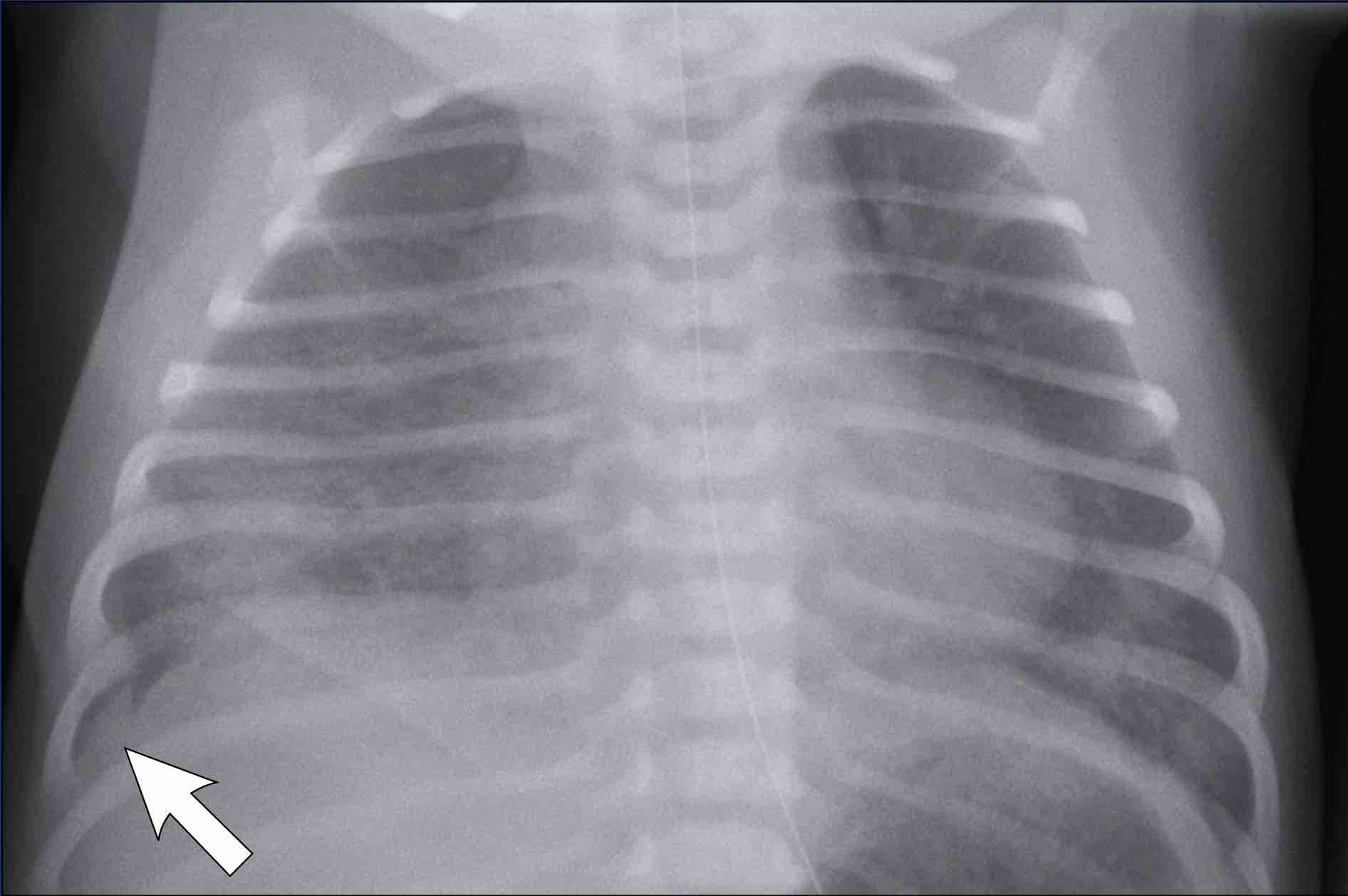
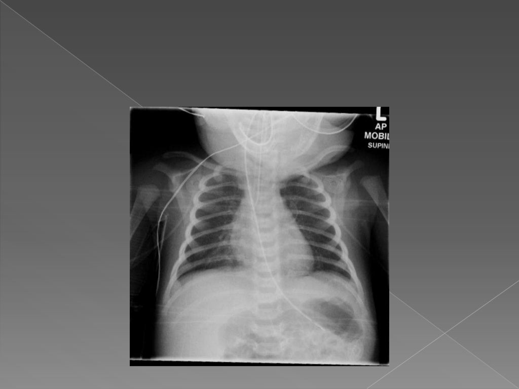
How To Read Neonatal Chest X Ray . basics of interpreting a neonatal chest radiograph. For evaluating the initial cause of respiratory distress. Neonatal unit, department of pediatrics,. the degree of rotation is best assessed by comparing the length of the anterior ribs visible on both sides. a specific finding on neonatal chest films is air leak tracking along the bronchi termed pulmonary interstitial emphysema (pie). (a) frontal chest radiograph at 3 months of age shows coarse interstitial opacities and overall mild hyperinflation. Standard chest radiograph is an anteroposterior. The specific reason why these radiographs are.
