Dental Insurance Coverage For Periodontal Disease . Anthem’s essential choice ppo platinum plan received five out of. Some procedures, such as scaling and. But if you have periodontitis, then routine dental checkups with your dentist are. Periodontitis can be prevented if early gum problems like gingivitis are detected and treated early enough. Yet, most dental treatments only fall under dental insurance benefits, not medical. Periodontitis is a more advanced stage of gum disease in which the infection spreads beyond the gum line and irreversibly destroys the bone tissue that supports the teeth. The best dental insurance companies are anthem and guardian, according to our analysis of large dental insurers. Fortunately, dental insurance helps cover an array of treatments, including various procedures that can prevent and fix periodontal disease. However, there are always exceptions! The specific periodontal treatments recommended by your dentist or periodontist will also impact insurance coverage.
from huntingdonvalleydentalarts.com
Some procedures, such as scaling and. The specific periodontal treatments recommended by your dentist or periodontist will also impact insurance coverage. The best dental insurance companies are anthem and guardian, according to our analysis of large dental insurers. Anthem’s essential choice ppo platinum plan received five out of. Yet, most dental treatments only fall under dental insurance benefits, not medical. Fortunately, dental insurance helps cover an array of treatments, including various procedures that can prevent and fix periodontal disease. Periodontitis is a more advanced stage of gum disease in which the infection spreads beyond the gum line and irreversibly destroys the bone tissue that supports the teeth. But if you have periodontitis, then routine dental checkups with your dentist are. However, there are always exceptions! Periodontitis can be prevented if early gum problems like gingivitis are detected and treated early enough.
The Causes of Periodontal Disease Huntingdon Valley Dental Arts
Dental Insurance Coverage For Periodontal Disease Some procedures, such as scaling and. Yet, most dental treatments only fall under dental insurance benefits, not medical. But if you have periodontitis, then routine dental checkups with your dentist are. However, there are always exceptions! Anthem’s essential choice ppo platinum plan received five out of. Periodontitis can be prevented if early gum problems like gingivitis are detected and treated early enough. The specific periodontal treatments recommended by your dentist or periodontist will also impact insurance coverage. Periodontitis is a more advanced stage of gum disease in which the infection spreads beyond the gum line and irreversibly destroys the bone tissue that supports the teeth. Some procedures, such as scaling and. Fortunately, dental insurance helps cover an array of treatments, including various procedures that can prevent and fix periodontal disease. The best dental insurance companies are anthem and guardian, according to our analysis of large dental insurers.
From www.uptownguelphdental.com
Gallery Root Coverage Recession Uptown Guelph Dental Dental Insurance Coverage For Periodontal Disease The best dental insurance companies are anthem and guardian, according to our analysis of large dental insurers. Anthem’s essential choice ppo platinum plan received five out of. Fortunately, dental insurance helps cover an array of treatments, including various procedures that can prevent and fix periodontal disease. Some procedures, such as scaling and. Periodontitis is a more advanced stage of gum. Dental Insurance Coverage For Periodontal Disease.
