Spindle Cell Tumor Cat . These tumors are the result of. Cells are best obtained through a biopsy. These are often of connective tissue, such as bones (osteosarcoma), ligaments, blood vessels, and muscle (tumors of the heart). Soft tissue sarcomas are one of the most commonly diagnosed tumours arising in the skin and subcutis of our domestic cats, and are. Soft tissue sarcomas are a broad category of tumors including those that arise from the connective, muscle, or nervous tissues in dogs and cats. The other category of cell type is spindle cells tumors. Diagnosis consists of finding a mass on the cat and confirming that the cells in the tumor are spindle cells. Spindle cell sarcomas are also known as soft tissue sarcomas (sts) and in general, this term acts as an umbrella for a variety of tumors. The biopsy of the growth determined it was spindle cell sarcoma and we were advised it might come back, and it did with a vengeance.
from journals.sagepub.com
These are often of connective tissue, such as bones (osteosarcoma), ligaments, blood vessels, and muscle (tumors of the heart). These tumors are the result of. The biopsy of the growth determined it was spindle cell sarcoma and we were advised it might come back, and it did with a vengeance. Cells are best obtained through a biopsy. Soft tissue sarcomas are one of the most commonly diagnosed tumours arising in the skin and subcutis of our domestic cats, and are. The other category of cell type is spindle cells tumors. Soft tissue sarcomas are a broad category of tumors including those that arise from the connective, muscle, or nervous tissues in dogs and cats. Diagnosis consists of finding a mass on the cat and confirming that the cells in the tumor are spindle cells. Spindle cell sarcomas are also known as soft tissue sarcomas (sts) and in general, this term acts as an umbrella for a variety of tumors.
Feline maxillary clinicopathologic features of spindle cell
Spindle Cell Tumor Cat Soft tissue sarcomas are a broad category of tumors including those that arise from the connective, muscle, or nervous tissues in dogs and cats. These are often of connective tissue, such as bones (osteosarcoma), ligaments, blood vessels, and muscle (tumors of the heart). Spindle cell sarcomas are also known as soft tissue sarcomas (sts) and in general, this term acts as an umbrella for a variety of tumors. Soft tissue sarcomas are one of the most commonly diagnosed tumours arising in the skin and subcutis of our domestic cats, and are. Soft tissue sarcomas are a broad category of tumors including those that arise from the connective, muscle, or nervous tissues in dogs and cats. Diagnosis consists of finding a mass on the cat and confirming that the cells in the tumor are spindle cells. The biopsy of the growth determined it was spindle cell sarcoma and we were advised it might come back, and it did with a vengeance. Cells are best obtained through a biopsy. The other category of cell type is spindle cells tumors. These tumors are the result of.
From journals.lww.com
FDG PET/CT in Metastatic Spindle Cell of Penile Orig Spindle Cell Tumor Cat Soft tissue sarcomas are one of the most commonly diagnosed tumours arising in the skin and subcutis of our domestic cats, and are. Diagnosis consists of finding a mass on the cat and confirming that the cells in the tumor are spindle cells. The other category of cell type is spindle cells tumors. Spindle cell sarcomas are also known as. Spindle Cell Tumor Cat.
From casereports.bmj.com
Longterm survival in a patient with pulmonary spindle cell carcinoma Spindle Cell Tumor Cat The biopsy of the growth determined it was spindle cell sarcoma and we were advised it might come back, and it did with a vengeance. Spindle cell sarcomas are also known as soft tissue sarcomas (sts) and in general, this term acts as an umbrella for a variety of tumors. These tumors are the result of. Soft tissue sarcomas are. Spindle Cell Tumor Cat.
From journals.sagepub.com
Feline maxillary clinicopathologic features of spindle cell Spindle Cell Tumor Cat Soft tissue sarcomas are a broad category of tumors including those that arise from the connective, muscle, or nervous tissues in dogs and cats. The biopsy of the growth determined it was spindle cell sarcoma and we were advised it might come back, and it did with a vengeance. These are often of connective tissue, such as bones (osteosarcoma), ligaments,. Spindle Cell Tumor Cat.