from www.sexizpix.com
a specific finding on neonatal chest films is air leak tracking along the bronchi termed pulmonary interstitial emphysema (pie). Standard chest radiograph is an anteroposterior. Neonatal unit, department of pediatrics,. basics of interpreting a neonatal chest radiograph. (a) frontal chest radiograph at 3 months of age shows coarse interstitial opacities and overall mild hyperinflation. For evaluating the initial cause of respiratory distress. The specific reason why these radiographs are. the degree of rotation is best assessed by comparing the length of the anterior ribs visible on both sides.
How To Read Chest X Ray Chest X Ray Anatomy Chest X Ray Pa View Sexiz Pix
How To Read Neonatal Chest X Ray Standard chest radiograph is an anteroposterior. Neonatal unit, department of pediatrics,. For evaluating the initial cause of respiratory distress. basics of interpreting a neonatal chest radiograph. a specific finding on neonatal chest films is air leak tracking along the bronchi termed pulmonary interstitial emphysema (pie). the degree of rotation is best assessed by comparing the length of the anterior ribs visible on both sides. The specific reason why these radiographs are. Standard chest radiograph is an anteroposterior. (a) frontal chest radiograph at 3 months of age shows coarse interstitial opacities and overall mild hyperinflation.
From mungfali.com
Chest Xray Child Pediatric Pulmonologists 65C How To Read Neonatal Chest X Ray Neonatal unit, department of pediatrics,. (a) frontal chest radiograph at 3 months of age shows coarse interstitial opacities and overall mild hyperinflation. basics of interpreting a neonatal chest radiograph. a specific finding on neonatal chest films is air leak tracking along the bronchi termed pulmonary interstitial emphysema (pie). The specific reason why these radiographs are. the. How To Read Neonatal Chest X Ray.
From radiologyassistant.nl
The Radiology Assistant Neonatal Chest XRay How To Read Neonatal Chest X Ray basics of interpreting a neonatal chest radiograph. (a) frontal chest radiograph at 3 months of age shows coarse interstitial opacities and overall mild hyperinflation. a specific finding on neonatal chest films is air leak tracking along the bronchi termed pulmonary interstitial emphysema (pie). For evaluating the initial cause of respiratory distress. The specific reason why these radiographs. How To Read Neonatal Chest X Ray.
From jksronline.org
Interpretation of Neonatal Chest Radiography How To Read Neonatal Chest X Ray Neonatal unit, department of pediatrics,. Standard chest radiograph is an anteroposterior. The specific reason why these radiographs are. the degree of rotation is best assessed by comparing the length of the anterior ribs visible on both sides. basics of interpreting a neonatal chest radiograph. (a) frontal chest radiograph at 3 months of age shows coarse interstitial opacities. How To Read Neonatal Chest X Ray.
