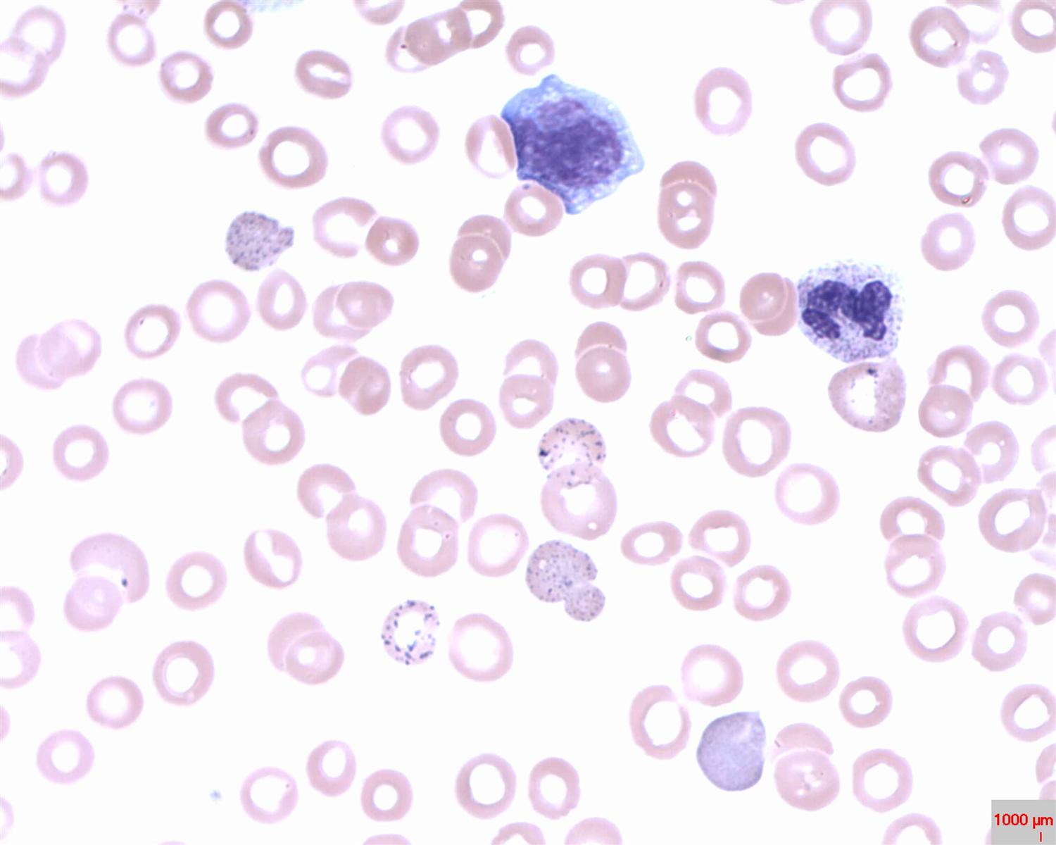
Lead Poisoning Basophilic Stippling . This bluish line along the gingival margin indicates chronic lead poisoning. Basophilic stippling can also occur in the absence of anemia in animals with lead poisoning. In contrast to fine basophilic stippling in thalassemia, basophilic stippling is typically coarse in lead. Lead poisoning should be suspected in the presence of regenerative microcytic anaemia and. Laboratory testing reveals an elevated free erythrocyte protoporphyrin (fep) level, along with the finding on peripheral blood smear seen in the image. Basophilic stippling occurs in lead poisoning, 1 and it can be an indication for a lead poisoning diagnosis. It occurs when lead reacts with bacteria in dental plaque to form and deposit lead sulfide. Basophilic stippling is a frequent manifestation of hematologic disease in the. Lead poisoning can mimic posterior reversible encephalopathy syndrome.
from docslib.org
Basophilic stippling is a frequent manifestation of hematologic disease in the. It occurs when lead reacts with bacteria in dental plaque to form and deposit lead sulfide. Lead poisoning should be suspected in the presence of regenerative microcytic anaemia and. Lead poisoning can mimic posterior reversible encephalopathy syndrome. This bluish line along the gingival margin indicates chronic lead poisoning. Basophilic stippling can also occur in the absence of anemia in animals with lead poisoning. In contrast to fine basophilic stippling in thalassemia, basophilic stippling is typically coarse in lead. Laboratory testing reveals an elevated free erythrocyte protoporphyrin (fep) level, along with the finding on peripheral blood smear seen in the image. Basophilic stippling occurs in lead poisoning, 1 and it can be an indication for a lead poisoning diagnosis.