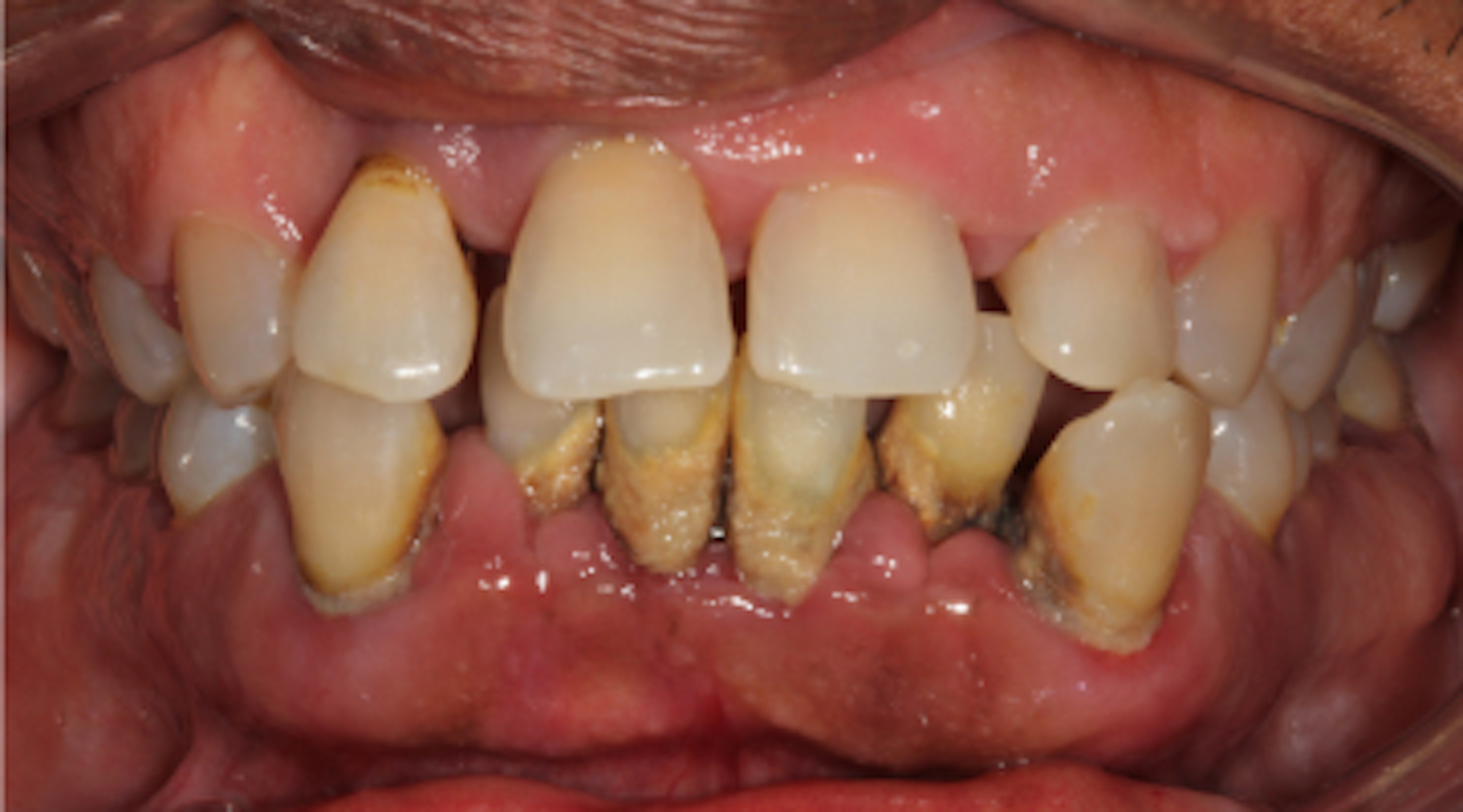
From brittenperio.com
What you Need to Know About Periodontal Flap Surgery Britten Perio Dental Insurance Coverage For Periodontal Disease But if you have periodontitis, then routine dental checkups with your dentist are. The best dental insurance companies are anthem and guardian, according to our analysis of large dental insurers. Periodontitis can be prevented if early gum problems like gingivitis are detected and treated early enough. Some procedures, such as scaling and. Fortunately, dental insurance helps cover an array of. Dental Insurance Coverage For Periodontal Disease.
From www.uptownguelphdental.com
Gallery Root Coverage Recession Uptown Guelph Dental Dental Insurance Coverage For Periodontal Disease Periodontitis is a more advanced stage of gum disease in which the infection spreads beyond the gum line and irreversibly destroys the bone tissue that supports the teeth. Yet, most dental treatments only fall under dental insurance benefits, not medical. Some procedures, such as scaling and. But if you have periodontitis, then routine dental checkups with your dentist are. The. Dental Insurance Coverage For Periodontal Disease.