From radiologyassistant.nl
The Radiology Assistant Neonatal Chest XRay How To Read Neonatal Chest X Ray a specific finding on neonatal chest films is air leak tracking along the bronchi termed pulmonary interstitial emphysema (pie). the degree of rotation is best assessed by comparing the length of the anterior ribs visible on both sides. For evaluating the initial cause of respiratory distress. The specific reason why these radiographs are. (a) frontal chest radiograph. How To Read Neonatal Chest X Ray.
From www.studocu.com
Xrays Xray interpretation Learner's Guide Neonatal Chest XRay How To Read Neonatal Chest X Ray Standard chest radiograph is an anteroposterior. basics of interpreting a neonatal chest radiograph. For evaluating the initial cause of respiratory distress. the degree of rotation is best assessed by comparing the length of the anterior ribs visible on both sides. a specific finding on neonatal chest films is air leak tracking along the bronchi termed pulmonary interstitial. How To Read Neonatal Chest X Ray.
From freemedicalmcqs.com
How to Read Chest XRay How To Read Neonatal Chest X Ray (a) frontal chest radiograph at 3 months of age shows coarse interstitial opacities and overall mild hyperinflation. a specific finding on neonatal chest films is air leak tracking along the bronchi termed pulmonary interstitial emphysema (pie). Neonatal unit, department of pediatrics,. the degree of rotation is best assessed by comparing the length of the anterior ribs visible. How To Read Neonatal Chest X Ray.
From www.slideserve.com
PPT Reading a Neonatal Chest Xray PowerPoint Presentation ID2827363 How To Read Neonatal Chest X Ray The specific reason why these radiographs are. For evaluating the initial cause of respiratory distress. (a) frontal chest radiograph at 3 months of age shows coarse interstitial opacities and overall mild hyperinflation. Neonatal unit, department of pediatrics,. Standard chest radiograph is an anteroposterior. basics of interpreting a neonatal chest radiograph. a specific finding on neonatal chest films. How To Read Neonatal Chest X Ray.
From radiologykey.com
Neonatal Chest Imaging Radiology Key How To Read Neonatal Chest X Ray For evaluating the initial cause of respiratory distress. the degree of rotation is best assessed by comparing the length of the anterior ribs visible on both sides. (a) frontal chest radiograph at 3 months of age shows coarse interstitial opacities and overall mild hyperinflation. a specific finding on neonatal chest films is air leak tracking along the. How To Read Neonatal Chest X Ray.
From medizzy.com
How to read a CXR MEDizzy How To Read Neonatal Chest X Ray Standard chest radiograph is an anteroposterior. the degree of rotation is best assessed by comparing the length of the anterior ribs visible on both sides. a specific finding on neonatal chest films is air leak tracking along the bronchi termed pulmonary interstitial emphysema (pie). The specific reason why these radiographs are. basics of interpreting a neonatal chest. How To Read Neonatal Chest X Ray.
From www.vrogue.co
Neonatal Chest Imaging Radiology Key vrogue.co How To Read Neonatal Chest X Ray a specific finding on neonatal chest films is air leak tracking along the bronchi termed pulmonary interstitial emphysema (pie). basics of interpreting a neonatal chest radiograph. Neonatal unit, department of pediatrics,. the degree of rotation is best assessed by comparing the length of the anterior ribs visible on both sides. Standard chest radiograph is an anteroposterior. The. How To Read Neonatal Chest X Ray.
From radiologyassistant.nl
The Radiology Assistant Neonatal Chest XRay How To Read Neonatal Chest X Ray basics of interpreting a neonatal chest radiograph. Neonatal unit, department of pediatrics,. the degree of rotation is best assessed by comparing the length of the anterior ribs visible on both sides. (a) frontal chest radiograph at 3 months of age shows coarse interstitial opacities and overall mild hyperinflation. a specific finding on neonatal chest films is. How To Read Neonatal Chest X Ray.
