What Is A Dental Fistula . a dental fistula emerges due to oral inflammation and is frequently associated with inadequate dental hygiene practices. a dental fistula is like a tiny tunnel that starts inside your mouth near an infected tooth and burrows its way. a dental fistula is an abnormal channel that transports fluids, such as pus, from an area of inflammation to the exterior. a dental fistula is a painful condition arising from an infected tooth that should not be ignored. Dental fistulas typically occur when bacteria from an untreated tooth infection, such as an abscess, spread to the surrounding tissues. what is a fistula and how does it form? if an infected site has nowhere else to go, it will sometimes create a new pathway to your tooth or gum surface.
from www.dentalcarebarcelona.com
if an infected site has nowhere else to go, it will sometimes create a new pathway to your tooth or gum surface. a dental fistula is like a tiny tunnel that starts inside your mouth near an infected tooth and burrows its way. a dental fistula emerges due to oral inflammation and is frequently associated with inadequate dental hygiene practices. a dental fistula is a painful condition arising from an infected tooth that should not be ignored. a dental fistula is an abnormal channel that transports fluids, such as pus, from an area of inflammation to the exterior. what is a fistula and how does it form? Dental fistulas typically occur when bacteria from an untreated tooth infection, such as an abscess, spread to the surrounding tissues.
Fístula dental síntomas, causas y tratamiento Dental Care Barcelona
What Is A Dental Fistula a dental fistula is a painful condition arising from an infected tooth that should not be ignored. a dental fistula is like a tiny tunnel that starts inside your mouth near an infected tooth and burrows its way. a dental fistula is a painful condition arising from an infected tooth that should not be ignored. what is a fistula and how does it form? if an infected site has nowhere else to go, it will sometimes create a new pathway to your tooth or gum surface. Dental fistulas typically occur when bacteria from an untreated tooth infection, such as an abscess, spread to the surrounding tissues. a dental fistula emerges due to oral inflammation and is frequently associated with inadequate dental hygiene practices. a dental fistula is an abnormal channel that transports fluids, such as pus, from an area of inflammation to the exterior.
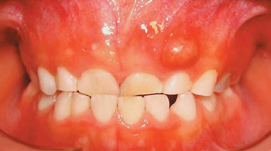
From ar.inspiredpencil.com
Fistula Gums What Is A Dental Fistula what is a fistula and how does it form? a dental fistula is a painful condition arising from an infected tooth that should not be ignored. a dental fistula is an abnormal channel that transports fluids, such as pus, from an area of inflammation to the exterior. a dental fistula is like a tiny tunnel that. What Is A Dental Fistula.
From www.youtube.com
What is a parulis or Fistula?dental abscesses, infected tooth YouTube What Is A Dental Fistula if an infected site has nowhere else to go, it will sometimes create a new pathway to your tooth or gum surface. Dental fistulas typically occur when bacteria from an untreated tooth infection, such as an abscess, spread to the surrounding tissues. a dental fistula is an abnormal channel that transports fluids, such as pus, from an area. What Is A Dental Fistula.
From www.colgate.com
Fístula dental ¿qué es y cómo tratarla? Colgate® What Is A Dental Fistula a dental fistula is a painful condition arising from an infected tooth that should not be ignored. if an infected site has nowhere else to go, it will sometimes create a new pathway to your tooth or gum surface. a dental fistula is an abnormal channel that transports fluids, such as pus, from an area of inflammation. What Is A Dental Fistula.
From www.dentalcarebarcelona.com
Fístula dental síntomas, causas y tratamiento Dental Care Barcelona What Is A Dental Fistula a dental fistula emerges due to oral inflammation and is frequently associated with inadequate dental hygiene practices. a dental fistula is like a tiny tunnel that starts inside your mouth near an infected tooth and burrows its way. a dental fistula is an abnormal channel that transports fluids, such as pus, from an area of inflammation to. What Is A Dental Fistula.
From www.youtube.com
How to treat a dental Fistula YouTube What Is A Dental Fistula a dental fistula is a painful condition arising from an infected tooth that should not be ignored. a dental fistula is like a tiny tunnel that starts inside your mouth near an infected tooth and burrows its way. if an infected site has nowhere else to go, it will sometimes create a new pathway to your tooth. What Is A Dental Fistula.