From insurancecovermentalhealth.blogspot.com
Does Health Insurance Cover Gum Graft insurance cover mental health Dental Insurance Coverage For Periodontal Disease The best dental insurance companies are anthem and guardian, according to our analysis of large dental insurers. However, there are always exceptions! Periodontitis can be prevented if early gum problems like gingivitis are detected and treated early enough. But if you have periodontitis, then routine dental checkups with your dentist are. Yet, most dental treatments only fall under dental insurance. Dental Insurance Coverage For Periodontal Disease.
From www.researchgate.net
(PDF) The dental use for periodontal diseases under the national health Dental Insurance Coverage For Periodontal Disease The best dental insurance companies are anthem and guardian, according to our analysis of large dental insurers. Some procedures, such as scaling and. The specific periodontal treatments recommended by your dentist or periodontist will also impact insurance coverage. Yet, most dental treatments only fall under dental insurance benefits, not medical. Fortunately, dental insurance helps cover an array of treatments, including. Dental Insurance Coverage For Periodontal Disease.
From insurancecovermentalhealth.blogspot.com
What Insurance Cover Gum Grafts insurance cover mental health Dental Insurance Coverage For Periodontal Disease Periodontitis can be prevented if early gum problems like gingivitis are detected and treated early enough. Some procedures, such as scaling and. Fortunately, dental insurance helps cover an array of treatments, including various procedures that can prevent and fix periodontal disease. The best dental insurance companies are anthem and guardian, according to our analysis of large dental insurers. However, there. Dental Insurance Coverage For Periodontal Disease.
From www.lihpao.com
Does Medicare Cover Periodontal Disease? A Comprehensive Guide The Dental Insurance Coverage For Periodontal Disease But if you have periodontitis, then routine dental checkups with your dentist are. The best dental insurance companies are anthem and guardian, according to our analysis of large dental insurers. Periodontitis is a more advanced stage of gum disease in which the infection spreads beyond the gum line and irreversibly destroys the bone tissue that supports the teeth. Yet, most. Dental Insurance Coverage For Periodontal Disease.
From www.momentumplans.com
Periodontal Services Coverage Dental Insurance Plans Wisconsin Dental Insurance Coverage For Periodontal Disease However, there are always exceptions! Fortunately, dental insurance helps cover an array of treatments, including various procedures that can prevent and fix periodontal disease. Periodontitis is a more advanced stage of gum disease in which the infection spreads beyond the gum line and irreversibly destroys the bone tissue that supports the teeth. Periodontitis can be prevented if early gum problems. Dental Insurance Coverage For Periodontal Disease.
From www.lihpao.com
Does Medicare Cover Periodontal Disease? A Comprehensive Guide The Dental Insurance Coverage For Periodontal Disease Anthem’s essential choice ppo platinum plan received five out of. Periodontitis can be prevented if early gum problems like gingivitis are detected and treated early enough. Fortunately, dental insurance helps cover an array of treatments, including various procedures that can prevent and fix periodontal disease. Periodontitis is a more advanced stage of gum disease in which the infection spreads beyond. Dental Insurance Coverage For Periodontal Disease.
From cosmoins.com
How to Understand Dental Coverage Best NJ Insurance Dental Insurance Coverage For Periodontal Disease Anthem’s essential choice ppo platinum plan received five out of. The specific periodontal treatments recommended by your dentist or periodontist will also impact insurance coverage. Some procedures, such as scaling and. Yet, most dental treatments only fall under dental insurance benefits, not medical. But if you have periodontitis, then routine dental checkups with your dentist are. The best dental insurance. Dental Insurance Coverage For Periodontal Disease.
From www.drsimonrosenberg.com
The Stages Of Periodontal Disease Upper East Side New York, NY The Dental Insurance Coverage For Periodontal Disease Yet, most dental treatments only fall under dental insurance benefits, not medical. Fortunately, dental insurance helps cover an array of treatments, including various procedures that can prevent and fix periodontal disease. Anthem’s essential choice ppo platinum plan received five out of. Periodontitis is a more advanced stage of gum disease in which the infection spreads beyond the gum line and. Dental Insurance Coverage For Periodontal Disease.
