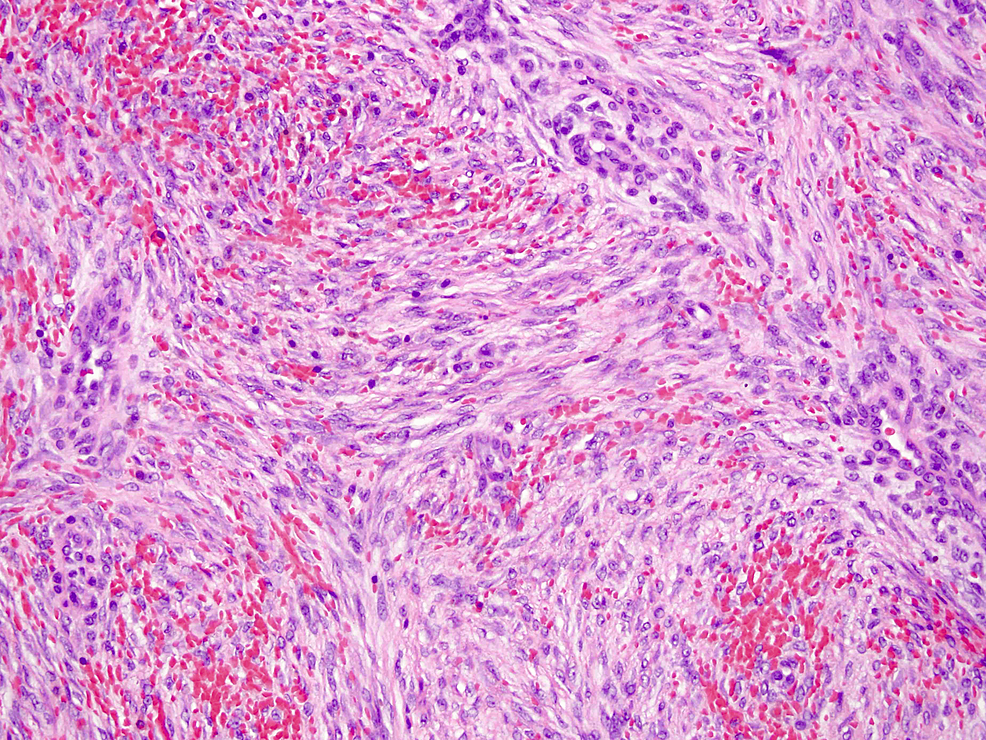
Spindle Cells Desmoid . Desmoid fibromatosis (df) is a locally aggressive, deep seated connective tissue malignancy developing in musculoaponeurotic tissues. Using a microscope, a pathologist can look for characteristics of desmoid tumor cells, which include moderately cellular,. Spindle cell rhabdomyosarcoma is an uncommon variant of rhabdomyosarcoma that tends to preferentially affect male patients in. Histologically, desmoid tumor is characterized by the proliferation of uniform. Microscopically, they consist of poorly defined fascicles of uniform spindle cells and fibroblasts in dense collagen stroma. When viewed under the microscope, the tumour is made up of long thin spindle cells that look like the cells found in normal.
from www.researchgate.net
Desmoid fibromatosis (df) is a locally aggressive, deep seated connective tissue malignancy developing in musculoaponeurotic tissues. When viewed under the microscope, the tumour is made up of long thin spindle cells that look like the cells found in normal. Using a microscope, a pathologist can look for characteristics of desmoid tumor cells, which include moderately cellular,. Histologically, desmoid tumor is characterized by the proliferation of uniform. Spindle cell rhabdomyosarcoma is an uncommon variant of rhabdomyosarcoma that tends to preferentially affect male patients in. Microscopically, they consist of poorly defined fascicles of uniform spindle cells and fibroblasts in dense collagen stroma.
