Gingivitis Braces . If it doesn’t, it may signify other dental conditions, including: Gingivitis with braces is common yet easily treatable. Gum swelling caused by braces usually subsides after a short time. Do you want to know how to get rid of swollen gums with braces? The mildest form of gum disease characterized by red, swollen, and bleeding gums. Gingivitis, a common form of gum disease, involves inflammation of the gums and can lead to more serious periodontal issues if. Gingivitis is often caused by poor oral hygiene habits and can be reversed with professional cleanings and improved dental care. This mild form of gum disease is usually caused by a buildup of plaque on your teeth—and when you have braces, it’s very easy to get a buildup of plaque, even if you brush.
from www.animalia-life.club
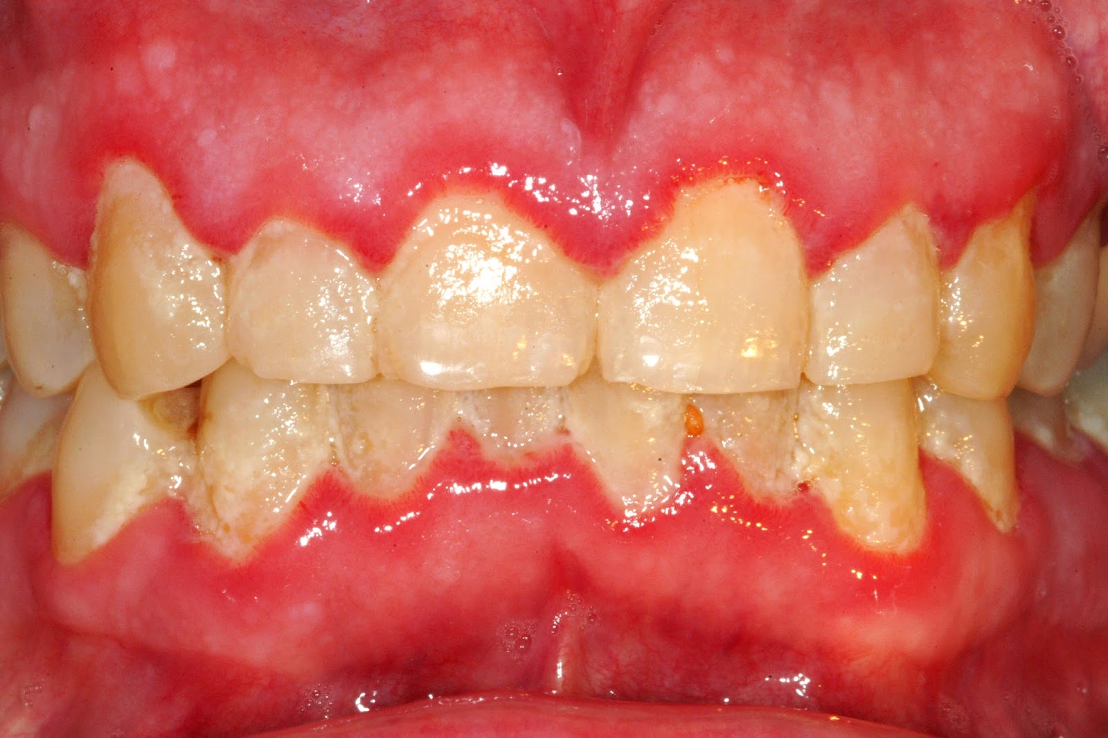
Do you want to know how to get rid of swollen gums with braces? Gingivitis, a common form of gum disease, involves inflammation of the gums and can lead to more serious periodontal issues if. Gum swelling caused by braces usually subsides after a short time. Gingivitis is often caused by poor oral hygiene habits and can be reversed with professional cleanings and improved dental care. This mild form of gum disease is usually caused by a buildup of plaque on your teeth—and when you have braces, it’s very easy to get a buildup of plaque, even if you brush. Gingivitis with braces is common yet easily treatable. If it doesn’t, it may signify other dental conditions, including: The mildest form of gum disease characterized by red, swollen, and bleeding gums.