From www.pinterest.dk
Many patients lose teeth due to a variety of reasons. Oftentimes, these Dental Insurance Coverage For Periodontal Disease Periodontitis is a more advanced stage of gum disease in which the infection spreads beyond the gum line and irreversibly destroys the bone tissue that supports the teeth. The specific periodontal treatments recommended by your dentist or periodontist will also impact insurance coverage. Periodontitis can be prevented if early gum problems like gingivitis are detected and treated early enough. Some. Dental Insurance Coverage For Periodontal Disease.
From www.interdent.com
Dental Insurance 101 Understanding the Basics Dental Insurance Coverage For Periodontal Disease Periodontitis is a more advanced stage of gum disease in which the infection spreads beyond the gum line and irreversibly destroys the bone tissue that supports the teeth. But if you have periodontitis, then routine dental checkups with your dentist are. Periodontitis can be prevented if early gum problems like gingivitis are detected and treated early enough. The best dental. Dental Insurance Coverage For Periodontal Disease.
From figtreefamilydental.com.au
Gum Disease Treatment Wollongong Figtree Family Dental Dental Insurance Coverage For Periodontal Disease Fortunately, dental insurance helps cover an array of treatments, including various procedures that can prevent and fix periodontal disease. Anthem’s essential choice ppo platinum plan received five out of. Yet, most dental treatments only fall under dental insurance benefits, not medical. The best dental insurance companies are anthem and guardian, according to our analysis of large dental insurers. However, there. Dental Insurance Coverage For Periodontal Disease.
From mavink.com
Periodontal Classification Chart Dental Insurance Coverage For Periodontal Disease The best dental insurance companies are anthem and guardian, according to our analysis of large dental insurers. Yet, most dental treatments only fall under dental insurance benefits, not medical. But if you have periodontitis, then routine dental checkups with your dentist are. Periodontitis is a more advanced stage of gum disease in which the infection spreads beyond the gum line. Dental Insurance Coverage For Periodontal Disease.
From www.tffn.net
Does Medicare Cover Periodontal Disease? A Comprehensive Guide The Dental Insurance Coverage For Periodontal Disease But if you have periodontitis, then routine dental checkups with your dentist are. Anthem’s essential choice ppo platinum plan received five out of. Periodontitis is a more advanced stage of gum disease in which the infection spreads beyond the gum line and irreversibly destroys the bone tissue that supports the teeth. Fortunately, dental insurance helps cover an array of treatments,. Dental Insurance Coverage For Periodontal Disease.
From www.caseyhein.com
Animated MiniMessages to Educate Patients about PeriodontalSystemic Dental Insurance Coverage For Periodontal Disease Periodontitis is a more advanced stage of gum disease in which the infection spreads beyond the gum line and irreversibly destroys the bone tissue that supports the teeth. However, there are always exceptions! Some procedures, such as scaling and. Yet, most dental treatments only fall under dental insurance benefits, not medical. Fortunately, dental insurance helps cover an array of treatments,. Dental Insurance Coverage For Periodontal Disease.
From www.dentgap.com
Full Coverage Dental Insurance details and explanation Dental Insurance Coverage For Periodontal Disease Anthem’s essential choice ppo platinum plan received five out of. Fortunately, dental insurance helps cover an array of treatments, including various procedures that can prevent and fix periodontal disease. Periodontitis can be prevented if early gum problems like gingivitis are detected and treated early enough. Some procedures, such as scaling and. The best dental insurance companies are anthem and guardian,. Dental Insurance Coverage For Periodontal Disease.
From seniorschoiceinsurance.com
Dental Seniors Choice Insurance Dental Insurance Coverage For Periodontal Disease Some procedures, such as scaling and. Fortunately, dental insurance helps cover an array of treatments, including various procedures that can prevent and fix periodontal disease. Periodontitis is a more advanced stage of gum disease in which the infection spreads beyond the gum line and irreversibly destroys the bone tissue that supports the teeth. The specific periodontal treatments recommended by your. Dental Insurance Coverage For Periodontal Disease.