From www.slideserve.com
PPT Reading a Neonatal Chest Xray PowerPoint Presentation, free How To Read Neonatal Chest X Ray For evaluating the initial cause of respiratory distress. Standard chest radiograph is an anteroposterior. The specific reason why these radiographs are. Neonatal unit, department of pediatrics,. the degree of rotation is best assessed by comparing the length of the anterior ribs visible on both sides. basics of interpreting a neonatal chest radiograph. a specific finding on neonatal. How To Read Neonatal Chest X Ray.
From www.slideserve.com
PPT Reading a Neonatal Chest Xray PowerPoint Presentation, free How To Read Neonatal Chest X Ray For evaluating the initial cause of respiratory distress. basics of interpreting a neonatal chest radiograph. the degree of rotation is best assessed by comparing the length of the anterior ribs visible on both sides. Standard chest radiograph is an anteroposterior. Neonatal unit, department of pediatrics,. (a) frontal chest radiograph at 3 months of age shows coarse interstitial. How To Read Neonatal Chest X Ray.
From radiopaedia.org
Image How To Read Neonatal Chest X Ray Neonatal unit, department of pediatrics,. a specific finding on neonatal chest films is air leak tracking along the bronchi termed pulmonary interstitial emphysema (pie). Standard chest radiograph is an anteroposterior. (a) frontal chest radiograph at 3 months of age shows coarse interstitial opacities and overall mild hyperinflation. basics of interpreting a neonatal chest radiograph. For evaluating the. How To Read Neonatal Chest X Ray.
From radiologykey.com
Neonatal Chest Imaging Radiology Key How To Read Neonatal Chest X Ray a specific finding on neonatal chest films is air leak tracking along the bronchi termed pulmonary interstitial emphysema (pie). basics of interpreting a neonatal chest radiograph. (a) frontal chest radiograph at 3 months of age shows coarse interstitial opacities and overall mild hyperinflation. For evaluating the initial cause of respiratory distress. Standard chest radiograph is an anteroposterior.. How To Read Neonatal Chest X Ray.
From www.takeaurally.com
ABCDE of Chest XRay Use the RIPE Approach! — Take Aurally How To Read Neonatal Chest X Ray The specific reason why these radiographs are. (a) frontal chest radiograph at 3 months of age shows coarse interstitial opacities and overall mild hyperinflation. the degree of rotation is best assessed by comparing the length of the anterior ribs visible on both sides. basics of interpreting a neonatal chest radiograph. Neonatal unit, department of pediatrics,. Standard chest. How To Read Neonatal Chest X Ray.
From www.slideserve.com
PPT Reading a Neonatal Chest Xray PowerPoint Presentation, free How To Read Neonatal Chest X Ray basics of interpreting a neonatal chest radiograph. (a) frontal chest radiograph at 3 months of age shows coarse interstitial opacities and overall mild hyperinflation. For evaluating the initial cause of respiratory distress. Neonatal unit, department of pediatrics,. the degree of rotation is best assessed by comparing the length of the anterior ribs visible on both sides. Standard. How To Read Neonatal Chest X Ray.
From www.ezmedlearning.com
How to Read a Chest Xray PDF ABCDE Mnemonic, Step by Step How To Read Neonatal Chest X Ray a specific finding on neonatal chest films is air leak tracking along the bronchi termed pulmonary interstitial emphysema (pie). The specific reason why these radiographs are. (a) frontal chest radiograph at 3 months of age shows coarse interstitial opacities and overall mild hyperinflation. Neonatal unit, department of pediatrics,. basics of interpreting a neonatal chest radiograph. Standard chest. How To Read Neonatal Chest X Ray.
From www.youtube.com
Neonatal radiologyhow to read chest Xray in neonates. The basics. How To Read Neonatal Chest X Ray basics of interpreting a neonatal chest radiograph. Standard chest radiograph is an anteroposterior. (a) frontal chest radiograph at 3 months of age shows coarse interstitial opacities and overall mild hyperinflation. the degree of rotation is best assessed by comparing the length of the anterior ribs visible on both sides. a specific finding on neonatal chest films. How To Read Neonatal Chest X Ray.