Mild Gingivitis With Braces
Gingivitis Braces Gingivitis is often caused by poor oral hygiene habits and can be reversed with professional cleanings and improved dental care. Gum swelling caused by braces usually subsides after a short time. Do you want to know how to get rid of swollen gums with braces? Gingivitis, a common form of gum disease, involves inflammation of the gums and can lead to more serious periodontal issues if. Gingivitis with braces is common yet easily treatable. This mild form of gum disease is usually caused by a buildup of plaque on your teeth—and when you have braces, it’s very easy to get a buildup of plaque, even if you brush. Gingivitis is often caused by poor oral hygiene habits and can be reversed with professional cleanings and improved dental care. The mildest form of gum disease characterized by red, swollen, and bleeding gums. If it doesn’t, it may signify other dental conditions, including:
From ar.inspiredpencil.com
How To Get Rid Of Gingivitis With Braces Gingivitis Braces Do you want to know how to get rid of swollen gums with braces? Gingivitis with braces is common yet easily treatable. If it doesn’t, it may signify other dental conditions, including: Gingivitis, a common form of gum disease, involves inflammation of the gums and can lead to more serious periodontal issues if. This mild form of gum disease is. Gingivitis Braces.
From www.animalia-life.club
Mild Gingivitis With Braces Gingivitis Braces Do you want to know how to get rid of swollen gums with braces? Gingivitis, a common form of gum disease, involves inflammation of the gums and can lead to more serious periodontal issues if. Gingivitis is often caused by poor oral hygiene habits and can be reversed with professional cleanings and improved dental care. If it doesn’t, it may. Gingivitis Braces.
From ar.inspiredpencil.com
How To Get Rid Of Gingivitis With Braces Gingivitis Braces This mild form of gum disease is usually caused by a buildup of plaque on your teeth—and when you have braces, it’s very easy to get a buildup of plaque, even if you brush. Gum swelling caused by braces usually subsides after a short time. Gingivitis is often caused by poor oral hygiene habits and can be reversed with professional. Gingivitis Braces.
From alteracionesbucales3302albertogleza.blogspot.com
Alteraciones Bucales Anorexia y Bulimia Gingivitis Braces Gingivitis is often caused by poor oral hygiene habits and can be reversed with professional cleanings and improved dental care. The mildest form of gum disease characterized by red, swollen, and bleeding gums. This mild form of gum disease is usually caused by a buildup of plaque on your teeth—and when you have braces, it’s very easy to get a. Gingivitis Braces.
From ar.inspiredpencil.com
Gingivitis Braces Gingivitis Braces If it doesn’t, it may signify other dental conditions, including: Gingivitis is often caused by poor oral hygiene habits and can be reversed with professional cleanings and improved dental care. Gingivitis, a common form of gum disease, involves inflammation of the gums and can lead to more serious periodontal issues if. Gum swelling caused by braces usually subsides after a. Gingivitis Braces.
From www.reddit.com
Gingivitis or hygienic issue? r/braces Gingivitis Braces If it doesn’t, it may signify other dental conditions, including: Do you want to know how to get rid of swollen gums with braces? This mild form of gum disease is usually caused by a buildup of plaque on your teeth—and when you have braces, it’s very easy to get a buildup of plaque, even if you brush. Gingivitis, a. Gingivitis Braces.
From allsmilesdentspa.com
Gum Inflammation / Gingivitis Symptoms and Remedies Gingivitis Braces Gingivitis, a common form of gum disease, involves inflammation of the gums and can lead to more serious periodontal issues if. This mild form of gum disease is usually caused by a buildup of plaque on your teeth—and when you have braces, it’s very easy to get a buildup of plaque, even if you brush. Gingivitis is often caused by. Gingivitis Braces.