Desmoidtype Fibromatosis. (A) Fibrous proliferation with infiltrative... Download Scientific
Spindle Cells Desmoid Using a microscope, a pathologist can look for characteristics of desmoid tumor cells, which include moderately cellular,. Using a microscope, a pathologist can look for characteristics of desmoid tumor cells, which include moderately cellular,. Spindle cell rhabdomyosarcoma is an uncommon variant of rhabdomyosarcoma that tends to preferentially affect male patients in. When viewed under the microscope, the tumour is made up of long thin spindle cells that look like the cells found in normal. Desmoid fibromatosis (df) is a locally aggressive, deep seated connective tissue malignancy developing in musculoaponeurotic tissues. Microscopically, they consist of poorly defined fascicles of uniform spindle cells and fibroblasts in dense collagen stroma. Histologically, desmoid tumor is characterized by the proliferation of uniform.
From www.researchgate.net
Desmoid tumor. Spindle cells of desmoid tumor, with bland appearance... Download Scientific Spindle Cells Desmoid When viewed under the microscope, the tumour is made up of long thin spindle cells that look like the cells found in normal. Microscopically, they consist of poorly defined fascicles of uniform spindle cells and fibroblasts in dense collagen stroma. Histologically, desmoid tumor is characterized by the proliferation of uniform. Using a microscope, a pathologist can look for characteristics of. Spindle Cells Desmoid.
From www.pathologyoutlines.com
Pathology Outlines Fibromatosisdesmoid Spindle Cells Desmoid Microscopically, they consist of poorly defined fascicles of uniform spindle cells and fibroblasts in dense collagen stroma. Spindle cell rhabdomyosarcoma is an uncommon variant of rhabdomyosarcoma that tends to preferentially affect male patients in. Desmoid fibromatosis (df) is a locally aggressive, deep seated connective tissue malignancy developing in musculoaponeurotic tissues. When viewed under the microscope, the tumour is made up. Spindle Cells Desmoid.
From www.pathologyoutlines.com
Pathology Outlines Fibromatosisdesmoid Spindle Cells Desmoid When viewed under the microscope, the tumour is made up of long thin spindle cells that look like the cells found in normal. Spindle cell rhabdomyosarcoma is an uncommon variant of rhabdomyosarcoma that tends to preferentially affect male patients in. Using a microscope, a pathologist can look for characteristics of desmoid tumor cells, which include moderately cellular,. Histologically, desmoid tumor. Spindle Cells Desmoid.
From www.pathologyoutlines.com
Pathology Outlines Fibromatosisdesmoid Spindle Cells Desmoid Desmoid fibromatosis (df) is a locally aggressive, deep seated connective tissue malignancy developing in musculoaponeurotic tissues. Histologically, desmoid tumor is characterized by the proliferation of uniform. Spindle cell rhabdomyosarcoma is an uncommon variant of rhabdomyosarcoma that tends to preferentially affect male patients in. When viewed under the microscope, the tumour is made up of long thin spindle cells that look. Spindle Cells Desmoid.
From www.primescholars.com
Isolated Desmoid Tumor of Pancreatic Tail with Cyst Formation Dia Spindle Cells Desmoid Spindle cell rhabdomyosarcoma is an uncommon variant of rhabdomyosarcoma that tends to preferentially affect male patients in. Microscopically, they consist of poorly defined fascicles of uniform spindle cells and fibroblasts in dense collagen stroma. When viewed under the microscope, the tumour is made up of long thin spindle cells that look like the cells found in normal. Histologically, desmoid tumor. Spindle Cells Desmoid.
From www.researchgate.net
Desmoid tumor spindle cells invading skeletal muscle. Download Scientific Diagram Spindle Cells Desmoid Histologically, desmoid tumor is characterized by the proliferation of uniform. When viewed under the microscope, the tumour is made up of long thin spindle cells that look like the cells found in normal. Desmoid fibromatosis (df) is a locally aggressive, deep seated connective tissue malignancy developing in musculoaponeurotic tissues. Spindle cell rhabdomyosarcoma is an uncommon variant of rhabdomyosarcoma that tends. Spindle Cells Desmoid.