From www.babezdoor.com
How To Read A Chest X Ray Pdf Abcde Mnemonic Step By Step The Best How To Read Neonatal Chest X Ray basics of interpreting a neonatal chest radiograph. a specific finding on neonatal chest films is air leak tracking along the bronchi termed pulmonary interstitial emphysema (pie). For evaluating the initial cause of respiratory distress. The specific reason why these radiographs are. the degree of rotation is best assessed by comparing the length of the anterior ribs visible. How To Read Neonatal Chest X Ray.
From www.slideserve.com
PPT Reading a Neonatal Chest Xray PowerPoint Presentation, free How To Read Neonatal Chest X Ray (a) frontal chest radiograph at 3 months of age shows coarse interstitial opacities and overall mild hyperinflation. basics of interpreting a neonatal chest radiograph. Standard chest radiograph is an anteroposterior. Neonatal unit, department of pediatrics,. a specific finding on neonatal chest films is air leak tracking along the bronchi termed pulmonary interstitial emphysema (pie). The specific reason. How To Read Neonatal Chest X Ray.
From www.wikiradiography.net
Neonatal Chest Radiography wikiRadiography How To Read Neonatal Chest X Ray Neonatal unit, department of pediatrics,. The specific reason why these radiographs are. the degree of rotation is best assessed by comparing the length of the anterior ribs visible on both sides. (a) frontal chest radiograph at 3 months of age shows coarse interstitial opacities and overall mild hyperinflation. basics of interpreting a neonatal chest radiograph. a. How To Read Neonatal Chest X Ray.
From www.slideserve.com
PPT Reading a Neonatal Chest Xray PowerPoint Presentation ID2827363 How To Read Neonatal Chest X Ray Neonatal unit, department of pediatrics,. the degree of rotation is best assessed by comparing the length of the anterior ribs visible on both sides. basics of interpreting a neonatal chest radiograph. Standard chest radiograph is an anteroposterior. a specific finding on neonatal chest films is air leak tracking along the bronchi termed pulmonary interstitial emphysema (pie). For. How To Read Neonatal Chest X Ray.
From mavink.com
Neonatal Chest X Ray How To Read Neonatal Chest X Ray Standard chest radiograph is an anteroposterior. For evaluating the initial cause of respiratory distress. The specific reason why these radiographs are. a specific finding on neonatal chest films is air leak tracking along the bronchi termed pulmonary interstitial emphysema (pie). the degree of rotation is best assessed by comparing the length of the anterior ribs visible on both. How To Read Neonatal Chest X Ray.
From www.slideshare.net
Neonatal chest x ray reading How To Read Neonatal Chest X Ray Standard chest radiograph is an anteroposterior. the degree of rotation is best assessed by comparing the length of the anterior ribs visible on both sides. basics of interpreting a neonatal chest radiograph. a specific finding on neonatal chest films is air leak tracking along the bronchi termed pulmonary interstitial emphysema (pie). Neonatal unit, department of pediatrics,. The. How To Read Neonatal Chest X Ray.
From www.sexizpix.com
Neonatal Chest X Ray Sexiz Pix How To Read Neonatal Chest X Ray the degree of rotation is best assessed by comparing the length of the anterior ribs visible on both sides. basics of interpreting a neonatal chest radiograph. Standard chest radiograph is an anteroposterior. The specific reason why these radiographs are. a specific finding on neonatal chest films is air leak tracking along the bronchi termed pulmonary interstitial emphysema. How To Read Neonatal Chest X Ray.
From www.pinterest.com.au
How to interpret the Chest X Ray using a simple structured approach How To Read Neonatal Chest X Ray For evaluating the initial cause of respiratory distress. (a) frontal chest radiograph at 3 months of age shows coarse interstitial opacities and overall mild hyperinflation. the degree of rotation is best assessed by comparing the length of the anterior ribs visible on both sides. Neonatal unit, department of pediatrics,. basics of interpreting a neonatal chest radiograph. . How To Read Neonatal Chest X Ray.