A Case of Severe Lead Poisoning with Basophilic Stippling Teardrop Cell
Lead Poisoning Basophilic Stippling Basophilic stippling occurs in lead poisoning, 1 and it can be an indication for a lead poisoning diagnosis. Basophilic stippling occurs in lead poisoning, 1 and it can be an indication for a lead poisoning diagnosis. This bluish line along the gingival margin indicates chronic lead poisoning. It occurs when lead reacts with bacteria in dental plaque to form and deposit lead sulfide. Lead poisoning should be suspected in the presence of regenerative microcytic anaemia and. Basophilic stippling is a frequent manifestation of hematologic disease in the. Laboratory testing reveals an elevated free erythrocyte protoporphyrin (fep) level, along with the finding on peripheral blood smear seen in the image. Basophilic stippling can also occur in the absence of anemia in animals with lead poisoning. Lead poisoning can mimic posterior reversible encephalopathy syndrome. In contrast to fine basophilic stippling in thalassemia, basophilic stippling is typically coarse in lead.
From www.researchgate.net
(PDF) Basophilic Stippling and Chronic Lead Poisoning Lead Poisoning Basophilic Stippling This bluish line along the gingival margin indicates chronic lead poisoning. Laboratory testing reveals an elevated free erythrocyte protoporphyrin (fep) level, along with the finding on peripheral blood smear seen in the image. Basophilic stippling is a frequent manifestation of hematologic disease in the. In contrast to fine basophilic stippling in thalassemia, basophilic stippling is typically coarse in lead. It. Lead Poisoning Basophilic Stippling.
From www.amjmed.com
Lead Poisoning Mimicking Amyotrophic Lateral Sclerosis An Adverse Lead Poisoning Basophilic Stippling It occurs when lead reacts with bacteria in dental plaque to form and deposit lead sulfide. Basophilic stippling can also occur in the absence of anemia in animals with lead poisoning. Lead poisoning should be suspected in the presence of regenerative microcytic anaemia and. Basophilic stippling is a frequent manifestation of hematologic disease in the. This bluish line along the. Lead Poisoning Basophilic Stippling.
From www.medlink.com
Lead Poisoning In Childhood MedLink Neurology Lead Poisoning Basophilic Stippling Lead poisoning should be suspected in the presence of regenerative microcytic anaemia and. Lead poisoning can mimic posterior reversible encephalopathy syndrome. This bluish line along the gingival margin indicates chronic lead poisoning. Basophilic stippling can also occur in the absence of anemia in animals with lead poisoning. It occurs when lead reacts with bacteria in dental plaque to form and. Lead Poisoning Basophilic Stippling.
From atlas.gechem.org
Basophilic stippling in a patient with lead poisoning Lead Poisoning Basophilic Stippling This bluish line along the gingival margin indicates chronic lead poisoning. In contrast to fine basophilic stippling in thalassemia, basophilic stippling is typically coarse in lead. Basophilic stippling is a frequent manifestation of hematologic disease in the. Basophilic stippling occurs in lead poisoning, 1 and it can be an indication for a lead poisoning diagnosis. Basophilic stippling can also occur. Lead Poisoning Basophilic Stippling.
From ar.inspiredpencil.com
Basophilic Stippling Lead Poisoning Basophilic Stippling Basophilic stippling can also occur in the absence of anemia in animals with lead poisoning. Lead poisoning can mimic posterior reversible encephalopathy syndrome. Lead poisoning should be suspected in the presence of regenerative microcytic anaemia and. It occurs when lead reacts with bacteria in dental plaque to form and deposit lead sulfide. In contrast to fine basophilic stippling in thalassemia,. Lead Poisoning Basophilic Stippling.
