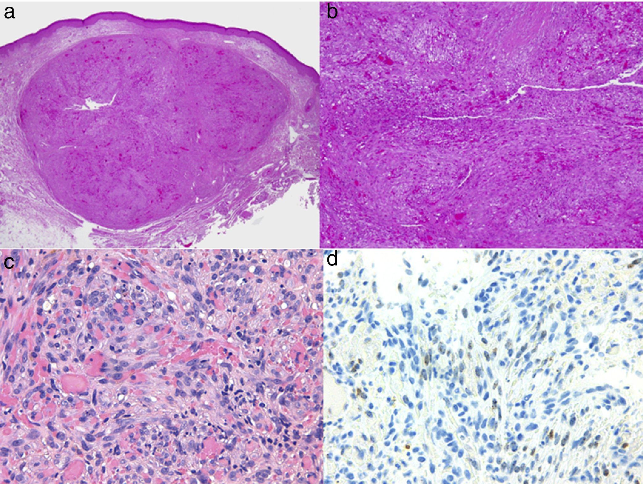
Sarcoma De Kaposi Caso Clinico . desarrollo de lesiones cutáneas que se estudió con biopsia. Varón de 41 años sin reacciones alérgicas medicamentosas ni hábitos tóxicos, con antecedentes de trasplante renal e hipertensión. el sarcoma de kaposi (ks por sus siglas en inglés) es una enfermedad similar al cáncer. Biopsia cutánea confirma compromiso por sarcoma de kaposi. Se relaciona con la infección del vih, y se.
from www.udocz.com
Biopsia cutánea confirma compromiso por sarcoma de kaposi. el sarcoma de kaposi (ks por sus siglas en inglés) es una enfermedad similar al cáncer. Varón de 41 años sin reacciones alérgicas medicamentosas ni hábitos tóxicos, con antecedentes de trasplante renal e hipertensión. desarrollo de lesiones cutáneas que se estudió con biopsia. Se relaciona con la infección del vih, y se.
Caso Clínico de Kaposi Med_byme uDocz
Sarcoma De Kaposi Caso Clinico desarrollo de lesiones cutáneas que se estudió con biopsia. Biopsia cutánea confirma compromiso por sarcoma de kaposi. desarrollo de lesiones cutáneas que se estudió con biopsia. Varón de 41 años sin reacciones alérgicas medicamentosas ni hábitos tóxicos, con antecedentes de trasplante renal e hipertensión. el sarcoma de kaposi (ks por sus siglas en inglés) es una enfermedad similar al cáncer. Se relaciona con la infección del vih, y se.
From fmedic.org
Comment le de Kaposi est traité Fmedic Sarcoma De Kaposi Caso Clinico Biopsia cutánea confirma compromiso por sarcoma de kaposi. Se relaciona con la infección del vih, y se. desarrollo de lesiones cutáneas que se estudió con biopsia. el sarcoma de kaposi (ks por sus siglas en inglés) es una enfermedad similar al cáncer. Varón de 41 años sin reacciones alérgicas medicamentosas ni hábitos tóxicos, con antecedentes de trasplante renal. Sarcoma De Kaposi Caso Clinico.
From www.academia.edu
(PDF) de Kaposi gástrico en un paciente con virus de Sarcoma De Kaposi Caso Clinico Biopsia cutánea confirma compromiso por sarcoma de kaposi. Varón de 41 años sin reacciones alérgicas medicamentosas ni hábitos tóxicos, con antecedentes de trasplante renal e hipertensión. Se relaciona con la infección del vih, y se. desarrollo de lesiones cutáneas que se estudió con biopsia. el sarcoma de kaposi (ks por sus siglas en inglés) es una enfermedad similar. Sarcoma De Kaposi Caso Clinico.
From www.blackandbrownskin.co.uk
Kaposi — Black & brown skin Sarcoma De Kaposi Caso Clinico Varón de 41 años sin reacciones alérgicas medicamentosas ni hábitos tóxicos, con antecedentes de trasplante renal e hipertensión. Biopsia cutánea confirma compromiso por sarcoma de kaposi. Se relaciona con la infección del vih, y se. el sarcoma de kaposi (ks por sus siglas en inglés) es una enfermedad similar al cáncer. desarrollo de lesiones cutáneas que se estudió. Sarcoma De Kaposi Caso Clinico.
From medtube.es
de Kaposi • Imagen • MEDtube.es Sarcoma De Kaposi Caso Clinico desarrollo de lesiones cutáneas que se estudió con biopsia. el sarcoma de kaposi (ks por sus siglas en inglés) es una enfermedad similar al cáncer. Varón de 41 años sin reacciones alérgicas medicamentosas ni hábitos tóxicos, con antecedentes de trasplante renal e hipertensión. Se relaciona con la infección del vih, y se. Biopsia cutánea confirma compromiso por sarcoma. Sarcoma De Kaposi Caso Clinico.