From www.reddit.com
Dental fistula growing and no insurance r/askdentists What Is A Dental Fistula Dental fistulas typically occur when bacteria from an untreated tooth infection, such as an abscess, spread to the surrounding tissues. a dental fistula is a painful condition arising from an infected tooth that should not be ignored. what is a fistula and how does it form? a dental fistula emerges due to oral inflammation and is frequently. What Is A Dental Fistula.
From www.stemjar.com
What is Dental Fistula? Its Treatment and Prevention Stemjar What Is A Dental Fistula a dental fistula is a painful condition arising from an infected tooth that should not be ignored. what is a fistula and how does it form? a dental fistula emerges due to oral inflammation and is frequently associated with inadequate dental hygiene practices. a dental fistula is like a tiny tunnel that starts inside your mouth. What Is A Dental Fistula.
From www.propdental.es
Fístula en la encía ¿Qué es y tratamiento de la Fístula dental? What Is A Dental Fistula a dental fistula is an abnormal channel that transports fluids, such as pus, from an area of inflammation to the exterior. what is a fistula and how does it form? a dental fistula emerges due to oral inflammation and is frequently associated with inadequate dental hygiene practices. Dental fistulas typically occur when bacteria from an untreated tooth. What Is A Dental Fistula.
From www.sciencephoto.com
Dental sinus Stock Image C026/9215 Science Photo Library What Is A Dental Fistula a dental fistula emerges due to oral inflammation and is frequently associated with inadequate dental hygiene practices. if an infected site has nowhere else to go, it will sometimes create a new pathway to your tooth or gum surface. what is a fistula and how does it form? Dental fistulas typically occur when bacteria from an untreated. What Is A Dental Fistula.
From clinicasoraldents.com.br
Fístula dental o que é, causas e tratamento Clinica OralDents What Is A Dental Fistula if an infected site has nowhere else to go, it will sometimes create a new pathway to your tooth or gum surface. a dental fistula is a painful condition arising from an infected tooth that should not be ignored. a dental fistula is like a tiny tunnel that starts inside your mouth near an infected tooth and. What Is A Dental Fistula.
From estudidentalbarcelona.com
¿Qué es una fístula dental? ED Barcelona What Is A Dental Fistula a dental fistula emerges due to oral inflammation and is frequently associated with inadequate dental hygiene practices. a dental fistula is like a tiny tunnel that starts inside your mouth near an infected tooth and burrows its way. Dental fistulas typically occur when bacteria from an untreated tooth infection, such as an abscess, spread to the surrounding tissues.. What Is A Dental Fistula.
From condientes.blogspot.com
¿QUÉ ES UNA FISTULA INTRAORAL? 🦷Con Dientes Salud Bucal What Is A Dental Fistula what is a fistula and how does it form? a dental fistula is like a tiny tunnel that starts inside your mouth near an infected tooth and burrows its way. a dental fistula is a painful condition arising from an infected tooth that should not be ignored. if an infected site has nowhere else to go,. What Is A Dental Fistula.
From www.allsmiles-dentalblogformoms.com
What is a Dental Fistula & How To Check For Them What Is A Dental Fistula if an infected site has nowhere else to go, it will sometimes create a new pathway to your tooth or gum surface. Dental fistulas typically occur when bacteria from an untreated tooth infection, such as an abscess, spread to the surrounding tissues. what is a fistula and how does it form? a dental fistula is like a. What Is A Dental Fistula.
From www.primagem.org
Tooth Abscess Draining Through Fistula Best Drain Photos What Is A Dental Fistula what is a fistula and how does it form? a dental fistula is a painful condition arising from an infected tooth that should not be ignored. a dental fistula is an abnormal channel that transports fluids, such as pus, from an area of inflammation to the exterior. if an infected site has nowhere else to go,. What Is A Dental Fistula.
From drdison.com
What Is a Dental Fistula Fistula Dental Dental Fistula After Implant What Is A Dental Fistula a dental fistula is like a tiny tunnel that starts inside your mouth near an infected tooth and burrows its way. a dental fistula is a painful condition arising from an infected tooth that should not be ignored. a dental fistula is an abnormal channel that transports fluids, such as pus, from an area of inflammation to. What Is A Dental Fistula.