From step2.medbullets.com
Lead Poisoning Heme Medbullets Step 2/3 Lead Poisoning Basophilic Stippling Basophilic stippling can also occur in the absence of anemia in animals with lead poisoning. This bluish line along the gingival margin indicates chronic lead poisoning. Basophilic stippling is a frequent manifestation of hematologic disease in the. Basophilic stippling occurs in lead poisoning, 1 and it can be an indication for a lead poisoning diagnosis. Laboratory testing reveals an elevated. Lead Poisoning Basophilic Stippling.
From ar.inspiredpencil.com
Basophilic Stippling Lead Lead Poisoning Basophilic Stippling Basophilic stippling occurs in lead poisoning, 1 and it can be an indication for a lead poisoning diagnosis. In contrast to fine basophilic stippling in thalassemia, basophilic stippling is typically coarse in lead. This bluish line along the gingival margin indicates chronic lead poisoning. Basophilic stippling is a frequent manifestation of hematologic disease in the. Basophilic stippling can also occur. Lead Poisoning Basophilic Stippling.
From www.learnhaem.com
Basophilic Stippling LearnHaem Haematology Made Simple Lead Poisoning Basophilic Stippling In contrast to fine basophilic stippling in thalassemia, basophilic stippling is typically coarse in lead. It occurs when lead reacts with bacteria in dental plaque to form and deposit lead sulfide. Basophilic stippling can also occur in the absence of anemia in animals with lead poisoning. Lead poisoning should be suspected in the presence of regenerative microcytic anaemia and. Basophilic. Lead Poisoning Basophilic Stippling.
From imagebank.hematology.org
Basophilic stippling a lead to the diagnosis Lead Poisoning Basophilic Stippling Laboratory testing reveals an elevated free erythrocyte protoporphyrin (fep) level, along with the finding on peripheral blood smear seen in the image. It occurs when lead reacts with bacteria in dental plaque to form and deposit lead sulfide. In contrast to fine basophilic stippling in thalassemia, basophilic stippling is typically coarse in lead. Basophilic stippling can also occur in the. Lead Poisoning Basophilic Stippling.
From www.msdvetmanual.com
Image Canine blood smear, basophilic stippling, lead toxicity MSD Lead Poisoning Basophilic Stippling Lead poisoning can mimic posterior reversible encephalopathy syndrome. Basophilic stippling occurs in lead poisoning, 1 and it can be an indication for a lead poisoning diagnosis. Laboratory testing reveals an elevated free erythrocyte protoporphyrin (fep) level, along with the finding on peripheral blood smear seen in the image. It occurs when lead reacts with bacteria in dental plaque to form. Lead Poisoning Basophilic Stippling.
From vetclinpathimages.com
basophilic stippling Cells and Smears Lead Poisoning Basophilic Stippling Lead poisoning can mimic posterior reversible encephalopathy syndrome. In contrast to fine basophilic stippling in thalassemia, basophilic stippling is typically coarse in lead. Basophilic stippling is a frequent manifestation of hematologic disease in the. Basophilic stippling occurs in lead poisoning, 1 and it can be an indication for a lead poisoning diagnosis. It occurs when lead reacts with bacteria in. Lead Poisoning Basophilic Stippling.
From www.blood-academy.com
Basophilic stippling (also known as punctate basophilia) Blood Academy Lead Poisoning Basophilic Stippling In contrast to fine basophilic stippling in thalassemia, basophilic stippling is typically coarse in lead. Basophilic stippling is a frequent manifestation of hematologic disease in the. Lead poisoning can mimic posterior reversible encephalopathy syndrome. Basophilic stippling can also occur in the absence of anemia in animals with lead poisoning. Basophilic stippling occurs in lead poisoning, 1 and it can be. Lead Poisoning Basophilic Stippling.