From www.cureus.com
Cureus Second Primary Spindle Cell Carcinoma of the Tongue A Rare Spindle Cell Tumor Cat The other category of cell type is spindle cells tumors. The biopsy of the growth determined it was spindle cell sarcoma and we were advised it might come back, and it did with a vengeance. These tumors are the result of. Soft tissue sarcomas are a broad category of tumors including those that arise from the connective, muscle, or nervous. Spindle Cell Tumor Cat.
From www.moffitt.org
Spindle Cell Moffitt Spindle Cell Tumor Cat The other category of cell type is spindle cells tumors. The biopsy of the growth determined it was spindle cell sarcoma and we were advised it might come back, and it did with a vengeance. Diagnosis consists of finding a mass on the cat and confirming that the cells in the tumor are spindle cells. Soft tissue sarcomas are one. Spindle Cell Tumor Cat.
From journals.sagepub.com
Cutaneous Spindle Cell Squamous Cell Carcinoma in Cats Clinical Spindle Cell Tumor Cat These are often of connective tissue, such as bones (osteosarcoma), ligaments, blood vessels, and muscle (tumors of the heart). These tumors are the result of. The biopsy of the growth determined it was spindle cell sarcoma and we were advised it might come back, and it did with a vengeance. Diagnosis consists of finding a mass on the cat and. Spindle Cell Tumor Cat.
From kikoxp.com
Spindle Cell Neoplasm Pathology 101 Undifferentiated pleomorphic Spindle Cell Tumor Cat These tumors are the result of. Cells are best obtained through a biopsy. Soft tissue sarcomas are a broad category of tumors including those that arise from the connective, muscle, or nervous tissues in dogs and cats. These are often of connective tissue, such as bones (osteosarcoma), ligaments, blood vessels, and muscle (tumors of the heart). The other category of. Spindle Cell Tumor Cat.
From journals.sagepub.com
Feline maxillary clinicopathologic features of spindle cell Spindle Cell Tumor Cat The biopsy of the growth determined it was spindle cell sarcoma and we were advised it might come back, and it did with a vengeance. Diagnosis consists of finding a mass on the cat and confirming that the cells in the tumor are spindle cells. These tumors are the result of. Spindle cell sarcomas are also known as soft tissue. Spindle Cell Tumor Cat.
From vetmed.illinois.edu
Cytology of Lumps and Bumps The Common Stuff Veterinary Medicine at Spindle Cell Tumor Cat Cells are best obtained through a biopsy. Soft tissue sarcomas are a broad category of tumors including those that arise from the connective, muscle, or nervous tissues in dogs and cats. Diagnosis consists of finding a mass on the cat and confirming that the cells in the tumor are spindle cells. Spindle cell sarcomas are also known as soft tissue. Spindle Cell Tumor Cat.
From www.researchgate.net
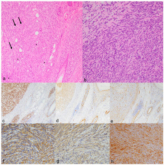
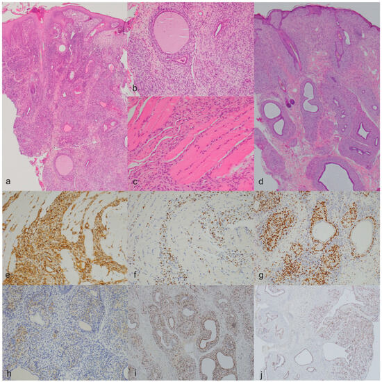
(PDF) Feline Facial Spindle Cell Tumors in 29 Cats Histomorphological Spindle Cell Tumor Cat Spindle cell sarcomas are also known as soft tissue sarcomas (sts) and in general, this term acts as an umbrella for a variety of tumors. The biopsy of the growth determined it was spindle cell sarcoma and we were advised it might come back, and it did with a vengeance. Cells are best obtained through a biopsy. Diagnosis consists of. Spindle Cell Tumor Cat.
