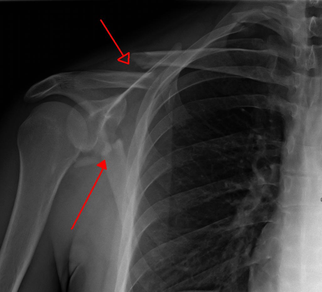
Can You Fracture Your Collarbone Without Knowing . You may have broken your collarbone if you've been injured and your shoulder: Clavicle fractures in the older person (collar bone fracture) (conservatively managed fragility fracture of the clavicle). A clavicle fracture can take between 6 to 12 weeks to heal. A broken collarbone, or clavicle fracture, is a break in one of two long, thin bones that connect the breastbone to your shoulder. Most fractures heal without any problems in six to twelve weeks. It’s normal to have aches and discomfort beyond this. The top three symptoms of a broken bone are pain, swelling and deformity. This information is for people who most likely won’t need an. If a bone is sticking out at 90 degrees or poking through the skin, not surprisingly, that’s not a good.
from www.bicycling.co.za
Clavicle fractures in the older person (collar bone fracture) (conservatively managed fragility fracture of the clavicle). A broken collarbone, or clavicle fracture, is a break in one of two long, thin bones that connect the breastbone to your shoulder. If a bone is sticking out at 90 degrees or poking through the skin, not surprisingly, that’s not a good. Most fractures heal without any problems in six to twelve weeks. This information is for people who most likely won’t need an. A clavicle fracture can take between 6 to 12 weeks to heal. You may have broken your collarbone if you've been injured and your shoulder: It’s normal to have aches and discomfort beyond this. The top three symptoms of a broken bone are pain, swelling and deformity.
How to Deal With a Clavicle Fracture (Broken Collarbone)
Can You Fracture Your Collarbone Without Knowing If a bone is sticking out at 90 degrees or poking through the skin, not surprisingly, that’s not a good. A broken collarbone, or clavicle fracture, is a break in one of two long, thin bones that connect the breastbone to your shoulder. Most fractures heal without any problems in six to twelve weeks. The top three symptoms of a broken bone are pain, swelling and deformity. If a bone is sticking out at 90 degrees or poking through the skin, not surprisingly, that’s not a good. A clavicle fracture can take between 6 to 12 weeks to heal. It’s normal to have aches and discomfort beyond this. You may have broken your collarbone if you've been injured and your shoulder: Clavicle fractures in the older person (collar bone fracture) (conservatively managed fragility fracture of the clavicle). This information is for people who most likely won’t need an.
From www.verywellhealth.com
Broken Collarbone Symptoms, Causes, Diagnosis, and Treatment Can You Fracture Your Collarbone Without Knowing The top three symptoms of a broken bone are pain, swelling and deformity. You may have broken your collarbone if you've been injured and your shoulder: A clavicle fracture can take between 6 to 12 weeks to heal. This information is for people who most likely won’t need an. A broken collarbone, or clavicle fracture, is a break in one. Can You Fracture Your Collarbone Without Knowing.
From www.floridaortho.com
Broken Collarbone Florida Orthopaedic Institute Can You Fracture Your Collarbone Without Knowing A clavicle fracture can take between 6 to 12 weeks to heal. If a bone is sticking out at 90 degrees or poking through the skin, not surprisingly, that’s not a good. The top three symptoms of a broken bone are pain, swelling and deformity. This information is for people who most likely won’t need an. It’s normal to have. Can You Fracture Your Collarbone Without Knowing.
From kinedarbois.fr
Broken Collarbone / Clavicle Fracture Recovery Time & Tips Can You Fracture Your Collarbone Without Knowing A clavicle fracture can take between 6 to 12 weeks to heal. Most fractures heal without any problems in six to twelve weeks. You may have broken your collarbone if you've been injured and your shoulder: Clavicle fractures in the older person (collar bone fracture) (conservatively managed fragility fracture of the clavicle). The top three symptoms of a broken bone. Can You Fracture Your Collarbone Without Knowing.