From www.youtube.com
how to get rid of gingivitis fast with braces YouTube Gingivitis Braces The mildest form of gum disease characterized by red, swollen, and bleeding gums. Gingivitis with braces is common yet easily treatable. Gum swelling caused by braces usually subsides after a short time. Do you want to know how to get rid of swollen gums with braces? Gingivitis is often caused by poor oral hygiene habits and can be reversed with. Gingivitis Braces.
From ar.inspiredpencil.com
Mild Gingivitis With Braces Gingivitis Braces Gingivitis is often caused by poor oral hygiene habits and can be reversed with professional cleanings and improved dental care. Gingivitis, a common form of gum disease, involves inflammation of the gums and can lead to more serious periodontal issues if. This mild form of gum disease is usually caused by a buildup of plaque on your teeth—and when you. Gingivitis Braces.
From ask.damiensymonds.net
Reducing gums around braces Help with editing Gingivitis Braces This mild form of gum disease is usually caused by a buildup of plaque on your teeth—and when you have braces, it’s very easy to get a buildup of plaque, even if you brush. Gum swelling caused by braces usually subsides after a short time. Gingivitis with braces is common yet easily treatable. Gingivitis is often caused by poor oral. Gingivitis Braces.
From ar.inspiredpencil.com
Mild Gingivitis With Braces Gingivitis Braces The mildest form of gum disease characterized by red, swollen, and bleeding gums. Do you want to know how to get rid of swollen gums with braces? This mild form of gum disease is usually caused by a buildup of plaque on your teeth—and when you have braces, it’s very easy to get a buildup of plaque, even if you. Gingivitis Braces.
From www.youtube.com
braces gum swelling/bleeding Why and what to do Tooth Time Family Gingivitis Braces Gingivitis, a common form of gum disease, involves inflammation of the gums and can lead to more serious periodontal issues if. Gum swelling caused by braces usually subsides after a short time. Gingivitis with braces is common yet easily treatable. Do you want to know how to get rid of swollen gums with braces? This mild form of gum disease. Gingivitis Braces.
From braceskey.com
How To Get Rid Of Gingivitis With Braces? Gingivitis Braces Gingivitis is often caused by poor oral hygiene habits and can be reversed with professional cleanings and improved dental care. If it doesn’t, it may signify other dental conditions, including: This mild form of gum disease is usually caused by a buildup of plaque on your teeth—and when you have braces, it’s very easy to get a buildup of plaque,. Gingivitis Braces.
From healthtian.com
How Old is Old Enough? Understanding Braces for Kids Healthtian Gingivitis Braces Gingivitis, a common form of gum disease, involves inflammation of the gums and can lead to more serious periodontal issues if. Gum swelling caused by braces usually subsides after a short time. Gingivitis is often caused by poor oral hygiene habits and can be reversed with professional cleanings and improved dental care. Gingivitis with braces is common yet easily treatable.. Gingivitis Braces.
From www.animalia-life.club
Mild Gingivitis With Braces Gingivitis Braces Gum swelling caused by braces usually subsides after a short time. This mild form of gum disease is usually caused by a buildup of plaque on your teeth—and when you have braces, it’s very easy to get a buildup of plaque, even if you brush. Gingivitis with braces is common yet easily treatable. The mildest form of gum disease characterized. Gingivitis Braces.
From ar.inspiredpencil.com
Mild Gingivitis With Braces Gingivitis Braces If it doesn’t, it may signify other dental conditions, including: Do you want to know how to get rid of swollen gums with braces? The mildest form of gum disease characterized by red, swollen, and bleeding gums. Gingivitis with braces is common yet easily treatable. This mild form of gum disease is usually caused by a buildup of plaque on. Gingivitis Braces.