From www.cureus.com
Desmoid Tumor of the Rectus Abdominis Muscle A Case Report Cureus Spindle Cells Desmoid When viewed under the microscope, the tumour is made up of long thin spindle cells that look like the cells found in normal. Using a microscope, a pathologist can look for characteristics of desmoid tumor cells, which include moderately cellular,. Spindle cell rhabdomyosarcoma is an uncommon variant of rhabdomyosarcoma that tends to preferentially affect male patients in. Microscopically, they consist. Spindle Cells Desmoid.
From www.researchgate.net
Microphotograph showing a spindle cell lesion; cells being arranged in... Download Scientific Spindle Cells Desmoid Histologically, desmoid tumor is characterized by the proliferation of uniform. Spindle cell rhabdomyosarcoma is an uncommon variant of rhabdomyosarcoma that tends to preferentially affect male patients in. Microscopically, they consist of poorly defined fascicles of uniform spindle cells and fibroblasts in dense collagen stroma. Using a microscope, a pathologist can look for characteristics of desmoid tumor cells, which include moderately. Spindle Cells Desmoid.
From www.researchgate.net
A, Case 1. Proliferating spindle cells are arranged in interlacing... Download Scientific Diagram Spindle Cells Desmoid Microscopically, they consist of poorly defined fascicles of uniform spindle cells and fibroblasts in dense collagen stroma. Desmoid fibromatosis (df) is a locally aggressive, deep seated connective tissue malignancy developing in musculoaponeurotic tissues. Using a microscope, a pathologist can look for characteristics of desmoid tumor cells, which include moderately cellular,. Histologically, desmoid tumor is characterized by the proliferation of uniform.. Spindle Cells Desmoid.
From www.primescholars.com
Isolated Desmoid Tumor of Pancreatic Tail with Cyst Formation Dia Spindle Cells Desmoid Using a microscope, a pathologist can look for characteristics of desmoid tumor cells, which include moderately cellular,. Microscopically, they consist of poorly defined fascicles of uniform spindle cells and fibroblasts in dense collagen stroma. When viewed under the microscope, the tumour is made up of long thin spindle cells that look like the cells found in normal. Histologically, desmoid tumor. Spindle Cells Desmoid.
From www.researchgate.net
a Histopathology showing proliferation of spindleshaped cells... Download Scientific Diagram Spindle Cells Desmoid When viewed under the microscope, the tumour is made up of long thin spindle cells that look like the cells found in normal. Microscopically, they consist of poorly defined fascicles of uniform spindle cells and fibroblasts in dense collagen stroma. Histologically, desmoid tumor is characterized by the proliferation of uniform. Desmoid fibromatosis (df) is a locally aggressive, deep seated connective. Spindle Cells Desmoid.
From www.researchgate.net
Betacatenin nuclear positivity in spindle cells of desmoid tissue Download Scientific Diagram Spindle Cells Desmoid Desmoid fibromatosis (df) is a locally aggressive, deep seated connective tissue malignancy developing in musculoaponeurotic tissues. Microscopically, they consist of poorly defined fascicles of uniform spindle cells and fibroblasts in dense collagen stroma. Histologically, desmoid tumor is characterized by the proliferation of uniform. Using a microscope, a pathologist can look for characteristics of desmoid tumor cells, which include moderately cellular,.. Spindle Cells Desmoid.
From www.researchgate.net
Pathological images of Case 2. Spindle cells with round to oval nuclei... Download Scientific Spindle Cells Desmoid Using a microscope, a pathologist can look for characteristics of desmoid tumor cells, which include moderately cellular,. When viewed under the microscope, the tumour is made up of long thin spindle cells that look like the cells found in normal. Histologically, desmoid tumor is characterized by the proliferation of uniform. Spindle cell rhabdomyosarcoma is an uncommon variant of rhabdomyosarcoma that. Spindle Cells Desmoid.
From www.researchgate.net
Desmoid tumor. Spindle cells of desmoid tumor, with bland appearance... Download Scientific Spindle Cells Desmoid Spindle cell rhabdomyosarcoma is an uncommon variant of rhabdomyosarcoma that tends to preferentially affect male patients in. When viewed under the microscope, the tumour is made up of long thin spindle cells that look like the cells found in normal. Histologically, desmoid tumor is characterized by the proliferation of uniform. Microscopically, they consist of poorly defined fascicles of uniform spindle. Spindle Cells Desmoid.
