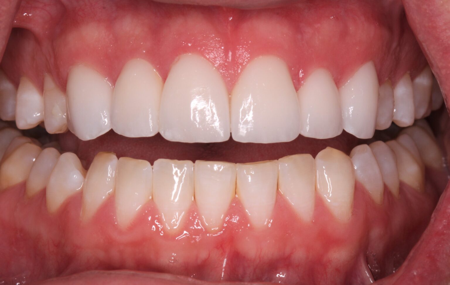
Dental Veneers Options . If you want a smile makeover, dental veneers are one option. Here's all you need to know, including average costs and how it varies from other procedures. Dental veneers will enhance your smile, but they can be expensive. There’s a multitude of options available, each with its unique benefits and considerations. This guide delves into the 5 types. They can be used to treat cosmetic concerns like chipped, broken. Veneers are an excellent way to enhance your smile and boost your confidence — and they could be a solution for you. You'll need to choose between porcelain and composite veneers, and.
from rollinghillsdentistry.com
Veneers are an excellent way to enhance your smile and boost your confidence — and they could be a solution for you. You'll need to choose between porcelain and composite veneers, and. Here's all you need to know, including average costs and how it varies from other procedures. There’s a multitude of options available, each with its unique benefits and considerations. If you want a smile makeover, dental veneers are one option. They can be used to treat cosmetic concerns like chipped, broken. Dental veneers will enhance your smile, but they can be expensive. This guide delves into the 5 types.
Dental Veneers Are Dental Veneers For Me? Rolling Hills Dentistry
Dental Veneers Options You'll need to choose between porcelain and composite veneers, and. This guide delves into the 5 types. Dental veneers will enhance your smile, but they can be expensive. You'll need to choose between porcelain and composite veneers, and. Veneers are an excellent way to enhance your smile and boost your confidence — and they could be a solution for you. They can be used to treat cosmetic concerns like chipped, broken. If you want a smile makeover, dental veneers are one option. There’s a multitude of options available, each with its unique benefits and considerations. Here's all you need to know, including average costs and how it varies from other procedures.
From www.smilemakeoverturkey.co.uk
Dental Veneers in Turkey Dental Veneers Starts from only £134 Dental Veneers Options There’s a multitude of options available, each with its unique benefits and considerations. Dental veneers will enhance your smile, but they can be expensive. Here's all you need to know, including average costs and how it varies from other procedures. Veneers are an excellent way to enhance your smile and boost your confidence — and they could be a solution. Dental Veneers Options.
From dentalhaus.com.au
Dental Veneers Gold Coast Dental Haus Dental Veneers Options Dental veneers will enhance your smile, but they can be expensive. They can be used to treat cosmetic concerns like chipped, broken. There’s a multitude of options available, each with its unique benefits and considerations. You'll need to choose between porcelain and composite veneers, and. This guide delves into the 5 types. If you want a smile makeover, dental veneers. Dental Veneers Options.
From blackhillsareadental.com
Rapid City Veneers Black Hills Area Dental Dental Veneers Options This guide delves into the 5 types. Dental veneers will enhance your smile, but they can be expensive. You'll need to choose between porcelain and composite veneers, and. Here's all you need to know, including average costs and how it varies from other procedures. Veneers are an excellent way to enhance your smile and boost your confidence — and they. Dental Veneers Options.
From www.thedentalguide.net
Do It Yourself Veneers Removable Veneers For Your Teeth Dental Veneers Options You'll need to choose between porcelain and composite veneers, and. This guide delves into the 5 types. Dental veneers will enhance your smile, but they can be expensive. Here's all you need to know, including average costs and how it varies from other procedures. Veneers are an excellent way to enhance your smile and boost your confidence — and they. Dental Veneers Options.
From holycitydentistry.com
The Differences Between Dental Veneers and Composite Bonding James Dental Veneers Options Veneers are an excellent way to enhance your smile and boost your confidence — and they could be a solution for you. You'll need to choose between porcelain and composite veneers, and. They can be used to treat cosmetic concerns like chipped, broken. Dental veneers will enhance your smile, but they can be expensive. This guide delves into the 5. Dental Veneers Options.