From ar.inspiredpencil.com
How To Get Rid Of Gingivitis With Braces Gingivitis Braces Gingivitis with braces is common yet easily treatable. The mildest form of gum disease characterized by red, swollen, and bleeding gums. Gum swelling caused by braces usually subsides after a short time. Gingivitis, a common form of gum disease, involves inflammation of the gums and can lead to more serious periodontal issues if. Do you want to know how to. Gingivitis Braces.
From www.animalia-life.club
Mild Gingivitis With Braces Gingivitis Braces This mild form of gum disease is usually caused by a buildup of plaque on your teeth—and when you have braces, it’s very easy to get a buildup of plaque, even if you brush. Gingivitis, a common form of gum disease, involves inflammation of the gums and can lead to more serious periodontal issues if. Gingivitis with braces is common. Gingivitis Braces.
From ar.inspiredpencil.com
Gingival Hyperplasia With Braces Gingivitis Braces Do you want to know how to get rid of swollen gums with braces? Gum swelling caused by braces usually subsides after a short time. Gingivitis with braces is common yet easily treatable. This mild form of gum disease is usually caused by a buildup of plaque on your teeth—and when you have braces, it’s very easy to get a. Gingivitis Braces.
From www.newburysmiles.com
Gingival hyperplasia Dentist in Newbury Park Gingivitis Braces Gum swelling caused by braces usually subsides after a short time. Gingivitis with braces is common yet easily treatable. Do you want to know how to get rid of swollen gums with braces? Gingivitis is often caused by poor oral hygiene habits and can be reversed with professional cleanings and improved dental care. If it doesn’t, it may signify other. Gingivitis Braces.
From onlinedentalcare.org
Gingivitis Online Dental Care Gingivitis Braces Gingivitis is often caused by poor oral hygiene habits and can be reversed with professional cleanings and improved dental care. Gum swelling caused by braces usually subsides after a short time. The mildest form of gum disease characterized by red, swollen, and bleeding gums. Do you want to know how to get rid of swollen gums with braces? This mild. Gingivitis Braces.
From ar.inspiredpencil.com
How To Get Rid Of Gingivitis With Braces Gingivitis Braces This mild form of gum disease is usually caused by a buildup of plaque on your teeth—and when you have braces, it’s very easy to get a buildup of plaque, even if you brush. Gingivitis, a common form of gum disease, involves inflammation of the gums and can lead to more serious periodontal issues if. Gingivitis with braces is common. Gingivitis Braces.
From orthodentalpro.com
GINGIVITIS WITH BRACES ORTHO DENTAL PRO Gingivitis Braces Gingivitis is often caused by poor oral hygiene habits and can be reversed with professional cleanings and improved dental care. Gingivitis, a common form of gum disease, involves inflammation of the gums and can lead to more serious periodontal issues if. Gum swelling caused by braces usually subsides after a short time. Gingivitis with braces is common yet easily treatable.. Gingivitis Braces.
From mavink.com
Gingival Hyperplasia Braces Gingivitis Braces Gingivitis is often caused by poor oral hygiene habits and can be reversed with professional cleanings and improved dental care. Gum swelling caused by braces usually subsides after a short time. The mildest form of gum disease characterized by red, swollen, and bleeding gums. Do you want to know how to get rid of swollen gums with braces? This mild. Gingivitis Braces.
From ar.inspiredpencil.com
Mild Gingivitis With Braces Gingivitis Braces Gingivitis, a common form of gum disease, involves inflammation of the gums and can lead to more serious periodontal issues if. Gingivitis is often caused by poor oral hygiene habits and can be reversed with professional cleanings and improved dental care. Gum swelling caused by braces usually subsides after a short time. This mild form of gum disease is usually. Gingivitis Braces.
From www.midentalclinic.com
What is Gingivitis? (¿Que es la Gingivitis?) Mi DENTAL Gingivitis Braces The mildest form of gum disease characterized by red, swollen, and bleeding gums. Gingivitis, a common form of gum disease, involves inflammation of the gums and can lead to more serious periodontal issues if. Gum swelling caused by braces usually subsides after a short time. Gingivitis is often caused by poor oral hygiene habits and can be reversed with professional. Gingivitis Braces.