From www.semanticscholar.org
[PDF] The neonatal chest Xray. Semantic Scholar How To Read Neonatal Chest X Ray a specific finding on neonatal chest films is air leak tracking along the bronchi termed pulmonary interstitial emphysema (pie). Neonatal unit, department of pediatrics,. The specific reason why these radiographs are. For evaluating the initial cause of respiratory distress. (a) frontal chest radiograph at 3 months of age shows coarse interstitial opacities and overall mild hyperinflation. Standard chest. How To Read Neonatal Chest X Ray.
From unforgetable-lifeeex3.blogspot.com
baby chest x ray technique Meggan Haggard How To Read Neonatal Chest X Ray For evaluating the initial cause of respiratory distress. Neonatal unit, department of pediatrics,. The specific reason why these radiographs are. a specific finding on neonatal chest films is air leak tracking along the bronchi termed pulmonary interstitial emphysema (pie). (a) frontal chest radiograph at 3 months of age shows coarse interstitial opacities and overall mild hyperinflation. basics. How To Read Neonatal Chest X Ray.
From www.formasup.fr
Neonatal Radiologyhow To Read Chest Xray In The , 58 OFF How To Read Neonatal Chest X Ray Neonatal unit, department of pediatrics,. basics of interpreting a neonatal chest radiograph. The specific reason why these radiographs are. a specific finding on neonatal chest films is air leak tracking along the bronchi termed pulmonary interstitial emphysema (pie). For evaluating the initial cause of respiratory distress. the degree of rotation is best assessed by comparing the length. How To Read Neonatal Chest X Ray.
From www.kenhub.com
Normal chest xray Anatomy tutorial Kenhub How To Read Neonatal Chest X Ray Standard chest radiograph is an anteroposterior. For evaluating the initial cause of respiratory distress. Neonatal unit, department of pediatrics,. a specific finding on neonatal chest films is air leak tracking along the bronchi termed pulmonary interstitial emphysema (pie). (a) frontal chest radiograph at 3 months of age shows coarse interstitial opacities and overall mild hyperinflation. the degree. How To Read Neonatal Chest X Ray.
From www.sexizpix.com
How To Read Chest X Ray Chest X Ray Anatomy Chest X Ray Pa View Sexiz Pix How To Read Neonatal Chest X Ray a specific finding on neonatal chest films is air leak tracking along the bronchi termed pulmonary interstitial emphysema (pie). For evaluating the initial cause of respiratory distress. the degree of rotation is best assessed by comparing the length of the anterior ribs visible on both sides. Neonatal unit, department of pediatrics,. basics of interpreting a neonatal chest. How To Read Neonatal Chest X Ray.
From www.slideshare.net
Neonatal chest x ray reading How To Read Neonatal Chest X Ray (a) frontal chest radiograph at 3 months of age shows coarse interstitial opacities and overall mild hyperinflation. the degree of rotation is best assessed by comparing the length of the anterior ribs visible on both sides. a specific finding on neonatal chest films is air leak tracking along the bronchi termed pulmonary interstitial emphysema (pie). Standard chest. How To Read Neonatal Chest X Ray.
From www.semanticscholar.org
Figure 21 from The neonatal chest Xray. Semantic Scholar How To Read Neonatal Chest X Ray The specific reason why these radiographs are. Standard chest radiograph is an anteroposterior. a specific finding on neonatal chest films is air leak tracking along the bronchi termed pulmonary interstitial emphysema (pie). Neonatal unit, department of pediatrics,. For evaluating the initial cause of respiratory distress. (a) frontal chest radiograph at 3 months of age shows coarse interstitial opacities. How To Read Neonatal Chest X Ray.
From www.slideserve.com
PPT Reading a Neonatal Chest Xray PowerPoint Presentation, free How To Read Neonatal Chest X Ray basics of interpreting a neonatal chest radiograph. a specific finding on neonatal chest films is air leak tracking along the bronchi termed pulmonary interstitial emphysema (pie). For evaluating the initial cause of respiratory distress. (a) frontal chest radiograph at 3 months of age shows coarse interstitial opacities and overall mild hyperinflation. Standard chest radiograph is an anteroposterior.. How To Read Neonatal Chest X Ray.