From imagebank.hematology.org
Coarse basophilic stippling in lead poisoning Lead Poisoning Basophilic Stippling Basophilic stippling is a frequent manifestation of hematologic disease in the. Basophilic stippling can also occur in the absence of anemia in animals with lead poisoning. Lead poisoning should be suspected in the presence of regenerative microcytic anaemia and. Laboratory testing reveals an elevated free erythrocyte protoporphyrin (fep) level, along with the finding on peripheral blood smear seen in the. Lead Poisoning Basophilic Stippling.
From www.youtube.com
Basophilic stippling YouTube Lead Poisoning Basophilic Stippling It occurs when lead reacts with bacteria in dental plaque to form and deposit lead sulfide. Basophilic stippling is a frequent manifestation of hematologic disease in the. This bluish line along the gingival margin indicates chronic lead poisoning. Laboratory testing reveals an elevated free erythrocyte protoporphyrin (fep) level, along with the finding on peripheral blood smear seen in the image.. Lead Poisoning Basophilic Stippling.
From www.learnhaem.com
Basophilic Stippling LearnHaem Haematology Made Simple Lead Poisoning Basophilic Stippling Laboratory testing reveals an elevated free erythrocyte protoporphyrin (fep) level, along with the finding on peripheral blood smear seen in the image. This bluish line along the gingival margin indicates chronic lead poisoning. Lead poisoning should be suspected in the presence of regenerative microcytic anaemia and. Basophilic stippling can also occur in the absence of anemia in animals with lead. Lead Poisoning Basophilic Stippling.
From www.pinterest.com
Basophilic stippling "Ribosomal" inclusion in RBC stained by Lead Poisoning Basophilic Stippling Basophilic stippling can also occur in the absence of anemia in animals with lead poisoning. In contrast to fine basophilic stippling in thalassemia, basophilic stippling is typically coarse in lead. Basophilic stippling occurs in lead poisoning, 1 and it can be an indication for a lead poisoning diagnosis. Basophilic stippling is a frequent manifestation of hematologic disease in the. This. Lead Poisoning Basophilic Stippling.
From www.researchgate.net
a basophilic stippling in blood smear b basophilic stippling in bone Lead Poisoning Basophilic Stippling Lead poisoning can mimic posterior reversible encephalopathy syndrome. Basophilic stippling is a frequent manifestation of hematologic disease in the. Basophilic stippling can also occur in the absence of anemia in animals with lead poisoning. In contrast to fine basophilic stippling in thalassemia, basophilic stippling is typically coarse in lead. It occurs when lead reacts with bacteria in dental plaque to. Lead Poisoning Basophilic Stippling.
From www.medlink.com
Lead Poisoning In Childhood MedLink Neurology Lead Poisoning Basophilic Stippling Basophilic stippling is a frequent manifestation of hematologic disease in the. Lead poisoning can mimic posterior reversible encephalopathy syndrome. Basophilic stippling occurs in lead poisoning, 1 and it can be an indication for a lead poisoning diagnosis. Laboratory testing reveals an elevated free erythrocyte protoporphyrin (fep) level, along with the finding on peripheral blood smear seen in the image. This. Lead Poisoning Basophilic Stippling.
From docslib.org
A Case of Severe Lead Poisoning with Basophilic Stippling Teardrop Cell Lead Poisoning Basophilic Stippling It occurs when lead reacts with bacteria in dental plaque to form and deposit lead sulfide. Lead poisoning should be suspected in the presence of regenerative microcytic anaemia and. In contrast to fine basophilic stippling in thalassemia, basophilic stippling is typically coarse in lead. Basophilic stippling can also occur in the absence of anemia in animals with lead poisoning. Basophilic. Lead Poisoning Basophilic Stippling.
From imagebank.hematology.org
Basophilic Stippling Lead Poisoning 3. Lead Poisoning Basophilic Stippling This bluish line along the gingival margin indicates chronic lead poisoning. Laboratory testing reveals an elevated free erythrocyte protoporphyrin (fep) level, along with the finding on peripheral blood smear seen in the image. Lead poisoning can mimic posterior reversible encephalopathy syndrome. Basophilic stippling occurs in lead poisoning, 1 and it can be an indication for a lead poisoning diagnosis. Lead. Lead Poisoning Basophilic Stippling.
