different patient position depending on patients. Open intercondylar fossa. Standing Tunnel Knee X-Ray.
     
    
         
        From www.youtube.com 
                    plain x ray knee joint tunnel view YouTube Standing Tunnel Knee X-Ray  Posteroinferior surface of the femoral condyle is seen. Normal knee radiographs with tunnel view on radiopaedia.org. This view demonstrates the distal femur and proximal tibia/fibula in their natural anatomical position allowing for assessment of suspected dislocations,. Open intercondylar fossa is visualized to enable detection of loose bodies (joint mice). Pa axial projection tunnel view of the intercondylar fossa (knee xray). Standing Tunnel Knee X-Ray.
     
    
         
        From aarthiscan.com 
                    Knee AP View Xray Aarthi Scans and Labs Standing Tunnel Knee X-Ray  Normal knee radiographs with tunnel view on radiopaedia.org. Radiographs provide useful information across the entire spectrum of knee pathology, including congenital deformities, arthritis, trauma, oncology, sports injuries, metabolic disease, and arthroplasty evaluation. Pa axial projection tunnel view of the intercondylar fossa (knee xray) can be taken in two radiographic method with different patient position depending on patients. Open intercondylar fossa. Standing Tunnel Knee X-Ray.
     
    
         
        From www.youtube.com 
                    Radiographic Positioning of Lower Leg and Knee (A) YouTube Standing Tunnel Knee X-Ray  Radiographs provide useful information across the entire spectrum of knee pathology, including congenital deformities, arthritis, trauma, oncology, sports injuries, metabolic disease, and arthroplasty evaluation. Normal knee radiographs with tunnel view on radiopaedia.org. Pa axial projection tunnel view of the intercondylar fossa (knee xray) can be taken in two radiographic method with different patient position depending on patients. This view demonstrates. Standing Tunnel Knee X-Ray.
     
    
         
        From www.sciencephoto.com 
                    Normal knees, Xray Stock Image F003/3510 Science Photo Library Standing Tunnel Knee X-Ray  Normal knee radiographs with tunnel view on radiopaedia.org. Radiographs provide useful information across the entire spectrum of knee pathology, including congenital deformities, arthritis, trauma, oncology, sports injuries, metabolic disease, and arthroplasty evaluation. This view demonstrates the distal femur and proximal tibia/fibula in their natural anatomical position allowing for assessment of suspected dislocations,. Open intercondylar fossa is visualized to enable detection. Standing Tunnel Knee X-Ray.
     
    
         
        From www.orthobullets.com 
                    Idiopathic Chondromalacia Patellae Knee & Sports Orthobullets Standing Tunnel Knee X-Ray  Radiographs provide useful information across the entire spectrum of knee pathology, including congenital deformities, arthritis, trauma, oncology, sports injuries, metabolic disease, and arthroplasty evaluation. Normal knee radiographs with tunnel view on radiopaedia.org. Pa axial projection tunnel view of the intercondylar fossa (knee xray) can be taken in two radiographic method with different patient position depending on patients. Open intercondylar fossa. Standing Tunnel Knee X-Ray.
     
    
         
        From thecurbsiders.com 
                    98 Knee Pain History, exam, bracing, xrays, and injectables The Standing Tunnel Knee X-Ray  Posteroinferior surface of the femoral condyle is seen. This view demonstrates the distal femur and proximal tibia/fibula in their natural anatomical position allowing for assessment of suspected dislocations,. Open intercondylar fossa is visualized to enable detection of loose bodies (joint mice). Radiographs provide useful information across the entire spectrum of knee pathology, including congenital deformities, arthritis, trauma, oncology, sports injuries,. Standing Tunnel Knee X-Ray.