From www.pathologyoutlines.com
Pathology Outlines Fibromatosisdesmoid Spindle Cells Desmoid Histologically, desmoid tumor is characterized by the proliferation of uniform. Desmoid fibromatosis (df) is a locally aggressive, deep seated connective tissue malignancy developing in musculoaponeurotic tissues. Microscopically, they consist of poorly defined fascicles of uniform spindle cells and fibroblasts in dense collagen stroma. Spindle cell rhabdomyosarcoma is an uncommon variant of rhabdomyosarcoma that tends to preferentially affect male patients in.. Spindle Cells Desmoid.
From jcp.bmj.com
Rare and unusual spindle cell tumour Journal of Clinical Pathology Spindle Cells Desmoid Using a microscope, a pathologist can look for characteristics of desmoid tumor cells, which include moderately cellular,. Histologically, desmoid tumor is characterized by the proliferation of uniform. Desmoid fibromatosis (df) is a locally aggressive, deep seated connective tissue malignancy developing in musculoaponeurotic tissues. When viewed under the microscope, the tumour is made up of long thin spindle cells that look. Spindle Cells Desmoid.
From www.researchgate.net
Representative photomicrographs in pathologic diagnosis. (A) The... Download Scientific Diagram Spindle Cells Desmoid When viewed under the microscope, the tumour is made up of long thin spindle cells that look like the cells found in normal. Spindle cell rhabdomyosarcoma is an uncommon variant of rhabdomyosarcoma that tends to preferentially affect male patients in. Desmoid fibromatosis (df) is a locally aggressive, deep seated connective tissue malignancy developing in musculoaponeurotic tissues. Histologically, desmoid tumor is. Spindle Cells Desmoid.
From www.researchgate.net
Interlaced fascicles of spindleshaped cells with elongated... Download Scientific Diagram Spindle Cells Desmoid Using a microscope, a pathologist can look for characteristics of desmoid tumor cells, which include moderately cellular,. Spindle cell rhabdomyosarcoma is an uncommon variant of rhabdomyosarcoma that tends to preferentially affect male patients in. When viewed under the microscope, the tumour is made up of long thin spindle cells that look like the cells found in normal. Histologically, desmoid tumor. Spindle Cells Desmoid.
From www.researchgate.net
Spindle cells show cytoplasmic reactivity for musclespecific actin;... Download Scientific Spindle Cells Desmoid When viewed under the microscope, the tumour is made up of long thin spindle cells that look like the cells found in normal. Using a microscope, a pathologist can look for characteristics of desmoid tumor cells, which include moderately cellular,. Spindle cell rhabdomyosarcoma is an uncommon variant of rhabdomyosarcoma that tends to preferentially affect male patients in. Histologically, desmoid tumor. Spindle Cells Desmoid.
From www.researchgate.net
Closely packed spindle cells, in short fascicles surrounding a... Download Scientific Diagram Spindle Cells Desmoid Spindle cell rhabdomyosarcoma is an uncommon variant of rhabdomyosarcoma that tends to preferentially affect male patients in. Using a microscope, a pathologist can look for characteristics of desmoid tumor cells, which include moderately cellular,. Histologically, desmoid tumor is characterized by the proliferation of uniform. When viewed under the microscope, the tumour is made up of long thin spindle cells that. Spindle Cells Desmoid.
From www.researchgate.net
Pathology of the three desmoid tumors resected a Spindle cell... Download Scientific Diagram Spindle Cells Desmoid Spindle cell rhabdomyosarcoma is an uncommon variant of rhabdomyosarcoma that tends to preferentially affect male patients in. When viewed under the microscope, the tumour is made up of long thin spindle cells that look like the cells found in normal. Microscopically, they consist of poorly defined fascicles of uniform spindle cells and fibroblasts in dense collagen stroma. Desmoid fibromatosis (df). Spindle Cells Desmoid.