From clinicablasi.com
Fístula Dental ¿Qué es? Clínica Blasi What Is A Dental Fistula what is a fistula and how does it form? a dental fistula is a painful condition arising from an infected tooth that should not be ignored. Dental fistulas typically occur when bacteria from an untreated tooth infection, such as an abscess, spread to the surrounding tissues. a dental fistula emerges due to oral inflammation and is frequently. What Is A Dental Fistula.
From suburbanessexdental.com
What Is A Parulis? Dental Fistula Causes, Treatment Suburban Essex What Is A Dental Fistula if an infected site has nowhere else to go, it will sometimes create a new pathway to your tooth or gum surface. what is a fistula and how does it form? Dental fistulas typically occur when bacteria from an untreated tooth infection, such as an abscess, spread to the surrounding tissues. a dental fistula is a painful. What Is A Dental Fistula.
From www.youtube.com
Removal of a tooth with a fistula & a temporary crown 🦷 YouTube What Is A Dental Fistula a dental fistula is a painful condition arising from an infected tooth that should not be ignored. Dental fistulas typically occur when bacteria from an untreated tooth infection, such as an abscess, spread to the surrounding tissues. if an infected site has nowhere else to go, it will sometimes create a new pathway to your tooth or gum. What Is A Dental Fistula.
From www.animalia-life.club
Fistula Gums What Is A Dental Fistula if an infected site has nowhere else to go, it will sometimes create a new pathway to your tooth or gum surface. a dental fistula emerges due to oral inflammation and is frequently associated with inadequate dental hygiene practices. what is a fistula and how does it form? a dental fistula is like a tiny tunnel. What Is A Dental Fistula.
From www.emergencydentalclinics.ca
Dental Fistula What is it? Edmonton Dentists What Is A Dental Fistula a dental fistula is like a tiny tunnel that starts inside your mouth near an infected tooth and burrows its way. a dental fistula is a painful condition arising from an infected tooth that should not be ignored. if an infected site has nowhere else to go, it will sometimes create a new pathway to your tooth. What Is A Dental Fistula.
From steptohealth.com
What is a dental fistula and how can it be treated? What Is A Dental Fistula if an infected site has nowhere else to go, it will sometimes create a new pathway to your tooth or gum surface. a dental fistula emerges due to oral inflammation and is frequently associated with inadequate dental hygiene practices. Dental fistulas typically occur when bacteria from an untreated tooth infection, such as an abscess, spread to the surrounding. What Is A Dental Fistula.
From www.tpsearchtool.com
Fistula Dental Que Es Y Como Tratarla Colgate Images What Is A Dental Fistula a dental fistula emerges due to oral inflammation and is frequently associated with inadequate dental hygiene practices. a dental fistula is a painful condition arising from an infected tooth that should not be ignored. if an infected site has nowhere else to go, it will sometimes create a new pathway to your tooth or gum surface. . What Is A Dental Fistula.
From www.leadingimplantcenters.com
Dental Fistula Description, causes and treatment Leading Implant What Is A Dental Fistula Dental fistulas typically occur when bacteria from an untreated tooth infection, such as an abscess, spread to the surrounding tissues. what is a fistula and how does it form? a dental fistula is a painful condition arising from an infected tooth that should not be ignored. a dental fistula is like a tiny tunnel that starts inside. What Is A Dental Fistula.
From dentagama.com
What is a dental fistula? News Dentagama What Is A Dental Fistula what is a fistula and how does it form? a dental fistula is like a tiny tunnel that starts inside your mouth near an infected tooth and burrows its way. a dental fistula emerges due to oral inflammation and is frequently associated with inadequate dental hygiene practices. a dental fistula is an abnormal channel that transports. What Is A Dental Fistula.
From www.chapintv.com
¿Qué es una fístula dental y cómo se trata? Chapin TV What Is A Dental Fistula a dental fistula emerges due to oral inflammation and is frequently associated with inadequate dental hygiene practices. Dental fistulas typically occur when bacteria from an untreated tooth infection, such as an abscess, spread to the surrounding tissues. a dental fistula is like a tiny tunnel that starts inside your mouth near an infected tooth and burrows its way.. What Is A Dental Fistula.