From www.researchgate.net
(PDF) DE KAPOSI REVISÃO CLÍNICOPATOLÓGICA Sarcoma De Kaposi Caso Clinico el sarcoma de kaposi (ks por sus siglas en inglés) es una enfermedad similar al cáncer. desarrollo de lesiones cutáneas que se estudió con biopsia. Varón de 41 años sin reacciones alérgicas medicamentosas ni hábitos tóxicos, con antecedentes de trasplante renal e hipertensión. Se relaciona con la infección del vih, y se. Biopsia cutánea confirma compromiso por sarcoma. Sarcoma De Kaposi Caso Clinico.
From www.statpearls.com
Kaposi Article Sarcoma De Kaposi Caso Clinico Varón de 41 años sin reacciones alérgicas medicamentosas ni hábitos tóxicos, con antecedentes de trasplante renal e hipertensión. Biopsia cutánea confirma compromiso por sarcoma de kaposi. el sarcoma de kaposi (ks por sus siglas en inglés) es una enfermedad similar al cáncer. Se relaciona con la infección del vih, y se. desarrollo de lesiones cutáneas que se estudió. Sarcoma De Kaposi Caso Clinico.
From www.pinterest.com
Oral Kaposi (With images) American medical Sarcoma De Kaposi Caso Clinico Biopsia cutánea confirma compromiso por sarcoma de kaposi. desarrollo de lesiones cutáneas que se estudió con biopsia. el sarcoma de kaposi (ks por sus siglas en inglés) es una enfermedad similar al cáncer. Se relaciona con la infección del vih, y se. Varón de 41 años sin reacciones alérgicas medicamentosas ni hábitos tóxicos, con antecedentes de trasplante renal. Sarcoma De Kaposi Caso Clinico.
From fineartamerica.com
Kaposi's Photograph by Dr M.a. Ansary/science Photo Library Sarcoma De Kaposi Caso Clinico Varón de 41 años sin reacciones alérgicas medicamentosas ni hábitos tóxicos, con antecedentes de trasplante renal e hipertensión. Biopsia cutánea confirma compromiso por sarcoma de kaposi. desarrollo de lesiones cutáneas que se estudió con biopsia. el sarcoma de kaposi (ks por sus siglas en inglés) es una enfermedad similar al cáncer. Se relaciona con la infección del vih,. Sarcoma De Kaposi Caso Clinico.
From www.nhs.uk
Kaposi's NHS NHS Sarcoma De Kaposi Caso Clinico desarrollo de lesiones cutáneas que se estudió con biopsia. Varón de 41 años sin reacciones alérgicas medicamentosas ni hábitos tóxicos, con antecedentes de trasplante renal e hipertensión. Se relaciona con la infección del vih, y se. Biopsia cutánea confirma compromiso por sarcoma de kaposi. el sarcoma de kaposi (ks por sus siglas en inglés) es una enfermedad similar. Sarcoma De Kaposi Caso Clinico.
From acadderm.com
Kaposi The Old & The New... Academic Dermatology of Nevada Sarcoma De Kaposi Caso Clinico desarrollo de lesiones cutáneas que se estudió con biopsia. el sarcoma de kaposi (ks por sus siglas en inglés) es una enfermedad similar al cáncer. Biopsia cutánea confirma compromiso por sarcoma de kaposi. Varón de 41 años sin reacciones alérgicas medicamentosas ni hábitos tóxicos, con antecedentes de trasplante renal e hipertensión. Se relaciona con la infección del vih,. Sarcoma De Kaposi Caso Clinico.
From commons.wikimedia.org
FileKaposis 01.jpg Sarcoma De Kaposi Caso Clinico Biopsia cutánea confirma compromiso por sarcoma de kaposi. desarrollo de lesiones cutáneas que se estudió con biopsia. Varón de 41 años sin reacciones alérgicas medicamentosas ni hábitos tóxicos, con antecedentes de trasplante renal e hipertensión. Se relaciona con la infección del vih, y se. el sarcoma de kaposi (ks por sus siglas en inglés) es una enfermedad similar. Sarcoma De Kaposi Caso Clinico.