From www.researchgate.net
Resected desmoid tumor. (a) A gross appearance of the tumor (white... Download Scientific Diagram Spindle Cells Desmoid Desmoid fibromatosis (df) is a locally aggressive, deep seated connective tissue malignancy developing in musculoaponeurotic tissues. Using a microscope, a pathologist can look for characteristics of desmoid tumor cells, which include moderately cellular,. Histologically, desmoid tumor is characterized by the proliferation of uniform. Spindle cell rhabdomyosarcoma is an uncommon variant of rhabdomyosarcoma that tends to preferentially affect male patients in.. Spindle Cells Desmoid.
From www.pathologyoutlines.com
Pathology Outlines Fibromatosisdesmoid Spindle Cells Desmoid Histologically, desmoid tumor is characterized by the proliferation of uniform. Spindle cell rhabdomyosarcoma is an uncommon variant of rhabdomyosarcoma that tends to preferentially affect male patients in. Using a microscope, a pathologist can look for characteristics of desmoid tumor cells, which include moderately cellular,. Desmoid fibromatosis (df) is a locally aggressive, deep seated connective tissue malignancy developing in musculoaponeurotic tissues.. Spindle Cells Desmoid.
From www.researchgate.net
This pathologic picture showed the desmoid tumor consisting of spindle... Download Scientific Spindle Cells Desmoid Desmoid fibromatosis (df) is a locally aggressive, deep seated connective tissue malignancy developing in musculoaponeurotic tissues. Spindle cell rhabdomyosarcoma is an uncommon variant of rhabdomyosarcoma that tends to preferentially affect male patients in. Microscopically, they consist of poorly defined fascicles of uniform spindle cells and fibroblasts in dense collagen stroma. Histologically, desmoid tumor is characterized by the proliferation of uniform.. Spindle Cells Desmoid.
From www.researchgate.net
The spindle cells with bluntended nuclei and prominent nucleoli (×40... Download Scientific Spindle Cells Desmoid Spindle cell rhabdomyosarcoma is an uncommon variant of rhabdomyosarcoma that tends to preferentially affect male patients in. Microscopically, they consist of poorly defined fascicles of uniform spindle cells and fibroblasts in dense collagen stroma. Histologically, desmoid tumor is characterized by the proliferation of uniform. Desmoid fibromatosis (df) is a locally aggressive, deep seated connective tissue malignancy developing in musculoaponeurotic tissues.. Spindle Cells Desmoid.
From www.pathologyatlas.ca
Desmoid fibromatosis Ottawa Atlas of Pathology Spindle Cells Desmoid Histologically, desmoid tumor is characterized by the proliferation of uniform. Spindle cell rhabdomyosarcoma is an uncommon variant of rhabdomyosarcoma that tends to preferentially affect male patients in. Desmoid fibromatosis (df) is a locally aggressive, deep seated connective tissue malignancy developing in musculoaponeurotic tissues. Microscopically, they consist of poorly defined fascicles of uniform spindle cells and fibroblasts in dense collagen stroma.. Spindle Cells Desmoid.
From www.researchgate.net
Desmoid fibromatosis. This tumour is composed of long fascicles of... Download Scientific Diagram Spindle Cells Desmoid Histologically, desmoid tumor is characterized by the proliferation of uniform. Spindle cell rhabdomyosarcoma is an uncommon variant of rhabdomyosarcoma that tends to preferentially affect male patients in. Using a microscope, a pathologist can look for characteristics of desmoid tumor cells, which include moderately cellular,. Microscopically, they consist of poorly defined fascicles of uniform spindle cells and fibroblasts in dense collagen. Spindle Cells Desmoid.
From www.researchgate.net
EBVSMT Leiomyoma composed of spindle cells arranged in a fascicular... Download Scientific Spindle Cells Desmoid Desmoid fibromatosis (df) is a locally aggressive, deep seated connective tissue malignancy developing in musculoaponeurotic tissues. Microscopically, they consist of poorly defined fascicles of uniform spindle cells and fibroblasts in dense collagen stroma. Spindle cell rhabdomyosarcoma is an uncommon variant of rhabdomyosarcoma that tends to preferentially affect male patients in. When viewed under the microscope, the tumour is made up. Spindle Cells Desmoid.