From www.arthrosclinic.com
Surgical Collarbone Fracture Treatment, Arthros Clinic, Dr Vinay Tantuway Can You Fracture Your Collarbone Without Knowing A broken collarbone, or clavicle fracture, is a break in one of two long, thin bones that connect the breastbone to your shoulder. This information is for people who most likely won’t need an. Clavicle fractures in the older person (collar bone fracture) (conservatively managed fragility fracture of the clavicle). The top three symptoms of a broken bone are pain,. Can You Fracture Your Collarbone Without Knowing.
From www.bicycling.co.za
How to Deal With a Clavicle Fracture (Broken Collarbone) Can You Fracture Your Collarbone Without Knowing A clavicle fracture can take between 6 to 12 weeks to heal. A broken collarbone, or clavicle fracture, is a break in one of two long, thin bones that connect the breastbone to your shoulder. If a bone is sticking out at 90 degrees or poking through the skin, not surprisingly, that’s not a good. The top three symptoms of. Can You Fracture Your Collarbone Without Knowing.
From cambridgeshoulder.co.uk
Clavicle Cambridge Shoulder Can You Fracture Your Collarbone Without Knowing A clavicle fracture can take between 6 to 12 weeks to heal. This information is for people who most likely won’t need an. Clavicle fractures in the older person (collar bone fracture) (conservatively managed fragility fracture of the clavicle). A broken collarbone, or clavicle fracture, is a break in one of two long, thin bones that connect the breastbone to. Can You Fracture Your Collarbone Without Knowing.
From www.physiocheck.ca
Broken collarbone Physio Check Can You Fracture Your Collarbone Without Knowing The top three symptoms of a broken bone are pain, swelling and deformity. Clavicle fractures in the older person (collar bone fracture) (conservatively managed fragility fracture of the clavicle). A clavicle fracture can take between 6 to 12 weeks to heal. Most fractures heal without any problems in six to twelve weeks. It’s normal to have aches and discomfort beyond. Can You Fracture Your Collarbone Without Knowing.
From www.hopkinsmedicine.org
Clavicle Fractures Johns Hopkins Medicine Can You Fracture Your Collarbone Without Knowing It’s normal to have aches and discomfort beyond this. If a bone is sticking out at 90 degrees or poking through the skin, not surprisingly, that’s not a good. You may have broken your collarbone if you've been injured and your shoulder: A clavicle fracture can take between 6 to 12 weeks to heal. Clavicle fractures in the older person. Can You Fracture Your Collarbone Without Knowing.
From draustinchen.com
Clavicle Fracture Treatment in Boulder, CO Broken Collarbone Can You Fracture Your Collarbone Without Knowing If a bone is sticking out at 90 degrees or poking through the skin, not surprisingly, that’s not a good. Most fractures heal without any problems in six to twelve weeks. A clavicle fracture can take between 6 to 12 weeks to heal. Clavicle fractures in the older person (collar bone fracture) (conservatively managed fragility fracture of the clavicle). The. Can You Fracture Your Collarbone Without Knowing.
From ranmoimientay.com
Can You Have A Broken Collarbone Without Any Clue? Can You Fracture Your Collarbone Without Knowing The top three symptoms of a broken bone are pain, swelling and deformity. It’s normal to have aches and discomfort beyond this. You may have broken your collarbone if you've been injured and your shoulder: This information is for people who most likely won’t need an. Clavicle fractures in the older person (collar bone fracture) (conservatively managed fragility fracture of. Can You Fracture Your Collarbone Without Knowing.
From www.rch.org.au
Clinical Practice Guidelines Clavicle fractures Emergency Department Can You Fracture Your Collarbone Without Knowing If a bone is sticking out at 90 degrees or poking through the skin, not surprisingly, that’s not a good. The top three symptoms of a broken bone are pain, swelling and deformity. It’s normal to have aches and discomfort beyond this. This information is for people who most likely won’t need an. A clavicle fracture can take between 6. Can You Fracture Your Collarbone Without Knowing.