From www.cureus.com
Cureus Pulmonary Spindle Cell Carcinoma A Rare Case Report Spindle Cell Tumor Cat Cells are best obtained through a biopsy. These tumors are the result of. These are often of connective tissue, such as bones (osteosarcoma), ligaments, blood vessels, and muscle (tumors of the heart). Soft tissue sarcomas are one of the most commonly diagnosed tumours arising in the skin and subcutis of our domestic cats, and are. Soft tissue sarcomas are a. Spindle Cell Tumor Cat.
From www.researchgate.net
Spindle cells seen on histology feature of a mesothelioma Spindle Cell Tumor Cat These are often of connective tissue, such as bones (osteosarcoma), ligaments, blood vessels, and muscle (tumors of the heart). Soft tissue sarcomas are one of the most commonly diagnosed tumours arising in the skin and subcutis of our domestic cats, and are. Spindle cell sarcomas are also known as soft tissue sarcomas (sts) and in general, this term acts as. Spindle Cell Tumor Cat.
From www.spandidos-publications.com
Unusual recurrent tongue spindle cell carcinoma with marked anaplasia Spindle Cell Tumor Cat Diagnosis consists of finding a mass on the cat and confirming that the cells in the tumor are spindle cells. Soft tissue sarcomas are a broad category of tumors including those that arise from the connective, muscle, or nervous tissues in dogs and cats. These are often of connective tissue, such as bones (osteosarcoma), ligaments, blood vessels, and muscle (tumors. Spindle Cell Tumor Cat.
From jcp.bmj.com
Rare and unusual spindle cell tumour Journal of Clinical Pathology Spindle Cell Tumor Cat The biopsy of the growth determined it was spindle cell sarcoma and we were advised it might come back, and it did with a vengeance. Cells are best obtained through a biopsy. Spindle cell sarcomas are also known as soft tissue sarcomas (sts) and in general, this term acts as an umbrella for a variety of tumors. Soft tissue sarcomas. Spindle Cell Tumor Cat.
From www.researchgate.net
Characterization of the primary mammary spindlecell tumor (309). Fig Spindle Cell Tumor Cat The other category of cell type is spindle cells tumors. These are often of connective tissue, such as bones (osteosarcoma), ligaments, blood vessels, and muscle (tumors of the heart). Cells are best obtained through a biopsy. Spindle cell sarcomas are also known as soft tissue sarcomas (sts) and in general, this term acts as an umbrella for a variety of. Spindle Cell Tumor Cat.
From www.petcoach.co
My 16.5 year old cat has had this tumor for a couple of years. It has Spindle Cell Tumor Cat Diagnosis consists of finding a mass on the cat and confirming that the cells in the tumor are spindle cells. Cells are best obtained through a biopsy. These tumors are the result of. The biopsy of the growth determined it was spindle cell sarcoma and we were advised it might come back, and it did with a vengeance. These are. Spindle Cell Tumor Cat.
From www.mdpi.com
Animals Free FullText Feline Facial Spindle Cell Tumors in 29 Cats Spindle Cell Tumor Cat Cells are best obtained through a biopsy. These are often of connective tissue, such as bones (osteosarcoma), ligaments, blood vessels, and muscle (tumors of the heart). The other category of cell type is spindle cells tumors. Spindle cell sarcomas are also known as soft tissue sarcomas (sts) and in general, this term acts as an umbrella for a variety of. Spindle Cell Tumor Cat.
From www.researchgate.net
Spindle cell tumor with low mitosis. The tumor cells show positive Spindle Cell Tumor Cat Spindle cell sarcomas are also known as soft tissue sarcomas (sts) and in general, this term acts as an umbrella for a variety of tumors. The biopsy of the growth determined it was spindle cell sarcoma and we were advised it might come back, and it did with a vengeance. Soft tissue sarcomas are a broad category of tumors including. Spindle Cell Tumor Cat.