From www.udocz.com
Caso Clínico de Kaposi Med_byme uDocz Sarcoma De Kaposi Caso Clinico el sarcoma de kaposi (ks por sus siglas en inglés) es una enfermedad similar al cáncer. desarrollo de lesiones cutáneas que se estudió con biopsia. Biopsia cutánea confirma compromiso por sarcoma de kaposi. Varón de 41 años sin reacciones alérgicas medicamentosas ni hábitos tóxicos, con antecedentes de trasplante renal e hipertensión. Se relaciona con la infección del vih,. Sarcoma De Kaposi Caso Clinico.
From healthjade.net
Kaposi causes, symptoms, lesions, prognosis and treatment Sarcoma De Kaposi Caso Clinico el sarcoma de kaposi (ks por sus siglas en inglés) es una enfermedad similar al cáncer. Biopsia cutánea confirma compromiso por sarcoma de kaposi. Varón de 41 años sin reacciones alérgicas medicamentosas ni hábitos tóxicos, con antecedentes de trasplante renal e hipertensión. Se relaciona con la infección del vih, y se. desarrollo de lesiones cutáneas que se estudió. Sarcoma De Kaposi Caso Clinico.
From www.sciencephoto.com
Kaposi's Stock Image M112/0312 Science Photo Library Sarcoma De Kaposi Caso Clinico Biopsia cutánea confirma compromiso por sarcoma de kaposi. Varón de 41 años sin reacciones alérgicas medicamentosas ni hábitos tóxicos, con antecedentes de trasplante renal e hipertensión. desarrollo de lesiones cutáneas que se estudió con biopsia. el sarcoma de kaposi (ks por sus siglas en inglés) es una enfermedad similar al cáncer. Se relaciona con la infección del vih,. Sarcoma De Kaposi Caso Clinico.
From opas.org.br
O Que é de Kaposi? Tem Cura e Tratamento? Saúde Blog OPAS Sarcoma De Kaposi Caso Clinico Varón de 41 años sin reacciones alérgicas medicamentosas ni hábitos tóxicos, con antecedentes de trasplante renal e hipertensión. Biopsia cutánea confirma compromiso por sarcoma de kaposi. desarrollo de lesiones cutáneas que se estudió con biopsia. Se relaciona con la infección del vih, y se. el sarcoma de kaposi (ks por sus siglas en inglés) es una enfermedad similar. Sarcoma De Kaposi Caso Clinico.
From drrafaelsato.com.br
de Kaposi quando a cirurgia é indicada para o tratamento Sarcoma De Kaposi Caso Clinico desarrollo de lesiones cutáneas que se estudió con biopsia. Biopsia cutánea confirma compromiso por sarcoma de kaposi. Se relaciona con la infección del vih, y se. el sarcoma de kaposi (ks por sus siglas en inglés) es una enfermedad similar al cáncer. Varón de 41 años sin reacciones alérgicas medicamentosas ni hábitos tóxicos, con antecedentes de trasplante renal. Sarcoma De Kaposi Caso Clinico.
From studylib.es
de kaposi amigdalar. Presentación de un caso Sarcoma De Kaposi Caso Clinico Varón de 41 años sin reacciones alérgicas medicamentosas ni hábitos tóxicos, con antecedentes de trasplante renal e hipertensión. Se relaciona con la infección del vih, y se. desarrollo de lesiones cutáneas que se estudió con biopsia. el sarcoma de kaposi (ks por sus siglas en inglés) es una enfermedad similar al cáncer. Biopsia cutánea confirma compromiso por sarcoma. Sarcoma De Kaposi Caso Clinico.
From es.scribd.com
de Kaposi Caso Clinico PDF Factor de crecimiento vascular Sarcoma De Kaposi Caso Clinico desarrollo de lesiones cutáneas que se estudió con biopsia. Varón de 41 años sin reacciones alérgicas medicamentosas ni hábitos tóxicos, con antecedentes de trasplante renal e hipertensión. el sarcoma de kaposi (ks por sus siglas en inglés) es una enfermedad similar al cáncer. Se relaciona con la infección del vih, y se. Biopsia cutánea confirma compromiso por sarcoma. Sarcoma De Kaposi Caso Clinico.
From www.slideshare.net
de Kaposi Sarcoma De Kaposi Caso Clinico Varón de 41 años sin reacciones alérgicas medicamentosas ni hábitos tóxicos, con antecedentes de trasplante renal e hipertensión. Se relaciona con la infección del vih, y se. Biopsia cutánea confirma compromiso por sarcoma de kaposi. el sarcoma de kaposi (ks por sus siglas en inglés) es una enfermedad similar al cáncer. desarrollo de lesiones cutáneas que se estudió. Sarcoma De Kaposi Caso Clinico.