From www.gillespiedentistry.com
Dental Veneers in Vancouver, WA Gillespie Dentistry Dental Veneers Options Here's all you need to know, including average costs and how it varies from other procedures. They can be used to treat cosmetic concerns like chipped, broken. Veneers are an excellent way to enhance your smile and boost your confidence — and they could be a solution for you. If you want a smile makeover, dental veneers are one option.. Dental Veneers Options.
From www.kbvillagedental.com.au
Dental Veneers North Sydney KB Village Dental Dental Veneers Options Veneers are an excellent way to enhance your smile and boost your confidence — and they could be a solution for you. Here's all you need to know, including average costs and how it varies from other procedures. You'll need to choose between porcelain and composite veneers, and. They can be used to treat cosmetic concerns like chipped, broken. There’s. Dental Veneers Options.
From www.smilemakeoverturkey.co.uk
Dental Veneers in Turkey Dental Veneers Starts from only £134 Dental Veneers Options This guide delves into the 5 types. You'll need to choose between porcelain and composite veneers, and. Veneers are an excellent way to enhance your smile and boost your confidence — and they could be a solution for you. Dental veneers will enhance your smile, but they can be expensive. They can be used to treat cosmetic concerns like chipped,. Dental Veneers Options.
From signaturedentistry.com.au
The Complete Guide to Getting Veneers [Updated for 2020] Dental Veneers Options They can be used to treat cosmetic concerns like chipped, broken. You'll need to choose between porcelain and composite veneers, and. If you want a smile makeover, dental veneers are one option. Dental veneers will enhance your smile, but they can be expensive. There’s a multitude of options available, each with its unique benefits and considerations. This guide delves into. Dental Veneers Options.
From www.medcitydental.com
Porcelain Veneers Rochester MN Dental Veneers Teeth Veneers Dental Veneers Options Dental veneers will enhance your smile, but they can be expensive. There’s a multitude of options available, each with its unique benefits and considerations. You'll need to choose between porcelain and composite veneers, and. If you want a smile makeover, dental veneers are one option. This guide delves into the 5 types. Here's all you need to know, including average. Dental Veneers Options.
From joiaaqoox.blob.core.windows.net
Process Of Veneers at Rachel Pak blog Dental Veneers Options They can be used to treat cosmetic concerns like chipped, broken. There’s a multitude of options available, each with its unique benefits and considerations. Veneers are an excellent way to enhance your smile and boost your confidence — and they could be a solution for you. This guide delves into the 5 types. Here's all you need to know, including. Dental Veneers Options.
From joycethedentist.com
5 Types of Veneers Your Guide to Dental Veneer Options Dental Veneers Options Veneers are an excellent way to enhance your smile and boost your confidence — and they could be a solution for you. You'll need to choose between porcelain and composite veneers, and. If you want a smile makeover, dental veneers are one option. They can be used to treat cosmetic concerns like chipped, broken. Here's all you need to know,. Dental Veneers Options.
From raceviewdental.com.au
Dental Veneers Ipswich Raceview Dental,Ipswich Qld 4305 Dental Veneers Options If you want a smile makeover, dental veneers are one option. Here's all you need to know, including average costs and how it varies from other procedures. There’s a multitude of options available, each with its unique benefits and considerations. Dental veneers will enhance your smile, but they can be expensive. Veneers are an excellent way to enhance your smile. Dental Veneers Options.
From beautyglide.com
Top 7 Dental Veneer Brands BeautyGlide Dental Veneers Options You'll need to choose between porcelain and composite veneers, and. If you want a smile makeover, dental veneers are one option. Veneers are an excellent way to enhance your smile and boost your confidence — and they could be a solution for you. Here's all you need to know, including average costs and how it varies from other procedures. Dental. Dental Veneers Options.
From signaturedentistry.com.au
Porcelain Veneers Melbourne Cost of Veneers Signature Dentistry Dental Veneers Options Dental veneers will enhance your smile, but they can be expensive. They can be used to treat cosmetic concerns like chipped, broken. You'll need to choose between porcelain and composite veneers, and. This guide delves into the 5 types. Here's all you need to know, including average costs and how it varies from other procedures. Veneers are an excellent way. Dental Veneers Options.