From www.braceability.com
Clavicle Fractures Broken Collarbone Symptoms, Causes & Treatment Can You Fracture Your Collarbone Without Knowing This information is for people who most likely won’t need an. A clavicle fracture can take between 6 to 12 weeks to heal. The top three symptoms of a broken bone are pain, swelling and deformity. You may have broken your collarbone if you've been injured and your shoulder: Clavicle fractures in the older person (collar bone fracture) (conservatively managed. Can You Fracture Your Collarbone Without Knowing.
From www.knowyourdoctor.com.cy
Fractured collarbone Can You Fracture Your Collarbone Without Knowing Most fractures heal without any problems in six to twelve weeks. The top three symptoms of a broken bone are pain, swelling and deformity. This information is for people who most likely won’t need an. A broken collarbone, or clavicle fracture, is a break in one of two long, thin bones that connect the breastbone to your shoulder. Clavicle fractures. Can You Fracture Your Collarbone Without Knowing.
From www.slipandfall.com
Collarbone Injury Fort Wayne Slip & Fall Attorneys Can You Fracture Your Collarbone Without Knowing Most fractures heal without any problems in six to twelve weeks. This information is for people who most likely won’t need an. A broken collarbone, or clavicle fracture, is a break in one of two long, thin bones that connect the breastbone to your shoulder. Clavicle fractures in the older person (collar bone fracture) (conservatively managed fragility fracture of the. Can You Fracture Your Collarbone Without Knowing.
From www.congress-intercultural.eu
Clavicle Fracture Surgery Open Reduction Internal Fixation, 41 OFF Can You Fracture Your Collarbone Without Knowing Clavicle fractures in the older person (collar bone fracture) (conservatively managed fragility fracture of the clavicle). It’s normal to have aches and discomfort beyond this. This information is for people who most likely won’t need an. You may have broken your collarbone if you've been injured and your shoulder: The top three symptoms of a broken bone are pain, swelling. Can You Fracture Your Collarbone Without Knowing.
From healthjade.com
Broken collarbone or clavicle fracture signs, symptoms and treatment Can You Fracture Your Collarbone Without Knowing If a bone is sticking out at 90 degrees or poking through the skin, not surprisingly, that’s not a good. It’s normal to have aches and discomfort beyond this. A clavicle fracture can take between 6 to 12 weeks to heal. Clavicle fractures in the older person (collar bone fracture) (conservatively managed fragility fracture of the clavicle). This information is. Can You Fracture Your Collarbone Without Knowing.
From sydneyshoulderunit.com.au
Broken Collarbone Surgery Shoulder Surgery Sydney Shoulder Unit Can You Fracture Your Collarbone Without Knowing A clavicle fracture can take between 6 to 12 weeks to heal. A broken collarbone, or clavicle fracture, is a break in one of two long, thin bones that connect the breastbone to your shoulder. You may have broken your collarbone if you've been injured and your shoulder: Clavicle fractures in the older person (collar bone fracture) (conservatively managed fragility. Can You Fracture Your Collarbone Without Knowing.
From advantageorthopedic.com
Signs You May Have A Broken Collarbone Advantage Orthopedic and Can You Fracture Your Collarbone Without Knowing Clavicle fractures in the older person (collar bone fracture) (conservatively managed fragility fracture of the clavicle). The top three symptoms of a broken bone are pain, swelling and deformity. If a bone is sticking out at 90 degrees or poking through the skin, not surprisingly, that’s not a good. Most fractures heal without any problems in six to twelve weeks.. Can You Fracture Your Collarbone Without Knowing.
From www.physiocheck.ca
Broken collarbone Physio Check Can You Fracture Your Collarbone Without Knowing The top three symptoms of a broken bone are pain, swelling and deformity. Most fractures heal without any problems in six to twelve weeks. This information is for people who most likely won’t need an. You may have broken your collarbone if you've been injured and your shoulder: If a bone is sticking out at 90 degrees or poking through. Can You Fracture Your Collarbone Without Knowing.