From www.surgpath.theclinics.com
Differential Diagnosis of Benign Spindle Cell Lesions Surgical Spindle Cell Tumor Cat Spindle cell sarcomas are also known as soft tissue sarcomas (sts) and in general, this term acts as an umbrella for a variety of tumors. The biopsy of the growth determined it was spindle cell sarcoma and we were advised it might come back, and it did with a vengeance. Soft tissue sarcomas are a broad category of tumors including. Spindle Cell Tumor Cat.
From eclinpath.com
eClinpath Spindle Cell Tumor Cat Diagnosis consists of finding a mass on the cat and confirming that the cells in the tumor are spindle cells. These are often of connective tissue, such as bones (osteosarcoma), ligaments, blood vessels, and muscle (tumors of the heart). Cells are best obtained through a biopsy. Spindle cell sarcomas are also known as soft tissue sarcomas (sts) and in general,. Spindle Cell Tumor Cat.
From www.researchgate.net
Cytology of malignant spindle cell tumor ×400 Download Scientific Diagram Spindle Cell Tumor Cat Soft tissue sarcomas are one of the most commonly diagnosed tumours arising in the skin and subcutis of our domestic cats, and are. Cells are best obtained through a biopsy. These are often of connective tissue, such as bones (osteosarcoma), ligaments, blood vessels, and muscle (tumors of the heart). Soft tissue sarcomas are a broad category of tumors including those. Spindle Cell Tumor Cat.
From www.mdpi.com
Animals Free FullText Feline Facial Spindle Cell Tumors in 29 Cats Spindle Cell Tumor Cat Soft tissue sarcomas are one of the most commonly diagnosed tumours arising in the skin and subcutis of our domestic cats, and are. Diagnosis consists of finding a mass on the cat and confirming that the cells in the tumor are spindle cells. The biopsy of the growth determined it was spindle cell sarcoma and we were advised it might. Spindle Cell Tumor Cat.
From flickr.com
cat / spindle cell tumor 2 Flickr Photo Sharing! Spindle Cell Tumor Cat Soft tissue sarcomas are a broad category of tumors including those that arise from the connective, muscle, or nervous tissues in dogs and cats. Diagnosis consists of finding a mass on the cat and confirming that the cells in the tumor are spindle cells. Spindle cell sarcomas are also known as soft tissue sarcomas (sts) and in general, this term. Spindle Cell Tumor Cat.
From ctisus.com
Spindle Cell Leg Musculoskeletal Case Studies CTisus CT Spindle Cell Tumor Cat Diagnosis consists of finding a mass on the cat and confirming that the cells in the tumor are spindle cells. These tumors are the result of. The biopsy of the growth determined it was spindle cell sarcoma and we were advised it might come back, and it did with a vengeance. Soft tissue sarcomas are one of the most commonly. Spindle Cell Tumor Cat.
From www.researchgate.net
Spindle cell tumor having arborizing vascular structures (H&E,×40) (A Spindle Cell Tumor Cat Soft tissue sarcomas are one of the most commonly diagnosed tumours arising in the skin and subcutis of our domestic cats, and are. Cells are best obtained through a biopsy. Spindle cell sarcomas are also known as soft tissue sarcomas (sts) and in general, this term acts as an umbrella for a variety of tumors. Soft tissue sarcomas are a. Spindle Cell Tumor Cat.
From www.cureus.com
Cureus Pulmonary Spindle Cell Carcinoma A Rare Case Report Spindle Cell Tumor Cat Diagnosis consists of finding a mass on the cat and confirming that the cells in the tumor are spindle cells. The other category of cell type is spindle cells tumors. These tumors are the result of. Cells are best obtained through a biopsy. Soft tissue sarcomas are a broad category of tumors including those that arise from the connective, muscle,. Spindle Cell Tumor Cat.
From eclinpath.com
Figure 5. HIstopathologic image of the bone tumor eClinpath Spindle Cell Tumor Cat Diagnosis consists of finding a mass on the cat and confirming that the cells in the tumor are spindle cells. Spindle cell sarcomas are also known as soft tissue sarcomas (sts) and in general, this term acts as an umbrella for a variety of tumors. These tumors are the result of. The biopsy of the growth determined it was spindle. Spindle Cell Tumor Cat.