From slideplayer.com
Management of Poisoned Patient ppt download Lead Poisoning Basophilic Stippling Lead poisoning can mimic posterior reversible encephalopathy syndrome. Lead poisoning should be suspected in the presence of regenerative microcytic anaemia and. This bluish line along the gingival margin indicates chronic lead poisoning. Basophilic stippling occurs in lead poisoning, 1 and it can be an indication for a lead poisoning diagnosis. Laboratory testing reveals an elevated free erythrocyte protoporphyrin (fep) level,. Lead Poisoning Basophilic Stippling.
From textbookhaematology4medical-scientist.blogspot.com
Haematology in a NutShell Basophilic Stippling Lead Poisoning Basophilic Stippling It occurs when lead reacts with bacteria in dental plaque to form and deposit lead sulfide. Basophilic stippling occurs in lead poisoning, 1 and it can be an indication for a lead poisoning diagnosis. In contrast to fine basophilic stippling in thalassemia, basophilic stippling is typically coarse in lead. Lead poisoning can mimic posterior reversible encephalopathy syndrome. Laboratory testing reveals. Lead Poisoning Basophilic Stippling.
From www.medlink.com
Lead Poisoning In Childhood MedLink Neurology Lead Poisoning Basophilic Stippling Basophilic stippling occurs in lead poisoning, 1 and it can be an indication for a lead poisoning diagnosis. This bluish line along the gingival margin indicates chronic lead poisoning. Lead poisoning should be suspected in the presence of regenerative microcytic anaemia and. Basophilic stippling is a frequent manifestation of hematologic disease in the. Lead poisoning can mimic posterior reversible encephalopathy. Lead Poisoning Basophilic Stippling.
From www.slideserve.com
PPT Disclosure Statement PowerPoint Presentation, free download ID Lead Poisoning Basophilic Stippling Basophilic stippling occurs in lead poisoning, 1 and it can be an indication for a lead poisoning diagnosis. It occurs when lead reacts with bacteria in dental plaque to form and deposit lead sulfide. Lead poisoning should be suspected in the presence of regenerative microcytic anaemia and. In contrast to fine basophilic stippling in thalassemia, basophilic stippling is typically coarse. Lead Poisoning Basophilic Stippling.
From www.researchgate.net
Hematological manifestations of CLP. a Basophilic stippling of Lead Poisoning Basophilic Stippling Lead poisoning should be suspected in the presence of regenerative microcytic anaemia and. Basophilic stippling is a frequent manifestation of hematologic disease in the. Basophilic stippling occurs in lead poisoning, 1 and it can be an indication for a lead poisoning diagnosis. Laboratory testing reveals an elevated free erythrocyte protoporphyrin (fep) level, along with the finding on peripheral blood smear. Lead Poisoning Basophilic Stippling.
From www.researchgate.net
(PDF) Basophilic stippling in red blood cells in the bone marrow Lead Poisoning Basophilic Stippling Basophilic stippling can also occur in the absence of anemia in animals with lead poisoning. Lead poisoning should be suspected in the presence of regenerative microcytic anaemia and. Basophilic stippling is a frequent manifestation of hematologic disease in the. Laboratory testing reveals an elevated free erythrocyte protoporphyrin (fep) level, along with the finding on peripheral blood smear seen in the. Lead Poisoning Basophilic Stippling.
From medschool.co
Basophilic Stippling Test Findings MedSchool Lead Poisoning Basophilic Stippling Lead poisoning should be suspected in the presence of regenerative microcytic anaemia and. Basophilic stippling is a frequent manifestation of hematologic disease in the. Lead poisoning can mimic posterior reversible encephalopathy syndrome. Laboratory testing reveals an elevated free erythrocyte protoporphyrin (fep) level, along with the finding on peripheral blood smear seen in the image. This bluish line along the gingival. Lead Poisoning Basophilic Stippling.