From insureguardian.com
Periodontal Disease Does Medical Insurance Cover? Dental Insurance Coverage For Periodontal Disease Yet, most dental treatments only fall under dental insurance benefits, not medical. Some procedures, such as scaling and. The best dental insurance companies are anthem and guardian, according to our analysis of large dental insurers. Anthem’s essential choice ppo platinum plan received five out of. However, there are always exceptions! Periodontitis can be prevented if early gum problems like gingivitis. Dental Insurance Coverage For Periodontal Disease.
From www.tffn.net
Does Medicare Cover Periodontal Disease? A Comprehensive Guide The Dental Insurance Coverage For Periodontal Disease But if you have periodontitis, then routine dental checkups with your dentist are. Some procedures, such as scaling and. Periodontitis can be prevented if early gum problems like gingivitis are detected and treated early enough. Anthem’s essential choice ppo platinum plan received five out of. The best dental insurance companies are anthem and guardian, according to our analysis of large. Dental Insurance Coverage For Periodontal Disease.
From bryoso.com
Which Dental Insurance Covers Periodontal Disease test Dental Insurance Coverage For Periodontal Disease The specific periodontal treatments recommended by your dentist or periodontist will also impact insurance coverage. Periodontitis is a more advanced stage of gum disease in which the infection spreads beyond the gum line and irreversibly destroys the bone tissue that supports the teeth. Fortunately, dental insurance helps cover an array of treatments, including various procedures that can prevent and fix. Dental Insurance Coverage For Periodontal Disease.
From www.linkedin.com
Investigating Common Dental Problems and How to Prevent Them Dental Insurance Coverage For Periodontal Disease Yet, most dental treatments only fall under dental insurance benefits, not medical. Periodontitis is a more advanced stage of gum disease in which the infection spreads beyond the gum line and irreversibly destroys the bone tissue that supports the teeth. Anthem’s essential choice ppo platinum plan received five out of. The best dental insurance companies are anthem and guardian, according. Dental Insurance Coverage For Periodontal Disease.
From www.suttonpda.com
Gum graft and gum disease surgery Midtown East NYC Dental Insurance Coverage For Periodontal Disease The specific periodontal treatments recommended by your dentist or periodontist will also impact insurance coverage. Yet, most dental treatments only fall under dental insurance benefits, not medical. But if you have periodontitis, then routine dental checkups with your dentist are. The best dental insurance companies are anthem and guardian, according to our analysis of large dental insurers. Anthem’s essential choice. Dental Insurance Coverage For Periodontal Disease.
From www.drwilliammckenzie.com
The Five Stages of Gum Disease — The McKenzie Center Implants Dental Insurance Coverage For Periodontal Disease But if you have periodontitis, then routine dental checkups with your dentist are. Anthem’s essential choice ppo platinum plan received five out of. Fortunately, dental insurance helps cover an array of treatments, including various procedures that can prevent and fix periodontal disease. The specific periodontal treatments recommended by your dentist or periodontist will also impact insurance coverage. Some procedures, such. Dental Insurance Coverage For Periodontal Disease.
From exoallxes.blob.core.windows.net
Dry Mouth Gums Hurt at Angela Allen blog Dental Insurance Coverage For Periodontal Disease The specific periodontal treatments recommended by your dentist or periodontist will also impact insurance coverage. Periodontitis is a more advanced stage of gum disease in which the infection spreads beyond the gum line and irreversibly destroys the bone tissue that supports the teeth. The best dental insurance companies are anthem and guardian, according to our analysis of large dental insurers.. Dental Insurance Coverage For Periodontal Disease.
From huntingdonvalleydentalarts.com
The Causes of Periodontal Disease Huntingdon Valley Dental Arts Dental Insurance Coverage For Periodontal Disease Anthem’s essential choice ppo platinum plan received five out of. However, there are always exceptions! Periodontitis is a more advanced stage of gum disease in which the infection spreads beyond the gum line and irreversibly destroys the bone tissue that supports the teeth. The best dental insurance companies are anthem and guardian, according to our analysis of large dental insurers.. Dental Insurance Coverage For Periodontal Disease.