From studylib.es
CASO CLÍNICO de Kaposi en un adulto con trasplante Sarcoma De Kaposi Caso Clinico Biopsia cutánea confirma compromiso por sarcoma de kaposi. Se relaciona con la infección del vih, y se. Varón de 41 años sin reacciones alérgicas medicamentosas ni hábitos tóxicos, con antecedentes de trasplante renal e hipertensión. desarrollo de lesiones cutáneas que se estudió con biopsia. el sarcoma de kaposi (ks por sus siglas en inglés) es una enfermedad similar. Sarcoma De Kaposi Caso Clinico.
From actasdermo.org
de Kaposi y cutáneo directrices para el Sarcoma De Kaposi Caso Clinico Varón de 41 años sin reacciones alérgicas medicamentosas ni hábitos tóxicos, con antecedentes de trasplante renal e hipertensión. el sarcoma de kaposi (ks por sus siglas en inglés) es una enfermedad similar al cáncer. Se relaciona con la infección del vih, y se. desarrollo de lesiones cutáneas que se estudió con biopsia. Biopsia cutánea confirma compromiso por sarcoma. Sarcoma De Kaposi Caso Clinico.
From es.slideshare.net
de kaposi Sarcoma De Kaposi Caso Clinico Biopsia cutánea confirma compromiso por sarcoma de kaposi. Varón de 41 años sin reacciones alérgicas medicamentosas ni hábitos tóxicos, con antecedentes de trasplante renal e hipertensión. desarrollo de lesiones cutáneas que se estudió con biopsia. Se relaciona con la infección del vih, y se. el sarcoma de kaposi (ks por sus siglas en inglés) es una enfermedad similar. Sarcoma De Kaposi Caso Clinico.
From www.austral.edu.ar
de Kaposi Manual Digital de Dermatología Sarcoma De Kaposi Caso Clinico Varón de 41 años sin reacciones alérgicas medicamentosas ni hábitos tóxicos, con antecedentes de trasplante renal e hipertensión. desarrollo de lesiones cutáneas que se estudió con biopsia. el sarcoma de kaposi (ks por sus siglas en inglés) es una enfermedad similar al cáncer. Se relaciona con la infección del vih, y se. Biopsia cutánea confirma compromiso por sarcoma. Sarcoma De Kaposi Caso Clinico.
From actasdermo.org
Ecografía cutánea en el de Kaposi Actas DermoSifiliográficas Sarcoma De Kaposi Caso Clinico Varón de 41 años sin reacciones alérgicas medicamentosas ni hábitos tóxicos, con antecedentes de trasplante renal e hipertensión. Se relaciona con la infección del vih, y se. Biopsia cutánea confirma compromiso por sarcoma de kaposi. desarrollo de lesiones cutáneas que se estudió con biopsia. el sarcoma de kaposi (ks por sus siglas en inglés) es una enfermedad similar. Sarcoma De Kaposi Caso Clinico.
From www.youtube.com
Caso Clínico de Kaposi YouTube Sarcoma De Kaposi Caso Clinico desarrollo de lesiones cutáneas que se estudió con biopsia. Se relaciona con la infección del vih, y se. el sarcoma de kaposi (ks por sus siglas en inglés) es una enfermedad similar al cáncer. Varón de 41 años sin reacciones alérgicas medicamentosas ni hábitos tóxicos, con antecedentes de trasplante renal e hipertensión. Biopsia cutánea confirma compromiso por sarcoma. Sarcoma De Kaposi Caso Clinico.
From es.scribd.com
Kaposi Caso Clinico PDF Enfermedades y trastornos Biología Sarcoma De Kaposi Caso Clinico Biopsia cutánea confirma compromiso por sarcoma de kaposi. el sarcoma de kaposi (ks por sus siglas en inglés) es una enfermedad similar al cáncer. Varón de 41 años sin reacciones alérgicas medicamentosas ni hábitos tóxicos, con antecedentes de trasplante renal e hipertensión. desarrollo de lesiones cutáneas que se estudió con biopsia. Se relaciona con la infección del vih,. Sarcoma De Kaposi Caso Clinico.
From www.aao.org
Kaposi American Academy of Ophthalmology Sarcoma De Kaposi Caso Clinico Se relaciona con la infección del vih, y se. Biopsia cutánea confirma compromiso por sarcoma de kaposi. desarrollo de lesiones cutáneas que se estudió con biopsia. el sarcoma de kaposi (ks por sus siglas en inglés) es una enfermedad similar al cáncer. Varón de 41 años sin reacciones alérgicas medicamentosas ni hábitos tóxicos, con antecedentes de trasplante renal. Sarcoma De Kaposi Caso Clinico.