From www.teethsavings.com
Dental Veneers Image Gallery Dental Veneers Options If you want a smile makeover, dental veneers are one option. This guide delves into the 5 types. Here's all you need to know, including average costs and how it varies from other procedures. They can be used to treat cosmetic concerns like chipped, broken. You'll need to choose between porcelain and composite veneers, and. There’s a multitude of options. Dental Veneers Options.
From affinitywpg.ca
Dental Veneers In Winnipeg Affinity Dental Clinic Dental Veneers Options They can be used to treat cosmetic concerns like chipped, broken. If you want a smile makeover, dental veneers are one option. There’s a multitude of options available, each with its unique benefits and considerations. You'll need to choose between porcelain and composite veneers, and. Here's all you need to know, including average costs and how it varies from other. Dental Veneers Options.
From hanboroughdental.co.uk
Dental Veneer Long Hanborough Dental Practice Dental Veneers Options If you want a smile makeover, dental veneers are one option. You'll need to choose between porcelain and composite veneers, and. There’s a multitude of options available, each with its unique benefits and considerations. This guide delves into the 5 types. Veneers are an excellent way to enhance your smile and boost your confidence — and they could be a. Dental Veneers Options.
From zahnarzt-lehel.de
Veneers Strahlend weiße Zähne & ein ästhetisches Lächeln Dental Veneers Options If you want a smile makeover, dental veneers are one option. Veneers are an excellent way to enhance your smile and boost your confidence — and they could be a solution for you. Dental veneers will enhance your smile, but they can be expensive. You'll need to choose between porcelain and composite veneers, and. There’s a multitude of options available,. Dental Veneers Options.
From smilesny.com
Before and After Gum Surgery & Dental Crowns & Smile Makeover Dental Veneers Options If you want a smile makeover, dental veneers are one option. You'll need to choose between porcelain and composite veneers, and. This guide delves into the 5 types. Here's all you need to know, including average costs and how it varies from other procedures. They can be used to treat cosmetic concerns like chipped, broken. Dental veneers will enhance your. Dental Veneers Options.
From www.sarasotadentistry.com
Veneers vs Crowns Which Option is Best for You? Sarasota Dentistry Dental Veneers Options Veneers are an excellent way to enhance your smile and boost your confidence — and they could be a solution for you. There’s a multitude of options available, each with its unique benefits and considerations. They can be used to treat cosmetic concerns like chipped, broken. Dental veneers will enhance your smile, but they can be expensive. You'll need to. Dental Veneers Options.
From darchdental.com.au
All About Dental Veneers Darch Dental Centre Blogs Dental Veneers Options This guide delves into the 5 types. You'll need to choose between porcelain and composite veneers, and. Here's all you need to know, including average costs and how it varies from other procedures. There’s a multitude of options available, each with its unique benefits and considerations. Veneers are an excellent way to enhance your smile and boost your confidence —. Dental Veneers Options.
From www.docklandsdental.ie
A Complete Guide To Dental Veneers Docklands Dental Dental Veneers Options Dental veneers will enhance your smile, but they can be expensive. You'll need to choose between porcelain and composite veneers, and. They can be used to treat cosmetic concerns like chipped, broken. There’s a multitude of options available, each with its unique benefits and considerations. If you want a smile makeover, dental veneers are one option. Here's all you need. Dental Veneers Options.
From www.dfydental.com.au
Porcelain Dental Veneers Dental Veneers Treatment DFY Dental Dental Veneers Options They can be used to treat cosmetic concerns like chipped, broken. You'll need to choose between porcelain and composite veneers, and. Dental veneers will enhance your smile, but they can be expensive. Here's all you need to know, including average costs and how it varies from other procedures. If you want a smile makeover, dental veneers are one option. Veneers. Dental Veneers Options.
From www.drbk.co.uk
Dental Veneers DrBK Cosmetic Dentist & Aesthetics Clinic in Reading Dental Veneers Options If you want a smile makeover, dental veneers are one option. Dental veneers will enhance your smile, but they can be expensive. You'll need to choose between porcelain and composite veneers, and. This guide delves into the 5 types. Veneers are an excellent way to enhance your smile and boost your confidence — and they could be a solution for. Dental Veneers Options.