From www.perioimplantadvisory.com
The new classification of periodontal disease that you, your patient Dental Insurance Coverage For Periodontal Disease The best dental insurance companies are anthem and guardian, according to our analysis of large dental insurers. Periodontitis can be prevented if early gum problems like gingivitis are detected and treated early enough. Yet, most dental treatments only fall under dental insurance benefits, not medical. Anthem’s essential choice ppo platinum plan received five out of. The specific periodontal treatments recommended. Dental Insurance Coverage For Periodontal Disease.
From www.deltadental.com
Medicare dental insurance coverage Delta Dental Dental Insurance Coverage For Periodontal Disease Periodontitis can be prevented if early gum problems like gingivitis are detected and treated early enough. Anthem’s essential choice ppo platinum plan received five out of. Periodontitis is a more advanced stage of gum disease in which the infection spreads beyond the gum line and irreversibly destroys the bone tissue that supports the teeth. But if you have periodontitis, then. Dental Insurance Coverage For Periodontal Disease.
From www.youtube.com
Treatment of periodontal disease Scaling and root planing Tartar Dental Insurance Coverage For Periodontal Disease Anthem’s essential choice ppo platinum plan received five out of. But if you have periodontitis, then routine dental checkups with your dentist are. Periodontitis can be prevented if early gum problems like gingivitis are detected and treated early enough. Periodontitis is a more advanced stage of gum disease in which the infection spreads beyond the gum line and irreversibly destroys. Dental Insurance Coverage For Periodontal Disease.
From dentalogrono.blogspot.com
Clínica Dental Hnos. Domínguez Aramendi La enfermedad periodontal Dental Insurance Coverage For Periodontal Disease However, there are always exceptions! Yet, most dental treatments only fall under dental insurance benefits, not medical. But if you have periodontitis, then routine dental checkups with your dentist are. Periodontitis is a more advanced stage of gum disease in which the infection spreads beyond the gum line and irreversibly destroys the bone tissue that supports the teeth. The specific. Dental Insurance Coverage For Periodontal Disease.
From www.pinterest.com
Root coverage periodontal surgery Periodontitis, Dental problems Dental Insurance Coverage For Periodontal Disease The specific periodontal treatments recommended by your dentist or periodontist will also impact insurance coverage. Some procedures, such as scaling and. Periodontitis is a more advanced stage of gum disease in which the infection spreads beyond the gum line and irreversibly destroys the bone tissue that supports the teeth. But if you have periodontitis, then routine dental checkups with your. Dental Insurance Coverage For Periodontal Disease.
From exydllfwq.blob.core.windows.net
Dental Bone Graft For Gum Disease at Joshua Green blog Dental Insurance Coverage For Periodontal Disease The specific periodontal treatments recommended by your dentist or periodontist will also impact insurance coverage. The best dental insurance companies are anthem and guardian, according to our analysis of large dental insurers. But if you have periodontitis, then routine dental checkups with your dentist are. However, there are always exceptions! Some procedures, such as scaling and. Yet, most dental treatments. Dental Insurance Coverage For Periodontal Disease.
From hub.jhu.edu
New for 2019 Delta Dental plan options Hub Dental Insurance Coverage For Periodontal Disease Periodontitis is a more advanced stage of gum disease in which the infection spreads beyond the gum line and irreversibly destroys the bone tissue that supports the teeth. Anthem’s essential choice ppo platinum plan received five out of. But if you have periodontitis, then routine dental checkups with your dentist are. Periodontitis can be prevented if early gum problems like. Dental Insurance Coverage For Periodontal Disease.
From www.gumsurgery.com
Gum Grafting in NYC Gingival Grafting NJ Advanced Periodontics Dental Insurance Coverage For Periodontal Disease Periodontitis is a more advanced stage of gum disease in which the infection spreads beyond the gum line and irreversibly destroys the bone tissue that supports the teeth. Periodontitis can be prevented if early gum problems like gingivitis are detected and treated early enough. Yet, most dental treatments only fall under dental insurance benefits, not medical. However, there are always. Dental Insurance Coverage For Periodontal Disease.