From www.researchgate.net
Desmoid tumor of the maxilla (H and E). (a) (original magnification,... Download Scientific Spindle Cells Desmoid Desmoid fibromatosis (df) is a locally aggressive, deep seated connective tissue malignancy developing in musculoaponeurotic tissues. Histologically, desmoid tumor is characterized by the proliferation of uniform. When viewed under the microscope, the tumour is made up of long thin spindle cells that look like the cells found in normal. Using a microscope, a pathologist can look for characteristics of desmoid. Spindle Cells Desmoid.
From www.researchgate.net
(H&E, x400) Spindle cells (→) are shown more clear. Slightly mitotic... Download Scientific Spindle Cells Desmoid Spindle cell rhabdomyosarcoma is an uncommon variant of rhabdomyosarcoma that tends to preferentially affect male patients in. Using a microscope, a pathologist can look for characteristics of desmoid tumor cells, which include moderately cellular,. When viewed under the microscope, the tumour is made up of long thin spindle cells that look like the cells found in normal. Microscopically, they consist. Spindle Cells Desmoid.
From www.researchgate.net
Spindle cells (arrow) proliferation in gastric wall (hematoxylin and... Download Scientific Spindle Cells Desmoid Histologically, desmoid tumor is characterized by the proliferation of uniform. Using a microscope, a pathologist can look for characteristics of desmoid tumor cells, which include moderately cellular,. Microscopically, they consist of poorly defined fascicles of uniform spindle cells and fibroblasts in dense collagen stroma. Spindle cell rhabdomyosarcoma is an uncommon variant of rhabdomyosarcoma that tends to preferentially affect male patients. Spindle Cells Desmoid.
From www.pathologyoutlines.com
Pathology Outlines Fibromatosisdesmoid Spindle Cells Desmoid When viewed under the microscope, the tumour is made up of long thin spindle cells that look like the cells found in normal. Using a microscope, a pathologist can look for characteristics of desmoid tumor cells, which include moderately cellular,. Desmoid fibromatosis (df) is a locally aggressive, deep seated connective tissue malignancy developing in musculoaponeurotic tissues. Histologically, desmoid tumor is. Spindle Cells Desmoid.
From www.researchgate.net
Desmoidtype Fibromatosis. (A) Fibrous proliferation with infiltrative... Download Scientific Spindle Cells Desmoid Spindle cell rhabdomyosarcoma is an uncommon variant of rhabdomyosarcoma that tends to preferentially affect male patients in. Histologically, desmoid tumor is characterized by the proliferation of uniform. Microscopically, they consist of poorly defined fascicles of uniform spindle cells and fibroblasts in dense collagen stroma. Using a microscope, a pathologist can look for characteristics of desmoid tumor cells, which include moderately. Spindle Cells Desmoid.
From www.researchgate.net
Histological image showing spindleshaped cells with dull nuclei... Download Scientific Diagram Spindle Cells Desmoid Desmoid fibromatosis (df) is a locally aggressive, deep seated connective tissue malignancy developing in musculoaponeurotic tissues. When viewed under the microscope, the tumour is made up of long thin spindle cells that look like the cells found in normal. Histologically, desmoid tumor is characterized by the proliferation of uniform. Microscopically, they consist of poorly defined fascicles of uniform spindle cells. Spindle Cells Desmoid.
From www.researchgate.net
Electron micrograph shows spindle cells with long, slender cytoplasmic... Download Scientific Spindle Cells Desmoid Using a microscope, a pathologist can look for characteristics of desmoid tumor cells, which include moderately cellular,. Histologically, desmoid tumor is characterized by the proliferation of uniform. When viewed under the microscope, the tumour is made up of long thin spindle cells that look like the cells found in normal. Desmoid fibromatosis (df) is a locally aggressive, deep seated connective. Spindle Cells Desmoid.