From www.youtube.com
Broken Collarbone, Clavicle Bone Fracture Causes, Symptoms, Treatment Can You Fracture Your Collarbone Without Knowing Most fractures heal without any problems in six to twelve weeks. You may have broken your collarbone if you've been injured and your shoulder: If a bone is sticking out at 90 degrees or poking through the skin, not surprisingly, that’s not a good. A clavicle fracture can take between 6 to 12 weeks to heal. Clavicle fractures in the. Can You Fracture Your Collarbone Without Knowing.
From www.what0-18.nhs.uk
Clavicle (Collar Bone) Fracture Healthier Together Can You Fracture Your Collarbone Without Knowing The top three symptoms of a broken bone are pain, swelling and deformity. If a bone is sticking out at 90 degrees or poking through the skin, not surprisingly, that’s not a good. A clavicle fracture can take between 6 to 12 weeks to heal. Clavicle fractures in the older person (collar bone fracture) (conservatively managed fragility fracture of the. Can You Fracture Your Collarbone Without Knowing.
From babyexcel.com
Broken collarbone or clavicle fracture signs, symptoms and treatment Can You Fracture Your Collarbone Without Knowing This information is for people who most likely won’t need an. Most fractures heal without any problems in six to twelve weeks. A broken collarbone, or clavicle fracture, is a break in one of two long, thin bones that connect the breastbone to your shoulder. The top three symptoms of a broken bone are pain, swelling and deformity. A clavicle. Can You Fracture Your Collarbone Without Knowing.
From sydneyshoulderunit.com.au
Broken Collarbone Surgery Shoulder Surgery Sydney Shoulder Unit Can You Fracture Your Collarbone Without Knowing Clavicle fractures in the older person (collar bone fracture) (conservatively managed fragility fracture of the clavicle). You may have broken your collarbone if you've been injured and your shoulder: Most fractures heal without any problems in six to twelve weeks. A broken collarbone, or clavicle fracture, is a break in one of two long, thin bones that connect the breastbone. Can You Fracture Your Collarbone Without Knowing.
From drmcclintock.com
About Collarbone (Clavicle) Fractures Dr. Kyle McClintock Roseville, CA Can You Fracture Your Collarbone Without Knowing If a bone is sticking out at 90 degrees or poking through the skin, not surprisingly, that’s not a good. You may have broken your collarbone if you've been injured and your shoulder: A clavicle fracture can take between 6 to 12 weeks to heal. Clavicle fractures in the older person (collar bone fracture) (conservatively managed fragility fracture of the. Can You Fracture Your Collarbone Without Knowing.
From www.garymoller.com
What is the best treatment for a broken (fractured) and/or dislocated Can You Fracture Your Collarbone Without Knowing It’s normal to have aches and discomfort beyond this. A broken collarbone, or clavicle fracture, is a break in one of two long, thin bones that connect the breastbone to your shoulder. Clavicle fractures in the older person (collar bone fracture) (conservatively managed fragility fracture of the clavicle). This information is for people who most likely won’t need an. If. Can You Fracture Your Collarbone Without Knowing.
From www.floridaortho.com
Broken Collarbone Florida Orthopaedic Institute Can You Fracture Your Collarbone Without Knowing A broken collarbone, or clavicle fracture, is a break in one of two long, thin bones that connect the breastbone to your shoulder. You may have broken your collarbone if you've been injured and your shoulder: Most fractures heal without any problems in six to twelve weeks. A clavicle fracture can take between 6 to 12 weeks to heal. It’s. Can You Fracture Your Collarbone Without Knowing.
From www.1888goodwin.com
The Facts About Clavicle Fractures in Newborns Scott Goodwin Law Can You Fracture Your Collarbone Without Knowing This information is for people who most likely won’t need an. If a bone is sticking out at 90 degrees or poking through the skin, not surprisingly, that’s not a good. Clavicle fractures in the older person (collar bone fracture) (conservatively managed fragility fracture of the clavicle). A broken collarbone, or clavicle fracture, is a break in one of two. Can You Fracture Your Collarbone Without Knowing.