From mavink.com
Kaposi Rash Sarcoma De Kaposi Caso Clinico el sarcoma de kaposi (ks por sus siglas en inglés) es una enfermedad similar al cáncer. Biopsia cutánea confirma compromiso por sarcoma de kaposi. desarrollo de lesiones cutáneas que se estudió con biopsia. Varón de 41 años sin reacciones alérgicas medicamentosas ni hábitos tóxicos, con antecedentes de trasplante renal e hipertensión. Se relaciona con la infección del vih,. Sarcoma De Kaposi Caso Clinico.
From healthjade.net
Kaposi causes, symptoms, lesions, prognosis and treatment Sarcoma De Kaposi Caso Clinico Varón de 41 años sin reacciones alérgicas medicamentosas ni hábitos tóxicos, con antecedentes de trasplante renal e hipertensión. Biopsia cutánea confirma compromiso por sarcoma de kaposi. desarrollo de lesiones cutáneas que se estudió con biopsia. el sarcoma de kaposi (ks por sus siglas en inglés) es una enfermedad similar al cáncer. Se relaciona con la infección del vih,. Sarcoma De Kaposi Caso Clinico.
From www.academia.edu
(PDF) de Kaposi da laringe Caso clínico Laryngeal Kaposi's Sarcoma De Kaposi Caso Clinico Varón de 41 años sin reacciones alérgicas medicamentosas ni hábitos tóxicos, con antecedentes de trasplante renal e hipertensión. Se relaciona con la infección del vih, y se. el sarcoma de kaposi (ks por sus siglas en inglés) es una enfermedad similar al cáncer. desarrollo de lesiones cutáneas que se estudió con biopsia. Biopsia cutánea confirma compromiso por sarcoma. Sarcoma De Kaposi Caso Clinico.
From www.austral.edu.ar
de Kaposi Manual Digital de Dermatología Sarcoma De Kaposi Caso Clinico Se relaciona con la infección del vih, y se. Biopsia cutánea confirma compromiso por sarcoma de kaposi. el sarcoma de kaposi (ks por sus siglas en inglés) es una enfermedad similar al cáncer. Varón de 41 años sin reacciones alérgicas medicamentosas ni hábitos tóxicos, con antecedentes de trasplante renal e hipertensión. desarrollo de lesiones cutáneas que se estudió. Sarcoma De Kaposi Caso Clinico.
From dermatology.cdlib.org
de Kaposi Clásico Diseminado Reporte de un caso Sarcoma De Kaposi Caso Clinico el sarcoma de kaposi (ks por sus siglas en inglés) es una enfermedad similar al cáncer. Biopsia cutánea confirma compromiso por sarcoma de kaposi. Se relaciona con la infección del vih, y se. Varón de 41 años sin reacciones alérgicas medicamentosas ni hábitos tóxicos, con antecedentes de trasplante renal e hipertensión. desarrollo de lesiones cutáneas que se estudió. Sarcoma De Kaposi Caso Clinico.
From www.youtube.com
Kaposi YouTube Sarcoma De Kaposi Caso Clinico desarrollo de lesiones cutáneas que se estudió con biopsia. Biopsia cutánea confirma compromiso por sarcoma de kaposi. el sarcoma de kaposi (ks por sus siglas en inglés) es una enfermedad similar al cáncer. Varón de 41 años sin reacciones alérgicas medicamentosas ni hábitos tóxicos, con antecedentes de trasplante renal e hipertensión. Se relaciona con la infección del vih,. Sarcoma De Kaposi Caso Clinico.
From www.researchgate.net
(PDF) de Kaposi en paciente con diagnóstico tardío de VIH Sarcoma De Kaposi Caso Clinico el sarcoma de kaposi (ks por sus siglas en inglés) es una enfermedad similar al cáncer. Varón de 41 años sin reacciones alérgicas medicamentosas ni hábitos tóxicos, con antecedentes de trasplante renal e hipertensión. desarrollo de lesiones cutáneas que se estudió con biopsia. Biopsia cutánea confirma compromiso por sarcoma de kaposi. Se relaciona con la infección del vih,. Sarcoma De Kaposi Caso Clinico.
From www.dermatologyadvisor.com
Kaposi's (KS) Dermatology Advisor Sarcoma De Kaposi Caso Clinico el sarcoma de kaposi (ks por sus siglas en inglés) es una enfermedad similar al cáncer. Biopsia cutánea confirma compromiso por sarcoma de kaposi. desarrollo de lesiones cutáneas que se estudió con biopsia. Varón de 41 años sin reacciones alérgicas medicamentosas ni hábitos tóxicos, con antecedentes de trasplante renal e hipertensión. Se relaciona con la infección del vih,. Sarcoma De Kaposi Caso Clinico.