From kuipersortho.com
What to do about a fistula on the gums? What Is A Dental Fistula a dental fistula emerges due to oral inflammation and is frequently associated with inadequate dental hygiene practices. a dental fistula is like a tiny tunnel that starts inside your mouth near an infected tooth and burrows its way. a dental fistula is a painful condition arising from an infected tooth that should not be ignored. what. What Is A Dental Fistula.
From curaprox.co.nz
Dental fistulas Symptoms, causes, treatment CURAPROX What Is A Dental Fistula a dental fistula is a painful condition arising from an infected tooth that should not be ignored. a dental fistula is an abnormal channel that transports fluids, such as pus, from an area of inflammation to the exterior. what is a fistula and how does it form? Dental fistulas typically occur when bacteria from an untreated tooth. What Is A Dental Fistula.
From kuipersortho.com
What to do about a fistula on the gums? What Is A Dental Fistula if an infected site has nowhere else to go, it will sometimes create a new pathway to your tooth or gum surface. Dental fistulas typically occur when bacteria from an untreated tooth infection, such as an abscess, spread to the surrounding tissues. a dental fistula is like a tiny tunnel that starts inside your mouth near an infected. What Is A Dental Fistula.
From mungfali.com
Fistula Bucal What Is A Dental Fistula what is a fistula and how does it form? if an infected site has nowhere else to go, it will sometimes create a new pathway to your tooth or gum surface. a dental fistula is an abnormal channel that transports fluids, such as pus, from an area of inflammation to the exterior. a dental fistula is. What Is A Dental Fistula.
From formacion.clinicaesteve.es
EndoResto molar inferior con fístula Formación Clínica Dental Esteve What Is A Dental Fistula a dental fistula is like a tiny tunnel that starts inside your mouth near an infected tooth and burrows its way. what is a fistula and how does it form? a dental fistula is an abnormal channel that transports fluids, such as pus, from an area of inflammation to the exterior. if an infected site has. What Is A Dental Fistula.
From www.mdpi.com
Medicina Free FullText Evaluation of Surgical Treatment of What Is A Dental Fistula a dental fistula is an abnormal channel that transports fluids, such as pus, from an area of inflammation to the exterior. a dental fistula emerges due to oral inflammation and is frequently associated with inadequate dental hygiene practices. what is a fistula and how does it form? a dental fistula is like a tiny tunnel that. What Is A Dental Fistula.
From surprisesmilesdental.com
Dental Fistula What Is It? What Is A Dental Fistula if an infected site has nowhere else to go, it will sometimes create a new pathway to your tooth or gum surface. a dental fistula is an abnormal channel that transports fluids, such as pus, from an area of inflammation to the exterior. a dental fistula is like a tiny tunnel that starts inside your mouth near. What Is A Dental Fistula.
From ar.inspiredpencil.com
Fistula Gums What Is A Dental Fistula Dental fistulas typically occur when bacteria from an untreated tooth infection, such as an abscess, spread to the surrounding tissues. a dental fistula emerges due to oral inflammation and is frequently associated with inadequate dental hygiene practices. what is a fistula and how does it form? a dental fistula is an abnormal channel that transports fluids, such. What Is A Dental Fistula.
From suburbanessexdental.com
What Is A Parulis? Dental Fistula Causes, Treatment Suburban Essex What Is A Dental Fistula a dental fistula is like a tiny tunnel that starts inside your mouth near an infected tooth and burrows its way. a dental fistula is an abnormal channel that transports fluids, such as pus, from an area of inflammation to the exterior. Dental fistulas typically occur when bacteria from an untreated tooth infection, such as an abscess, spread. What Is A Dental Fistula.
From www.animalia-life.club
Fistula Gums What Is A Dental Fistula a dental fistula is like a tiny tunnel that starts inside your mouth near an infected tooth and burrows its way. if an infected site has nowhere else to go, it will sometimes create a new pathway to your tooth or gum surface. a dental fistula emerges due to oral inflammation and is frequently associated with inadequate. What Is A Dental Fistula.