From mp.uscap.org
Adult NTRKrearranged spindle cell neoplasms of the viscera with an Spindle Cell Tumor Cat Cells are best obtained through a biopsy. Soft tissue sarcomas are a broad category of tumors including those that arise from the connective, muscle, or nervous tissues in dogs and cats. The biopsy of the growth determined it was spindle cell sarcoma and we were advised it might come back, and it did with a vengeance. Soft tissue sarcomas are. Spindle Cell Tumor Cat.
From www.researchgate.net
Case 2 histological findings. (A and B) Spindle cell carcinoma Spindle Cell Tumor Cat The other category of cell type is spindle cells tumors. These are often of connective tissue, such as bones (osteosarcoma), ligaments, blood vessels, and muscle (tumors of the heart). Spindle cell sarcomas are also known as soft tissue sarcomas (sts) and in general, this term acts as an umbrella for a variety of tumors. Cells are best obtained through a. Spindle Cell Tumor Cat.
From www.mspca.org
Color Cytology Atlas of Common Feline Skin Tumors • MSPCAAngell Spindle Cell Tumor Cat The biopsy of the growth determined it was spindle cell sarcoma and we were advised it might come back, and it did with a vengeance. These are often of connective tissue, such as bones (osteosarcoma), ligaments, blood vessels, and muscle (tumors of the heart). Diagnosis consists of finding a mass on the cat and confirming that the cells in the. Spindle Cell Tumor Cat.
From www.frontiersin.org
Frontiers Case report Atypical spindle cell/pleomorphic lipomatous Spindle Cell Tumor Cat These are often of connective tissue, such as bones (osteosarcoma), ligaments, blood vessels, and muscle (tumors of the heart). These tumors are the result of. The biopsy of the growth determined it was spindle cell sarcoma and we were advised it might come back, and it did with a vengeance. Soft tissue sarcomas are a broad category of tumors including. Spindle Cell Tumor Cat.
From www.researchgate.net
Spindle cell tumor with storiform pattern of growth and "staghornlike Spindle Cell Tumor Cat Soft tissue sarcomas are one of the most commonly diagnosed tumours arising in the skin and subcutis of our domestic cats, and are. These tumors are the result of. The biopsy of the growth determined it was spindle cell sarcoma and we were advised it might come back, and it did with a vengeance. These are often of connective tissue,. Spindle Cell Tumor Cat.
From www.mspca.org
Color Cytology Atlas of Common Feline Skin Tumors • MSPCAAngell Spindle Cell Tumor Cat These are often of connective tissue, such as bones (osteosarcoma), ligaments, blood vessels, and muscle (tumors of the heart). Cells are best obtained through a biopsy. These tumors are the result of. Spindle cell sarcomas are also known as soft tissue sarcomas (sts) and in general, this term acts as an umbrella for a variety of tumors. Soft tissue sarcomas. Spindle Cell Tumor Cat.
From healthypets.mercola.com
Four Common Tumors Every Cat Parent Needs to Know Spindle Cell Tumor Cat The other category of cell type is spindle cells tumors. These tumors are the result of. Cells are best obtained through a biopsy. Soft tissue sarcomas are one of the most commonly diagnosed tumours arising in the skin and subcutis of our domestic cats, and are. The biopsy of the growth determined it was spindle cell sarcoma and we were. Spindle Cell Tumor Cat.
From www.researchgate.net
Feline giantcell pleomorphic (a) Cytologic characteristics of Spindle Cell Tumor Cat Spindle cell sarcomas are also known as soft tissue sarcomas (sts) and in general, this term acts as an umbrella for a variety of tumors. These tumors are the result of. These are often of connective tissue, such as bones (osteosarcoma), ligaments, blood vessels, and muscle (tumors of the heart). The biopsy of the growth determined it was spindle cell. Spindle Cell Tumor Cat.