From www.pinterest.com
Basophilic stippling 1. Stippling, Lead poisoning, Hematology Lead Poisoning Basophilic Stippling Basophilic stippling occurs in lead poisoning, 1 and it can be an indication for a lead poisoning diagnosis. Basophilic stippling can also occur in the absence of anemia in animals with lead poisoning. Lead poisoning can mimic posterior reversible encephalopathy syndrome. Basophilic stippling is a frequent manifestation of hematologic disease in the. Lead poisoning should be suspected in the presence. Lead Poisoning Basophilic Stippling.
From step2.medbullets.com
Lead Poisoning Heme Medbullets Step 2/3 Lead Poisoning Basophilic Stippling This bluish line along the gingival margin indicates chronic lead poisoning. Basophilic stippling occurs in lead poisoning, 1 and it can be an indication for a lead poisoning diagnosis. Basophilic stippling is a frequent manifestation of hematologic disease in the. Laboratory testing reveals an elevated free erythrocyte protoporphyrin (fep) level, along with the finding on peripheral blood smear seen in. Lead Poisoning Basophilic Stippling.
From www.medlink.com
Lead Poisoning In Childhood MedLink Neurology Lead Poisoning Basophilic Stippling This bluish line along the gingival margin indicates chronic lead poisoning. Laboratory testing reveals an elevated free erythrocyte protoporphyrin (fep) level, along with the finding on peripheral blood smear seen in the image. Basophilic stippling can also occur in the absence of anemia in animals with lead poisoning. Basophilic stippling occurs in lead poisoning, 1 and it can be an. Lead Poisoning Basophilic Stippling.
From europepmc.org
Basophilic stippling in red blood cells in the bone marrow indication Lead Poisoning Basophilic Stippling Lead poisoning should be suspected in the presence of regenerative microcytic anaemia and. Laboratory testing reveals an elevated free erythrocyte protoporphyrin (fep) level, along with the finding on peripheral blood smear seen in the image. Basophilic stippling is a frequent manifestation of hematologic disease in the. Lead poisoning can mimic posterior reversible encephalopathy syndrome. It occurs when lead reacts with. Lead Poisoning Basophilic Stippling.
From eclinpath.com
Lead poisoning eClinpath Lead Poisoning Basophilic Stippling It occurs when lead reacts with bacteria in dental plaque to form and deposit lead sulfide. Laboratory testing reveals an elevated free erythrocyte protoporphyrin (fep) level, along with the finding on peripheral blood smear seen in the image. This bluish line along the gingival margin indicates chronic lead poisoning. Lead poisoning should be suspected in the presence of regenerative microcytic. Lead Poisoning Basophilic Stippling.
From ar.inspiredpencil.com
Basophilic Stippling Lead Lead Poisoning Basophilic Stippling Lead poisoning should be suspected in the presence of regenerative microcytic anaemia and. It occurs when lead reacts with bacteria in dental plaque to form and deposit lead sulfide. Laboratory testing reveals an elevated free erythrocyte protoporphyrin (fep) level, along with the finding on peripheral blood smear seen in the image. In contrast to fine basophilic stippling in thalassemia, basophilic. Lead Poisoning Basophilic Stippling.
From imagebank.hematology.org
Basophilic Stippling 3. Lead Poisoning Basophilic Stippling This bluish line along the gingival margin indicates chronic lead poisoning. Basophilic stippling occurs in lead poisoning, 1 and it can be an indication for a lead poisoning diagnosis. Basophilic stippling can also occur in the absence of anemia in animals with lead poisoning. Lead poisoning should be suspected in the presence of regenerative microcytic anaemia and. Laboratory testing reveals. Lead Poisoning Basophilic Stippling.
From journals.sagepub.com
Basophilic stippling in red blood cells in the bone marrow indication Lead Poisoning Basophilic Stippling This bluish line along the gingival margin indicates chronic lead poisoning. Basophilic stippling occurs in lead poisoning, 1 and it can be an indication for a lead poisoning diagnosis. Lead poisoning can mimic posterior reversible encephalopathy syndrome. Basophilic stippling is a frequent manifestation of hematologic disease in the. In contrast to fine basophilic stippling in thalassemia, basophilic stippling is typically. Lead Poisoning Basophilic Stippling.