From modernsmiles.com
Burbank Dentist Uses Veneers To Provide A Smile Facelift® Dental Veneers Options They can be used to treat cosmetic concerns like chipped, broken. There’s a multitude of options available, each with its unique benefits and considerations. Veneers are an excellent way to enhance your smile and boost your confidence — and they could be a solution for you. Dental veneers will enhance your smile, but they can be expensive. You'll need to. Dental Veneers Options.
From www.piazzadental.com.au
The Pros and Cons of Dental Veneers Dental Veneers Options Here's all you need to know, including average costs and how it varies from other procedures. This guide delves into the 5 types. They can be used to treat cosmetic concerns like chipped, broken. Veneers are an excellent way to enhance your smile and boost your confidence — and they could be a solution for you. There’s a multitude of. Dental Veneers Options.
From rollinghillsdentistry.com
Dental Veneers Are Dental Veneers For Me? Rolling Hills Dentistry Dental Veneers Options This guide delves into the 5 types. If you want a smile makeover, dental veneers are one option. There’s a multitude of options available, each with its unique benefits and considerations. Dental veneers will enhance your smile, but they can be expensive. Here's all you need to know, including average costs and how it varies from other procedures. Veneers are. Dental Veneers Options.
From www.drdc.co.uk
Veneers Dartford Veneer Teeth Cosmetic Dentist Crayford Dental Veneers Options This guide delves into the 5 types. If you want a smile makeover, dental veneers are one option. There’s a multitude of options available, each with its unique benefits and considerations. Veneers are an excellent way to enhance your smile and boost your confidence — and they could be a solution for you. Dental veneers will enhance your smile, but. Dental Veneers Options.
From www.royaldentalcare.com.au
Everything you need to know about Dental Veneers... Royal Dental Care Dental Veneers Options Here's all you need to know, including average costs and how it varies from other procedures. Dental veneers will enhance your smile, but they can be expensive. You'll need to choose between porcelain and composite veneers, and. If you want a smile makeover, dental veneers are one option. There’s a multitude of options available, each with its unique benefits and. Dental Veneers Options.
From dentalimplantscapetown.co.za
Dental Veneers Dental Implants Cape Town Dental Veneers Options If you want a smile makeover, dental veneers are one option. Dental veneers will enhance your smile, but they can be expensive. Here's all you need to know, including average costs and how it varies from other procedures. This guide delves into the 5 types. There’s a multitude of options available, each with its unique benefits and considerations. They can. Dental Veneers Options.
From safarmedical.com
Dental veneers Types, Uses & Process Safar Medical Dental Veneers Options Veneers are an excellent way to enhance your smile and boost your confidence — and they could be a solution for you. If you want a smile makeover, dental veneers are one option. They can be used to treat cosmetic concerns like chipped, broken. Dental veneers will enhance your smile, but they can be expensive. This guide delves into the. Dental Veneers Options.
From www.thehealthsite.com
Dental Veneers Uses, Types, Benefits And More Dental Veneers Options This guide delves into the 5 types. There’s a multitude of options available, each with its unique benefits and considerations. You'll need to choose between porcelain and composite veneers, and. They can be used to treat cosmetic concerns like chipped, broken. Veneers are an excellent way to enhance your smile and boost your confidence — and they could be a. Dental Veneers Options.
From www.pinterest.de
porcelain veneers orange county shapes designcosmeticdentistry Dental Veneers Options This guide delves into the 5 types. If you want a smile makeover, dental veneers are one option. Dental veneers will enhance your smile, but they can be expensive. You'll need to choose between porcelain and composite veneers, and. They can be used to treat cosmetic concerns like chipped, broken. Veneers are an excellent way to enhance your smile and. Dental Veneers Options.
From www.greenwichdentistry.com
Veneers Cos Cob, CT Greenwich Dentistry Family & Cosmetic Dentistry Dental Veneers Options If you want a smile makeover, dental veneers are one option. They can be used to treat cosmetic concerns like chipped, broken. Here's all you need to know, including average costs and how it varies from other procedures. Dental veneers will enhance your smile, but they can be expensive. This guide delves into the 5 types. Veneers are an excellent. Dental Veneers Options.