From ar.inspiredpencil.com
Mild Gingivitis With Braces Gingivitis Braces The mildest form of gum disease characterized by red, swollen, and bleeding gums. Gingivitis is often caused by poor oral hygiene habits and can be reversed with professional cleanings and improved dental care. Gingivitis with braces is common yet easily treatable. If it doesn’t, it may signify other dental conditions, including: This mild form of gum disease is usually caused. Gingivitis Braces.
From www.animalia-life.club
Mild Gingivitis With Braces Gingivitis Braces Gingivitis with braces is common yet easily treatable. Gum swelling caused by braces usually subsides after a short time. Gingivitis is often caused by poor oral hygiene habits and can be reversed with professional cleanings and improved dental care. The mildest form of gum disease characterized by red, swollen, and bleeding gums. This mild form of gum disease is usually. Gingivitis Braces.
From randallortho.com
3 Different Categories Of Food To Avoid With Braces Gingivitis Braces Gingivitis with braces is common yet easily treatable. Gingivitis is often caused by poor oral hygiene habits and can be reversed with professional cleanings and improved dental care. The mildest form of gum disease characterized by red, swollen, and bleeding gums. This mild form of gum disease is usually caused by a buildup of plaque on your teeth—and when you. Gingivitis Braces.
From www.animalia-life.club
Mild Gingivitis With Braces Gingivitis Braces Gingivitis with braces is common yet easily treatable. Gingivitis is often caused by poor oral hygiene habits and can be reversed with professional cleanings and improved dental care. If it doesn’t, it may signify other dental conditions, including: This mild form of gum disease is usually caused by a buildup of plaque on your teeth—and when you have braces, it’s. Gingivitis Braces.
From ar.inspiredpencil.com
Mild Gingivitis With Braces Gingivitis Braces Do you want to know how to get rid of swollen gums with braces? Gingivitis, a common form of gum disease, involves inflammation of the gums and can lead to more serious periodontal issues if. Gingivitis is often caused by poor oral hygiene habits and can be reversed with professional cleanings and improved dental care. Gingivitis with braces is common. Gingivitis Braces.
From chattanoogabraces.com
Braces and Gingivitis b Orthodontics Gingivitis Braces Gingivitis, a common form of gum disease, involves inflammation of the gums and can lead to more serious periodontal issues if. This mild form of gum disease is usually caused by a buildup of plaque on your teeth—and when you have braces, it’s very easy to get a buildup of plaque, even if you brush. Gingivitis is often caused by. Gingivitis Braces.
From www.researchgate.net
(A) patient with gingival enlargement before laserassisted Gingivitis Braces Gingivitis is often caused by poor oral hygiene habits and can be reversed with professional cleanings and improved dental care. Gingivitis, a common form of gum disease, involves inflammation of the gums and can lead to more serious periodontal issues if. Do you want to know how to get rid of swollen gums with braces? Gum swelling caused by braces. Gingivitis Braces.
From ar.inspiredpencil.com
How To Get Rid Of Gingivitis With Braces Gingivitis Braces This mild form of gum disease is usually caused by a buildup of plaque on your teeth—and when you have braces, it’s very easy to get a buildup of plaque, even if you brush. If it doesn’t, it may signify other dental conditions, including: The mildest form of gum disease characterized by red, swollen, and bleeding gums. Gum swelling caused. Gingivitis Braces.
From www.animalia-life.club
Mild Gingivitis With Braces Gingivitis Braces Gingivitis with braces is common yet easily treatable. The mildest form of gum disease characterized by red, swollen, and bleeding gums. Gingivitis is often caused by poor oral hygiene habits and can be reversed with professional cleanings and improved dental care. Gingivitis, a common form of gum disease, involves inflammation of the gums and can lead to more serious periodontal. Gingivitis Braces.