From www.hopkinsmedicine.org
Clavicle Fracture Open Reduction and Internal Fixation Johns Hopkins Can You Fracture Your Collarbone Without Knowing A broken collarbone, or clavicle fracture, is a break in one of two long, thin bones that connect the breastbone to your shoulder. Clavicle fractures in the older person (collar bone fracture) (conservatively managed fragility fracture of the clavicle). The top three symptoms of a broken bone are pain, swelling and deformity. This information is for people who most likely. Can You Fracture Your Collarbone Without Knowing.
From exoshvrsg.blob.core.windows.net
Can You Fracture Your Collarbone And Not Know It at Candi Metcalf blog Can You Fracture Your Collarbone Without Knowing This information is for people who most likely won’t need an. Most fractures heal without any problems in six to twelve weeks. You may have broken your collarbone if you've been injured and your shoulder: The top three symptoms of a broken bone are pain, swelling and deformity. A broken collarbone, or clavicle fracture, is a break in one of. Can You Fracture Your Collarbone Without Knowing.
From www.sciencephoto.com
Collar bone fracture, Xray Stock Image C021/2246 Science Photo Can You Fracture Your Collarbone Without Knowing Clavicle fractures in the older person (collar bone fracture) (conservatively managed fragility fracture of the clavicle). A broken collarbone, or clavicle fracture, is a break in one of two long, thin bones that connect the breastbone to your shoulder. You may have broken your collarbone if you've been injured and your shoulder: A clavicle fracture can take between 6 to. Can You Fracture Your Collarbone Without Knowing.
From www.dreamstime.com
A Clavicle Fracture is a Break in the Collarbone, One of the Bones in Can You Fracture Your Collarbone Without Knowing Clavicle fractures in the older person (collar bone fracture) (conservatively managed fragility fracture of the clavicle). A broken collarbone, or clavicle fracture, is a break in one of two long, thin bones that connect the breastbone to your shoulder. You may have broken your collarbone if you've been injured and your shoulder: If a bone is sticking out at 90. Can You Fracture Your Collarbone Without Knowing.
From bostonshoulderinstitute.com
Clavicle (Collar Bone) Fractures Boston Shoulder Institute Can You Fracture Your Collarbone Without Knowing A clavicle fracture can take between 6 to 12 weeks to heal. If a bone is sticking out at 90 degrees or poking through the skin, not surprisingly, that’s not a good. Clavicle fractures in the older person (collar bone fracture) (conservatively managed fragility fracture of the clavicle). This information is for people who most likely won’t need an. Most. Can You Fracture Your Collarbone Without Knowing.
From onmyside.com
What Is the Average Settlement for a Broken Collarbone? Laborde Can You Fracture Your Collarbone Without Knowing A broken collarbone, or clavicle fracture, is a break in one of two long, thin bones that connect the breastbone to your shoulder. Clavicle fractures in the older person (collar bone fracture) (conservatively managed fragility fracture of the clavicle). Most fractures heal without any problems in six to twelve weeks. You may have broken your collarbone if you've been injured. Can You Fracture Your Collarbone Without Knowing.
From medium.com
Broken Collarbone — Aftercare Health Info Medium Can You Fracture Your Collarbone Without Knowing Most fractures heal without any problems in six to twelve weeks. If a bone is sticking out at 90 degrees or poking through the skin, not surprisingly, that’s not a good. It’s normal to have aches and discomfort beyond this. A clavicle fracture can take between 6 to 12 weeks to heal. A broken collarbone, or clavicle fracture, is a. Can You Fracture Your Collarbone Without Knowing.
From www.floridaortho.com
Broken Collarbone Florida Orthopaedic Institute Can You Fracture Your Collarbone Without Knowing You may have broken your collarbone if you've been injured and your shoulder: A clavicle fracture can take between 6 to 12 weeks to heal. It’s normal to have aches and discomfort beyond this. The top three symptoms of a broken bone are pain, swelling and deformity. This information is for people who most likely won’t need an. A broken. Can You Fracture Your Collarbone Without Knowing.